Bleomycin Electrosclerotherapy (BEST) for Slow-Flow Malformations of the Upper Aerodigestive Tract
Abstract
1. Introduction
2. Methods
2.1. Study Design
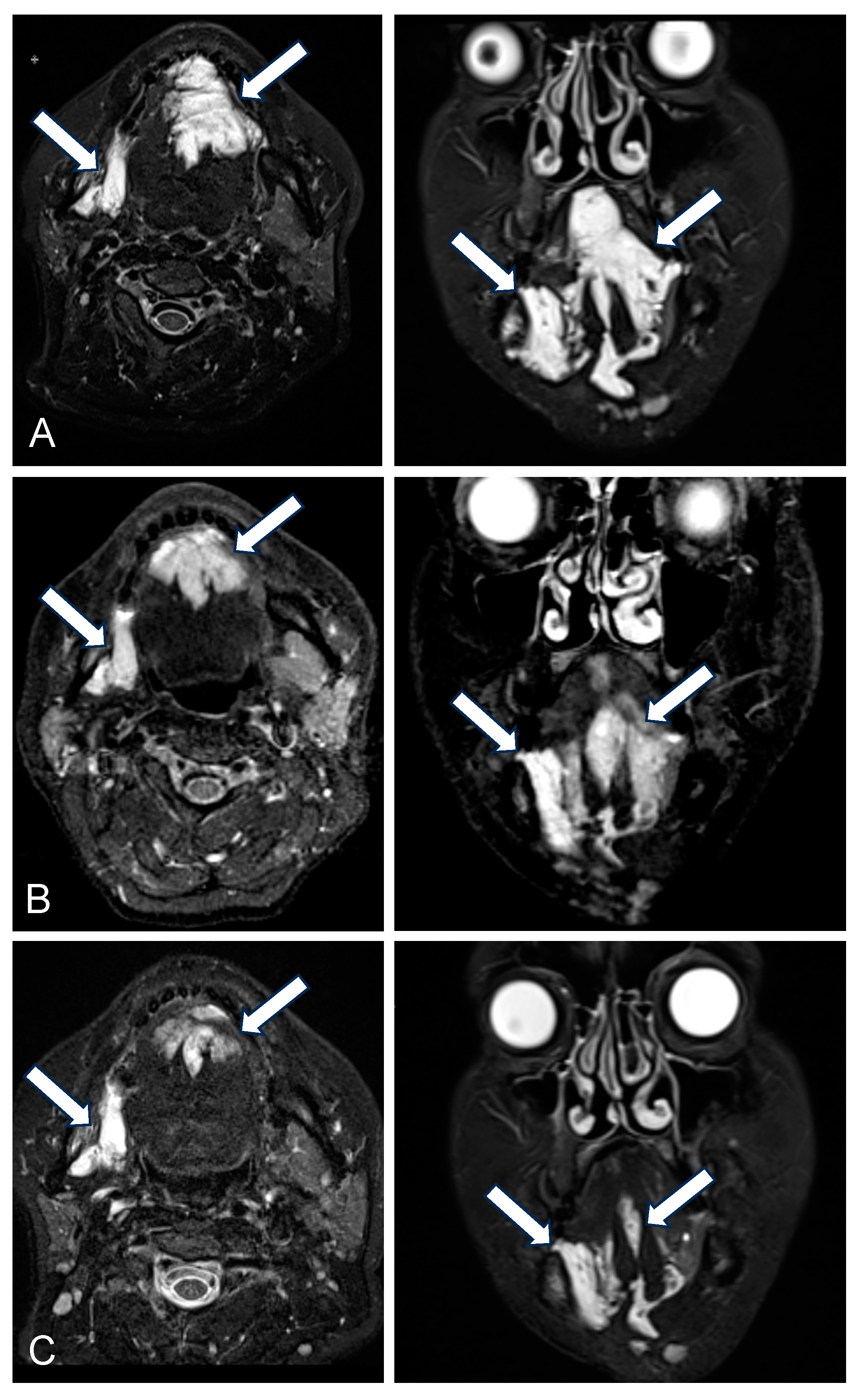
2.2. Interventional Treatment
2.3. Follow-Up
2.4. Statistical Analysis
3. Results
3.1. Patient Characteristics
3.2. Procedural Characteristics
3.3. Effectiveness of Treatment
3.4. Functional Outcomes and Complications
4. Discussion
5. Conclusions
Supplementary Materials
Author Contributions
Funding
Institutional Review Board Statement
Informed Consent Statement
Data Availability Statement
Acknowledgments
Conflicts of Interest
Abbreviations
| AVM | arteriovenous malformation |
| BEST | bleomycin electrosclerotherapy |
| ICU | intensive care unit |
| ISSVA | International Society for the Study of Vascular Anomalies |
| LM | lymphatic malformation |
| SD | standard deviation |
| VM | venous malformation |
| VLM | veno-lymphatic malformation |
References
- McMorrow, L.; Shaikh, M.; Kessell, G.; Muir, T. Bleomycin electrosclerotherapy: New treatment to manage vascular malformations. Br. J. Oral. Maxillofac. Surg. 2017, 55, 977–979. [Google Scholar] [CrossRef] [PubMed]
- Sersa, G.; Jarm, T.; Kotnik, T.; Coer, A.; Podkrajsek, M.; Sentjurc, M.; Miklavcic, D.; Kadivec, M.; Kranjc, S.; Secerov, A.; et al. Vascular disrupting action of electroporation and electrochemotherapy with bleomycin in murine sarcoma. Br. J. Cancer 2008, 98, 388–398. [Google Scholar] [CrossRef] [PubMed]
- Wohlgemuth, W.A.; Müller-Wille, R.; Meyer, L.; Wildgruber, M.; Guntau, M.; von der Heydt, S.; Pech, M.; Zanasi, A.; Flöther, L.; Brill, R. Bleomycin electrosclerotherapy in therapy-resistant venous malformations of the body. J. Vasc. Surg. Venous Lymphat. Disord. 2021, 9, 731–739. [Google Scholar] [CrossRef] [PubMed]
- Kostusiak, M.; Murugan, S.; Muir, T. Bleomycin Electrosclerotherapy Treatment in the Management of Vascular Malformations. Dermatol. Surg. 2022, 48, 67–71. [Google Scholar] [CrossRef] [PubMed]
- Muir, T.; Wohlgemuth, W.A.; Cemazar, M.; Bertino, G.; Groselj, A.; Ratnam, L.A.; McCafferty, I.; Wildgruber, M.; Gebauer, B.; de Terlizzi, F.; et al. Current Operating Procedure (COP) for Bleomycin ElectroScleroTherapy (BEST) of low-flow vascular malformations. Radiol. Oncol. 2024, 58, 469–479. [Google Scholar] [CrossRef] [PubMed]
- Gehl, J.; Sersa, G.; Matthiessen, L.W.; Muir, T.; Soden, D.; Occhini, A.; Quaglino, P.; Curatolo, P.; Campana, L.G.; Kunte, C.; et al. Updated standard operating procedures for electrochemotherapy of cutaneous tumours and skin metastases. Acta Oncol. 2018, 57, 874–882. [Google Scholar] [CrossRef] [PubMed]
- Horbach, S.E.R.; Wolkerstorfer, A.; de Bruin, D.M.; van der Horst, C.M.A.M. Electrosclerotherapy for capillary malformations: Study protocol for a randomised within-patient controlled pilot trial. BMJ Open 2017, 7. [Google Scholar] [CrossRef] [PubMed]
- Horbach, S.E.R.; Wolkerstorfer, A.; Jolink, F.; Bloemen, P.R.B.E.; van der Horst, C.M.A.M. Electrosclerotherapy as a Novel Treatment Option for Hypertrophic Capillary Malformations: A Randomized Controlled Pilot Trial. Dermatol. Surg. 2020, 46, 491–498. [Google Scholar] [CrossRef] [PubMed]
- Schmidt, V.F.; Cangir, Ö.; Meyer, L.; Goldann, C.; Hengst, S.; Brill, R.; von der Heydt, S.; Waner, M.; Puhr-Westerheide, D.; Öcal, O.; et al. Outcome of bleomycin electrosclerotherapy of slow-flow malformations in adults and children. Eur. Radiol. 2024, 34, 6425–6434. [Google Scholar] [CrossRef] [PubMed]
- Dalmády, S.; Csoma, Z.; Besenyi, Z.; Bottyán, K.; Oláh, J.; Kemény, L.; Kis, E. New Treatment Option for Capillary Lymphangioma: Bleomycin-Based Electrochemotherapy of an Infant. Pediatrics 2020, 146, e20200566. [Google Scholar] [CrossRef] [PubMed]
- Krt, A.; Cemazar, M.; Lovric, D.; Sersa, G.; Jamsek, C.; Groselj, A. Combining superselective catheterization and electrochemotherapy: A new technological approach to the treatment of high-flow head and neck vascular malformations. Front. Oncol. 2022, 12, 1025270. [Google Scholar] [CrossRef] [PubMed]
- Guntau, M.; Cucuruz, B.; Brill, R.; Bidakov, O.; von der Heydt, S.; Deistung, A.; Wohlgemuth, W.A. Individualized treatment of congenital vascular malformations of the tongue. Clin. Hemorheol. Microcirc. 2023, 83, 421–429. [Google Scholar] [CrossRef] [PubMed]
- Loeser, J.H.; Kisser, U.; Dießel, L.; von der Heydt, S.; Bidakov, O.; Loberg, C.; Wohlgemuth, W.A. Interdisciplinary Treatment of Macroglossia Due to a Microcystic Lymphatic Malformation with Bleomycin Electrosclerotherapy Followed by Partial Resection. Cardiovasc. Intervent. Radiol. 2024, 47, 852–854. [Google Scholar] [CrossRef] [PubMed]
- Mack, J.M.; Richter, G.T.; Becton, D.; Salem, O.; Hill, S.E.M.; Crary, S.E. Short-term side effects and patient-reported outcomes of bleomycin sclerotherapy in vascular malformations. Pediatr. Blood Cancer 2018, 65, e27008. [Google Scholar] [CrossRef] [PubMed]
- Agid, N.; Itsekzon, Z.; Hendriks, E.J.; Terbrugge, K.; Agid, R. Bleomycin sclerotherapy for venous vascular malformations of the tongue. J. Neurointerv. Surg. 2025. [Google Scholar] [CrossRef] [PubMed]
- Horbach, S.E.R.; Rigter, I.M.; Smitt, J.H.S.; Reekers, J.A.; Spuls, P.I.; van der Horst, C.M.A.M. Intralesional Bleomycin Injections for Vascular Malformations: A Systematic Review and Meta-Analysis. Plast. Reconstr. Surg. 2016, 137, 244–256. [Google Scholar] [CrossRef] [PubMed]
- Muir, T.; Bertino, G.; Groselj, A.; Ratnam, L.; Kis, E.; Odili, J.; McCafferty, I.; Wohlgemuth, W.A.; Cemazar, M.; Krt, A.; et al. Bleomycin electrosclerotherapy (BEST) for the treatment of vascular malformations. An International Network for Sharing Practices on Electrochemotherapy (InspECT) study group report. Radiol. Oncol. 2023, 57, 141–149. [Google Scholar] [CrossRef] [PubMed]
- Colletti, G.; Rozell-Shannon, L.; Nocini, R. MEST: Modified electrosclerotherapy to treat AVM (Extracranial Arterio-venous malformations). Better than BEST. J. Craniomaxillofac. Surg. 2025, 53, 391–398. [Google Scholar] [CrossRef] [PubMed]
- Seebauer, C.T.; Wiens, B.; Hintschich, C.A.; da Silva, N.P.B.; Evert, K.; Haubner, F.; Kapp, F.G.; Wendl, C.; Renner, K.; Bohr, C.; et al. Targeting the microenvironment in the treatment of arteriovenous malformations. Angiogenesis 2023, 27, 91–103. [Google Scholar] [CrossRef] [PubMed]



| Characteristics | Cohort (Total, n = 20) |
|---|---|
| Age at first treatment (years), median (range) | 39 (4–78) |
| Women | 13/20 |
| Men | 7/20 |
| Slow-flow vascular malformations of the mucosa | 20/20 |
| VMs | 15/20 |
| LMs | 3/20 |
| VLMs | 2/20 |
| Involved anatomical areas of the head and neck | |
| Laryngeal and hypopharyngeal mucosa | 2/20 |
| Tongue | 8/20 |
| Oral cavity | 4/20 |
| Oral cavity and tongue | 6/20 |
| Previous invasive treatments | 8/20 |
| Debulking surgery | 2/20 |
| Laser therapy | 1/20 |
| Sclerotherapy | 4/20 |
| Combination of surgery with sclerotherapy and sirolimus treatment | 1/20 |
| Cohort (Total, n = 20) | BEST (Total, n = 29) | |
|---|---|---|
| BESTs per patient, mean (±SD) | 1.5 (±0.7) | |
| Total BESTs per patient | ||
| 1 | 13/20 | |
| 2 | 5/20 | |
| 3 | 2/20 | |
| Primarily used electrode | ||
| 15 mm orthogonal finger electrodes | 21/29 | |
| 10 mm longitudinal finger electrodes | 6/29 | |
| Non-divergent Stinger electrodes | 2/29 | |
| Cycles of electroporation, mean (±SD) | 12.7 (±13.7) | |
| Dose (mg) of bleomycin | ||
| Intralesional (n = 28), mean (±SD) | 5.7 (±4.2) | |
| Intravenous (n = 1) | 7 | |
| Duration of procedure (minutes ± SD) | 66.2 (±40.22) | |
| Specialty performing the procedure | ||
| Otorhinolaryngologist | 6/29 | |
| Interventional Radiologist | 14/29 | |
| Combined | 9/29 | |
| Prophylactic anticoagulation | 16/29 | |
| Surveillance in ICU after procedure | 11/29 | |
| Days in ICU, mean (±SD) | 5.4 (±6.4) | |
| Days in hospital, mean (±SD) | 7.0 (±7.1) |
| Location | BEST Cohort | Lesion Reduced | Lesion Significantly Reduced | Stable Disease |
|---|---|---|---|---|
| Laryngeal and hypopharyngeal mucosa | 2/20 | 1/2 | 0/2 | 1/2 |
| Tongue | 8/20 | 3/8 | 5/8 | 0/8 |
| Oral cavity and tongue | 6/20 | 1/6 | 5/6 | 0/6 |
| Oral cavity | 4/20 | 3/4 | 1/4 | 0/4 |
| Total | 20/20 | 8/20 | 11/20 | 1/20 |
| Symptoms Before 1. BEST | Symptomatic Patients (n = 20/20) | Dysphagia | Dyspnea | Speech Impairment | Swelling | Pain | Bleeding | Infections | Cosmetic Concerns |
|---|---|---|---|---|---|---|---|---|---|
| Laryngeal and hypopharyngeal mucosa | 2/20 | 2/2 | 2/2 | none | none | none | none | none | none |
| Tongue | 8/20 | 7/8 | none | 2/8 | 7/8 | 5/8 | 3/8 | none | none |
| Oral cavity and tongue | 6/20 | 4/6 | 1/6 | 2/6 | 5/6 | 5/6 | 2/6 | 2/6 | none |
| Oral cavity | 4/20 | 2/4 | 1/4 | none | 4/4 | 1/4 | 1/4 | none | 2/4 |
| Postinterventional symptoms after 1. BEST | Symptomatic patients (n = 17/20) | Dysphagia | Dyspnea | Speech impairment | Swelling | Pain | Bleeding | Infections | Cosmetic concerns |
| Laryngeal and hypopharyngeal mucosa | 2/2 | 2/2 | 2/2 | 1/2 | 1/2 | none | 1/2 | none | none |
| Tongue | 6/8 | 2/8 | 2/8 | none | 6/8 | 1/8 | 1/8 | none | none |
| Oral cavity and tongue | 6/6 | 2/6 | none | none | 5/6 | none | 1/6 | none | none |
| Oral cavity | 3/4 | none | none | none | 2/4 | 2/4 | 1/4 | 1/4 | none |
| Persistent symptoms after 1. BEST | Symptomatic patients (n = 8/20) | Dysphagia | Dyspnea | Speech impairment | Swelling | Pain | Bleeding | Infections | Cosmetic concerns |
| Laryngeal and hypopharyngeal mucosa | 1/2 | 2/2 | 2/2 | 1/2 | none | none | none | none | none |
| Tongue | 3/8 | none | 1/8 | none | 1/8 | none | 1/8 | none | none |
| Oral cavity and tongue | 2/6 | none | none | none | 2/6 | none | none | none | none |
| Oral cavity | 2/4 | 1/4 | none | none | none | 1/4 | none | none | none |
| Postinterventional symptoms after 2. BEST | Symptomatic patients (n = 6/7) | Dysphagia | Dyspnea | Speech impairment | Swelling | Pain | Bleeding | Infections | Cosmetic concerns |
| Laryngeal and hypopharyngeal mucosa | no second treatment | - | - | - | - | - | - | - | - |
| Tongue | 2/3 | none | none | none | 2/3 | none | none | none | none |
| Oral cavity and tongue | 3/3 | none | none | none | 2/3 | 1/3 | none | none | none |
| Oral cavity | 1/1 | none | none | none | 1/1 | none | none | none | none |
| Persistent symptoms after 2. BEST | Symptomatic patients (n = 1/7) | Dysphagia | Dyspnea | Speech impairment | Swelling | Pain | Bleeding | Infections | Cosmetic concerns |
| Tongue | 0/3 | none | none | none | none | none | none | none | none |
| Oral cavity and tongue | 1/3 | 1/3 | none | none | none | none | none | none | none |
| Oral cavity | 0/1 | none | none | none | none | none | none | none | none |
| Postinterventional symptoms after 3. BEST | Symptomatic patients (n = 1/2) | Dysphagia | Dyspnea | Speech impairment | Swelling | Pain | Bleeding | Infections | Cosmetic concerns |
| Oral cavity and tongue | 1/2 | none | none | none | 1/2 | none | none | none | none |
| Persistent symptoms after 3. BEST | Symptomatic patients (n = 0/2) | none | none | none | none | none | none | none | none |
Disclaimer/Publisher’s Note: The statements, opinions and data contained in all publications are solely those of the individual author(s) and contributor(s) and not of MDPI and/or the editor(s). MDPI and/or the editor(s) disclaim responsibility for any injury to people or property resulting from any ideas, methods, instructions or products referred to in the content. |
© 2025 by the authors. Licensee MDPI, Basel, Switzerland. This article is an open access article distributed under the terms and conditions of the Creative Commons Attribution (CC BY) license (https://creativecommons.org/licenses/by/4.0/).
Share and Cite
Vielsmeier, V.; Schmidt, V.F.; Obereisenbuchner, F.; Platz Batista da Silva, N.; Wohlgemuth, W.A.; Puhr-Westerheide, D.; Seidensticker, M.; Ricke, J.; Kühnel, T.; Bohr, C.; et al. Bleomycin Electrosclerotherapy (BEST) for Slow-Flow Malformations of the Upper Aerodigestive Tract. Biomedicines 2025, 13, 1055. https://doi.org/10.3390/biomedicines13051055
Vielsmeier V, Schmidt VF, Obereisenbuchner F, Platz Batista da Silva N, Wohlgemuth WA, Puhr-Westerheide D, Seidensticker M, Ricke J, Kühnel T, Bohr C, et al. Bleomycin Electrosclerotherapy (BEST) for Slow-Flow Malformations of the Upper Aerodigestive Tract. Biomedicines. 2025; 13(5):1055. https://doi.org/10.3390/biomedicines13051055
Chicago/Turabian StyleVielsmeier, Veronika, Vanessa F. Schmidt, Florian Obereisenbuchner, Natascha Platz Batista da Silva, Walter A. Wohlgemuth, Daniel Puhr-Westerheide, Max Seidensticker, Jens Ricke, Thomas Kühnel, Christopher Bohr, and et al. 2025. "Bleomycin Electrosclerotherapy (BEST) for Slow-Flow Malformations of the Upper Aerodigestive Tract" Biomedicines 13, no. 5: 1055. https://doi.org/10.3390/biomedicines13051055
APA StyleVielsmeier, V., Schmidt, V. F., Obereisenbuchner, F., Platz Batista da Silva, N., Wohlgemuth, W. A., Puhr-Westerheide, D., Seidensticker, M., Ricke, J., Kühnel, T., Bohr, C., Wildgruber, M., & Seebauer, C. T. (2025). Bleomycin Electrosclerotherapy (BEST) for Slow-Flow Malformations of the Upper Aerodigestive Tract. Biomedicines, 13(5), 1055. https://doi.org/10.3390/biomedicines13051055

