Unveiling the Potency of Gardenia Extract Against H. pylori: Insights from In Vitro and In Vivo Studies
Abstract
1. Background
2. Materials and Methods
2.1. Gardenia jasminoides Extract Preparation
2.2. High-Performance Liquid Chromatography (HPLC) Analysis
2.3. In Vitro Tests
2.3.1. Inhibitory Effect on H. pylori Growth
2.3.2. Anti-Inflammatory Test
2.4. The In Vivo Study of Gastric Inflammation Induced by H. pylori
2.4.1. Animals
2.4.2. Gastric Histopathology
2.4.3. Enzyme-Linked Immunosorbent Assay (ELISA)
2.4.4. Immunohistochemistry
2.5. Statistical and Data Analysis
3. Results
3.1. Gardenia Jasminoides Extract Preparation
3.2. In Vitro Activity Tests
3.2.1. The Inhibitory Effect on H. pylori Growth
3.2.2. Anti-Inflammatory Test
3.3. The In Vivo Study of H. pylori-Induced Gastric Inflammation
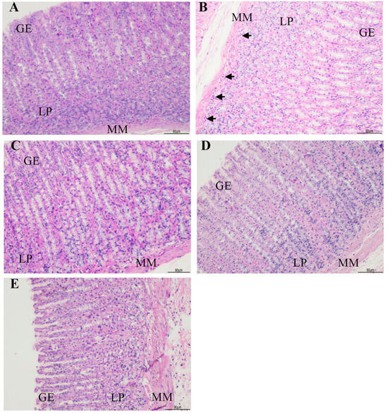
3.3.1. Gastric Histopathology
3.3.2. ELISA
3.3.3. Immunohistochemistry
4. Discussion
5. Conclusions
Supplementary Materials
Author Contributions
Funding
Institutional Review Board Statement
Informed Consent Statement
Data Availability Statement
Acknowledgments
Conflicts of Interest
List of Abbreviations
References
- Pasechnikov, V.; Chukov, S.; Fedorov, E.; Kikuste, I.; Leja, M. Gastric cancer: Prevention, screening and early diagnosis. World J. Gastroenterol. 2014, 20, 13842–13862. [Google Scholar] [CrossRef] [PubMed]
- Hooi, J.K.Y.; Lai, W.Y.; Ng, W.K.; Suen, M.M.Y.; Underwood, F.E.; Tanyingoh, D.; Malfertheiner, P.; Graham, D.Y.; Wong, V.W.S.; Wu, J.C.Y.; et al. Global Prevalence of Helicobacter pylori Infection: Systematic Review and Meta-Analysis. Gastroenterology 2017, 153, 420–429. [Google Scholar] [CrossRef] [PubMed]
- Kao, C.Y.; Sheu, B.S.; Wu, J.J. Helicobacter pylori infection: An overview of bacterial virulence factors and pathogenesis. Biomed. J. 2016, 39, 14–23. [Google Scholar] [CrossRef] [PubMed]
- Zhang, X.Y.; Zhang, P.Y. Aboul-Soud MAM. From inflammation to gastric cancer: Role of Helicobacter pylori. Oncol. Lett. 2017, 13, 543–548. [Google Scholar] [CrossRef] [PubMed]
- Phatak, R.S. Phytochemistry, pharmacological activities and intellectual property landscape of gardenia Jasminoides Ellis: A review. Pharmacogn. J. 2015, 7, 254–265. [Google Scholar] [CrossRef]
- Chen, L.; Li, M.; Yang, Z.; Tao, W.; Wang, P.; Tian, X.; Li, X.; Wang, W. Gardenia jasminoides Ellis: Ethnopharmacology, phytochemistry, and pharmacological and industrial applications of an important traditional Chinese medicine. J. Ethnopharmacol. 2020, 257, 112829. [Google Scholar] [CrossRef] [PubMed]
- Habtemariam, S.; Lentini, G. Plant-derived anticancer agents: Lessons from the pharmacology of geniposide and its aglycone, genipin. Biomedicines. 2018, 6, 39. [Google Scholar] [CrossRef] [PubMed]
- Chang, C.; Wu, J.; Yang, J.; Lai, Y.; Su, C.; Lu, C.; Hsu, Y. The Suppressive Effects of Geniposide and Genipin on Helicobacter pylori Infections In Vitro and In Vivo. J. Food Sci. 2017, 82, 3021–3028. [Google Scholar] [CrossRef] [PubMed]
- Chen, S.; Zhao, X.; Sun, P.; Qian, J.; Shi, Y.; Wang, R. Preventive effect of Gardenia jasminoides on HCl/ethanol induced gastric injury in mice. J. Pharmacol. Sci. 2017, 133, 1–8. [Google Scholar] [CrossRef] [PubMed]
- Sunatwanichkul, S.; Muangsiri, W.; Werawatganone, P. Development of facial mask products containing gardenia fruit extract. Thai J. Pharm. Sci. 2017, 41, 4. [Google Scholar]
- Chen, Y.; Zhang, H.; Li, Y.-X.; Cai, L.; Huang, J.; Zhao, C.; Jia, L.; Buchanan, R.; Yang, T.; Jiang, L.-J. Crocin and geniposide profiles and radical scavenging activity of gardenia fruits (Gardenia jasminoides Ellis) from different cultivars and at the various stages of maturation. Fitoterapia 2010, 81, 269–273. [Google Scholar] [CrossRef]
- Ezike, A.C.; Onyeto, C.A.; Nwabunike, I.A.; Mbaoji, F.N.; Attah, B.E.; Amanambu, S.O.; Okoli, C.O. Anti-inflammatory activity of Buchholzia coriacea Engl. (Capparaceae) leaf extract: Evaluation of components of the inflammatory response involved. J. Complement. Integr. Med. 2015, 12, 153–158. [Google Scholar] [CrossRef]
- Gadamsetty, G.; Maru, S.; Sarada, N.C. Antioxidant and anti-inflammatory activities of the methanolic leaf extract of traditionally used medicinal plant Mimusops elengi L. J. Pharm. Sci. Res. 2013, 5, 125–130. [Google Scholar]
- Werawatganon, D. Simple animal model of Helicobacter pylori infection. World J. Gastroenterol. 2014, 20, 6420–6424. [Google Scholar] [CrossRef] [PubMed]
- Dixon, M.F.; Genta, R.M.; Yardley, J.H.; Correa, P. Classification and grading of Gastritis: The updated Sydney system. Am. J. Surg. Pathol. 1996, 20, 1161–1181. [Google Scholar] [CrossRef]
- Kalra, J.; Dragowska, W.H.; Bally, M.B. Using Pharmacokinetic Profiles and Digital Quantification of Stained Tissue Microarrays as a Medium-Throughput, Quantitative Method for Measuring the Kinetics of Early Signaling Changes Following Integrin-Linked Kinase Inhibition in an In Vivo Model of Cancer. J. Histochem. Cytochem. 2015, 63, 691–709. [Google Scholar] [PubMed]
- Wang, X.S.; Wu, Y.F.; Dai, S.L.; Chen, R.; Shao, Y. Ultrasound-assisted extraction of geniposide from Gardenia jasminoides. Ultrason. Sonochem. 2012, 19, 1155–1159. [Google Scholar] [CrossRef] [PubMed]
- Lee, J.H.; Lee, D.U.; Jeong, C.S. Gardenia jasminoides Ellis ethanol extract and its constituents reduce the risks of gastritis and reverse gastric lesions in rats. Food Chem. Toxicol. 2009, 47, 1127–1131. [Google Scholar] [CrossRef] [PubMed]
- Zhu, S.-Y.; Yao, R.-Q.; Li, Y.-X.; Zhao, P.; Ren, C.; Du, X.-H.; Yao, Y.-M. Lysosomal quality control of cell fate: A novel therapeutic target for human diseases. Cell Death Dis. 2020, 11, 817. [Google Scholar] [CrossRef]
- Arachchi, P.S.; Fernando, N.; Weerasekera, M.M.; Senevirathna, B.; Weerasekera, D.D.; Gunasekara, C.P. Proinflammatory Cytokine IL-17 Shows a Significant Association with Helicobacter pylori Infection and Disease Severity. Gastroenterol. Res. Pract. 2017, 2017, 6265150. [Google Scholar] [CrossRef]
- Li, X.; Bechara, R.; Zhao, J.; McGeachy, M.J.; Gaffen, S.L. IL-17 receptor–based signaling and implications for disease. Nat. Immunol. 2019, 20, 1594–1602. [Google Scholar] [CrossRef] [PubMed]
- Qian, Y.; Kang, Z.; Liu, C.; Li, X. IL-17 signaling in host defense and inflammatory diseases. Cell Mol. Immunol. 2010, 7, 328–333. [Google Scholar] [CrossRef]
- Bagheri, N.; Razavi, A.; Pourgheysari, B.; Azadegan-Dehkordi, F.; Rahimian, G.; Pirayesh, A.; Shafigh, M.; Rafieian-Kopaei, M.; Fereidani, R.; Tahmasbi, K.; et al. Up-regulated Th17 cell function is associated with increased peptic ulcer disease in Helicobacter pylori-infection. Infect. Genet. Evol. 2018, 60, 117–125. [Google Scholar] [CrossRef]
- Tanaka, S.; Nagashima, H.; Cruz, M.; Uchida, T.; Uotani, T.; Abreu, J.A.J.; Mahachai, V.; Vilaichone, R.-K.; Ratanachu-Ek, T.; Tshering, L.; et al. Interleukin-17C in human Helicobacter pylori gastritis. Infect. Immun. 2017, 85, e00389-17. [Google Scholar] [CrossRef] [PubMed]
- Shi, Y.; Liu, X.F.; Zhuang, Y.; Zhang, J.Y.; Liu, T.; Yin, Z.; Wu, C.; Mao, X.-H.; Jia, K.-R.; Wang, F.-J.; et al. Helicobacter pylori-Induced Th17 Responses Modulate Th1 Cell Responses, Benefit Bacterial Growth, and Contribute to Pathology in Mice. J. Immunol. 2010, 184, 5121–5129. [Google Scholar] [CrossRef] [PubMed]
- Lv, Y.-P.; Teng, Y.-S.; Mao, F.-Y.; Peng, L.-S.; Zhang, J.-Y.; Cheng, P.; Liu, Y.-G.; Kong, H.; Wang, T.-T.; Wu, X.-L.; et al. Helicobacter pylori-induced IL-33 modulates mast cell responses, benefits bacterial growth, and contributes to gastritis. Cell Death Dis. 2018, 9, 457. [Google Scholar] [CrossRef] [PubMed]
- Buzzelli, J.N.; Chalinor, H.V.; Pavlic, D.I.; Sutton, P.; Menheniott, T.R.; Giraud, A.S.; Judd, L.M. IL33 Is a Stomach Alarmin That Initiates a Skewed Th2 Response to Injury and Infection. Cell. Mol. Gastroenterol. Hepatol. 2015, 1, 203–221.e3. [Google Scholar] [CrossRef] [PubMed]
- Tran, L.S.; Tran, D.; De Paoli, A.; D’Costa, K.; Creed, S.J.; Ng, G.Z.; Le, L.; Sutton, P.; Silke, J.; Nachbur, U.; et al. NOD1 is required for Helicobacter pylori induction of IL-33 responses in gastric epithelial cells. Cell. Microbiol. 2018, 20, e12826. [Google Scholar] [CrossRef]
- Gonciarz, W.; Krupa, A.; Chmiela, M. Proregenerative activity of IL-33 in gastric tissue cells undergoing Helicobacter pylori-induced apoptosis. Int. J. Mol. Sci. 2020, 21, 1801. [Google Scholar] [CrossRef]
- Takeuchi, K.; Amagase, K. Roles of cyclooxygenase, prostaglandin E2 and EP receptors in mucosal protection and ulcer healing in the gastrointestinal tract. Curr. Pharm. Des. 2018, 24, 2002–2011. [Google Scholar] [CrossRef] [PubMed]
- Takeuchi, K. Gastric cytoprotection by prostaglandin E2 and prostacyclin: Relationship to ep1 and ip receptors. J. Physiol. Pharmacol. 2014, 65, 3–14. [Google Scholar] [PubMed]
- Park, S.M.; Yoo, B.C.; Lee, H.R.; Chung, H.; Lee, Y.S. Distribution of prostaglandin E2 in gastric and duodenal mucosa: Possible role in the pathogenesis of peptic ulcer. Korean J. Intern. Med. 1992, 7, 1. [Google Scholar] [CrossRef]
- Chen, Z.; Wu, J.; Xu, D.; Huang, M.; Sun, S.; Zhang, H.; Huang, X.; Wang, P. Epidermal growth factor and prostaglandin E2 levels in Helicobacter pylori-positive gastric intraepithelial neoplasia. J. Int. Med. Res. 2016, 44, 241–247. [Google Scholar] [CrossRef] [PubMed]
- Shen, H.; Sun, W.H.; Xue, Q.P.; Wu, J.; Cheng, Y.L.; Ding, G.X.; Fu, H.-Y.; Tsuji, S.; Kawano, S. Influences of Helicobacter pylori on cyclooxygenase-2 expression and prostaglandin E2 synthesis in rat gastric epithelial cells in vitro. J. Gastroenterol. Hepatol. 2006, 21, 754–758. [Google Scholar] [CrossRef] [PubMed]
- Subhash, V.V.; Ho, B. Inflammation and proliferation—A causal event of host response to Helicobacter pylori infection. Microbiology 2015, 161, 1150–1160. [Google Scholar] [CrossRef] [PubMed]
- Jurkowska, G.; Piotrowska-Staworko, G.; Guzińska-Ustymowicz, K.; Kemona, A.; Świdnicka-Siergiejko, A.; Łaszewicz, W.; Dąbrowski, A. The impact of Helicobacter pylori on EGF, EGF receptor, and the c-erb-B2 expression. Adv. Med. Sci. 2014, 59, 221–226. [Google Scholar] [CrossRef] [PubMed]
- Gunawardhana, N.; Jang, S.; Choi, Y.H.; Hong, Y.A.; Jeon, Y.-E.; Kim, A.; Su, H.; Kim, J.-H.; Yoo, Y.-J.; Merrell, D.S.; et al. Helicobacter pylori-induced HB-EGF upregulates gastrin expression via the EGF receptor, C-Raf, Mek1, and Erk2 in the MAPK pathway. Front. Cell. Infect. Microbiol. 2018, 7, 541. [Google Scholar] [CrossRef] [PubMed]
- Konturek, P.C.; Bobrzynski, A.; Konturek, S.J.; Bielanski, W.; Faller, G.; Kirchner, T.; Hahn, E.G. Epidermal growth factor and transforming growth factor alpha in duodenal ulcer and non-ulcer dyspepsia patients before and after Helicobacter pylori eradication. Scand. J. Gastroenterol. 1998, 33, 143–151. [Google Scholar]
- Wong, B.C.Y.; Wang, W.P.; So, W.H.L.; Shin, V.Y.; Wong, W.M.; Fung, F.M.Y.; Liu, E.S.L.; Hiu, W.M.; Lam, S.K.; Cho, C.H. Epidermal growth factor and its receptor in chronic active gastritis and gastroduodenal ulcer before and after Helicobacter pylori eradication. Aliment. Pharmacol. Ther. 2001, 15, 1459–1465. [Google Scholar] [CrossRef]







| Disk | Diameters of Inhibition Zone (mm) * |
|---|---|
| Amoxicillin 0.01 mg (positive control) | >59.64 ± 0.79 |
| 0.5%methylcellulose (negative control) | no inhibition zone |
| Extract 0.99 mg | no inhibition zone |
| Extract 1.97 mg | 7.22 ± 0.11 |
| Extract 2.96 mg | 8.69 ± 0.04 |
| Extract 3.94 mg | 9.40 ± 0.10 |
| Extract 7.88 mg | 11.07 ± 0.03 |
| Extract 11.82 mg | 11.18 ± 0.02 |
| Group | n | Gastric Inflammation * | H. pylori Colonization # | ||||||
|---|---|---|---|---|---|---|---|---|---|
| 0 | 1 | 2 | 3 | 0 | 1 | 2 | 3 | ||
| Control | 7 | 7 | 0 | 0 | 0 | 7 | 0 | 0 | 0 |
| Hp | 7 | 0 | 3 | 4 | 0 | 0 | 5 | 2 | 0 |
| Hp + gen8 | 7 | 6 | 1 | 0 | 0 | 7 | 0 | 0 | 0 |
| Hp + gen16 | 7 | 4 | 3 | 0 | 0 | 7 | 0 | 0 | 0 |
| Hp + gen32 | 7 | 7 | 0 | 0 | 0 | 7 | 0 | 0 | 0 |
Disclaimer/Publisher’s Note: The statements, opinions and data contained in all publications are solely those of the individual author(s) and contributor(s) and not of MDPI and/or the editor(s). MDPI and/or the editor(s) disclaim responsibility for any injury to people or property resulting from any ideas, methods, instructions or products referred to in the content. |
© 2025 by the authors. Licensee MDPI, Basel, Switzerland. This article is an open access article distributed under the terms and conditions of the Creative Commons Attribution (CC BY) license (https://creativecommons.org/licenses/by/4.0/).
Share and Cite
Werawatganone, P.; Werawatganon, D.; Noonak, N.; Chayanupatkul, M.; Chatsuwan, T.; Klaikeaw, N.; Muangsiri, W.; Siriviriyakul, P. Unveiling the Potency of Gardenia Extract Against H. pylori: Insights from In Vitro and In Vivo Studies. Biomedicines 2025, 13, 92. https://doi.org/10.3390/biomedicines13010092
Werawatganone P, Werawatganon D, Noonak N, Chayanupatkul M, Chatsuwan T, Klaikeaw N, Muangsiri W, Siriviriyakul P. Unveiling the Potency of Gardenia Extract Against H. pylori: Insights from In Vitro and In Vivo Studies. Biomedicines. 2025; 13(1):92. https://doi.org/10.3390/biomedicines13010092
Chicago/Turabian StyleWerawatganone, Pornpen, Duangporn Werawatganon, Nattida Noonak, Maneerat Chayanupatkul, Tanittha Chatsuwan, Naruemon Klaikeaw, Walaisiri Muangsiri, and Prasong Siriviriyakul. 2025. "Unveiling the Potency of Gardenia Extract Against H. pylori: Insights from In Vitro and In Vivo Studies" Biomedicines 13, no. 1: 92. https://doi.org/10.3390/biomedicines13010092
APA StyleWerawatganone, P., Werawatganon, D., Noonak, N., Chayanupatkul, M., Chatsuwan, T., Klaikeaw, N., Muangsiri, W., & Siriviriyakul, P. (2025). Unveiling the Potency of Gardenia Extract Against H. pylori: Insights from In Vitro and In Vivo Studies. Biomedicines, 13(1), 92. https://doi.org/10.3390/biomedicines13010092

