MicroRNAs Expression Profile in MN1-Altered Astroblastoma
Abstract
1. Introduction
2. Materials and Methods
2.1. Patients and Samples
2.2. Histology and Immunohistochemistry
2.3. DNA Methylation Profiling
2.4. MiRNAs Promoter Methylation Status Analysis
2.5. Copy Number Variation Analysis
2.6. MiRNAs Profiling
2.7. MiRNAs Data Analysis
2.8. Gene Ontology and Pathway Enrichment Analysis
2.9. Real-Time Quantitative Polymerase Chain Reaction (RT-qPCR)
2.10. Statistical Analysis of Clinical and Pathological Parameters and MiRNA Expression
3. Results
3.1. Patient Cohort Characteristics
3.2. DNA Methylation Profiling Results
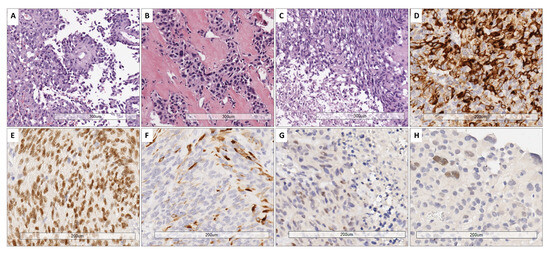
3.3. Pathological and Immunophenotypical Findings
3.4. Follow-Up Data
3.5. Identification of Differentially Expressed miRNAs
3.6. Relation Between miRNA Expression and Clinico-Pathological Features
3.7. Epigenetic Regulation of Deregulated miRNAs by Promoter Methylation Status
3.8. Copy Number Variation (CNV)
3.9. Functional Enrichment Analysis and Pathways Analysis
4. Discussion
Supplementary Materials
Author Contributions
Funding
Institutional Review Board Statement
Informed Consent Statement
Data Availability Statement
Acknowledgments
Conflicts of Interest
References
- Navarro, R.; Reitman, A.J.; de León, G.A.; Goldman, S.; Marymont, M.; Tomita, T. Astroblastoma in childhood: Pathological and clinical analysis. Child’s Nerv. Syst. 2005, 21, 211–220. [Google Scholar] [CrossRef]
- Chen, W.; Soon, Y.Y.; Pratiseyo, P.D.; Sutanto, R.; Hendriansyah, L.; Kuick, C.H.; Chang, K.T.E.; Tan, C.L. Central nervous system neuroepithelial tumors with MN1-alteration: An individual patient data meta-analysis of 73 cases. Brain Tumor Pathol. 2020, 37, 145–153. [Google Scholar] [CrossRef] [PubMed]
- Hirose, T.; Nobusawa, S.; Sugiyama, K.; Amatya, V.J.; Fujimoto, N.; Sasaki, A.; Mikami, Y.; Kakita, A.; Tanaka, S.; Yokoo, H. Astroblastoma: A distinct tumor entity characterized by alterations of the X chromosome and MN1 rearrangement. Brain Pathol. 2018, 28, 684–694. [Google Scholar] [CrossRef]
- Mhatre, R.; Sugur, H.S.; Nandeesh, B.N.; Chickabasaviah, Y.; Saini, J.; Santosh, V. MN1 rearrangement in astroblastoma: Study of eight cases and review of literature. Brain Tumor Pathol. 2019, 36, 112–120. [Google Scholar] [CrossRef]
- Yamasaki, K.; Nakano, Y.; Nobusawa, S.; Okuhiro, Y.; Fukushima, H.; Inoue, T.; Murakami, C.; Hirato, J.; Kunihiro, N.; Matsusaka, Y.; et al. Spinal cord astroblastoma with an EWSR1-BEND2 fusion classified as a high-grade neuroepithelial tumour with MN1 alteration. Neuropathol. Appl. Neurobiol. 2020, 46, 190–193. [Google Scholar] [CrossRef] [PubMed]
- Shin, S.A.; Ahn, B.; Kim, S.K.; Kang, H.J.; Nobusawa, S.; Komori, T.; Park, S.H. Brainstem astroblastoma with MN1 translocation. Neuropathology 2018, 38, 631–637. [Google Scholar] [CrossRef] [PubMed]
- Sturm, D.; Orr, B.A.; Toprak, U.H.; Hovestadt, V.; Jones, D.T.W.; Capper, D.; Sill, M.; Buchhalter, I.; Northcott, P.A.; Leis, I.; et al. New Brain Tumor Entities Emerge from Molecular Classification of CNS-PNETs. Cell 2016, 164, 1060–1072. [Google Scholar] [CrossRef]
- Burford, A.; Mackay, A.; Popov, S.; Vinci, M.; Carvalho, D.; Clarke, M.; Izquierdo, E.; Avery, A.; Jacques, T.S.; Ingram, W.J.; et al. The ten-year evolutionary trajectory of a highly recurrent paediatric high grade neuroepithelial tumour with MN1:BEND2 fusion. Sci. Rep. 2018, 8, 1032. [Google Scholar] [CrossRef] [PubMed]
- Brat, D.J.; Hirose, Y.; Cohen, K.J.; Feuerstein, B.G.; Burger, P.C. Astroblastoma: Clinicopathologic features and chromosomal abnormalities defined by comparative genomic hybridization. Brain Pathol. 2000, 10, 342–352. [Google Scholar] [CrossRef] [PubMed]
- Wood, M.D.; Tihan, T.; Perry, A.; Chacko, G.; Turner, C.; Pu, C.; Payne, C.; Yu, A.; Bannykh, S.I.; Solomon, D.A. Multimodal molecular analysis of astroblastoma enables reclassification of most cases into more specific molecular entities. Brain Pathol. 2018, 28, 192–202. [Google Scholar] [CrossRef]
- Lehman, N.L.; Usubalieva, A.; Lin, T.; Allen, S.J.; Tran, Q.T.; Mobley, B.C.; McLendon, R.E.; Schniederjan, M.J.; Georgescu, M.M.; Couce, M.; et al. Genomic analysis demonstrates that histologically-defined astroblastomas are molecularly heterogeneous and that tumors with MN1 rearrangement exhibit the most favorable prognosis. Acta Neuropathol. Commun. 2019, 7, 42. [Google Scholar] [CrossRef] [PubMed]
- Tauziède-Espariat, A.; Pagès, M.; Roux, A.; Siegfried, A.; Uro-Coste, E.; Nicaise, Y.; Sevely, A.; Gambart, M.; Boetto, S.; Dupuy, M.; et al. Pediatric methylation class HGNET-MN1: Unresolved issues with terminology and grading. Acta Neuropathol. Commun. 2019, 7, 176. [Google Scholar] [CrossRef]
- Bonnin, J.M.; Rubinstein, L.J. Astroblastomas: A pathological study of 23 tumors, with a postoperative follow-up in 13 patients. Neurosurgery 1989, 25, 6–13. [Google Scholar] [CrossRef] [PubMed]
- Bartel, D.P. Metazoan MicroRNAs. Cell 2018, 173, 20–51. [Google Scholar] [CrossRef]
- Peng, Y.; Croce, C.M. The role of MicroRNAs in human cancer. Signal Transduct. Target. Ther. 2016, 1, 15004. [Google Scholar] [CrossRef] [PubMed]
- Iorio, M.V.; Croce, C.M. microRNA involvement in human cancer. Carcinogenesis 2012, 33, 1126–1133. [Google Scholar] [CrossRef]
- Trang, P.; Weidhaas, J.B.; Slack, F.J. MicroRNAs as potential cancer therapeutics. Oncogene 2008, 27 (Suppl. S2), S52–S57. [Google Scholar] [CrossRef] [PubMed]
- Krützfeldt, J.; Rajewsky, N.; Braich, R.; Rajeev, K.G.; Tuschl, T.; Manoharan, M.; Stoffel, M. Silencing of microRNAs in vivo with ‘antagomirs’. Nature 2005, 438, 685–689. [Google Scholar] [CrossRef] [PubMed]
- Lu, J.; Getz, G.; Miska, E.A.; Alvarez-Saavedra, E.; Lamb, J.; Peck, D.; Sweet-Cordero, A.; Ebert, B.L.; Mak, R.H.; Ferrando, A.A.; et al. MicroRNA expression profiles classify human cancers. Nature 2005, 435, 834–838. [Google Scholar] [CrossRef] [PubMed]
- Volinia, S.; Calin, G.A.; Liu, C.G.; Ambs, S.; Cimmino, A.; Petrocca, F.; Visone, R.; Iorio, M.; Roldo, C.; Ferracin, M.; et al. A microRNA expression signature of human solid tumors defines cancer gene targets. Proc. Natl. Acad. Sci. USA 2006, 103, 2257–2261. [Google Scholar] [CrossRef]
- Calin, G.A.; Ferracin, M.; Cimmino, A.; Di Leva, G.; Shimizu, M.; Wojcik, S.E.; Iorio, M.V.; Visone, R.; Sever, N.I.; Fabbri, M.; et al. A MicroRNA signature associated with prognosis and progression in chronic lymphocytic leukemia. N. Engl. J. Med. 2005, 353, 1793–1801. [Google Scholar] [CrossRef]
- Salerno, D.; Rosa, A. Identification of Molecular Signatures in Neural Differentiation and Neurological Diseases Using Digital Color-Coded Molecular Barcoding. Stem Cells Int. 2020, 2020, 8852313. [Google Scholar] [CrossRef] [PubMed]
- Lee, Y.S.; Dutta, A. MicroRNAs in cancer. Annu. Rev. Pathol. 2009, 4, 199–227. [Google Scholar] [CrossRef]
- Calin, G.A.; Sevignani, C.; Dumitru, C.D.; Hyslop, T.; Noch, E.; Yendamuri, S.; Shimizu, M.; Rattan, S.; Bullrich, F.; Negrini, M.; et al. Human microRNA genes are frequently located at fragile sites and genomic regions involved in cancers. Proc. Natl. Acad. Sci. USA 2004, 101, 2999–3004. [Google Scholar] [CrossRef]
- Diederichs, S.; Haber, D.A. Sequence variations of microRNAs in human cancer: Alterations in predicted secondary structure do not affect processing. Cancer Res. 2006, 66, 6097–6104. [Google Scholar] [CrossRef] [PubMed]
- Wu, M.; Jolicoeur, N.; Li, Z.; Zhang, L.; Fortin, Y.; L’Abbe, D.; Yu, Z.; Shen, S.H. Genetic variations of microRNAs in human cancer and their effects on the expression of miRNAs. Carcinogenesis 2008, 29, 1710–1716. [Google Scholar] [CrossRef] [PubMed]
- Kim, D.H.; Saetrom, P.; Snøve, O., Jr.; Rossi, J.J. MicroRNA-directed transcriptional gene silencing in mammalian cells. Proc. Natl. Acad. Sci. USA 2008, 105, 16230–16235. [Google Scholar] [CrossRef] [PubMed]
- Rodriguez, A.; Griffiths-Jones, S.; Ashurst, J.L.; Bradley, A. Identification of mammalian microRNA host genes and transcription units. Genome Res. 2004, 14, 1902–1910. [Google Scholar] [CrossRef]
- Tuna, M.; Machado, A.S.; Calin, G.A. Genetic and epigenetic alterations of microRNAs and implications for human cancers and other diseases. Genes. Chromosomes Cancer 2016, 55, 193–214. [Google Scholar] [CrossRef]
- Wang, S.; Wu, W.; Claret, F.X. Mutual regulation of microRNAs and DNA methylation in human cancers. Epigenetics 2017, 12, 187–197. [Google Scholar] [CrossRef]
- Deng, S.; Calin, G.A.; Croce, C.M.; Coukos, G.; Zhang, L. Mechanisms of microRNA deregulation in human cancer. Cell Cycle 2008, 7, 2643–2646. [Google Scholar] [CrossRef] [PubMed]
- O’Donnell, K.A.; Wentzel, E.A.; Zeller, K.I.; Dang, C.V.; Mendell, J.T. c-Myc-regulated microRNAs modulate E2F1 expression. Nature 2005, 435, 839–843. [Google Scholar] [CrossRef] [PubMed]
- Chang, T.C.; Yu, D.; Lee, Y.S.; Wentzel, E.A.; Arking, D.E.; West, K.M.; Dang, C.V.; Thomas-Tikhonenko, A.; Mendell, J.T. Widespread microRNA repression by Myc contributes to tumorigenesis. Nat. Genet. 2008, 40, 43–50. [Google Scholar] [CrossRef] [PubMed]
- He, L.; He, X.; Lowe, S.W.; Hannon, G.J. microRNAs join the p53 network--another piece in the tumour-suppression puzzle. Nat. Rev. Cancer 2007, 7, 819–822. [Google Scholar] [CrossRef]
- Adams, B.D.; Kasinski, A.L.; Slack, F.J. Aberrant regulation and function of microRNAs in cancer. Curr. Biol. 2014, 24, R762–R776. [Google Scholar] [CrossRef]
- Chan, J.A.; Krichevsky, A.M.; Kosik, K.S. MicroRNA-21 is an antiapoptotic factor in human glioblastoma cells. Cancer Res. 2005, 65, 6029–6033. [Google Scholar] [CrossRef]
- Iannó, M.F.; Biassoni, V.; Schiavello, E.; Carenzo, A.; Boschetti, L.; Gandola, L.; Diletto, B.; Marchesi, E.; Vegetti, C.; Molla, A.; et al. A microRNA Prognostic Signature in Patients with Diffuse Intrinsic Pontine Gliomas through Non-Invasive Liquid Biopsy. Cancers 2022, 14, 4307. [Google Scholar] [CrossRef]
- Catanzaro, G.; Besharat, Z.M.; Miele, E.; Chiacchiarini, M.; Po, A.; Carai, A.; Marras, C.E.; Antonelli, M.; Badiali, M.; Raso, A.; et al. The miR-139-5p regulates proliferation of supratentorial paediatric low-grade gliomas by targeting the PI3K/AKT/mTORC1 signalling. Neuropathol. Appl. Neurobiol. 2018, 44, 687–706. [Google Scholar] [CrossRef]
- Catanzaro, G.; Besharat, Z.M.; Carai, A.; Jäger, N.; Splendiani, E.; Colin, C.; Po, A.; Chiacchiarini, M.; Citarella, A.; Gianno, F.; et al. MiR-1248: A new prognostic biomarker able to identify supratentorial hemispheric pediatric low-grade gliomas patients associated with progression. Biomark. Res. 2022, 10, 44. [Google Scholar] [CrossRef] [PubMed]
- Morris, T.J.; Butcher, L.M.; Feber, A.; Teschendorff, A.E.; Chakravarthy, A.R.; Wojdacz, T.K.; Beck, S. ChAMP: 450k Chip Analysis Methylation Pipeline. Bioinformatics 2014, 30, 428–430. [Google Scholar] [CrossRef] [PubMed]
- Capper, D.; Jones, D.T.W.; Sill, M.; Hovestadt, V.; Schrimpf, D.; Sturm, D.; Koelsche, C.; Sahm, F.; Chavez, L.; Reuss, D.E.; et al. DNA methylation-based classification of central nervous system tumours. Nature 2018, 555, 469–474. [Google Scholar] [CrossRef]
- Marioni, J.C.; Thorne, N.P.; Valsesia, A.; Fitzgerald, T.; Redon, R.; Fiegler, H.; Andrews, T.D.; Stranger, B.E.; Lynch, A.G.; Dermitzakis, E.T.; et al. Breaking the waves: Improved detection of copy number variation from microarray-based comparative genomic hybridization. Genome Biol. 2007, 8, R228. [Google Scholar] [CrossRef] [PubMed]
- Vlachos, I.S.; Zagganas, K.; Paraskevopoulou, M.D.; Georgakilas, G.; Karagkouni, D.; Vergoulis, T.; Dalamagas, T.; Hatzigeorgiou, A.G. DIANA-miRPath v3.0: Deciphering microRNA function with experimental support. Nucleic Acids Res. 2015, 43, W460–W466. [Google Scholar] [CrossRef]
- Lehman, N.L.; Hattab, E.M.; Mobley, B.C.; Usubalieva, A.; Schniederjan, M.J.; McLendon, R.E.; Paulus, W.; Rushing, E.J.; Georgescu, M.M.; Couce, M.; et al. Morphological and molecular features of astroblastoma, including BRAFV600E mutations, suggest an ontological relationship to other cortical-based gliomas of children and young adults. Neuro Oncol. 2017, 19, 31–42. [Google Scholar] [CrossRef] [PubMed]
- Thiessen, B.; Finlay, J.; Kulkarni, R.; Rosenblum, M.K. Astroblastoma: Does histology predict biologic behavior? J. Neurooncol. 1998, 40, 59–65. [Google Scholar] [CrossRef] [PubMed]
- Lau, P.P.; Thomas, T.M.; Lui, P.C.; Khin, A.T. ’Low-grade’ astroblastoma with rapid recurrence: A case report. Pathology 2006, 38, 78–80. [Google Scholar] [CrossRef]
- WHO Classification of Tumours Editorial Board. Central nervous system tumours. In WHO Classification of Tumours Series, 5th ed.; International Agency for Research on Cancer: Lyon, France, 2021; Volume 6. [Google Scholar]
- Bartel, D.P. MicroRNAs: Genomics, biogenesis, mechanism, and function. Cell 2004, 116, 281–297. [Google Scholar] [CrossRef]
- Lee, S.T.; Chu, K.; Oh, H.J.; Im, W.S.; Lim, J.Y.; Kim, S.K.; Park, C.K.; Jung, K.H.; Lee, S.K.; Kim, M.; et al. Let-7 microRNA inhibits the proliferation of human glioblastoma cells. J. Neurooncol. 2011, 102, 19–24. [Google Scholar] [CrossRef]
- Hua, X.; Chen, L.; Wang, J.; Li, J.; Wingender, E. Identifying cell-specific microRNA transcriptional start sites. Bioinformatics 2016, 32, 2403–2410. [Google Scholar] [CrossRef] [PubMed]
- Kumar, M.S.; Lu, J.; Mercer, K.L.; Golub, T.R.; Jacks, T. Impaired microRNA processing enhances cellular transformation and tumorigenesis. Nat. Genet. 2007, 39, 673–677. [Google Scholar] [CrossRef] [PubMed]
- Karube, Y.; Tanaka, H.; Osada, H.; Tomida, S.; Tatematsu, Y.; Yanagisawa, K.; Yatabe, Y.; Takamizawa, J.; Miyoshi, S.; Mitsudomi, T.; et al. Reduced expression of Dicer associated with poor prognosis in lung cancer patients. Cancer Sci. 2005, 96, 111–115. [Google Scholar] [CrossRef]
- Blenkiron, C.; Goldstein, L.D.; Thorne, N.P.; Spiteri, I.; Chin, S.F.; Dunning, M.J.; Barbosa-Morais, N.L.; Teschendorff, A.E.; Green, A.R.; Ellis, I.O.; et al. MicroRNA expression profiling of human breast cancer identifies new markers of tumor subtype. Genome Biol. 2007, 8, R214. [Google Scholar] [CrossRef]
- Macfarlane, L.A.; Murphy, P.R. MicroRNA: Biogenesis, Function and Role in Cancer. Curr. Genom. 2010, 11, 537–561. [Google Scholar] [CrossRef]
- Tu, X.; Zheng, X.; Li, H.; Cao, Z.; Chang, H.; Luan, S.; Zhu, J.; Chen, J.; Zang, Y.; Zhang, J. MicroRNA-30 Protects Against Carbon Tetrachloride-induced Liver Fibrosis by Attenuating Transforming Growth Factor Beta Signaling in Hepatic Stellate Cells. Toxicol. Sci. 2015, 146, 157–169. [Google Scholar] [CrossRef] [PubMed]
- Vettori, S.; Gay, S.; Distler, O. Role of MicroRNAs in Fibrosis. Open Rheumatol. J. 2012, 6, 130–139. [Google Scholar] [CrossRef]
- Pérez-Cremades, D.; Mompeón, A.; Vidal-Gómez, X.; Hermenegildo, C.; Novella, S. miRNA as a New Regulatory Mechanism of Estrogen Vascular Action. Int. J. Mol. Sci. 2018, 19, 473. [Google Scholar] [CrossRef]
- Howard, E.W.; Yang, X. microRNA Regulation in Estrogen Receptor-Positive Breast Cancer and Endocrine Therapy. Biol. Proced. Online 2018, 20, 17. [Google Scholar] [CrossRef] [PubMed]
- Xu, G.; Cai, J.; Wang, L.; Jiang, L.; Huang, J.; Hu, R.; Ding, F. MicroRNA-30e-5p suppresses non-small cell lung cancer tumorigenesis by regulating USP22-mediated Sirt1/JAK/STAT3 signaling. Exp. Cell Res. 2018, 362, 268–278. [Google Scholar] [CrossRef] [PubMed]







| Samples | Sex | Age at Diagnosis (Years) | Localization | Histology | Methylation Profile | Calibrated Score (v11b4) |
|---|---|---|---|---|---|---|
| 1 | F | 17 | Left parietal lobe | AB | CNS HGNET-MN1 | 0.98 |
| 2 | F | 17 | Left parietal lobe | AB | CNS HGNET-MN1 | 0.99 |
| 3 | F | 19 | Right frontal lobe | AB | CNS HGNET-MN1 | 0.99 |
| 4 | F | 5 | Right parietal lobe | HG AB | CNS HGNET-MN1 | 0.99 |
| 5 | F | 6 | Right temporal lobe | HG AB | CNS HGNET-MN1 | 0.99 |
| 6 | F | 10 | Left temporal lobe | HG AB | CNS HGNET-MN1 | 0.99 |
| 7 | F | 11 | Right parietal lobe | HG AB | CNS HGNET-MN1 | 0.99 |
| 8 | F | 47 | Right parietal lobe | HG AB | CNS HGNET-MN1 | 0.99 |
| 9 | M | 16 | Left frontal lobe | AB | RELA fusion-positive EPN | 0.99 |
| 10 | M | 57 | Right temporal lobe | AB | GBM MES | 0.99 |
| 11 | M | 16 | Right thalamus | HG AB | K27M DMG | 0.99 |
| 12 | F | 31 | Right temporal lobe | HG AB | PXA | 0.99 |
| 13 | F | 40 | Left frontal lobe | HG AB | CNS HGNET-BCOR | 0.99 |
| 14 | M | 60 | Right insular lobe | HG AB | GBM RTK II | 0.99 |
| Upregulated (n = 22) | Downregulated (n = 17) |
|---|---|
| miR-10b-5p | miR-124-3p |
| miR-1253 | miR-1249-3p |
| miR-127-5p | miR-128-3p |
| miR-146b-5p | miR-129-2-3p |
| miR-193a-3p | miR-129-5p |
| miR-199b-5p | miR-137 |
| miR-210-3p | miR-139-3p |
| miR-23a-3p | miR-149-5p |
| miR-30e-3p | miR-181a-3p |
| miR-3144-3p | miR-181b-5p |
| miR-320e | miR-219a-2-3p |
| miR-34a-5p | miR-219a-5p |
| miR-431-5p | miR-221-3p |
| miR-4488 | miR-330-3p |
| miR-4516 | miR-488-3p |
| miR-455-5p | miR-582-5p |
| miR-483-3p | miR-7-5p |
| miR-483-5p | |
| miR-494-3p | |
| miR-548q | |
| miR-574-5p | |
| miR-574-3p |
| miRNAs Expression | ||||
|---|---|---|---|---|
| Clinical Parameters | Up-Regulated | Down-Regulated | ||
| Median of miRNAs Counts Expression; p-Value | ||||
| Histology (n = 8) | ||||
| Low-grade (n = 3) | 6113 | p = 0.3020 | 1700 | p = 0.0079 |
| High-grade (n = 5) | 4962 | 2011 | ||
| Recurrence (n = 8) | ||||
| Yes (n = 4) | 5694 | p = 0.489 | 1401 | p < 0.0001 |
| No (n = 4) | 5302 | 2563 | ||
| Validated Target Genes of Deregulated miRNAs | |
|---|---|
| miRNAs | Target Genes |
| Upregulated (n = 15) | 778 |
| Downregulated (n = 17) | 2220 |
| KEGG Pathway | p-Value | Genes Count |
|---|---|---|
| Adherens junction | 6.55 × 10−6 | 65 |
| Fatty acid metabolism | 5.96 × 10−2 | 33 |
| Proteoglycans in cancer | 8.88 | 137 |
| Cell cycle | 24.7 | 95 |
| Protein processing in endoplasmic reticulum | 5.41 × 102 | 120 |
| Pathways in cancer | 2.12 × 103 | 251 |
| Viral carcinogenesis | 1.79 × 104 | 134 |
| Hippo signaling pathway | 1.89 × 104 | 97 |
| Colorectal cancer | 3.97 × 104 | 50 |
| Fatty acid biosynthesis | 5.41 × 104 | 8 |
| Chronic myeloid leukemia | 5.41 × 104 | 57 |
| Endocytosis | 1.72 × 105 | 136 |
| Pancreatic cancer | 2.54 × 104 | 52 |
| Hepatitis B | 3.32 × 105 | 95 |
| p53 signaling pathway | 9.89 × 105 | 54 |
| Bacterial invasion of epithelial cells | 4.00 × 106 | 55 |
| Renal cell carcinoma | 4.00 × 106 | 49 |
| Prion diseases | 4.22 × 106 | 19 |
| Prostate cancer | 4.22 × 106 | 65 |
| Regulation of actin cytoskeleton | 8.55 × 106 | 134 |
| Fatty acid elongation | 1.12 × 10−4 | 15 |
| Thyroid hormone signaling pathway | 3.09 × 10−4 | 79 |
| Non-small cell lung cancer | 3.83 × 10−4 | 42 |
| Ubiquitin mediated proteolysis | 4.17 × 10−4 | 96 |
| HTLV-I infection | 4.34 × 10−4 | 165 |
| Small cell lung cancer | 5.37 × 10−4 | 61 |
| Axon guidance | 5.88 × 10−4 | 75 |
| Glioma | 7.42 × 10−4 | 44 |
| DNA replication | 8.42 × 10−4 | 27 |
| FoxO signaling pathway | 8.42 × 10−4 | 87 |
| Transcriptional misregulation in cancer | 8.57 × 104 | 116 |
| Oocyte meiosis | 9.62 × 10−4 | 74 |
| Focal adhesion | 9.64 × 10−4 | 131 |
| Arrhythmogenic right ventricular cardiomyopathy (ARVC) | 1.52 × 10−3 | 42 |
| Shigellosis | 1.59 × 10−3 | 44 |
| ECM-receptor interaction | 1.61 × 10−3 | 44 |
| Insulin signaling pathway | 1.67 × 10−3 | 92 |
| Neurotrophin signaling pathway | 2.22 × 10−3 | 79 |
| ErbB signaling pathway | 2.52 ×10−3 | 58 |
| Endometrial cancer | 2.52 × 10−3 | 38 |
| Acute myeloid leukemia | 3.24 × 10−3 | 41 |
| Biotin metabolism | 3.33 × 10−3 | 3 |
| Progesterone-mediated oocyte maturation | 3.46 × 10−3 | 60 |
| Thyroid cancer | 3.50 × 10−3 | 23 |
| HIF-1 signaling pathway | 4.03 × 10−3 | 69 |
| MAPK signaling pathway | 4.19 × 10−3 | 150 |
| mRNA surveillance pathway | 4.40 × 10−3 | 62 |
| Signaling pathways regulating pluripotency of stem cells | 5.19 × 10−3 | 88 |
| VEGF signaling pathway | 5.51 × 10−3 | 43 |
| Sphingolipid signaling pathway | 5.51 × 10−3 | 76 |
| Gap junction | 6.05 × 10−3 | 57 |
| Bladder cancer | 6.18 × 10−3 | 29 |
| Salmonella infection | 1.07 × 10−2 | 56 |
| Fc gamma R-mediated phagocytosis | 1.30 × 10−2 | 59 |
| TGF-beta signaling pathway | 1.55 × 10−2 | 50 |
| Base excision repair | 1.56 × 10−2 | 20 |
| Lysine degradation | 1.77 × 10−2 | 30 |
| Choline metabolism in cancer | 1.88 × 10−2 | 64 |
| Central carbon metabolism in cancer | 2.20 × 10−2 | 42 |
| TNF signaling pathway | 2.72 × 10−2 | 65 |
| Sulfur metabolism | 2.89 × 10−2 | 7 |
| Biosynthesis of unsaturated fatty acids | 2.89 × 10−2 | 13 |
| Apoptosis | 2.89 × 10−2 | 56 |
| Pathogenic Escherichia coli infection | 3.30 × 10−2 | 37 |
| RNA transport | 3.38 × 10−2 | 100 |
| mTOR signaling pathway | 3.38 × 10−2 | 40 |
| Long-term depression | 3.75 × 10−2 | 36 |
| Phosphatidylinositol signaling system | 3.86 × 10−2 | 51 |
| Fatty acid degradation | 4.43 × 10−2 | 22 |
| Estrogen signaling pathway | 4.43 × 10−2 | 61 |
| Spliceosome | 4.54 × 10−2 | 78 |
| Melanoma | 4.54 × 10−2 | 43 |
| Lysosome | 4.74 × 10−2 | 73 |
| Glycosaminoglycan biosynthesis-chondroitin sulfate/dermatan sulfate | 4.89 × 10−2 | 12 |
Disclaimer/Publisher’s Note: The statements, opinions and data contained in all publications are solely those of the individual author(s) and contributor(s) and not of MDPI and/or the editor(s). MDPI and/or the editor(s) disclaim responsibility for any injury to people or property resulting from any ideas, methods, instructions or products referred to in the content. |
© 2025 by the authors. Licensee MDPI, Basel, Switzerland. This article is an open access article distributed under the terms and conditions of the Creative Commons Attribution (CC BY) license (https://creativecommons.org/licenses/by/4.0/).
Share and Cite
Gianno, F.; Miele, E.; Sabato, C.; Ferretti, E.; Minasi, S.; Buttarelli, F.R.; Salerno, D.; Pediconi, N.; Pascucci, G.R.; Guerrieri, F.; et al. MicroRNAs Expression Profile in MN1-Altered Astroblastoma. Biomedicines 2025, 13, 112. https://doi.org/10.3390/biomedicines13010112
Gianno F, Miele E, Sabato C, Ferretti E, Minasi S, Buttarelli FR, Salerno D, Pediconi N, Pascucci GR, Guerrieri F, et al. MicroRNAs Expression Profile in MN1-Altered Astroblastoma. Biomedicines. 2025; 13(1):112. https://doi.org/10.3390/biomedicines13010112
Chicago/Turabian StyleGianno, Francesca, Evelina Miele, Claudia Sabato, Elisabetta Ferretti, Simone Minasi, Francesca Romana Buttarelli, Debora Salerno, Natalia Pediconi, Giuseppe Rubens Pascucci, Francesca Guerrieri, and et al. 2025. "MicroRNAs Expression Profile in MN1-Altered Astroblastoma" Biomedicines 13, no. 1: 112. https://doi.org/10.3390/biomedicines13010112
APA StyleGianno, F., Miele, E., Sabato, C., Ferretti, E., Minasi, S., Buttarelli, F. R., Salerno, D., Pediconi, N., Pascucci, G. R., Guerrieri, F., Ciolfi, A., Pizzi, S., Massimino, M., Biassoni, V., Schiavello, E., Gessi, M., Asioli, S., Mastronuzzi, A., d’Amati, A., ... Antonelli, M. (2025). MicroRNAs Expression Profile in MN1-Altered Astroblastoma. Biomedicines, 13(1), 112. https://doi.org/10.3390/biomedicines13010112

