Does a “Cushion Effect” Really Exist? A Morphomic Analysis of Vulnerable Road Users with Serious Blunt Abdominal Injury
Abstract
1. Background
2. Materials and Methods
2.1. Data Collection
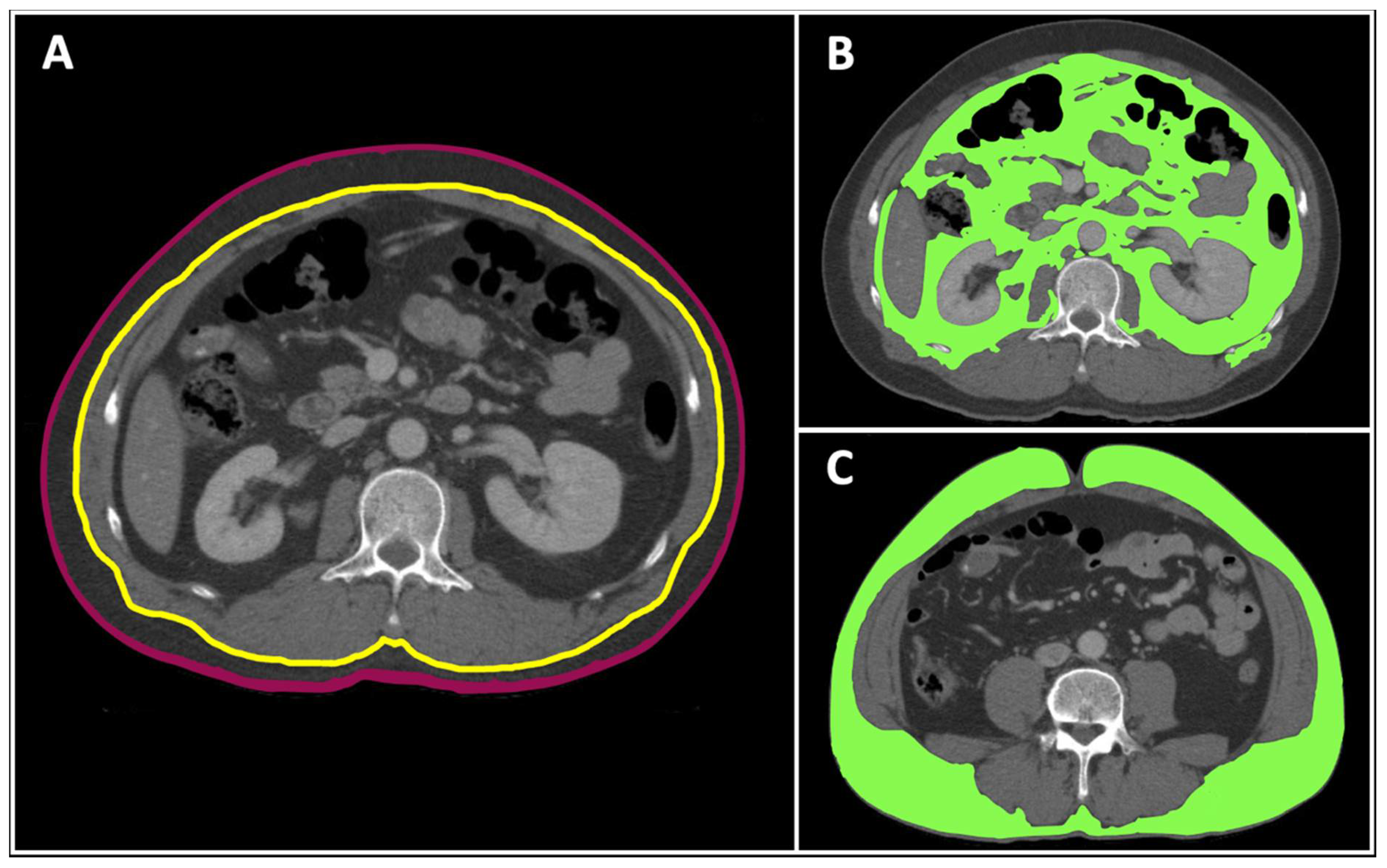
2.2. Morphomic Variables
- TBA: the cross-sectional area of the body.
- Visceral fat area: the cross-sectional area within the fascia with fat density thresholds between −205 and −51 Hounsfield units (HU).
- Subcutaneous fat area: the cross-sectional area between skin and fascia with fat density thresholds between −205 and −51 HU.
- Visceral fat ratio (%) = × 100%.
- SubQ fat ratio (%) = × 100%.
2.3. Statistical Analysis
3. Results
4. Discussion
5. Conclusions
Supplementary Materials
Author Contributions
Funding
Institutional Review Board Statement
Informed Consent Statement
Data Availability Statement
Acknowledgments
Conflicts of Interest
Abbreviations
| MVCs | Motor vehicle crashes |
| VRUs | Vulnerable road users |
| BMI | Body mass index |
| CT | Computed tomography |
| MDCT | Multidetector helical computed tomography |
| ICU | Intensive care unit |
| FAST | Focus Assessment with Sonography in Trauma |
| GCS | Glasgow Coma Scale |
| AIS | Abbreviated Injury Scale |
| MAIS | Maximum Abbreviated Injury Scale |
| ISS | Injury Severity Score |
| TBA | Total body area |
| SubQ fat ratio | Subcutaneous fat area |
| SD | Standard deviation |
| ED | Emergency department |
References
- Heron, M. Deaths: Leading Causes for 2017. Natl. Vital Stat. Rep. 2019, 68, 1–77. [Google Scholar]
- Crandall, C.S.; Olson, L.M.; Sklar, D.P. Mortality reduction with air bag and seat belt use in head-on passenger car collisions. Am. J. Epidemiol. 2001, 153, 219–224. [Google Scholar] [CrossRef] [PubMed]
- National Institutes of Health. Clinical Guidelines on the Identification, Evaluation, and Treatment of Overweight and Obesity in Adults—The Evidence Report. Obes. Res. 1998, 6, 51s–209s. [Google Scholar]
- WHO. Obesity: Preventing and managing the global epidemic. Report of a WHO consultation. World Health Organ. Tech. Rep. Ser. 2000, 894, 1–253. [Google Scholar]
- Choban, P.S.; Weireter, L.J.; Maynes, C. Obesity and Increased Mortality in Blunt Trauma. J. Trauma Inj. Infect. Crit. Care 1991, 31, 1253–1257. [Google Scholar] [CrossRef] [PubMed]
- Boulanger, B.R.; Milzman, D.; Mitchell, K.; Rodriguez, A. Body Habitus as a Predictor of Injury Pattern after Blunt Trauma. J. Trauma Inj. Infect. Crit. Care 1992, 33, 228–232. [Google Scholar] [CrossRef]
- Mock, C.N.; Grossman, D.C.; Kaufman, R.P.; Mack, C.D.; Rivara, F.P. The relationship between body weight and risk of death and serious injury in motor vehicle crashes. Accid. Anal. Prev. 2002, 34, 221–228. [Google Scholar] [CrossRef] [PubMed]
- Neville, A.L. Obesity Is an Independent Risk Factor of Mortality in Severely Injured Blunt Trauma Patients. Arch. Surg. 2004, 139, 983–987. [Google Scholar] [CrossRef] [PubMed]
- Zhu, S.; Layde, P.M.; Guse, C.E.; Laud, P.W.; Pintar, F.; Nirula, R.; Hargarten, S. Obesity and Risk for Death Due to Motor Vehicle Crashes. Am. J. Public Health 2006, 96, 734–739. [Google Scholar] [CrossRef] [PubMed]
- Ryb, G.E.; Dischinger, P.C. Injury Severity and Outcome of Overweight and Obese Patients After Vehicular Trauma: A Crash Injury Research and Engineering Network (CIREN) Study. J. Trauma Inj. Infect. Crit. Care 2008, 64, 406–411. [Google Scholar] [CrossRef]
- Rupp, J.D.; Flannagan, C.A.; Kuppa, S.M. Injury risk curves for the skeletal knee–thigh–hip complex for knee-impact loading. Accid. Anal. Prev. 2010, 42, 153–158. [Google Scholar] [CrossRef] [PubMed]
- Sivak, M.; Schoettle, B.; Rupp, J. Survival in Fatal Road Crashes: Body Mass Index, Gender, and Safety Belt Use. Traffic Inj. Prev. 2010, 11, 66–68. [Google Scholar] [CrossRef] [PubMed]
- Jehle, D.; Gemme, S.; Jehle, C. Influence of obesity on mortality of drivers in severe motor vehicle crashes. Am. J. Emerg. Med. 2012, 30, 191–195. [Google Scholar] [CrossRef] [PubMed]
- Ditillo, M.; Pandit, V.; Rhee, P.; Aziz, H.; Hadeed, S.; Bhattacharya, B.; Friese, R.S.; Davis, K.; Joseph, B. Morbid obesity predisposes trauma patients to worse outcomes. J. Trauma Acute Care Surg. 2014, 76, 176–179. [Google Scholar] [CrossRef] [PubMed]
- Glance, L.G.; Li, Y.; Osler, T.M.; Mukamel, D.B.; Dick, A.W. Impact of Obesity on Mortality and Complications in Trauma Patients. Ann. Surg. 2014, 259, 576–581. [Google Scholar] [CrossRef]
- Brahmbhatt, T.S.; Hernon, M.; Siegert, C.J.; Plauché, L.; Young, L.S.; Burke, P. Trauma and BMI Mortality. Curr. Obes. Rep. 2017, 6, 211–216. [Google Scholar] [CrossRef]
- He, K.; Brown, E.D.; Derstine, B.; Holcombe, S.A.; Dawli, V.G.; Hemmila, M.R.; Wang, S.C. Using Morphomic Analysis of Soft-Tissue Injury to Predict Trauma Outcomes. J. Am. Coll. Surg. 2018, 227, S277. [Google Scholar] [CrossRef]
- Chen, A.K.; Jeffcoach, D.; Stivers, J.C.; A McCullough, K.; Dirks, R.C.; Boehnke, R.J.; Sue, L.; Kwok, A.M.; Wolfe, M.M.; Davis, J.W. The impact of obesity on severity of solid organ injury in the adult population at a Level I trauma center. Trauma Surg. Acute Care Open 2019, 4, e000318. [Google Scholar] [CrossRef] [PubMed]
- Covarrubias, J.; Grigorian, A.; Schubl, S.; Gambhir, S.; Dolich, M.; Lekawa, M.; Nguyen, N.; Nahmias, J. Obesity associated with increased postoperative pulmonary complications and mortality after trauma laparotomy. Eur. J. Trauma Emerg. Surg. 2020, 1–8. [Google Scholar] [CrossRef]
- Arbabi, S.; Wahl, W.L.; Hemmila, M.R.; Kohoyda-Inglis, C.; Taheri, P.A.; Wang, S.C. The Cushion Effect. J. Trauma Inj. Infect. Crit. Care 2003, 54, 1090–1093. [Google Scholar] [CrossRef]
- Wang, S.C.; Bednarski, B.; Patel, S.; Yan, A.; Kohoyda-Inglis, C.; Kennedy, T.; Link, E.; Rowe, S.; Sochor, M.; Arbabi, S. Increased Depth of Subcutaneous Fat is Protective against Abdominal Injuries in Motor Vehicle Collisions. Annu. Proc. Assoc. Adv. Automot. Med. 2003, 47, 545–559. [Google Scholar]
- Fu, C.-Y.; Bajani, F.; Butler, C.; Welsh, S.; Messer, T.; Kaminsky, M.; Starr, F.; Dennis, A.; Schlanser, V.; Mis, J.; et al. Morbid Obesity’s Silver Lining: An Armor for Hollow Viscus in Blunt Abdominal Trauma. World J. Surg. 2018, 43, 1007–1013. [Google Scholar] [CrossRef]
- Kim, J.-E.; Kim, I.H.; Shum, P.C.; Shih, A.M.; Pintar, F.; Shen, W.; Ma, X.; Laud, P.W.; Heymsfield, S.B.; Allison, D.B.; et al. A computational study of injury severity and pattern sustained by overweight drivers in frontal motor vehicle crashes. Comput. Methods Biomech. Biomed. Eng. 2012, 17, 965–977. [Google Scholar] [CrossRef] [PubMed]
- Viano, D.C.; Parenteau, C.S.; Edwards, M.L. Crash Injury Risks for Obese Occupants Using a Matched-Pair Analysis. Traffic Inj. Prev. 2008, 9, 59–64. [Google Scholar] [CrossRef]
- Harbaugh, C.M.; Zhang, P.; Henderson, B.; Derstine, B.A.; Holcombe, S.A.; Wang, S.C.; Kohoyda-Inglis, C.; Ehrlich, P.F. The ‘Cushion Effect’ Is Not Protective for Children Involved in Motor Vehicle Crashes. J. Am. Coll. Surg. 2017, 225, e187–e188. [Google Scholar] [CrossRef][Green Version]
- Harbaugh, C.M.; Zhang, P.; Henderson, B.; Derstine, B.A.; Holcombe, S.A.; Wang, S.C.; Kohoyda-Inglis, C.; Ehrlich, P.F. Evaluating the “cushion effect” among children in frontal motor vehicle crashes. J. Pediatr. Surg. 2018, 53, 1033–1036. [Google Scholar] [CrossRef] [PubMed]
- Wegman, F.; Aarts, L.; Bax, C. Advancing sustainable safety: National road safety outlook for The Netherlands for 2005–2020. Saf. Sci. 2008, 46, 323–343. [Google Scholar] [CrossRef]
- Wegman, F.C.; Aarts, L. Advancing Sustainable Safety: National Road Safety Outlook for 2005–2020. SWOV Institute for Road Safety Research. 2006. Available online: http://www.swov.nl/rapport/dmdv/Advancing_sustainable_safety.pdf (accessed on 16 September 2015).
- Zhang, P.; Peterson, M.; Su, G.L.; Wang, S.C. Visceral adiposity is negatively associated with bone density and muscle attenuation. Am. J. Clin. Nutr. 2014, 101, 337–343. [Google Scholar] [CrossRef]
- Chughtai, K.; Song, Y.; Zhang, P.; Derstine, B.; Gatza, E.; Friedman, J.; Hully, L.; Inglis, C.; Goldstein, S.; Magenau, J.; et al. Analytic morphomics: A novel CT imaging approach to quantify adipose tissue and muscle composition in allogeneic hematopoietic cell transplantation. Bone Marrow Transplant. 2015, 51, 446–450. [Google Scholar] [CrossRef] [PubMed]
- Nguyen, N.T.; Magno, C.P.; Lane, K.T.; Hinojosa, M.W.; Lane, J.S. Association of Hypertension, Diabetes, Dyslipidemia, and Metabolic Syndrome with Obesity: Findings from the National Health and Nutrition Examination Survey, 1999 to 2004. J. Am. Coll. Surg. 2008, 207, 928–934. [Google Scholar] [CrossRef] [PubMed]
- Prospective Studies Collaboration. Body-mass index and cause-specific mortality in 900 000 adults: Collaborative analyses of 57 prospective studies. Lancet 2009, 373, 1083–1096. [Google Scholar] [CrossRef]
- Aune, D.; Sen, A.; Norat, T.; Janszky, I.; Romundstad, P.; Tonstad, S.; Vatten, L.J. Body Mass Index, Abdominal Fatness, and Heart Failure Incidence and Mortality. Circulation 2016, 133, 639–649. [Google Scholar] [CrossRef] [PubMed]
- Scheja, L.; Heeren, J. The endocrine function of adipose tissues in health and cardiometabolic disease. Nat. Rev. Endocrinol. 2019, 15, 507–524. [Google Scholar] [CrossRef]
- Shashaty, M.G.S.; Kalkan, E.; Bellamy, S.L.; Reilly, J.P.; Holena, D.N.; Cummins, K.; Lanken, P.N.; Feldman, H.I.; Reilly, M.P.; Udupa, J.K.; et al. Computed Tomography–Defined Abdominal Adiposity Is Associated with Acute Kidney Injury in Critically Ill Trauma Patients. Crit. Care Med. 2014, 42, 1619–1628. [Google Scholar] [CrossRef] [PubMed]
- Collier, B.; Dossett, L.; Shipman, J.; Day, M.; Lawson, G.; Sawyer, R.; May, A. Visceral Adiposity Is Not Associated With Inflammatory Markers in Trauma Patients. J. Trauma Inj. Infect. Crit. Care 2010, 68, 57–61. [Google Scholar] [CrossRef] [PubMed]
- Docimo, S.; Lamparello, B.; Cohen, M.F.; Kopatsis, A.; Vinces, F. Utilizing quantitative measures of visceral adiposity in evaluating trauma patient outcomes. Int. J. Surg. 2015, 21, 51–56. [Google Scholar] [CrossRef] [PubMed]
- Poros, B.; Irlbeck, T.; Probst, P.; Volkmann, A.; Paprottka, P.; Böcker, W.; Irlbeck, M.; Weig, T. Impact of pathologic body composition assessed by CT-based anthropometric measurements in adult patients with multiple trauma: A retrospective analysis. Eur. J. Trauma Emerg. Surg. 2019, 47, 1089–1103. [Google Scholar] [CrossRef] [PubMed]
- Dreizin, D.; Rosales, R.; Li, G.; Syed, H.; Chen, R. Volumetric Markers of Body Composition May Improve Personalized Prediction of Major Arterial Bleeding After Pelvic Fracture: A Secondary Analysis of the Baltimore CT Prediction Model Cohort. Can. Assoc. Radiol. J. 2020. [Google Scholar] [CrossRef]
- Afshin, A. Health Effects of Overweight and Obesity in 195 Countries over 25 Years. N. Engl. J. Med. 2017, 377, 13–27. [Google Scholar] [CrossRef]
- Neal, M.D.; Peitzman, A.B.; Forsythe, R.M.; Marshall, G.; Rosengart, M.R.; Alarcon, L.; Billiar, T.R.; Sperry, J.L. Over Reliance on Computed Tomography Imaging in Patients with Severe Abdominal Injury: Is the Delay Worth the Risk? J. Trauma Inj. Infect. Crit. Care 2011, 70, 278–284. [Google Scholar] [CrossRef] [PubMed]
- Bardes, J.; Inaba, K.; Schellenberg, M.; Grabo, D.; Strumwasser, A.; Matsushima, K.; Clark, D.; Brown, N.; Demetriades, D. The contemporary timing of trauma deaths. J. Trauma Acute Care Surg. 2018, 84, 893–899. [Google Scholar] [CrossRef]
- Rau, C.-S.; Wu, S.-C.; Kuo, P.-J.; Chen, Y.-C.; Chien, P.-C.; Hsieh, H.-Y.; Hsieh, C.-H. Same Abbreviated Injury Scale Values May Be Associated with Different Risks to Mortality in Trauma Patients: A Cross-Sectional Retrospective Study Based on the Trauma Registry System in a Level I Trauma Center. Int. J. Environ. Res. Public Health 2017, 14, 1552. [Google Scholar] [CrossRef] [PubMed]



| n = 592 | |
|---|---|
| Demographic Variables | |
| Age (years) a | 38.7 ± 18.1 |
| Sex (%) | |
| M | 403 (68.1%) |
| F | 189 (31.9%) |
| Weight (kg) a | 67.1 ± 15.2 |
| Height (m2) a | 166.1 ± 9.1 |
| BMI (kg/m2) a | 24.2 ± 4.7 |
| Vehicle Variables | |
| Vehicle type (%) | |
| Pedestrian | 59 (10.0%) |
| Bicyclist/Motorcyclist | 533 (90.0%) |
| Safety equipment type (%) | |
| No safety equipment | 98 (16.6%) |
| Helmet | 494 (83.4%) |
| Injury Severity | |
| Unstable hemodynamics (n, %) | 73 (12.3%) |
| Coma scale (GCS) b | 15 (13–15) |
| ISS b | 18 (9–27) |
| Serious head injury (n, %) | 156 (26.4%) |
| Serious thoracic injury (n, %) | 269 (45.4%) |
| Serious abdominal injury (n, %) | 104 (17.6%) |
| Serious limb injury (n, %) | 175 (29.6%) |
| Morphomics Variables | |
| L2 visceral fat area (cm2) a | 85.33 ± 75.27 |
| L4 subcutaneous fat area (cm2) a | 152.30 ± 96.12 |
| L2 visceral fat ratio (%) a | 14.3% ± 9.9% |
| L4 subQ fat ratio (%) a | 27.5% ± 12.0% |
| Outcomes | |
| LOS (days) a | 16.3 ± 15.7 |
| ICU LOS (days) a | 5.1 ± 7.9 |
| Mortality (%) | 32 (5.4%) |
| MAISabd < 3 | MAISabd ≥ 3 | p-Value | |
|---|---|---|---|
| n = 488 (82.4%) | n = 104 (17.6%) | ||
| Demographic Variables | |||
| Age (years) a | 39.4 ± 18.2 | 35.7 ± 17.2 | 0.053 |
| BMI (kg/m2) a | 24.3 ± 4.6 | 24.2 ± 5.4 | 0.889 |
| Sex (%) # | 0.781 | ||
| M | 331 (67.8%) | 72 (69.2%) | |
| F | 157 (32.2%) | 32 (30.8%) | |
| Participant type # | 0.076 | ||
| Pedestrian | 53 (10.9%) | 6 (5.8%) | |
| Bicyclist/Motorcyclist | 435 (89.1%) | 98 (94.2%) | |
| Safety Equipment (n, %) # | 0.221 | ||
| No safety equipment | 85 (17.4%) | 13 (12.5%) | |
| Helmet | 403 (82.6%) | 91 (87.5%) | |
| Injury Severity | |||
| Coma scale (GCS) b,† | 15 (10–15) | 15 (15–15) | 0.002 * |
| Unstable hemodynamics (n, %) # | 56 (11.5%) | 17 (16.3%) | 0.170 |
| ISS b,† | 17 (9–25) | 25 (18–32) | <0.001 * |
| MAIShead b,† | 0 (0–3) | 0 (0–0) | <0.001 * |
| MAISchest b,† | 1 (0–3) | 3 (0–4) | 0.026 * |
| MAISlimb b,† | 2 (0–3) | 1 (0–2) | 0.001 * |
| Serious head injury (n, %) # | 149 (30.5%) | 7 (6.7%) | <0.001 * |
| Serious chest injury (n, %) # | 208 (42.6%) | 61 (58.7%) | 0.003 * |
| Serious limb injury (n, %) # | 150 (30.7%) | 25 (24%) | 0.174 |
| Morphomic Variables | |||
| L2 visceral fat ratio (%) a,! | 14.6 ± 10.0% | 13.3 ± 9.0% | 0.205 |
| L4 subQ fat ratio (%) a,! | 28.1 ± 11.9% | 24.9 ± 12.0% | 0.015 * |
| Outcomes | |||
| LOS (days) a,! | 15.9 ± 15.6 | 18.0 ± 16.3 | 0.223 |
| ICU LOS (days) a,! | 4.8 ± 7.9 | 6.5 ± 7.8 | 0.038 * |
| Mortality (n, %) # | 29 (5.9%) | 3 (2.9%) | 0.211 |
| Variable | Coef (β) | Std Err | Odds Ratio | 95% CI | p-Value |
|---|---|---|---|---|---|
| Intercept | −2.135 | 1.165 | 0.118 | 0.067 | |
| Age | −0.012 | 0.009 | 0.988 | 0.972–1.005 | 0.175 |
| BMI | 0.035 | 0.028 | 1.035 | 0.979–1.094 | 0.223 |
| Vehicle type (pedestrian) | 0.441 | 0.470 | 1.555 | 0.619–3.906 | 0.348 |
| L2 visceral fat ratio | 0.551 | 1.677 | 1.736 | 0.065–46.464 | 0.742 |
| L4 subQ fat ratio | −2.758 | 1.063 | 0.063 | 0.008–0.509 | 0.009 * |
Publisher’s Note: MDPI stays neutral with regard to jurisdictional claims in published maps and institutional affiliations. |
© 2021 by the authors. Licensee MDPI, Basel, Switzerland. This article is an open access article distributed under the terms and conditions of the Creative Commons Attribution (CC BY) license (https://creativecommons.org/licenses/by/4.0/).
Share and Cite
Tee, Y.-S.; Cheng, C.-T.; Hsieh, C.-H.; Kang, S.-C.; Fu, C.-Y.; Derstine, B.A.; Su, G.L.; Wang, S.C. Does a “Cushion Effect” Really Exist? A Morphomic Analysis of Vulnerable Road Users with Serious Blunt Abdominal Injury. Healthcare 2021, 9, 1006. https://doi.org/10.3390/healthcare9081006
Tee Y-S, Cheng C-T, Hsieh C-H, Kang S-C, Fu C-Y, Derstine BA, Su GL, Wang SC. Does a “Cushion Effect” Really Exist? A Morphomic Analysis of Vulnerable Road Users with Serious Blunt Abdominal Injury. Healthcare. 2021; 9(8):1006. https://doi.org/10.3390/healthcare9081006
Chicago/Turabian StyleTee, Yu-San, Chi-Tung Cheng, Chi-Hsun Hsieh, Shih-Ching Kang, Chih-Yuan Fu, Brian A. Derstine, Grace L. Su, and Stewart C. Wang. 2021. "Does a “Cushion Effect” Really Exist? A Morphomic Analysis of Vulnerable Road Users with Serious Blunt Abdominal Injury" Healthcare 9, no. 8: 1006. https://doi.org/10.3390/healthcare9081006
APA StyleTee, Y.-S., Cheng, C.-T., Hsieh, C.-H., Kang, S.-C., Fu, C.-Y., Derstine, B. A., Su, G. L., & Wang, S. C. (2021). Does a “Cushion Effect” Really Exist? A Morphomic Analysis of Vulnerable Road Users with Serious Blunt Abdominal Injury. Healthcare, 9(8), 1006. https://doi.org/10.3390/healthcare9081006

