A Case of Crohn’s Disease with Cardiac Tamponade Caused by Tuberculous Pericarditis: Assessment of a Rare Phenomenon
Abstract
1. Introduction
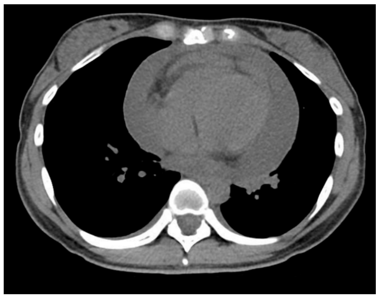
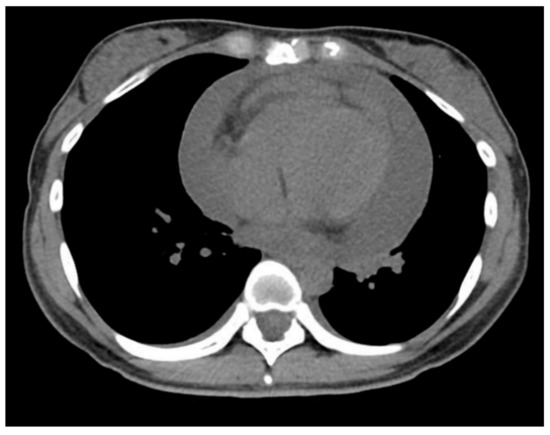
2. Case Report
3. Discussion
Author Contributions
Funding
Institutional Review Board Statement
Informed Consent Statement
Data Availability Statement
Acknowledgments
Conflicts of Interest
References
- Lönnroth, K.; Migliori, G.B.; Abubakar, I.; D’Ambrosio, L.; de Vries, G.; Diel, R.; Douglas, P.; Falzon, D.; Gaudreau, M.A.; Goletti, D.; et al. Towards tuberculosis elimination: An action framework for low-incidence countries. Eur. Respir. J. 2015, 45, 928–952. [Google Scholar] [CrossRef] [PubMed]
- Queval, C.J.; Brosch, R.; Simeone, R. The macrophage: A disputed fortress in the battle against Mycobacterium tuberculosis. Front. Microbiol. 2017, 23, 2284. [Google Scholar] [CrossRef] [PubMed]
- Getahun, H.; Matteelli, A.; Chaisson, R.E.; Raviglione, M. Latent Mycobacterium tuberculosis infection. N. Engl. J. Med. 2015, 372, 2127–2135. [Google Scholar] [CrossRef] [PubMed]
- Modlin, R.L.; Bloom, B.R. TB or not TB: That is no longer the question. Sci. Transl. Med. 2013, 5, 213sr6. [Google Scholar] [CrossRef] [PubMed][Green Version]
- Achkar, J.M.; Jenny-Avital, E.R. Incipient and subclinical tuberculosis: Defining early disease states in the context of host immune response. J. Infect. Dis. 2011, 204, S1179–S1186. [Google Scholar] [CrossRef] [PubMed]
- Aberra, F.N.; Stettler, N.; Brensinger, C.; Lichtenstein, G.R.; Lewis, J.D. Risk for active tuberculosis in inflammatory bowel disease patients. Clin. Gastroenterol. Hepatol. 2007, 5, 1070–1075. [Google Scholar] [CrossRef] [PubMed]
- Jain, S.; Sharma, N.; Varma, S.; Rajwanshi, A.; Verma, J.S.; Sharma, B.K. Profile of cardiac tamponade in the medical emergency ward of a North Indian hospital. Can. J. Cardiol. 1999, 15, 671–675. [Google Scholar] [PubMed]
- Permanyer-Miralda, G.; Sagristá-Sauleda, J.; Soler-Soler, J. Primary acute pericardial disease: A prospective series of 231 consecutive patients. Am. J. Cardiol. 1985, 56, 623–630. [Google Scholar] [CrossRef]
- Koh, K.K.; Kim, E.J.; Cho, C.H.; Choi, M.J.; Cho, S.K.; Kim, S.S.; Kim, M.H.; Lee, C.J.; Jin, S.H.; Kim, J.M.; et al. Adenosine deaminase and carcinoembryonic antigen in pericardial effusion diagnosis, especially in suspected tuberculous pericarditis. Circulation 1994, 89, 2728–2735. [Google Scholar] [CrossRef]
- Wiysonge, C.S.; Ntsekhe, M.; Thabane, L.; Volmink, J.; Majombozi, D.; Gumedze, F.; Pandie, S.; Mayosi, B.M. Interventions for treating tuberculous pericarditis. Cochrane Database Syst. Rev. 2017, 9, CD000526. [Google Scholar] [CrossRef] [PubMed]
- Imazio, M.; Trinchero, R. Triage and management of acute pericarditis. Int. J. Cardiol. 2007, 118, 286–294. [Google Scholar] [CrossRef] [PubMed]
- Reich, K.; Yasothan, U.; Kirkpatrick, P. Ustekinumab. Nat. Rev. Drug Discov. 2009, 8, 355–356. [Google Scholar] [CrossRef] [PubMed]
- Feagan, B.G.; Sandborn, W.J.; Gasink, C.; Jacobstein, D.; Lang, Y.; Friedman, J.R.; Blank, M.A.; Johanns, J.; Gao, L.L.; Miao, Y.; et al. UNITI–IM-UNITI Study Group. Ustekinumab as induction and maintenance therapy for Crohn’s Disease. N. Engl. J. Med. 2016, 375, 1946–1960. [Google Scholar] [CrossRef] [PubMed]
- Verstockt, B.; Deleenheer, B.; Van Assche, G.; Vermeire, S.; Ferrante, M. A safety assessment of biological therapies targeting the IL-23/IL-17 axis in inflammatory bowel diseases. Expert. Opin. Drug Saf. 2017, 16, 809–821. [Google Scholar] [CrossRef] [PubMed]
- Tsai, T.F.; Chiu, H.Y.; Song, M.; Chan, D. A case of latent tuberculosis reactivation in a patient treated with ustekinumab without concomitant isoniazid chemoprophylaxis in the PEARL trial. Br. J. Dermatol. 2013, 168, 444–446. [Google Scholar] [CrossRef] [PubMed]
- Cho, S.I.; Kang, S.; Kim, Y.E.; Lee, J.Y.; Jo, S.J. Ustekinumab does not increase tuberculosis risk: Results from a national database in South Korea. J. Am. Acad. Dermatol. 2020, 82, 1243–1245. [Google Scholar] [CrossRef] [PubMed]


| AST | 16 U/L | WBC | 6500/μL |
| ALT | 14 U/L | RBC | 3.75 × 1012/L |
| LDH | 197 U/L | Hb | 10.9 g/dL |
| UN | 5.0 mg/dL | Plt | 30.7 × 104/μL |
| Cre | 0.46 mg/dL | ||
| Na | 141 mmol/L | ESR (1h) | 57 mm/h |
| K | 3.4 mmol/L | ||
| Cl | 103 mmol/L | D-dimer | 4.0 μg/mL |
| TP | 5.2 g/dL | ||
| Alb | 3.6 g/dl | BNP | 67.3 pg/mL |
| CRP | 7.74 mg/dL |
| LDH | 920 U/L | WBC | 4600/μL | Adenosine deaminase | 118 U/L |
| TP | 5.2 mg/dL | NEUTRO | 20.1% | Hyaluronic acid | 74900 ng/mL |
| Alb | 2.9 mg/dl | EOSINO | 0.3% | CEA | 0.5 ng/mL |
| Na | 142 mmol/L | BASO | 1.5% | TPA | 6277 U/L |
| K | 2.9 mmol/L | MoC | 8.1% | ||
| Cl | 107 mmol/L | LYMPHO | 70.0% | PCR—Tb | negative |
| AMY | 40 U/L | RBC | 0.55 × 1012/L | PCR—M. avium | negative |
| Glu | 60 mg/dL | Hb | 1.5 g/dL | PCR—M. intracellulare | negative |
| Plt | 1.2 × 104/μL |
Publisher’s Note: MDPI stays neutral with regard to jurisdictional claims in published maps and institutional affiliations. |
© 2021 by the authors. Licensee MDPI, Basel, Switzerland. This article is an open access article distributed under the terms and conditions of the Creative Commons Attribution (CC BY) license (https://creativecommons.org/licenses/by/4.0/).
Share and Cite
Tominaga, K.; Tanaka, T.; Kanazawa, M.; Watanabe, S.; Nemoto, R.; Abe, K.; Kanamori, A.; Yamamiya, A.; Goda, K.; Kushima, Y.; et al. A Case of Crohn’s Disease with Cardiac Tamponade Caused by Tuberculous Pericarditis: Assessment of a Rare Phenomenon. Healthcare 2021, 9, 695. https://doi.org/10.3390/healthcare9060695
Tominaga K, Tanaka T, Kanazawa M, Watanabe S, Nemoto R, Abe K, Kanamori A, Yamamiya A, Goda K, Kushima Y, et al. A Case of Crohn’s Disease with Cardiac Tamponade Caused by Tuberculous Pericarditis: Assessment of a Rare Phenomenon. Healthcare. 2021; 9(6):695. https://doi.org/10.3390/healthcare9060695
Chicago/Turabian StyleTominaga, Keiichi, Takanao Tanaka, Mimari Kanazawa, Shoko Watanabe, Rena Nemoto, Keiichiro Abe, Akira Kanamori, Akira Yamamiya, Kenichi Goda, Yoshitomo Kushima, and et al. 2021. "A Case of Crohn’s Disease with Cardiac Tamponade Caused by Tuberculous Pericarditis: Assessment of a Rare Phenomenon" Healthcare 9, no. 6: 695. https://doi.org/10.3390/healthcare9060695
APA StyleTominaga, K., Tanaka, T., Kanazawa, M., Watanabe, S., Nemoto, R., Abe, K., Kanamori, A., Yamamiya, A., Goda, K., Kushima, Y., Chibana, K., Masawa, T., Fukuda, T., Hibi, T., & Irisawa, A. (2021). A Case of Crohn’s Disease with Cardiac Tamponade Caused by Tuberculous Pericarditis: Assessment of a Rare Phenomenon. Healthcare, 9(6), 695. https://doi.org/10.3390/healthcare9060695

