Membrane Status and Reliability of Intrapartum Transperineal Ultrasound in Cervical Dilatation Assessment
Abstract
1. Introduction
2. Materials and Methods
Statistical Analysis
3. Results
3.1. Population Characteristics
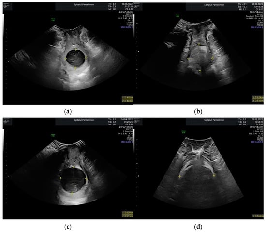
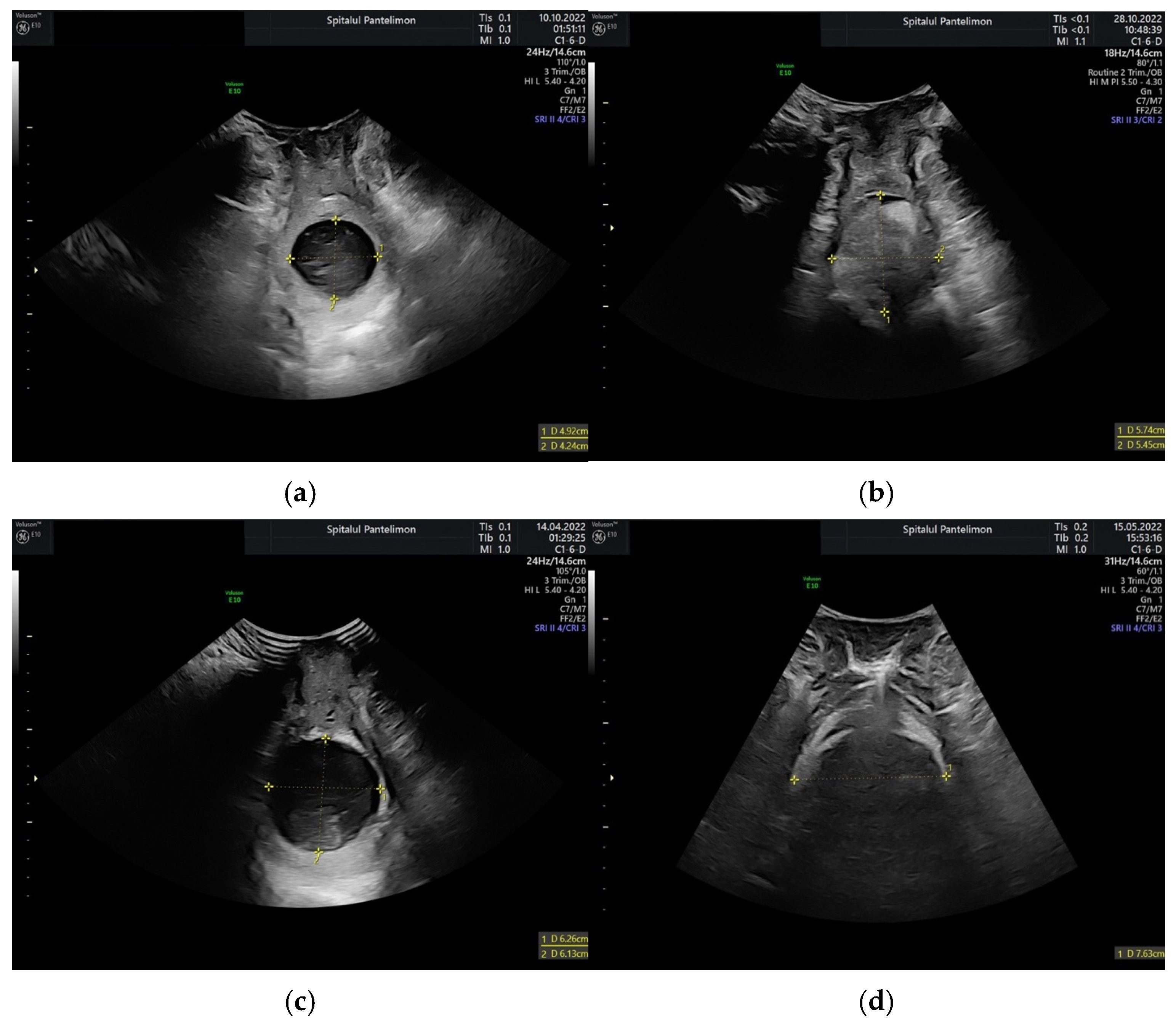
3.2. Ultrasound Measurements
3.3. Membrane Integrity Influence on Ultrasound Parameter Measurement Accuracy
3.4. Membrane Status Influence on the Agreement Between Clinical and Ultrasound Examinations
3.4.1. Cohen Kappa Coefficient
3.4.2. Pearson Correlation
3.4.3. Linear Regression Analysis
- Overall (all cases)
- R-squared: 0.856 (very strong), p-value: <0.001 (highly significant);
- Regression equation: Ultrasound Mean Diameter ≈ 13.94 + 0.67 × Clinical Dilatation.
- Intact Membranes Subgroup
- R-squared: 0.751, p-value: <0.001;
- Regression equation: Ultrasound Mean Diameter ≈ 10.37 + 0.75 × Clinical Dilatation.
- Ruptured Membranes Subgroup
- R-squared: 0.832, p-value: <0.001;
- Regression equation: Ultrasound Mean Diameter ≈ 14.41 + 0.67 × Clinical Dilatation.
3.4.4. Bland–Altman Analysis
- For intact membranes, the differences between clinical dilatation evaluation and mean diameter of the dilatation calculated by ultrasound measurements show slightly more variability, and the bias (mean difference) may be a bit more negative (Mean Difference: 1.83 mm, Limits of Agreement: Upper: +20.20 mm, Lower: −16.54 mm.
- For ruptured membranes, the differences between clinical dilatation evaluation and mean diameter of the dilatation calculated by ultrasound measurements cluster more tightly around the mean, indicating more consistent agreement (Mean Difference: 13.76 mm, Limits of Agreement: Upper: +37.10 mm, Lower: −9.58 mm).
- For intact membranes, the transverse diameter closely matches clinical measurements on average (mean difference is near zero), though the spread is wide (Mean Difference: 0.45 mm, Limits of Agreement: Upper: +22.15 mm, Lower: −21.25 mm).
- For ruptured membranes, clinical measurements are much higher than transverse ultrasound measurements on average, with a large and consistent bias (Mean Difference: 13.18 mm, Limits of Agreement: Upper: +41.22 mm, Lower: −14.86 mm).
4. Discussion
5. Conclusions
Author Contributions
Funding
Institutional Review Board Statement
Informed Consent Statement
Data Availability Statement
Conflicts of Interest
References
- Ghi, T.; Eggebø, T.; Lees, C.; Kalache, K.; Rozenberg, P.; Youssef, A.; Salomon, L.J.; Tutschek, B. ISUOG Practice Guidelines: Intrapartum Ultrasound. Ultrasound Obstet. Gynecol. 2018, 52, 128–139. [Google Scholar] [CrossRef] [PubMed]
- Rizzo, G.; Ghi, T.; Henrich, W.; Tutschek, B.; Kamel, R.; Lees, C.C.; Mappa, I.; Kovalenko, M.; Lau, W.; Eggebo, T.; et al. Ultrasound in Labor: Clinical Practice Guideline and Recommendation by the WAPM-World Association of Perinatal Medicine and the PMF-Perinatal Medicine Foundation. J. Perinat. Med. 2022, 50, 1007–1029. [Google Scholar] [CrossRef] [PubMed]
- Kok, F.T.; Wallenburg, H.C.S.; Wladimiroff, J.W. Ultrasonic Measurement of Cervical Dilatation during Labor. Am. J. Obstet. Gynecol. 1976, 126, 288–290. [Google Scholar] [CrossRef] [PubMed]
- Moss, P.L.; Lauron, P.; Roux, J.F.; Neuman, M.R. Continuous Cervical Dilatation Monitoring by Ultrasonic Methods during Labor. Am. J. Obstet. Gynecol. 1978, 132, 16–19. [Google Scholar] [CrossRef]
- van Dessel, T.; Frijns, J.; Kok, F.T.; Wallenburg, H. Assessment of Cervical Dilatation during Labor: A Review. Eur. J. Obstet. Gynecol. Reprod. Biol. 1991, 41, 165–171. [Google Scholar] [CrossRef]
- Hassan, W.A.; Eggebø, T.M.; Ferguson, M.; Lees, C. Simple Two-Dimensional Ultrasound Technique to Assess Intrapartum Cervical Dilatation: A Pilot Study. Ultrasound Obstet. Gynecol. 2013, 41, 413–418. [Google Scholar] [CrossRef]
- Wiafe, Y.A.; Whitehead, B.; Venables, H.; Nakua, E.K. The Effectiveness of Intrapartum Ultrasonography in Assessing Cervical Dilatation, Head Station and Position: A Systematic Review and Meta-Analysis. Ultrasound 2016, 24, 222–232. [Google Scholar] [CrossRef]
- Wiafe, Y.A.; Whitehead, B.; Venables, H.; Dassah, E.T.; Eggebø, T.M. Intrapartum Ultrasound Assessment of Cervical Dilatation and Its Value in Detecting Active Labor. J. Ultrasound 2018, 21, 233–239. [Google Scholar] [CrossRef]
- Moncrieff, G.; Gyte, G.M.L.; Dahlen, H.G.; Thomson, G.; Singata-Madliki, M.; Clegg, A.; Downe, S. Routine Vaginal Examinations Compared to Other Methods for Assessing Progress of Labour to Improve Outcomes for Women and Babies at Term. Cochrane Database Syst. Rev. 2022, 3, CD010088. [Google Scholar] [CrossRef]
- Mohaghegh, Z.; Jahanfar, S.; Abedi, P.; El Aziz, M.A.A. Reliability of Ultrasound versus Digital Vaginal Examination in Detecting Cervical Dilatation during Labor: A Diagnostic Test Accuracy Systematic Review. Ultrasound J. 2021, 13, 37. [Google Scholar] [CrossRef]
- Benediktsdottir, S.; Eggebø, T.M.; Salvesen, K.A. Agreement between Transperineal Ultrasound Measurements and Digital Examinations of Cervical Dilatation during Labor. BMC Pregnancy Childbirth 2015, 15, 273. [Google Scholar] [CrossRef] [PubMed]
- Hassan, W.A.; Taylor, S.; Lees, C. Intrapartum Ultrasound for Assessment of Cervical Dilatation. Am. J. Obstet. Gynecol. MFM 2021, 3, 100448. [Google Scholar] [CrossRef] [PubMed]
- Kwan, A.H.W.; Chaemsaithong, P.; Tse, W.T.; Appiah, K.; Chong, K.C.; Leung, T.Y.; Poon, L.C. Feasibility, Reliability, and Agreement of Transperineal Ultrasound Measurement: Results from a Longitudinal Cohort Study. Fetal Diagn. Ther. 2020, 47, 721–730. [Google Scholar] [CrossRef] [PubMed]
- Connell, P.; Turrentine, M.; Antoniewicz, L. Use of a pocket-device point-of-care ultrasound to assess cervical dilation in labor: Correlation and patient experience. J. Perinat. Med. 2023, 51, 962–964. [Google Scholar] [CrossRef]
- Hanidu, A.; Kovalenko, M.; Usman, S.; Monasta, L.; Zamagni, G.; Stampalija, T.; Lees, C. Intrapartum ultrasound for cervical dilatation: Inter- and intra-observer agreement. Acta Obstet. Gynecol. Scand. 2024, 103, 2455–2464. [Google Scholar] [CrossRef]
- Hassan, W.A.; Eggebø, T.; Ferguson, M.; Gillett, A.; Studd, J.; Pasupathy, D.; Lees, C.C. The sonopartogram: A novel method for recording progress of labor by ultrasound. Ultrasound Obstet. Gynecol. 2014, 43, 189–194. [Google Scholar] [CrossRef]
- Dimassi, K.; Hammami, A. Agreement between digital vaginal examination and intrapartum ultrasound for labour monitoring. J. Obstet. Gynaecol. 2022, 42, 981–988. [Google Scholar] [CrossRef]
- Usman, S.; Wilkinson, M.; Barton, H.; Lees, C.C. The feasibility and accuracy of ultrasound assessment in the labor room. J. Matern. Fetal Neonatal Med. 2019, 32, 3442–3451. [Google Scholar] [CrossRef]
- Iliescu, D.G.; Tudorache, S.; Cara, M.L.; Dragusin, R.; Carbunaru, O.; Florea, M.; Patru, C.; Zorila, L.; Dragoescu, N.A.; Novac, L.; et al. Acceptability of Intrapartum Ultrasound Monitoring—Experience from a Romanian Longitudinal Study. Curr. Health Sci. J. 2015, 41, 355–360. [Google Scholar] [CrossRef]
- Seval, M.M.; Yuce, T.; Kalafat, E.; Duman, B.; Aker, S.S.; Kumbasar, H.; Koc, A. Comparison of effects of digital vaginal examination with transperineal ultrasound during labor on pain and anxiety levels: A randomized controlled trial. Ultrasound Obstet. Gynecol. 2016, 48, 695–700. [Google Scholar] [CrossRef]
- Usman, S.; Barton, H.; Wilhelm-Benartzi, C.; Lees, C.C. Ultrasound is better tolerated than vaginal examination in and before labour. Aust. N. Z. J. Obstet. Gynaecol. 2019, 59, 362–366. [Google Scholar] [CrossRef] [PubMed]
- Mohan, A.; Mittal, P.; Bharti, R.; Grover, S.B.; Suri, J.; Mohan, U. Assessment of labor progression by intrapartum ultrasonography among term nulliparous women. Int. J. Gynaecol. Obstet. 2019, 147, 78–82. [Google Scholar] [CrossRef] [PubMed]
- Wiafe, Y.A.; Whitehead, B.; Venables, H.; Dassah, E.T. Acceptability of intrapartum ultrasound by mothers in an African population. J. Ultrasound 2020, 23, 55–59. [Google Scholar] [CrossRef] [PubMed]
- Gluck, O.; Mizrachi, Y.; Ganer Herman, H.; Bar, J.; Kovo, M.; Weiner, E. The correlation between the number of vaginal examinations during active labor and febrile morbidity, a retrospective cohort study. BMC Pregnancy Childbirth 2020, 20, 246. [Google Scholar] [CrossRef]
- Lemma, K.; Berhane, Y. Early onset neonatal sepsis and its associated factors: A cross-sectional study. BMC Pregnancy Childbirth 2024, 24, 617. [Google Scholar] [CrossRef]
- Oberman, M.; Avrahami, I.; Lavi Shoseyov, N.; Kandel, A.; Ben-Arie, A.; Sacagiu, M.; Vaisbuch, E.; Levy, R. Assessment of labor progress by ultrasound vs manual examination: A randomized controlled trial. Am. J. Obstet. Gynecol. MFM 2023, 5, 100817. [Google Scholar] [CrossRef]






| Characteristic | Value Average (Min–Max, Median) Total—239 Patients |
|---|---|
| Age (years old) | 26 (14–43, 24) |
| BMI | 28 (18–40, 27) |
| Living environment | |
| Urban | 107 pts. (44.77%) |
| Rural | 132 pts. (55.23%) |
| Pregnancy follow-up | |
| Yes | 149 pts. (62.34%) |
| No | 90 pts. (37.66%) |
| Gravidity | 3 (1–25, 3) |
| Parity | 2 (1–8, 2) |
| Gestational age by LMP/first trimester ultrasound (weeks) | 38 (30–41, 38) |
| Gestational age by ultrasound at admission (weeks) | 36 (30–40, 36) |
| Membrane status at admission | |
| Intact | 120 pts. (50.21%) |
| Ruptured | 119 pts. (49.79%) |
| Clear amniotic fluid | 109 pts. (45.61%) |
| Meconium-stained | 10 pts. (4.18%) |
| Number of vaginal examinations during labor monitoring | 4 (2–6, 3) |
| Number of vaginal examinations per hour | 1.00 (0.17–2.42, 1.00) |
| Characteristic | Value Average (Min-Max, Median) |
|---|---|
| Estimated fetal weight by ultrasound (grams) | 3062 (1465–4148, 3100) |
| Neonatal weight at birth (grams) | 3057 (1430–4140, 3070) |
| Difference between estimated fetal weight and neonatal weight | 197 g (max. underestimation 730 g, max. overestimation 632 g, median difference 20 g) |
| Neonate gender | |
| Male | 110 pts. (46.03%) |
| Female | 129 pts. (53.97%) |
| Apgar score | 9 (1–9, 9) |
| Dilatation | Number of Patients with Intact Membranes (% from Subgroup) | Number of Patients with Ruptured Membranes (% from Subgroup) | Ultrasound Parameter—Dilatation Measurement | p-Value |
|---|---|---|---|---|
| 2–3 cm | 18 (62.07%) | 11 (37.93%) | Mean Diameter | 0.6199 |
| Anteroposterior Diameter | 0.6034 | |||
| Transverse Diameter | 0.8568 | |||
| 3–4 cm | 26 (49.05%) | 27 (50.95%) | Mean Diameter | 0.5099 |
| Anteroposterior Diameter | 0.9290 | |||
| Transverse Diameter | 0.3973 | |||
| 4–5 cm | 30 (55.55%) | 24 (44.45%) | Mean Diameter | 0.3379 |
| Anteroposterior Diameter | 0.7405 | |||
| Transverse Diameter | 0.4640 | |||
| 5–6 cm | 28 (59.57%) | 19 (40.43%) | Mean Diameter | 0.1554 |
| Anteroposterior Diameter | 0.7040 | |||
| Transverse Diameter | 0.0947 | |||
| 6–7 cm | 7 (31.81%) | 15 (68.19%) | Mean Diameter | 0.3590 |
| Anteroposterior Diameter | 0.5487 | |||
| Transverse Diameter | 0.1478 | |||
| 7–8 cm | 11 (32.35%) | 23 (67.65%) | Mean Diameter | 0.0224 |
| Anteroposterior Diameter | 0.1301 | |||
| Transverse Diameter | 0.0109 | |||
| 8–9 cm | 5 (12.50%) | 35 (87.50%) | Mean Diameter | 0.4864 |
| Anteroposterior Diameter | 0.8533 | |||
| Transverse Diameter | 0.4131 | |||
| 9–10 cm | 0 (0%) | 13 (100%) | Mean Diameter | n/a |
| Anteroposterior Diameter | n/a | |||
| Transverse Diameter | n/a | |||
| FULL DILATATION | 4 (2.15%) | 182 (97.85%) | Mean Diameter | 0.1747 |
| Anteroposterior Diameter | 0.1243 | |||
| Transverse Diameter | 0.7925 |
| Dilatation | Mean Difference Between Measurements Performed on Intact Membranes vs. Ruptured Membranes | Most Accurate Diameter Measurement by Dilatation Level | ||
|---|---|---|---|---|
| Mean Diameter (mm) | Anteroposterior Diameter (mm) | Transverse Diameter (mm) | ||
| 2–3 cm | 5.33 | 6.69 | 5.88 | Mean Diameter |
| 3–4 cm | 5.26 | 6.70 | 7.28 | Mean Diameter |
| 4–5 cm | 5.47 | 7.50 | 7.21 | Mean Diameter |
| 5–6 cm | 7.20 | 9.04 | 9.20 | Mean Diameter |
| 6–7 cm | 6.80 | 8.96 | 7.58 | Mean Diameter |
| 7–8 cm | 7.38 | 10.47 | 9.06 | Mean Diameter |
| 8–9 cm | 11.04 | 13.12 | 10.70 | Transverse Diameter |
| 9–10 cm | 19.58 | 24.18 | 15.28 | Transverse Diameter |
| FULL DILATATION | 21.35 | 20.98 | 21.75 | Anteroposterior Diameter |
Disclaimer/Publisher’s Note: The statements, opinions and data contained in all publications are solely those of the individual author(s) and contributor(s) and not of MDPI and/or the editor(s). MDPI and/or the editor(s) disclaim responsibility for any injury to people or property resulting from any ideas, methods, instructions or products referred to in the content. |
© 2025 by the authors. Licensee MDPI, Basel, Switzerland. This article is an open access article distributed under the terms and conditions of the Creative Commons Attribution (CC BY) license (https://creativecommons.org/licenses/by/4.0/).
Share and Cite
Roșu, G.-A.; Navolan, D.-B.; Neacșu, A.; Semeș, Ș.-F.; Ionescu, C.-A. Membrane Status and Reliability of Intrapartum Transperineal Ultrasound in Cervical Dilatation Assessment. Healthcare 2025, 13, 1322. https://doi.org/10.3390/healthcare13111322
Roșu G-A, Navolan D-B, Neacșu A, Semeș Ș-F, Ionescu C-A. Membrane Status and Reliability of Intrapartum Transperineal Ultrasound in Cervical Dilatation Assessment. Healthcare. 2025; 13(11):1322. https://doi.org/10.3390/healthcare13111322
Chicago/Turabian StyleRoșu, George-Alexandru, Dan-Bogdan Navolan, Adrian Neacșu, Ștefan-Florentin Semeș, and Crîngu-Antoniu Ionescu. 2025. "Membrane Status and Reliability of Intrapartum Transperineal Ultrasound in Cervical Dilatation Assessment" Healthcare 13, no. 11: 1322. https://doi.org/10.3390/healthcare13111322
APA StyleRoșu, G.-A., Navolan, D.-B., Neacșu, A., Semeș, Ș.-F., & Ionescu, C.-A. (2025). Membrane Status and Reliability of Intrapartum Transperineal Ultrasound in Cervical Dilatation Assessment. Healthcare, 13(11), 1322. https://doi.org/10.3390/healthcare13111322

