Right-to-Left Shunt Evaluation in Cardiac Patent Foramen Ovale Using Bubble Contrast Transcranial Color-Coded Doppler: A Cryptogenic Stroke Case
Abstract
1. Introduction
2. Case Report
2.1. Patient Characteristics
2.2. Diagnosis and Treatment of the Cause of CS in This Case Report
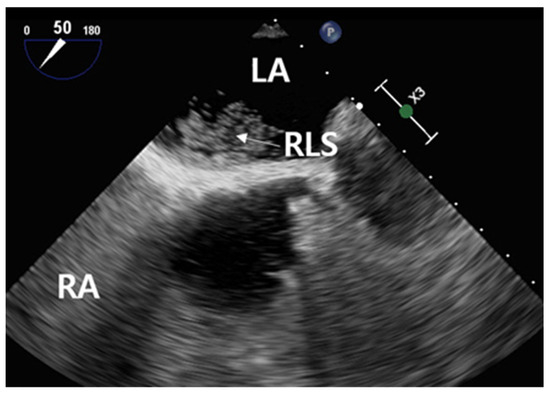
2.2.1. Cardiac Testing
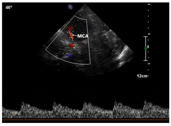
2.2.2. Contrast-Enhanced TCCD
2.2.3. Contrast-Enhanced Transesophageal Echocardiography
2.2.4. Patent Foramen Ovale Closure
3. Discussion
4. Conclusions
- The TCCD method, which utilizes a bubble contrast agent for screening RLS in PFO, showed a faster ability to handle interruptions in blood flow signals caused by patient movement compared to the established TCD test method.
- The assessment of RLS using C-TCCD and TEE, along with the morphological examination of the PFO, played a crucial role in determining the need for PFO closure.
- The significance of C-TCCD screening in identifying RLS induced by PFO was reaffirmed in patients with CS who are struggling to determine the cause of their ischemic stroke.
- In this case, the patient was young and was found to have a PFO with characteristics that suggest a high risk. Consequently, the initial therapeutic approach prioritized closing the PFO over pharmacological intervention.
Author Contributions
Funding
Institutional Review Board Statement
Informed Consent Statement
Data Availability Statement
Conflicts of Interest
References
- Kamel, H. The Evolving Concept of Cryptogenic Stroke. Continuum 2020, 26, 353–362. [Google Scholar] [CrossRef] [PubMed]
- Yaghi, S.; Bernstein, R.A.; Passman, R.; Okin, P.M.; Furie, K.L. Cryptogenic Stroke: Research and Practice. Circ. Res. 2017, 120, 527–540. [Google Scholar] [CrossRef] [PubMed]
- Homma, S.; Sacco, R.L. Patent Foramen Ovale and Stroke. Circ. J. 2016, 80, 1665–1673. [Google Scholar] [CrossRef]
- Ning, M.; Lo, E.H.; Ning, P.-C.; Xu, S.Y.; McMullin, D.; Demirjian, Z.; Inglessis, I.; Dec, G.W.; Palacios, I.; Buonanno, F.S. The brain’s heart—Therapeutic opportunities for patent foramen ovale (PFO) and neurovascular disease. Pharmacol. Ther. 2013, 139, 111–123. [Google Scholar] [CrossRef] [PubMed][Green Version]
- Pöyhönen, P.; Kuusisto, J.; Pirinen, J.; Räty, H.; Lehmonen, L.; Paakkanen, R.; Martinez-Majander, N.; Gerdts, E.; Putaala, J.; Sinisalo, J.; et al. Right atrium and cryptogenic ischaemic stroke in the young: A case-control study. Open Heart 2021, 8, e001596. [Google Scholar] [CrossRef] [PubMed]
- Kalisz, K.; Buethe, J.; Saboo, S.S.; Abbara, S.; Halliburton, S.; Rajiah, P. Artifacts at Cardiac CT: Physics and Solutions. Radiographics 2016, 36, 2064–2083. [Google Scholar] [CrossRef]
- Chhabra, N.; Kumar, G.; Fruin, J.; Dumitrascu, O.M. Right-to-left shunt detection using transforaminal insonation of the basilar artery. J. Neuroimaging 2021, 31, 696–700. [Google Scholar] [CrossRef]
- Mojadidi, M.K.; Bogush, N.; Caceres, J.D.; Msaouel, P.; Tobis, J.M. Diagnostic accuracy of transesophageal echocardiogram for the detection of patent foramen ovale: A meta-analysis. Echocardiography 2014, 31, 752–758. [Google Scholar] [CrossRef]
- Yu, S.; Zhang, H.; Li, H. Cardiac Computed Tomography Versus Transesophageal Echocardiography for the Detection of Left Atrial Appendage Thrombus: A Systemic Review and Meta-Analysis. J. Am. Heart Assoc. 2021, 10, e022505. [Google Scholar] [CrossRef]
- Huang, G.; Johnson, L.L.; Peacock, J.E., Jr.; Tegeler, C.; Davis, K.; Sarwal, A. Transcranial Doppler Emboli Monitoring for Infective Endocarditis. J. Neuroimaging 2020, 30, 486–492. [Google Scholar] [CrossRef]
- Komar, M.; Olszowska, M.; Przewłocki, T.; Podolec, J.; Stępniewski, J.; Sobień, B.; Badacz, R.; Kabłak-Ziembicka, A.; Tomkiewicz-Pająk, L.; Podolec, P. Transcranial Doppler ultrasonography should it be the first choice for persistent foramen ovale screening? Cardiovasc. Ultrasound 2014, 12, 16. [Google Scholar] [CrossRef] [PubMed]
- Saver, J.L.; Mattle, H.P.; Thaler, D. Patent Foramen Ovale Closure Versus Medical Therapy for Cryptogenic Ischemic Stroke: A Topical Review. Stroke 2018, 49, 1541–1548. [Google Scholar] [CrossRef] [PubMed]
- Van der Giessen, H.; Wilson, L.C.; Coffey, S.; Whalley, G.A. Review: Detection of patient foramen ovale using transcranial Doppler or standard echocardiography. Australas. J. Ultrasound Med. 2020, 23, 210–219. [Google Scholar] [CrossRef]
- Katsanos, A.H.; Psaltopoulou, T.; Sergentanis, T.N.; Frogoudaki, A.; Vrettou, A.R.; Ikonomidis, I.; Paraskevaidis, I.; Parissis, J.; Bogiatzi, C.; Zompola, C.; et al. Transcranial Doppler versus transthoracic echocardiography for the detection of patent foramen ovale in patients with cryptogenic cerebral ischemia: A systematic review and diagnostic test accuracy meta-analysis. Ann. Neurol. 2016, 79, 625–635. [Google Scholar] [CrossRef]
- Liu, F.; Kong, Q.; Zhang, X.; Li, Y.; Liang, S.; Han, S.; Li, G. Comparative analysis of the diagnostic value of several methods for the diagnosis of patent foramen ovale. Echocardiography 2021, 38, 790–797. [Google Scholar] [CrossRef] [PubMed]
- Bal, D.; Ahmed Shaikh, A.I.; Rayani, M.; Aaron, S.; Thompson, V.S.; Jose, J.; Krupa, J.; Benjamin, R.N.; Rajkumar, J.L.; Prabhakar, A.T. Transcranial Doppler Screening for Patent Foramen Ovale Closure in Cryptogenic Strokes in Young: A Single Center Experience from South India. J. Assoc. Physicians India 2022, 70, 11–12. [Google Scholar] [CrossRef]
- Song, J.K. Pearls and Pitfalls in the Transesophageal Echocardiographic Diagnosis of Patent Foramen Ovale. J. Am. Soc. Echocardiogr. 2023, 36, 895–905.e3. [Google Scholar] [CrossRef]
- Aaslid, R. (Ed.) The Doppler Principle Applied to Measurement of Blood Flow Velocity in Cerebral Arteries. In Transcranial Doppler Sonography; Springer: Vienna, Austria, 1986; pp. 22–38. [Google Scholar] [CrossRef]
- Alexandrov, A.V.; Sloan, M.A.; Wong, L.K.; Douville, C.; Razumovsky, A.Y.; Koroshetz, W.J.; Kaps, M.; Tegeler, C.H.; American Society of Neuroimaging. Practice Guidelines Committee Practice standards for transcranial Doppler ultrasound: Part I—Test performance. J. Neuroimaging 2007, 17, 11–18. [Google Scholar] [CrossRef]
- Saqqur, M.; Khan, K.; Derksen, C.; Alexandrov, A.; Shuaib, A. Transcranial Doppler and Transcranial Color Duplex in Defining Collateral Cerebral Blood Flow. J. Neuroimaging 2018, 28, 455–476. [Google Scholar] [CrossRef]
- Eggers, J. Acute stroke: Therapeutic transcranial color duplex sonography. Front. Neurol. Neurosci. 2006, 21, 162–170. [Google Scholar] [CrossRef]
- Bogdahn, U.; Becker, G.; Winkler, J.; Greiner, K.; Perez, J.; Meurers, B. Transcranial color-coded real-time sonography in adults. Stroke 1990, 21, 1680–1688. [Google Scholar] [CrossRef] [PubMed]
- Pan, Z.; Xiao, Y.; Wang, Z.; Kong, B. The Size Distribution of the Agitated Saline Microbubbles for c-TCD generated using Standard Manual Methods. Authorea 2023, 2023090330. [Google Scholar] [CrossRef]
- Ries, S.; Schminke, U.; Daffertshofer, M.; Hennerici, M. High intensity transient signals (HITS) in patients with carotid artery disease. Eur. J. Med. Res. 1996, 1, 328–330. [Google Scholar] [PubMed]
- Lao, A.Y.; Sharma, V.K.; Tsivgoulis, G.; Frey, J.L.; Malkoff, M.D.; Navarro, J.C.; Alexandrov, A.V. Detection of right-to-left shunts: Comparison between the International Consensus and Spencer Logarithmic Scale criteria. J. Neuroimaging 2008, 18, 402–406. [Google Scholar] [CrossRef] [PubMed]
- Nakayama, R.; Takaya, Y.; Akagi, T.; Watanabe, N.; Ikeda, M.; Nakagawa, K.; Toh, N.; Ito, H. Identification of High-Risk Patent Foramen Ovale Associated with Cryptogenic Stroke: Development of a Scoring System. J. Am. Soc. Echocardiogr. 2019, 32, 811–816. [Google Scholar] [CrossRef] [PubMed]
- Koutroulou, I.; Tsivgoulis, G.; Tsalikakis, D.; Karacostas, D.; Grigoriadis, N.; Karapanayiotides, T. Epidemiology of Patent Foramen Ovale in General Population and in Stroke Patients: A Narrative Review. Front. Neurol. 2020, 11, 281. [Google Scholar] [CrossRef]
- Yuan, K.; Kasner, S.E. Patent foramen ovale and cryptogenic stroke: Diagnosis and updates in secondary stroke prevention. Stroke Vasc. Neurol. 2018, 3, 84–91. [Google Scholar] [CrossRef]
- Arauz, A.; Murillo, L.; Márquez, J.M.; Tamayo, A.; Cantú, C.; Roldan, F.J.; Vargas-Barrón, J.; Barinagarrementeria, F. Long-term risk of recurrent stroke in young cryptogenic stroke patients with and without patent foramen ovale. Int. J. Stroke 2012, 7, 631–634. [Google Scholar] [CrossRef]
- Yılmaz, Ö.Ç.; Özkan, S. Is Masked Hypertension an underlying Cause of Unexplained Left Ventricle Hypertrophy? Clin. Exp. Hypertens. 2021, 43, 138–141. [Google Scholar] [CrossRef]
- Lovic, D.; Narayan, P.; Pittaras, A.; Faselis, C.; Doumas, M.; Kokkinos, P. Left ventricular hypertrophy in athletes and hypertensive patients. J. Clin. Hypertens. 2017, 19, 413–417. [Google Scholar] [CrossRef]
- Beladan, C.C.; Botezatu, S.; Popescu, B.A. Reversible left ventricular diastolic dysfunction-Overview and clinical implications. Echocardiography 2020, 37, 1957–1966. [Google Scholar] [CrossRef] [PubMed]
- Sen, S.; Laowatana, S.; Lima, J.; Oppenheimer, S.M. Risk factors for intracardiac thrombus in patients with recent ischaemic cerebrovascular events. J. Neurol. Neurosurg. Psychiatry 2004, 75, 1421–1425. [Google Scholar] [CrossRef] [PubMed]
- Furlan, A.J.; Reisman, M.; Massaro, J.; Mauri, L.; Adams, H.; Albers, G.W.; Felberg, R.; Herrmann, H.; Kar, S.; Landzberg, M.; et al. Investigators Closure or medical therapy for cryptogenic stroke with patent foramen ovale. N. Engl. J. Med. 2012, 366, 991–999. [Google Scholar] [CrossRef] [PubMed]
- Khan, R. Examining the evidence for PFO closure and novel oral anticoagulants for treatment of cryptogenic stroke. Expert Rev. Cardiovasc. Ther. 2020, 18, 139–148. [Google Scholar] [CrossRef]
- Cheng, T.; Gonzalez, J.B.; Testai, F.D. Advances and ongoing controversies in PFO closure and cryptogenic stroke. Handb. Clin. Neurol. 2021, 177, 43–56. [Google Scholar] [CrossRef]
- Chen, J.Z.; Thijs, V.N. Atrial Fibrillation Following Patent Foramen Ovale Closure: Systematic Review and Meta-Analysis of Observational Studies and Clinical Trials. Stroke 2021, 52, 1653–1661. [Google Scholar] [CrossRef]









Disclaimer/Publisher’s Note: The statements, opinions and data contained in all publications are solely those of the individual author(s) and contributor(s) and not of MDPI and/or the editor(s). MDPI and/or the editor(s) disclaim responsibility for any injury to people or property resulting from any ideas, methods, instructions or products referred to in the content. |
© 2023 by the authors. Licensee MDPI, Basel, Switzerland. This article is an open access article distributed under the terms and conditions of the Creative Commons Attribution (CC BY) license (https://creativecommons.org/licenses/by/4.0/).
Share and Cite
Ji, M.-H.; Seoung, Y.-H. Right-to-Left Shunt Evaluation in Cardiac Patent Foramen Ovale Using Bubble Contrast Transcranial Color-Coded Doppler: A Cryptogenic Stroke Case. Healthcare 2023, 11, 2655. https://doi.org/10.3390/healthcare11192655
Ji M-H, Seoung Y-H. Right-to-Left Shunt Evaluation in Cardiac Patent Foramen Ovale Using Bubble Contrast Transcranial Color-Coded Doppler: A Cryptogenic Stroke Case. Healthcare. 2023; 11(19):2655. https://doi.org/10.3390/healthcare11192655
Chicago/Turabian StyleJi, Myeong-Hoon, and Youl-Hun Seoung. 2023. "Right-to-Left Shunt Evaluation in Cardiac Patent Foramen Ovale Using Bubble Contrast Transcranial Color-Coded Doppler: A Cryptogenic Stroke Case" Healthcare 11, no. 19: 2655. https://doi.org/10.3390/healthcare11192655
APA StyleJi, M.-H., & Seoung, Y.-H. (2023). Right-to-Left Shunt Evaluation in Cardiac Patent Foramen Ovale Using Bubble Contrast Transcranial Color-Coded Doppler: A Cryptogenic Stroke Case. Healthcare, 11(19), 2655. https://doi.org/10.3390/healthcare11192655

