RgC3H Involves in the Biosynthesis of Allelopathic Phenolic Acids and Alters Their Release Amount in Rehmannia glutinosa Roots
Abstract
1. Introduction
2. Results
2.1. Cloning and Sequence Analysis of the Full-Length RgC3H Gene
2.2. Analysis of the Subcellular Localization of RgC3H
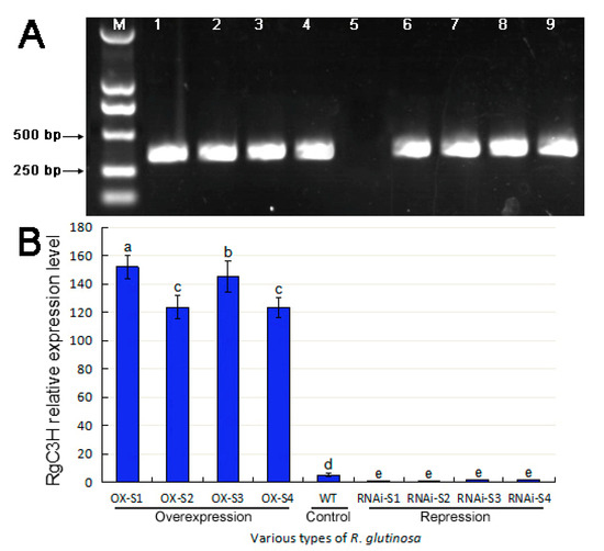
2.3. Generation and Molecular Identification of Transgenic R. glutinosa
2.4. Analysis of Allelopathic Phenolic Acid Production in Transgenic R. glutinosa Roots
2.5. Analysis of the Accumulation and Release Amount of Allelopathic Phenolic Acids in Transgenic Roots
2.6. Gene Expression Related to the Phenolic Acid/Phenylpropanoid Pathways in RgC3H-Transgenic Roots
3. Discussion
3.1. Characterization of the RgC3H Gene as a P450 Hydroxylase in R. glutinosa
3.2. RgC3H Overexpression and Repression Reveal a Contribution to Allelopathic Phenolic Acid Biosynthesis
3.3. RgC3H Positively Alters the Release Amount of Allelopathic Phenolic Acids from R. glutinosa Roots Via the Activated Phenolic Acid/Phenylpropanoid Pathways
4. Materials and Methods
4.1. Cloning of the Full-Length cDNA of the RgC3H Gene
4.2. In Silico Analysis
4.3. Construction of RgC3H Vectors
4.4. Agrobacterium-Mediated Transformation
4.5. Transient Expression for Subcellular Localization
4.6. Establishment and Confirmation of R. glutinosa Transformation
4.7. QRT-PCR Analysis
4.8. Transgenic R. glutinosa Transplantation and Culture
4.9. Phenolic Acid Content Assay
4.10. Statistical Analyses
5. Conclusions
Supplementary Materials
Author Contributions
Funding
Conflicts of Interest
References
- Wen, X.S.; Yang, S.L.; Wei, J.H.; Zheng, J.H. Textual research on planting history of Rehmannia glutinosa and its cultivated varieties. Chin. Trad. Herbal Drugs 2002, 33, 946–949. (In Chinese) [Google Scholar]
- Gong, W.; Zhang, N.; Cheng, G.; Zhang, Q.; He, Y.; Shen, Y.; Zhang, Q.; Zhu, B.; Zhang, Q.; Qin, L. Rehmannia glutinosa Libosch extracts prevent bone loss and architectural deterioration and enhance osteoblastic bone formation by regulating the IGF-1/PI3K/mTOR pathway in streptozotocin-induced diabetic rats. Int. J. Mol. Sci. 2019, 20, 3964. [Google Scholar] [CrossRef] [PubMed]
- Li, Z.F.; Yang, Y.Q.; Xie, D.F.; Zhu, L.F.; Zhang, Z.G.; Lin, W.X. Identification of autotoxic compounds in fibrous roots of Rehmannia (Rehmannia glutinosa Libosch). PLoS ONE 2012, 7, e28806. [Google Scholar] [CrossRef] [PubMed]
- Li, M.; Yang, Y.; Feng, F.; Zhang, B.; Chen, S.; Yang, C.; Gu, L.; Wang, F.; Zhang, J.; Chen, A.; et al. Differential proteomic analysis of replanted Rehmannia glutinosa roots by iTRAQ reveals molecular mechanisms for formation of replant disease. BMC Plant Biol. 2017, 17, 116. [Google Scholar] [CrossRef]
- Wu, L.K.; Wang, J.Y.; Wu, H.M.; Chen, J.; Xiao, Z.G.; Qin, X.J.; Zhang, Z.Y.; Lin, W.X. Comparative metagenomic analysis of rhizosphere microbial community composition and functional potentials under Rehmannia glutinosa consecutive monoculture. Int. J. Mol. Sci. 2018, 19, 2394. [Google Scholar] [CrossRef]
- Wu, L.; Wang, J.Y.; Huang, W.M.; Wu, H.M.; Chen, J.; Yang, Y.Q.; Zhang, Z.Y.; Lin, W.X. Plant-microbe rhizosphere interactions mediated by Rehmannia glutinosa root exudates under consecutive monoculture. Sci. Rep. 2015, 5, 1587. [Google Scholar] [CrossRef]
- Ren, X.; He, X.; Zhang, Z.; Yan, Z.; Jin, H.; Li, X.; Qin, B. Isolation, identification, and autotoxicity effect of allelochemicals from rhizosphere soils of flue-cured tobacco. J. Agric. Food Chem. 2015, 63, 8975–8980. [Google Scholar] [CrossRef]
- Ding, H.; Ali, A.; Cheng, Z. An allelopathic role for garlic root exudates in the regulation of carbohydrate metabolism in cucumber in a hydroponic co-culture system. Plants 2019, 9, 45. [Google Scholar] [CrossRef]
- Li, M.J.; Feng, F.J.; Zhang, B.; Gu, L.; Wang, F.Q.; Yang, Y.H.; Tian, Y.H.; Chen, X.J.; Zhang, Z.Y. Advances on molecular mechanisms of Rehmannia glutinosa consecutive monoculture problem formation in multi-omics era. China J. Chin. Mater. Med. 2017, 42, 413–419. (In Chinese) [Google Scholar]
- Zhang, B.; Li, X.; Zhang, L.; Gu, L.; Feng, F.; Wang, F.; Lin, W.; Zhang, Z. Alleviatory effect of spent Pleurotus eryngii Quel substrate on replant problem of Rehmannia glutinosa Libosch. Int. J. Phytoremediat. 2018, 20, 61–67. [Google Scholar] [CrossRef]
- Ghimire, B.K.; Ghimire, B.; Yu, C.Y.; Chung, I.M. Allelopathic and autotoxic effects of Medicago sativa—Derived allelochemicals. Plants 2019, 8, 233. [Google Scholar] [CrossRef]
- Zhang, Z.; Fan, J.; Wu, J.; Zhang, L.; Wang, J.; Zhang, B.; Wang-Pruski, G. Alleviating effect of silicon on melon seed germination under autotoxicity stress. Ecotoxicol. Environ. Saf. 2020, 188, 109901. [Google Scholar] [CrossRef] [PubMed]
- Li, J.; Lin, S.; Zhang, Q.; Zhang, Q.; Hu, W.; He, H. Fine-root traits of allelopathic rice at the seedling stage and their relationship with allelopathic potential. PeerJ 2019, 7, e7006. [Google Scholar] [CrossRef] [PubMed]
- Singh, N.B.; Deen, S. Allelopathic potential of ferulic acid on tomato. Tunis. J. Plant Prot. 2014, 9, 1–9. [Google Scholar]
- Kim, J.Y.; Swanson, R.T.; Alvarez, M.I.; Johnson, T.S.; Cho, K.H.; Clark, D.G.; Colquhoun, T.A. Down regulation of p-coumarate 3-hydroxylase in petunia uniquely alters the profile of emitted floral volatiles. Sci. Rep. 2019, 9, 8852. [Google Scholar] [CrossRef]
- Franke, R.; Humphreys, J.M.; Hemm, M.R.; Denault, J.W.; Ruegger, M.O.; Cusumano, J.C.; Chapple, C. The Arabidopsis REF8 gene encodes the 3-hydroxylase of phenylpropanoid metabolism. Plant J. 2002, 30, 33–45. [Google Scholar] [CrossRef]
- Franke, R.; Hemm, M.R.; Denault, J.W.; Ruegger, M.O.; Humphreys, J.M.; Chapple, C. Changes in secondary metabolism and deposition of an unusual lignin in the ref8 mutant of Arabidopsis. Plant J. 2002, 30, 47–59. [Google Scholar] [CrossRef]
- Garbber, J.H.; Ralph, J.; Méchin, V.; Lapierre, C.; Barrière, Y. Genetic and molecular basis of grass cell-wall degradability. I. Lignin–cell wall matrix interactions. Comptes Rendus Biol. 2004, 327, 455–465. [Google Scholar] [CrossRef]
- Mahesh, V.; Million-Rousseau, R.; Ullmann, P.; Chabrillange, N.; Bustamante, J.; Mondolot, L.; Morant, M.; Noirot, M.; Hamon, S.; de Kochko, A.; et al. Functional characterization of two p-coumaroyl ester 3′-hydroxylase genes from coffee tree: Evidence of a candidate for chlorogenic acid biosynthesis. Plant Mol. Biol. 2007, 64, 145–159. [Google Scholar] [CrossRef]
- Xue, Y.; Zhang, Y.; Grace, S.; He, Q. Functional expression of an Arabidopsisp 450 enzyme, p-coumarate-3-hydroxylase, in the cyanobacterium Synechocystis PCC 6803 for the biosynthesis of caffeic acid. J. Appl. Phycol. 2014, 26, 219–226. [Google Scholar] [CrossRef]
- Schoch, G.; Goepfert, S.; Morant, M.; Hehn, A.; Meyer, D.; Ullmann, P.; Werck-Reichhart, D. CYP98A3 from Arabidopsis thaliana is a 3′-hydroxylase of phenolic esters, a missing link in the phenylpropanoid pathway. J. Biol. Chem. 2001, 276, 36566–36574. [Google Scholar] [CrossRef] [PubMed]
- Takeda, Y.; Tobimatsu, Y.; Karlen, S.D.; Koshiba, T.; Suzuki, S.; Yamamura, M.; Murakami, S.; Mukai, M.; Hattori, T.; Osakabe, K.; et al. Downregulation of p-COUMAROYL ESTER 3-HYDROXYLASE in rice leads to altered cell wall structures and improves biomass saccharification. Plant J. 2018, 95, 796–811. [Google Scholar] [CrossRef] [PubMed]
- Nelson, D.; Werck-Reichhart, D. A P450-centric view of plant evolution. Plant J. 2011, 66, 194–211. [Google Scholar] [CrossRef] [PubMed]
- Mizutani, M.; Ohta, D. Diversification of P450 genes during land plant evolution. Annu. Rev. Plant Biol. 2010, 61, 291–315. [Google Scholar] [CrossRef]
- Wang, A.; Zhu, M.; Luo, Y.; Liu, Y.; Li, R.; Kou, M.; Wang, X.; Zhang, Y.; Meng, X.; Zheng, Y.I.; et al. A sweet potato cinnamate 4-hydroxylase gene, IbC4H, increases phenolics content and enhances drought tolerance in tobacco. Acta Physiol. Plant 2017, 39, 276. [Google Scholar] [CrossRef]
- Abdulrazzak, N.; Pollet, B.; Ehlting, J.; Larsen, K.; Asnaghi, C.; Ronseau, S.; Proux, C.; Erhardt, M.; Seltzer, V.; Renou, J.P.; et al. A coumaroyl-ester-3-hydroxylase insertion mutant reveals the existence of nonredundant meta-hydroxylation pathways and essential roles for phenolic precursors in cell expansion and plant growth. Plant Physiol. 2006, 140, 30–48. [Google Scholar] [CrossRef]
- Bassard, J.E.; Richert, L.; Geerinck, J.; Renault, H.; Duval, F.; Ullmann, P.; Schmitt, M.; Meyer, E.; Mutterer, J.; Boerjan, W.; et al. Protein-protein and protein-membrane associations in the lignin pathway. Plant Cell 2012, 24, 4465–4482. [Google Scholar] [CrossRef]
- Ro, D.K.; Mah, N.; Ellis, B.E.; Douglas, C.J. Functional characterization and subcellular localization of poplar (Populus trichocarpa × Populus deltoids) cinnamate 4-hydroxylase. Plant Physiol. 2001, 126, 317–329. [Google Scholar] [CrossRef]
- Achnine, L.; Blancaflflor, E.B.; Rasmussen, S.; Dixon, R.A. Colocalization of L-phenylalanine ammonia-lyase and cinnamate 4-hydroxylase for metabolic channeling in phenylpropanoid biosynthesis. Plant Cell 2004, 16, 3098–3109. [Google Scholar] [CrossRef]
- Kumar, R.; Vashisth, D.; Misra, A.; Akhtar, M.Q.; Jalil, S.U.; Shanker, K.; Gupta, M.M.; Rout, P.K.; Gupta, A.K.; Shasany, A.K. RNAi down-regulation of cinnamate-4-hydroxylase increases artemisinin biosynthesis in Artemisia annua. Sci. Rep. 2016, 6, 26458. [Google Scholar] [CrossRef]
- Coleman, H.D.; Park, J.Y.; Nair, R.; Chapple, C.; Mansfeld, S.D. RNAi-mediated suppression of p-coumaroyl-CoA 3′-hydroxylase in hybrid polar impacts lignin deposition and soluble secondary metabolism. Proc. Natl. Acad. Sci. USA 2008, 105, 4501–4506. [Google Scholar] [CrossRef]
- Kim, J.I.; Ciesielski, P.N.; Donohoe, B.S.; Chapple, C.; Li, X. Chemically induced conditional rescue of the reduced epidermal fuorescence8 mutant of Arabidopsis reveals rapid restoration of growth and selective turnover of secondary metabolite pools. Plant Physiol. 2014, 164, 584–595. [Google Scholar] [CrossRef] [PubMed]
- Kojima, M.; Takeuchi, W. Detection and characterization of p-coumaric acid hydroxylase in mung bean, Vigna mungo, seedlings. J. Biochem. 1989, 105, 265–270. [Google Scholar] [CrossRef] [PubMed]
- Ruegger, M.; Chapple, C. Mutations that reduce sinapoylmalate accumulation in Arabidopsis thaliana define loci with diverse roles in phenylpropanoid metabolism. Genetics 2001, 159, 1741–1749. [Google Scholar]
- Li, Z.F.; He, C.L.; Wang, Y.; Li, M.J.; Dai, Y.J.; Wang, T.; Lin, W. Enhancement of trichothecene mycotoxins of Fusarium oxysporum by ferulic acid aggravates oxidative damage in Rehmannia glutinosa Libosch. Sci. Rep. 2016, 6, 33962. [Google Scholar] [CrossRef]
- Mersie, W.; Singh, M. Phenolics acids affect photosynthesis and protein synthesis by isolated leaf cells of velvet-leaf. J. Chem. Ecol. 1993, 19, 1293–1301. [Google Scholar] [CrossRef]
- Zhang, B.; Li, X.Z.; Wang, F.Q.; Li, M.J.; Zhang, J.; Gu, L.; Zhang, Z.Y. Assaying the potential autotoxins and microbial community associated with Rehmannia glutinosa, replant problems based on its ‘autotoxic circle’. Plant Soil 2016, 407, 307–322. [Google Scholar] [CrossRef]
- Weston, L.A.; Ryan, P.R.; Watt, M. Mechanisms for cellular transport and release of allelochemicals from plant roots into the rhizosphere. J. Exp. Bot. 2012, 63, 3445–3454. [Google Scholar] [CrossRef] [PubMed]
- Wu, H.; Qin, X.; Wu, H.; Li, F.; Wu, J.; Zheng, L.; Wang, J.; Chen, J.; Zhao, Y.; Lin, S.; et al. Biochar mediates microbial communities and their metabolic characteristics under continuous monoculture. Chemosphere 2020, 246, 125835. [Google Scholar] [CrossRef] [PubMed]
- Syed, K.; Shinwari, Z.K. Allelopathic effect of methanolic extracts of genetically modified and non-genetically modified canola on soybean. Toxicol. Ind. Health 2013, 32, 564–575. [Google Scholar] [CrossRef] [PubMed]
- Borevitz, J.O.; Xia, Y.; Blount, J.; Dixon, R.A.; Lamb, C. Activation tagging identifies a conserved MYB regulator of phenylpropanoid biosynthesis. Plant Cell 2000, 12, 2383–2393. [Google Scholar] [CrossRef] [PubMed]
- Sato, T.; Takabe, K.; Fujita, M. Immunolocalization of phenylalanine ammonia-lyase and cinnamate-4-hydroxylase in differentiating xylem of poplar. Comptes Rendus Biol. 2004, 327, 827–836. [Google Scholar] [CrossRef] [PubMed]
- Madden, T.L.; Tatusov, R.L.; Zhang, J. Applications of network BLAST server. Meth. Enzymol. 1996, 266, 131–141. [Google Scholar]
- Wheeler, D.L.; Church, D.M.; Lash, A.E.; Leipe, D.D.; Madden, T.L.; Pontius, J.U.; Schuler, G.D.; Schriml, L.M.; Tatusova, T.A.; Wagner, L.; et al. Database resources of the National Center for Biotechnology Information: 2002 update. Nucleic Acids Res. 2002, 30, 13–16. [Google Scholar] [CrossRef] [PubMed]
- John, M. The Proteomics Protocols Handbook; Walker, J., Ed.; Humana Press: Totowa, NJ, USA, 2005; pp. 571–607. [Google Scholar]
- Geourjon, C.; Deleage, G. SOPMA: Significant improvements in protein secondary structure prediction by consensus prediction from multiple alignments. Bioinformatics 1995, 11, 681–684. [Google Scholar] [CrossRef] [PubMed]
- Sonnhammer, E.L.L.; Heijne, G.V.; Krogh, A.V. A hidden Markov model for predicting transmembrane helices in protein sequences. In Proceedings of the ISMB International Conference on Intelligent Systems for Molecular Biology, Montréal, QC, Canada, 28 June 28–1 July 1998; Volume 6, pp. 175–182. [Google Scholar]
- Nakai, K.; Horton, P. PSORT: A program for detecting sorting signals in proteins and predicting their subcellular localization. Trends Biochem. Sci. 1999, 24, 34. [Google Scholar] [CrossRef]
- Chou, K.C.; Shen, H.B. Plant-mPLoc: A top-down strategy to augment the power for predicting plant protein subcellular localization. PLoS ONE 2010, 5, e11335. [Google Scholar] [CrossRef]
- Marchler-Bauer, A.; Bryant, S.H. CD-Search: Protein domain annotations on the fly. Nucleic Acids Res. 2004, 32, 327–331. [Google Scholar] [CrossRef]
- Gattiker, A.; Gasteiger, E.; Bairoch, A. ScanProsite: A reference implementation of a PROSITE scanning tool. Appl. Bioinform. 2002, 1, 107–108. [Google Scholar]
- Kumar, S.; Stecher, G.; Tamura, K. MEGA7: Molecular evolutionary genetics analysis version 7.0 for bigger datasets. Mol. Biol. Evol. 2016, 33, 1870–1874. [Google Scholar] [CrossRef]
- Wise, A.A.; Liu, Z.; Binns, A.N. Three methods for the introduction of foreign DNA into agrobacterium. Methods Mol. Biol. 2006, 343, 43–54. [Google Scholar] [PubMed]
- Hu, W.; Huanhuan, N.; Yufei, Z.; Lu, M. Characterization of BiP genes from pepper (Capsicum annuum L.) and the role of CaBiP1 in response to endoplasmic reticulum and multiple abiotic stresses. Front. Plant Sci. 2017, 8, 1122. [Google Scholar]
- Murashige, T.; Skoog, F. A revised medium for rapid growth and bioassays with tobacco tissue cultures. Physiol. Plant. 1962, 15, 473–497. [Google Scholar] [CrossRef]
- Ma, D.; Xu, C.; Alejos-Gonzalez, F.; Wang, H.; Yang, J.; Judd, R.; Xie, D.Y. Overexpression of Artemisia annua cinnamyl alcohol dehydrogenase increases lignin and coumarin and reduces artemisinin and other sesquiterpenes. Front. Plant Sci. 2018, 9, 828. [Google Scholar] [CrossRef] [PubMed]
- Murray, M.G.; Thompson, W.F. Rapid isolation of high molecular weight plant DNA. Nucl. Acids Res. 1980, 8, 4321–4325. [Google Scholar] [CrossRef] [PubMed]
- Wu, Y.; Liu, C.; Kuang, J.; Ge, Q.; Zhang, Y.; Wang, Z. Overexpression of SmLEA enhances salt and drought tolerance in Escherichia coli and Salvia miltiorrhiza. Protoplasma 2014, 251, 1191–1199. [Google Scholar] [CrossRef]
- Thornton, B.; Basu, C. Rapid and simple method of qPCR primer design. PCR Primer Des. Methods Mol. Biol. 2015, 1275, 173–179. [Google Scholar]
- Livak, K.J.; Schmittgen, T.D. Analysis of relative gene expression data using real-time quantitative PCR and the 2 (−∆∆Ct). Methods 2001, 25, 402–408. [Google Scholar] [CrossRef]
- Grove, C.C. Statistical methods for research workers. Am. Math. Mon. 1930, 37, 547–550. [Google Scholar] [CrossRef]







© 2020 by the authors. Licensee MDPI, Basel, Switzerland. This article is an open access article distributed under the terms and conditions of the Creative Commons Attribution (CC BY) license (http://creativecommons.org/licenses/by/4.0/).
Share and Cite
Yang, Y.; Zhang, Z.; Li, R.; Yi, Y.; Yang, H.; Wang, C.; Wang, Z.; Liu, Y. RgC3H Involves in the Biosynthesis of Allelopathic Phenolic Acids and Alters Their Release Amount in Rehmannia glutinosa Roots. Plants 2020, 9, 567. https://doi.org/10.3390/plants9050567
Yang Y, Zhang Z, Li R, Yi Y, Yang H, Wang C, Wang Z, Liu Y. RgC3H Involves in the Biosynthesis of Allelopathic Phenolic Acids and Alters Their Release Amount in Rehmannia glutinosa Roots. Plants. 2020; 9(5):567. https://doi.org/10.3390/plants9050567
Chicago/Turabian StyleYang, Yanhui, Zhongyi Zhang, Ruifang Li, Yanjie Yi, Heng Yang, Chaojie Wang, Zushiqi Wang, and Yunyi Liu. 2020. "RgC3H Involves in the Biosynthesis of Allelopathic Phenolic Acids and Alters Their Release Amount in Rehmannia glutinosa Roots" Plants 9, no. 5: 567. https://doi.org/10.3390/plants9050567
APA StyleYang, Y., Zhang, Z., Li, R., Yi, Y., Yang, H., Wang, C., Wang, Z., & Liu, Y. (2020). RgC3H Involves in the Biosynthesis of Allelopathic Phenolic Acids and Alters Their Release Amount in Rehmannia glutinosa Roots. Plants, 9(5), 567. https://doi.org/10.3390/plants9050567

