Evaluation of Plant-Derived Promoters for Constitutive and Tissue-Specific Gene Expression in Potato
Abstract
1. Introduction
2. Materials and Methods
2.1. Plasmid Construction
2.2. Production of Transgenic Plants
2.3. Histochemical and Fluorometric β-glucuronidase (GUS) Assays
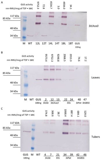
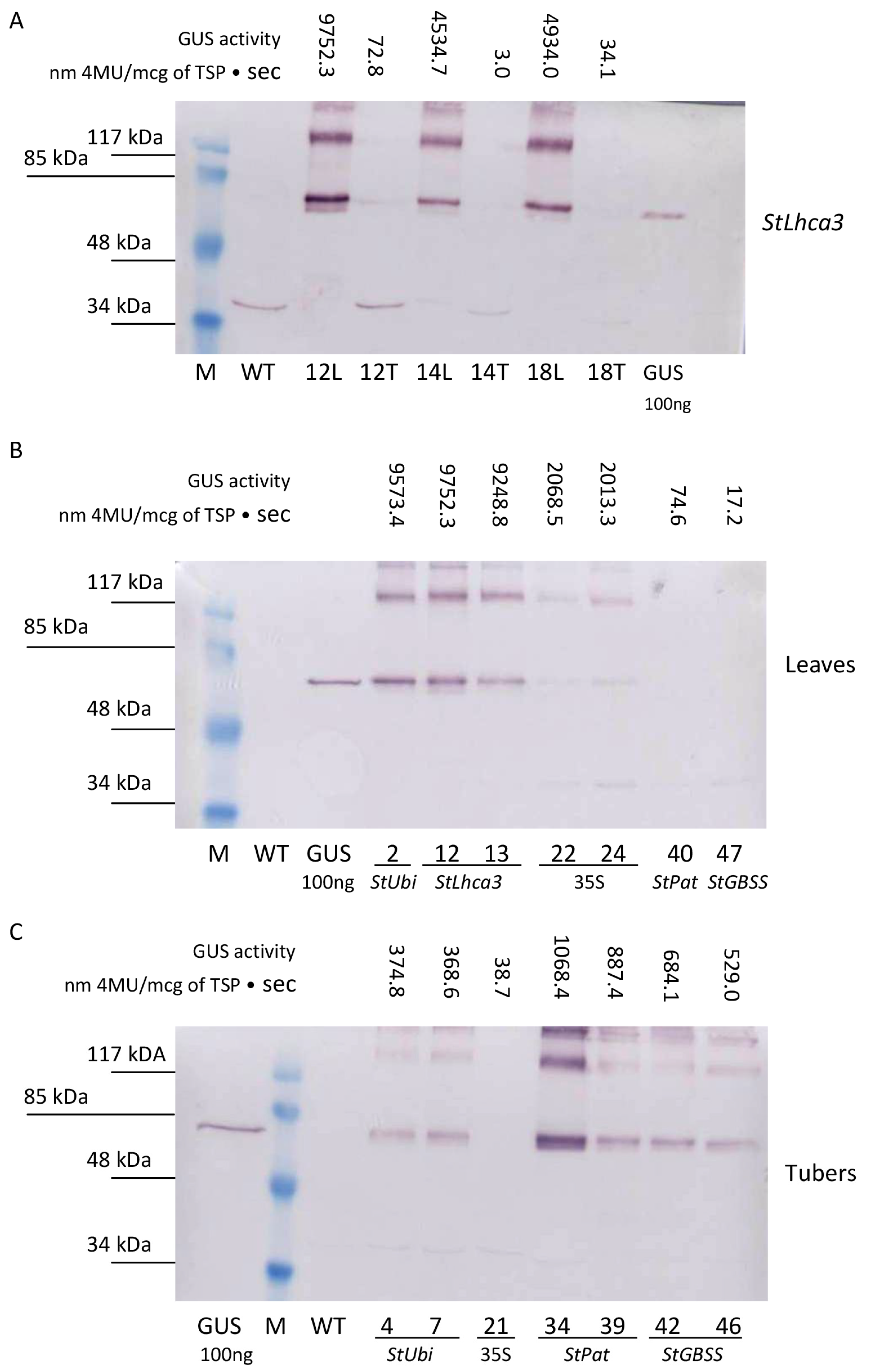
2.4. Western Blot Analysis
3. Results
3.1. Generation of Transgenic Potato Plants
3.2. GusA Expression Patterns in Various Tissues and Organs of Transgenic Potato Plants
3.3. Quantitative Analysis of Promoter–gusA Activity in Transgenic Potato Plants
4. Discussion
Supplementary Materials
Author Contributions
Funding
Acknowledgments
Conflicts of Interest
References
- FAO. Available online: http://www.fao.org/faostat/en/#data/QC/visualize (accessed on 1 September 2020).
- Hameed, A.; Zaidi, S.S.; Shakir, S.; Mansoor, S. Applications of New Breeding Technologies for Potato Improvement. Front. Plant. Sci. 2018, 9, 925. [Google Scholar] [CrossRef] [PubMed]
- Dutt, M.; Dhekney, S.; Soriano, L.; Kandel, R.; Grosser, J.W. Temporal and spatial control of gene expression in horticultural crops. Hortic. Res. 2014, 1, 14047. [Google Scholar] [CrossRef] [PubMed]
- Ali, S.; Kim, W.C. A Fruitful Decade Using Synthetic Promoters in the Improvement of Transgenic Plants. Front. Plant. Sci. 2019, 10, 1433. [Google Scholar] [CrossRef] [PubMed]
- Timerbaev, V.; Dolgov, S. Functional characterization of a strong promoter of the early light-inducible protein gene from tomato. Planta 2019, 250, 1307–1323. [Google Scholar] [CrossRef] [PubMed]
- Kummari, D.; Palakolanu, S.R.; Kishor, P.B.K.; Bhatnagar-Mathur, P.; Singam, P.; Vadez, V.; Sharma, K.K. An update and perspectives on the use of promoters in plant genetic engineering. J. Biosci. 2020, 45, 119. [Google Scholar] [CrossRef]
- Holme, I.B.; Wendt, T.; Holm, P.B. Intragenesis and cisgenesis as alternatives to transgenic crop development. Plant. Biotechnol. J. 2013, 11, 395–407. [Google Scholar] [CrossRef]
- Peremarti, A.; Twyman, R.M.; Gómez-Galera, S.; Naqvi, S.; Farré, G.; Sabalza, M.; Miralpeix, B.; Dashevskaya, S.; Yuan, D.; Ramessar, K.; et al. Promoter diversity in multigene transformation. Plant. Mol. Biol. 2010, 73, 363–378. [Google Scholar] [CrossRef]
- Nuccio, M.L. A Brief history of promoter development for use in transgenic maize applications. In Maize. Methods in Molecular Biology; Lagrimini, L., Ed.; Humana Press: New York, NY, USA, 2017; Volume 1676, pp. 61–93. [Google Scholar]
- Liu, Q.; Guo, Q.; Akbar, S.; Zhi, Y.; El Tahchy, A.; Mitchell, M.; Li, Z.; Shrestha, P.; Vanhercke, T.; Liang, G.; et al. Genetic enhancement of oil content in potato tuber (Solanum tuberosum L.) through an integrated metabolic engineering strategy. Plant. Biotechnol. J. 2017, 15, 56–67. [Google Scholar] [CrossRef]
- Bansal, A.; Kumari, V.; Taneja, D.; Sayal, R.; Das, N. Molecular cloning and characterization of granule-bound starch synthase I (GBSSI) alleles from potato and sequence analysis for detection of cis-regulatory motifs. Plant. Cell Tissue Organ. Cult. 2012, 109, 247–261. [Google Scholar] [CrossRef]
- Ha, J.; Moon, K.; Kim, M.; Park, S.; Hahn, K.; Jeon, J.; Kim, H. The laccase promoter of potato confers strong tuber-specific expression in transgenic plants. Plant. Cell Tissue Organ. Cult. 2015, 120, 57–68. [Google Scholar] [CrossRef]
- Ye, J.; Shakya, R.; Shrestha, P.; Rommens, C.M. Tuber-Specific Silencing of the Acid Invertase Gene Substantially Lowers the Acrylamide-Forming Potential of Potato. J. Agric. Food Chem. 2010, 58, 12162–12167. [Google Scholar] [CrossRef]
- Liu, X.; Prat, S.; Willmitzer, L.; Frommer, W. Cis regulatory elements directing tuber-specific and sucrose-inducible expression of a chimeric class I patatin promoter/GUS-gene fusion. Mol. Gen. Genet. 1990, 223, 401–406. [Google Scholar] [CrossRef]
- Hofvander, P.; Ischebeck, T.; Turesson, H.; Kushwaha, S.K.; Feussner, I.; Carlsson, A.S.; Andersson, M. Potato tuber expression of Arabidopsis WRINKLED1 increase triacylglycerol and membrane lipids while affecting central carbohydrate metabolism. Plant. Biotechnol. J. 2016, 14, 1883–1898. [Google Scholar] [CrossRef] [PubMed]
- Diretto, G.; Al-Babili, S.; Tavazza, R.; Papacchioli, V.; Beyer, P.; Giuliano, G. Metabolic Engineering of Potato Carotenoid Content through TuberSpecific Overexpression of a Bacterial Mini-Pathway. PLoS ONE 2007, 2, e350. [Google Scholar] [CrossRef] [PubMed]
- Andersson, M.; Melander, M.; Pojmark, P.; Larsson, H.; Bülow, L.; Hofvander, P. Targeted gene suppression by RNA interference: An efficient method for production of high-amylose potato lines. J. Biotechnol. 2006, 123, 137–148. [Google Scholar] [CrossRef]
- Hühns, M.; Neumann, K.; Hausmann, T.; Klemke, F.; Lockau, W.; Kahmann, U.; Kopertekh, L.; Staiger, D.; Pistorius, E.K.; Reuther, J.; et al. Tuber-specific cphA expression to enhance cyanophycin production in potatoes. Plant. Biotechnol. J. 2009, 7, 883–898. [Google Scholar] [CrossRef] [PubMed]
- Castanon, S.; Martin-Alonso, J.M.; Marin, M.S.; Boga, J.A.; Alonso, P.; Parra, F.; Ordas, R.J. The effect of the promoter on expression of VP60 gene from rabbit hemorrhagic disease virus in potato plants. Plant. Sci. 2002, 162, 87–95. [Google Scholar] [CrossRef]
- Garbarino, J.E.; Oosumi, T.; Belknap, W.R. Isolation of a polyubiquitin promoter and its expression in transgenic potato plants. Plant. Physiol. 1995, 109, 1371–1378. [Google Scholar] [CrossRef]
- McCue, K.F.; Ponciano, G.; Rockhold, D.R.; Whitworth, J.L.; Gray, S.M.; Fofanov, Y.; Belknap, W.R. Generation of PVY Coat Protein siRNAs in Transgenic Potatoes Resistant to PVY. Am. J. Potato Res. 2012, 9, 374–383. [Google Scholar] [CrossRef]
- Duan, H.; Richael, C.; Rommens, C.M. Overexpression of the wild potato eIF4E 1 variant Eva1 elicits Potato virus Y resistance in plants silenced for native eIF4E-1. Transgenic Res. 2012, 21, 929–938. [Google Scholar] [CrossRef]
- Neumann, K.; Stephan, D.P.; Ziegler, K.; Hühns, M.; Broer, I.; Lockau, W.; Pistorius, E.K. Production of cyanophycin, a suitable source for the biodegradable polymer polyaspartate, in transgenic plants. Plant. Biotechnol. J. 2005, 3, 249–258. [Google Scholar] [CrossRef] [PubMed]
- Meiyalaghan, S.; Takla, M.F.; Jaimess, O.; Yongjin, S.; Davidson, M.M.; Cooper, P.A.; Barrell, P.J.; Jacobs, M.E.; Wratten, S.D.; Conner, A.J. Evaluation of transgenic approaches for controlling tuber moth in potatoes. Commun. Agric. Appl. Biol. Sci. 2005, 70, 641–650. [Google Scholar]
- Mohan, S.; Meiyalaghan, S.; Latimer, J.M.; Gatehouse, M.L.; Monaghan, K.S.; Vanga, B.R.; Pitman, A.R.; Jones, E.E.; Conner, A.J.; Jacobs, J.M.E. GSL2 over-expression confers resistance to Pectobacterium atrosepticum in potato. Theor. Appl. Genet. 2014, 127, 677–689. [Google Scholar] [CrossRef] [PubMed]
- Miroshnichenko, D.; Timerbaev, V.; Okuneva, A.; Klementyeva, A.; Sidorova, T.; Pushin, A.; Dolgov, S. Enhancement of resistance to PVY in intragenic marker-free potato plants by RNAi-mediated silencing of eIF4E translation initiation factors. Plant. Cell Tissue Organ. Cult. 2020, 140, 691–705. [Google Scholar] [CrossRef]
- Li, M.; Xie, C.; Song, B.; Ou, Y.; Lin, Y.; Liu, X.; Zhang, H.; Liu, J. Construction of efficient, tuber-specific, and cold-inducible promoters in potato. Plant. Sci. 2015, 235, 14–24. [Google Scholar] [CrossRef]
- Zhen, W.; Chen, X.; Liang, H.; Hu, Y.; Gao, Y.; Lin, Z. Enhanced late blight resistance of transgenic potato expressing glucose oxidase under the control of pathogen-inducible promoter. Chin. Sci. Bull. 2000, 45, 1982. [Google Scholar] [CrossRef]
- Jefferson, A.; Kavanagh, A.; Bevan, W. GUS fusion: Glucuronidase as a sensitive and versatile gene fusion marker in higher plants. EMBO J. 1987, 6, 3901–3907. [Google Scholar] [CrossRef]
- Halterman, D.; Guenthner, J.; Collinge, S.; Butler, N.; Douches, D. Biotech potatoes in the 21st century: 20 years since the first biotech potato. Am. J. Potato Res. 2016, 93, 1–20. [Google Scholar] [CrossRef]
- Pfister, B.; Zeeman, S.C. Formation of starch in plant cells. Cell Mol. Life Sci. 2016, 73, 2781–2807. [Google Scholar] [CrossRef]
- Grierson, C.; Du, J.S.; de Torres Zabala, M.; Beggs, K.; Smith, C.; Holdsworth, M.; Bevan, M. Separate cis sequences and trans factors direct metabolic and developmental regulation of a potato tuber storage protein gene. Plant. J. 1994, 5, 815–826. [Google Scholar] [CrossRef]
- Zourelidou, M.; de Torres-Zabala, M.; Smith, C.; Bevan, M.W. Storekeeper defines a new class of plant-specific DNA-binding proteins and is a putative regulator of patatin expression. Plant. J. 2002, 30, 489–497. [Google Scholar] [CrossRef] [PubMed]
- Choi, H.-i.; Baek, S.-Y.; Kim, S.Y. MYB class transcription factors bind to the tuber-specific and sucrose-response element of a class-I patatin promoter. Plant. Biotechnol. Rep. 2017, 11, 239–245. [Google Scholar] [CrossRef]
- Jefferson, R.; Goldsbrough, A.; Bevan, M. Transcriptional regulation of a patatin-1 gene in potato. Plant. Mol. Biol. 1990, 14, 995–1006. [Google Scholar] [CrossRef]
- Steege, G.; Nieboer, M.; Swaving, J.; Tempelaar, M.J. Potato granule-bound starch synthase promoter-controlled GUS expression: Regulation of expression after transient and stable transformation. Plant. Mol. Biol. 1992, 20, 19–30. [Google Scholar] [CrossRef]
- Kluth, A.; Sprunck, S.; Becker, D.; Lörz, H.; Lütticke, S. 5′ deletion of a gbss1 promoter region from wheat leads to changes in tissue and developmental specificities. Plant. Mol. Biol. 2002, 49, 665–678. [Google Scholar] [CrossRef]
- Visser, R.G.F.; Stolte, A.; Jacobsen, E. Expression of a chimaeric granule-bound starch synthase-GUS gene in transgenic potato plants. Plant. Mol. Biol. 1991, 17, 691–699. [Google Scholar] [CrossRef]
- Aminedi, R.; Das, N. Class I patatin genes from potato (Solanum tuberosum L.) cultivars: Molecular cloning, sequence comparison, prediction of diverse cis-regulatory motifs, and assessment of the promoter activities under field and in vitro conditions. Vitr. Cell Dev. Biol. Plant 2014, 50, 673–687. [Google Scholar] [CrossRef]
- Heilersig, B.H.J.B.; Loonen, A.E.H.M.; Janssen, E.M.; Wolters, A.M.A.; Visser, R.G.F. Efficiency of transcriptional gene silencing of GBSSI in potato depends on the promoter region that is used in an inverted repeat. Mol. Genet. Genom. 2006, 275, 437–449. [Google Scholar] [CrossRef] [PubMed]
- Nap, J.P.; van Spanje, M.; Dirkse, W.G.; Baarda, G.; Mlynárová, L.; Loonen, A.; Grondhuis, P.; Stiekema, W.J. Activity of promoter of the Lhca3.St.1 gene, encoding the potato apoprotein 2 of the light-harvesting complex of photosystem I, in transgenic potato and tobacco plants. Plant. Mol. Biol. 1993, 23, 605–612. [Google Scholar] [CrossRef] [PubMed]
- Annadana, S.; Udayakumar, M.; de Jong, J.; Nap, J.P. The potato Lhca3.St.1 promoter confers high and stable transgene expression in chrysanthemum, in contrast to CaMV-based promoters. Mol. Breed. 2001, 8, 335–344. [Google Scholar] [CrossRef]
- Smirnova, O.G.; Tishchenko, E.N.; Ermakov, A.A.; Shumny, V.K. Promoters for transgenic horticultural plants. In Abiotic Stress Biology in Horticultural Plants; Kanayama, Y., Kochetov, A., Eds.; Springer: Tokyo, Japan, 2015; pp. 169–186. [Google Scholar]





| Vector | Number of Explants | Kanamycin- Positive Shoots Regenerated | Number of Shoots | The Transformation Efficiency (%) ** | ||
|---|---|---|---|---|---|---|
| Analyzed by PCR | nptII Positive (%) | gusA Positive (%) * | ||||
| pBI121 | 51 | 36 | 15 | 15 (100) | 14 (93) | 71 |
| pBI-Pat | 92 | 71 | 43 | 43 (100) | 12 (28) | 77 |
| pBI-GBSS | 108 | 27 | 27 | 27 (100) | 11 (41) | 25 |
| pBI-Ubi | 76 | 57 | 18 | 18 (100) | 18 (100) | 75 |
| pBI-Lhca | 75 | 52 | 18 | 18 (100) | 17 (94) | 69 |
| Promoter (Vector) | Tissue | Independent Lines | Average GUS Activities; Units * | Number of Lines Shown a Histochemical GUS Staining | Average GUS Activities Per Lines Showing a Histochemical GUS Staining; Units |
|---|---|---|---|---|---|
| WT ** | Leaves | - | 25.2 ± 3.5 | 0 | - |
| Tubers | - | 4.8 ± 0.9 | 0 | - | |
| CaMV 35S (pBI121) | Leaves | 10 | 771.9 ± 259.0 | 9 | 855.3 ± 274.1 |
| Tubers | 10 | 102.4 ± 29.6 | 10 | 102.4 ± 29.6 | |
| StUbi (pBI-Ubi) | Leaves | 10 | 2163.6 ± 875.2 | 10 | 2163.6 ± 875.2 |
| Tubers | 10 | 211.8 ± 41.9 | 10 | 211.8 ± 41.9 | |
| StLhca3 (pBI-Lhca) | Leaves | 10 | 4045.2 ± 1044.9 | 10 | 4045.2 ± 1044.9 |
| Tubers | 10 | 26.0 ± 7.5 | 7 | 36.2 ± 7.8 | |
| StPat (pBI-Pat) | Leaves | 10 | 63.4 ± 7.0 | 5 | 80.4 ± 8.3 |
| Tubers | 10 | 598.8 ± 93.8 | 10 | 598.8 ± 93.8 | |
| StGBSS (pBI-GBSS) | Leaves | 10 | 29.9 ± 5.9 | 3 | 51.5 ± 12.2 |
| Tubers | 10 | 214.5 ± 78.6 | 5 | 364.2 ± 79.1 |
Publisher’s Note: MDPI stays neutral with regard to jurisdictional claims in published maps and institutional affiliations. |
© 2020 by the authors. Licensee MDPI, Basel, Switzerland. This article is an open access article distributed under the terms and conditions of the Creative Commons Attribution (CC BY) license (http://creativecommons.org/licenses/by/4.0/).
Share and Cite
Miroshnichenko, D.; Firsov, A.; Timerbaev, V.; Kozlov, O.; Klementyeva, A.; Shaloiko, L.; Dolgov, S. Evaluation of Plant-Derived Promoters for Constitutive and Tissue-Specific Gene Expression in Potato. Plants 2020, 9, 1520. https://doi.org/10.3390/plants9111520
Miroshnichenko D, Firsov A, Timerbaev V, Kozlov O, Klementyeva A, Shaloiko L, Dolgov S. Evaluation of Plant-Derived Promoters for Constitutive and Tissue-Specific Gene Expression in Potato. Plants. 2020; 9(11):1520. https://doi.org/10.3390/plants9111520
Chicago/Turabian StyleMiroshnichenko, Dmitry, Aleksey Firsov, Vadim Timerbaev, Oleg Kozlov, Anna Klementyeva, Lyubov Shaloiko, and Sergey Dolgov. 2020. "Evaluation of Plant-Derived Promoters for Constitutive and Tissue-Specific Gene Expression in Potato" Plants 9, no. 11: 1520. https://doi.org/10.3390/plants9111520
APA StyleMiroshnichenko, D., Firsov, A., Timerbaev, V., Kozlov, O., Klementyeva, A., Shaloiko, L., & Dolgov, S. (2020). Evaluation of Plant-Derived Promoters for Constitutive and Tissue-Specific Gene Expression in Potato. Plants, 9(11), 1520. https://doi.org/10.3390/plants9111520

