Embryology in Helosis cayennensis (Balanophoraceae): Structure of Female Flowers, Fruit, Endosperm and Embryo
Abstract
:1. Introduction
2. Results
2.1. Reproductive Phenology
- Stage I: In the early stages, the inflorescence is underground and develops endogenously from the runners. The axis of inflorescence is covered by a volva that breaks when emerging at ground level (Figure 1a–d). Young inflorescences are covered with tightly arranged scales; peltate, capitate and hexagonal in front view (Figure 1d).
- Stage III, male phase: When the scales become black and fall off, the male phase begins. The filariae turn light brown, the male flowers expose the anthers above the layer of filariae and pollen grains are released (Figure 1g). By the time when the male flowers are in full anthesis, the styles in the female flowers have mostly fallen.
- Stage IV, fruiting phase: Inflorescences turn brown to black and the peduncle bends (Figure 1h).
2.2. Floral Morphology and Anatomy
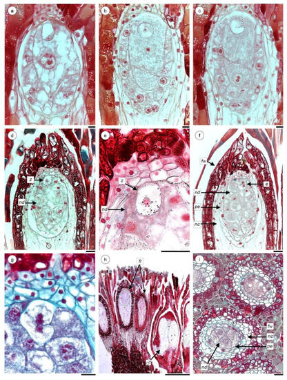
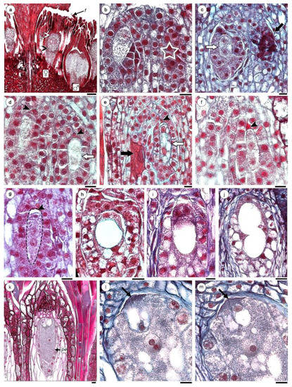
2.3. Inflorescence and Female Flower Ontogeny
2.4. Female Gametophyte Development
2.5. Embryo and Endosperm Formation
3. Discussion
3.1. Female Flower Development
3.2. Female Gametophyte Development
3.3. Endosperm, Embryo and Fruit Development
4. Materials and Methods
5. Conclusions
Author Contributions
Funding
Acknowledgments
Conflicts of Interest
References
- Hansen, B. Balanophoraceae. Flora Neotrop. Monogr. 1980, 23, 1–80. [Google Scholar]
- Kuijt, J. The Biology of Parasitic Flowering Plants; University of California Press: Berkeley, CA, USA, 1969. [Google Scholar]
- Mauseth, J.D.; Hsiao, S.C.; Montenegro, G. Vegetative body of the parasitic angiosperm Helosis cayennensis (Balanoporaceae). Bull. Torrey Bot. Club 1992, 119, 407–417. [Google Scholar] [CrossRef]
- Heide-Jørgensen, H.S. Parasitic Flowering Plants; Koninklijke Brill Academic Publishers: Leiden, The Netherlands, 2008. [Google Scholar]
- Su, H.; Hu, J.; Anderson, F.E.; Der, J.P.; Nickrent, D.L. Phylogenetic relationships of Santalales with insights into the origins of holoparasitic Balanophoraceae. Taxon 2015, 64, 491–506. [Google Scholar] [CrossRef]
- Johri, B.M.; Ambegaokar, K.B.; Srivastava, P.S. Comparative Embryology of Angiosperms; Springer: Berlin/Heidelberg, Germany, 1992. [Google Scholar]
- Holzapfel, S. Studies of the New Zealand root-parasite Dactylanthus taylorii (Balanophoraceae). Englera 2001, 22, 3–176. [Google Scholar] [CrossRef]
- Holzapfel, A.S.; Dodgson, J. Experimental Seeding Trials for the Root Parasite Dactylanthus taylorii; Doc Science Internal Series 173; Department of Conservation: Wellington, New Zealand, 2004; pp. 1–13.
- Cardoso, L.J.T.; Braga, J.M.A. A new caribbean species of Helosis (Balanophoraceae) with a revised key to the genus. Syst. Bot. 2015, 40, 597–603. [Google Scholar] [CrossRef]
- Eberwein, R.K.; Weber, A. Exorhopala ruficeps (Balanophoraceae): Morphology and transfer to Helosis. Bot. J. Linn. Soc. 2004, 146, 513–517. [Google Scholar] [CrossRef]
- Eberwein, R.K. Morphologie und Taxonomie der Helosidoideae (Balanophoraceae). Linz. Biol. Beitr. 2000, 32, 615–616. [Google Scholar]
- Gonzalez, A.M.; Popoff, O.F.; Salgado Laurenti, C. Structure of staminate flowers, microsporogenesis and microgametogenesis in Helosis cayennensis var. cayennensis (Balanophoraceae). An. Jard. Bot. Madr. 2013, 70, 113–121. [Google Scholar] [CrossRef]
- Gonzalez, A.M.; Mauseth, J.D. Morphogenesis is highly aberrant in the vegetative body of the holoparasite Lophophytum leandrii (Balanophoraceae): All typical vegetative organs are absent and many tissues are highly modified. Int. J. Plant Sci. 2010, 171, 499–508. [Google Scholar] [CrossRef]
- Sato, H.A.; Gonzalez, A.M. Anatomía y desarrollo de la flor masculina, microsporogénesis y microgametogénesis en especies de Lophophytum (Balanophoraceae) en la Argentina. Bol. Soc. Argent. Bot. 2013, 48, 59–72. [Google Scholar]
- Sato, H.A.; Gonzalez, A.M. Floral development and anatomy of pistillate flowers of Lophophytum (Balanophoraceae), with special reference to the embryo sac inversion. Flora 2016, 219, 35–47. [Google Scholar] [CrossRef]
- Sato, H.A.; Gonzalez, A.M. Embryogenesis, endospermogenesis and fruit development in Lophophytum (Balanophoraceae): Focus on endosperm and embryo initiation. Flora 2017, 233, 79–89. [Google Scholar] [CrossRef]
- Fontana, J.L.; Popoff, O.F. Helosis (Balanophoraceae) en Argentina. Bol. Soc. Argent. Bot. 2006, 41, 85–90. [Google Scholar]
- Hsiao, S.C.; Mauseth, J.; Gomez, L. Growth and anatomy of the vegetative body of the parasitic angiosperm Helosis cayennensis (Balanophoraceae). Bull. Torrey Bot. Club 1993, 120, 295–309. [Google Scholar] [CrossRef]
- Fagerlind, F. Bau und Entwicklung der floralen organe von Helosis cayennensis. Sven. Bot. Tidskr. 1938, 32, 139–159. [Google Scholar]
- Martius, K.F.P. Balanophoraceae. Nova Genera Species Plant. Bras. 1829, 3, 181–188. [Google Scholar]
- Hooker, J.D.I. On the Structure and Affinities of Balanophoreae. Trans. Linn. Soc. Lond. 1856, 22, 1–68. [Google Scholar] [CrossRef]
- Eichler, A.W. Balanophoreae. In Flora Brasiliensis; Martius, C.F.P., Eichler, A.W., Urban, I., Eds.; Wilhelm Engelmann: Leipzig, Germany, 1869; pp. 1–74. [Google Scholar]
- Chodat, R.; Bernard, C. Sur le sac embryonnaire d’ Helosis guyanensis. J. Bot. 1900, 14, 72–79. [Google Scholar]
- Howard, R.A. The Balanophoraceae in the Caribbean Flora. Rhodora 1959, 61, 79–81. [Google Scholar]
- Hansen, B.; Engell, K. Inflorescences in Balanophoroideae, Lophophytoideae and Scybalioideae (Balanophoraceae). Dan. Bot. Tidsskr. 1978, 72, 177–187. [Google Scholar]
- Martinez y Pérez, J.L.; Acevedo Rosas, R. Balanophoraceae. In Flora de Veracruz. Fascículo 85; Instituto de Ecología: Mexico City, Mexico, 1995. [Google Scholar]
- Nickrent, D.L. Parasitic Plant Connection. 1997. Available online: https://parasiticplants.siu.edu/ (accessed on 20 May 2018).
- Kuijt, J.; Hansen, B. Flowering plants. Eudicots: Santalales, Balanophorales. In The Families and Genera of Vascular Plants XII; Kubitzki, K., Ed.; Springer: Berlin/Heidelberg, Germany; New York, NY, USA, 2015. [Google Scholar]
- Treub, M. L’organe femelle et I’apogamie du Balanophora elongata. Ann. Jard. Bot. Buitenzorg 1898, 15, 1–25. [Google Scholar]
- Hansen, B. The Genus Balanophora J. R. & G. Foster. A Taxonomic Monograph. Dan. Bot. Ark. Udg. Dan. Bot. Foren. 1972, 28, 1–188. [Google Scholar]
- Arekal, G.D.; Shivamurthy, G.R. Female gametophyte in two species of Balanophora—A reinvestigation. Phytomorphology 1978, 28, 7–13. [Google Scholar]
- Harms, H. Balanophoraceae. In A. Die Natürlichen Planzenfamilien; Engler, E., Prantl, K., Eds.; Engelmann: Leipzig, Germany, 1935; pp. 296–339. [Google Scholar]
- Fagerlind, F. Bau der floralen organe der gattung Langsdorffia. Sven. Bot. Tidskr. 1945, 39, 197–210. [Google Scholar]
- Fawcet, W. XIV. On new Species of Balanophora and Thonningia, with a note on Brugmansia Lowi, Becc. Trans. Linn. Soc. Lond. 2nd Ser. Bot. 1886, 2, 233–247. [Google Scholar] [CrossRef]
- Engell, K. Morphology and embryology of Scybalioideae (Balanophoraceae) 1. Corynaea crassa Hook. f. var. sprucei (Eichl.) B. Hansen. Bot. Tidskr. 1979, 73, 155–166. [Google Scholar]
- Hansen, B. Flore de Madagascar et des Comores: Famille 61. Balanophoracees; Museum National d’Histoire Naturelle: Paris, France, 1984. [Google Scholar]
- Lotsy, J.P. Rhopalocnemis phalloides Jungh. A morphological-systematical study. Ann. Jard. Bot. Buitenzorg 1901, 2, 73–101. [Google Scholar]
- Shumei, H.; Murata, J. Balanophoraceae. Flora China 2003, 5, 272–276. [Google Scholar]
- Cocucci, A.E. Lophophytum leandri megasporogenesis and gametogenesis. In Proceedings of the 5th International Symposium of Parasitic Weeds, Nairobi, Kenya, 24–30 June 1991; Ransom, J.K., Musselman, L.J., Worsham, A.D., Parker, C., Eds.; CIMMYT: Kenya, Nairobi, 1991; pp. 31–35. [Google Scholar]
- Sleumer, H. Die Balanophoraceen argentiniens. Bot. Jahrb. 1954, 76, 271–280. [Google Scholar]
- Halle, F. Illustration de deux rares Balanophoracées d’Afrique équatoriale appartenant auxgenres Chlamydophytum Mildbr. et Balanophora Forst. Adansonia 1978, 2, 249–261. [Google Scholar]
- Harvey-Gibson, R.J. Observations on the morphology and anatomy of the genus Mystropetalon. Trans. Linn. Soc. Lond. 1913, 8, 143–154. [Google Scholar] [CrossRef]
- Johnson, T. Mystropetalon Thomii, Harv. Ann. Bot. 1889, 4, 176. [Google Scholar] [CrossRef]
- Engler, E. Die natürlichen Pflanzenfamilien; W. Engelmann: Leipzig, Germany, 1889; Volume 111, p. 252. [Google Scholar]
- Zavaro, C.A.; Crisci, J.V.; Morrone, J.J. Synopsis and cladistics of the genus Misodendrum (Misodendraceae, Santalales). Fontqueria 1997, 48, 225–239. [Google Scholar]
- Singh, B. A contribution to the floral morphology and embryology of Dendrophthoe falcata (L. f.) Ettingsh. Bot. J. Linn. Soc. 1952, 53, 449–473. [Google Scholar] [CrossRef]
- Johri, B.M. Embryology of Angiosperms; Springer: Berlin, Germany, 1984. [Google Scholar]
- Suaza-Gaviria, V.; Pabón-Mora, N.; González, F. Development and morphology of flowers in Loranthaceae. Int. J. Plant Sci. 2016, 177, 559–578. [Google Scholar] [CrossRef]
- Hansen, B. The Balanophoraceae of continental Africa. Bot. Jahrb. Syst. 1986, 106, 359–377. [Google Scholar]
- Hofmeister, W. Neuere beobachtungen über embryobildung der pahenogamen. Jahrb. Wiss. Bot. 1859, 1, 110. [Google Scholar]
- Eichler, A.W. Balanophoraceae. In Prodromus, Systematis Naturalis Regni Vegetabilis; De Candolle, A.P., Ed.; Sumptibus Sociorum Treuttel et Würtz: Paris, France, 1873; pp. 134–136. [Google Scholar]
- Umiker, O. Entwicklungsgeschichtlich-cytologische Untersuchungen an Helosis guyanensis Rich. Arb. Inst. Allg. Bot. Pflanzenphysiol. Univ. Zür. 1920, 23, 1–54. [Google Scholar]
- Fagerlind, F. Blüte und Blütenstand der Gattung Balanophora. Bot. Not. 1945, 45, 330–350. [Google Scholar]
- Fagerlind, F. Beiträge zur Kenntnis der Gynöceummorphologie und Phylogenie der Santalales-Familien. Sven. Bot. Tidskr. 1948, 42, 195–229. [Google Scholar]
- Fagerlind, F. Development and structure of the flower and gametophytes in the genus Exocarpus. Sven. Bot. Tidskr. 1959, 53, 257–282. [Google Scholar]
- Davis, G.L. Systematic Embryology of the Angiosperms; Wiley: New York, NY, USA, 1966. [Google Scholar]
- Teriokhin, E.S.; Yakovlev, M.S. Embryology of the Balanophoraceae. Bot. Zhurnal 1967, 52, 745–758. [Google Scholar]
- Bhatnagar, S.P.; Johri, B.M. Embryology of Loranthaceae. In The biology of Mistletoes; Calder, M., Bernhardt, P., Eds.; Academic Press: London, UK, 1983; pp. 47–66. [Google Scholar]
- Cocucci, A.E. New evidence from embryology in angiosperm classification. Nord. J. Bot. 1983, 3, 67–73. [Google Scholar] [CrossRef]
- Zweifel, R. Cytologisch-embryologische untersuchungen an Balanophora abbreviata Blume und Balanophora indica Wall. Arb. Inst. Allg. Bot. Univ. Zür. II Ser. Nr. 1939, 84, 246–306. [Google Scholar]
- Ishikawa, M. Studies on the Embryo Sac and Fertilization in Oenothera. Ann. Bot. 1918, 32, 279–317. [Google Scholar]
- Williams, J.H.; Friedman, W.E. The four-celled female gametophyte of Illicium (Illiciaceae; Austrobaileyales): Implications for understanding the origin and early evolution of monocots, eumagnoliids and eudicots. Am. J. Bot. 2004, 91, 332–357. [Google Scholar] [CrossRef] [PubMed]
- Friedman, W.E. Sex among the flowers. Nat. Hist. 2006, 115, 48–53. [Google Scholar]
- Friedman, W.E. Hydatellaceae are water lilies with gymnospermous tendencies. Nature 2008, 453, 94–97. [Google Scholar] [CrossRef] [PubMed]
- Tobe, H.; Kimoto, Y.; Prakash, N. Development and structure of the female gametophyte in Austrobaileya scandens (Austrobaileyaceae). J. Plant. Res. 2007, 120, 431–436. [Google Scholar] [CrossRef]
- Rudall, P.J.; Remizowa, M.V.; Beer, A.S.; Bradshaw, E.; Stevenson, D.W.; Macfarlane, T.D.; Tuckett, R.E. Comparative ovule and megagametophyte development in Hydatellaceae and water lilies reveal a mosaic of features among the earliest angiosperms. Ann. Bot. 2008, 101, 941–956. [Google Scholar] [CrossRef]
- Friedman, W.E.; Ryerson, K.C. Reconstructing the ancient female gametophyte in Angiosperms: Insights from Amborella and other ancient lineages of flowering plants. Am. J. Bot. 2009, 96, 129–143. [Google Scholar] [CrossRef]
- Battaglia, E. The Embryo Sac of Podostemaceae—An Interpretation. Caryologia 1971, 24, 403–420. [Google Scholar] [CrossRef]
- Jäger-Zürn, I. Embryological and floral studies in Weddellina squamulosa Tul. (Podostemaceae, Tristichoideae). Aquat. Bot. 1997, 57, 151–182. [Google Scholar] [CrossRef]
- Haig, D. New perspectives on the angiosperm female gametophyte. Bot. Rev. 1990, 56, 236–274. [Google Scholar] [CrossRef]
- Friedman, W.E.; Williams, J.H. Modularity of the angiosperm female gametophyte and its bearing on the early evolution of endosperm in flowering plants. Evolution 2003, 57, 216–230. [Google Scholar] [CrossRef] [PubMed]
- Maheshwari, P. An Introduction to Embryology of Angiosperms; McGraw-Hill: New York, NY, USA, 1950. [Google Scholar] [CrossRef]
- Bouman, F. The ovule. In Embryology of Angiosperms; Johri, B.M., Ed.; Springer: Berlin, Germany, 1984; pp. 123–153. [Google Scholar] [CrossRef]
- Bouman, F.; Boesewinkel, F.D. The seed: Structure and function. In Seed Development and Germination; Routledge: Abingdon-on-Thames, UK, 2017; pp. 1–24. [Google Scholar]
- Kapil, R.; Tiwari, S.C. The integumentary tapetum. Bot. Rev. 2008, 44, 457–490. [Google Scholar] [CrossRef]
- Endress, P.K. Angiosperm ovules: Diversity, development, evolution. Ann. Bot. 2011, 107, 1465–1489. [Google Scholar] [CrossRef]
- Ernst, A.; Schmid, E. Über blute und frucht von Rafflesia. Ann. Jard. Bot. Buitenzorg 1913, 27, 1–58. [Google Scholar]
- Chamberlain, C.J. The embryogeny of Balanophora. Bot. Gaz. 1914, 57, 542. [Google Scholar] [CrossRef]
- Eriksson, O.; Kainulainen, K. The evolutionary ecology of dust seeds. Perspect. Plant Ecol. Evol. Syst. 2011, 13, 73–87. [Google Scholar] [CrossRef]
- Martin, A.C. The comparative internal morphology of seeds. Am. Midl. Nat. 1946, 36, 513–660. [Google Scholar] [CrossRef]
- Baskin, C.C.; Baskin, J.M. Seeds. Ecology, Biogeography, and, Evolution of Dormancy and Germination, 2nd ed.; Elsevier: Amsterdam, The Netherlands, 2014. [Google Scholar]
- Baskin, C.C.; Baskin, J.M. Seeds: Ecology, Biogeography and Evolution of Dormancy and Germination; Academic Press: San Diego, CA, USA, 2001. [Google Scholar]
- Johansen, D.A. Plant Microtechnique; McGraw-Hill: New York, NY, USA, 1940. [Google Scholar]
- Gonzalez, A.M.; Cristóbal, C. Anatomía y ontogenia de semillas de Helicteres lhotzkyana (Sterculiaceae). Bonplandia 1997, 9, 287–294. [Google Scholar]
- Ruzin, S.E. Plant Microtechnique and Microscopy; Oxford University Press: Oxford, UK, 1999. [Google Scholar]
- Martin, F.W. Staining and observing pollen tubes in the style by means of fluorescence. Stain Technol. 1959, 37, 125–128. [Google Scholar] [CrossRef]
- Yi, W.; Law, E.; Mccoy, D.; Wetzstein, H.Y. Stigma development and receptivity in almond (Prunus dulcis). Ann. Bot. 2006, 97, 57–63. [Google Scholar] [CrossRef] [PubMed]
- Rasband, W.S. ImageJ; National Institutes of Health: Bethesda, MD, USA, 1997–2019. Available online: http://imagej.nih.gov/ij (accessed on 10 December 2018).






| Family | Genera | perianth (FF) * | styles | locules | ovule/others structures * | MMC/NC | MMC origin | ES type/nº nuclei | PSE | References |
|---|---|---|---|---|---|---|---|---|---|---|
| Bal. s.str. | Balanophora J.R. Forst. & G. Forst. | 0 | 1 | 0 | massive central placental column that later fuses with the ovary wall | 1 | 1, 4-sporic | Pol/8 | -- | [6,28,30,31] |
| Bal. s.str. | Langsdorffia Mart. | tubular inconspicuous segments perianth | 1 | 0 | orthotropous, fused to the ovary, placental-nucellar complex HS | 1 | 1-sporic | -- | -- | [1,22,32,33] HS |
| Bal. s.str. | Thonningia Vahl | 0 or tubular inconspicuous segments perianth | 1 | 0 | orthotropous, fused to the ovary | -- | -- | -- | -- | [34] |
| Bal. s.str. | Corynaea Hook. f. | 0 or 2 lip-like segment perianth | 2 | 1 | placental-nucellar-complex | 2 | 2-sporic | Allium/8 | -- | [6,35] |
| Bal. s.str. | Ditepalanthus Fagerl. | perianth ring adnate to ovary | 2 | 1 | free central placenta | -- | -- | -- | yes | [36] |
| Bal. s.str. | Helosis Rich. | 0 | 2 | 0 pg | nucellar complex | 2 | 2-sporic | Helosis/4 | yes | this study |
| Bal. s.str. | Rhopalocnemis Jungh. | 2 perianth crests adnate to ovary | 2 | 1 | free central placenta, placental-nucellar-complex | 2 | 1-sporic | -- | yes | [37,38] |
| Bal. s.str. | Scybalium Schott & Endl. | 2 perianth lobes adnate to ovary | 2 | 2 pg | free central placenta, placental-nucellar-complex | -- | -- | -- | yes | [22,32] |
| Bal. s.str. | Lathrophytum Eichler | 0 | 2 | 2 | central placenta | -- | -- | -- | -- | [5,22,32,33] |
| Bal. s.str. | Lophophytum Schott & Endl. | 0 | 2 | 2 pg | placental-nucellar complex, ategmic ovule | 2 | 1-sporic 4-sporic | Pol/8 Adoxa/8 | no | [5,15,39] |
| Bal. s.str. | Ombrophytum Poepp. ex Endl. | 0 | 2 | 2 HS | ategmic ovule, placental-nucellar complex HS | -- | -- | -- | -- | [5,22,40] HS |
| Bal. s.str. | Chlamydophytum Mildbr. | 0 | 1 | 1 | -- | -- | -- | -- | [41] | |
| Bal. s.str. | Sarcophyte Sparrm. | 0 | 1 | 3 | -- | -- | -- | -- | [32] | |
| Bal. B. Mystropetalaceae | Dactylanthus Hook. f. | 2(3) perianth members | 1 | 2 pg | nucellar-complex | 2 | -- | -- | -- | [7] |
| Bal. B. Mystropetalaceae | Hachettea Baill. | 3-lobed cup on top of ovary | 1 | 1 | -- | -- | -- | -- | -- | [4,27,32] |
| Bal. B. Mystropetalaceae | Mystropetalon Harv. | 3-lobed cup on top of ovary | 1 | 1 | 3 ovules arising from a free placenta, each being reduced to an embryo-sac | 1 | -- | Pol/8 | -- | [42,43,44] |
| Schopfiaceae | Quinchamalium Molina, Arjona Cav., Schoepfia Schreb. | 4-5-lobed, epigynous, connate | 3 | 1 | 3 unitegmic, ategmic ovules (only 1 develops) | 1 | 1-sporic | Pol/8 | -- | [6] |
| Misodendraceae | Misodendrum Banks ex DC. | 3-sepaline or vestigial | 1 | 1 | 3 ovules undifferentiated on a free central placenta | 1 | Pol/8 | -- | [5,6,27,28,45] | |
| Loranthaceae | Dendrophthoe Mart., Nuytsia Tiegh., Struthanthus Mart. | 6-7 petals | 1 | 0-4 | ovary-ovule complex, mamelon | 1 | 1-sporic | Pol/8 | -- | [6,28,46,47,48] |
© 2019 by the authors. Licensee MDPI, Basel, Switzerland. This article is an open access article distributed under the terms and conditions of the Creative Commons Attribution (CC BY) license (http://creativecommons.org/licenses/by/4.0/).
Share and Cite
Gonzalez, A.M.; Sato, H.A.; Marazzi, B. Embryology in Helosis cayennensis (Balanophoraceae): Structure of Female Flowers, Fruit, Endosperm and Embryo. Plants 2019, 8, 74. https://doi.org/10.3390/plants8030074
Gonzalez AM, Sato HA, Marazzi B. Embryology in Helosis cayennensis (Balanophoraceae): Structure of Female Flowers, Fruit, Endosperm and Embryo. Plants. 2019; 8(3):74. https://doi.org/10.3390/plants8030074
Chicago/Turabian StyleGonzalez, Ana Maria, Héctor A. Sato, and Brigitte Marazzi. 2019. "Embryology in Helosis cayennensis (Balanophoraceae): Structure of Female Flowers, Fruit, Endosperm and Embryo" Plants 8, no. 3: 74. https://doi.org/10.3390/plants8030074
APA StyleGonzalez, A. M., Sato, H. A., & Marazzi, B. (2019). Embryology in Helosis cayennensis (Balanophoraceae): Structure of Female Flowers, Fruit, Endosperm and Embryo. Plants, 8(3), 74. https://doi.org/10.3390/plants8030074

