Assessment of the Genetic Diversity of Rice Germplasms Characterized by Black-Purple and Red Pericarp Color Using Simple Sequence Repeat Markers
Abstract
1. Introduction
2. Results
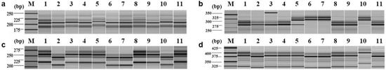
2.1. Microsatellite Analysis
2.2. Hierarchical Cluster Analysis
2.3. Population Structure
2.4. Principal Component Analysis (PCA)
3. Discussion
4. Materials and Methods
4.1. Plant Material
4.2. Genomic DNA Extraction
4.3. SSR Genotyping
4.4. Genetic Diversity Analysis
Supplementary Materials
Author Contributions
Funding
Acknowledgments
Conflicts of Interest
References
- Sakong, Y. Measures of price response to supply shock in Korean rice market. J. Korean Agric. Econ. Assoc. 2006, 47, 1–16. [Google Scholar]
- Chung, H.K. Changes in the Korean food culture with the change of life style. J. Korean Soc. Food Sci. Nutr. 2001, 5, 17–24. [Google Scholar]
- Ichikawa, H.; Ichiyanagi, T.; Xu, B.; Yoshii, Y.; Nakajima, M.; Konishi, T. Antioxidant activity of anthocyanin extract from purple black rice. J. Med. Food 2001, 4, 211–218. [Google Scholar] [CrossRef] [PubMed]
- Sutharut, J.; Sudarat, J. Total anthocyanin content and antioxidant activity of germinated colored rice. Int. Food Res. J. 2012, 19, 215–221. [Google Scholar]
- Lee, J.H.; Yeo, U.S.; Cho, J.H.; Lee, J.Y.; Song, Y.C.; Shin, M.S.; Kang, H.W.; Sohn, J.K. Marker assisted selection of brown planthopper resistance and development of multi-resistance to insect and diseases in rice (Oryza sativa L.). Korean J. Breed Sci. 2011, 43, 413–421. [Google Scholar]
- Khush, G.S. Origin, dispersal, cultivation and variation of rice. Plant Mol. Biol. 1997, 35, 25–34. [Google Scholar] [CrossRef]
- Garris, A.; Tai, T.; Coburn, J.; Kresovich, S.; McCouch, S.R. Genetic structure and diversity in Oryza sativa L. Genetics 2005, 169, 1631–1638. [Google Scholar] [CrossRef]
- Lu, H.; Redus, M.A.; Coburn, J.R.; Rutger, J.N.; McCouch, S.R.; Tai, T.H. Population structure and breeding patterns of 145 US rice cultivars based on SSR marker analysis. Crop Sci. 2005, 45, 66–76. [Google Scholar] [CrossRef]
- Nanda, J.S.; Sharma, S.D. Monograph of Genus Oryza; Science Publishers: Enfield, NH, USA, 2003; pp. 283–309. [Google Scholar]
- Das, B.; Sengupta, S.; Parida, S.K.; Roy, B.; Ghosh, M.; Prasad, M.; Ghose, T.K. Genetic diversity and population structure of rice landraces from Eastern and North Eastern States of India. BMC Genet. 2013, 14, 71. [Google Scholar] [CrossRef]
- Chung, D.H.; Lee, H.Y. Studies on the improvement of milling, quality and storage of Tongil (indica type) rice. Korean J. Food Sci. Technol. 1976, 8, 179–184. [Google Scholar]
- Lee, K.Y.; Park, S.T.; Kim, J.H.; Lee, J.S.; Shin, S.O.; Lim, S.J.; Kim, S.C.; Oh, Y.J.; Ko, J.C.; Jin, Y.D.; et al. Information (brief introduction of newly released crop cultivars in 1996): A new high yielding rice variety with good grain quality and resistance to wind, “Naepungbyeo”. Korean J. Breed Sci. 1996, 28, 483. [Google Scholar]
- Kwon, Y.S.; Oh, Y.H.; Yi, S.I.; Kim, H.Y.; An, J.M.; Yang, S.G.; Ok, S.H.; Shin, J.S. Informative SSR markers for commercial variety discrimination in watermelon (Citrullus lanatus). Genes Genom. 2010, 32, 115–122. [Google Scholar] [CrossRef]
- UPOV UPOV/INF/17/1 Guideline for DNA-Profiling: Molecular Marker Selection and Database Construction (“BMT Guideline”); World Intellectual Property Organization: Geneva, Switzerland, 2010.
- Second, G. Origin of the genic diversity of cultivated rice (Oryza spp.): Study of the polymorphism scored at 40 isozyme loci. Jap. J. Genet. 1982, 57, 25–57. [Google Scholar] [CrossRef]
- McNally, K.L.; Childs, K.L.; Bohnert, R.; Davidson, R.M.; Zhao, K.; Ulat, V.J.; Stokowski, R. Genomewide SNP variation reveals relationships among landraces and modern varieties of rice. Proc. Natl. Acad. Sci. USA 2009, 106, 12273–12278. [Google Scholar] [CrossRef] [PubMed]
- Song, M.T.; Jong, S.K.; Lee, J.H.; Cho, Y.S.; Gul, J.H.; Lee, S.B.; Hwang, H.G. Comparison of DNA-based and pedigree-based genetic similarity among Korean rice cultivars. Korean J. Genet. 2003, 48, 74–75. [Google Scholar]
- Thomson, M.J.; Septiningsih, E.M.; Suwardjo, F.; Santoso, T.J.; Silitonga, T.S.; McCouch, S.R. Genetic diversity analysis of traditional and improved Indonesian rice (Oryza sativa L.) germplasm using microsatellite markers. Theor. Appl. Genet. 2007, 114, 559–568. [Google Scholar] [CrossRef] [PubMed]
- Saini, N.; Jain, N.; Jain, S.; Jain, R.K. Assessment of genetic diversity within and among Basmati and non-Basmati rice varieties using AFLP, ISSR and SSR markers. Euphytica 2004, 140, 133–146. [Google Scholar] [CrossRef]
- Jeung, J.U.; Hwang, H.G.; Moon, H.P.; Jena, K.K. Fingerprinting temperate japonica and tropical indica rice genotypes by comparative analysis of DNA markers. Euphytica 2005, 146, 239–251. [Google Scholar] [CrossRef]
- Palomares-Rius, F.J.; Viruel, M.A.; Yuste-Lisbona, F.J.; López-Sesé, A.I.; Gómez-Guillamón, M.L. Simple sequence repeat markers linked to QTL for resistance to Watermelon mosaic virus in melon. Theor. Appl. Genet. 2011, 123, 1207. [Google Scholar] [CrossRef]
- Li, Y.; Du, J.; Wang, T.; Shi, Y.; Song, Y.; Jia, J. Genetic diversity and relationships among Chinese maize inbred lines revealed by SSR markers. Maydica 2002, 47, 93–101. [Google Scholar]
- Monforte, A.J.; Garcia-Mas, J.; Arús, P. Genetic variability in melon based on microsatellite variation. Plant Breed. 2003, 122, 153–157. [Google Scholar] [CrossRef]
- Kwon, S.J.; Ahn, S.N.; Hong, H.C.; Hwang, H.G.; Choi, H.C. SSR diversity in Japonica rice cultivars and it’s association to several traits. Korean J. Breed 2002, 34, 57–63. [Google Scholar]
- Song, M.T. Narrow genetic background of Korean rice germplasm as revealed by DNA fingerprinting with SSR markers and their pedigree information. Korean J. Genet. 2002, 24, 397–403. [Google Scholar]
- Kwon, Y.S.; Park, E.K.; Park, C.U.; Bae, K.M.; Yi, S.I.; Cho, I.H. Identification of rice variety using simple sequence repeat (SSR) marker. Life Sci. 2006, 16, 1001–1005. [Google Scholar]
- Singh, S.K.; Sharma, S.; Koutu, G.K.; Mishra, D.K.; Singh, P.; Prakash, V.; Kumar, V.; Namita, P. Genetic diversity in NPT lines derived from indica× japonica sub-species crosses of rice (Oryza sativa L.) using SSR markers. Sch. J. Agric. Sci. 2014, 4, 121–132. [Google Scholar]
- Surapaneni, M.; Balakrishnan, D.; Mesapogu, S.; Raju, A.K.; Rao, Y.V.; Neelamraju, S. Genetic characterization and population structure of Indian rice cultivars and wild genotypes using core set markers. 3 Biotech 2016, 6, 95. [Google Scholar] [CrossRef] [PubMed]
- Babu, B.K.; Meena, V.; Agarwal, V.; Agrawal, P.K. Population structure and genetic diversity analysis of Indian and exotic rice (Oryza sativa L.) accessions using SSR markers. Mol. Biol. Rep. 2014, 41, 4329–4339. [Google Scholar] [CrossRef]
- Zhang, P.; Li, J.; Li, X.; Liu, X.; Zhao, X.; Lu, Y. Population structure and genetic diversity in a rice core collection (Oryza sativa L.) investigated with SSR markers. PloS ONE 2011, 6, e2756. [Google Scholar] [CrossRef]
- Nachimuthu, V.V.; Muthurajan, R.; Duraialaguraja, S.; Sivakami, R.; Pandian, B.A.; Ponniah, G.; Gunasekaran, K.; Swaminathan, M.; Suji, K.K.; Sabariappan, R. Analysis of population structure and genetic diversity in rice germplasm using SSR markers: An initiative towards association mapping of agronomic traits in Oryza sativa. Rice 2015, 8, 30. [Google Scholar] [CrossRef]
- Jin, L.; Lu, Y.; Xiao, P.; Sun, M.; Corke, H.; Bao, J. Genetic diversity and population structure of a diverse set of rice germplasm for association mapping. Theor. Appl. Genet. 2010, 121, 475–487. [Google Scholar] [CrossRef]
- Singh, N.; Choudhury, D.R.; Tiwari, G.; Singh, A.K.; Kumar, S.; Srinivasan, K.; Tyagi, R.K.; Sharma, A.D.; Singh, N.K.; Singh, R. Genetic diversity trend in Indian rice varieties: An analysis using SSR markers. BMC Genet. 2016, 17, 127. [Google Scholar] [CrossRef] [PubMed]
- Smith, J.S.C.; Chin, E.C.L.; Shu, H.; Smith, O.S.; Wall, S.J.; Senior, M.L.; Ziegle, J. An evaluation of the utility of SSR loci as molecular markers in maize (Zea mays L.): Comparisons with data from RFLPs and pedigree. Theor. Appl. Genet. 1997, 95, 163–173. [Google Scholar] [CrossRef]
- Rohlf, F.J. NTSYSpc: Numerical Taxonomy and Multivariate Analysis System, version 2.10b; Applied Biostatistics Inc.: New York, NY, USA, 2000. [Google Scholar]
- Jaccard, P. Nouvelles recherches sur la distribution florale. Bull. Soc. Vaud. Sci. Nat. 1908, 44, 223–270. [Google Scholar]
- Kumar, S.; Tamura, K.; Jakobsen, I.B.; Nei, M. MEGA2: Molecular evolutionary genetics analysis software. Bioinformatics 2001, 17, 1244–1245. [Google Scholar] [CrossRef] [PubMed]
- Pritchard, J.K.; Stephens, M.; Donnelly, P. Inference of population structure using multilocus genotype data. Genetics 2000, 155, 945–959. [Google Scholar]
- Evanno, G.; Regnaut, S.; Goudet, J. Detecting the number of clusters of individuals using the software STRUCTURE: A simulation study. Mol. Ecol. 2005, 14, 2611–2620. [Google Scholar] [CrossRef]





| No. | SSR Primers | Repeat Motif | Chromosome Number | Annealing Temperature (°C) | PCR Product Size (bp) | No. of Alleles | PIC Value |
|---|---|---|---|---|---|---|---|
| 1 | KRF24 | terminal repeat | 7 | 55 | 213–238 | 22 | 0.902 |
| 2 | RM8085 | ag | 1 | 55 | 105–144 | 20 | 0.915 |
| 3 | RM72 | (tat)5c(att)15 | 8 | 55 | 151–207 | 20 | 0.916 |
| 4 | KRF16 | aac | 9 | 55 | 160–253 | 27 | 0.963 |
| 5 | HvSSR02-86 | aac | 2 | 55 | 187–328 | 47 | 0.970 |
| 6 | RM18821 | tct | 5 | 55 | 150–205 | 17 | 0.876 |
| 7 | RM12834 | aga | 2 | 55 | 186–260 | 25 | 0.862 |
| 8 | RM20754 | aat | 6 | 55 | 151–219 | 22 | 0.955 |
| 9 | RM26063 | ct | 11 | 55 | 225–283 | 27 | 0.952 |
| 10 | RM333 | aat | 10 | 55 | 156–312 | 35 | 0.964 |
| 11 | RM15641 | aat | 3 | 55 | 163–247 | 31 | 0.894 |
| 12 | RM26730 | ctt | 11 | 55 | 98–157 | 11 | 0.781 |
| 13 | RM19731 | tta | 6 | 55 | 339–429 | 31 | 0.964 |
| 14 | KRF15 | atg | 8 | 55 | 126–175 | 18 | 0.878 |
| 15 | KRF17 | tatc | 2 | 55 | 243–405 | 41 | 0.956 |
| 16 | RM24946 | atg | 10 | 55 | 317–369 | 15 | 0.855 |
| Total | 409.00 | 14.604 | |||||
| Mean | 25.56 | 0.913 |
© 2019 by the authors. Licensee MDPI, Basel, Switzerland. This article is an open access article distributed under the terms and conditions of the Creative Commons Attribution (CC BY) license (http://creativecommons.org/licenses/by/4.0/).
Share and Cite
Park, J.-R.; Yang, W.-T.; Kwon, Y.-S.; Kim, H.-N.; Kim, K.-M.; Kim, D.-H. Assessment of the Genetic Diversity of Rice Germplasms Characterized by Black-Purple and Red Pericarp Color Using Simple Sequence Repeat Markers. Plants 2019, 8, 471. https://doi.org/10.3390/plants8110471
Park J-R, Yang W-T, Kwon Y-S, Kim H-N, Kim K-M, Kim D-H. Assessment of the Genetic Diversity of Rice Germplasms Characterized by Black-Purple and Red Pericarp Color Using Simple Sequence Repeat Markers. Plants. 2019; 8(11):471. https://doi.org/10.3390/plants8110471
Chicago/Turabian StylePark, Jae-Ryoung, Won-Tae Yang, Yong-Sham Kwon, Hyeon-Nam Kim, Kyung-Min Kim, and Doh-Hoon Kim. 2019. "Assessment of the Genetic Diversity of Rice Germplasms Characterized by Black-Purple and Red Pericarp Color Using Simple Sequence Repeat Markers" Plants 8, no. 11: 471. https://doi.org/10.3390/plants8110471
APA StylePark, J.-R., Yang, W.-T., Kwon, Y.-S., Kim, H.-N., Kim, K.-M., & Kim, D.-H. (2019). Assessment of the Genetic Diversity of Rice Germplasms Characterized by Black-Purple and Red Pericarp Color Using Simple Sequence Repeat Markers. Plants, 8(11), 471. https://doi.org/10.3390/plants8110471

