Optimizing the Antimicrobial, Antioxidant, and Cytotoxic Properties of Silver Nanoparticles Synthesized from Elephantorrhiza elephantina (Burch.) Extracts: A Comprehensive Study
Abstract
1. Introduction
2. Materials and Methodology
2.1. Chemicals and Reagents
2.2. Extraction
2.3. Synthesis of AgNPs
2.4. Characterization of AgNPs
2.5. Phytochemical Analysis
2.6. Antioxidant Testing
2.7. LC-MS Analysis
2.8. Antimicrobial Testing
2.9. Cytotoxicity Testing
2.10. Statistical Analysis
3. Results and Discussion
3.1. Extraction Yield and Synthesis of Silver Nanoparticles
3.2. Characterization of AgNPs
3.2.1. UV–VIS Spectrophotometry
3.2.2. Transmission Electron Microscopy
3.2.3. X-Ray Diffraction
3.3. Phytochemical Analysis
3.3.1. Biochemical Analysis
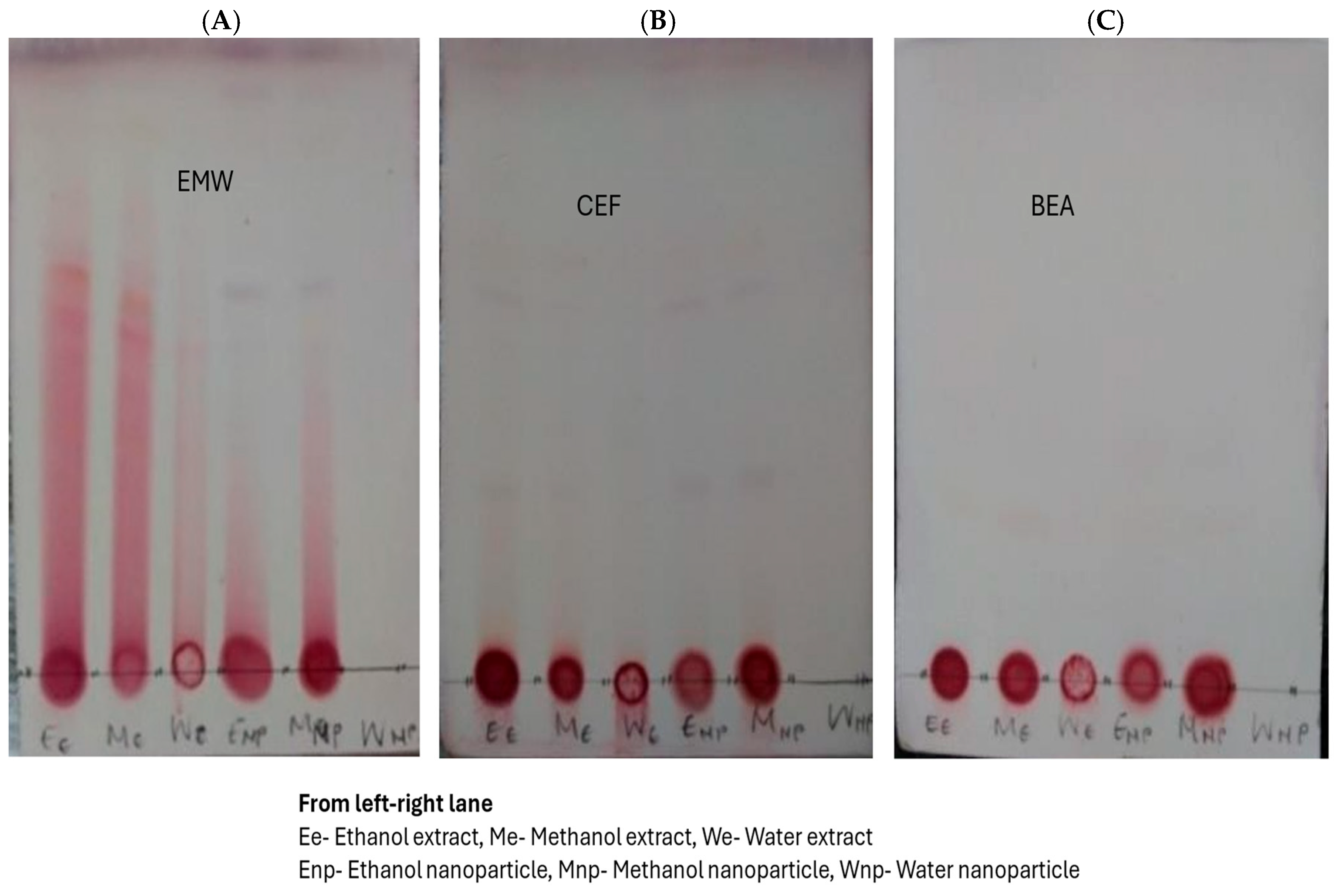
3.3.2. Thin-Layer Chromatography
3.4. Antioxidant Testing
3.5. LCMS Analysis
3.6. AGAR Well Diffusion
3.7. Cytotoxicity
4. Conclusions
Author Contributions
Funding
Data Availability Statement
Acknowledgments
Conflicts of Interest
References
- Van Wyk, B.E. The potential of South African plants in the development of new medicinal products. S. Afr. J. Bot. 2011, 77, 812–829. [Google Scholar] [CrossRef]
- Maroyi, A. Elephantorrhiza elephantina: Traditional uses, phytochemicals, and pharmacology of an important medicinal plant species in Southern Africa. Evid. Based Complement. Altern. Med. 2017, 2017, 1–18. [Google Scholar] [CrossRef] [PubMed]
- Nostro, A.; Germano, M.P.; D’angelo, V.; Marino, A.; Cannatelli, M.A. Extraction methods and bioautography for evaluation of medicinal plant antimicrobial activity. Lett. Appl. Microbiol. 2000, 30, 379–384. [Google Scholar] [CrossRef] [PubMed]
- Shaw, L. The LKB1 tumor suppressor negatively regulates mTOR signaling. Cancer Cell 2004, 6, 91–99. [Google Scholar] [CrossRef]
- Sasidharan, S.; Chen, Y.; Saravanan, D.; Sundram, K.; Latha, L. Extraction, isolation and characterization of bioactive compounds from plants’ extracts. Afr. J. Tradit. Complement. Altern. Med. 2010, 8, 1–10. [Google Scholar] [CrossRef]
- Iravani, S. Green synthesis of metal nanoparticles using plants. Green Chem. 2011, 13, 2638–2650. [Google Scholar] [CrossRef]
- Huong, V.T.L.; Thang, N.N. Green synthesis, characterization and antibacterial activity of silver nanoparticles using Sapindus mukorossi fruit pericarp extract. Mater. Today Proc. 2021, 42, 88–93. [Google Scholar]
- Kasithevar, M.; Saravana, M.; Prakash, P.; Kumar, H.; Ovais, M.; Barabadi, H.; Shinwari, Z.K. Green synthesis of silver nanoparticles using Alysicarpus monilifer leaf extract and its antibacterial activity against MRSA and CoNS isolates in HIV patients. J. Interdiscip. Nanoparticles 2017, 2, 131–141. [Google Scholar] [CrossRef]
- Tamilarasi, P.; Meena, P. Green synthesis of silver nanoparticles (Ag NPs) using Gomphrena globose (Globe amaranth) leaf extract and their characterization. Mater. Today Proc. 2020, 33, 2209–2216. [Google Scholar] [CrossRef]
- Selvakesan, R.K.; Franklin, G. Prospective application of nanoparticles green synthesized using medicinal plant extracts as novel nanomedicines. Nanotechnol. Sci. Appl. 2021, 2021, 179–195. [Google Scholar] [CrossRef]
- Marslin, G.; Siram, K.; Maqbool, Q. Secondary metabolites in the green synthesis of metallic nanoparticles. Materials 2018, 11, 940. [Google Scholar] [CrossRef] [PubMed]
- Sharma, V.K.; Yngard, R.A.; Lin, Y. Silver nanoparticles; green synthesis and their antimicrobial activities. Adv. Colloid Interface Sci. 2009, 145, 83–96. [Google Scholar] [CrossRef] [PubMed]
- Renishiya, J.J.M.T.; Johnson, M.; Mary, U.M.; Arthy, A. Antibacterial activity of ethanolic extracts of selected medicinal plants against human pathogens. Asian Pac. J. Trop. Biomed. 2011, 1, 76–78. [Google Scholar] [CrossRef]
- Lekganyane, M.; Thabe, M.M.; Rachmond, L.H.; Leshwene, J. The phytochemical, antimicrobial and antioxidant activity of five medicinal plants against wound infecting bacteria. Afr. J. Biotechnol. 2012, 11, 13210–13219. [Google Scholar]
- Akpalo, A.E.; Saloufou, I.K.; Eloh, K.; Kpegba, K. Wound healing biomolecules present in four proposed soft aqueous extractions of Ageratum conyzoides Linn. Int. J. Biol. Chem. Sci. 2020, 14, 638–651. [Google Scholar] [CrossRef]
- Wang, J.; Yue, Y.; Tang, F.; Sun, J. TLC screening for antioxidant activity of extracts from fifteen bamboo species and identification of antioxidant flavone glycosides from leaves of Bambusa. textilis McClure. Molecules 2012, 17, 12297–12311. [Google Scholar] [CrossRef]
- Koduru, S.; Grierson, D.S.; van der Venter, M.; Afolayan, A.J. Anticancer activity of steroid alkaloids isolated from Solanum aculeastrum. Pharm. Biol. 2008, 45, 613–618. [Google Scholar] [CrossRef]
- Altemimi, A.; Lakhssassi, N.; Bahalouei, A.; Watson, D.G.; Lightfoot, D.A. Phytochemicals: Extraction, Isolation, and Identification of Bioactive Compounds from Plant Extracts. Med. Plants Nat. Prod. Res. 2017, 6, 42. [Google Scholar] [CrossRef]
- Malich, G.; Markovic, B.; Winder, C. The sensitivity and specificity of the MTS tetrazolium assay for detecting the in vitro cytotoxicity of 20 chemicals using human cell lines. Toxicology 1997, 124, 179–192. [Google Scholar] [CrossRef]
- Desai, R.; Mankad, V.; Gupta, S.K.; Jha, P.K. Size distribution of silver nanoparticles: UV-Visible spectroscopic assessment. Nanosci. Nanotechnol. Lett. 2012, 4, 30–34. [Google Scholar] [CrossRef]
- Femi-Adepoju, A.G.; Dada, A.O.; Otun, K.O.; Adepoju, A.O.; Fatoba, O.P. Green synthesis of silver nanoparticles using terrestrial fern (Gleichenia pectinate (Willd.) C. Presl.): Characterization and antimicrobial studies. Heliyon 2019, 5, e01543. [Google Scholar] [CrossRef] [PubMed]
- Dada, Z.A.; Inyinbor, A.; Idu, E.; Bello, O.; Oluyori, A.; Adelani-Akande, T.; Okunola, A.; Dada, O. Effect of operational parameters, characterization and antibacterial studies of green synthesis of silver nanoparticles using Tithonia diversifolia. PeerJ 2018, 6, e5865. [Google Scholar] [CrossRef] [PubMed]
- Nguyen, N.T.; Liu, J.H. A green method for in situ synthesis of poly (vinyl alcohol)/chitosan hydrogel thin films with entrapped silver nanoparticles. J. Instrum. Chem. Eng. 2014, 45, 2827–2833. [Google Scholar] [CrossRef]
- Baharara, J.; Namvar, F.; Ramezani, T.; Hosseini, N.; Mohamad, R. Green synthesis of silver nanoparticles using Achillea biebersteinii flower extract and its anti-angiogenic properties in the rat aortic ring model. Molecules 2014, 19, 4624–4634. [Google Scholar] [CrossRef]
- Prakash, P.; Gnanaprakasam, P.; Emmanuel, R.; Arokiyaraj, S.; Saravanan, S. Green synthesis of silver nanoparticles from leaf extract of Mimusops elengi, Linn. For enhanced antibacterial activity against multi drug resistant clinical isolates. Colloids Surf. B Biointerfaces 2013, 10, 255–259. [Google Scholar] [CrossRef]
- Dubey, S.P.; Lahtinen, M.; Sillanpaa, M. Tansy fruit mediated greener synthesis of silver and gold nanoparticles. Process Biochem. 2010, 45, 1065–1071. [Google Scholar] [CrossRef]
- McGaw, L.J.; Elgorashi, E.E.; Eloff, J.N. Cytotoxicity of African Medicinal Plants Against Normal Animal and Human Cells. In Toxicological Survey of African Medicinal Plants; Elsevier: Amsterdam, The Netherlands, 2014; pp. 181–233. [Google Scholar]
- Złotek, U.; Mikulska, S.; Nagajek, M.; Swieca, M. The effect of different solvents and number of extraction steps on the polyphenol content and antioxidant capacity of basil leaves (Ocimum basilicum L.) Extracts. Saudi J. Biol. Sci. 2016, 23, 628–633. [Google Scholar] [CrossRef]
- Vijayan, R.; Joseph, S.; Matthew, B. Indigofera tinctoria leaf extract mediated green synthesis of silver and gold nanoparticles and assessment of their anticancer, antimicrobial, antioxidant and catalytic properties. Artif. Cells Nanomed. Biotechnol. 2018, 46, 861–971. [Google Scholar] [CrossRef]
- Kagan, I.A.; Flythe, M.D. Thin-layer chromatography (TLC) separations and bioassays of plant extracts to identify antimicrobial compounds. J. Vis. Exp. 2014, 25, 51–60. [Google Scholar]
- Cowan, M. Plant Products as Antimicrobial Agents. Clin. Microbiol. Rev. 1999, 12, 564–582. [Google Scholar] [CrossRef]
- Rios, J.L.; Giner, R.M.; Marín, M.; Recio, M.C. A pharmacological update of ellagic acid. Planta Medica. 2018, 85, 1068–1093. [Google Scholar]
- Balogun, F.O.; Tshabalala, N.T.; Ashafa, A.O.T. Anti diabetic medicinal plants used by the Basotho tribe of Eastern Free State: A review. J. Diabetes Res. 2016, 1–13. [Google Scholar] [CrossRef]
- Ou, L.; Zhu, Z.; Hao, Y.; Li, Q.; Liu, H.; Chen, Q.; Peng, C.; Zhang, C.; Zou, Y.; Jia, J.; et al. 1,3,6-trigalloylglucose: A novel potent anti-Helicobacter pylori adhesion agent derived from aqueous extracts of Terminalia chebula Retz. Molecules 2024, 29, 1161. [Google Scholar] [CrossRef] [PubMed]
- Imran, M.; Saeed, F.; Hussain, G.; Imran, A.; Mehmood, Z.; Gondar, T.A.; El-Ghorab, A.; Ahmad, I.; Pezzani, R.; Arshad, M.U.; et al. Myricetin: A comprehensive review on its biological potentials. Food Sci. Nutr. 2021, 9, 5854–5868. [Google Scholar] [CrossRef] [PubMed]
- Xixi, Z.; Liangfu, Z.; Rajoka, R.; Shahid, M.; Chunmei, J.; Dongyan, D.; Jing, Z.; Junling, S.; Qingsheng, S. Fungal silver nanoparticles: Application and challenges. Crit. Rev. Biotechnol. 2017, 38, 1–19. [Google Scholar]
- Koduru, J.; Kailasa, S.; Bhamore, J.; Kim, K.; Dutta, T.; Vellingiri, K. Phytochemical-assisted synthetic approaches for silver nanoparticles antimicrobial applications: A review. Adv. Colloid Interface Sci. 2018, 256, 326–339. [Google Scholar] [CrossRef]
- Ahmed, S.; Ikram, S. Synthesis of gold nanoparticles using plant extract: An overview. Nanosci. Res. Appl. 2015, 1, 1–6. [Google Scholar]
- Ponsanti, K.; Tangnorawich, B.; Ngernyuang, N.; Pechyen, C. A flower shape-green synthesis and characterization of 535 silver nanoparticles (AgNPs) with different starch as a reducing agent. J. Mater. Res. Technol. 2020, 9, 11003–11012. [Google Scholar] [CrossRef]
- Das, K.; Tiwari, R.K.S.; Shrivastava, D.K. Techniques for evaluation of medicinal plant products as antimicrobial agent: 474 Current methods and future trends. J. Med. Plants Res. 2010, 4, 104–111. [Google Scholar]
- El-Rafie, H.; El-Rafie, M.; Zahran, M. Green synthesis of silver nanoparticles using polysaccharides extracted from marine macro algae. Carbohydr. Polym. 2013, 6, 403–410. [Google Scholar] [CrossRef]
- Aliakbari, F.; Gilani, M.A.S.; Yazdekhasti, S.; Koruji, M.; Asgari, H.R.; Baazm, M.; Izadyar, F.; Nejad, E.K.; Khanezad, M.; Abbasi, M. Effects of antioxidants, catalase and α-tocopherol on cell viability and oxidative stress variables in frozen-thawed mice spermatogonial stem cells. Artif. Cells Nanomed. Biotechnol. 2017, 45, 63–68. [Google Scholar] [CrossRef] [PubMed]
- Baliga, M.S.; Shivashankara, A.R.; Venkatesh, S.; Bhat, H.P.; Pallaty, P.L.; Bhandari, G.; Rao, S. Phytochemicals in the Prevention of Ethanol-Induced Hepatotoxicity. In Dietary Interventions in Liver Disease; Academic Press: Cambridge, MA, USA, 2019; pp. 391–407. [Google Scholar]
- Cory, A.H.; Owen, T.C.; Barltrop, J.; Cory, J.G. Use of an aqueous soluble tetrazolium/formazan assay for cell growth assays in culture. Cancer Community 1991, 3, 207–212. [Google Scholar] [CrossRef] [PubMed]
- Kelly, K.L.; Coronado, E.; Zhao, L.L.; Schatz, G.C. The optical properties of metal nanoparticles: The influence of size, shape, and dielectric environment. J. Phys. Chem. B 2003, 107, 668–677. [Google Scholar] [CrossRef]
- Connor, E.E.; Mwamuka, J.; Gole, A.; Murphy, C.J.; Wyatt, M.D. Gold nanoparticles are taken up by the human cells but do not cause acute cytotoxicity. Small 2005, 1, 325–357. [Google Scholar] [CrossRef]
- Zhang, X.; Liu, Z.; Shen, W.; Gurunathan, S. Silver Nanoparticles: Synthesis, Characterization, Properties, Applications, and Therapeutic Approaches. Int. J. Mol. Sci. 2016, 17, 1534. [Google Scholar] [CrossRef]
- Kuberan, R.; Sudha, K.; Sathishkumar, G.; Sivaramakrishnan, S. Antibacterial and cytotoxic potential of silver nanoparticles synthesized using latex of Calotropis gigantea L. Spectrochimica Acta Part, A. Mol. Biomol. Spectrosc. 2015, 136, 924–930. [Google Scholar] [CrossRef]
- Bacanli, M.; Anlar, H.G.; Basaran, A.A.; Basaran, N. Assessment of cytotoxicity profiles of different phytochemicals: Comparison of neutral red and MTS assays in different cells in different time periods. Turk. J. Pharm. Sci. 2017, 14, 95–107. [Google Scholar] [CrossRef]









| Cell Line | Repetitive Experiment | Exposure Time | Cell Number cells/mL | Viability (%) | Incubation (h) |
|---|---|---|---|---|---|
| HEK293 | I | 72 | 1.54 × 10 | ≥94 | 2 & 4 |
| HEK293 | II | 72 | 3.66 × 10 | ≥54 | 2 & 4 |
| HEK293 | III | 72 | 9.48 × 10 | ≥78 | 2 & 4 |
| Distilled Water | Ethanol | Methanol | |
|---|---|---|---|
| Terpenoids | + | + | + |
| Tannins/Phenolics | + | + | + |
| Alkaloids | − | − | − |
| Saponins | + | − | − |
| Flavonoids | − | − | − |
| Distilled Water | Ethanol | Methanol | |
|---|---|---|---|
| Terpenoids | − | + | + |
| Tannins/Phenolics | − | + | + |
| Alkaloids | − | + | − |
| Saponins | + | + | + |
| Flavonoids | − | + | + |
| Compound Name | Phytochemical Class | Biological Activity | References |
|---|---|---|---|
| Ellagic acid | Polyphenol | Antioxidant Anti-cancer (cytotoxic to cancer cells) Wound healing Liver problems Anti-proliferative | [32] |
| Procyanidin B1 | Polyphenol flavonoid | Inhibits hepatitis c virus RNA replication Exhibit antiinflammatory effects | [33] |
| Quercetin | Flavonoid | Anti-viral Anti-inflammatory Antioxidant | [2] |
| 1,3,6-tri-Ogalloylglucose | Phenols | Anti-inflammatory | [34] |
| Myricetin | Flavonoid | Antioxidant Antineoplastic agent/cytotoxic | [35] |
| Robinetin | Flavonol | Antioxidant | https://pubchem.ncbi.nlm.nih.gov/compound/Robinetin#:~:text=Robinetin%20a%20pentahydroflavone%20that,ChEBI Access date: 2 February 2025 |
| Microorganisms | E. elephantina Extracts | Silver Nanoparticles | ||||
|---|---|---|---|---|---|---|
| Methanol | Ethanol | Water | Methanol | Ethanol | Water | |
| E. coli | 6 | 0 | 12 | 10 | 6 | 0 |
| S. aureus | 7 | 0 | 12 | 12 | 6 | 0 |
| K. pneumoniae | 0 | 0 | 8 | 14 | 9 | 0 |
Disclaimer/Publisher’s Note: The statements, opinions and data contained in all publications are solely those of the individual author(s) and contributor(s) and not of MDPI and/or the editor(s). MDPI and/or the editor(s) disclaim responsibility for any injury to people or property resulting from any ideas, methods, instructions or products referred to in the content. |
© 2025 by the authors. Licensee MDPI, Basel, Switzerland. This article is an open access article distributed under the terms and conditions of the Creative Commons Attribution (CC BY) license (https://creativecommons.org/licenses/by/4.0/).
Share and Cite
Motene, M.V.; Maepa, C.; Sigidi, M.T. Optimizing the Antimicrobial, Antioxidant, and Cytotoxic Properties of Silver Nanoparticles Synthesized from Elephantorrhiza elephantina (Burch.) Extracts: A Comprehensive Study. Plants 2025, 14, 822. https://doi.org/10.3390/plants14050822
Motene MV, Maepa C, Sigidi MT. Optimizing the Antimicrobial, Antioxidant, and Cytotoxic Properties of Silver Nanoparticles Synthesized from Elephantorrhiza elephantina (Burch.) Extracts: A Comprehensive Study. Plants. 2025; 14(5):822. https://doi.org/10.3390/plants14050822
Chicago/Turabian StyleMotene, Matshoene V., Charity Maepa, and Muendi T. Sigidi. 2025. "Optimizing the Antimicrobial, Antioxidant, and Cytotoxic Properties of Silver Nanoparticles Synthesized from Elephantorrhiza elephantina (Burch.) Extracts: A Comprehensive Study" Plants 14, no. 5: 822. https://doi.org/10.3390/plants14050822
APA StyleMotene, M. V., Maepa, C., & Sigidi, M. T. (2025). Optimizing the Antimicrobial, Antioxidant, and Cytotoxic Properties of Silver Nanoparticles Synthesized from Elephantorrhiza elephantina (Burch.) Extracts: A Comprehensive Study. Plants, 14(5), 822. https://doi.org/10.3390/plants14050822

