Abstract
Tamarisk witches’ broom, yellowing, and little leaf symptoms were observed during 2018–2023 surveys of rural deserts in central regions of Iran with the highest disease incidence up to 72% in Chah Afzal (Yazd province). A verification of the presence and identity of phytoplasmas associated with these symptoms was then performed. Tamarisk tree branch cuttings obtained from symptomatic plants sprouted up to 90.3% but with 15–25 days’ delay compared to the asymptomatic ones and showed internode shortening and witches’ broom, while the branch cuttings from asymptomatic plants had normal growth and sprouted up to 97.8%. Phytoplasma transmission by dodder bridges to periwinkle did not succeed, while nested polymerase chain reaction on the phytoplasma ribosomal gene followed by RFLP and phylogenetic analyses revealed the presence of ‘Candidatus Phytoplasma asteris’, ‘Ca. P. australasiae=australasiaticum’, and ‘Ca. P. trifolii’ (ribosomal subgroups 16SrI-B, 16SrII-D, and 16SrVI-A, respectively) in the samples from symptomatic plants only. Further amplifications were performed on selected phytoplasma-positive samples on tuf and secA genes, and the produced sequences indicated the presence of mixed phytoplasma infection in some of the samples. In particular, in the tuf gene, a mixed infection of ‘Ca. P. australasiae=australasiaticum’ and ‘Ca. P. trifolii’ was detected, while in the secA gene, the presence of ‘Ca. P. asteris’ or ‘Ca. P. tritici’ strains was identified. The first-time detection of diverse phytoplasma strains in symptomatic T. aphylla suggests that this species represent a relevant source of infection for the agricultural crops and for landscape plants especially when temperature allows insect vector transmission, and therefore, it represents a risk in every environment especially in the frame of climatic changes.
1. Introduction
The genus Tamarix (tamarisk, salt cedar, taray) is composed of about 50–60 species of flowering plants of the family Tamaricaceae, native to dry areas of Eurasia and Africa. In Iran, tamarisk trees [Tamarix aphylla (L.) Karst.] have been planted in several rural areas especially near the fields as forestry for anti-desertification. Since the species is very resistant to saline and alkaline soils, it is also used as a windbreak, shade tree in agricultural fields of dry areas and as a barrier to fire. Phytoplasmas are cell wall-less bacteria that belong to the class Mollicutes and recently their presence was detected in T. aphylla plants showing witches’ broom symptoms [1]. They are bacteria inhabiting the phloem tissues of more than 1000 different plant species [2,3] and are transmitted mostly by leaf- and planthoppers [4]. Based on the restriction fragment length polymorphism (RFLP) and sequence analysis of the 16S rRNA gene, phytoplasmas are classified in ‘Candidatus Phytoplasma’ species and in ribosomal groups and subgroups [5,6,7]. Different phytoplasmas infect agricultural, forest, and a range of plant species worldwide; therefore, it is important to know their identity to be able to verify the presence of specific insect vectors and alternative host plants. Since T. aphylla is used as a wind breaking or reforestation species in several agriculturally and environmentally relevant areas of Iran where phytoplasma-associated diseases are usually present, the species could play a role in their epidemiological spreading. However, since there is no information about the T. aphylla phytoplasma-associated disease epidemiology and spreading, the objective of the present study was the molecular identification of phytoplasmas present in T. aphylla to clarify the possible role of the species as a reservoir for phytoplasmas associated with diseases in crops in agriculturally and environmentally relevant areas in Iran.
2. Results
During 2018–2023, the presence of T. aphylla witches’ broom and yellowing was surveyed in planted tamarisk trees in the rural desert of central regions of Iran, including Ardakan, Meybod, Bafgh, Herat, Ashkezar, and Abarkouh areas (Yazd province, center of Iran) (Figure 1). Symptoms of witches’ broom, yellowing, and little leaf were observed only in Chah Afzal and Mileshbar areas in Ardakan and Bafruiyeh area in Meybod (Figure 2). The highest disease incidence was 72% in planted T. aphylla forestry trees of Chah Afzal.
Figure 1.
Map of the sampling areas (in different colors) in Yazd province, Iran.
Figure 2.
Witches’ broom, yellowing, and severe proliferation in Tamarix aphylla affected by the phytoplasma disease (a). Healthy branch (top) compared to infected one (bottom) (b).
Tamarisk potted cuttings from asymptomatic and symptomatic plants sprouted 97.8% and 90.3%, respectively. Cuttings from symptomatic plants sprouted with 15–25 days’ delay compared to those from asymptomatic plants and showed internode shortening and witches’ broom. After four months, the average heights of the rooted cuttings were 74.2 and 31.2 cm for asymptomatic and symptomatic plants, respectively (Figure 3). The attempts of transmission of phytoplasmas via dodder to periwinkle failed. After 24 months, dodder-inoculated periwinkles did not have any phytoplasma symptoms, and the nested PCR results were negative.
Figure 3.
In both pictures (a,b), the left part of the picture is cuttings of diseased plant and right part of the picture is cuttings from healthy plant: in (a), a row of cuttings from diseased plant compared to a row of cuttings from healthy plant; and in (b), the pot in the left contains a cutting from a diseased plant, and the pot in the right contains a cutting from a healthy plant.
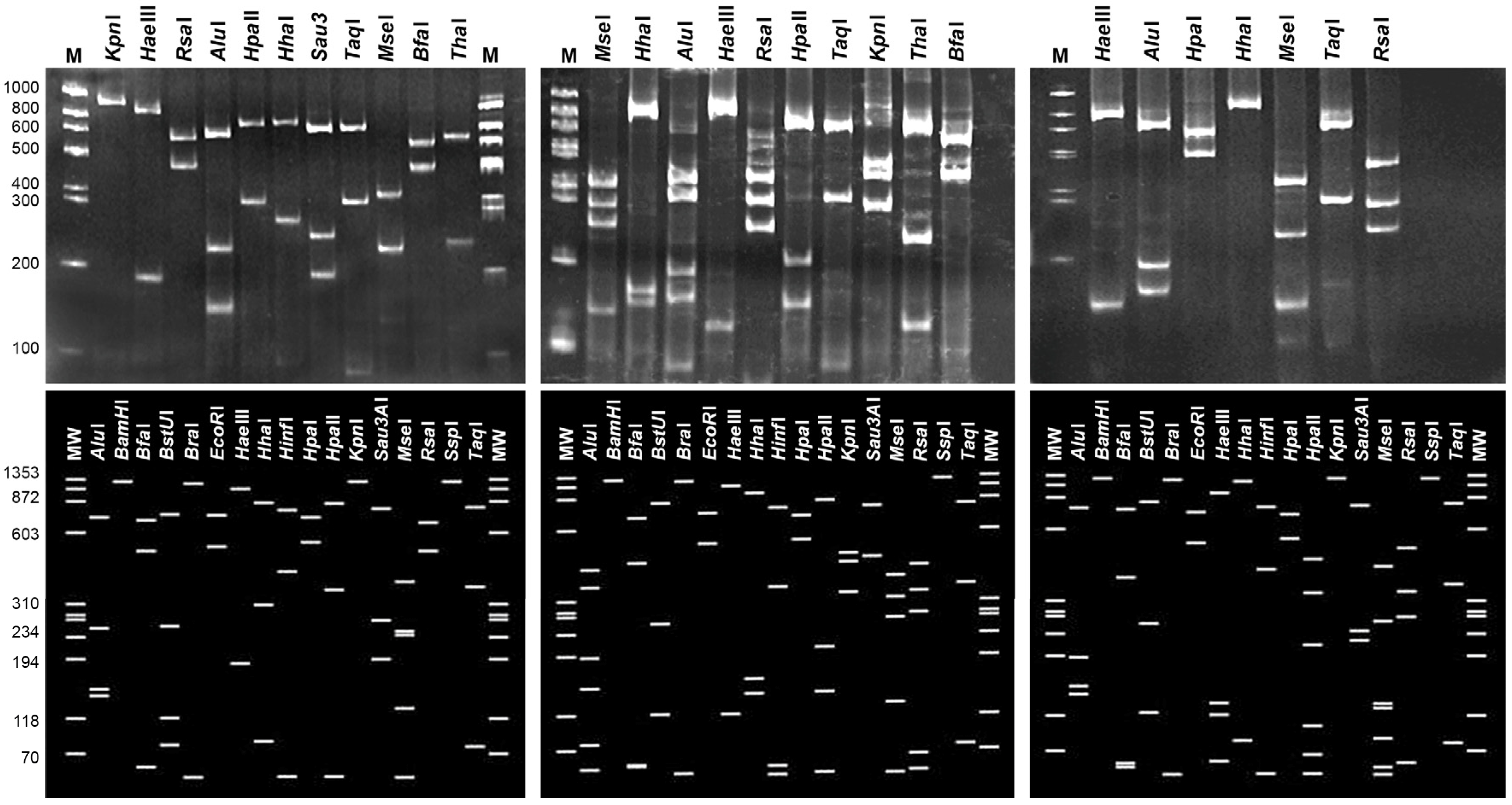
Amplicons of around 1.8, 1.4, and 1.2 kbp were obtained by direct and nested PCR on 16S rRNA gene from symptomatic tamarisk plants and from their branch cuttings. The nested PCR results were negative for asymptomatic plants and from their cuttings. Based on the RFLP patterns of partial 16S ribosomal sequences compared with those published for 16S rDNA amplicons amplified with the same primers [5], phytoplasmas referable to three ribosomal groups, 16SrI, 16SrII, and 16SrVI, were identified (Figure 4).
Figure 4.
Real (top lane) and virtual (bottom lane) RFLP patterns [7] of 1.2 kb profiles of 16S rDNA amplicons obtained in nested PCR primed by P1/P7 and R16F2n/R16R2 and their sequences from phytoplasma strains referable to 16SrVI, 16SrI, and 16SrII, respectively. Lane M and MW 100 bp and phiX174 DNA/BsuRI (HaeIII) DNA ladders. DNA products were digested with the enzymes listed at the top of the figures.
From R16mF2/R16mR2 primed PCR products, six samples from each phytoplasma ribosomal group were sequenced and showed 100% sequence identity to each other. The sequence of one sample from each ribosomal group was deposited in GenBank under the accession numbers MK313753, MK313752, and MK313754, for 16SrI, 16SrII, and 16SrVI groups, respectively. Results of virtual RFLP analyses of the 1.2 kbp 16S rDNA of these sequences using iPhyClassifier showed patterns identical to 16SrI-B, 16SrII-D, and 16SrVI-A phytoplasma subgroups (Figure 4).
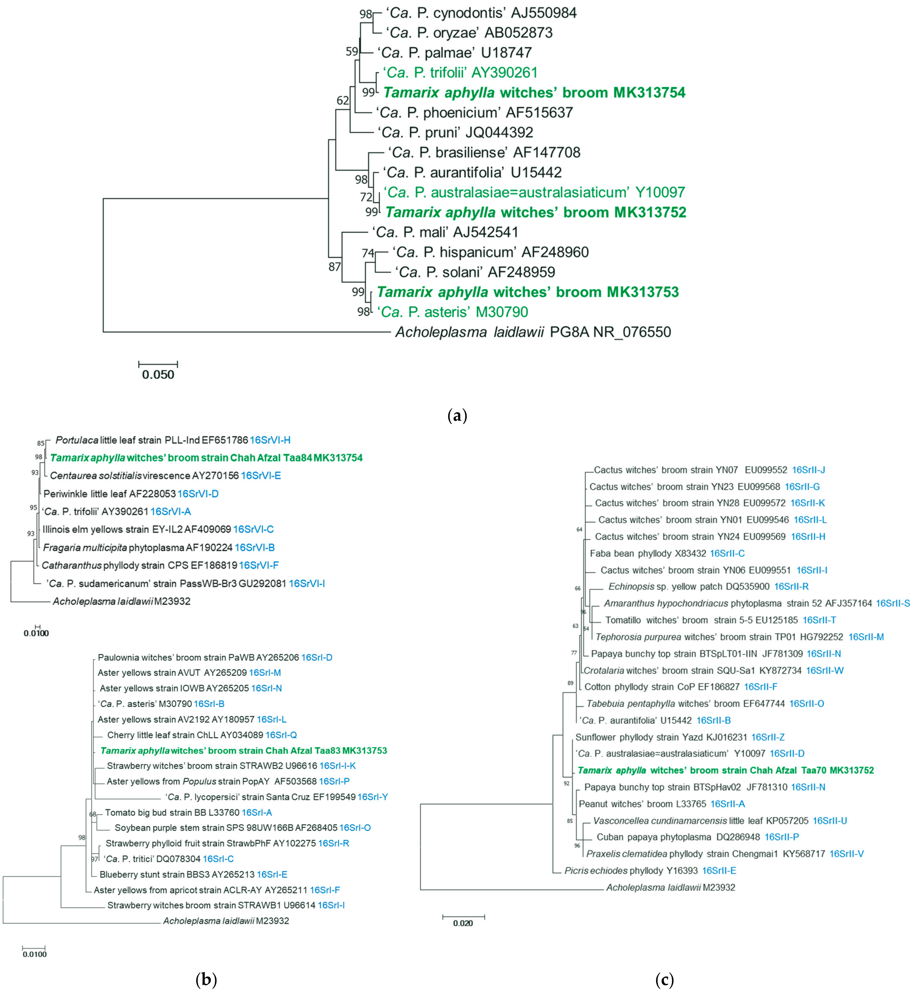
The double BLAST search (www.ncbi.nlm.nih.gov accessed on 28 February 2024) using the 1.2 kbp of ribosomal RNA operon of these sequences showed that tamarisk phytoplasma strain with GenBank accession number MK313753 (strain Taa83) had 99.52% identity to ‘Ca. P. asteris’ with three GAPs and three SNPs to the reference strain (GenBank accession number M30790). The sequence having GenBank accession number MK313752 (strain Taa70=82) presented 99.84% identity to ‘Ca. P. australasiae=australasiaticum’ (GenBank accession number Y10097) with one GAP and one SNP to it, and the sequence in GenBank under the accession number of MK313754 (strain Taa84) had 99.60% identity to ‘Ca. P. trifolii’ with five SNPs to it. The phylogenetic trees generated by the analysis of 1.2 kbp 16S rRNA genes confirmed the information showing the clustering with the respective ‘Ca. Phytoplasma’ species. The phylogenetic trees constructed with phytoplasmas in subgroups of 16SrI, 16SrII, and 16SrVI and the representatives of TWB strains confirmed that these phytoplasma strains are close to ‘Ca. P. asteris’, ‘Ca. P. australasiae=australasiaticum’, and ‘Ca. P. trifolii’, respectively (Figure 5).
Figure 5.
Molecular phylogenetic analysis by Maximum Likelihood method of the R16F2n/R16R2 sequence of 16S rRNA gene of T. aphylla phytoplasmas (in bold green) with ‘Ca. Phytoplasma’ (a) and phytoplasma strains in the 16SrVI (top) and 16SrI (bottom) (b) and 16SrII (c) subgroups; Acholeplasma laidlawii is used as an outgroup. Numbers at the nodes are bootstrap values based on 1000 repetitions. GenBank accession numbers for sequences are given following the phytoplasma and strain names, in light blue ribosomal subgroup affiliation, in light green strains of the T. aphylla phytoplasmas studied. The percentage of trees in which the associated taxa clustered together is shown next to the branches (only values above 50 are shown).
Three of the samples in which each of the three diverse phytoplasmas were detected (Taa82, Taa83, and Taa84) were employed for further amplification on tuf and secA genes, and the amplicons were sequenced, aligned, and used for phylogenetic tree preparation (Figure 6). The results showed consistency with results obtained for the 16S rRNA gene only for one of the samples, resulting in only sample Taa83 being infected with a ‘Ca. P. asteris’ strain (Table 1). The phytoplasmas detected in sample Taa84 showed ‘Ca. P. trifolii’ in the 16S rRNA gene and a ‘Ca. P. asteris’ strain in the other two genes, while the sample Taa82 showed an infection by three diverse ‘Ca. Phytoplasma’ species.
Figure 6.
Molecular phylogenetic analysis by Maximum Likelihood method of the sequences of tuf (a) and secA (b) genes of T. aphylla phytoplasmas (in bold green) with different ‘Ca. Phytoplasma’, in bold ‘Ca. Phytoplasma’ reference strains; Acholeplasma laidlawii and Bacillus subtilis sequences are used as outgroups. Numbers at the nodes are bootstrap values based on 1000 repetitions. GenBank accession numbers for sequences are given before the phytoplasma name. The percentage of trees in which the associated taxa clustered together is shown next to the branches.
Table 1.
Summary of results of amplification on 16S rRNA and tuf and secA genes for phytoplasma identification.Nd, not determined.
3. Discussion
Chah Afzal area’s planted forestry of T. aphylla was established in the 1980s in a 4000-hectare land as an anti-desertification effort. Over time, the cultivation of crops has also increased in the vicinity of this forest. More than a decade ago, in rural areas of central regions of Iran, suspected phytoplasma disease symptoms were observed for the first time in planted T. aphylla, used as forest and field’s windbreak. So far, up to 72% presence of witches’ broom disease was confirmed in planted tamarisk. The present survey indicates the presence of diverse phytoplasmas in tamarisk with witches’ broom and yellowing symptoms. Based on RFLP and phylogenetic analysis on 16S rRNA gene, the presence of 16SrI-B, 16SrII-D, and 16SrVI-A phytoplasma strains, i.e., ‘Ca. P. asteris’, ‘Ca. P. australasiae=australasiaticum’ [8] and ‘Ca. P. trifolii’, was detected in the symptomatic tamarisk plants. Moreover, the further amplification of single copy housekeeping gene, widely employed for phytoplasma detection and molecular characterization, indicated the presence of mixed phytoplasma infection as confirmed by the re-amplification of the same samples in which the above phytoplasmas were identified. This is among the first reports in which different phytoplasmas could be detected in the same samples using different phytoplasma gene targets. A case of similar mixed infection was recently reported in India in neem plants showing witches’ broom symptoms after the re-amplification of samples on secA gene [9]. This represents also the first characterization of these phytoplasmas in tamarisk showing witches’ broom and yellowing in Iran and worldwide.
The phytoplasmas identified in symptomatic tamarisk trees were detected in a wide range of agricultural, forest, and rangeland plant species in Iran. Among the numerous phytoplasma strains detected in the Iranian flora, plant species reported as hosts of ‘Ca. P. asteris’ strains included Eucalyptus camaldulensis [10], ], while described as host plants for ‘Ca. P. australasiae=australasiaticum’ are Sorghum halepense [11], Punica granatum [12], Sesamum indicum [13], and Calendula officinalis [14]. Brassica oleracea and B. napus [15,16], Lycopersicum esculentum [17], and Erigeron canadensis [11], are reported as hosts of ‘Ca. P. trifolii’, while Medicago sativa and Cucumis sativus were infected by both the latter ‘Ca. Phytoplasma’ species, among others [18,19,20]. Moreover, S. indicum and C. officinalis showing phyllody, and M. sativa with witches’ broom were detected to be infected with ‘Ca. P. australasiae=austalasiaticum’ [13,14,18] and were grown in Chah Afzal next to tamarisk plants infected with witches’ broom. T. aphylla may have therefore a key role in the epidemiology of phytoplasma diseases as a reservoir species in a threat to agricultural, forest, and rangeland plant species in Iran.
Orosius albicinctus is an important leafhopper species that transmits 16SrII phytoplasma strains and T. aphylla adjacent to agricultural fields is a reservoir site for this leafhopper [21]. Different nymphal stages of O. albicinctus survived on T. aphylla in the winter and the summer. Alfalfa witches’ broom, vectored by O. albicinctus, is the most important disease of M. sativa in central areas of Iran where up to 100% of disease incidence was observed. It is possible that the leafhopper vector transfers the phytoplasmas from infected tamarisk tree to other plant species in winter days with moderate temperature. Formerly, witches’ broom, yellowing, and decline due to 16SrI and 16SrII phytoplasma strains were reported from Pistachia vera fields in Iran [22]. The occurrence of symptomatic T. aphylla infected with 16SrI and -II phytoplasma strains adjacent to these farms in the Chah Afzal area can be a potential threat to pistachio cultivation.
4. Materials and Methods
Among the five surveyed areas of the central regions in Iran, the occurrence of tamarisk phytoplasma disease was observed only in Chah Afzal, Mileshbar, and Bafruiyeh areas (Figure 1). In each area, sampling was carried out randomly in five plots, each of one hectare of planted tamarisk. A total of 150 samples (25 samples per each area) with symptoms were collected for testing. Twelve samples (two per area) were collected as a negative control from symptomless trees. To estimate the disease presence in each area, the total number of symptomatic plants was divided by the total number of plants in the sampling areas. The value obtained was expressed as a percentage by multiplying it by 100.
All sampled plants were propagated by branch cutting for dodder inoculation to periwinkle, and molecular studies and the assessment of growth conditions were performed. For the propagation of tamarisk plants, 25 cm branch cutting was taken from trees showing symptoms of witches’ broom and yellowing and also from symptomless trees as a control. All tamarisk branch cuttings were planted in soil pots and kept in an insect-free greenhouse under 27 °C and 50% of relative humidity for rooting. The date of sprouting, the sprouting rate, and the seedling height of cuttings were measured.
Transmission of phytoplasmas via dodder to periwinkle (Catharanthus roseus) was carried out. Seeds of dodder (Cuscuta campestris) were germinated on moist filter paper, and seedlings were transferred to two-month-old tamarisk sprouted branch cuttings under insect-proof conditions. After six weeks, newly developed strands of dodder from infected tamarisk seedlings were connected to seed-grown healthy periwinkle at 4–5 leaf stage. The connection was maintained for 45 days, and then, dodder-inoculated periwinkles were kept in an insect-proof greenhouse for the evaluation of symptom expression. Negative controls were prepared by the inoculation of ten periwinkle plants by dodder strands grown on symptomless tamarisk.
Total DNA was extracted from 0.2 g of T. aphylla leaves with witches’ broom and yellowing branches and from asymptomatic tamarisk using the methods described by Healey et al. [23] based on CTAB and chloroform/phenol methods. Total DNA extracted from Calendula officinalis phyllody phytoplasma (16SrII-D) [14] was used as a positive control. A total of 100 ng of nucleic acid from symptomatic and symptomless tamarisk samples and from the control phytoplasma was used for nested polymerase chain reaction using P1/P7 [24,25], R16mF2/R16mR2, and R16F2n/R16R2 [26] primer pairs in PCR and nested PCR, respectively. The nested PCR reactions were performed using the 1: 30 dilutions of amplicons obtained from PCR as a template. The amplifications were carried out in a programmable thermocycler (Bio-Rad, Hercules, CA, USA) following described conditions [27]. PCR products were electrophoresed in 1% agarose gel in the TBE buffer and visualized with a UV transilluminator following ethidium bromide staining. The molecular weight of the PCR products was estimated by comparison with 100 bp DNA ladder (Biobasic, Markham, ON, Canada).
RFLP analyses were carried out on the 1.2 kb nested PCR products from R16F2n/R16R2 primer pairs using each of the restriction enzymes, MseI, HhaI, AluI, HaeIII, RsaI, HpaII, HpaI, TaqI, KpnI, Sau3AI, ThaI, and BfaI, separately according to the instructions of the manufacturer (Thermo, Vilnius, Lithuania). The restriction products were then separated by electrophoresis through a polyacrylamide 6.7% gel stained with ethidium bromide and visualized with a UV transilluminator. The resulting RFLP patterns were compared with those previously published for 16S rDNA of other phytoplasmas [5]. Virtual RFLP analysis using iPhyClassifier [6] was used to verify the subgroup affiliation of tamarisk phytoplasma strains comparing the sequences of a representative strain of each group to those of available phytoplasmas in groups 16SrI, 16SrII, and 16SrVI. Selected samples in which diverse phytoplasmas were identified on the 16S rRNA gene were employed for nested PCR amplification on tuf and secA genes using reported primers and conditions [28,29].
The R16mF2/R16mR2 primed PCR products of six samples from each of the determined phytoplasma subgroups and the tuf and secA genes amplicons from three of the same samples in which the diverse phytoplasmas were detected and were directly sequenced in both directions using M13F and T7 [28] for the tuf gene and SecAfor5/SecArev2 for the secA gene [30], respectively. The assembled sequences were compared with deposited sequences in Gene Bank database using Blast (National Center for Biotechnology Information, Bethesda, MD, USA) and aligned with BioEdit software 7.0.5.3. The evolutionary history was inferred by using the Maximum Likelihood method based on the Jukes–Cantor model [31]. Initial tree(s) for the heuristic search were obtained automatically by applying Neighbor-Join and BioNJ algorithms to a matrix of pairwise distances estimated using the Maximum Composite Likelihood (MCL) approach, and then by selecting the topology with the superior log likelihood value. Phylogenetic trees were generated using MEGA 7 software [32]. Acholeplasma laidlawii and Bacillus subtilis were used as an outgroup to root the trees. Bootstrapping was performed 1000 times to estimate the clade stability and support for the branches.
5. Conclusions
In plant infectious disease epidemiology, the co-presence of pathogens, susceptible host, and the possible natural transmission especially by insects is important. Tamarisk trees that were planted over the past decades for anti-desertification programs and as windbreaks in Iran become infected with different phytoplasma strains determining a major threat to all agricultural and natural resources in the areas. It is necessary to prevent the disease spread as it is proved according to the results of this work that the tamarisk trees planted for anti-desertification are infected with diverse phytoplasmas transmitted from other plant species already present at the time in the environment, or the propagation material could have been already infected them in nurseries. This was aggravated when, during drought periods, the phytoplasma insect vectors transmitted phytoplasma strains to the tamarisk trees during insect over-wintering and over-summering. The presence of mixed phytoplasma infection in the symptomatic tamarisk trees indicated that tamarisk trees are both good and sensitive hosts for being infected by phytoplasmas and play an essential role in the spread of the disease to other plants.
Author Contributions
Conceptualization, S.A.E.-H. and A.B.; methodology, G.B. and F.P.; software, F.P.; validation, S.A.E.-H., G.B. and F.P.; formal analysis, S.A.E.-H., G.B. and F.P.; investigation, S.A.E.-H.; resources, S.A.E.-H.; data curation, A.B.; writing—original draft preparation, S.A.E.-H.; writing—review and editing, A.B.; visualization, A.B.; supervision, A.B. and S.A.E.-H.; project administration, S.A.E.-H.; funding acquisition, S.A.E.-H. All authors have read and agreed to the published version of the manuscript.
Funding
This research was funded by Agricultural Research, Education and Extension Organization (AREEO) of Iran, grant number 2-23-23-94101.
Data Availability Statement
The original data presented in the study are openly available at GenBank under the accession numbers listed in the paper.
Acknowledgments
This paper is part of the results of project no. 2-23-23-94101 series 60731 approved by Agricultural Research, Education and Extension Organization (AREEO), Ministry of Agriculture-Jahad, Iran.
Conflicts of Interest
The authors declare no conflicts of interest.
References
- Esmailzadeh Hosseini, S.A.; Salehi, M.; Babaie, G.; Paydar Ardakani, A. First report of a 16SrII phytoplasma associated with a witches’ broom disease of Tamarix aphylla in Iran. New Dis. Rep. 2017, 36, 22. [Google Scholar] [CrossRef]
- Lee, I.-M.; Davis, R.E.; Gundersen-Rindal, D.E. Phytoplasma: Phytopathogenic mollicutes. Annu. Rev. Microbiol. 2000, 54, 221–255. [Google Scholar] [CrossRef] [PubMed]
- Bertaccini, A.; Duduk, B.; Paltrinieri, S.; Contaldo, N. Phytoplasmas and phytoplasma diseases: A severe threat to agriculture. Am. J. Pl. Sci. 2014, 5, 1763–1788. [Google Scholar] [CrossRef]
- Weintraub, P.G.; Beanland, L. Insect vectors of phytoplasmas. Annu. Rev. Entomol. 2006, 51, 91–111. [Google Scholar] [CrossRef] [PubMed]
- Lee, I.-M.; Gundersen-Rindal, D.E.; Davis, R.E.; Bartoszyk, I.M. Revised classification scheme of phytoplasmas based on RFLP analyses of 16SrRNA and ribosomal protein gene sequences. Int. J. Syst. Bacteriol. 1998, 48, 1153–1169. [Google Scholar] [CrossRef]
- Zhao, Y.; Wei, W.; Lee, I.-M.; Shao, J.; Suo, X.; Davis, R.E. Construction of an interactive online phytoplasma classification tool, iPhyClassifier, and its application in analysis of the peach X-disease phytoplasma group (16SrIII). Int. J. Syst. Evol. Microbiol. 2009, 59, 2582–2593. [Google Scholar] [CrossRef]
- Bertaccini, A.; Arocha-Rosete, Y.; Contaldo, N.; Duduk, B.; Fiore, N.; Montano, H.G.; Kube, M.; Kuo, C.-H.; Martini, M.; Oshima, K.; et al. Revision of the ‘Candidatus Phytoplasma’ species description guidelines. Int. J. Syst. Evol. Microb. 2022, 72, 005353. [Google Scholar] [CrossRef] [PubMed]
- Rodrigues Jardim, B.; Tran-Nguyen, L.T.; Gambley, C.; Al-Sadi, A.M.; Al-Subhi, A.M.; Foissac, X.; Constable, F.E. The observation of taxonomic boundaries for the 16SrII and 16SrXXV phytoplasmas using genome-based delimitation. Int. J. Syst. Evol. Microb. 2023, 73, 005977. [Google Scholar] [CrossRef] [PubMed]
- Pacini, F.; Feduzi, G.; Contaldo, N.; Mall, S.; Panda, P.; Rao, G.P.; Bertaccini, A. Molecular characterization of phytoplasmas infecting neem trees in India. Phytopath. Moll. 2020, 10, 158–165. [Google Scholar] [CrossRef]
- Salehi, M.; Esmailzadeh Hosseini, S.A.; Salehi, E. First report of a ‘Candidatus Phytoplasma asteris’ related phytoplasma associated with Eucalyptus little leaf disease in Iran. J. Plant Pathol. 2016, 98, 175. [Google Scholar] [CrossRef]
- Zibadoost, Z.; Rastgou, M. Molecular identification of phytoplasmas associated with some weeds in West Azarbaijan province, Iran. Acta Agric. Sloven. 2016, 107, 129–136. [Google Scholar] [CrossRef]
- Salehi, M.; Esmailzadeh Hosseini, S.A.; Rasoulpour, R.; Salehi, E.; Bertaccini, A. Identification of a phytoplasma associated with pomegranate little leaf disease in Iran. Crop Prot. 2016, 87, 50–54. [Google Scholar] [CrossRef]
- Salehi, M.; Esmailzadeh Hosseini, S.A.; Salehi, E.; Bertaccini, A. Genetic diversity and vector transmission of phytoplasmas associated with sesame phyllody in Iran. Folia Microbiol. 2016, 62, 99–109. [Google Scholar] [CrossRef] [PubMed]
- Esmailzadeh Hosseini, S.A.; Salehi, M.; Babaie, G.; Bertaccini, A. Characterization of a 16SrII subgroup D phytoplasma strain associated with Calendula officinalis phyllody in Iran. 3Biotech 2018, 8, 295. [Google Scholar] [CrossRef]
- Salehi, M.; Izadpanah, K.; Siampour, M. Characterization of a phytoplasma associated with cabbage yellows in Iran. Plant Dis. 2007, 91, 625–630. [Google Scholar] [CrossRef]
- Salehi, M.; Izadpanah, K.; Siampour, M. Occurrence, molecular characterization and vector transmission of a phytoplasma associated with rapeseed phyllody in Iran. J. Phytopathol. 2011, 159, 100–105. [Google Scholar] [CrossRef]
- Salehi, E.; Salehi, M.; Taghavi, S.M.; Izadpanah, K. A 16SrII-D phytoplasma strain associated with tomato witches’ broom in Bushehr province, Iran. J. Crop Protect. 2014, 3, 377–388. [Google Scholar]
- Esmailzadeh Hosseini, S.A.; Khodakaramian, G.; Salehi, M.; Bertaccini, A. Characterization of 16SrII group phytoplasmas associated with alfalfa (Medicago sativa) witches’ broom disease in diverse areas of Iran. J. Crop Prot. 2016, 5, 581–590. [Google Scholar] [CrossRef]
- Esmailzadeh Hosseini, S.A.; Khodakaramian, G.; Salehi, M.; Bertaccini, A. First report of 16SrVI-A and 16SrXII-A phytoplasmas associated with alfalfa witches’ broom diseases in Iran. J. Plant Pathol. 2016, 98, 369. [Google Scholar]
- Esmaeilzadeh-Hosseini, S.A.; Babaei, G.; Purmohammadi, S.; Bertaccini, A. Phytoplasmas infecting greenhouse cucumber in Iran. Phytopath. Moll. 2019, 9, 31–32. [Google Scholar] [CrossRef]
- Esmailzadeh Hosseini, S.A.; Salehi, M.; Mirzaie, A. Alternate hosts of alfalfa witches’ broom phytoplasma and winter hosts of its vector Orosius albicinctus in Yazd, Iran. Bull. Insectol. 2011, 64, 247–248. [Google Scholar]
- Khodaygan, P.; Moslemkhani, K.; Shahbazi, R.; Moradi, M.; Habibi, H. Molecular identification of 16SrII phytoplasma group in commercial pistachio cultivars in Iran. Arch. Phytopathol. Plant Protect. 2013, 47, 1400–1407. [Google Scholar] [CrossRef]
- Healey, A.; Furtado, A.; Cooper, T.; Henry, R.J. Protocol: A simple method for extracting next-generation sequencing quality genomic DNA from recalcitrant plant species. Plant Meth. 2014, 10, 21. Available online: http://www.plantmethods.com/content/10/1/21 (accessed on 16 January 2024). [CrossRef] [PubMed]
- Deng, S.; Hiruki, C. Amplification of 16S ribosomal- RNA genes from culturable and non culturable mollicutes. J. Microbiol. Meth. 1991, 14, 53–61. [Google Scholar] [CrossRef]
- Schneider, B.; Seeműller, E.; Smart, C.D.; Kirkpatrick, B.C. Phylogenetic classification of plant pathogenic mycoplasma-like organisms or phytoplasmas. In Molecular and Diagnostic Procedures in Mycoplasmology; Razin, S., Tully, J.G., Eds.; Academic Press: San Diego, CA, USA, 1995; Volume 1, pp. 369–380. [Google Scholar] [CrossRef]
- Gundersen, D.E.; Lee, I.-M. Ultrasensitive detection of phytoplasmas by nested-PCR assays using two universal primer pairs. Phytopath. Medit. 1996, 35, 144–151. [Google Scholar]
- Schaff, D.A.; Lee, I.-M.; Davis, R.E. Sensitive detection and identification of mycoplasmalike organisms by polymerase chain reactions. Biochem. Biophys. Res. Comm. 1992, 186, 1503–1509. [Google Scholar] [CrossRef]
- Makarova, O.V.; Contaldo, N.; Paltrinieri, S.; Kawube, G.; Bertaccini, A.; Nicolaisen, M. DNA barcoding for universal identification of ‘Candidatus Phytoplasmas’ using a fragment of the elongation factor Tu gene. PLoS ONE 2012, 7, e52092. [Google Scholar] [CrossRef] [PubMed]
- Hodgetts, J.; Boonham, N.; Mumford, R.; Harrison, N.; Dickinson, M. Phytoplasma phylogenetics based on analysis of secA and 23S rRNA gene sequences for improved resolution of candidate species of ‘Candidatus Phytoplasma’. Int. J. Syst. Evol. Microb. 2008, 58, 1826–1837. [Google Scholar] [CrossRef] [PubMed]
- Bekele, B.; Hodgetts, J.; Tomlinson, J.; Boonham, N.; Nikolić, P.; Swarbrick, P.; Dickinson, M. Use of a real-time LAMP isothermal assay for detecting 16SrII and XII phytoplasmas in fruit and weeds of the Ethiopian Rift Valley. Plant Pathol. 2011, 60, 345–355. [Google Scholar] [CrossRef]
- Jukes, T.H.; Cantor, C.R. Evolution of protein molecules. In Mammalian Protein Metabolism; Munro, H.N., Ed.; Academic Press: New York, NY, USA, 1969; pp. 21–132. [Google Scholar] [CrossRef]
- Kumar, S.; Stecher, G.; Tamura, K. MEGA7: Molecular evolutionary genetics analysis version 7.0 for bigger datasets. Mol. Biol. Evol. 2016, 33, 1870–1874. [Google Scholar] [CrossRef]
Disclaimer/Publisher’s Note: The statements, opinions and data contained in all publications are solely those of the individual author(s) and contributor(s) and not of MDPI and/or the editor(s). MDPI and/or the editor(s) disclaim responsibility for any injury to people or property resulting from any ideas, methods, instructions or products referred to in the content. |
© 2024 by the authors. Licensee MDPI, Basel, Switzerland. This article is an open access article distributed under the terms and conditions of the Creative Commons Attribution (CC BY) license (https://creativecommons.org/licenses/by/4.0/).





