Global Natural Products Social (GNPS)-Based Molecular-Networking-Guided Isolation of Phenolic Compounds from Ginkgo biloba Fruits and the Identification of Estrogenic Phenolic Glycosides
Abstract
:1. Introduction
2. Results
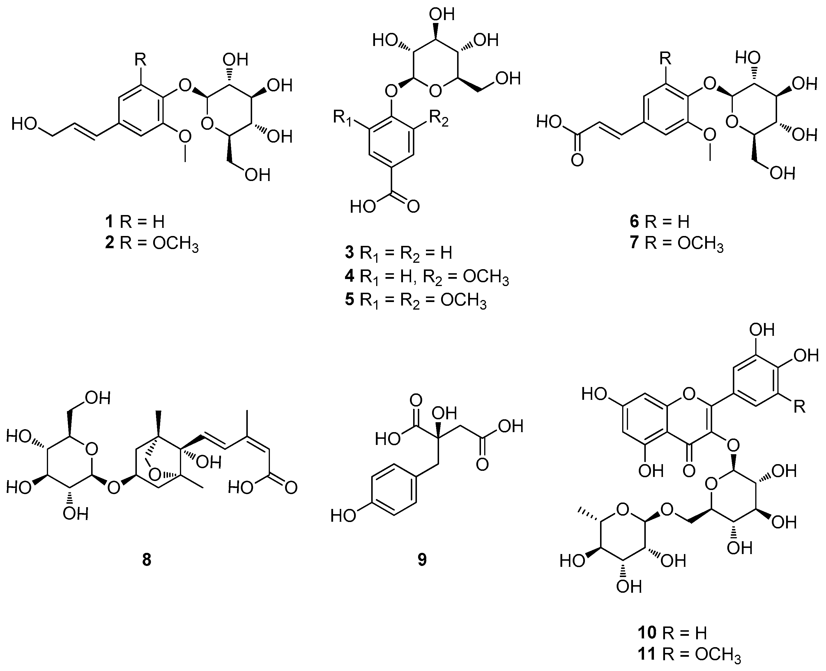
2.1. GNPS-Molecular Networking Guided Isolation of Compounds
2.2. Effects of Compounds 1–11 on the Proliferation of MCF-7 Cells
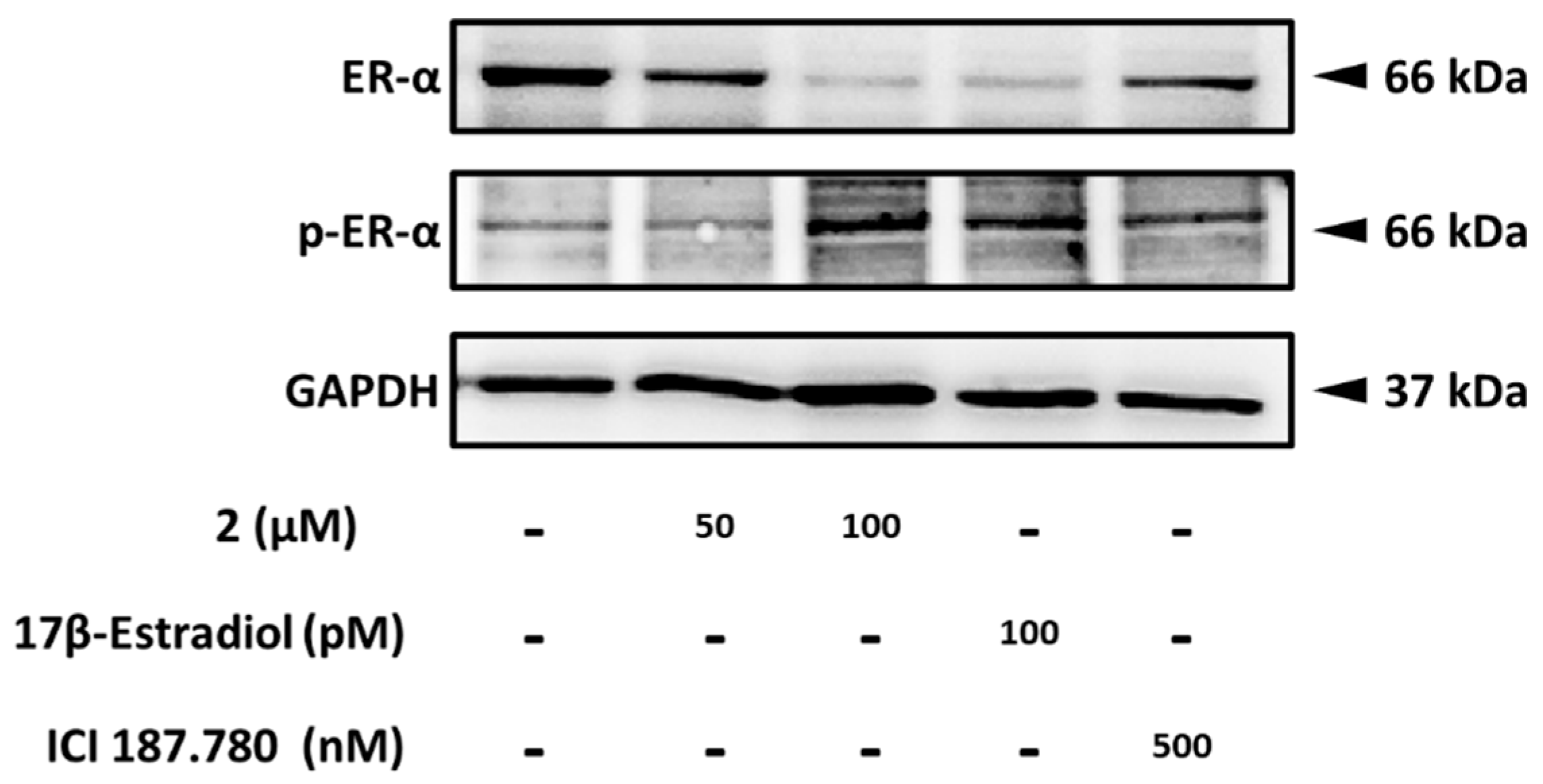
2.3. Effect of Compound 2 on the Protein Expression of Phospho-ERα and Erα
3. Materials and Methods
3.1. Plant Material
3.2. Extraction and Isolation
3.3. LC-MS/MS Analysis
3.4. Cell Culture
3.5. E-Screen Assay
3.6. Western Blot Analysis
3.7. Statistical Analysis
4. Discussion
5. Conclusions
Supplementary Materials
Author Contributions
Funding
Data Availability Statement
Conflicts of Interest
References
- Bolton, J.L. Menopausal hormone therapy, age, and chronic diseases: Perspectives on statistical trends. Chem. Res. Toxicol. 2016, 29, 1583–1590. [Google Scholar] [CrossRef] [PubMed]
- Glazier, M.G.; Bowman, M.A. A review of the evidence for the use of phytoestrogens as a replacement for traditional estrogen replacement therapy. Arch. Intern. Med. 2001, 161, 1161–1172. [Google Scholar] [CrossRef]
- Fait, T. Menopause hormone therapy: Latest developments and clinical practice. Drugs Context 2019, 8, 212551. [Google Scholar] [CrossRef] [PubMed]
- Barrett-Connor, E.L. The risks and benefits of long-term estrogen replacement therapy. Public Health Rep. 1989, 104, 62. [Google Scholar] [PubMed]
- Carusi, D. Phytoestrogens as hormone replacement therapy: An evidence-based approach. Prim. Care Update Ob. Gyns. 2000, 7, 253–259. [Google Scholar] [CrossRef]
- Hayashi, S.; Eguchi, H.; Tanimoto, K.; Yoshida, T.; Omoto, Y.; Inoue, A.; Yoshida, N.; Yamaguchi, Y. The expression and function of estrogen receptor alpha and beta in human breast cancer and its clinical application. Endocr. Relat. Cancer 2003, 10, 193–202. [Google Scholar] [CrossRef] [PubMed]
- Shearman, A.M.; Karasik, D.; Gruenthal, K.M.; Demissie, S.; Cupples, L.A.; Housman, D.E.; Kiel, D.P. Estrogen receptor β polymorphisms are associated with bone mass in women and men: The Framingham Study. J. Bone Miner. Res. 2004, 19, 773–781. [Google Scholar] [CrossRef]
- Straub, R.H. The complex role of estrogens in inflammation. Endocr. Rev. 2007, 28, 521–574. [Google Scholar] [CrossRef]
- Nanashima, N.; Horie, K.; Maeda, H. Phytoestrogenic activity of blackcurrant anthocyanins is partially mediated through estrogen receptor beta. Molecules 2017, 23, 74. [Google Scholar] [CrossRef]
- Raheja, S.; Girdhar, A.; Lather, V.; Pandita, D. Biochanin A: A phytoestrogen with therapeutic potential. Trends Food Sci. Technol. 2018, 79, 55–66. [Google Scholar] [CrossRef]
- Lee, W.; Ko, K.R.; Kim, H.-K.; Lee, D.S.; Nam, I.-J.; Lim, S.; Kim, S. Dehydrodiconiferyl alcohol inhibits osteoclast differentiation and ovariectomy-induced bone loss through acting as an estrogen receptor agonist. J. Nat. Prod. 2018, 81, 1343–1356. [Google Scholar] [CrossRef]
- Singh, B.; Kaur, P.; Singh, R.; Ahuja, P. Biology and chemistry of Ginkgo biloba. Fitoterapia 2008, 79, 401–418. [Google Scholar] [CrossRef] [PubMed]
- Lang, F.; Hoerr, R.; Noeldner, M.; Koch, E. Evidence and Rational Based Research on Chinese Drugs, 3rd ed.; Springer: Vienna, Austria, 2012; pp. 431–470. [Google Scholar]
- Kirschner, R.; Okuda, T. A new species of Pseudocercospora and new record of Bartheletia paradoxa on leaves of Ginkgo biloba. Mycol. Prog. 2013, 12, 421–426. [Google Scholar] [CrossRef]
- Jacobs, B.P.; Browner, W.S. Ginkgo biloba: A living fossil. Am. J. Med. 2000, 108, 341–342. [Google Scholar] [CrossRef] [PubMed]
- Nuhu, A.A. Ginkgo biloba: A ‘living fossil’with modern day phytomedicinal applications. J. Appl. Pharm. Sci. 2014, 4, 096–103. [Google Scholar] [CrossRef]
- Isah, T. Rethinking Ginkgo biloba L.: Medicinal uses and conservation. Pharmacogn. Rev. 2015, 9, 140–148. [Google Scholar] [CrossRef] [PubMed]
- DeFeudis, F.V.; Papadopoulos, V.; Drieu, K. Ginkgo biloba extracts and cancer: A research area in its infancy. Fundam. Clin. Pharmacol. 2003, 17, 405–417. [Google Scholar] [CrossRef] [PubMed]
- Okhti, Z.A.; Abdalah, M.E.; Hanna, D.B. Phytochemical structure and biological effect of Ginkgo biloba leaves: A review. Int. J. Pharm. Sci. Res. 2021, 13, 1138–1143. [Google Scholar]
- Sati, P.; Pandey, A.; Rawat, S.; Rani, A. Phytochemicals and antioxidants in leaf extracts of Ginkgo biloba with reference to location, seasonal variation and solvent system. J. Pharm. Res. 2013, 7, 804–809. [Google Scholar] [CrossRef]
- Cui, N.; Zhang, L.; Quan, M.; Xu, J. Profile of the main bioactive compounds and in vitro biological activity of different solvent extracts from Ginkgo biloba exocarp. RSC Adv. 2020, 10, 45105–45111. [Google Scholar] [CrossRef]
- Li, M.; Xia, Z.-M.; Li, B.; Tian, Y.; Zhang, G.-J.; Xu, C.; Dong, J.-X. Chemical constituents from Ginkgo biloba L. male flowers and their biological activities. Med. Chem. Res. 2019, 28, 1557–1566. [Google Scholar] [CrossRef]
- Watanabe, C.M.; Wolffram, S.; Ader, P.; Rimbach, G.; Packer, L.; Maguire, J.J.; Schultz, P.G.; Gohil, K. The in vivo neuromodulatory effects of the herbal medicine Ginkgo biloba. Proc. Natl. Acad. Sci. USA 2001, 98, 6577–6580. [Google Scholar] [CrossRef] [PubMed]
- Sati, P.; Dhyani, P.; Bhatt, I.D.; Pandey, A. Ginkgo biloba flavonoid glycosides in antimicrobial perspective with reference to extraction method. J. Tradit. Complement. Med. 2019, 9, 15–23. [Google Scholar] [CrossRef]
- Oh, S.-M.; Chung, K.-H. Estrogenic activities of Ginkgo biloba extracts. Life Sci. 2004, 74, 1325–1335. [Google Scholar] [CrossRef]
- Park, Y.J.; Kim, M.J.; Kim, H.R.; Yi, M.S.; Chung, K.H.; Oh, S.M. Chemopreventive effects of Ginkgo biloba extract in estrogen-negative human breast cancer cells. Arch. Pharm. Res. 2013, 36, 102–108. [Google Scholar] [CrossRef]
- Wang, D.; Fu, Z.; Xing, Y.; Tan, Y.; Han, L.; Yu, H.; Wang, T. Rapid identification of chemical composition and metabolites of Pingxiao Capsule in vivo using molecular networking and untargeted data-dependent tandem mass spectrometry. Biomed. Chromatogr. 2020, 34, e4882. [Google Scholar] [CrossRef] [PubMed]
- Cheng, T.-F.; Zhang, Y.-H.; Ye, J.; Jin, H.-Z.; Zhang, W.-D. Investigation of the chemical compounds in Pheretima aspergillum (E. Perrier) using a combination of mass spectral molecular networking and unsupervised substructure annotation topic modeling together with in silico fragmentation prediction. J. Pharm. Biomed. Anal. 2020, 184, 113197. [Google Scholar] [CrossRef]
- Nothias, L.-F.; Nothias-Esposito, M.; Da Silva, R.; Wang, M.; Protsyuk, I.; Zhang, Z.; Sarvepalli, A.; Leyssen, P.; Touboul, D.; Costa, J. Bioactivity-based molecular networking for the discovery of drug leads in natural product bioassay-guided fractionation. J. Nat. Prod. 2018, 81, 758–767. [Google Scholar] [CrossRef]
- Afoullouss, S.; Balsam, A.; Allcock, A.L.; Thomas, O.P. Optimization of LC-MS2 data acquisition parameters for Molecular Networking applied to marine natural products. Metabolites 2022, 12, 245. [Google Scholar] [CrossRef]
- Zhou, Z.; Luo, M.; Zhang, H.; Yin, Y.; Cai, Y.; Zhu, Z.-J. Metabolite annotation from knowns to unknowns through knowledge-guided multi-layer metabolic networking. Nat. Commun. 2022, 13, 6656. [Google Scholar] [CrossRef]
- Na, M.W.; Lee, E.; Kang, D.-M.; Jeong, S.Y.; Ryoo, R.; Kim, C.-Y.; Ahn, M.-J.; Kang, K.B.; Kim, K.H. Identification of antibacterial sterols from Korean wild mushroom Daedaleopsis confragosa via bioactivity-and LC-MS/MS profile-guided fractionation. Molecules 2022, 27, 1865. [Google Scholar] [CrossRef] [PubMed]
- Lee, D.; Ko, Y.; Pang, C.; Ko, Y.-J.; Choi, Y.-K.; Kim, K.H.; Kang, K.S. Estrogenic activity of mycoestrogen (3β, 5α, 22E)-ergost-22-en-3-ol via estrogen receptor α-dependent signaling pathways in MCF-7 cells. Molecules 2021, 27, 36. [Google Scholar] [CrossRef] [PubMed]
- Lee, B.S.; So, H.M.; Kim, S.; Kim, J.K.; Kim, J.-C.; Kang, D.-M.; Ahn, M.-J.; Ko, Y.-J.; Kim, K.H. Comparative evaluation of bioactive phytochemicals in Spinacia oleracea cultivated under greenhouse and open field conditions. Arch. Pharm. Res. 2022, 45, 795–805. [Google Scholar] [CrossRef] [PubMed]
- Cho, H.; Kim, K.H.; Han, S.H.; Kim, H.-J.; Cho, I.-H.; Lee, S. Structure determination of heishuixiecaoline A from Valeriana fauriei and its content from different cultivated regions by HPLC/PDA analysis. Nat. Prod. Sci. 2022, 28, 181–186. [Google Scholar] [CrossRef]
- Yu, J.S.; Jeong, S.Y.; Li, C.; Oh, T.; Kwon, M.; Ahn, J.S.; Ko, S.-K.; Ko, Y.-J.; Cao, S.; Kim, K.H. New phenalenone derivatives from the Hawaiian volcanic soil-associated fungus Penicillium herquei FT729 and their inhibitory effects on indoleamine 2,3-dioxygenase 1 (IDO1). Arch. Pharm. Res. 2022, 45, 105–113. [Google Scholar] [CrossRef] [PubMed]
- Lee, S.R.; Lee, B.S.; Yu, J.S.; Kang, H.; Yoo, M.J.; Yi, S.A.; Han, J.-W.; Kim, S.; Kim, J.K.; Kim, J.-C. Identification of anti-adipogenic withanolides from the roots of Indian ginseng (Withania somnifera). J. Ginseng Res. 2022, 46, 357–366. [Google Scholar] [CrossRef] [PubMed]
- Lee, K.H.; Kim, J.K.; Yu, J.S.; Jeong, S.Y.; Choi, J.H.; Kim, J.-C.; Ko, Y.-J.; Kim, S.-H.; Kim, K.H. Ginkwanghols A and B, osteogenic coumaric acid-aliphatic alcohol hybrids from the leaves of Ginkgo biloba. Arch. Pharm. Res. 2021, 44, 514–524. [Google Scholar] [CrossRef]
- Lee, S.; Choi, Y.J.; Huo, C.; Alishir, A.; Kang, K.S.; Park, I.-H.; Jang, T.; Kim, K.H. Laricitrin 3-rutinoside from Ginkgo biloba fruits prevents damage in TNF-α-stimulated normal human dermal fibroblasts. Antioxidants 2023, 12, 1432. [Google Scholar] [CrossRef]
- Alishir, A.; Kim, K.H. Antioxidant phenylpropanoid glycosides from Ginkgo biloba fruit and identification of a new phenylpropanoid glycoside, Ginkgopanoside. Plants 2021, 10, 2702. [Google Scholar] [CrossRef]
- Beejmohun, V.; Grand, E.; Lesur, D.; Mesnard, F.; Fliniaux, M.A.; Kovensky, J. Synthesis and purification of [1,2-13C2] coniferin. J. Label. Compd. Radiopharm. Off. J. Int. Isot. Soc. 2006, 49, 463–470. [Google Scholar] [CrossRef]
- Yang, E.-J.; Kim, S.-I.; Ku, H.-Y.; Lee, D.-S.; Lee, J.-W.; Kim, Y.-S.; Seong, Y.-H.; Song, K.-S. Syringin from stem bark of Fraxinus rhynchophylla protects Aβ(25–35)-induced toxicity in neuronal cells. Arch. Pharm. Res. 2010, 33, 531–538. [Google Scholar] [CrossRef] [PubMed]
- Chemam, Y.; Benayache, S.; Marchioni, E.; Zhao, M.; Mosset, P.; Benayache, F. On-line screening, isolation and identification of antioxidant compounds of Helianthemum ruficomum. Molecules 2017, 22, 239. [Google Scholar] [CrossRef] [PubMed]
- Imtiyaz, Z.; Wang, Y.-F.; Lin, Y.-T.; Liu, H.-K.; Lee, M.-H. Isolated compounds from Turpinia formosana nakai induce ossification. Int. J. Mol. Sci. 2019, 20, 3119. [Google Scholar] [CrossRef] [PubMed]
- Maier, C.; Conrad, J.; Carle, R.; Weiss, J.; Schweiggert, R.M. Phenolic constituents in commercial aqueous Quillaja (Quillaja saponaria Molina) wood extracts. J. Agric. Food Chem. 2015, 63, 1756–1762. [Google Scholar] [CrossRef] [PubMed]
- Baderschneider, B.; Winterhalter, P. Isolation and characterization of novel benzoates, cinnamates, flavonoids, and lignans from Riesling wine and screening for antioxidant activity. J. Agric. Food Chem. 2001, 49, 2788–2798. [Google Scholar] [CrossRef] [PubMed]
- Rho, T.; Yoon, K.D. Chemical constituents of Nelumbo nucifera seeds. Nat. Prod. Sci. 2017, 23, 253–257. [Google Scholar] [CrossRef]
- Park, E.; Kim, M.-C.; Choi, C.W.; Kim, J.; Jin, H.-S.; Lee, R.; Lee, J.-W.; Park, J.-H.; Huh, D.; Jeong, S.-Y. Effects of dihydrophaseic acid 3′-O-β-D-glucopyranoside isolated from Lycii radicis Cortex on osteoblast differentiation. Molecules 2016, 21, 1260. [Google Scholar] [CrossRef]
- Simmler, C.; Antheaume, C.; André, P.; Bonté, F.; Lobstein, A. Glucosyloxybenzyl eucomate derivatives from Vanda teres stimulate HaCaT cytochrome c oxidase. J. Nat. Prod. 2011, 74, 949–955. [Google Scholar] [CrossRef]
- Pyo, M.K. Anti-platelet effect of the phenolic constituents isolated from the leaves of Magnolia obovata. Nat. Prod. Sci. 2002, 8, 147–151. [Google Scholar]
- Kang, S.S. Flavonoids from the leabes of Ginkgo biloba. Kor. J. Pharmacogn. 1990, 21, 111–120. [Google Scholar]
- Lee, S.R.; Schalk, F.; Schwitalla, J.W.; Guo, H.; Yu, J.S.; Song, M.; Jung, W.H.; De Beer, Z.W.; Beemelmanns, C.; Kim, K.H. GNPS-Guided discovery of madurastatin siderophores from the termite-associated Actinomadura sp. RB99. Chem. Eur. J. 2022, 28, e202200612. [Google Scholar] [CrossRef] [PubMed]
- Bedir, E.; Tatli, I.I.; Khan, R.A.; Zhao, J.; Takamatsu, S.; Walker, L.A.; Goldman, P.; Khan, I.A. Biologically active secondary metabolites from Ginkgo biloba. J. Agric. Food Chem. 2002, 50, 3150–3155. [Google Scholar] [CrossRef] [PubMed]
- van Beek, T.A.; Montoro, P. Chemical analysis and quality control of Ginkgo biloba leaves, extracts, and phytopharmaceuticals. J. Chromatogr. A 2009, 1216, 2002–2032. [Google Scholar] [CrossRef] [PubMed]
- Dong, W.; Zhao, S.; Wen, S.; Dong, C.; Chen, Q.; Gong, T.; Chen, W.; Liu, W.; Mu, L.; Shan, H. A preclinical randomized controlled study of ischemia treated with Ginkgo biloba extracts: Are complex components beneficial for treating acute stroke? Curr. Res. Transl. Med. 2020, 68, 197–203. [Google Scholar] [CrossRef] [PubMed]
- Wang, X.; Gong, X.; Zhang, H.; Zhu, W.; Jiang, Z.; Shi, Y.; Li, L. In vitro anti-aging activities of Ginkgo biloba leaf extract and its chemical constituents. Food Sci. Technol. 2020, 40, 476–482. [Google Scholar] [CrossRef]
- Liu, L.; Wang, Y.; Zhang, J.; Wang, S. Advances in the chemical constituents and chemical analysis of Ginkgo biloba leaf, extract, and phytopharmaceuticals. J. Pharm. Biomed. Anal. 2021, 193, 113704. [Google Scholar] [CrossRef]
- Hasler, A.; Gross, G.-A.; Meier, B.; Sticher, O. Complex flavonol glycosides from the leaves of Ginkgo biloba. Phytochemistry 1992, 31, 1391–1394. [Google Scholar] [CrossRef]
- Dong, H.-L.; Lin, S.; Wu, Q.-L.; Su, R.-X.; Wu, Z.-L.; Dong, H.-Y.; Li, H.-L.; Zhang, W.-D. A new bilobalide isomer and two cis-coumaroylated flavonol glycosides from Ginkgo biloba leaves. Fitoterapia 2020, 142, 104516. [Google Scholar] [CrossRef]
- Shan, S.-J.; Luo, J.; Xu, D.-R.; Niu, X.-L.; Xu, D.-Q.; Zhang, P.-P.; Kong, L.-Y. Elucidation of micromolecular phenylpropanoid and lignan glycosides as the main antioxidants of Ginkgo seeds. Ind. Crops Prod. 2018, 112, 830–838. [Google Scholar] [CrossRef]
- Gao, X.; Jiao, Q.; Zhou, B.; Liu, Q.; Zhang, D. Diverse bioactive components from Ginkgo biloba fruit. Therm. Sci. 2020, 24, 1753–1760. [Google Scholar] [CrossRef]
- Androutsopoulos, V.; Wilsher, N.; Arroo, R.R.; Potter, G.A. Bioactivation of the phytoestrogen diosmetin by CYP1 cytochromes P450. Cancer Lett. 2009, 274, 54–60. [Google Scholar] [CrossRef] [PubMed]
- Michel, T.; Halabalaki, M.; Skaltsounis, A.-L. New concepts, experimental approaches, and dereplication strategies for the discovery of novel phytoestrogens from natural sources. Planta Med. 2013, 79, 514–532. [Google Scholar] [PubMed]
- Petrine, J.C.; Del Bianco-Borges, B. The influence of phytoestrogens on different physiological and pathological processes: An overview. Phytother. Res. 2021, 35, 180–197. [Google Scholar] [CrossRef] [PubMed]
- Duffy, C.; Perez, K.; Partridge, A. Implications of phytoestrogen intake for breast cancer. CA Cancer J. Clin. 2007, 57, 260–277. [Google Scholar] [CrossRef]
- Us, M.R.; Zin, T.; Abdurrazak, M.; Ahmad, B.A. Chemistry and pharmacology of syringin, a novel bioglycoside: A review. Asian J. Pharm. Clin. Res. 2015, 8, 20–25. [Google Scholar]
- Wang, F.; Yuan, C.; Liu, B.; Yang, Y.-F.; Wu, H.-Z. Syringin exerts anti-breast cancer effects through PI3K-AKT and EGFR-RAS-RAF pathways. J. Transl. Med. 2022, 20, 1–23. [Google Scholar] [CrossRef]





Disclaimer/Publisher’s Note: The statements, opinions and data contained in all publications are solely those of the individual author(s) and contributor(s) and not of MDPI and/or the editor(s). MDPI and/or the editor(s) disclaim responsibility for any injury to people or property resulting from any ideas, methods, instructions or products referred to in the content. |
© 2023 by the authors. Licensee MDPI, Basel, Switzerland. This article is an open access article distributed under the terms and conditions of the Creative Commons Attribution (CC BY) license (https://creativecommons.org/licenses/by/4.0/).
Share and Cite
Huo, C.; Nguyen, Q.N.; Alishir, A.; Ra, M.-J.; Jung, S.-M.; Yu, J.-N.; Gwon, H.-J.; Kang, K.S.; Kim, K.H. Global Natural Products Social (GNPS)-Based Molecular-Networking-Guided Isolation of Phenolic Compounds from Ginkgo biloba Fruits and the Identification of Estrogenic Phenolic Glycosides. Plants 2023, 12, 3970. https://doi.org/10.3390/plants12233970
Huo C, Nguyen QN, Alishir A, Ra M-J, Jung S-M, Yu J-N, Gwon H-J, Kang KS, Kim KH. Global Natural Products Social (GNPS)-Based Molecular-Networking-Guided Isolation of Phenolic Compounds from Ginkgo biloba Fruits and the Identification of Estrogenic Phenolic Glycosides. Plants. 2023; 12(23):3970. https://doi.org/10.3390/plants12233970
Chicago/Turabian StyleHuo, Chen, Quynh Nhu Nguyen, Akida Alishir, Moon-Jin Ra, Sang-Mi Jung, Jeong-Nam Yu, Hui-Jeong Gwon, Ki Sung Kang, and Ki Hyun Kim. 2023. "Global Natural Products Social (GNPS)-Based Molecular-Networking-Guided Isolation of Phenolic Compounds from Ginkgo biloba Fruits and the Identification of Estrogenic Phenolic Glycosides" Plants 12, no. 23: 3970. https://doi.org/10.3390/plants12233970
APA StyleHuo, C., Nguyen, Q. N., Alishir, A., Ra, M.-J., Jung, S.-M., Yu, J.-N., Gwon, H.-J., Kang, K. S., & Kim, K. H. (2023). Global Natural Products Social (GNPS)-Based Molecular-Networking-Guided Isolation of Phenolic Compounds from Ginkgo biloba Fruits and the Identification of Estrogenic Phenolic Glycosides. Plants, 12(23), 3970. https://doi.org/10.3390/plants12233970

