Assessment of Vegetative Growth and Genetic Integrity of Vanilla planifolia Regenerants after Cryopreservation
Abstract
1. Introduction
2. Results
2.1. Cryopreservation of Shoot Tips from In Vitro-Grown Plants
2.2. Vegetative Growth in Greenhouse Culture
2.3. Stem Length of Acclimatized In Vitro and Cryo-Derived Plants
2.4. Leaves Number of Acclimatized In Vitro and Cryo-Derived Plants
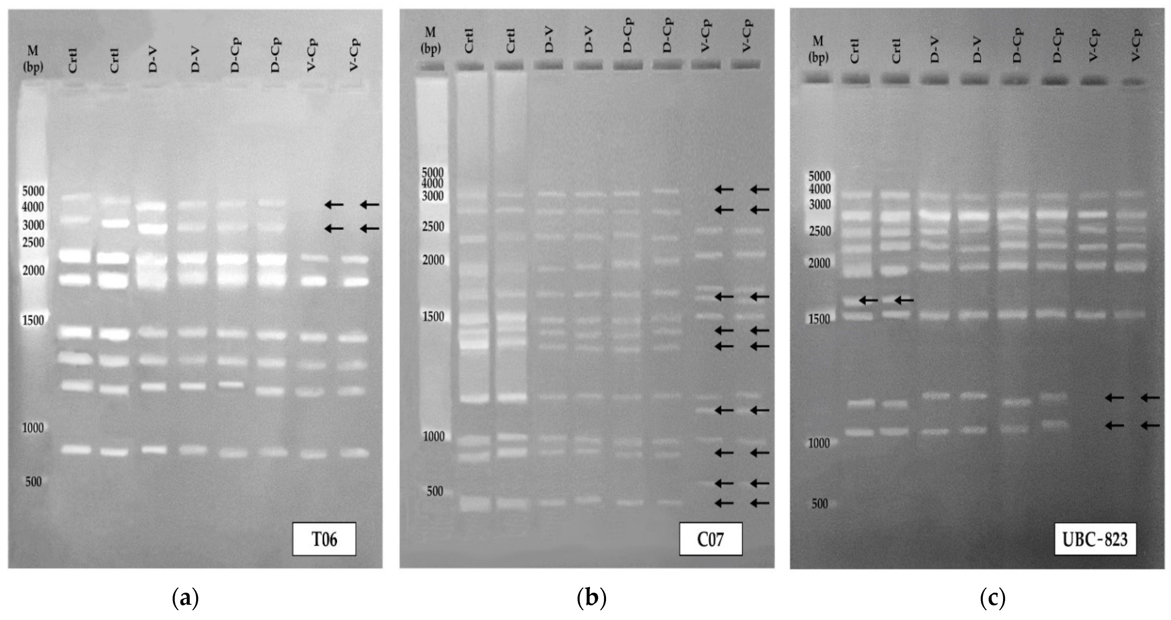
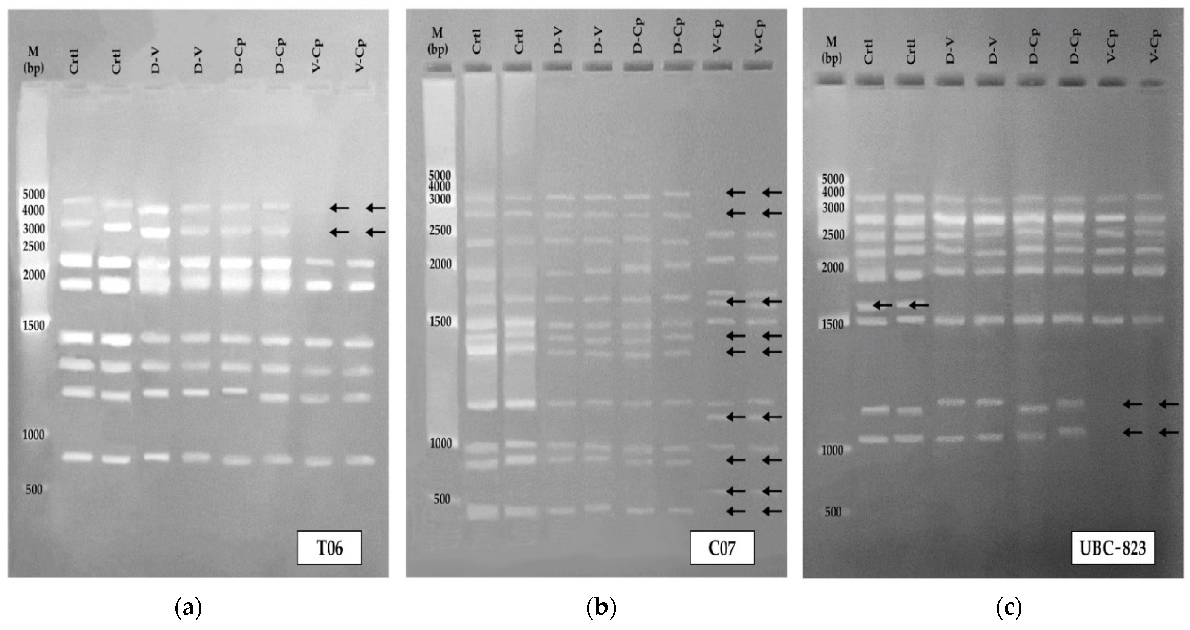
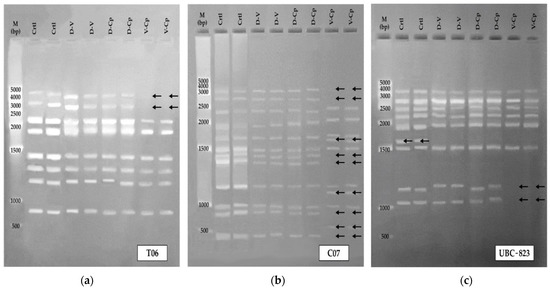
2.5. Assessment of Genetic Integrity of Greenhouse-Grown Plants by ISSR Analysis
3. Discussion
4. Materials and Methods
4.1. Cryopreservation of Shoot Tips from In Vitro-Grown Plants
4.2. Acclimatization and Vegetative Growth under Greenhouse Conditions
4.2.1. Acclimatization
4.2.2. Vegetative Growth
4.3. Experimental Design and Statistical Analysis during Greenhouse Culture
4.4. Assessment of Genetic Integrity of Greenhouse-Grown Plants by ISSR Markers
5. Conclusions
Author Contributions
Funding
Institutional Review Board Statement
Informed Consent Statement
Data Availability Statement
Conflicts of Interest
References
- González-Arnao, M.T.; Hernández-Ramírez, F.; Dolce, N.R.; Rascón-Díaz, M.P.; Cruz-Cruz, C.A. Cryobiotechnological studies in Vanilla: The orchid of multi-industrial uses. In Orchid Biology: Recent Trends & Challenges; Springer: Singapore, 2020; pp. 21–35. Available online: https://link.springer.com/chapter/10.1007/978-981-32-9456-1_3 (accessed on 15 March 2022).
- Gantait, S.; Kundu, S. In vitro biotechnological approaches on Vanilla planifolia Andrews: Advancements and opportunities. Acta Physiol. Plant. 2017, 39, 1–19. [Google Scholar] [CrossRef]
- López Méndez, S.; García, B.M. La vainilla en el Totonacapan, símbolo de la sustentabilidad. Extensión Al Campo 2006, 1, 21–28. [Google Scholar]
- Bruman, H. The culture history of Mexican vanilla. Hisp. Am. Hist. Rev. 1948, 28, 360–376. [Google Scholar] [CrossRef]
- Ramírez-Mosqueda, M.A.; Iglesias-Andreu, L.G. Indirect organogenesis and assessment of somaclonal variation in plantlets of Vanilla planifolia Jacks. Plant Cell Tissue Organ. Cult. 2015, 123, 657–664. [Google Scholar] [CrossRef]
- Bello-Bello, J.J.; Martínez-Estrada, E.; Caamal-Velázquez, J.H.; Morales-Ramos, V. Effect of LED light quality on in vitro shoot proliferation and growth of vanilla (Vanilla planifolia Andrews). Afr. J. Biotechnol. 2016, 15, 272–277. [Google Scholar] [CrossRef][Green Version]
- Pastelín-Solano, M.C.; Salinas-Ruíz, J.; González-Arnao, M.T.; Castañeda-Castro, O.; Galindo-Tovar, M.E.; Bello Bello, J.J. Evaluation of in vitro shoot multiplication and ISSR marker-based assessment of somaclonal variants at different subcultures of vanilla (Vanilla planifolia Jacks). Physiol. Mol. Biol. Plants 2019, 25, 561–567. [Google Scholar] [CrossRef]
- Ramos-Castellá, A.; Iglesias-Andreu, L.G.; Bello-Bello, J.; Lee-Espinosa, H. Improved propagation of vanilla (Vanilla planifolia Jacks. Ex Andrews) using a temporary immersion system. Vitr. Cell. Dev. Biol.-Plant 2014, 50, 576–581. [Google Scholar] [CrossRef]
- Ramírez-Mosqueda, M.A.; Iglesias-Andreu, L.G. Evaluation of different temporary immersion systems (BIT® BIG, and RITA®) in the micropropagation of Vanilla planifolia Jacks. Vitr. Cell. Dev. Biol.-Plant 2016, 52, 154–160. [Google Scholar] [CrossRef]
- Retheesh, S.T.; Bhat, A.I. Genetic transformation and regeneration of transgenic plants from protocorm-like bodies of vanilla (Vanilla planifolia Andrews) using Agrobacterium tumefaciens. J. Plant. Biochem. Biotechnol. 2011, 20, 262–269. [Google Scholar] [CrossRef]
- Hernández-Ramírez, F.; Dolce, N.; Flores-Castaños, O.; Rascón, M.P.; Ángeles-Álvarez, G.; Folgado, R.; González-Arnao, M.T. Advances in cryopreservation of vanilla (Vanilla planifolia Jacks.) shoot-tips: Assessment of new biotechnological and cryogenic factors. Vitr. Cell. Dev. Biol.-Plant 2020, 56, 236–246. [Google Scholar] [CrossRef]
- González-Arnao, M.T.; Lázaro-Vallejo, C.E.; Engelmann, F.; Gámez-Pastrana, R.; Martínez-Ocampo, Y.M.; Pastelin-Solano, M.C.; Diaz-Ramos, C. Multiplication and cryopreservation of vanilla (Vanilla planifolia ‘Andrews’). Vitr. Cell. Dev. Biol.-Plant 2009, 45, 574–582. [Google Scholar] [CrossRef]
- Solis-Vargas, B. Evaluación del Crecimiento Vegetativo Durante el Cultivo en Invernadero de Plantas de Vanilla planifolia Regeneradas Después de la Crioconservación. Bachelor’s Thesis, Facultad de Ciencias Químicas, Universidad Veracruzana, Orizaba, Mexico, February 2022. [Google Scholar]
- Pradeep, R.; Sarla, N.; Siddiq, E.A. Inter simple sequence repeats (ISSR) polymorphism and its application in plant breeding. Euphytica 2002, 128, 9–17. [Google Scholar] [CrossRef]
- Bi, W.-L.; Pan, C.; Liu, J.; Wang, Q.-C. Greenhouse performance, genetic stability and biochemical compounds in Chrysanthemum morifolium ‘Hangju’ plants regenerated from cryopreserved shoot tips. Acta Physiol. Plant. 2016, 38, 268. [Google Scholar] [CrossRef]
- Li, B.-Q.; Feng, C.-H.; Wang, M.-R.; Hu, L.-Y.; Volk, G.M.; Wang, Q.-C. Recovery patterns, histological observations and genetic integrity in Malus shoot tips cryopreserved using droplet-vitrification and encapsulation-dehydration procedures. J. Biotechnol. 2015, 214, 182–191. [Google Scholar] [CrossRef] [PubMed]
- Kaya, E.; Souza, F.V.D. Comparison of two PVS2-based procedures for cryopreservation of commercial sugarcane (Saccharum spp.) germplasm and confirmation of genetic stability after cryopreservation using ISSR markers. Vitr. Cell. Dev. Biol.-Plant 2017, 53, 410–417. [Google Scholar] [CrossRef]
- Bautista-Aguilar, J.R.; Iglesias-Andreu, L.G.; Martínez-Castillo, J.; Ramírez-Mosqueda, M.A.; Ortiz-García, M.M. In Vitro Conservation and Genetic Stability in Vanilla planifolia Jacks. Hort. Science 2021, 56, 1494–1498. [Google Scholar] [CrossRef]
- Zhang, X.C.; Bao, W.W.; Zhang, A.L.; Pathirana, R.; Wang, Q.C.; Liu, Z.D. Cryopreservation of shoot tips, evaluations of vegetative growth, and assessments of genetic and epigenetic changes in cryo-derived plants of Actinidia spp. Cryobiology 2020, 94, 18–25. [Google Scholar] [CrossRef]
- Zhang, Z.; Skjeseth, G.; Elameen, A.; Haugslien, S.; Sivertsen, A.; Clarke, J.H.L.; Wang, Q.C.; Blystad, D.R. Field performance evaluation and genetic integrity assessment in Argyranthemum ‘Yellow Empire’ plants recovered from cryopreserved shoot tips. Vitr. Cell. Dev. Biol.-Plant 2015, 51, 505–513. [Google Scholar] [CrossRef]
- Castillo, N.R.F.; Bassil, N.V.; Wada, S.; Reed, B.M. Genetic stability of cryopreserved shoot tips of Rubus germplasm. Vitr. Cell. Dev. Biol.-Plant 2010, 46, 246–256. [Google Scholar] [CrossRef]
- Harding, K. Genetic integrity of cryopreserved plant cells: A review. Cryo-Letters 2004, 25, 3–22. [Google Scholar]
- Benson, E.E. Cryopreservation of phytodiversity: A critical appraisal of theory & practice. Crit. Rev. Plant Sci. 2008, 27, 141–219. [Google Scholar] [CrossRef]
- Calabrese, E.J. Hormesis: Path and progression to significance. Int. J. Mol. Sci. 2018, 19, 2871. [Google Scholar] [CrossRef] [PubMed]
- Agrawal, A.; Sanayaima, R.; Singh, R.; Tandon, R.; Verma, S.; Tyagi, R.K. Phenotypic and molecular studies for genetic stability assessment of cryopreserved banana meristems derived from field and in vitro explant sources. Vitr. Cell. Dev. Biol.-Plant 2014, 50, 345–356. [Google Scholar] [CrossRef]
- Wang, M.-R.; Lambardi, M.; Engelmann, F.; Pathirana, R.; Panis, B.; Volk, G.M.; Wang, Q.-C. Advances in cryopreservation of in vitro-derived propagules: Technologies and explant resources. Plant Cell Tiss. Org. Cult. 2020, 144, 7–20. [Google Scholar] [CrossRef]
- Li, B.-Q.; Feng, C.-H.; Hu, L.-Y.; Wang, M.-R.; Chen, L.; Wang, Q.-C. Shoot regeneration and cryopreservation of shoot tips of apple (Malus) by encapsulation–dehydration. Vitr. Cell. Dev. Biol.-Plant 2014, 50, 357–368. [Google Scholar] [CrossRef]
- Li, J.-W.; Chen, H.-Y.; Li, X.-Y.; Zhang, Z.; Blystad, D.-R.; Wang, Q.-C. Cryopreservation and evaluations of vegetative growth, microtuber production and genetic stability in regenerants of purple-fleshed potato. Plant Cell Tissue Org. Cult. 2017, 128, 641–653. [Google Scholar] [CrossRef]
- Wang, B.; Li, J.-W.; Zhang, Z.-B.; Wang, R.-R.; Ma, Y.-L.; Blystad, D.-R.; Keller, E.R.J.; Wang, Q.-C. Three vitrification-based cryopreservation procedures cause different cryo-injuries to potato shoot tips while all maintain genetic integrity in regenerants. J. Biotechnol. 2014, 184, 47–55. [Google Scholar] [CrossRef]
- Wang, M.R.; Bi, W.; Shukla, M.R.; Ren, L.; Hamborg, Z.; Blystad, D.R.; Saxena, P.K.; Wang, Q.C. Epigenetic and genetic integrity, metabolic stability, and field performance of cryopreserved plants. Plants 2021, 10, 1889. [Google Scholar] [CrossRef]
- Martín, C.; González-Benito, M.E. Survival and genetic stability of Dendranthema grandiflora Tzvelev shoot apices after cryopreservation by vitrification and encapsulation dehydration. Cryobiology 2005, 51, 281–289. [Google Scholar] [CrossRef]
- Isidro-Adolfo, P.; Netzahualcoyotl, M.F.; González-Arnao, M.T.; Iglesias-Andreu, L.G.; Martínez-Castillo, J. Assessment of genetic stability during cryopreservation of vanilla (V. planifolia) shoot-tips using ISSR markers. Cryobiology 2019, 91, 159. [Google Scholar] [CrossRef]
- Sakai, A.; Kobayashi, S.; Oiyama, I. Cryopreservation of nucellar cells of navel orange (Citrus sinensis Osb. var. brasiliensis Tanaka) by vitrification. Plant Cell Rep. 1990, 9, 30–33. [Google Scholar] [CrossRef] [PubMed]
- Murashige, T.; Skoog, F. A revised medium for rapid growth and bioassays with tobacco tissue cultures. Physiol. Plant 1962, 15, 473–497. [Google Scholar] [CrossRef]
- Niino, T.; Watanabe, K.; Nohara, N.; Rafique, T.; Yamamoto, S.; Fukui, K.; Engelmann, F. Cryopreservation of mat rush lateral buds by air dehydration using aluminum cryo-plate. Plant Biotechnol. 2014, 31, 281–287. [Google Scholar] [CrossRef][Green Version]
- Doyle, J.J.; Doyle, J.L. Isolation of plant DNA from fresh tissue. Focus 1990, 12, 13–15. [Google Scholar]
- Hammer, Ø.; Harper, D.A.T.; Ryan, P.D. PAST: Paleontological statistics software package for education and data analysis. Palaeontol. Electron. 2001, 4, 9. [Google Scholar]




| Greenhouse Culture Time (Months) | ||||
|---|---|---|---|---|
| 3 | 6 | 9 | 12 | |
| Method | Survival (% ± SE) * | |||
| In vitro control | 68 ± 0.19 Aa | 68 ± 0.19 Aa | 66 ± 0.17 Aa | 66 ± 0.17 Aa |
| Droplet-Vitrification | 72 ± 0.13 Aa | 62 ± 0.11 Aa | 62 ± 0.11 Aa | 60 ± 0.12 Aa |
| V-Cryoplate | 68 ± 0.11 Aa | 64 ± 0.09 Aa | 64 ± 0.09 Aa | 62 ± 0.11 Aa |
| D-Cryoplate | 80 ± 0.10 Aa | 78 ± 0.08 Aa | 78 ± 0.08 Aa | 74 ± 0.05 Aa |
| Average | 72 ± 0.13 | 68 ± 0.12 | 67.5 ± 0.11 | 65.5 ± 0.11 |
| Greenhouse Culture Time (Months) | ||||
|---|---|---|---|---|
| 3 | 6 | 9 | 12 | |
| Method | Stem Length (cm ± SE) * | |||
| In vitro control | 13.85 ± 3.90 Ac | 16.46 ± 4.09 Ac | 19.37 ± 4.21 Ab | 22.91 ± 4.89 Aa |
| Droplet-vitrification | 14.54 ± 3.15 Ac | 16.70 ± 3.17 Ab | 18.82 ± 3.16 Aa | 20.86 ± 3.06 Aa |
| V-Cryoplate | 14.42 ± 3.18 Ac | 16.52 ± 3.42 Ac | 18.86 ± 3.17 Ab | 21.44 ± 3.26 Aa |
| D-Cryoplate | 14.46 ± 3.73 Ac | 16.73 ± 3.96 Abc | 19.32 ± 4.40 Aab | 22.07 ± 4.70 Aa |
| Average | 14.32 ± 3.49 | 16.60 ± 3.66 | 19.09 ± 3.73 | 21.82 ± 3.98 |
| Greenhouse Culture Time (Months) | ||||
|---|---|---|---|---|
| 3 | 6 | 9 | 12 | |
| Method | Number of Leaves (Nr. ± SE) * | |||
| In vitro control | 6.53 ± 1.28 Bd | 7.60 ± 1.25 Bc | 8.90 ± 1.32 Bb | 10.27 ± 1.55 Ba |
| Droplet-Vitrification | 6.83 ± 0.95 Bd | 8.17 ± 1.02 Bc | 9.67 ± 1.12 Bb | 11.13 ± 1.28 Ba |
| V-Cryoplate | 8.13 ± 2.00 Ad | 9.73 ± 2.07 Ac | 11.23 ± 2.22 Ab | 12.90 ± 1.92 Aa |
| D-Cryoplate | 7.06 ± 2.02 ABc | 8.27 ± 2.12 Bbc | 9.67 ± 2.11 Bb | 11.10 ± 2.14 Ba |
| Average | 7.13 ± 1.57 | 8.44 ± 1.61 | 9.87 ± 1.70 | 11.35 ± 1.72 |
| ISSR Primer | Amplicons | Total Amplified Bands | No. Polymorphic Bands | Technique | Polymorphism (%) | General Polymorphism (%) | Size (bp) |
|---|---|---|---|---|---|---|---|
| T05 | 52 | 13 | 0 | In vitro Ctrl. | 0 | 0 | 1200–2800 |
| D-V | 0 | ||||||
| D-Cp | 0 | ||||||
| V-Cp | 0 | ||||||
| T06 | 30 | 8 | 2 | In vitro Ctrl. | 25 | 25 | 730–4000 |
| D-V | 25 | ||||||
| D-Cp | 25 | ||||||
| V-Cp | 33.33 | ||||||
| C07 | 45 | 15 | 9 | In vitro Ctrl. | 75 | 60 | 470–3000 |
| D-V | 75 | ||||||
| D-Cp | 75 | ||||||
| V-Cp | 100 | ||||||
| UBC-823 | 31 | 9 | 3 | In vitro Ctrl. | 33.33 | 33.33 | 1055–3500 |
| D-V | 37.50 | ||||||
| D-Cp | 37.50 | ||||||
| V-Cp | 50 | ||||||
| UBC-836 | 56 | 14 | 0 | In vitro Ctrl. | 0 | 0 | 320–2240 |
| D-V | 0 | ||||||
| D-Cp | 0 | ||||||
| V-Cp | 0 | ||||||
| UBC-840 | 47 | 15 | 7 | In vitro Ctrl. | 63.63 | 46.67 | 920–2500 |
| D-V | 58.33 | ||||||
| D-Cp | 58.33 | ||||||
| V-Cp | 58.33 | ||||||
| UBC-848 | 25 | 7 | 1 | In vitro Ctrl. | 14.30 | 14.29 | 840–1950 |
| D-V | 16.70 | ||||||
| D-Cp | 16.70 | ||||||
| V-Cp | 16.70 | ||||||
| Total | 286 | 81 | 22 | 27 |
| Primer | Annealing Temperature | Sequence (5′–3′) |
|---|---|---|
| T05 | 54 °C | 5′ CGTTGTGTGTGTTGTTGT 3′ |
| T06 | 50 °C | 5′ AGAGAGAGAGAGAGAGT 3′ |
| C07 | 56 °C | 5′ GAGAGAGAGAGAGAGAC 3′ |
| UBC-823 | 49 °C | 5′ TCTCTCTCTCTCTCTCC 3′ |
| UBC-836 | 50 °C | 5′ AGAGAGAGAGAGAGAGTA 3′ |
| UBC-840 | 50 °C | 5′ GAGAGAGAGAGAGAGAT 3′ |
| UBC-848 | 51 °C | 5 ′ CACACACACACACACARG 3′ |
Publisher’s Note: MDPI stays neutral with regard to jurisdictional claims in published maps and institutional affiliations. |
© 2022 by the authors. Licensee MDPI, Basel, Switzerland. This article is an open access article distributed under the terms and conditions of the Creative Commons Attribution (CC BY) license (https://creativecommons.org/licenses/by/4.0/).
Share and Cite
González-Arnao, M.T.; Cruz-Cruz, C.A.; Hernández-Ramírez, F.; Alejandre-Rosas, J.A.; Hernández-Romero, A.C. Assessment of Vegetative Growth and Genetic Integrity of Vanilla planifolia Regenerants after Cryopreservation. Plants 2022, 11, 1630. https://doi.org/10.3390/plants11131630
González-Arnao MT, Cruz-Cruz CA, Hernández-Ramírez F, Alejandre-Rosas JA, Hernández-Romero AC. Assessment of Vegetative Growth and Genetic Integrity of Vanilla planifolia Regenerants after Cryopreservation. Plants. 2022; 11(13):1630. https://doi.org/10.3390/plants11131630
Chicago/Turabian StyleGonzález-Arnao, María Teresa, Carlos A. Cruz-Cruz, Fabiola Hernández-Ramírez, Jorge A. Alejandre-Rosas, and Ana Constanza Hernández-Romero. 2022. "Assessment of Vegetative Growth and Genetic Integrity of Vanilla planifolia Regenerants after Cryopreservation" Plants 11, no. 13: 1630. https://doi.org/10.3390/plants11131630
APA StyleGonzález-Arnao, M. T., Cruz-Cruz, C. A., Hernández-Ramírez, F., Alejandre-Rosas, J. A., & Hernández-Romero, A. C. (2022). Assessment of Vegetative Growth and Genetic Integrity of Vanilla planifolia Regenerants after Cryopreservation. Plants, 11(13), 1630. https://doi.org/10.3390/plants11131630

