Structural and Biochemical Aspects Related to Resistance and Susceptibility of Rubber Tree Clones to Anthracnose
Abstract
1. Introduction
2. Material and Methods
2.1. Inoculation and Preparation of Leaflets from Rubber Trees for Histological Analysis
2.2. Quantification of Total Proteins in Rubber Tree Clones
2.3. Activity of the Enzymes Peroxidase and PAL in Different Rubber Tree Clones
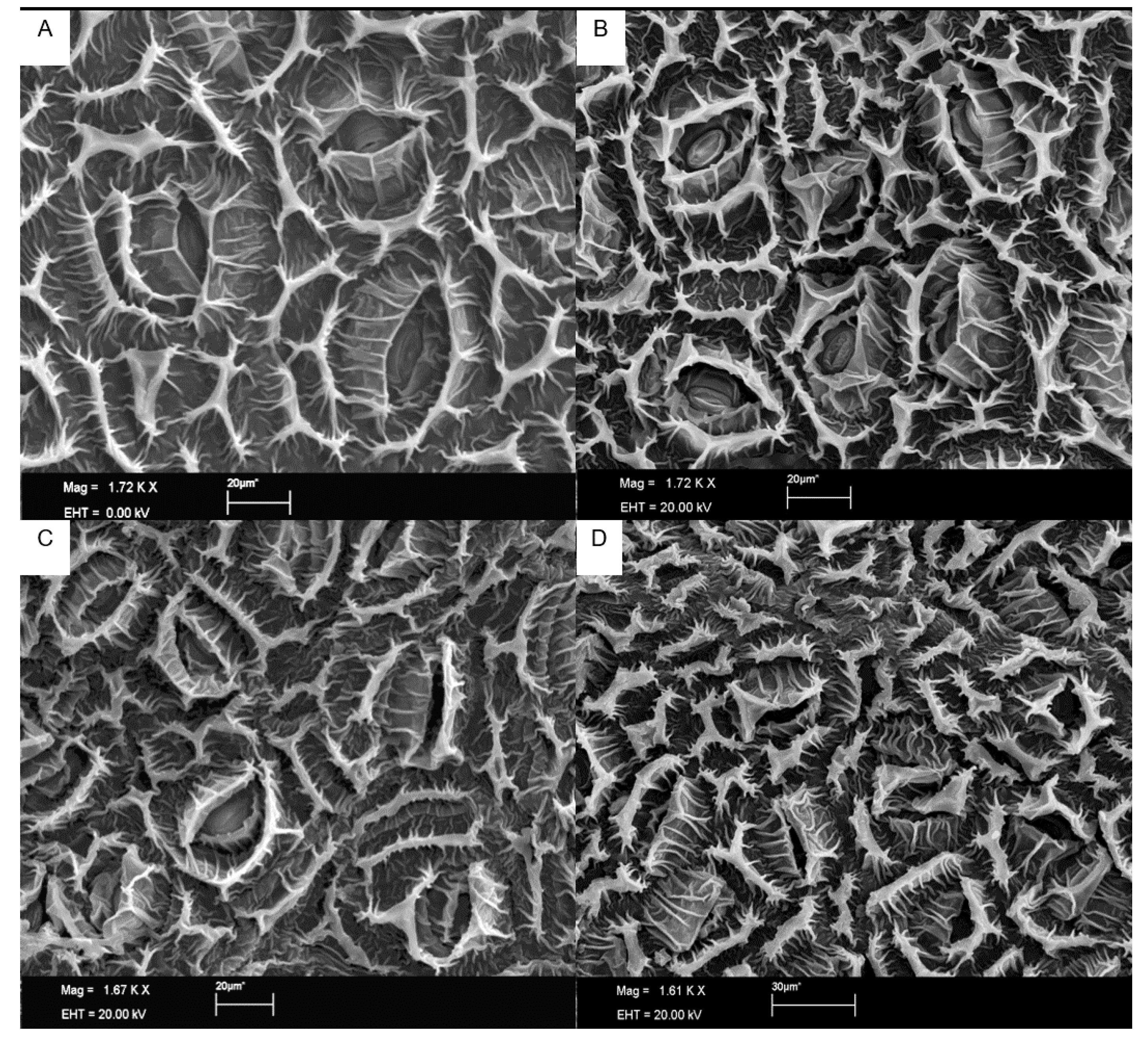
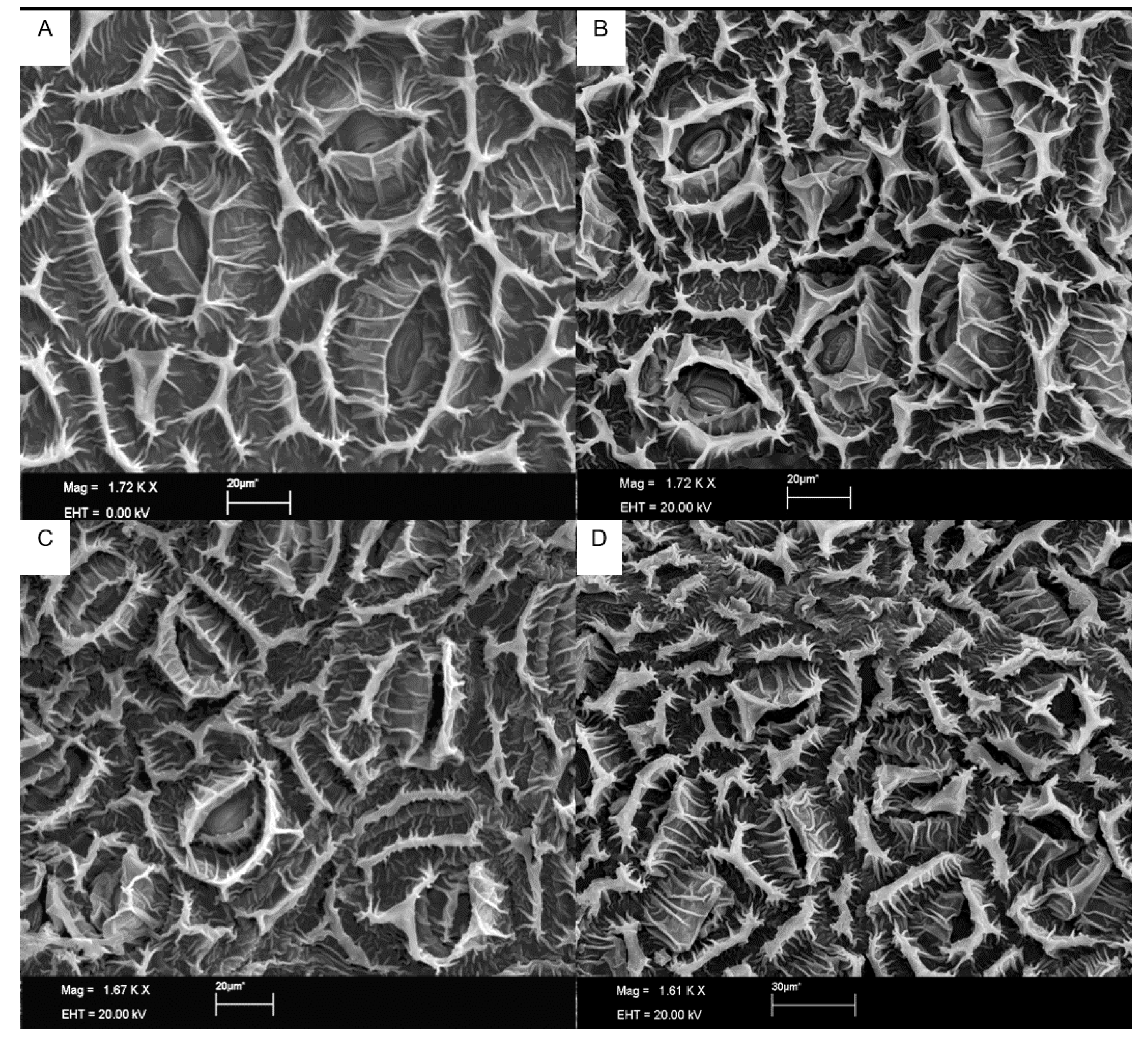
2.4. Quantification of Stomata under Scanning Electron Microscope
2.5. Data Analysis
3. Results and Discussion
3.1. Histological Analysis of Leaflets from Rubber Trees
3.2. Quantification of Total Proteins in Rubber Tree Clones
3.3. Quantification of Stomata under Scanning Electron Microscope
4. Conclusions
Author Contributions
Funding
Institutional Review Board Statement
Informed Consent Statement
Data Availability Statement
Acknowledgments
Conflicts of Interest
References
- Amorim, L.; Rezende, J.A.M.; Bergamin Filho, A. Manual de fitopatologia. Princípios e Conceitos, 4th ed.; Editora Agronômica Ceres Ltd.a: São Paulo, Brazil, 2011; Volume 1. [Google Scholar]
- Agrios, G.N. Plant Pathology, 5th ed.; Elsevier-Academic Press: San Diego, CA, USA, 2005. [Google Scholar]
- Antonio, G.L.; Scaloppi Junior, E.J.; Fischer, I.H.; Furtado, E.L.; Firmino, A.C. Clonal resistance of rubber tree to Colletotrichum spp. For. Pathol. 2021, EFP12685. [Google Scholar] [CrossRef]
- Qianchun, X. Resistant ebhaviour of popular rubber clones in China to Colletotrichum gloeosporioides. Chin. J. Trop. Crop. 1990, 11, 107–113. [Google Scholar]
- Magalhães, D.M.A.; Gomes, M.E.; Scaloppi Junior, E.J.; Fischer, I.H.; Furtado, E.L.; Moreira, B.R.A.; Prado, E.P.; Firmino, A.C. Pré penetração e período de latência de Colletotrichum tamarilloi em clones de seringueira resistentes e suscetível sob diferentes condições ambientais. Sci. For. 2021, 49, e3630. [Google Scholar]
- Pacholati, S.F.; Leite, B.; Stangarlin, J.R.; Cia, P. (Eds.) Interação Planta-Patógeno: Fisiologia, Bioquímica e Biologia Molecular; Fealq: Piracicaba, Brazil, 2008. [Google Scholar]
- Chinnapun, D.; Tian, M.; Day, B.; Churngchow, N. Inhibition of a Hevea brasiliensis protease by a Kazal-like serine protease inhibitor from Phytophthora palmivora. Physiol. Mol. Plant Pathol. 2009, 74, 27–33. [Google Scholar] [CrossRef]
- Graham, T.L.; Graham, M.Y. Cellular coordination of molecular responses in plant defense. Mol. Plant Microbe Interact. 1991, 4, 415–422. [Google Scholar] [CrossRef]
- Firmino, A.C.; Viana, C.M.; Soliman, E.P.; Gava De Souza, I.C.; Silva, M.R.; Furtado, E.L. Análise histológica de plantas de eucalipto resistentes e suscetíveis inoculadas com de Ceratocystis fimbriata. Sci. For. 2018, 46, 209–216. [Google Scholar] [CrossRef]
- Figueiredo, A.C.; Barroso, J.G.; Pedro, L.G.; Ascensão, L. Histoquímica e Citoquímica em Plantas: Princípios e Protocolos. 2007. Available online: http://cbv.fc.ul.pt/HistoquimicaPP.pdf> (accessed on 20 January 2021).
- Venterella, M.C.; Almeida, A.L.; Nery, L.A.; Coelho, V.P.M. Métodos Histoquímicos Aplicados ás Sementes. 2013. Available online: https://www2.cead.ufv.br/serieconhecimento/wpcontent/uploads/2015/06/metodos-histoquimicos.pdf> (accessed on 20 January 2021).
- Carver, T.L.W.; Robbins, M.P.; Zeyen, R.J. Effects of 2 PAL inhibitors on the susceptibility and localized autofluorescent host-cell responses of oat leaves attacked by Erysiphe graminis. Physiol. Mol. Plant Pathol. 1991, 39, 269–287. [Google Scholar] [CrossRef]
- Somavilla, L. Levantamento, Caracterização do Nematóide das Galhas em Videira nos Estados do rio Grande do sul e de Santa Catarina e Estudo da Resistência de Porta-Enxertos a Meloidogyne spp. 2010. Available online: https://ainfo.cnptia.embrapa.br/digital/bitstream/item/107888/1/Cesar-Bauer-TESE-ISRAEL.pdf (accessed on 20 January 2021).
- Bradford, M.M. A rapid and sensitive method for the quantitation of microgram quantities of protein utilizing the principle of protein-dye binding. Anal. Biochem. 1976, 72, 248–254. [Google Scholar] [CrossRef]
- Hammerschmidt, R.; Nuckles, E.M.; Kuć, J. Association of enhanced peroxidase activity with induced systemic resistance of cucumber to Colletotrichum lagenarium. Physiol. Plant Pathol. 1982, 20, 73–82. [Google Scholar] [CrossRef]
- Umesha, S. Note: Phenylalanine ammonia lyase activity in tomato seedlings and its relationship to bacterial canker disease resistance. Phytoparasitica 2006, 34, 68–71. [Google Scholar] [CrossRef]
- Ferreira, D.F. Sisvar: A computer statistical analysis system. Ciência E Agrotecnologia 2011, 35, 1039–1042. [Google Scholar] [CrossRef]
- Pascholati, S.F. Fisiologia do Parasitismo: Como as plantas se defendem dos patógenos. In Manual de Fitopatologia: Princípios de Conceitos, 4th ed.; Agronômica Ceres: Piracicaba, Brazil, 2011; pp. 593–633. [Google Scholar]
- Shah, J. Lipids, lipases, and lipid-modifying enzymes in plant disease resistance. Annu. Rev. Phytopathol. 2005, 43, 229–260. [Google Scholar] [CrossRef] [PubMed]
- Quadros, F.M. Análises Morfofisiológicas e Bioquímicas com Ênfase na Peroxidação Lipídica Durante a Interação do Feijoeiro com Fusarim oxysporum. 2019. Available online: https://repositorio.ufsc.br/bitstream/handle/123456789/214923/PRGV0302-D.pdf?sequence=-1&isAllowed=y (accessed on 15 February 2021).
- MacNeill, G.J.; Mehrpouyan, S.; Minow, M.A.; Patterson, J.A.; Tetlow, I.J.; Emes, M.J.; Raines, C. Starch as a source, starch as a sink: The bifunctional role of starch in carbon allocation. J. Exp. Bot. 2017, 68, 4433–4453. [Google Scholar] [CrossRef] [PubMed]
- Kumar, K.R.R.; Kirti, P.B. Novel role for a serine/arginine-rich splicing factor, AdRSZ21 in plant defense and HR-like cell death. Plant Mol. Biol. 2012, 80, 461–476. [Google Scholar] [CrossRef] [PubMed]
- Winter, G.; Todd, C.D.; Trovato, M.; Forlani, G.; Funck, D. Physiological implications of arginine metabolism in plants. Front. Plant Sci. 2015, 6, 534. [Google Scholar] [CrossRef] [PubMed]
- Taiz, L.; Zeiger, E. Fisiologia Vegetal, 5th ed.; Artemed: Porto Alegre, Brazil, 2013; p. 954. [Google Scholar]
- Scalbert, A. Antimicrobial properties of tannins. Phytochemistry 1991, 30, 3875–3883. [Google Scholar] [CrossRef]
- Beckman, C.H. Phenolic-storing cells: Keys to programmed cell death and periderm formation in wilt disease resistance and in general defence responses in plants? Physiol. Mol. Plant Pathol. 2000, 5, 101–110. [Google Scholar] [CrossRef]
- Redman, R.S.; Rodriguez, R.J. Characterization and isolation of an extracellular serine protease from the tomato pathogen Colletotrichum coccodes, and it’s role in pathogenicity. Mycol. Res. 2002, 106, 1427–1434. [Google Scholar] [CrossRef]
- Lorenzetti, E.; Stangarlin, J.R.; Kuhn, O.J.; Portz, R.L. Indução de resistência à Macrophomina phaseolina em soja tratada com extrato de alecrim. Summa Phytopathol. 2018, 44, 45–50. [Google Scholar] [CrossRef]
- Samsuddin, Z. Differences in stomatal density, dimension and conductances to water vapour diffusion in seven Hevea species. Biol. Plant 1980, 22, 154–156. [Google Scholar] [CrossRef]
- Martins, M.B.G.; Zieri, R. Leaf anatomy of rubber-tree clones. Sci. Agric. 2003, 60, 709–713. [Google Scholar] [CrossRef][Green Version]
- Pereira, I.S.; Abreu, M.S.; Alves, E.; Ferreira, J.B. Estudos Histopatológicos da Interação Colletotrichum Gloeosporioides—Cafeeiro; Bragantia: São Paulo, Brazil, 2009; Volume 68, pp. 53–61. [Google Scholar]








Publisher’s Note: MDPI stays neutral with regard to jurisdictional claims in published maps and institutional affiliations. |
© 2021 by the authors. Licensee MDPI, Basel, Switzerland. This article is an open access article distributed under the terms and conditions of the Creative Commons Attribution (CC BY) license (https://creativecommons.org/licenses/by/4.0/).
Share and Cite
Magalhaes, I.P.; Marques, J.P.R.; Gomes, M.E.; Scaloppi Junior, E.J.; Fischer, I.H.; Furtado, E.L.; Pinheiro Henrique, R.L.; Veréchia Rodrigues, F.T.; Firmino, A.C. Structural and Biochemical Aspects Related to Resistance and Susceptibility of Rubber Tree Clones to Anthracnose. Plants 2021, 10, 985. https://doi.org/10.3390/plants10050985
Magalhaes IP, Marques JPR, Gomes ME, Scaloppi Junior EJ, Fischer IH, Furtado EL, Pinheiro Henrique RL, Veréchia Rodrigues FT, Firmino AC. Structural and Biochemical Aspects Related to Resistance and Susceptibility of Rubber Tree Clones to Anthracnose. Plants. 2021; 10(5):985. https://doi.org/10.3390/plants10050985
Chicago/Turabian StyleMagalhaes, Izabela Ponso, João Paulo Rodrigues Marques, Marcela Eloi Gomes, Erivaldo José Scaloppi Junior, Ivan Herman Fischer, Edson Luiz Furtado, Rodney Lucio Pinheiro Henrique, Flavia Thomaz Veréchia Rodrigues, and Ana Carolina Firmino. 2021. "Structural and Biochemical Aspects Related to Resistance and Susceptibility of Rubber Tree Clones to Anthracnose" Plants 10, no. 5: 985. https://doi.org/10.3390/plants10050985
APA StyleMagalhaes, I. P., Marques, J. P. R., Gomes, M. E., Scaloppi Junior, E. J., Fischer, I. H., Furtado, E. L., Pinheiro Henrique, R. L., Veréchia Rodrigues, F. T., & Firmino, A. C. (2021). Structural and Biochemical Aspects Related to Resistance and Susceptibility of Rubber Tree Clones to Anthracnose. Plants, 10(5), 985. https://doi.org/10.3390/plants10050985

