Secretory Patterns in Colleters of Apocynaceae
Abstract
:1. Introduction
2. Results
2.1. Morphology and Anatomy
2.2. Ultrastructure
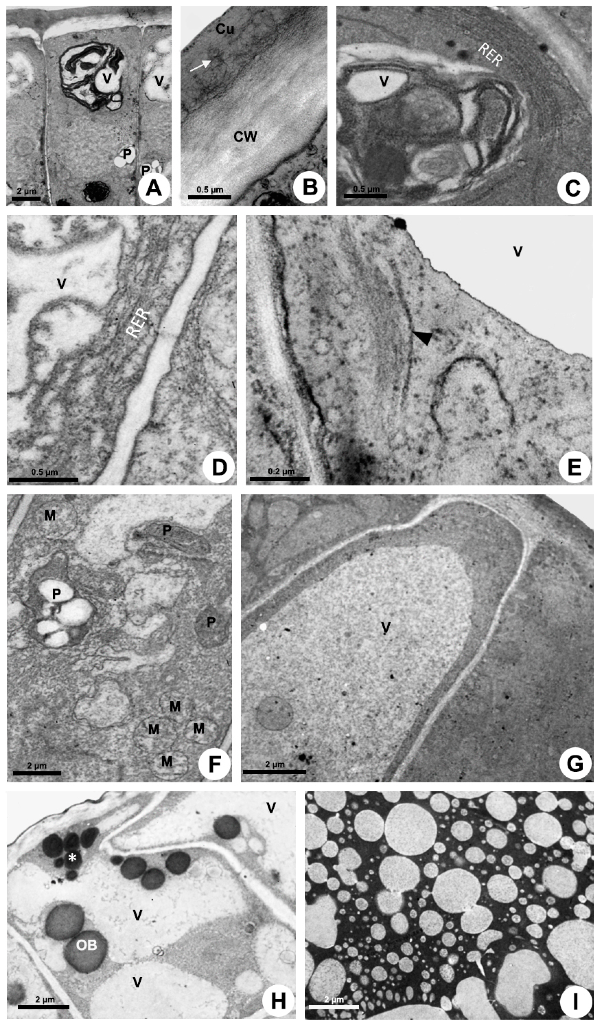
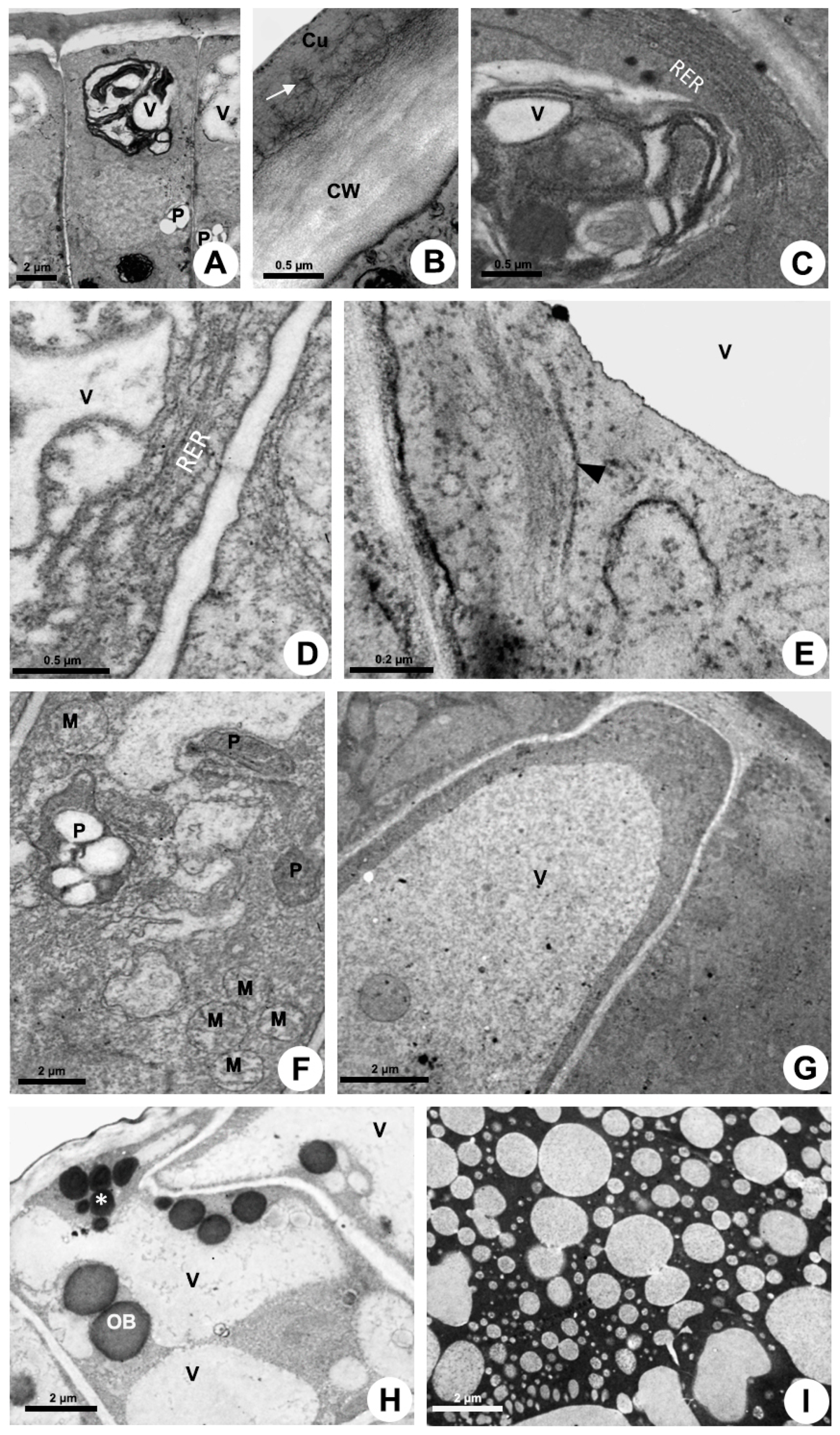
2.2.1. Colleters with Mucilaginous Secretion (Mandevilla splendens and Peplonia axillaris)
- Cell wall and cuticle
- Cytoplasm
- Secretion release
2.2.2. Colleters with Heterogeneous Secretion (Allamanda schottii and Blepharodon bicuspidatum)
- Cell wall and cuticle
- Cytoplasm
- Secretion release
3. Discussion
3.1. Secretory Machinery
3.1.1. Mucilaginous Secretion–Mandevilla and Peplonia
3.1.2. Heterogeneous Secretion–Allamanda and Blepharodon
3.2. Secretion Release
4. Materials and Methods
4.1. Scanning Electron Microscopy
4.2. Light Microscopy
4.3. Transmission Electron Microscopy
5. Conclusions
Author Contributions
Funding
Acknowledgments
Conflicts of Interest
References
- Thomas, V. Structural, functional and phylogenetic aspects of the colleter. Ann. Bot. 1991, 68, 287–305. [Google Scholar] [CrossRef]
- Endress, M.E.; Bruyns, P.V. A revised classification of the Apocynaceae s.l. Bot. Rev. 2000, 66, 1–56. [Google Scholar] [CrossRef] [Green Version]
- Thomas, V.; Dave, Y. Structure, origin, development and senescence of colleters in Nerium indicum Mill. (N. odorum Soland., Apocynaceae). Korean J. Bot. 1989, 32, 163–172. [Google Scholar]
- Sennblad, B.; Endress, M.E.; Bremer, B. Morphology and molecular data in phylogenetic fraternity: The tribe Wrightieae (Apocynaceae) revisited. Am. J. Bot. 1998, 85, 1143–1158. [Google Scholar] [CrossRef]
- Canaveze, Y.; Machado, S.R. Leaf colleters in Tabernaemontana catharinensis (Apocynaceae, Rauvolfioideae): Structure, ontogenesis, and cellular secretion. Botany 2015, 93, 287–296. [Google Scholar] [CrossRef]
- Demarco, D. Floral glands in asclepiads: Structure, diversity and evolution. Acta Bot. Bras. 2017, 31, 477–502. [Google Scholar] [CrossRef] [Green Version]
- Capelli, N.V.; Rodrigues, B.A.; Demarco, D. Stipules in Apocynaceae: An ontogenetic perspective. AoB Plants 2017, 9, plw083. [Google Scholar]
- Fahn, A. Secretory Tissues in Plants; Academic Press: London, UK, 1979. [Google Scholar]
- Castro, M.M.; Demarco, D. Phenolic compounds produced by secretory structures in plants: A brief review. Nat. Prod. Commun. 2008, 3, 1273–1284. [Google Scholar]
- Ribeiro, J.C.; Ferreira, M.J.P.; Demarco, D. Colleters in Asclepiadoideae (Apocynaceae): Protection of meristems against desiccation and new functions assigned. Int. J. Plant Sci. 2017, 178, 465–477. [Google Scholar] [CrossRef]
- Rio, M.C.S.; Castro, M.M.; Kinoshita, L.S. Distribuição e caracterização anatômica dos coléteres foliares de Prestonia coalita (Vell.) Woodson (Apocynaceae). Rev. Bras. Bot. 2002, 25, 339–349. [Google Scholar] [CrossRef] [Green Version]
- Fjell, I. Anatomy of the xeromorphic leaves of Allamanda neriifolia, Thevetia peruviana and Vinca minor (Apocynaceae). Nord. J. Bot. 1983, 3, 383–392. [Google Scholar] [CrossRef]
- Kuriachen, P.M.; Dave, Y. Structural, developmental and histochemical studies in the colleters of Calotropis L. (Asclepiadaceae). J. Physiol. Res. 1989, 2, 7–14. [Google Scholar]
- Fahn, A. Plant Anatomy, 4th ed.; Pergamon Press: Oxford, UK, 1990. [Google Scholar]
- Schwarz, E.A.; Furlan, A. Coléteres foliares de Oxypetalum R. Br. (Asclepiadoideae, Apocynaceae)—Aspectos ultraestruturais e anatômicos úteis à taxonomia das espécies do Paraná (Brasil). Acta Biol. Par. 2002, 31, 79–97. [Google Scholar] [CrossRef]
- Mohan, J.S.S.; Inamdar, J.A. Ultrastructure and secretion of extrafloral nectaries of Plumeria rubra L. Ann. Bot. 1986, 57, 389–401. [Google Scholar] [CrossRef]
- Thomas, V.; Dave, Y. Histochemistry and senescence of colleters of Allamanda cathartica L. (Apocynaceae). Ann. Bot. 1989, 64, 201–203. [Google Scholar] [CrossRef]
- Appezzato-da-Glória, B.; Estelita, M.E.M. Development, structure and distribution of colleters in Mandevilla illustris and M. velutina (Apocynaceae). Rev. Bras. Bot. 2000, 23, 113–120. [Google Scholar] [CrossRef] [Green Version]
- Martins, M.F.; Kinoshita, L.S.; Castro, M.M. Coléteres foliares e calicinais de Temnadenia violacea (Apocynaceae, Apocynoideae): Estrutura e distribuição. Rev. Bras. Bot. 2010, 33, 489–500. [Google Scholar] [CrossRef] [Green Version]
- Martins, F.M.; Mascarenhas, A.A.S.; Macedo, T.P.; Cunha Neto, I.L. Estruturas secretoras em órgãos vegetativos e florais de Secondatia densiflora A. DC. (Apocynaceae—Odontadenieae). Rev. Bras. Plantas Med. 2013, 15, 13–24. [Google Scholar] [CrossRef]
- Miguel, E.C.; Pireda, S.; Barros, C.F.; Zottich, U.; Gomes, V.M.; Miguens, F.C.; Cunha, M. Outer cell wall structure and the secretion mechanism of colleters of Bathysa nicholsonii K.Schum. (Rubiaceae). Acta Bot. Bras. 2017, 31, 411–419. [Google Scholar] [CrossRef] [Green Version]
- Gonçalves, J.R.; Rocha, D.I.; Santos, L.S.; Dalvi, V.C. The short but useful life of Prepusa montana Mart. (Gentianaceae Juss.) leaf colleters—Anatomical, micromorphological, and ultrastructural aspects. Protoplasma 2021, 1–15. [Google Scholar] [CrossRef]
- Thomas, V.; Dave, Y.; Menon, A.R.S. Anatomy and histochemistry of colleters in Roupelia grata Wall. (Apocynaceae). Nord. J. Bot. 1989, 8, 493–496. [Google Scholar] [CrossRef]
- Rio, M.C.S. Estudos Taxonômicos e Anatômicos do Gênero Prestonia R. BR. Nom. Cons. (Apocynaceae). Master’s Thesis, Universidade Estadual de Campinas, Campinas, Brazil, 2001. [Google Scholar]
- Rio, M.C.S. Estudos Anatômicos em Espécies de Forsteronia G.Mey. (Apocynaceae) de Cerrado. Ph.D. Thesis, Universidade Estadual de Campinas, Campinas, Brazil, 2006. [Google Scholar]
- Thomas, V.; Dave, Y. The colleters of Alstonia scholaris L. (Apocynaceae). Indian Bot. Contact. 1989, 6, 25–29. [Google Scholar]
- Paiva, E.A.S.; Machado, S.R. Colleters in Caryocar brasiliense (Caryocaraceae): Ontogenesis, ultrastructure and secretion. Braz. J. Biol. 2006, 66, 301–308. [Google Scholar] [CrossRef] [Green Version]
- Miguel, E.C.; Gomes, M.V.; Oliveira, M.A.; Cunha, M. Colleters in Bathysa nicholsonii K. Schum. (Rubiaceae): Ultrastructure, secretion protein composition, and antifugal activity. Plant Biol. 2006, 8, 715–722. [Google Scholar] [CrossRef]
- Tresmondi, F.; Canaveze, Y.; Guimarães, E.; Machado, S.R. Colleters in Rubiaceae from forest and savanna: The link between secretion and environment. Sci. Nat. 2017, 104, 17. [Google Scholar] [CrossRef]
- Teixeira, R.S.; Rocha, D.I.; Dalvi, V.C. Leaf colleters in Clusia burchellii Engl.: Structural and ultrastructural features of a little-known gland in Clusiaceae. Flora 2021, 280, 151834. [Google Scholar] [CrossRef]
- Paiva, E.A.S. Occurrence, structure and functional aspects of the colleters of Copaifera langsdorffii Desf. (Fabaceae, Caesalpinioideae). Comptes Rendus Biol. 2009, 332, 1078–1084. [Google Scholar] [CrossRef] [PubMed]
- Miguel, E.C.; Klein, D.E.; Oliveira, M.A.; Cunha, M. Ultrastructure of secretory and senescence phase in colleters of Bathysa gymnocarpa and B. stipulata (Rubiaceae). Rev. Bras. Bot. 2010, 33, 425–436. [Google Scholar] [CrossRef]
- Mercadante-Simões, M.O.; Paiva, E.A.S. Leaf colleters in Tontelea micrantha (Celastraceae, Salacioideae): Ecological, morphological and structural aspects. Comptes Rendus Biol. 2013, 336, 400–406. [Google Scholar] [CrossRef]
- Paiva, E.A.S. Colleters in Cariniana estrellensis (Lecythidaceae): Structure, secretion and evidences for young leaf protection. J. Torrey Bot. Soc. 2012, 139, 1–8. [Google Scholar] [CrossRef]
- Paiva, E.A.S. How do secretory products cross the plant cell wall to be released? A new hypothesis involving cyclic mechanical actions of the protoplast. Ann. Bot. 2016, 117, 533–540. [Google Scholar] [CrossRef] [PubMed] [Green Version]
- Evert, R.F. Esau’s Plant Anatomy: Meristems, Cells, and Tissues of the Plant Body—Their Structure, Function, and Development, 3rd ed.; John Wiley & Sons: Hoboken, NJ, USA, 2006. [Google Scholar]
- Paiva, E.A.S. How does the nectar of stomata-free nectaries cross the cuticle? Acta Bot. Bras. 2017, 31, 525–530. [Google Scholar] [CrossRef] [Green Version]
- Buchanan, B.B.; Gruissem, W.; Jones, R.L. Biochemistry and Molecular Biology of Plants; Wiley-Blackwell: Hoboken, NJ, USA, 2015. [Google Scholar]
- Ballego-Campos, I.; Paiva, E.A.S. Colleters in the vegetative axis of Aechmea blanchetiana (Bromeliaceae): Anatomical, ultrastructural and functional aspects. Aust. J. Bot. 2018, 66, 379–387. [Google Scholar] [CrossRef]
- Machado, S.R.; Paleari, L.M.; Paiva, E.A.S.; Rodrigues, T.M. Colleters on the inflorescence axis of Croton glandulosus (Euphorbiaceae): Structural and functional characterization. Int. J. Plant Sci. 2015, 176, 86–93. [Google Scholar] [CrossRef] [Green Version]
- Almeida, A.L.; Paiva, E.A.S. Colleters in Mabea fistulifera Mart. (Euphorbiaceae): Anatomy and biology of the secretory process. Flora 2019, 258, 151439. [Google Scholar] [CrossRef]
- Fahn, A. Ultrastructure of nectaries in relation to nectar secretion. Am. J. Bot. 1979, 66, 977–985. [Google Scholar] [CrossRef]
- Gama, T.S.S.; Aguiar-Dias, A.C.A.; Demarco, D. Transfer cells in trichomatous nectary in Adenocalymma magnificum (Bignoniaceae). An. Acad. Bras. Ciênc. 2016, 88, 527–537. [Google Scholar] [CrossRef] [PubMed] [Green Version]
- Langenheim, J.H. Plant Resins: Chemistry, Evolution, Ecology and Ethnobotany; Timber Press: Portland, OR, USA, 2003. [Google Scholar]
- Johansen, D.A. Plant Microtechnique; McGraw-Hill: New York, NY, USA, 1940. [Google Scholar]
- Lillie, R.D. Histopathologic Technic and Pratical Histochemistry, 3rd ed.; McGraw-Hill: New York, NY, USA, 1965. [Google Scholar]
- Gerlach, D. Botanische Mikrotechnik: Eine Einführung, 3rd ed.; Georg Thieme: Stuttgart, Germany, 1984. [Google Scholar]
- Watson, M.L. Staining of tissue sections for electron microscopy with heavy metals. J. Biophys. Biochem. Cytol. 1958, 4, 475. [Google Scholar] [CrossRef] [PubMed] [Green Version]
- Reynolds, E.S. The use of lead citrate at high pH as an electron opaque stain in electron microscopy. J. Cell Biol. 1963, 17, 208–212. [Google Scholar] [CrossRef] [Green Version]
- Luft, J.H. Ruthenium red and violet. II. Fine structural localization in animal tissues. Anat. Rec. 1971, 171, 369–415. [Google Scholar] [CrossRef] [PubMed]
- Angermüller, S.; Fahimi, D.H. Imidazole-buffered osmium tetroxide: An excelente stain for visualization of lipids in transmission electron microscopy. Histochem. J. 1982, 14, 823–825. [Google Scholar] [CrossRef] [PubMed]
- Thiéry, J.P. Mise en évidence des polysaccharides sur coupes fines en microscopie électronique. J. Microsc. 1967, 6, 987–1018. [Google Scholar]







Publisher’s Note: MDPI stays neutral with regard to jurisdictional claims in published maps and institutional affiliations. |
© 2021 by the authors. Licensee MDPI, Basel, Switzerland. This article is an open access article distributed under the terms and conditions of the Creative Commons Attribution (CC BY) license (https://creativecommons.org/licenses/by/4.0/).
Share and Cite
Ribeiro, J.C.; Tölke, E.D.; Demarco, D. Secretory Patterns in Colleters of Apocynaceae. Plants 2021, 10, 2770. https://doi.org/10.3390/plants10122770
Ribeiro JC, Tölke ED, Demarco D. Secretory Patterns in Colleters of Apocynaceae. Plants. 2021; 10(12):2770. https://doi.org/10.3390/plants10122770
Chicago/Turabian StyleRibeiro, Josiana Cristina, Elisabeth Dantas Tölke, and Diego Demarco. 2021. "Secretory Patterns in Colleters of Apocynaceae" Plants 10, no. 12: 2770. https://doi.org/10.3390/plants10122770
APA StyleRibeiro, J. C., Tölke, E. D., & Demarco, D. (2021). Secretory Patterns in Colleters of Apocynaceae. Plants, 10(12), 2770. https://doi.org/10.3390/plants10122770

