Morphological and Molecular Characterization of Some Egyptian Six-Rowed Barley (Hordeum vulgare L.)
Abstract
1. Introduction
2. Results and Discussion
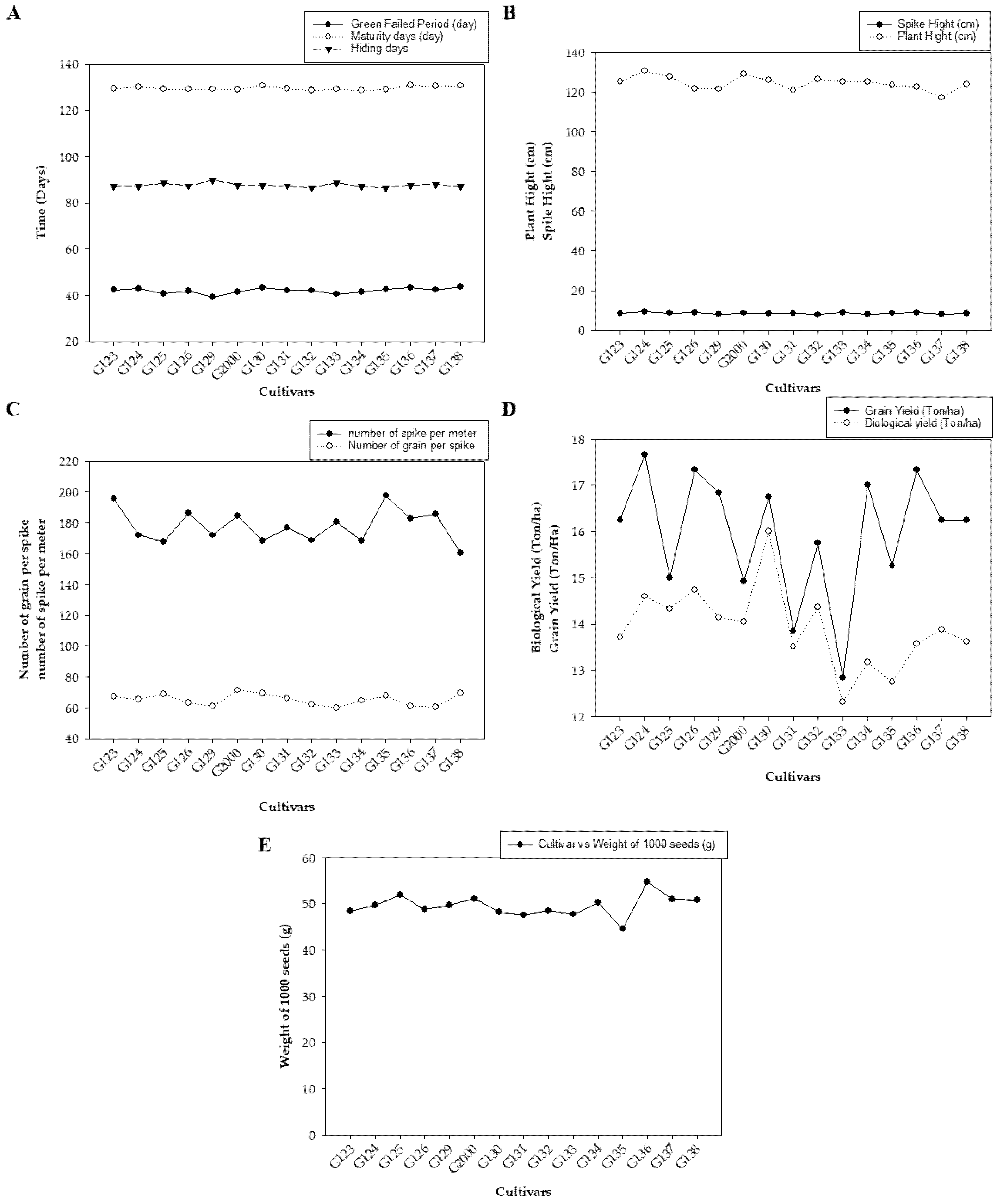
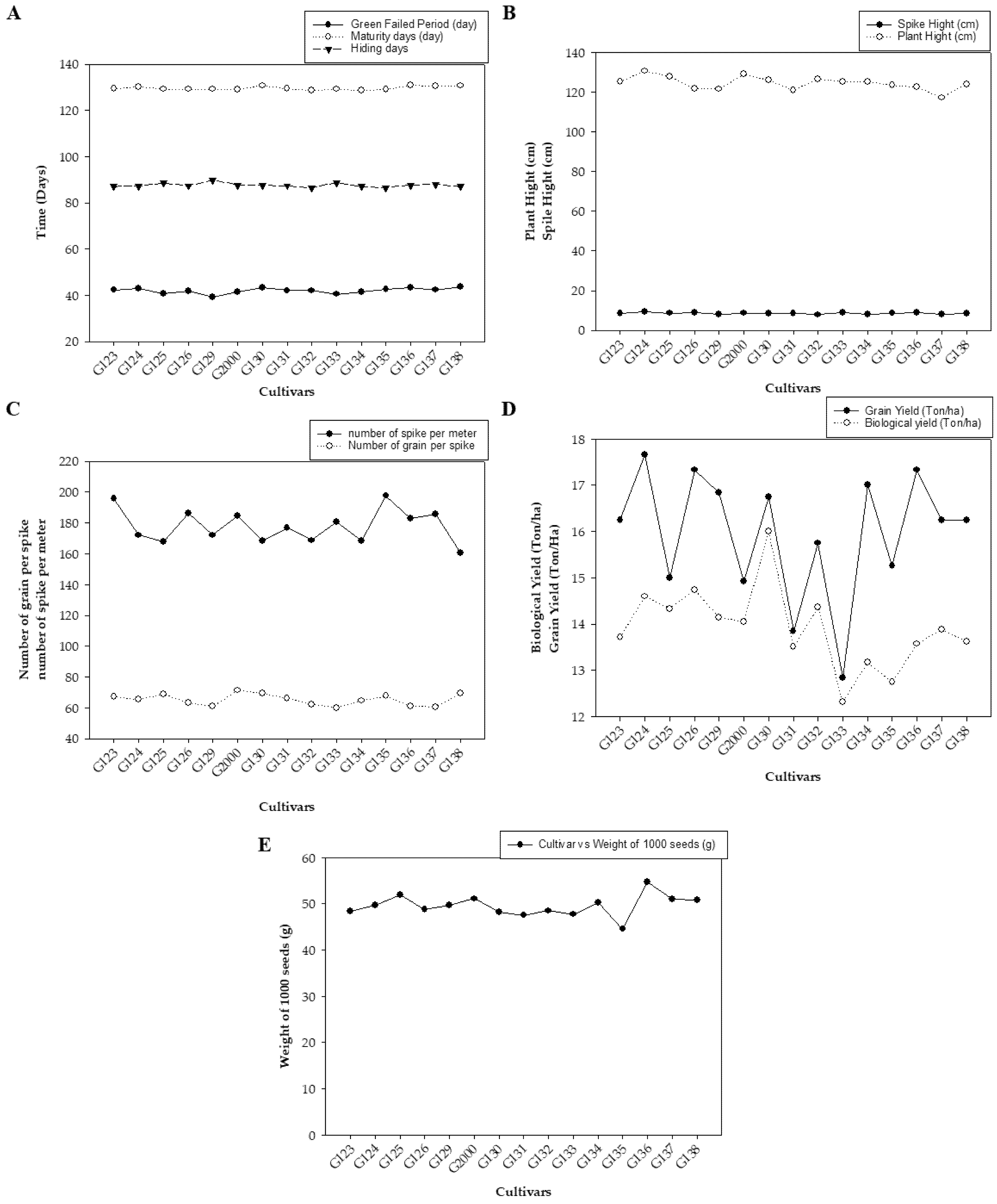
2.1. Field Experimental
2.1.1. Growing across Two Seasons
2.1.2. Genetic Distance Dendrogram between Genotypes Based on Field Traits
2.2. Scanning Electron Microscopy (SEM)
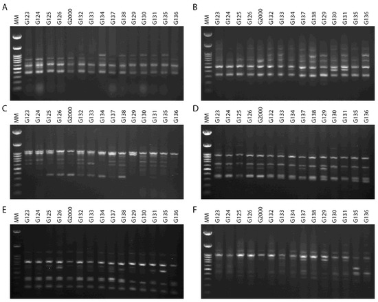
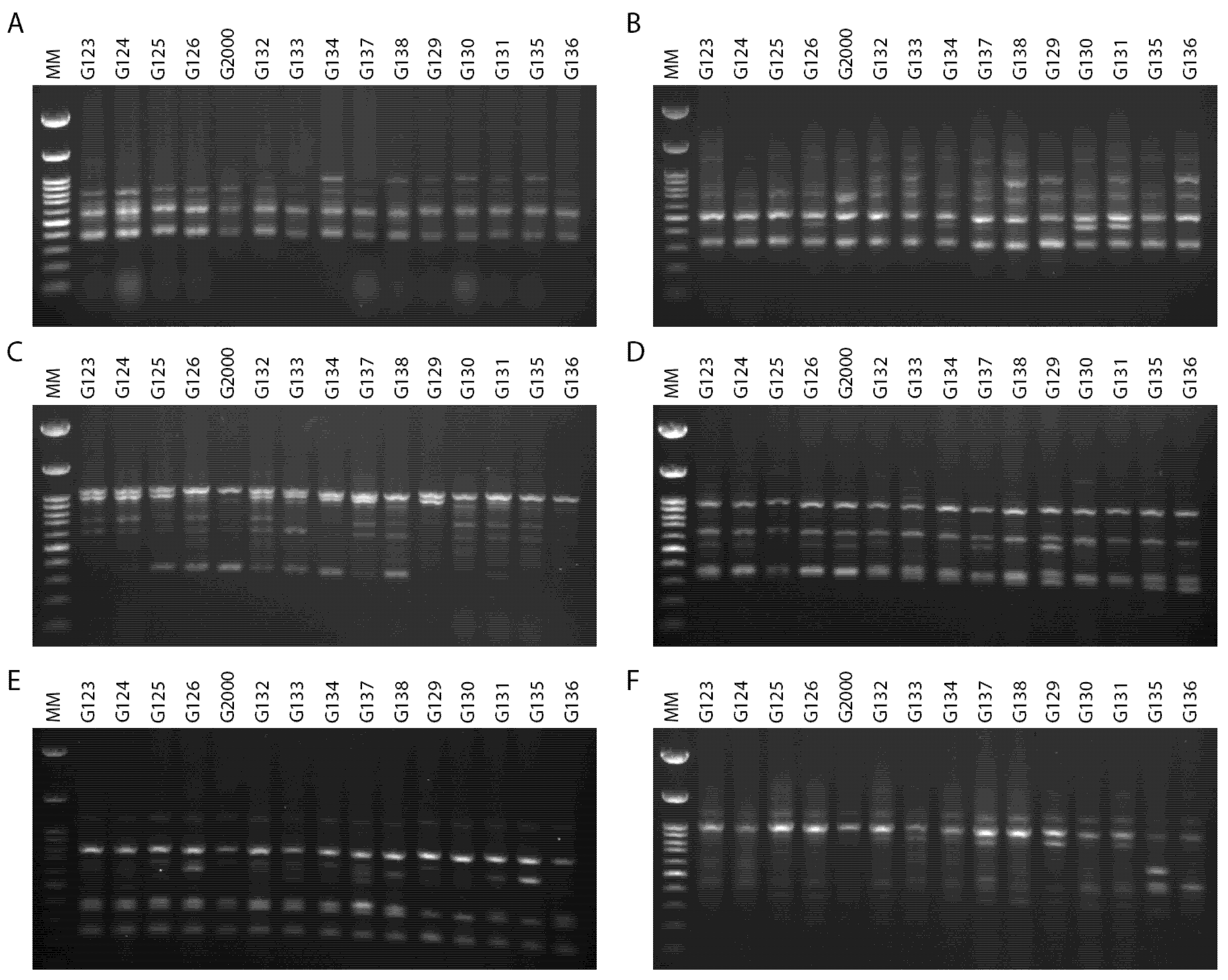
2.3. Molecular Characterization and Genetic Relationships as Revealed by ISSR Markers
2.4. Biplots
2.5. DNA Barcoding Loci of matK and rbcL Sequencing
3. Materials and Methods
3.1. Plant Materials
3.2. Morphological Traits and Experimental Design
3.3. Scanning Electron Microscopy (SEM)
3.4. ISSR Molecular Markers
3.4.1. Extraction of Genomic DNA
3.4.2. ISSR Amplification
3.5. DNA Barcoding of Plastid Genes rbcL and matK
3.6. Statistical Analysis
4. Conclusions
Supplementary Materials
Author Contributions
Funding
Institutional Review Board Statement
Informed Consent Statement
Data Availability Statement
Acknowledgments
Conflicts of Interest
References
- FAO. FAOSTAT. Food and Agriculture Organization of the United Nations. 2019. Available online: https://www.fao.org/faostat/en/#home (accessed on 30 October 2021).
- Riehl, S. Barley in archaeology and early history. In Oxford Research Encyclopedia of Environmental Science; Oxford University Press: Oxford, UK, 2019. [Google Scholar]
- Young, B. Barley: The Versatile Crop. Ethnobot. Leafl. 2001, 2001, 1–3. Available online: https://opensiuc.lib.siu.edu/cgi/viewcontent.cgi?article=1523&context=ebl (accessed on 25 October 2021).
- Diamond, J.M.; Ordunio, D. Guns, Germs, and Steel; Vintage Publications: London, UK, 1999. [Google Scholar]
- Kling, J. An introduction to barley-notes from css 330 world foods class. Accessed April 2004, 18, 2006. [Google Scholar]
- Nesbitt, M.; Samuel, D. From staple crop to extinction? The archaeology and history of hulled wheat. In Proceedings of the Hulled Wheat: Promoting the Conservation and Use of Underutilized and Neglected Crops, Rome, Italy, 21–22 July 1995; pp. 41–100. [Google Scholar]
- Zohary, D.; Hopf, M. Domestication of Plants in the Old World: The Origin and Spread of Cultivated Plants in West Asia, Europe and the Nile Valley; Oxford University Press: Oxford, UK, 2000. [Google Scholar]
- Statista. Barley Production Worldwide 2008/2009–2018/2019 Published by M. Shahbandeh, April 27, 2020. 2020. Available online: https://www.statista.com/statistics/271973/world-barley-production-since-2008/ (accessed on 18 November 2021).
- El-Banna, M.N.; Nassar, M.A.A.E.-G.; Mohamed, M.N.; Boseely, M.A.E.-A. Evaluation of 16 barley genotypes under calcareous soil conditions in Egypt. J. Agric. Sci. 2011, 3, 105. [Google Scholar]
- Najafi, M.T. Evaluation of resistance to Sunn pest (Eurygaster integriceps Put.) in wheat and triticale genotypes. Crop Breed. J. 2012, 2, 43–48. Available online: https://www.sid.ir/EN/VEWSSID/J_pdf/1008420120106.pdf (accessed on 20 October 2021).
- Al-Sayaydeh, R.; Al-Bawalize, A.; Al-Ajlouni, Z.; Akash, M.; Abu-Elenein, J.; Al-Abdallat, A. Agronomic Evaluation and Yield Performance of Selected Barley (Hordeum vulgare L.) Landraces from Jordan. Int. J. Agron. 2019, 2019, 1–12. [Google Scholar] [CrossRef]
- Sharma, A.; Joshi, N.; Cheema, B.; Jindal, M.; Singh, S. Assessment of genetic diversity in barley (Hordeum vulgare L.). J. Res. Punjab Agric. Univ. 2014, 51, 105–108. [Google Scholar]
- Bahieldin, A.; Ramadan, A.M.; Gadalla, N.O.; Alzohairy, A.M.; Edris, S.; Ahmed, I.A.; Shokry, A.M.; Hassan, S.M.; Saleh, O.M.; Baeshen, M.N.; et al. Molecular markers for salt tolerant wild barley Hordeum spontaneum. Life Sci. J. 2012, 9, 5838–5847. [Google Scholar]
- Godwin, I.D.; Aitken, E.A.; Smith, L.W. Application of inter simple sequence repeat (ISSR) markers to plant genetics. Electrophoresis 1997, 18, 1524–1528. [Google Scholar] [CrossRef] [PubMed]
- Reddy, M.P.; Sarla, N.; Siddiq, E. Inter simple sequence repeat (ISSR) polymorphism and its application in plant breeding. Euphytica 2002, 128, 9–17. [Google Scholar] [CrossRef]
- Tanyolac, B. Inter-simple sequence repeat (ISSR) and RAPD variation among wild barley (Hordeum. vulgare subsp. spontaneum) populations from west Turkey. Genet. Resour. Crop Evol. 2003, 50, 611–614. [Google Scholar] [CrossRef]
- Guasmi, F.; Elfalleh, W.; Hannachi, H.; Feres, K.; Touil, L.; Marzougui, N.; Triki, T.; Ferchichi, A. The use of ISSR and RAPD markers for genetic diversity among south tunisian barley. ISRN Agron. 2012, 2012, 1–10. [Google Scholar] [CrossRef]
- Chahidi, B.; El-Otmani, M.; Jacquemond, C.; Tijane, M.h.; El-Mousadik, A.; Srairi, I.; Luro, F. Use of morphological and physiological characters, and molecular markers to evaluate the genetic diversity of three clementine cultivars. C. R. Biol. 2007, 331, 1–12. [Google Scholar] [CrossRef] [PubMed]
- Hailu, F.; Merker, A.; Belay, G.; Johansson, E. Molecular diversity and phylogenic relationships of tetraploid wheat species as revealed by intersimple sequence repeats (ISSR) from Ethiopia. J. Genet. Breed. 2005, 59, 329–337. [Google Scholar]
- Marotti, I.; Bonetti, A.; Minelli, M.; Catizone, P.; Dinelli, G. Characterization of some Italian common bean (Phaseolus vulgaris L.) landraces by RAPD, semi-random and ISSR molecular markers. Genet. Resour. Crop Evol. 2007, 54, 175–188. [Google Scholar] [CrossRef]
- Drine, S.; Guasmi, F.; Ali, S.B.; Triki, T.; Boussorra, F.; Ferchichi, A. Genetic diversity analysis of different barley (Hordeum vulgare L.) genotypes from arid and humid regions using ISSR and RAPD markers. J. New Sci. 2016, 34, 1930–1939. Available online: https://www.jnsciences.org/index.php?option=com_attachments&task=download&id=238 (accessed on 19 November 2021).
- Wang, A.; Yu, Z.; Ding, Y. Genetic diversity analysis of wild close relatives of barley from Tibet and the Middle East by ISSR and SSR markers. C. R. Biol. 2009, 332, 393–403. [Google Scholar] [CrossRef]
- Johnson, P.E.; Patron, N.J.; Bottrill, A.R.; Dinges, J.R.; Fahy, B.F.; Parker, M.L.; Waite, D.N.; Denyer, K. A low-starch barley mutant, Risø 16, lacking the cytosolic small subunit of ADP-glucose pyrophosphorylase, reveals the importance of the cytosolic isoform and the identity of the plastidial small subunit. Plant Physiol. 2003, 131, 684–696. [Google Scholar] [CrossRef]
- Patron, N.J.; Greber, B.; Fahy, B.F.; Laurie, D.A.; Parker, M.L.; Denyer, K. The lys5 mutations of barley reveal the nature and importance of plastidial ADP-Glc transporters for starch synthesis in cereal endosperm. Plant Physiol. 2004, 135, 2088–2097. [Google Scholar] [CrossRef]
- Wijngaard, H.; Renzetti, S.; Arendt, E. Microstructure of buckwheat and barley during malting observed by confocal scanning laser microscopy and scanning electron microscopy. J. Inst. Brew. 2007, 113, 34–41. [Google Scholar] [CrossRef]
- Chen, S.; Yao, H.; Han, J.; Liu, C.; Song, J.; Shi, L.; Zhu, Y.; Ma, X.; Gao, T.; Pang, X. Validation of the ITS2 region as a novel DNA barcode for identifying medicinal plant species. PLoS ONE 2010, 5, e8613. [Google Scholar] [CrossRef]
- Wei, S.; Luo, Z.; Cui, S.; Qiao, J.; Zhang, Z.; Zhang, L.; Fu, J.; Ma, X. Molecular Identification and Targeted Quantitative Analysis of Medicinal Materials from Uncaria Species by DNA Barcoding and LC-MS/MS. Molecules 2019, 24, 175. [Google Scholar] [CrossRef]
- DeSalle, R. Species discovery versus species identification in DNA barcoding efforts: Response to Rubinoff. Conserv. Biol. 2006, 20, 1545–1547. [Google Scholar] [CrossRef]
- Viglietti, G.; Galla, G.; Porceddu, A.; Barcaccia, G.; Curk, F.; Luro, F.; Scarpa, G.M. Karyological Analysis and DNA Barcoding of Pompia Citron: A First Step toward the Identification of Its Relatives. Plants 2019, 8, 83. [Google Scholar] [CrossRef]
- Barley, A.J.; Thomson, R.C. Assessing the performance of DNA barcoding using posterior predictive simulations. Mol. Ecol. 2016, 25, 1944–1957. [Google Scholar] [CrossRef]
- Lonardi, S.; Duma, D.; Alpert, M.; Cordero, F.; Beccuti, M.; Bhat, P.R.; Wu, Y.; Ciardo, G.; Alsaihati, B.; Ma, Y. Barcoding-free BAC pooling enables combinatorial selective sequencing of the barley gene space. arXiv 2011, arXiv:1112.4438. [Google Scholar]
- Amer, K.A.; Abou El Enein, R.A.; El-Sayed, A.A.; Noaman, M.M.; Ahmed, I.A.; El-Moselhy, M.A.; Moustafa, K.A.; Abd El-Hamid, M.; Megahed, M.A.; El-Bawab, A.M.O.; et al. Giza 137 and Giza 138, new Egyptian six-rowed Barley cultivars for new land. Egypt. J. Plant Breed. 2017, 21, 380–395. [Google Scholar]
- Noaman, M.; Asaad, F.; El-Sayed, A.; El-Bawab, A. Drought tolerant barley genotypes for rainfed areas in Egypt. Egypt. J. Agric. Res. 1997, 75, 1019–1036. [Google Scholar]
- Mariey, S.; Farid, M.; khatab, I. Physiological and molecular characterization of some Egyptian barley (Hordeum vulgare L.) cultivars for salt tolerance. Egypt. J. Genet. Cytol. 2016, 45, 367–382. [Google Scholar] [CrossRef]
- Mariey, S.; Khedr, R.A. Evaluation of some Egyptian barley cultivars under water stress conditions using drought tolerance indices and multivariate analysis. J. Sustain. Agr. Sci. 2017, 43, 105–114. [Google Scholar] [CrossRef][Green Version]
- Mareiy, S.A.; Farid, M.A.; Karima, A. Morphological and Molecular Characterization of Some Egyptian Barley Cultivars under Calcareous Soil conditions. Middle East J. Agric. Res. 2018, 7, 408–420. Available online: http://www.curresweb.com/mejar/mejar/2018/408-420.pdf (accessed on 25 October 2021).
- Moïse, J.A.; Han, S.; Gudynaitę-Savitch, L.; Johnson, D.A.; Miki, B.L. Seed coats: Structure, development, composition, and biotechnology. In Vitro Cell. Dev. Biol.-Plant 2005, 41, 620–644. [Google Scholar] [CrossRef]
- Jabbarzadeh, Z.; Khosh-Khui, M.; Salehi, H.; Saberivand, A. Inter simple sequence repeat (ISSR) markers as reproducible and specific tools for genetic diversity analysis of rose species. Afr. J. Biotechnol. 2010, 9, 6091–6095. Available online: https://www.ajol.info/index.php/ajb/article/view/92194/81648 (accessed on 25 October 2021).
- Pérez de la Torre, M.; García, M.; Heinz, R.; Escandón, A. Analysis of genetic variability by ISSR markers in Calibrachoa caesia. Electron. J. Biotechnol. 2012, 15, 8. [Google Scholar] [CrossRef]
- Alshehri, M.A. Genetic variation of Saudi Wheat Genotypes through ISSR and SCoT Assays. Int. J. Pharm. Phytopharm. Res. 2019, 9, 57–65. [Google Scholar]
- Metsalu, T.; Vilo, J. ClustVis: A web tool for visualizing clustering of multivariate data using Principal Component Analysis and heatmap. Nucleic Acids Res. 2015, 43, W566–W570. [Google Scholar] [CrossRef] [PubMed]
- Mariey, S.A.; Mohamed, A.M.; Ali, H.G. Effect of salinity stress on physiological and biochemical traits of barley cultivars. Int. J. Environ. 2018, 7, 65–77. Available online: http://www.curresweb.com/ije/ije/2018/65-77.pdf (accessed on 15 October 2021).
- Samuel, A.D.; Bungau, S.; Tit, D.M.; Melinte, C.E.; Purza, L.; Badea, G.E. Effects of long term application of organic and mineral fertilizers on soil enzymes. Rev. Chim. 2018, 69, 2608–2612. [Google Scholar] [CrossRef]
- Bungau, S.; Behl, T.; Aleya, L.; Bourgeade, P.; Aloui-Sossé, B.; Purza, A.L.; Abid, A.; Samuel, A.D. Expatiating the impact of anthropogenic aspects and climatic factors on long-term soil monitoring and management. Environ. Sci. Pollut. Res. 2021, 28, 1–23. [Google Scholar] [CrossRef]
- Cao, Y.; Zhang, E.; Langdon, P.; Liu, E.; Shen, J. Spatially different nutrient histories recorded by multiple cores and implications for management in Taihu Lake, eastern China. Chin. Geogr. Sci. 2013, 23, 537–549. [Google Scholar] [CrossRef]
- Mellor, L.F.; Nordberg, R.C.; Huebner, P.; Mohiti-Asli, M.; Taylor, M.A.; Efird, W.; Oxford, J.T.; Spang, J.T.; Shirwaiker, R.A.; Loboa, E.G. Investigation of multiphasic 3D-bioplotted scaffolds for site-specific chondrogenic and osteogenic differentiation of human adipose-derived stem cells for osteochondral tissue engineering applications. J. Biomed. Mater. Res. Part B Appl. Biomater. 2020, 108, 2017–2030. [Google Scholar] [CrossRef]
- Mellor, L.F.; Huebner, P.; Cai, S.; Mohiti-Asli, M.; Taylor, M.A.; Spang, J.; Shirwaiker, R.A.; Loboa, E.G. Fabrication and evaluation of electrospun, 3D-bioplotted, and combination of electrospun/3D-bioplotted scaffolds for tissue engineering applications. BioMed Res. Int. 2017, 2017, 1–9. [Google Scholar] [CrossRef] [PubMed]
- Yang, R.C.; Crossa, J.; Cornelius, P.L.; Burgueño, J. Biplot analysis of genotype× environment interaction: Proceed with caution. Crop Sci. 2009, 49, 1564–1576. [Google Scholar] [CrossRef]
- Yang, C.; Tang, D.; Qu, J.; Zhang, L.; Zhang, L.; Chen, Z.; Liu, J. Genetic mapping of QTL for the sizes of eight consecutive leaves below the tassel in maize (Zea mays L.). Theor. Appl. Genet. 2016, 129, 2191–2209. [Google Scholar] [CrossRef]
- Mohamed, N.E. Genotype by environment interactions for grain yield in bread wheat (Triticum aestivum L.). J. Plant Breed. Crop. Sci. 2013, 7, 150–157. Available online: https://academicjournals.org/journal/JPBCS/article-full-text-pdf/316DDD32668 (accessed on 15 November 2021). [CrossRef]
- Khalil, S.; Ibrahim, S.; Ahmed, S.; Abdalla, K. DNA barcoding of jojoba (simmondsia chinensis) plants cultivated in Egypt using rbcL gene. Egypt. J. Genet. Cytol. 2020, 49, 245–254. Available online: http://www.journal.esg.net.eg/index.php/EJGC/article/view/333/324 (accessed on 15 November 2021).
- Sun, X.; Qu, Y.; Yao, H.; Zhang, Y.; Yan, Q.; Hang, Y. Applying DNA barcodes for identification of economically important species in Brassicaceae. Gen. Mol. Res. 2015, 14, 15050–15061. [Google Scholar] [CrossRef] [PubMed]
- Crooks, G.E.; Hon, G.; Chandonia, J.-M.; Brenner, S.E. WebLogo: A sequence logo generator. Genome Res. 2004, 14, 1188–1190. [Google Scholar] [CrossRef]
- Selvaraj, D.; Park, J.-I.; Chung, M.-Y.; Cho, Y.-G.; Ramalingam, S.; Nou, I.-S. Utility of DNA barcoding for plant biodiversity conservation. Plant Breed. Biotechnol. 2013, 1, 320–332. [Google Scholar] [CrossRef]
- Hilu, K.W.; Liang, g. The matK gene: Sequence variation and application in plant systematics. Am. J. Bot. 1997, 84, 830–839. [Google Scholar] [CrossRef]
- Zhang, X.; Fan, M.; Wang, D.; Zhou, P.; Tao, D. Top-k feature selection framework using robust 0–1 integer programming. IEEE Trans. Neur. Net. Lear. Sys. 2020. [Google Scholar] [CrossRef]
- Bafeel, S.; Arif, I.; Bakir, M.; Al Homaidan, A.; Al Farhan, A.; Khan, H. DNA barcoding of arid wild plants using rbcL gene sequences. Gen. Mol. Res. 2012, 11, 1934–1941. [Google Scholar] [CrossRef]
- Kress, W.J.; Erickson, D.L. A two-locus global DNA barcode for land plants: The coding rbcL gene complements the non-coding trnH-psbA spacer region. PLoS ONE 2007, 2, e508. [Google Scholar] [CrossRef] [PubMed]
- Sundari, K.; Jayali, A.; Sukamto, N. The application of barcode DNA rbcL gene for identification of medicinal plants: Red jabon and gofasa. J. Phys. Conf. Ser. 2019, 1146, 012030. [Google Scholar] [CrossRef]
- Ahmed, I.A.; El-Gamal, A.S.; Abo El-Enein, R.A.; El-Sayed, A.A.; El-Hag, A.A.; El-Bawab, A.M.O.; El-Sherbiny, A.M.; El-Moselhy, M.A.; Asaad, F.A.; Megahed, M.A.; et al. Giza 123, a new barley variety for the newly reclaimrd areas in Egypt. Egypt. J. Appl. Sci. 1998, 13, 83–92. [Google Scholar]
- Abo-Elenein, R.A.; Ahmed, I.A.; El-Sayed, A.A.; El-Gamal, A.S.; El-Sherbiny, A.M.; El-Bawab, A.M.O.; El-Hag, A.A.; Abd El-Hamid, M.M.; Asaad, F.A.; Megahed, M.A.; et al. Giza 124, a new cultivar for upper Egypt. Egypt. J. Appl. Sci. 1998, 13, 100–109. [Google Scholar]
- Noaman, M.; El-Sayed, A.; Assad, F.; El-Sherbini, A.; El-Bawab, A.; El-Moselhi, M.; Rizk, R. Giza 125 and Giza 126, two new barley cultivars for rainfed areas of Egypt. Egypt. J. Appl. Sci. 1995, 10, 418–432. [Google Scholar]
- El-Sayed, A.; Abo-Elenin, R.; El-Gamal, A.; Megahed, M.; El-Moselhy, M.; El-Sherbini, A.; El-Hag, A.; El-Bawab, A.; Abdel-Hameed, M.; Amer, K. Giza 129 and Giza 130, two newly released hulless barley varieties for irrigated lands in Egypt. Egypt. J. Plant Breed. 2003, 7, 387–398. [Google Scholar]
- Ahmed, I.; El-Sayed, A.; Abo-El-Enin, R.; El-Gamal, A.; Noaman, M.; Rizk, A.; Mahfouz, H. Giza 2000, a new Egyptian barley variety for newly reclaimed lands and rainfed areas. Zagazig J. Agri. Res. 2003, 30, 2095–2112. [Google Scholar]
- El-Sayed, A.; El-Enein, R.A.; El-Gamal, A.; El-Sherbiny, A.; El-Moselhy, M.; Megahed, M.; El-Hag, A.; El-Bawab, A.; Abdelhamid, M.; Amer, K. Two new food hull-less barley varieties for rainfed in Egypt. In Proceedings of the 4th International Crop Science Congress, Brisbane, Australia, 26 September–1 October 2004. [Google Scholar]
- Noaman, M.M.; El-Sayed, A.A.; Abo El-Enein, R.A.; Ahmed, I.A.; El-Gamal, A.S.; El-Sherbiny, A.M.; Abd El-Hameed, M.m.; Megahed, M.A.; Moselhy, M.A.; El-Bawab, A.M.; et al. Giza 132, a new drought tolerant six-rowed barley cultivar. Egypt. J. Appl. Sci. 2006, 21, 46–58. [Google Scholar]
- El-Bawab, A.; Anton, N.; Ashmawy, H.; Seham, M.M.; Abd El-Rahman, M. Evaluation of three barley cultivars under water deficit conditions of new reclaimed lands. Egypt. J. Plant Breed. 2014, 18, 687–699. [Google Scholar] [CrossRef]
- El-Bawab, A.M.O.; El-Sayed, A.A.; El-Moselhy, M.A.; Mahmoud, M.A.; Amer, K.A.; Megahed, M.A.; Saad, M.F.; Ashmawy, H.A.; Eid, A.A.; Aboelenein, R.A.; et al. Giza 133 and Giza 134, two new varieties for new reclaimed areas in Egtpt. Egypt. J. Plant Breed. 2011, 15, 1–10. [Google Scholar]
- El-Sayed, A.A.; El-Bawab, A.M.O.; El-Moselhy, M.A.; Amer, K.A.; Ashmawy, H.A.; Shendy, M.Z.; Abbas, S.I.; Eid, A.A.; Mahmoud, M.A.; Megahed, M.A.; et al. Giza 135, a new wide adapted hull-less barley variety for all barley production areas in Egypt. Egypt. J. Plant Breed. 2011, 15, 81–95. [Google Scholar]
- El-Sayed, A.A.; El-Bawab, A.M.O.; El-Moselhy, M.A.; Amer, K.A.; Ashmawy, H.A.; Shendy, M.Z.; Abbas, S.I.; Eid, A.A.; Mahmoud, M.A.; Megahed, M.A.; et al. Giza 136, a new high yielding and stable hull-less barley variety for irrigated areas in Egypt. Egypt. J. Plant Breed. 2011, 15, 39–50. [Google Scholar]
- Koul, K.; Nagpal, R.; Raina, S. Seed coat microsculpturing in Brassica and allied genera (subtribes Brassicinae, Raphaninae, Moricandiinae). Ann. Bot. 2000, 86, 385–397. [Google Scholar] [CrossRef]
- Murley, M.R. Seeds of the Cruciferae of northeastern North America. Am. Midl. Nat. 1951, 46, 1–81. [Google Scholar] [CrossRef]
- Stearn, W.T. Botanical Latin; Timber Press, Incorporated: Portland, OR, USA, 1973. [Google Scholar]
- Doyle, J.J.; Doyle, J.L. A rapid DNA isolation procedure for small quantities of fresh leaf tissue. Phytochem. Bull. 1987, 19, 11–15. [Google Scholar]
- Amiryousefi, A.; Hyvönen, J.; Poczai, P. iMEC: Online marker efficiency calculator. Appl. Plant Sci. 2018, 6, e01159. [Google Scholar] [CrossRef]
- Badr, A.; El-Sherif, N.; Aly, S.; Ibrahim, S.D.; Ibrahim, M. Genetic diversity among selected medicago sativa cultivars using inter-retrotransposon-amplified polymorphism, chloroplast DNA barcodes and morpho-agronomic trait analyses. Plants 2020, 9, 995. [Google Scholar] [CrossRef]
- Castresana, J. Selection of conserved blocks from multiple alignments for their use in phylogenetic analysis. Mol. Biol. Evol. 2000, 17, 540–552. [Google Scholar] [CrossRef] [PubMed]
- Talavera, G.; Castresana, J. Improvement of phylogenies after removing divergent and ambiguously aligned blocks from protein sequence alignments. Syst. Biol. 2007, 56, 564–577. [Google Scholar] [CrossRef]
- Bell, K.L.; Loeffler, V.M.; Brosi, B.J. An rbcL reference library to aid in the identification of plant species mixtures by DNA metabarcoding. Appl. Plant Sci. 2017, 5, 1600110. [Google Scholar] [CrossRef]
- Barthet, M.M.; Hilu, K.W. Expression of matK: Functional and evolutionary implications. Am. J. Bot. 2007, 94, 1402–1412. [Google Scholar] [CrossRef]
- Steel, R.G.D.; Torrie, J.H. Principles and Procedures of Statistics: A Biometrical Approach; McGraw-Hill: London, UK, 1986. [Google Scholar]
- Eisen, M.B.; Spellman, P.T.; Brown, P.O.; Botstein, D. Cluster analysis and display of genome-wide expression patterns. Proc. Natl. Acad. Sci. USA 1998, 95, 14863–14868. Available online: https://www.pnas.org/content/pnas/95/25/14863.full.pdf (accessed on 30 October 2021). [CrossRef] [PubMed]
- Everitt, B.S. Cluster analysis. In Multivariate Analysis for the Behavioral Sciences; CRC Press: New York, NY, USA, 2018; pp. 341–363. [Google Scholar]
- Ghislain, M.; Zhang, D.; Fajardo, D.; Huamán, Z.; Hijmans, R.J. Marker-assisted sampling of the cultivated Andean potato Solanum phureja collection using RAPD markers. Genet. Resour. Crop Evol. 1999, 46, 547–555. [Google Scholar] [CrossRef]
- Gilbert, J.; Lewis, R.; Wilkinson, M.; Caligari, P. Developing an appropriate strategy to assess genetic variability in plant germplasm collections. Theor. Appl. Genet. 1999, 98, 1125–1131. [Google Scholar] [CrossRef]
- Hammer, Ø.; Harper, D.A.; Ryan, P.D. PAST: Paleontological statistics software package for education and data analysis. Palaeontol. Electron. 2001, 4, 9. Available online: https://palaeo-electronica.org/2001_1/past/past.pdf (accessed on 1 November 2021).









| Giza 138 | Giza 136 | Giza 126 | Giza 123 | |
|---|---|---|---|---|
| Frequency pattern in 100 µm2 | 12.17 ± 1.69 | 4.83 ± 0.52 | 4.67 ± 0.51 | 8.17 ± 0.99 |
| The elevation folding of rugose (µm) | 12.67 ± 2.04 | 12.67 ± 2.04 | 11.00 ± 1.73 | 14.67 ± 2.43 |
| The extent of the rugose surface (length, µm) | 18.00 ± 3.01 | 18.67 ± 3.13 | 16.00 ± 2.61 | 14.00 ± 2.27 |
| Primer No. | Name | Sequence | MB | POU | UB | PWU | TNB | P% | MBF | PIC | RP | EMR | MI |
|---|---|---|---|---|---|---|---|---|---|---|---|---|---|
| 1 | UBC 825 | (AC)7 T | 7 | 2 | 0 | 2 | 9 | 22 | 1.0 | 0.32 | 5.27 | 8.87 | 0.02 |
| 2 | UBC 835 | (Ag)8 YC | 7 | 7 | 0 | 7 | 14 | 50 | 0.8 | 0.26 | 5.86 | 12.07 | 0.02 |
| 3 | UBC 814 | (CT)7 CAT | 2 | 3 | 1 | 4 | 6 | 67 | 0.6 | 0.37 | 12.67 | 8.33 | 0.05 |
| 4 | UBC 826 | (AC)8 C | 6 | 4 | 0 | 4 | 10 | 40 | 0.8 | 0.30 | 7.40 | 11.30 | 0.03 |
| 5 | UBC 827 | (AC)8 G | 6 | 5 | 1 | 6 | 12 | 50 | 0.6 | 0.36 | 11.17 | 9.42 | 0.02 |
| 6 | UBC 840 | (gA)8 TT | 2 | 6 | 0 | 6 | 8 | 75 | 0.6 | 0.37 | 10.50 | 8.75 | 0.04 |
| 7 | UBC 808 | (Ag)8 C | 4 | 3 | 0 | 3 | 7 | 43 | 0.7 | 0.35 | 10.00 | 10.00 | 0.04 |
| 8 | UBC 811 | (gA)7 gC | 5 | 3 | 0 | 3 | 8 | 38 | 0.7 | 0.32 | 8.25 | 10.88 | 0.04 |
| 9 | UBC 844A | (CT)8 AC | 1 | 4 | 0 | 4 | 5 | 80 | 0.4 | 0.37 | 10.40 | 6.20 | 0.04 |
| 10 | UBC 901 | (CA)8 RY | 3 | 2 | 0 | 2 | 5 | 40 | 0.8 | 0.27 | 6.00 | 12.00 | 0.05 |
| 11 | 807 | (AG)8 T | 5 | 4 | 1 | 5 | 10 | 50 | 0.7 | 0.35 | 10.00 | 10.00 | 0.03 |
| 12 | 810 | (GA)8 T | 4 | 6 | 0 | 6 | 10 | 60 | 0.7 | 0.33 | 8.60 | 10.70 | 0.03 |
| 13 | 841 | (GA)8 YC | 3 | 4 | 0 | 4 | 7 | 57 | 0.7 | 0.33 | 9.14 | 10.43 | 0.04 |
| 14 | 857 | (AC)8 YG | 5 | 2 | 0 | 2 | 7 | 29 | 0.8 | 0.28 | 6.29 | 11.86 | 0.04 |
| 15 | 851 | (GT)8 YG | 4 | 3 | 1 | 4 | 8 | 50 | 0.6 | 0.36 | 11.25 | 9.38 | 0.04 |
| Total | 64 | 58 | 4 | 62 | 126 | - | - | - | - | - | |||
| Mean | 4.27 | 3.87 | 0.27 | 4.13 | 8.40 | 50.07 | 49 | 0.31 | 0.31 | 8.85 | |||
| G123 | G124 | G125 | G126 | G2000 | G132 | G133 | G134 | G137 | G138 | G129 | G130 | G131 | G135 | G136 | |
|---|---|---|---|---|---|---|---|---|---|---|---|---|---|---|---|
| G123 | 100 | ||||||||||||||
| G124 | 92 | 100 | |||||||||||||
| G125 | 90 | 90 | 100 | ||||||||||||
| G126 | 90 | 86 | 91 | 100 | |||||||||||
| G2000 | 87 | 88 | 91 | 93 | 100 | ||||||||||
| G132 | 86 | 86 | 91 | 91 | 89 | 100 | |||||||||
| G133 | 84 | 83 | 89 | 87 | 86 | 93 | 100 | ||||||||
| G134 | 86 | 87 | 91 | 86 | 88 | 87 | 91 | 100 | |||||||
| G137 | 83 | 83 | 87 | 86 | 84 | 91 | 90 | 86 | 100 | ||||||
| G138 | 84 | 84 | 90 | 90 | 89 | 87 | 88 | 89 | 89 | 100 | |||||
| G129 | 80 | 82 | 85 | 82 | 82 | 86 | 88 | 89 | 86 | 87 | 100 | ||||
| G130 | 84 | 86 | 84 | 84 | 84 | 80 | 80 | 83 | 82 | 89 | 83 | 100 | |||
| G131 | 86 | 88 | 89 | 89 | 86 | 90 | 87 | 86 | 89 | 90 | 88 | 88 | 100 | ||
| G135 | 87 | 85 | 83 | 86 | 86 | 82 | 85 | 86 | 82 | 85 | 83 | 86 | 88 | 100 | |
| G136 | 87 | 88 | 87 | 88 | 87 | 84 | 87 | 87 | 81 | 87 | 86 | 86 | 86 | 91 | 100 |
| No. | Cultivar | Origin (Year of Release) | rbcL GenBank | matK GenBank | Kind | Pedigree | References |
|---|---|---|---|---|---|---|---|
| 1 | Giza 123 | Egypt (1998) | MW336986 | MW336988 | Naked * | Giza117/FAO86 | [60] |
| 2 | Giza 124 | Egypt (1998) | NA | NA | Naked | Giza 117/Bahtim 52//Giza 118/ FAO86 | [61] |
| 3 | Giza 125 | Egypt (1995) | NA | NA | Naked | Giza 117/Bahtim52//Giza 118/ FAO86(2) | [62] |
| 4 | Giza 126 | Egypt (1995) | MW391913 | MW336991 | Naked | Baladi Bahteem/S D729-Por12762-BC | [62] |
| 5 | Giza 129 | Egypt (2003) | NA | NA | Hull-less ** | Deir Alla106/Cel//As 46/Aths *2 | [63] |
| 6 | Giza 2000 | Egypt (2003) | NA | NA | Naked | Giza117/Bahteem52//Giza118/FAO86/3/Baladi16/Gem | [64] |
| 7 | Giza 130 | Egypt (2003) | NA | NA | Hull-less | Comp Cross 229//Bco.Mr./DZ02391/3/Deir Alla 106 | [63] |
| 8 | Giza 131 | Egypt (2003) | NA | NA | Hull-less | CM67-B/CENTENO/CAM-B/ROW 906.73/4/GLORIA-BAR-COME-B/5/FALCON-BAR/6/LINO | [65] |
| 9 | Giza 132 | Egypt (2006) | NA | NA | Naked | Rihane-05//As 46/Aths *2 Aths/Lignee 686 | [66] |
| 10 | Giza 133 | Egypt (2018) | NA | NA | Naked | Carbo/Gustoe | [67,68] |
| 11 | Giza 134 | Egypt (2019) | NA | NA | Naked | Alanda-01/4/WI2291/3/Api/CM67//L2966-69 | [67,68] |
| 12 | Giza 135 | Egypt (2019) | NA | NA | Hull-less | ZARZA/BERMEJO/4/DS4931//GLORIA-BAR/COPAL/3/SEN/5/AYAROSA | [69] |
| 13 | Giza 136 | Egypt (2019) | MW336987 | MW336990 | Hull-less ** | PLAISANT/7/CLN-B/4/S.P-B/LIGNEE640/3/S.P-B/GLORIA-BAR/COME-B/5/FALCON-BAR/6/LINO | [70] |
| 14 | Giza 137 | Egypt (2019) | NA | NA | Naked | Giza 118/4/Rhn-03/3/Mr25-//Att//Mari/Aths *3-02 | [32] |
| 15 | Giza 138 | Egypt (2019) | MW391914 | MW336989 | Naked * | Acsad1164/3/Mari/Aths *2//M-Att-73-337-1/5/Aths/lignee686/3/Deir Alla106//Sv.Asa/Attiki/4/Cen/Bglo.”S” | [32] |
Publisher’s Note: MDPI stays neutral with regard to jurisdictional claims in published maps and institutional affiliations. |
© 2021 by the authors. Licensee MDPI, Basel, Switzerland. This article is an open access article distributed under the terms and conditions of the Creative Commons Attribution (CC BY) license (https://creativecommons.org/licenses/by/4.0/).
Share and Cite
Mohamed, A.H.; Omar, A.A.; Attya, A.M.; Elashtokhy, M.M.A.; Zayed, E.M.; Rizk, R.M. Morphological and Molecular Characterization of Some Egyptian Six-Rowed Barley (Hordeum vulgare L.). Plants 2021, 10, 2527. https://doi.org/10.3390/plants10112527
Mohamed AH, Omar AA, Attya AM, Elashtokhy MMA, Zayed EM, Rizk RM. Morphological and Molecular Characterization of Some Egyptian Six-Rowed Barley (Hordeum vulgare L.). Plants. 2021; 10(11):2527. https://doi.org/10.3390/plants10112527
Chicago/Turabian StyleMohamed, Azza H., Ahmad A. Omar, Ahmed M. Attya, Mohamed M. A. Elashtokhy, Ehab M. Zayed, and Rehab M. Rizk. 2021. "Morphological and Molecular Characterization of Some Egyptian Six-Rowed Barley (Hordeum vulgare L.)" Plants 10, no. 11: 2527. https://doi.org/10.3390/plants10112527
APA StyleMohamed, A. H., Omar, A. A., Attya, A. M., Elashtokhy, M. M. A., Zayed, E. M., & Rizk, R. M. (2021). Morphological and Molecular Characterization of Some Egyptian Six-Rowed Barley (Hordeum vulgare L.). Plants, 10(11), 2527. https://doi.org/10.3390/plants10112527

