Expression of IDO1 and PD-L2 in Patients with Benign Lymphadenopathies and Association with Autoimmune Diseases
Abstract
1. Introduction
2. Materials and Methods
2.1. Immunohistochemical Stainings
2.2. Evaluation of IDO1 and PD-L2
2.3. Statistical Methods
3. Results
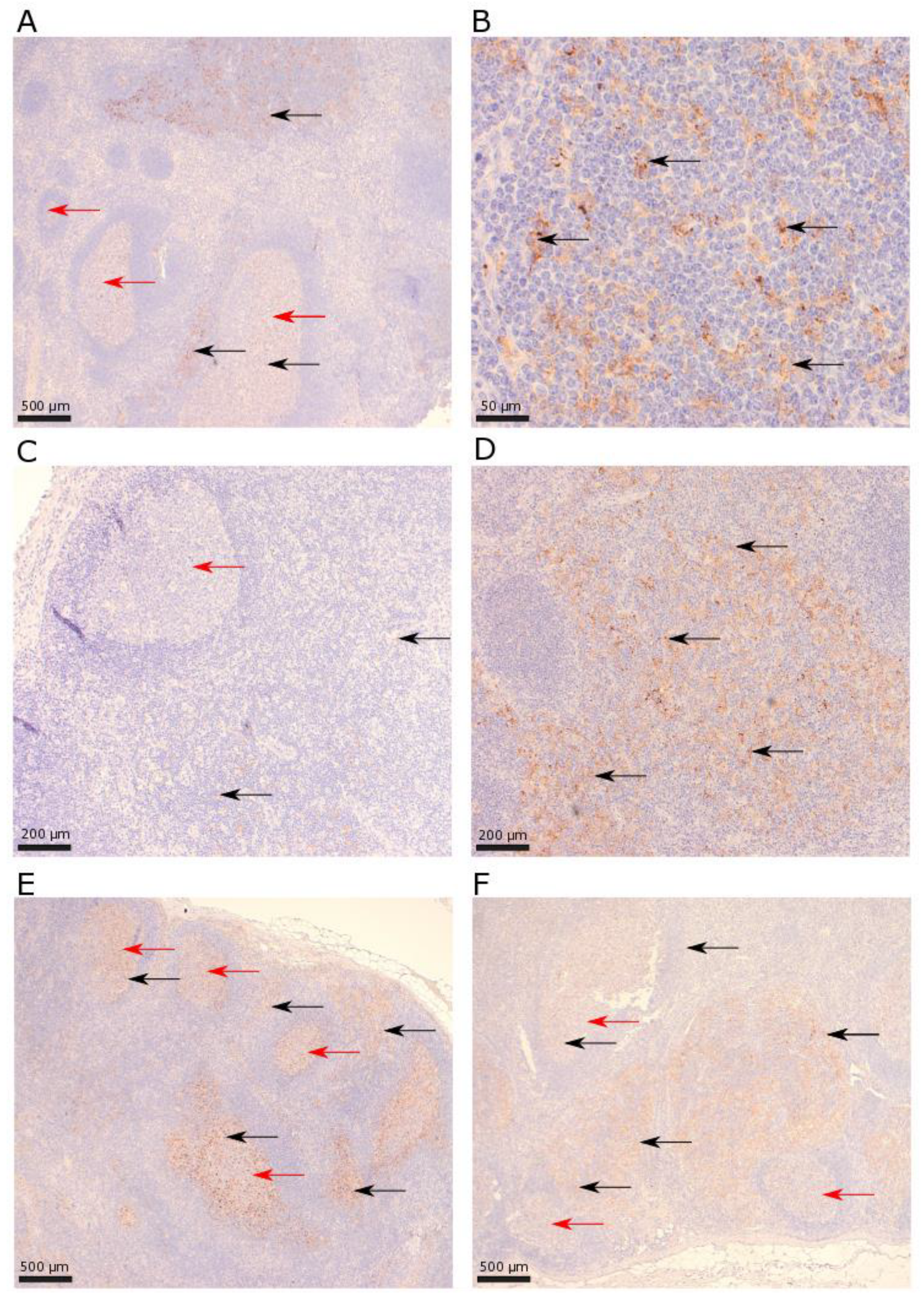
3.1. IDO1 in Follicular and Interfollicular Areas
3.2. IDO1 in Single Germinal Centers
3.3. PD-L2 in Follicular and Interfollicular Areas
3.4. Autoimmune Diseases and Association with IDO1 and PD-L2
3.5. Histopathologic Pattern and Relation to IDO1 and PD-L2
3.6. Localization of the Lymph Node Biopsy and Relation to IDO1
3.7. Subsequent Malignancies and Relation to PD-L2
3.8. Correlative Analyses
4. Discussion
4.1. Expression of IDO1 and Relation to EBV
4.2. IDO1 and PD-L2 and Relation to AD
4.3. Anatomical Localization of Lymph Node and IDO1
4.4. Expression of PD-L2 and PD-L1
4.5. PD-L2 and Subsequent Malignancies
4.6. Strengths and Weaknesses
5. Conclusions
Supplementary Materials
Author Contributions
Funding
Institutional Review Board Statement
Informed Consent Statement
Data Availability Statement
Acknowledgments
Conflicts of Interest
References
- Weiss, L.M.; O’Malley, D. Benign lymphadenopathies. Mod. Pathol. 2013, 26 (Suppl. S1), S88–S96. [Google Scholar] [CrossRef] [PubMed]
- Schwartz, N.; Chalasani, M.L.S.; Li, T.M.; Feng, Z.; Shipman, W.D.; Lu, T.T. Lymphatic Function in Autoimmune Diseases. Front. Immunol. 2019, 10, 519. [Google Scholar] [CrossRef]
- Smolen, J.S.; Aletaha, D.; McInnes, I.B. Rheumatoid arthritis. Lancet 2016, 388, 2023–2038. [Google Scholar] [CrossRef] [PubMed]
- Calguneri, M.; Ozturk, M.A.; Ozbalkan, Z.; Akdogan, A.; Ureten, K.; Kiraz, S.; Ertenli, I. Frequency of lymphadenopathy in rheumatoid arthritis and systemic lupus erythematosus. J. Int. Med. Res. 2003, 31, 345–349. [Google Scholar] [CrossRef]
- Benaglio, F.; Vitolo, B.; Scarabelli, M.; Binda, E.; Bugatti, S.; Caporali, R.; Montecucco, C.; Manzo, A. The draining lymph node in rheumatoid arthritis: Current concepts and research perspectives. Biomed. Res. Int. 2015, 2015, 420251. [Google Scholar] [CrossRef] [PubMed]
- Filippini, P.; Del Papa, N.; Sambataro, D.; Del Bufalo, A.; Locatelli, F.; Rutella, S. Emerging concepts on inhibitors of indoleamine 2,3-dioxygenase in rheumatic diseases. Curr. Med. Chem. 2012, 19, 5381–5393. [Google Scholar] [CrossRef] [PubMed]
- Frumento, G.; Rotondo, R.; Tonetti, M.; Damonte, G.; Benatti, U.; Ferrara, G.B. Tryptophan-derived catabolites are responsible for inhibition of T and natural killer cell proliferation induced by indoleamine 2,3-dioxygenase. J. Exp. Med. 2002, 196, 459–468. [Google Scholar] [CrossRef] [PubMed]
- Scott, G.N.; DuHadaway, J.; Pigott, E.; Ridge, N.; Prendergast, G.C.; Muller, A.J.; Mandik-Nayak, L. The immunoregulatory enzyme IDO paradoxically drives B cell-mediated autoimmunity. J. Immunol. 2009, 182, 7509–7517. [Google Scholar] [CrossRef] [PubMed]
- Merlo, L.M.F.; DuHadaway, J.B.; Montgomery, J.D.; Peng, W.D.; Murray, P.J.; Prendergast, G.C.; Caton, A.J.; Muller, A.J.; Mandik-Nayak, L. Differential Roles of IDO1 and IDO2 in T and B Cell Inflammatory Immune Responses. Front. Immunol. 2020, 11, 1861. [Google Scholar] [CrossRef]
- Williams, R.O. Exploitation of the IDO Pathway in the Therapy of Rheumatoid Arthritis. Int. J. Tryptophan Res. 2013, 6 (Suppl. S1), 67–73. [Google Scholar] [CrossRef] [PubMed]
- Pauken, K.E.; Torchia, J.A.; Chaudhri, A.; Sharpe, A.H.; Freeman, G.J. Emerging concepts in PD-1 checkpoint biology. Semin. Immunol. 2021, 52, 101480. [Google Scholar] [CrossRef] [PubMed]
- Han, Y.; Liu, D.; Li, L. PD-1/PD-L1 pathway: Current researches in cancer. Am. J. Cancer Res. 2020, 10, 727–742. [Google Scholar]
- Zhang, S.; Wang, L.; Li, M.; Zhang, F.; Zeng, X. The PD-1/PD-L pathway in rheumatic diseases. J. Formos. Med. Assoc. 2021, 120 Pt 1, 48–59. [Google Scholar] [CrossRef] [PubMed]
- Philips, E.A.; Garcia-Espana, A.; Tocheva, A.S.; Ahearn, I.M.; Adam, K.R.; Pan, R.; Mor, A.; Kong, X.-P. The structural features that distinguish PD-L2 from PD-L1 emerged in placental mammals. J. Biol. Chem. 2020, 295, 4372–4380. [Google Scholar] [CrossRef]
- Tong, M.; Fang, X.; Yang, J.; Wu, P.; Guo, Y.; Sun, J. Abnormal membrane-bound and soluble programmed death ligand 2 (PD-L2) expression in systemic lupus erythematosus is associated with disease activity. Immunol. Lett. 2020, 227, 96–101. [Google Scholar] [CrossRef] [PubMed]
- Greisen, S.R.; Kragstrup, T.W.; Thomsen, J.S.; Hansen, A.S.; Krishnamurthy, A.; Horslev-Petersen, K.; Hetland, M.L.; Stengaard-Pedersen, K.; Østergaard, M.; Ørnbjerg, L.M.; et al. Programmed death ligand 2—A link between inflammation and bone loss in rheumatoid arthritis. J. Transl. Autoimmun. 2020, 3, 100028. [Google Scholar] [CrossRef]
- Liu, J.; Chen, Z.; Li, Y.; Zhao, W.; Wu, J.; Zhang, Z. PD-1/PD-L1 Checkpoint Inhibitors in Tumor Immunotherapy. Front. Pharmacol. 2021, 12, 731798. [Google Scholar] [CrossRef]
- Pai, S.I.; Zandberg, D.P.; Strome, S.E. The role of antagonists of the PD-1:PD-L1/PD-L2 axis in head and neck cancer treatment. Oral Oncol. 2016, 61, 152–158. [Google Scholar] [CrossRef] [PubMed]
- Kong, X.; Lu, P.; Liu, C.; Guo, Y.; Yang, Y.; Peng, Y.; Wang, F.; Bo, Z.; Dou, X.; Shi, H.; et al. A combination of PD1/PDL1 inhibitors: The prospect of overcoming the weakness of tumor immunotherapy (Review). Mol. Med. Rep. 2021, 23, 362. [Google Scholar] [CrossRef]
- Tang, K.; Wu, Y.H.; Song, Y.; Yu, B. Indoleamine 2,3-dioxygenase 1 (IDO1) inhibitors in clinical trials for cancer immunotherapy. J. Hematol. Oncol. 2021, 14, 68. [Google Scholar] [CrossRef]
- Toki, M.I.; Kumar, D.; Ahmed, F.S.; Rimm, D.L.; Xu, M.L. Benign lymph node microenvironment is associated with response to immunotherapy. Precis. Clin. Med. 2020, 3, 44–53. [Google Scholar] [CrossRef] [PubMed]
- Sundstrom, C.; Hollander, P. Patients with autoimmune diseases have an altered activity of the PD-1 pathway and proportions of Epstein-Barr virus infected cells in benign lymphadenopathies. Immunobiology 2021, 226, 152069. [Google Scholar] [CrossRef] [PubMed]
- Abdulla, M.; Alexsson, A.; Sundstrom, C.; Ladenvall, C.; Mansouri, L.; Lindskog, C.; Berglund, M.; Cavelier, L.; Enblad, G.; Hollander, P.; et al. PD-L1 and IDO1 are potential targets for treatment in patients with primary diffuse large B-cell lymphoma of the, C.N.S. Acta Oncol. 2021, 60, 531–538. [Google Scholar] [CrossRef]
- Sawada, L.; Vallinoto, A.C.R.; Brasil-Costa, I. Regulation of the Immune Checkpoint Indoleamine 2,3-Dioxygenase Expression by Epstein-Barr Virus. Biomolecules 2021, 11, 1792. [Google Scholar] [CrossRef] [PubMed]
- Theate, I.; van Baren, N.; Pilotte, L.; Moulin, P.; Larrieu, P.; Renauld, J.C.; Hervé, C.; Gutierrez-Roelens, I.; Marbaix, E.; Sempoux, C.; et al. Extensive profiling of the expression of the indoleamine 2,3-dioxygenase 1 protein in normal and tumoral human tissues. Cancer Immunol. Res. 2015, 3, 161–172. [Google Scholar] [CrossRef] [PubMed]
- Liu, W.L.; Lin, Y.H.; Xiao, H.; Xing, S.; Chen, H.; Chi, P.D.; Zhang, G. Epstein-Barr virus infection induces indoleamine 2,3-dioxygenase expression in human monocyte-derived macrophages through p38/mitogen-activated protein kinase and NF-kappaB pathways: Impairment in T cell functions. J. Virol. 2014, 88, 6660–6671. [Google Scholar] [CrossRef]
- Bellmann-Weiler, R.; Schroecksnadel, K.; Holzer, C.; Larcher, C.; Fuchs, D.; Weiss, G. IFN-gamma mediated pathways in patients with fatigue and chronic active Epstein Barr virus-infection. J. Affect. Disord. 2008, 108, 171–176. [Google Scholar] [CrossRef]
- Loke, P.; Allison, J.P. PD-L1 and PD-L2 are differentially regulated by Th1 and Th2 cells. Proc. Natl. Acad. Sci. USA 2003, 100, 5336–5341. [Google Scholar] [CrossRef] [PubMed]
- Georganaki, M.; Ramachandran, M.; Tuit, S.; Nunez, N.G.; Karampatzakis, A.; Fotaki, G.; van Hooren, L.; Huang, H.; Lugano, R.; Ulas, T.; et al. Tumor endothelial cell up-regulation of IDO1 is an immunosuppressive feed-back mechanism that reduces the response to CD40-stimulating immunotherapy. Oncoimmunology 2020, 9, 1730538. [Google Scholar] [CrossRef]
- Ramstein, J.; Broos, C.E.; Simpson, L.J.; Ansel, K.M.; Sun, S.A.; Ho, M.E.; Woodruff, P.G.; Bhakta, N.R.; Christian, L.; Nguyen, C.P.; et al. IFN-gamma-Producing T-Helper 17.1 Cells Are Increased in Sarcoidosis and Are More Prevalent than T-Helper Type 1 Cells. Am. J. Respir. Crit. Care Med. 2016, 193, 1281–1291. [Google Scholar] [CrossRef] [PubMed]
- Su, R.; Nguyen, M.L.; Agarwal, M.R.; Kirby, C.; Nguyen, C.P.; Ramstein, J.; Darnell, E.P.; Gomez, A.D.; Ho, M.; Woodruff, P.G.; et al. Interferon-inducible chemokines reflect severity and progression in sarcoidosis. Respir. Res. 2013, 14, 121. [Google Scholar] [CrossRef]
- Meyer, K.C.; Arend, R.A.; Kalayoglu, M.V.; Rosenthal, N.S.; Byrne, G.I.; Brown, R.R. Tryptophan metabolism in chronic inflammatory lung disease. J. Lab. Clin. Med. 1995, 126, 530–540. [Google Scholar]
- Kojima, M.; Motoori, T.; Nakamura, S. Benign, atypical and malignant lymphoproliferative disorders in rheumatoid arthritis patients. Biomed. Pharmacother. 2006, 60, 663–672. [Google Scholar] [CrossRef]
- Garces, S.; Yin, C.C.; Miranda, R.N.; Patel, K.P.; Li, S.; Xu, J.; Thakral, B.; Poppiti, R.J.; Medina, A.M.; Sriganeshan, V.; et al. Clinical, histopathologic, and immunoarchitectural features of dermatopathic lymphadenopathy: An update. Mod. Pathol. 2020, 33, 1104–1121. [Google Scholar] [CrossRef]
- Abdulla, M.; Guglielmo, P.; Hollander, P.; Astrom, G.; Ahlstrom, H.; Enblad, G.; Amini, R. Prognostic impact of abdominal lymph node involvement in diffuse large B-cell lymphoma. Eur. J. Haematol. 2020, 104, 207–213. [Google Scholar] [CrossRef]
- Panjwani, P.K.; Charu, V.; DeLisser, M.; Molina-Kirsch, H.; Natkunam, Y.; Zhao, S. Programmed death-1 ligands PD-L1 and PD-L2 show distinctive and restricted patterns of expression in lymphoma subtypes. Hum. Pathol. 2018, 71, 91–99. [Google Scholar] [CrossRef]
- Ahmad, S.M.; Martinenaite, E.; Holmstrom, M.; Jorgensen, M.A.; Met, O.; Nastasi, C.; Klausen, U.; Donia, M.; Pedersen, L.M.; Munksgaard, L.; et al. The inhibitory checkpoint, PD-L2, is a target for effector T cells: Novel possibilities for immune therapy. Oncoimmunology 2018, 7, e1390641. [Google Scholar] [CrossRef]




| Variable | Interfollicular IDO1+ Cells ≥ 5%, n (%) n = 58 | Interfollicular IDO1+ Cells < 5%, n (%) n = 20 | p Value * | Follicular IDO1+ Cells ≥ 1% n = 17 | Follicular IDO1+ Cells < 1% n = 54 | p Value ** | Interfollicular PDL2+ Cells ≥ 5%, n (%) n = 40 | Interfollicular PDL2+ Cells < 5%, n (%) n = 38 | p Value *** | Follicular PDL2+ Cells ≥ 5% n = 44 | Follicular PDL2+ Cells < 5% n = 26 | p Value **** |
|---|---|---|---|---|---|---|---|---|---|---|---|---|
| Age | 0.93 | 0.66 | 0.99 | 0.76 | ||||||||
| <60 years | 38 (66) | 14 (70) | 10 (59) | 37 (69) | 27 (68) | 26 (68) | 30 (68 | 16 (62) | ||||
| ≥60 years | 20 (34) | 6 (30) | 7 (41) | 17 (31) | 13 (33) | 12 (32) | 14 (32) | 10 (38) | ||||
| Sex | 0.19 | 0.36 | 0.82 | 0.54 | ||||||||
| Male | 26 (45) | 13 (65) | 11 (65) | 26 (48) | 21 (53) | 18 (47) | 25 (57) | 12 (46) | ||||
| Female | 32 (55) | 7 (35) | 6 (35) | 28 (52) | 19 (48) | 20 (53) | 19 (43) | 14 (54) | ||||
| Autoimmune disease | 0.95 | 0.53 | 0.38 | 0.99 | ||||||||
| Yes | 15 (26) | 6 (30) | 3 (18) | 15 (28) | 13 (33) | 8 (21) | 11 (25) | 7 (27) | ||||
| No | 43 (74) | 14 (70) | 14 (82) | 39 (72) | 27 (68) | 30 (79) | 33 (75) | 19 (73) | ||||
| Missing | 0 (0) | 0 (0) | 0 (0) | 0 (0) | 0 (0) | 0 (0) | 0 (0) | 0 (0) | ||||
| RA, SLE, and/or Sjögren’s syndrome | 0.73 | 0.10 | 0.83 | 0.58 | ||||||||
| Yes | 9 (16) | 4 (20) | 0 (0) | 10 (19) | 7 (18) | 5 (13) | 5 (11) | 5 (19) | ||||
| No | 49 (84) | 16 (80) | 17 (100) | 44 (81) | 33 (83) | 33 (87) | 39 (89) | 21 (81) | ||||
| Missing | 0 (0) | 0 (0) | 0 (0) | 0 (0) | 0 (0) | 0 (0) | 0 (0) | 0 (0) | ||||
| Steroid and/or methotrexate treatment | 0.75 | 0.43 | 0.61 | 0.99 | ||||||||
| Yes | 9 (16) | 4 (18) | 1 (6) | 9 (17) | 8 (20) | 5 (13) | 6 (14) | 4 (15) | ||||
| No | 49 (84) | 18 (82) | 16 (94) | 45 (83) | 32 (80) | 33 (87) | 38 (86) | 22 (85) | ||||
| Missing | 0 (0) | 0 (0) | 0 (0) | 0 (0) | 0 (0) | 0 (0) | 0 (0) | 0 (0) | ||||
| Histopathological pattern ***** | 0.36 | 0.24 | 0.24 | <0.001 | ||||||||
| Follicular | 19 (33) | 7 (35) | 6 (35) | 20 (37) | 13 (33) | 13 (34) | 24 (55) | 2 (7) | ||||
| Paracortical | 15 (26) | 4 (20) | 3 (18) | 16 (30) | 10 (25) | 10 (26) | 8 (18) | 11 (42) | ||||
| Histiocytosis | 9 (16) | 3 (15) | 3 (18) | 9 (17) | 5 (13) | 7 (18) | 4 (9) | 7 (27) | ||||
| Granulomatous | 1 (2) | 0 (0) | 0 (0) | 1 (2) | 1 (3) | 0 (0) | 0 (0) | 1 (4) | ||||
| Necrosis | 1 (2) | 0 (0) | 0 (0) | 0 (0) | 0 (0) | 1 (3) | 0 (0) | 0 (0) | ||||
| Sclerosis | 1 (2) | 0 (0) | 0 (0) | 0 (0) | 1 (3) | 1 (3) | 0 (0) | 0 (0) | ||||
| Piringer | 2 (3) | 0 (0) | 2 (12) | 0 (0) | 0 (0) | 2 (5) | 1 (2) | 1 (4) | ||||
| Unremarkable | 9 (16) | 2 (10) | 3 (18) | 5 (9) | 9 (23) | 2 (5) | 5 (11) | 3 (12) | ||||
| Unclassifiable | 1 (2) | 4 (20) | 0 (0) | 3 (6) | 1 (3) | 3 (8) | 2 (5) | 1 (4) | ||||
| Lymph node localization | 0.03 | 0.54 | 0.39 | 0.43 | ||||||||
| Cervical | 24 (41) | 5 (26) | 9 (53) | 18 (34) | 16 (40) | 13 (34) | 19 (43) | 7 (27) | ||||
| Axilla | 18 (31) | 3 (16) | 4 (24) | 13 (25) | 12 (30) | 8 (21) | 10 (23) | 8 (31) | ||||
| Inguinal | 12 (21) | 6 (32) | 4 (24) | 3 (6) | 7 (18) | 11 (29) | 10 (23) | 7 (27) | ||||
| Mediastinum | 1 (2) | 2 (11) | 0 (0) | 3 (6) | 1 (3) | 3 (8) | 1 (2) | 2 (8) | ||||
| Abdomen | 2 (3) | 0 (0) | 0 (0) | 2 (4) | 0 (0) | 2 (5) | 1 (2) | 1 (4) | ||||
| Breast | 0 (0) | 1 (5) | 0 (0) | 1 (2) | 1 (3) | 0 (0) | 1 (2) | 0 (0) | ||||
| Face | 1 (2) | 1 (5) | 0 (0) | 1 (2) | 1 (3) | 1 (3) | 1 (2) | 0 (0) | ||||
| Leg | 0 (0) | 1 (5) | 0 (0) | 1 (2) | 1 (3) | 0 (0) | 1 (2) | 0 (0) | ||||
| Unknown | 0 (0) | 1 (5) | 0 (0) | 1 (2) | 1 (3) | 0 (0) | 0 (0) | 0 (0) | ||||
| Subsequent malignancy | 0.99 | 0.99 | 0.70 | 0.09 | ||||||||
| Yes | 5 (9) | 2 (10) | 2 (12) | 5 (9) | 3 (8) | 4 (11) | 2 (5) | 5 (19) | ||||
| No | 53 (91) | 18 (90) | 15 (88) | 48 (89) | 37 (93) | 33 (87) | 41 (93) | 21 (81) | ||||
| Missing | 0 (0) | 0 (10) | 0 (0) | 1 (2) | 0 (0) | 1 (3) | 1 (2) | 0 (0) | ||||
| Follicular IDO1+ Cells | Interfollicular PD-L2+ Cells | Follicular PD-L2+ Cells | Interfollicular PD-1+ Cells | Follicular PD-1+ Cells | Interfollicular PD-L1+ Cells | Follicular PD-L1+ Cells | Interfollicular EBV+ Cells | Follicular EBV+ Cells | |
|---|---|---|---|---|---|---|---|---|---|
| Interfollicular IDO1+ cells | 0.39 <0.001 | −0.01 0.92 | 0.005 0.97 | −0.15 0.19 | −0.16 0.18 | 0.30 0.007 | 0.16 0.18 | 0.32 0.004 | 0.05 0.66 |
| Follicular IDO1+ cells | −0.09 0.48 | 0.18 0.15 | −0.12 0.31 | 0.09 0.48 | 0.28 0.02 | 0.22 0.06 | 0.34 0.004 | 0.18 0.12 | |
| Interfollicular PD-L2+ cells | 0.19 0.12 | 0.10 0.39 | −0.04 0.74 | 0.10 0.39 | −0.06 0.65 | −0.10 0.36 | 0.01 0.95 | ||
| Follicular PD-L2+ cells | 0.20 0.09 | 0.15 0.21 | 0.08 0.49 | 0.37 0.002 | 0.16 0.19 | 0.21 0.09 |
Disclaimer/Publisher’s Note: The statements, opinions and data contained in all publications are solely those of the individual author(s) and contributor(s) and not of MDPI and/or the editor(s). MDPI and/or the editor(s) disclaim responsibility for any injury to people or property resulting from any ideas, methods, instructions or products referred to in the content. |
© 2023 by the authors. Licensee MDPI, Basel, Switzerland. This article is an open access article distributed under the terms and conditions of the Creative Commons Attribution (CC BY) license (https://creativecommons.org/licenses/by/4.0/).
Share and Cite
Abdulla, M.; Sundström, C.; Lindskog, C.; Hollander, P. Expression of IDO1 and PD-L2 in Patients with Benign Lymphadenopathies and Association with Autoimmune Diseases. Biomolecules 2023, 13, 240. https://doi.org/10.3390/biom13020240
Abdulla M, Sundström C, Lindskog C, Hollander P. Expression of IDO1 and PD-L2 in Patients with Benign Lymphadenopathies and Association with Autoimmune Diseases. Biomolecules. 2023; 13(2):240. https://doi.org/10.3390/biom13020240
Chicago/Turabian StyleAbdulla, Maysaa, Christer Sundström, Cecilia Lindskog, and Peter Hollander. 2023. "Expression of IDO1 and PD-L2 in Patients with Benign Lymphadenopathies and Association with Autoimmune Diseases" Biomolecules 13, no. 2: 240. https://doi.org/10.3390/biom13020240
APA StyleAbdulla, M., Sundström, C., Lindskog, C., & Hollander, P. (2023). Expression of IDO1 and PD-L2 in Patients with Benign Lymphadenopathies and Association with Autoimmune Diseases. Biomolecules, 13(2), 240. https://doi.org/10.3390/biom13020240

