A Homozygous Dab1−/− Is a Potential Novel Cause of Autosomal Recessive Congenital Anomalies of the Mice Kidney and Urinary Tract
Abstract
1. Introduction
2. Materials and Methods
2.1. Sample Collection
2.2. Immunofluorescence and Immunoperoxidase Staining
2.3. Tissue Preparation for Transmission Electron Microscope (TEM)
2.4. Data Acquisition and Analysis
2.5. Statistical Analysis
3. Results
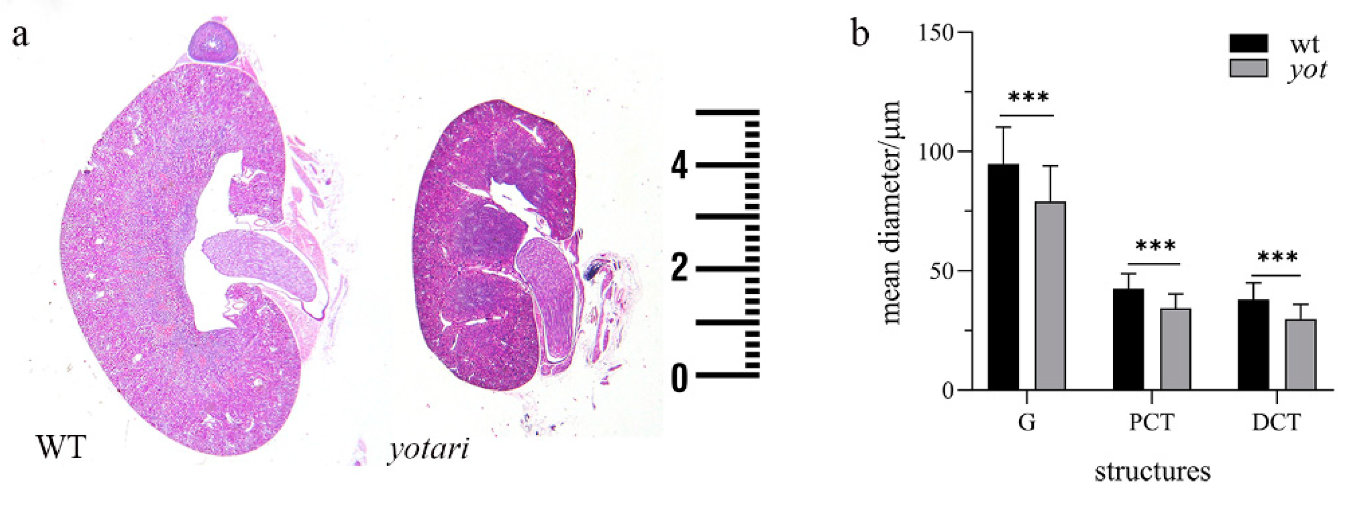
3.1. Hematoxylin-Eosin Staining (H&E) and Measurement of Kidney Diameter
3.2. Descriptive Histological Analysis Based on TEM Microphotographs
3.3. Localization and Colocalization of Reelin and DAB1
3.4. Spatial and Temporal Expression Patterns of NOTCH2 and LC3B
3.5. Cleaved CASP-3 Expression
4. Discussion
Author Contributions
Funding
Institutional Review Board Statement
Informed Consent Statement
Data Availability Statement
Conflicts of Interest
References
- Yoneshima, H.; Nagata, E.; Matsumoto, M.; Yamada, M.; Nakajima, K.; Miyata, T.; Ogawa, M.; Mikoshiba, K. A novel neurological mutant mouse, yotari, which exhibits reeler -like phenotype but expresses CR-50 antigen/Reelin. Neurosci. Res. 1997, 29, 217–223. [Google Scholar] [CrossRef]
- Yoshihara, Y.; Setsu, T.; Katsuyama, Y.; Kikkawa, S.; Terashima, T.; Maeda, K. Cortical layer V neurons in the auditory and visual cortices of normal, reeler, and yotari mice. Kobe J. Med. Sci. 2010, 56, 50–59. [Google Scholar]
- Sheldon, M.; Rice, D.S.; D’Arcangelo, G.; Yoneshima, H.; Nakajima, K.; Mikoshiba, K.; Howell, B.W.; Cooper, J.A.; Goldowitz, D.; Curran, T. Scrambler and yotari disrupt the disabled gene and produce a reeler -like phenotype in mice. Nat. Cell Biol. 1997, 389, 730–733. [Google Scholar] [CrossRef] [PubMed]
- De Rouvroit, C.L.; Goffinet, A.M. The reeler mouse as a model of brain development. Adv. Anat. Embryol. Cell Boil. 1998, 150, 1–106. [Google Scholar]
- Imai, H.; Shoji, H.; Ogata, M.; Kagawa, Y.; Owada, Y.; Miyakawa, T.; Sakimura, K.; Terashima, T.; Katsuyama, Y. Dorsal Forebrain-Specific Deficiency of Reelin-Dab1 Signal Causes Behavioral Abnormalities Related to Psychiatric Disorders. Cereb. Cortex 2017, 27, 3485–3501. [Google Scholar] [CrossRef]
- Akahane, A.; Kunugi, H.; Tanaka, H.; Nanko, S. Association analysis of polymorphic CGG repeat in 5′ UTR of the reelin and VLDLR genes with schizophrenia. Schizophr. Res. 2002, 58, 37–41. [Google Scholar] [CrossRef]
- Persico, A.; D’Agruma, L.; Maiorano, N.; Totaro, A.; Militerni, R.; Bravaccio, C.; Wassink, T.; Schneider, C.; Melmed, R.; Trillo, S.; et al. Reelin gene alleles and haplotypes as a factor predisposing to autistic disorder. Mol. Psychiatry 2001, 6, 150–159. [Google Scholar] [CrossRef]
- Gao, Z.; Chen, X.; Zhu, K.; Zeng, P.; Ding, G. Dab1 Contributes to Angiotensin II-Induced Apoptosis via p38 Signaling Pathway in Podocytes. Biomed. Res. Int. 2017, 2017, 1–11. [Google Scholar] [CrossRef] [PubMed]
- Racetin, A.; Jurić, M.; Filipović, N.; Šolić, I.; Kosović, I.; Durdov, M.G.; Kunac, N.; Tomaš, S.Z.; Saraga, M.; Šoljić, V.; et al. Expression and localization of DAB1 and Reelin during normal human kidney development. Croat. Med. J. 2019, 60, 521–531. [Google Scholar] [CrossRef] [PubMed]
- Ikeda, Y.; Terashima, T. Expression of reelin, the gene responsible for the reeler mutation, in embryonic development and adulthood in the mouse. Dev. Dyn. 1997, 210, 157–172. [Google Scholar] [CrossRef]
- Smalheiser, N.R.; Costa, E.; Guidotti, A.; Impagnatiello, F.; Auta, J.; Lacor, P.; Kriho, V.; Pappas, G.D. Expression of reelin in adult mammalian blood, liver, pituitary pars intermedia, and adrenal chromaffin cells. Proc. Natl. Acad. Sci. USA 2000, 97, 1281–1286. [Google Scholar] [CrossRef]
- Sirin, Y.; Susztak, K. Notch in the kidney: Development and disease. J. Pathol. 2012, 226, 394–403. [Google Scholar] [CrossRef]
- Cheng, H.-T.; Kim, M.; Valerius, M.T.; Surendran, K.; Schuster-Gossler, K.; Gossler, A.; McMahon, A.P.; Kopan, R. Notch2, but not Notch1, is required for proximal fate acquisition in the mammalian nephron. Development 2007, 134, 801–811. [Google Scholar] [CrossRef] [PubMed]
- Artavanis-Tsakonas, S.; Rand, M.D.; Lake, R.J. Notch Signaling: Cell Fate Control and Signal Integration in Development. Science 1999, 284, 770–776. [Google Scholar] [CrossRef] [PubMed]
- Sweetwyne, M.T.; Tao, J.; Susztak, K. Kick it up a notch: Notch signaling and kidney fibrosis. Kidney Int. Suppl. 2014, 4, 91–96. [Google Scholar] [CrossRef] [PubMed]
- Zhang, C.; Li, W.; Wen, J.; Yang, Z. Autophagy is involved in mouse kidney development and podocyte differentiation regulated by Notch signalling. J. Cell. Mol. Med. 2017, 21, 1315–1328. [Google Scholar] [CrossRef] [PubMed]
- Liu, W.J.; Li, Z.-H.; Chen, X.-C.; Zhao, X.-L.; Zhong, Z.; Yang, C.; Wu, H.-L.; Zhi-Hang, L.; Li, W.-Y.; Liu, H.-F. Blockage of the lysosome-dependent autophagic pathway contributes to complement membrane attack complex-induced podocyte injury in idiopathic membranous nephropathy. Sci. Rep. 2017, 7, 1–18. [Google Scholar] [CrossRef]
- Zeng, C.; Fan, Y.; Wu, J.; Shi, S.; Chen, Z.; Zhong, Y.; Zhang, C.; Zen, K.; Liu, Z. Podocyte autophagic activity plays a protective role in renal injury and delays the progression of podocytopathies. J. Pathol. 2014, 234, 203–213. [Google Scholar] [CrossRef]
- Ogawa-Akiyama, A.; Sugiyama, H.; Kitagawa, M.; Tanaka, K.; Kano, Y.; Mise, K.; Otaka, N.; Tanabe, K.; Morinaga, H.; Kinomura, M.; et al. Podocyte autophagy is associated with foot process effacement and proteinuria in patients with minimal change nephrotic syndrome. PLoS ONE 2020, 15, e0228337. [Google Scholar] [CrossRef] [PubMed]
- Xiong, J.; Xia, M.; Xu, M.; Zhang, Y.; Abais, J.M.; Li, G.; Riebling, C.R.; Ritter, J.K.; Boini, K.M.; Li, P. Autophagy maturation associated with CD 38-mediated regulation of lysosome function in mouse glomerular podocytes. J. Cell. Mol. Med. 2013, 17, 1598–1607. [Google Scholar] [CrossRef]
- Koukourakis, M.I.; Kalamida, D.; Giatromanolaki, A.; Zois, C.E.; Sivridis, E.; Pouliliou, S.; Mitrakas, A.; Gatter, K.C.; Harris, A.L. Autophagosome Proteins LC3A, LC3B and LC3C Have Distinct Subcellular Distribution Kinetics and Expression in Cancer Cell Lines. PLoS ONE 2015, 10, e0137675. [Google Scholar] [CrossRef] [PubMed]
- Bard, J.B. Growth and death in the developing mammalian kidney: Signals, receptors and conversations. BioEssays 2002, 24, 72–82. [Google Scholar] [CrossRef] [PubMed]
- Priante, G.; Gianesello, L.; Ceol, M.; Del Prete, D.; Anglani, F. Cell Death in the Kidney. Int. J. Mol. Sci. 2019, 20, 3598. [Google Scholar] [CrossRef] [PubMed]
- Howell, B.W.; Hawkes, R.; Soriano, P.; Cooper, J.A. Neuronal position in the developing brain is regulated by mouse disabled-1. Nat. Cell Biol. 1997, 389, 733–737. [Google Scholar] [CrossRef] [PubMed]
- Agnić, I.; Vukojević, K.; Saraga-Babić, M.; Filipović, N.; Grković, I. Isoflurane post-conditioning stimulates the proliferative phase of myocardial recovery in an ischemia-reperfusion model of heart injury in rats. Histol. Histopathol. 2013, 29, 89–99. [Google Scholar] [PubMed]
- Uljevic, M.V.; Bočina, I.; Restovic, I.; Kunac, N.; Mašek, T.; Kretzschmar, G.; Grobe, M.; Šarić, M.; Vukojevic, K.; Saraga-Babic, M.; et al. Reabsorption in the proximal tubuli—ultrastructural evidence for a novel aspect of renal VEGF trafficking. Cell Tissue Res. 2018, 374, 189–201. [Google Scholar] [CrossRef]
- Cicchetti, D.V. Guidelines, Criteria and Rules of Thumb for Evaluating Normed and Standardized Assessment Instruments in Psychology. Psychol. Assess. 1994, 6, 284–290. [Google Scholar] [CrossRef]
- Loane, M.; Dolk, H.; Kelly, A.; Teljeur, C.; Greenlees, R.; Densem, J.; a EUROCAT Working Group. Paper 4: EUROCAT statistical monitoring: Identification and investigation of ten year trends of congenital anomalies in Europe. Birth Defects Res. Part. A Clin. Mol. Teratol. 2011, 91, S31–S43. [Google Scholar] [CrossRef] [PubMed]
- Hildebrandt, F. Genetic kidney diseases. Lancet 2010, 375, 1287–1295. [Google Scholar] [CrossRef]
- Nicolaou, N.; Renkema, K.Y.; Bongers, E.M.H.F.; Giles, R.H.; Knoers, N.V.A.M. Genetic, environmental, and epigenetic factors involved in CAKUT. Nat. Rev. Nephrol. 2015, 11, 720–731. [Google Scholar] [CrossRef] [PubMed]
- Bonsib, S.M. Renal Hypoplasia, From Grossly Insufficient to Not Quite Enough: Consideration for Expanded Concepts Based Upon the Author’s Perspective With Historical Review. Adv. Anat. Pathol. 2020, 27, 311–330. [Google Scholar] [CrossRef]
- Garg, P. A Review of Podocyte Biology. Am. J. Nephrol. 2018, 47, 3–13. [Google Scholar] [CrossRef]
- Asanuma, K.; Akiba-Takagi, M.; Kodama, F.; Asao, R.; Nagai, Y.; Lydia, A.; Fukuda, H.; Tanaka, E.; Shibata, T.; Takahara, H.; et al. Dendrin Location in Podocytes Is Associated with Disease Progression in Animal and Human Glomerulopathy. Am. J. Nephrol. 2011, 33, 537–549. [Google Scholar] [CrossRef]
- Nürnberger, J.; Feldkamp, T.; Kavapurackal, R.; Saez, A.O.; Becker, J.; Hörbelt, M.; Kribben, A. N-cadherin is depleted from proximal tubules in experimental and human acute kidney injury. Histochem. Cell Biol. 2010, 133, 641–649. [Google Scholar] [CrossRef] [PubMed]
- Awazu, M.; Omori, S.; Hida, M. MAP kinase in renal development. Nephrol. Dial. Transplant. 2002, 17, 5–7. [Google Scholar] [CrossRef]
- De Santis, M.C.; Sala, V.; Martini, M.; Ferrero, G.B.; Hirsch, E. PI3K Signaling in Tissue Hyper-Proliferation: From Overgrowth Syndromes to Kidney Cysts. Cancers 2017, 9, 30. [Google Scholar] [CrossRef]
- Murea, M.; Park, J.-K.; Sharma, S.; Kato, H.; Gruenwald, A.; Niranjan, T.; Si, H.; Thomas, D.B.; Pullman, J.M.; Melamed, M.L.; et al. Expression of Notch pathway proteins correlates with albuminuria, glomerulosclerosis, and renal function. Kidney Int. 2010, 78, 514–522. [Google Scholar] [CrossRef]
- Tanaka, E.; Asanuma, K.; Kim, E.; Sasaki, Y.; Trejo, J.A.O.; Seki, T.; Nonaka, K.; Asao, R.; Nagai-Hosoe, Y.; Akiba-Takagi, M.; et al. Notch2 activation ameliorates nephrosis. Nat. Commun. 2014, 5, 3296. [Google Scholar] [CrossRef]
- Sweetwyne, M.T.; Gruenwald, A.; Niranjan, T.; Nishinakamura, R.; Strobl, L.J.; Susztak, K. Notch1 and Notch2 in Podocytes Play Differential Roles During Diabetic Nephropathy Development. Diabetes 2015, 64, 4099–4111. [Google Scholar] [CrossRef] [PubMed]
- Hartleben, B.; Gödel, M.; Meyer-Schwesinger, C.; Liu, S.; Ulrich, T.; Köbler, S.; Wiech, T.; Grahammer, F.; Arnold, S.J.; Lindenmeyer, M.T.; et al. Autophagy influences glomerular disease susceptibility and maintains podocyte homeostasis in aging mice. J. Clin. Investig. 2010, 120, 1084–1096. [Google Scholar] [CrossRef]
- Asanuma, K.; Tanida, I.; Shirato, I.; Ueno, T.; Takahara, H.; Nishitani, T.; Kominami, E.; Tomino, Y. MAP-LC3, a promising autophagosomal marker, is processed during the differentiation and recovery of podocytes from PAN nephrosis. FASEB J. 2003, 17, 1165–1167. [Google Scholar] [CrossRef]
- Wang, Z.; Choi, M.E. Autophagy in Kidney Health and Disease. Antioxid. Redox Signal. 2014, 20, 519–537. [Google Scholar] [CrossRef] [PubMed]
- Yi, M.; Zhang, L.; Liu, Y.; Livingston, M.J.; Chen, J.-K.; Nahman, N.S.; Liu, F.; Dong, Z. Autophagy is activated to protect against podocyte injury in adriamycin-induced nephropathy. Am. J. Physiol. Physiol. 2017, 313, F74–F84. [Google Scholar] [CrossRef] [PubMed]
- Kawakami, T.; Gomez, I.G.; Ren, S.; Hudkins, K.; Roach, A.; Alpers, C.E.; Shankland, S.J.; D’Agati, V.D.; Duffield, J.S. Deficient Autophagy Results in Mitochondrial Dysfunction and FSGS. J. Am. Soc. Nephrol. 2014, 26, 1040–1052. [Google Scholar] [CrossRef] [PubMed]
- Oshima, Y.; Kinouchi, K.; Ichihara, A.; Sakoda, M.; Kurauchi-Mito, A.; Bokuda, K.; Narita, T.; Kurosawa, H.; Sun-Wada, G.-H.; Wada, Y.; et al. Prorenin Receptor Is Essential for Normal Podocyte Structure and Function. J. Am. Soc. Nephrol. 2011, 22, 2203–2212. [Google Scholar] [CrossRef]
- Riediger, F.; Quack, I.; Qadri, F.; Hartleben, B.; Park, J.-K.; Potthoff, S.A.; Sohn, D.; Sihn, G.; Rousselle, A.; Fokuhl, V.; et al. Prorenin Receptor Is Essential for Podocyte Autophagy and Survival. J. Am. Soc. Nephrol. 2011, 22, 2193–2202. [Google Scholar] [CrossRef] [PubMed]
- Li, X.; Zhu, Q.; Zheng, R.; Yan, J.; Wei, M.; Fan, Y.; Deng, Y.; Zhong, Y. Puerarin Attenuates Diabetic Nephropathy by Promoting Autophagy in Podocytes. Front. Physiol. 2020, 11, 73. [Google Scholar] [CrossRef] [PubMed]
- Zhao, Y.; Feng, X.; Li, B.; Sha, J.; Wang, C.; Yang, T.; Cui, H.; Fan, H. Dexmedetomidine Protects Against Lipopolysaccharide-Induced Acute Kidney Injury by Enhancing Autophagy Through Inhibition of the PI3K/AKT/mTOR Pathway. Front. Pharmacol. 2020, 11, 128. [Google Scholar] [CrossRef]





| Primary Antibodies | Secondary Antibodies | ||
|---|---|---|---|
| Type and Supplier | Dilution Ratio | Type and Supplier | Dilution Ratio |
| Rabbit polyclonal anti-Dab1 (ab 78200, Abcam, Cambridge, UK) | 1:400 | Alexa Fluor 488 AffiniPure donkey polyclonal anti-rabbit IgG (Jackson IR, 711-545-152) | 1:400 |
| Mouse monoclonal anti-reelin (sc 25346, Santa Cruz Biotechnology, Dallas, USA) | 1:70 | Rhodamine RedTM-X AffiniPure donkey anti-mouse IgG (Jackson IR, 715-295-151) | 1:400 |
| Rabbit polyclonal anti-Notch2 (ab 8926, Abcam, Cambridge, UK) | 1:200 | Alexa Fluor 488 AffiniPure donkey polyclonal anti-rabbit IgG (Jackson IR, 711-545-152) | 1:400 |
| Rabbit polyclonal anti-LC3B (ab 48394, Abcam, Cambridge, UK) | 1:300 | Alexa Fluor 488 AffiniPure donkey polyclonal anti-rabbit IgG (Jackson IR, 711-545-152) | 1:400 |
| Antibody | |||||||||||||
|---|---|---|---|---|---|---|---|---|---|---|---|---|---|
| Postnatal Day (P) | Animal | REELIN | DAB 1 | NOTCH2 | LC3B | ||||||||
| G | PCT | DCT | G | PCT | DCT | G | PCT | DCT | G | PCT | DCT | ||
| 4 | yot | ++ | +++ | + | n/a | n/a | n/a | + | + | + | +++ | ++ | ++ |
| wt | − | +++ | + | − | + | +++ | ++ | + | + | ++ | + | ++ | |
| 11 | yot | − | ++ | + | n/a | n/a | n/a | + | + | ++ | ++ | + | ++ |
| wt | + | ++ | − | + | + | +++ | + | + | ++ | ++ | + | ++ | |
| 14 | yot | ++ | ++ | + | n/a | n/a | n/a | ++ | ++ | +++ | ++ | + | ++ |
| wt | + | + | − | + | + | +++ | + | + | ++ | ++ | + | ++ | |
Publisher’s Note: MDPI stays neutral with regard to jurisdictional claims in published maps and institutional affiliations. |
© 2021 by the authors. Licensee MDPI, Basel, Switzerland. This article is an open access article distributed under the terms and conditions of the Creative Commons Attribution (CC BY) license (https://creativecommons.org/licenses/by/4.0/).
Share and Cite
Racetin, A.; Filipović, N.; Lozić, M.; Ogata, M.; Gudelj Ensor, L.; Kelam, N.; Kovačević, P.; Watanabe, K.; Katsuyama, Y.; Saraga-Babić, M.; et al. A Homozygous Dab1−/− Is a Potential Novel Cause of Autosomal Recessive Congenital Anomalies of the Mice Kidney and Urinary Tract. Biomolecules 2021, 11, 609. https://doi.org/10.3390/biom11040609
Racetin A, Filipović N, Lozić M, Ogata M, Gudelj Ensor L, Kelam N, Kovačević P, Watanabe K, Katsuyama Y, Saraga-Babić M, et al. A Homozygous Dab1−/− Is a Potential Novel Cause of Autosomal Recessive Congenital Anomalies of the Mice Kidney and Urinary Tract. Biomolecules. 2021; 11(4):609. https://doi.org/10.3390/biom11040609
Chicago/Turabian StyleRacetin, Anita, Natalija Filipović, Mirela Lozić, Masaki Ogata, Larissa Gudelj Ensor, Nela Kelam, Petra Kovačević, Koichiro Watanabe, Yu Katsuyama, Mirna Saraga-Babić, and et al. 2021. "A Homozygous Dab1−/− Is a Potential Novel Cause of Autosomal Recessive Congenital Anomalies of the Mice Kidney and Urinary Tract" Biomolecules 11, no. 4: 609. https://doi.org/10.3390/biom11040609
APA StyleRacetin, A., Filipović, N., Lozić, M., Ogata, M., Gudelj Ensor, L., Kelam, N., Kovačević, P., Watanabe, K., Katsuyama, Y., Saraga-Babić, M., Glavina Durdov, M., & Vukojević, K. (2021). A Homozygous Dab1−/− Is a Potential Novel Cause of Autosomal Recessive Congenital Anomalies of the Mice Kidney and Urinary Tract. Biomolecules, 11(4), 609. https://doi.org/10.3390/biom11040609

