Anti-Inflammatory Functions of Alverine via Targeting Src in the NF-κB Pathway
Abstract
1. Introduction
2. Materials and Methods
2.1. Materials
2.2. Cell Culture and Preparation of Drugs
2.3. Determination of NO
2.4. Cell Viability Test
2.5. mRNA Analyses Using Reverse Transcriptase Polymerase Chain Reaction
2.6. Luciferase Reporter Gene Assay
2.7. Preparation of Whole Cell Lysates and Western Blotting Analysis
2.8. Cellular Thermal Shift Assay
2.9. HCl/EtOH-Induced Acute Gastritis
2.10. Statistical Analysis
3. Results
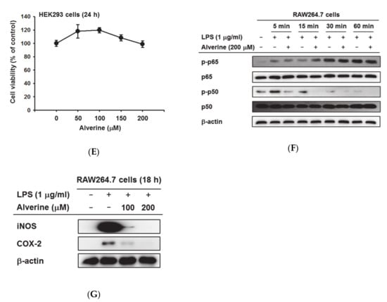
3.1. Alverine Inhibited NO Production in Macrophage-Like RAW264.7 Cells
3.2. Alverine Suppressed iNOS, COX-2, and TNF-α mRNA Expression through NF-κB Inhibition
3.3. Alverine Regulated Upstream NF-κB Signaling Proteins by Targeting Src Kinase in LPS-Activated RAW264.7 Cells
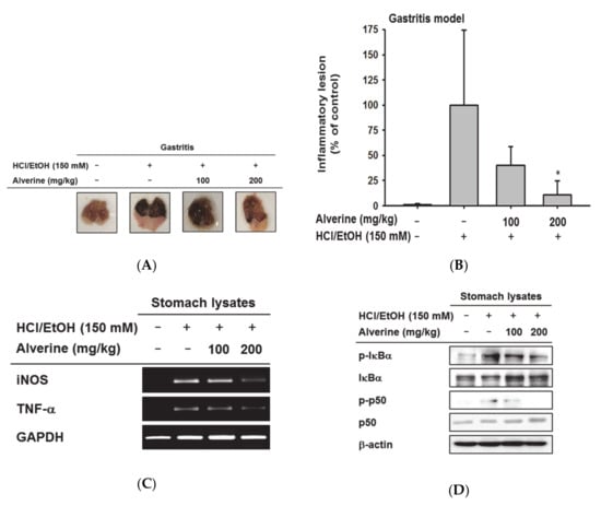
3.4. Alverine Exerted Anti-Inflammatory Effects in an HCL/EtOH-Induced Gastritis Mice Model
4. Discussion
5. Conclusions
Supplementary Materials
Author Contributions
Funding
Conflicts of Interest
Abbreviations
| PAMPs | Pathogen-associated molecular patterns |
| PRRs | Pattern recognition receptors |
| TLRs | Toll-like receptors |
| MYD88 | Myeloid differentiation primary response 88 |
| TRIF | TIR-domain-containing adapter-inducing interferon-β |
| COX-2 | Cyclooxygenase-2 |
| IL | Interleukin |
| NO | Nitric oxide |
| Pred | Prednisolone |
| TNF-α | Tumor necrosis factor-alpha |
| AP-1 | Activator protein 1 |
| IP | Intraperitoneal |
| NOS | NO synthases |
References
- Newton, K.; Dixit, V.M. Signaling in innate immunity and inflammation. Cold Spring Harb. Perspect. Biol. 2012, 4, a006049. [Google Scholar] [CrossRef] [PubMed]
- Kim, J.H.; Yi, Y.S.; Kim, M.Y.; Cho, J.Y. Role of ginsenosides, the main active components of Panax ginseng, in inflammatory responses and diseases. J. Ginseng Res. 2017, 41, 435–443. [Google Scholar] [CrossRef] [PubMed]
- Shacter, E.; Weitzman, S.A. Chronic inflammation and cancer. Oncology 2002, 16, 217–226. [Google Scholar] [PubMed]
- Fujihara, M.; Muroi, M.; Tanamoto, K.; Suzuki, T.; Azuma, H.; Ikeda, H. Molecular mechanisms of macrophage activation and deactivation by lipopolysaccharide: Roles of the receptor complex. Pharmacol. Ther. 2003, 100, 171. [Google Scholar] [CrossRef] [PubMed]
- Guha, M.; Mackman, N. LPS induction of gene expression in human monocytes. Cell Signal. 2001, 13, 85–94. [Google Scholar] [CrossRef]
- Byeon, S.E.; Yi, Y.-S.; Oh, J.; Yoo, B.C.; Hong, S.; Cho, J.Y. The role of Src kinase in macrophage-mediated inflammatory responses. Mediators Inflamm. 2012, 2012, 512926. [Google Scholar] [CrossRef]
- Okutani, D.; Lodyga, M.; Han, B.; Liu, M. Src protein tyrosine kinase family and acute inflammatory responses. Am. J. Physiol. Lung Cell Mol. Physiol. 2006, 291, L129–L141. [Google Scholar] [CrossRef]
- Pleiman, C.M.; Hertz, W.M.; Cambier, J.C. Activation of phosphatidylinositol-3′kinase by Src-family kinase SH3 binding to the p85 subunit. Science 1994, 263, 1609–1612. [Google Scholar] [CrossRef]
- Kim, E.; Yi, Y.S.; Son, Y.J.; Han, S.Y.; Kim, D.H.; Nam, G.; Hossain, M.A.; Kim, J.H.; Park, J.; Cho, J.Y. BIOGF1K, a compound K-rich fraction of ginseng, plays an antiinflammatory role by targeting an activator protein-1 signaling pathway in RAW264.7 macrophage-like cells. J. Ginseng Res. 2018, 42, 233–237. [Google Scholar] [CrossRef]
- Tang, C.-H.; Hsu, C.-J.; Yang, W.-H.; Fong, Y.-C. Lipoteichoic acid enhances IL-6 production in human synovial fibroblasts via TLR2 receptor, PKCδ and c-Src dependent pathways. Biochem. Pharmacol. 2010, 79, 1648–1657. [Google Scholar] [CrossRef]
- Lee, J.O.; Choi, E.; Shin, K.K.; Hong, Y.H.; Kim, H.G.; Jeong, D.; Hossain, M.A.; Kim, H.S.; Yi, Y.S.; Kim, D.; et al. Compound K, a ginsenoside metabolite, plays an antiinflammatory role in macrophages by targeting the AKT1-mediated signaling pathway. J. Ginseng Res. 2019, 43, 154–160. [Google Scholar] [CrossRef] [PubMed]
- Mitchell, S.; Mee, A.; Smith, G.; Palmer, K.; Chapman, R. Alverine citrate fails to relieve the symptoms of irritable bowel syndrome: Results of a double-blind, randomized, placebo-controlled trial. Aliment. Pharmacol. Ther. 2002, 16, 1187–1195. [Google Scholar] [CrossRef] [PubMed]
- Coelho, A.M.; Jacob, L.; Fioramonti, J.; Bueno, L. Rectal antinociceptive properties of alverine citrate are linked to antagonism at the 5-HT1A receptor subtype. J. Pharm. Pharmacol. 2001, 53, 1419–1426. [Google Scholar] [CrossRef]
- Hayase, M.; Hashitani, H.; Suzuki, H.; Kohri, K.; Brading, A. Evolving mechanisms of action of alverine citrate on phasic smooth muscles. Br. J. Pharmacol. 2007, 152, 1228–1238. [Google Scholar] [CrossRef] [PubMed]
- Seo, D.W.; Kim, H.J.; Jang, S.K.; Jun, M.; Joo, S.S. Screening of functional components derived from fresh water laver, Prasiola japonica, and its pharmacological properties. J. Biomed. Res. 2013, 14, 83–90. [Google Scholar] [CrossRef]
- Han, S.Y.; Kim, J.; Kim, E.; Kim, S.H.; Seo, D.B.; Kim, J.H.; Shin, S.S.; Cho, J.Y. AKT-targeted anti-inflammatory activity of Panax ginseng calyx ethanolic extract. J. Ginseng Res. 2018, 42, 496–503. [Google Scholar] [CrossRef]
- Baek, K.-S.; Yi, Y.-S.; Son, Y.-J.; Yoo, S.; Sung, N.Y.; Kim, Y.; Hong, S.; Aravinthan, A.; Kim, J.-H.; Cho, J.Y. In vitro and in vivo anti-inflammatory activities of Korean Red Ginseng-derived components. J. Ginseng Res. 2016, 40, 437–444. [Google Scholar] [CrossRef]
- Jung, K.K.; Lee, H.S.; Cho, J.Y.; Shin, W.C.; Rhee, M.H.; Kim, T.G.; Kang, J.H.; Kim, S.H.; Hong, S.; Kang, S.Y. Inhibitory effect of curcumin on nitric oxide production from lipopolysaccharide-activated primary microglia. Life Sci. 2006, 79, 2022–2031. [Google Scholar] [CrossRef]
- Burnette, W.N. “Western blotting”: Electrophoretic transfer of proteins from sodium dodecyl sulfate-polyacrylamide gels to unmodified nitrocellulose and radiographic detection with antibody and radioiodinated protein A. Anal. Biochem. 1981, 112, 195–203. [Google Scholar] [CrossRef]
- Yang, Y.; Yang, W.S.; Yu, T.; Sung, G.-H.; Park, K.W.; Yoon, K.; Son, Y.-J.; Hwang, H.; Kwak, Y.-S.; Lee, C.-M.; et al. ATF-2/CREB/IRF-3-targeted anti-inflammatory activity of Korean red ginseng water extract. J Ethnopharmacol. 2014, 154, 218–228. [Google Scholar] [CrossRef]
- Lee, S.-J.; Park, J.-Y.; Choi, K.-S.; Ock, C.-Y.; Hong, K.-S.; Kim, Y.-J.; Chung, J.-W.; Hahm, K.-B.J. Efficacy of Korean red ginseng supplementation on eradication rate and gastric volatile sulfur compound levels after Helicobacter pylori eradication therapy. J. Ginseng Res. 2010, 34, 122–131. [Google Scholar] [CrossRef][Green Version]
- Li, X.; Tupper, J.C.; Bannerman, D.D.; Winn, R.K.; Rhodes, C.J.; Harlan, J.M. Phosphoinositide 3 kinase mediates Toll-like receptor 4-induced activation of NF-kappa B in endothelial cells. Infect. Immun. 2003, 71, 4414–4420. [Google Scholar] [CrossRef] [PubMed]
- Lee, H.S.; Moon, C.; Lee, H.W.; Park, E.M.; Cho, M.S.; Kang, J.L. Src tyrosine kinases mediate activations of NF-kappaB and integrin signal during lipopolysaccharide-induced acute lung injury. J. Immunol. 2007, 179, 7001–7011. [Google Scholar] [CrossRef] [PubMed]
- Makarov, S.S. NF-kappaB as a therapeutic target in chronic inflammation: Recent advances. Mol. Med. Today 2000, 6, 441–448. [Google Scholar] [CrossRef]
- Schonthaler, H.B.; Guinea-Viniegra, J.; Wagner, E.F. Targeting inflammation by modulating the Jun/AP-1 pathway. Ann. Rheum. Dis. 2011, 70 (Suppl. 1), i109–i112. [Google Scholar] [CrossRef] [PubMed]
- Takeda, K.; Akira, S. TLR signaling pathways. Semin. Immunol. 2004, 16, 3–9. [Google Scholar] [CrossRef]
- Christian, F.; Smith, E.L.; Carmody, R.J. The Regulation of NF-kappaB Subunits by Phosphorylation. Cells 2016, 5, 12. [Google Scholar] [CrossRef]
- Bai, D.; Ueno, L.; Vogt, P.K. Akt-mediated regulation of NFkappaB and the essentialness of NFkappaB for the oncogenicity of PI3K and Akt. Int. J. Cancer 2009, 125, 2863–2870. [Google Scholar] [CrossRef]
- Yamamoto, Y.; Gaynor, R.B. Therapeutic potential of inhibition of the NF-kappaB pathway in the treatment of inflammation and cancer. J. Clin. Invest. 2001, 107, 135–142. [Google Scholar] [CrossRef]
- Auphan, N.; DiDonato, J.A.; Rosette, C.; Helmberg, A.; Karin, M. Immunosuppression by glucocorticoids: Inhibition of NF-kappa B activity through induction of I kappa B synthesis. Science 1995, 270, 286–290. [Google Scholar] [CrossRef]
- Pierce, J.W.; Read, M.A.; Ding, H.; Luscinskas, F.W.; Collins, T. Salicylates inhibit I kappa B-alpha phosphorylation, endothelial-leukocyte adhesion molecule expression, and neutrophil transmigration. J. Immunol. 1996, 156, 3961–3969. [Google Scholar] [PubMed]
- Yin, M.J.; Yamamoto, Y.; Gaynor, R.B. The anti-inflammatory agents aspirin and salicylate inhibit the activity of I(kappa)B kinase-beta. Nature 1998, 396, 77–80. [Google Scholar] [CrossRef]
- Yamamoto, Y.; Yin, M.J.; Lin, K.M.; Gaynor, R.B. Sulindac inhibits activation of the NF-kappaB pathway. J. Biol. Chem. 1999, 274, 27307–27314. [Google Scholar] [CrossRef] [PubMed]
- Weinstein, S.L.; Gold, M.R.; DeFranco, A.L. Bacterial lipopolysaccharide stimulates protein tyrosine phosphorylation in macrophages. Proc. Natl. Acad. Sci. USA 1991, 88, 4148–4152. [Google Scholar] [CrossRef] [PubMed]
- Boulet, I.; Ralph, S.; Stanley, E.; Lock, P.; Dunn, A.R.; Green, S.P.; Phillips, W.A. Lipopolysaccharide- and interferon-gamma-induced expression of hck and lyn tyrosine kinases in murine bone marrow-derived macrophages. Oncogene 1992, 7, 703–710. [Google Scholar] [PubMed]
- Beaty, C.D.; Franklin, T.L.; Uehara, Y.; Wilson, C.B. Lipopolysaccharide-induced cytokine production in human monocytes: Role of tyrosine phosphorylation in transmembrane signal transduction. Eur. J. Immunol. 1994, 24, 1278–1284. [Google Scholar] [CrossRef]
- Stefanova, I.; Corcoran, M.L.; Horak, E.M.; Wahl, L.M.; Bolen, J.B.; Horak, I.D. Lipopolysaccharide induces activation of CD14-associated protein tyrosine kinase p53/56lyn. J. Biol. Chem. 1993, 268, 20725–20728. [Google Scholar]
- Hazeki, K.; Masuda, N.; Funami, K.; Sukenobu, N.; Matsumoto, M.; Akira, S.; Takeda, K.; Seya, T.; Hazeki, O. Toll-like receptor-mediated tyrosine phosphorylation of paxillin via MyD88-dependent and -independent pathways. Eur. J. Immunol. 2003, 33, 740–747. [Google Scholar] [CrossRef]
- Stovall, S.H.; Yi, A.K.; Meals, E.A.; Talati, A.J.; Godambe, S.A.; English, B.K. Role of vav1- and src-related tyrosine kinases in macrophage activation by CpG DNA. J. Biol. Chem. 2004, 279, 13809–13816. [Google Scholar] [CrossRef]
- Achuthan, A.; Elsegood, C.; Masendycz, P.; Hamilton, J.A.; Scholz, G.M. CpG DNA enhances macrophage cell spreading by promoting the Src-family kinase-mediated phosphorylation of paxillin. Cell. Signal. 2006, 18, 2252–2261. [Google Scholar] [CrossRef]
- Orlicek, S.L.; Hanke, J.H.; English, B.K. The src family-selective tyrosine kinase inhibitor PP1 blocks LPS and IFN-gamma-mediated TNF and iNOS production in murine macrophages. Shock 1999, 12, 350–354. [Google Scholar] [CrossRef] [PubMed]
- Scholz, G.; Cartledge, K.; Dunn, A.R. Hck enhances the adherence of lipopolysaccharide-stimulated macrophages via Cbl and phosphatidylinositol 3-kinase. J. Biol. Chem. 2000, 275, 14615–14623. [Google Scholar] [CrossRef] [PubMed]
- Williams, L.M.; Ridley, A.J. Lipopolysaccharide induces actin reorganization and tyrosine phosphorylation of Pyk2 and paxillin in monocytes and macrophages. J. Immunol. 2000, 164, 2028–2036. [Google Scholar] [CrossRef] [PubMed]
- Molina, D.M.; Jafari, R.; Ignatushchenko, M.; Seki, T.; Larsson, E.A.; Dan, C.; Sreekumar, L.; Cao, Y.; Nordlund, P. Monitoring drug target engagement in cells and tissues using the cellular thermal shift assay. Science 2013, 341, 84–87. [Google Scholar] [CrossRef] [PubMed]
- Boggon, T.J.; Eck, M.J. Structure and regulation of Src family kinases. Oncogene 2004, 23, 7918. [Google Scholar] [CrossRef] [PubMed]
- Gilmore, T.D.; Herscovitch, M. Inhibitors of NF-kappaB signaling: 785 and counting. Oncogene 2006, 25, 6887–6899. [Google Scholar] [CrossRef]






| Targets | Direction | Sequences (5′ to 3′) |
|---|---|---|
| iNOS | Forward | GGAGCCTTTAGACCTCAACAGA |
| Reverse | TGAACGAGGAGGGTGGTG | |
| COX-2 | Forward | CACTACATCCTGACCCACTT |
| Reverse | ATGCTCCTGCTTGAGTATGT | |
| TNF-α | Forward | GCCTCTTCTCATTCCTGCTTG |
| Reverse | CTGATGAGAGGGAGGCCATT | |
| GAPDH | Forward | CAATGAATACGGCTACAGCAAC |
| Reverse | AGGGAGATGCTCAGTGTTGG |
© 2020 by the authors. Licensee MDPI, Basel, Switzerland. This article is an open access article distributed under the terms and conditions of the Creative Commons Attribution (CC BY) license (http://creativecommons.org/licenses/by/4.0/).
Share and Cite
Lee, C.Y.; Kim, H.G.; Park, S.H.; Jang, S.G.; Park, K.J.; Kim, D.S.; Kim, J.H.; Cho, J.Y. Anti-Inflammatory Functions of Alverine via Targeting Src in the NF-κB Pathway. Biomolecules 2020, 10, 611. https://doi.org/10.3390/biom10040611
Lee CY, Kim HG, Park SH, Jang SG, Park KJ, Kim DS, Kim JH, Cho JY. Anti-Inflammatory Functions of Alverine via Targeting Src in the NF-κB Pathway. Biomolecules. 2020; 10(4):611. https://doi.org/10.3390/biom10040611
Chicago/Turabian StyleLee, Chae Young, Han Gyung Kim, Sang Hee Park, Seok Gu Jang, Kyung Ja Park, Dong Sam Kim, Ji Hye Kim, and Jae Youl Cho. 2020. "Anti-Inflammatory Functions of Alverine via Targeting Src in the NF-κB Pathway" Biomolecules 10, no. 4: 611. https://doi.org/10.3390/biom10040611
APA StyleLee, C. Y., Kim, H. G., Park, S. H., Jang, S. G., Park, K. J., Kim, D. S., Kim, J. H., & Cho, J. Y. (2020). Anti-Inflammatory Functions of Alverine via Targeting Src in the NF-κB Pathway. Biomolecules, 10(4), 611. https://doi.org/10.3390/biom10040611

