Effect of Supplementation of Chlorogenic Acid to High-Fat Diet on Growth, Lipid Metabolism, Intestinal and Hepatic Histology, and Gut Microbiota of Spotted Sea Bass (Lateolabrax maculatus)
Abstract
1. Introduction
2. Materials and Methods
2.1. Animal Ethics
2.2. Experimental Diets
2.3. Experimental Fish and Feeding Trial
2.4. Sample Collection
2.5. Growth Performance Parameters
2.6. Plasma Biochemical Indexes and Hepatic Antioxidant Capacity Analysis
2.7. Oil Red O Staining for Liver
2.8. Liver and Gut Histology Analysis
2.9. Analysis of Gut Microbiota
2.10. Statistical Analysis
3. Results
3.1. Growth Performance, Feed Intake, and Morphometric Parameters
3.2. Lipid Levels in Plasma
3.3. Liver Antioxidant Capacity and Serum Biochemical Indexes
3.4. Oil Red O Stained Sections of Liver
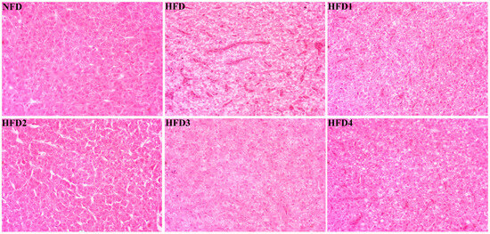
3.5. Liver and Gut Histology
3.6. Gut Microbiota Analysis
4. Discussion
5. Conclusions
Author Contributions
Funding
Institutional Review Board Statement
Informed Consent Statement
Data Availability Statement
Conflicts of Interest
References
- Du, Z.Y.; Liu, Y.J.; Tian, L.X.; Wang, J.T.; Wang, Y.; Liang, G.Y. Effect of dietary lipid level on growth, feed utilization and body composition by juvenile grass carp (Ctenopharyngodon idella). Aquac. Nutr. 2005, 11, 139–146. [Google Scholar] [CrossRef]
- Li, X.; Jiang, Y.; Liu, W.; Ge, X. Protein-sparing effect of dietary lipid in practical diets for blunt snout bream (Megalobrama amblycephala) fingerlings: Effects on digestive and metabolic responses. Fish Physiol. Biochem. 2012, 38, 529–541. [Google Scholar] [CrossRef] [PubMed]
- Cao, S.; Yang, L.K.; Lu, K.L.; Zhang, C.X.; Wang, L.; Li, X.S.; Song, K. Effects of Fish Meal Replacement by Enzymatic Hydrolyzed Soybean Protein Isolate on Growth Performance, Serum Biochemical Indices and Lipid Metabolism of Spotted Seabass (Lateolabrax maculatus). Chin. J. Anim. Nutr. 2022, 6, 3884–3895. [Google Scholar]
- Xuan, X.Z.; Li, W.J.; Zhu, T.; Wang, P.Y.; Yu, M.; Su, J.N. Effects of Gracilaria lemaneiformis on growth, digestion and lipid metabolism of juvenile Erythroculter ilishaeformis at different lipid levels. China Feed 2021, 17, 89–94. [Google Scholar] [CrossRef]
- Boujard, T.; Gélineau, A.; Covès, D.; Corraze, G.; Dutto, G.; Gasset, E.; Kaushik, S. Regulation of feed intake, growth, nutrient and energy utilisation in European Sea bass (Dicentrarchus labrax) fed high fat diets. Aquaculture 2004, 231, 529–545. [Google Scholar] [CrossRef]
- Gélineaua, A.; Corrazeb, G.; Boujardb, T.; Larroquet, L.; Kaushik, S. Relation between dietary lipid level and voluntary feed intake, growth, nutrient gain, lipid deposition and hepatic lipogenesis in rainbow trout. Reprod. Nutr. Dev. 2001, 41, 487–503. [Google Scholar] [CrossRef]
- Yan, J.; Liao, K.; Wang, T.; Mai, K.; Xu, W.; Ai, Q. Dietary lipid levels influence lipid deposition in the liver of large yellow croaker (Larimichthys crocea) by regulating lipoprotein receptors, fatty acid uptake and triacylglycerol synthesis and catabolism at the transcriptional level. PLoS ONE 2015, 10, e0129937. [Google Scholar] [CrossRef]
- Li, A.; Yuan, X.; Liang, X.F.; Liu, L.; Li, J.; Li, B.; Fang, J.; Li, J.; He, S.; Xue, M. Adaptations of lipid metabolism and food intake in response to low and high fat diets in juvenile grass carp (Ctenopharyngodon idellus). Aquaculture 2016, 457, 43–49. [Google Scholar] [CrossRef]
- Wei, Y.; Lu, K.L.; Wang, L.; Song, K.; Zhang, C.X. Effects of Dietary Berberine on Growth and Lipid Metabolism of Spotted sea bass, (Lateolabrax maculatus). Chin. J. Anim. Nutr. 2021, 33, 5193–5202. [Google Scholar]
- Jia, R.J.; Cao, L.P.; Du, J.L.; He, Q.; Gu, Z.Y.; Jeney, G.; Xu, P.; Yin, G.J. Effects of high-fat diet on antioxidative status, apoptosis and inflammation in liver of tilapia (Oreochromis niloticus) via Nrf2, TLRs and JNK pathways. Fish Shellfish Immunol. 2022, 104, 391–401. [Google Scholar] [CrossRef]
- Ma, Q.; Li, L.Y.; Le, J.Y.; Lu, D.L.; Qiao, F.; Zhang, M.L.; Li, D.L. Dietary microencapsulated oil improves immune function and intestinal health in Nile tilapia fed with high-fat diet. Aquaculture 2018, 496, 19–29. [Google Scholar] [CrossRef]
- Peng, M.; Xue, J.; Hu, Y.; Wen, C.; Hu, B.; Jian, S.; Yang, G. Disturbance in the homeostasis of intestinal microbiota by a high-fat diet in the rice field eel (Monopterus albus). Aquaculture 2019, 502, 347–355. [Google Scholar] [CrossRef]
- Zhang, Y.Y.; Lv, S.; Lu, Z.Y.; Cui, P.; Sun, J.H.; Qiao, X.T.; Chen, Z.Y. Effects of sodium butyrate on growth, physico-chemical indices and intestinal structure of common carp Cyprinus carpio fed high dietary levels of carbohydrate or lipid. J. Dalian Ocean. Univ. 2022, 5, 747–755. [Google Scholar] [CrossRef]
- Shi, Y.; Zhong, L.; Zhong, H.; Zhang, J.; Che, C.; Fu, G.; Mai, K. Taurine supplements in high-fat diets improve survival of juvenile Monopterus albus by reducing lipid deposition and intestinal damage. Aquaculture 2022, 547, 737431. [Google Scholar] [CrossRef]
- Wang, Y.; Li, Z.; Li, J.; Duan, Y.; Niu, J.; Wang, J.; Huang, Z.; Lin, H. Effects of dietary chlorogenic acid on growth performance, antioxidant capacity of white shrimp Litopenaeus vannamei under normal condition and combined stress of low-salinity and nitrite. Fish Shellfish Immunol. 2015, 43, 337–345. [Google Scholar] [CrossRef] [PubMed]
- Xie, M.G.; Fei, Y.Q.; Wang, Y.; Wang, W.Y.; Wang, Z. Chlorogenic Acid Alleviates Colon Mucosal Damage Induced by a High-Fat Diet via Gut Microflora Adjustment to Increase Short Chain Fatty Acid Accumulation in Rats. Oxid. Med. Cell. Longev. 2021, 2021, 3456542. [Google Scholar] [CrossRef]
- Bhandarkar, N.S.; Brown, L.; Panchal, S.K. Chlorogenic acid attenuates high-carbohydrate, high-fat diet–induced cardiovascular, liver, and metabolic changes in rats. Nutr. Res. 2019, 62, 78–88. [Google Scholar] [CrossRef]
- Hsu, C.-L.; Hung, S.-L.; Yen, G.-C. Inhibitiory effect of phenolic acids on the proliferation of 3T3-L1 preadipocytes in relation to their antioxidant activity. J. Agric. Food Chem. 2006, 54, 4191–4197. [Google Scholar] [CrossRef]
- Zhou, Y.; Ruan, Z.; Wen, Y.-M.; Yang, Y.-H.; Mi, S.-M.; Zhou, L.-L.; Wu, X.; Ding, S.; Deng, Z.-Y.; Wu, G.-Y.; et al. Chlorogenic acid from honeysuckle improves hepatic lipid dysregulation and modulates hepatic fatty acid composition in rats with chronic endotoxin infusion. J. Clin. Biochem. Nutr. 2014, 58, 146–155. [Google Scholar] [CrossRef][Green Version]
- Yin, P.; Xie, S.W.; Zhuang, Z.X.; Fang, H.F.; Tian, L.X.; Liu, Y.J.; Niu, J. Chlorogenic acid improves health in juvenile largemouth bass (Micropterus salmoides) fed high-fat diets: Involvement of lipid metabolism, antioxidant ability, inflammatory response, and intestinal integrity. Aquaculture 2021, 545, 737169. [Google Scholar]
- Yang, T.J.; Chen, Y.L.; Liu, W.S.; Guo, X.Z.; Tang, Y.Q.; Liu, Y.T.; Li, D.B.; Li, S.M. Effects of Chlorogenic Acid Supplementation in High-Fat Diets on Growth Performance and Lipid Metabolism of Grass Carp (Ctenopharyngodon idellus). Chin. J. Anim. Nutr. 2018, 30, 3219–3228. [Google Scholar]
- Parkar, S.G.; Trower, T.M.; Stevenson, D.E. Fecal microbial metabolism of polyphenols and its effects on human gut microbiota. Anaerobe 2013, 23, 12–19. [Google Scholar] [CrossRef] [PubMed]
- Wu, Y.; Liu, W.H.; Li, Q.; Li, Y.F.; Yan, Y.L.; Huang, F.; Wu, X.; Zhou, Q.C.; Shu, X.G.; Ruan, Z. Dietary chlorogenic acid regulates gut microbiota, serum-free amino acids and colonic serotonin levels in growing pigs. Int. J. Food Sci. Nutr. 2018, 69, 566–573. [Google Scholar] [CrossRef]
- Jin, X.X.; Su, M.Y.; Liang, Y.X.; Li, Y.J. Effects of chlorogenic acid on growth, metabolism, antioxidation, immunity, and intestinal flora of crucian carp (Carassius auratus). Front. Microbiol. 2023, 13, 1084500. [Google Scholar] [CrossRef]
- Wen, H.S.; Zhang, S.M.; Li, J.F.; He, F.; Li, Y. Research progress of aquaculture industry and its seed engineering in spotted sea bass (Lateolabrax maculatus) of China. Fish. Inf. Strategy 2016, 31, 105–111. [Google Scholar]
- Cao, J.M.; Wu, C.Y.; Huang, Y.H.; Wang, G.X.; Zhao, H.X.; Mo, W.Y.; Qi, F.; Fu, L.L. Effects of Dietary β-glucan on Immunity and Antioxidation Indices in Japanese Sea bass Lateolabrax japonicus. Fish. Sci. 2015, 34, 1–7. [Google Scholar]
- Yu, W.; Yang, Y.-K.; Chen, Z.-B.; Lin, H.-Z.; Huang, X.-L.; Zhou, C.-P.; Yang, K.; Cao, Y.-C.; Huang, Z.; Ma, Z.-H.; et al. Dietary effect of Spirulina platensis on growth performance, digestive enzymes, haematological indices and antioxidant capacity of Chinese sea bass (Lateolabrax maculatus). South China Fish. Sci. 2019, 15, 57–67. [Google Scholar]
- Zhang, C.; Wen, A.X. Different of Chlorogenic Acid doses in Growth Performance, Non-specific Immunity and Antioxidant Functiongs of Cyprinus carpio var. J. Sichuan Agric. Univ. 2012, 30, 92–97. [Google Scholar] [CrossRef]
- Long, S.H.; Dong, X.H.; Tan, B.P.; Zhang, S.; Xie, S.W.; Yang, Q.H.; Chi, S.Y.; Liu, H.Y.; Deng, J.M.; Yang, Y.Z.; et al. Growth performance, antioxidant ability, biochemical index in serum, liver histology and hepatic metabolomics analysis of juvenile hybrid grouper (♀ Epinephelus fuscoguttatus × ♂ Epinephelus lanceolatus) fed with oxidized fish oil. Aquaculture 2009, 545, 737261. [Google Scholar] [CrossRef]
- Wen, A.X.; Shu, H.; Xiao, Y. Effects of Chlorogenic Acid on Performance and Antioxidant Capability of Trionyx sinensis. Chin. J. Anim. Nutr. 2010, 22, 729–733. [Google Scholar]
- Sun, W.-T.; Li, X.-Q.; Xu, H.-B.; Chen, J.-N.; Xu, X.-Y.; Leng, X.-J. Effects of dietary chlorogenic acid on growth, flesh quality and serum biochemical indices of grass carp (Ctenopharyngodon idella). Aquac. Nutr. 2017, 23, 1254–1263. [Google Scholar] [CrossRef]
- Du, J. Samara Oil with Aerobic Exercise Ameliorates Lipid Metabolism Disorders and Hepatic Lipid Accumulation in High Fat Diet-fed Mice. Sci. Technol. Food Ind. 2018, 39, 270–274+281. [Google Scholar]
- Luo, Y.-E.; Zhao, H.; Guo, D.-M.; Wang, H.; Chen, X.-X.; Wu, Z.-X. Effects of Bacillus subtilis on the heaptic lipid metabolism of Ctenopharyngodn idellus. Acta Hydrobiol. Sin. 2020, 44, 485–493. [Google Scholar]
- Zhong, L.; Wang, Z.Q.; Wang, J.L.; Xia, L.Q.; Chen, L.Y.; Zhou, J.C.; Hu, Y. Effects of aflatoxin B1 on growth performance and liver function of juvenile Pelteobagrus fulvidraco. J. Fish. China 2021, 45, 1775–1786. [Google Scholar]
- Sun, Y.X.; Dong, H.B.; Duan, Y.P.; Li, H.; Liu, Q.S.; Zhang, J.S.; Wang, W.H. Progresses in Stress Damage and Protection Studies on Fish Intestine. Trans. Oceanol. Limnol. 2019, 168, 174–183. [Google Scholar]
- Zeng, B.H.; Xiang, X.; Zhou, X.H.; Ren, S.J.; Chen, J.; Lv, J.G.; Zhu, C.K.; Li, D.J. Effect of bile acid level in high lipid diet on the intestinal structure and lipid metabolic enzymes activities of juvenile Schizothorax prenanti. J. Fish. China 2016, 40, 1340–1348. [Google Scholar]
- Jia, Y.; Jing, Q.; Niu, H.; Huang, B. Ameliorative effect of vitamin E on hepatic oxidative stress and hypoimmunity induced by high-fat diet in turbot (Scophthalmus maximus). Fish Shellfish Immunol. 2017, 67, 634–642. [Google Scholar] [CrossRef]
- Lai, X.; Chen, Q.J.; Lu, C.W.; Ma, Y.J.; Tang, Z.R. The Effects of Dietary Chlorogenic acid and Hesperidin on Growth Performance and Intestinal Function in Weaned Piglets. Acta Vet. Et Zootech. Sin. 2019, 50, 570–580. [Google Scholar]
- Ali, N.; Rashid, S.; Nafees, S.; Hasan, S.K.; Shahid, A.; Majed, F.; Sultana, S. Protective effect of Chlorogenic acid against methotrexate induced oxidative stress, inflammation and apoptosis in rat liver: An experimental approach. Chem. Biol. Interact. 2017, 272, 80–91. [Google Scholar] [CrossRef]
- Zhang, Y.; Wang, Y.; Chen, D.W.; Yu, B.; Zheng, P.; Mao, X.B.; Luo, Y.H.; Li, Y.; He, J. Dietary chlorogenic acid supplementation affects gut morphology, antioxidant capacity and intestinal selected bacterial populations in weaned piglets. Food Funct. 2018, 9, 4968–4978. [Google Scholar] [CrossRef]
- Liu, J.; Qu, W.; Kadiiska, M.B. Role of oxidative stress in cadmium toxicity and carcinogenesis. Toxicol. Appl. Pharmacol. 2009, 238, 209–214. [Google Scholar] [CrossRef] [PubMed]
- Fawzy, S.; Wang, W.L.; Wu, M.Q.; Yi, G.F.; Huang, X.X. Effects of dietary different canthaxanthin levels on growth performance, antioxidant capacity, biochemical and immune-physiological parameters of white shrimp (Litopenaeus Vannamei). Aquaculture 2022, 556, 738276. [Google Scholar] [CrossRef]
- Anderson, F.H.; Zeng, L.C.; Rock, N.R.; Yoshida, E.M. An assessment of the clinical utility of serum ALT and AST in chronic hepatitis C. Hepatol. Res. 2000, 18, 63–71. [Google Scholar] [CrossRef]
- Shi, X.L.; Gao, Y.H. Protective Effects of Chlorogenic Acid on Liver Injury in Mice. Chin. J. Exp. Tradit. Med. Formulae 2011, 17, 199–202. [Google Scholar] [CrossRef]
- Chen, X.Y.; Fu, L.L.; Wang, G.X.; Huang, Y.H.; Sun, Y.P.; Zhao, H.X.; Cao, J.M. Effects of 3 Additives on Digestive Enzyme Activities, Organizational Structure of Foregut and Nutrient Apparent Digestibility of Japaneae Sea Bass (lateolabrax japonicus). Chin. J. Anim. Nutr. 2020, 32, 5985–5993. [Google Scholar]
- Chen, N.H.; Yang, X.; Sun, S.S.; Lei, X.T.; Shao, X.P.; Wu, C.L.; Ye, J.Y. Effects of Soybean Meal Replaced by Fermented Plant ProteinCompound on Growth, Immune, Antioxidant and Intestinal Microflora Structure of Black Carp (Mylopharyngodon piceus). Chin. J. Anim. Nutr. 2023, 35, 2478–2489. [Google Scholar] [CrossRef]
- Zou, J.; Chassaing, B.; Singh, V.; Pellizzon, M.; Ricci, M.; Fythe, M.D.; Gewirtz, A.T. Fiber-mediated nourishment of gut microbiota protects against diet-induced obesity by restoring IL-22-mediated colonic health. Cell Host Microbe 2018, 23, 41–53.e44. [Google Scholar] [CrossRef]
- Lin, N.F.; Pan, Y.; Xu, B.F.; Gong, H.; Zeng, H. Microbial Diversity of Intestinal Contents and Mucus in Cultured Seabass (Lateolabrax maculatus). J. Aquac. 2021, 42, 1–7. [Google Scholar] [CrossRef]
- Verdam, F.J.; Fuentes, S.; Jonge, C.D.; Zoetendal, E.G.; Erbil, R.; Greve, J.W.; Buurman, W.A.; de Vos, W.M.; Rensen, S.S. Human intestinal microbiota composition is associated with local and systemic inflammation in obesity. Obesity 2013, 21, E607–E615. [Google Scholar] [CrossRef]
- Marques, C.; Meireles, M.; Norberto, S.; Leite, J.; Freitas, J.; Pestana, D.; Quraishi, M.N.; Kinross, J.; Smidt, H.; Tuohy, K.M. High-fat diet-induced obesity Rat model: A comparison between Wistar and Sprague-Dawley Rat. Adipocyte 2016, 5, 11–21. [Google Scholar] [CrossRef]
- Das, S.; Ward, L.; Burke, C. Prospects of using marine actinobacteria as probiotics in aquaculture. Appl. Microbiol. Biotechnol. 2008, 81, 419–429. [Google Scholar] [CrossRef] [PubMed]
- Liu, Y.P.; Huang, H.J.; Liu, T.Q.; Li, A.H.; Xiao, D. Establishment and application of PCR assay for dection of Vibrio spp. Freshw. Fish. 2015, 45, 88–92. [Google Scholar] [CrossRef]






| NFD | HFD | HFD1 | HFD2 | HFD3 | HFD4 | |
|---|---|---|---|---|---|---|
| Ingredients (g/kg) | ||||||
| Fishmeal | 490 | 490 | 490 | 490 | 490 | 490 |
| Soya bean meal | 235 | 235 | 235 | 235 | 235 | 235 |
| Wheat flour | 150 | 100 | 99.9 | 99.8 | 99.7 | 99.6 |
| Yeast meal | 30 | 30 | 30 | 30 | 30 | 30 |
| Fish oil | 30 | 80 | 80 | 80 | 80 | 80 |
| Soybean meal | 20 | 20 | 20 | 20 | 20 | 20 |
| Phospholipid | 10 | 10 | 10 | 10 | 10 | 10 |
| Mineral mixture a | 6 | 6 | 6 | 6 | 6 | 6 |
| Vitamin mixture b | 8 | 8 | 8 | 8 | 8 | 8 |
| Choline | 6 | 6 | 6 | 6 | 6 | 6 |
| Dicalcium phosphate | 12 | 12 | 12 | 12 | 12 | 12 |
| Antioxidant | 3 | 3 | 3 | 3 | 3 | 3 |
| Chlorogenic acid | 0 | 0 | 0.1 | 0.2 | 0.3 | 0.4 |
| Proximate composition (% of dry matter) | ||||||
| Crude Protein | 46.91 | 46.47 | 46.33 | 45.96 | 45.69 | 46.24 |
| Crude Lipid | 11.9 | 17.00 | 17.00 | 17.00 | 17.00 | 17.00 |
| Crude Ash | 9.11 | 8.79 | 9.59 | 9.77 | 9.14 | 8.84 |
| Indexes | NFD | HFD | HFD1 | HFD2 | HFD3 | HFD4 |
|---|---|---|---|---|---|---|
| WG (%) | 629.82 ± 101.63 | 651.10 ± 123.79 | 610.12 ± 99.81 | 704.26 ± 84.95 | 651.24 ± 89.85 | 732.57 ± 71.42 |
| SGR (%/d) | 4.04 ± 0.28 | 4.09 ± 0.33 | 3.99 ± 0.27 | 4.25 ± 0.22 | 4.11 ± 0.25 | 4.32 ± 0.18 |
| FCR | 1.35 ± 0.42 c | 1.31 ± 0.01 c | 1.14 ± 0.06 ab | 1.16 ± 0.02 b | 1.07 ± 0.07 a | 1.17 ± 0.01 b |
| CF (g/cm3) | 1.39 ± 0.09 a | 1.36 ± 0.05 a | 1.37 ± 0.04 ab | 1.43 ± 0.03 b | 1.43 ± 0.02 c | 1.39 ± 0.02 abc |
| HSI (%) | 0.97 ± 0.08 | 0.88 ± 0.01 | 0.87 ± 0.06 | 0.90 ± 0.08 | 0.95 ± 0.03 | 0.95 ± 0.04 |
| Indexes | NFD | HFD | HFD1 | HFD2 | HFD3 | HFD4 |
|---|---|---|---|---|---|---|
| MDA (nmol/g prot) | 0.70 ± 0.12 a | 1.03 ± 0.08 c | 0.94 ± 0.02 bc | 0.70 ± 0.05 a | 0.69 ± 0.09 a | 0.87 ± 0.08 b |
| T-AOC (mmol/gprot) | 0.014 ± 0.001 b | 0.011 ± 0.002 a | 0.012 ± 0.001 ab | 0.013 ± 0.002 ab | 0.012 ± 0.001 ab | 0.014 ± 0.002 b |
| ALT (U/L) | 10.19 ± 1.78 b | 12.71 ± 0.90 c | 10.76 ± 1.73 bc | 10.49 ± 0.90 b | 7.76 ± 0.44 a | 7.57 ± 0.51 a |
| AST (U/L) | 82.79 ± 9.41 ab | 93.82 ± 9.09 c | 92.95 ± 6.06 c | 88.64 ± 3.30 ab | 78.61 ± 2.72 a | 74.58 ± 9.98 a |
| Parameters | NFD | HFD | HFD1 | HFD2 | HFD3 | HFD4 |
|---|---|---|---|---|---|---|
| ACE | 926 ± 78 bc | 787 ± 20 ab | 690 ± 63 a | 937 ± 138 c | 645 ± 48 a | 657 ± 80 a |
| Chao | 876 ± 181 bc | 861 ± 114 bc | 701 ± 32 ab | 941 ± 149 c | 617 ± 58 a | 641 ± 84 a |
| Simpson | 0.97 ± 0.02 | 0.93 ± 0.05 | 0.95 ± 0.03 | 0.95 ± 0.02 | 0.96 ± 0.02 | 0.97 ± 0.01 |
| Shannon | 7.21 ± 0.49 b | 6.23 ± 0.62 a | 6.47 ± 0.47 ab | 6.97 ± 0.22 ab | 6.80 ± 0.36 ab | 6.89 ± 0.33 ab |
| NFD | HFD | HFD1 | HFD2 | HFD3 | HFD4 | |
|---|---|---|---|---|---|---|
| phylum | ||||||
| Proteobacteria | 33.05 ± 3.78 ab | 25.18 ± 3.30 a | 36.39 ± 5.91 b | 31.27 ± 5.42 ab | 32.73 ± 9.53 ab | 27.71 ± 2.83 ab |
| Firmicutes | 30.53 ± 7.65 | 37.44 ± 5.41 | 33.13 ± 7.32 | 29.18 ± 7.70 | 25.94 ± 4.10 | 28.94 ± 2.12 |
| Bacteroidota | 13.68 ± 0.95 a | 22.06 ± 4.90 b | 19.30 ± 3.05 ab | 17.31 ± 1.42 ab | 28.34 ± 4.85 c | 28.05 ± 0.97 c |
| Spirochaetota | 4.21 ± 0.53 c | 3.16 ± 0.68 ab | 3.06 ± 0.24 a | 3.92 ± 0.23 bc | 5.02 ± 0.36 d | 3.11 ± 0.44 ab |
| Actinobacteriota | 5.88 ± 2.02 ab | 5.80 ± 1.36 ab | 3.28 ± 0.91 ab | 8.64 ± 6.17 b | 2.67 ± 0.10 a | 5.20 ± 2.04 ab |
| genus | ||||||
| Candidatus_Arthromitus | 14.19 ± 7.25 abc | 23.18 ± 10.16 c | 23.18 ± 10.16 c | 15.95 ± 7.87 bc | 1.30 ± 0.55 a | 6.47 ± 2.92 ab |
| Plesiomonas | 2.78 ± 1.97 a | 2.10 ± 0.89 a | 3.07 ± 1.64 a | 3.40 ± 1.80 a | 15.95 ± 11.33 b | 5.15 ± 1.53 a |
| Brevinema | 5.88 ± 2.03 ab | 5.80 ± 1.36 ab | 3.28 ± 0.91 ab | 8.64 ± 6.17 b | 2.67 ± 1.00 a | 5.20 ± 2.04 ab |
| Vibrio | 2.05 ± 0.55 a | 2.55 ± 0.10 a | 7.34 ± 3.33 b | 3.03 ± 0.80 a | 1.21 ± 0.65 a | 1.50 ± 0.56 a |
| Prevotellaceae_UCG_001 | 0.88 ± 0.35 a | 2.85 ± 0.95 bc | 2.47 ± 0.73 b | 1.86 ± 0.46 ab | 4.94 ± 1.23 d | 4.02 ± 0.55 cd |
Disclaimer/Publisher’s Note: The statements, opinions and data contained in all publications are solely those of the individual author(s) and contributor(s) and not of MDPI and/or the editor(s). MDPI and/or the editor(s) disclaim responsibility for any injury to people or property resulting from any ideas, methods, instructions or products referred to in the content. |
© 2023 by the authors. Licensee MDPI, Basel, Switzerland. This article is an open access article distributed under the terms and conditions of the Creative Commons Attribution (CC BY) license (https://creativecommons.org/licenses/by/4.0/).
Share and Cite
Ma, J.; Kong, L.; Zhou, S.; Lin, H.; Lin, Y.; Qin, H.; Long, Z.; Liu, L.; Huang, Z.; Li, Z. Effect of Supplementation of Chlorogenic Acid to High-Fat Diet on Growth, Lipid Metabolism, Intestinal and Hepatic Histology, and Gut Microbiota of Spotted Sea Bass (Lateolabrax maculatus). Metabolites 2023, 13, 1067. https://doi.org/10.3390/metabo13101067
Ma J, Kong L, Zhou S, Lin H, Lin Y, Qin H, Long Z, Liu L, Huang Z, Li Z. Effect of Supplementation of Chlorogenic Acid to High-Fat Diet on Growth, Lipid Metabolism, Intestinal and Hepatic Histology, and Gut Microbiota of Spotted Sea Bass (Lateolabrax maculatus). Metabolites. 2023; 13(10):1067. https://doi.org/10.3390/metabo13101067
Chicago/Turabian StyleMa, Jianrong, Lumin Kong, Sishun Zhou, Hao Lin, Yi Lin, Huihui Qin, Zhongying Long, Longhui Liu, Zhangfan Huang, and Zhongbao Li. 2023. "Effect of Supplementation of Chlorogenic Acid to High-Fat Diet on Growth, Lipid Metabolism, Intestinal and Hepatic Histology, and Gut Microbiota of Spotted Sea Bass (Lateolabrax maculatus)" Metabolites 13, no. 10: 1067. https://doi.org/10.3390/metabo13101067
APA StyleMa, J., Kong, L., Zhou, S., Lin, H., Lin, Y., Qin, H., Long, Z., Liu, L., Huang, Z., & Li, Z. (2023). Effect of Supplementation of Chlorogenic Acid to High-Fat Diet on Growth, Lipid Metabolism, Intestinal and Hepatic Histology, and Gut Microbiota of Spotted Sea Bass (Lateolabrax maculatus). Metabolites, 13(10), 1067. https://doi.org/10.3390/metabo13101067
