The Leydig Steroid Cell Tumor in a Postmenopausal Woman with Clinical and Biochemical Hyperandrogenism: A Case Report
Abstract
1. Introduction
2. Detailed Case Description
2.1. Clinical Information
2.2. Intervention
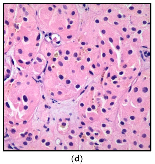
2.3. After-Surgery Examination and Outcomes
3. Discussion
4. Conclusions
Author Contributions
Funding
Institutional Review Board Statement
Informed Consent Statement
Data Availability Statement
Conflicts of Interest
Abbreviations
| BMI | body mass index |
| BT | bioavailable testosterone |
| DHEAS | dehydroepiandrosterone sulfate |
| FSH | follicle-stimulating hormone |
| FT | free testosterone |
| LCTs | Leydig cell tumors |
| MRI | magnetic resonance imaging |
| MSCT | multislice computed tomography |
| T4 | thyroxine |
| TT | total testosterone |
| TSH | thyroid-stimulating hormone |
| SHBG | sex hormone binding globulin |
| 17-OHP | 17-OH progesterone |
References
- Kurman, R.J.; Carcangiu, M.L.; Herrington, C.S.; Young, R.C. WHO Classification of Tumours of Female Reproductive Organs. In IARC WHO Classification of Tumours, 4th ed.; Kurman, R.J., Ed.; International Agency for Research on Cancer: Lyon, France, 2014; ISBN 9789283224358. [Google Scholar]
- Nardo, L.G.; Ray, D.W.; Laing, I.; Williams, C.; McVey, R.J.; Seif, M.W. Ovarian Leydig cell tumor in a peri-menopausal woman with severe hyperandrogenism and virilization. Gynecol. Endocrinol. 2005, 21, 238–241. [Google Scholar] [CrossRef] [PubMed]
- Stegner, H.E.; Löning, T. Endocrine-active tumors of the ovary. Pathologe 2003, 24, 314–322. [Google Scholar] [CrossRef] [PubMed]
- Molnar, E.; Sloboda, L.; Fenjvesi, A.; Zivković, S. Hormonalno aktivni tumori jajnika na tridesetogodisnjem materijalu (1965–1994) Hormonally-active ovarian tumors in 30 years of data (1965–1994). Med. Pregl. 1999, 52, 241–245. [Google Scholar] [PubMed]
- Szeliga, A.; Zysnarska, A.; Podfigurna, A.; Maciejewska-Jeske, M.; Moszyński, R.; Sajdak, S.; Jasiński, P.; Frankowski, A.; Genazzani, A.R.; Męczekalski, B. Ovarian steroid cell tumor as an example of severe hyperandrogenism in 45-year-old woman. Gynecol. Endocrinol. 2020, 36, 303–307. [Google Scholar] [CrossRef]
- Ferrinho, C.; Silva, E.; Oliveira, M.; Sequeira Duarte, J. Ovarian Leydig cell tumor and postmenopausal hirsutism with signs of virilisation. BMJ Case Rep. 2021, 14, e240937. [Google Scholar] [CrossRef]
- Reijnen, C.; Küsters-Vandevelde, H.V.N.; Abbink, K.; Zusterzeel, P.L.M.; van Herwaarden, A.E.; van der Laak, J.A.W.M.; Massuger, L.F.A.G.; Snijders, M.P.L.M.; Pijnenborg, J.M.A.; Bulten, J. Quantification of Leydig cells and stromal hyperplasia in the postmenopausal ovary of women with endometrial carcinoma. Hum. Pathol. 2019, 85, 119–127. [Google Scholar] [CrossRef]
- Fanta, M.; Fischerová, D.; Indrielle-Kelly, T.; Koliba, P.; Zdeňková, A.; Burgetová, A.; Vrbíková, J. Diagnostic pitfalls in ovarian androgen-secreting (Leydig cell) tumours: Case series. J. Obstet. Gynaecol. 2019, 39, 359–364. [Google Scholar] [CrossRef]
- Zhu, X.D.; Zhou, L.Y.; Jiang, J.; Jiang, T.A. Postmenopausal women with hyperandrogenemia: Three case reports. World J. Clin. Cases 2021, 9, 8482–8491. [Google Scholar] [CrossRef]
- Chen, M.; Zhou, W.; Zhang, Z.; Zou, Y.; Li, C. An ovarian Leydig cell tumor of ultrasound negative in a postmenopausal woman with hirsutism and hyperandrogenism: A case report. Medicine 2018, 97, e0093. [Google Scholar] [CrossRef]
- Souto, S.B.; Baptista, P.V.; Braga, D.C.; Carvalho, D. Ovarian Leydig cell tumor in a post-menopausal patient with severe hyperandrogenism. Arq. Bras. Endocrinol. Metabol. 2014, 58, 68–75. [Google Scholar] [CrossRef]
- Rachoń, D. Differential diagnosis of hyperandrogenism in women with polycystic ovary syndrome. Exp. Clin. Endocrinol. Diabetes 2012, 120, 205–209. [Google Scholar] [CrossRef] [PubMed]
- Alpañés, M.; González-Casbas, J.M.; Sánchez, J.; Pián, H.; Escobar-Morreale, H.F. Management of postmenopausal virilization. J. Clin. Endocrinol. Metab. 2012, 97, 2584–2588. [Google Scholar] [CrossRef] [PubMed]
- The Practice Committee of the American Society for Reproductive Medicine. The evaluation and treatment of androgen excess. Fertil. Steril. 2006, 86, S241–S247. [Google Scholar] [CrossRef] [PubMed]
- Salim, S.; Shantha, G.P.; Patel, A.D.; Kumar, A.A.; Ganeshram, P.; Mehra, N.; Rajan, A.G.; Joseph, T.; Sudhakar, L. Virilizing ovarian steroid cell tumor in a 40 year old South Indian female: A case report. Cases 2009, 2, 7521. [Google Scholar] [CrossRef][Green Version]
- Gressel, G.M.; Buza, N.; Pal, L. Ovarian Sertoli-Leydig cell tumors: A single institution experience and review of the literature. Eur. J. Gynaecol. Oncol. 2017, 38, 214–220. [Google Scholar] [PubMed]
- Klimek, M.; Radosz, P.; Lemm, M.; Szanecki, W.; Dudek, A.; Pokładek, S.; Piwowarczyk, M.; Poński, M.; Cichoń, B.; Kajor, M.; et al. Leydig cell ovarian tumor—Clinical case description and literature review. Prz. Menopauzalny 2020, 19, 140–143. [Google Scholar] [CrossRef] [PubMed]
- Kotula-Balak, M.; Milon, A.; Pawlicki, P.; Opydo-Chanek, M.; Pacwa, A.; Lesniak, K.; Sekula, M.; Zarzycka, M.; Bubka, M.; Tworzydlo, W.; et al. Insights into the role of estrogen-related receptors α, β and γ in tumor Leydig cells. Tissue Cell 2018, 52, 78–91. [Google Scholar] [CrossRef]
- Moreno, S.; Montoya, G.; Armstrong, J.; Leteurtre, E.; Aubert, S.; Vantyghem, M.C.; Dewailly, D.; Wemeau, J.L.; Proye, C. Profile and outcome of pure androgen-secreting adrenal tumors in women: Experience of 21 cases. Surgery 2004, 136, 1192–1198. [Google Scholar] [CrossRef]
- Shwana, S.; Shrikrishnapalasuriyar, N.; Yin, W.; Vij, M.; Kalhan, A. An Occult Leydig Cell Tumour in a Postmenopausal Woman Presenting with Alopecia and Hirsutism: A Case Report. Touch Endocrinol. 2021, 17, 75–78. [Google Scholar] [CrossRef]
- Mourinho Bala, N.; Aragüés, J.M.; Guerra, S.; Brito, D.; Valadas, C. Ovarian Leydig Cell Tumor: Cause of Virilization in a Postmenopausal Woman. Am. J. Case Rep. 2021, 27, e933126. [Google Scholar] [CrossRef]
- Arteaga, E.; Martinez, A.; Jaramilo, J.; Villaseca, P.; Cuello, M.; Valenzuela, P.; Gejman, R.; Blumel, J.E. Postmenopausal androgen-secreting ovarian tumors: Challenging differential diagnosis in two cases. Climacteric 2019, 22, 324–328. [Google Scholar] [CrossRef] [PubMed]
- Kaltsas, G.A.; Isidori, A.M.; Kola, B.P.; Skelly, R.H.; Chew, S.L.; Jenkins, P.J.; Monson, J.P.; Grossman, A.B.; Besser, G.M. The value of the low-dose dexamethasone suppression test in the differential diagnosis of hyperandrogenism in women. J. Clin. Endocrinol. Metab. 2003, 88, 2634–2643. [Google Scholar] [CrossRef]
- Jiang, M.J.; Le, Q.; Yang, B.W.; Yuan, F.; Chen, H. Ovarian sex cord stromal tumours: Analysis of the clinical and sonographic characteristics of different histopathologic subtypes. J. Ovarian Res. 2021, 14, 53. [Google Scholar] [CrossRef] [PubMed]
- Sarfati, J.; Bachelot, A.; Coussieu, C.; Meduri, G.; Touraine, P.; Women, S.G. Impact of clinical, hormonal, radiological, and immunohistochemical studies on the diagnosis of postmenopausal hyperandrogenism. Eur. J. Endocrinol. 2011, 165, 779–788. [Google Scholar] [CrossRef] [PubMed]
- Robboy, S.J.; Anderson, M.C.; Russel, P. Pathology of the Female Reproductive Tract, 3rd ed.; Churchill Livingstone: London, UK, 2002; p. 511. ISBN 9780702055447. [Google Scholar]
- Shakir, M.K.M.; Snitchler, A.N.; Vietor, N.O.; Mai, V.Q.; Hoang, T.D. Bilateral Ovarian Leydig Cell Tumors in a Postmenopausal Woman Causing Hirsutism and Virilization. AACE Clin. Case Rep. 2020, 7, 26–28. [Google Scholar] [CrossRef]
- Hussain, S.A.; Dubil, E.A.; De Luca-Johnson, J.N.; Johnston, M. Occult symptomatic bilateral pure Leydig cell tumors in a postmenopausal woman: A case report. Gynecol. Endocrinol. 2021, 37, 672–675. [Google Scholar] [CrossRef]
- Sanz, O.A.; Martinez, P.R.; Guarch, R.T.; Goñi, M.J.; Alcazar, J.L. Bilateral Leydig cell tumour of the ovary: A rare cause of virilization in postmenopausal patient. Maturitas 2007, 57, 214–216. [Google Scholar] [CrossRef]
- Zafrakas, M.; Venizelos, I.D.; Theodoridis, T.D.; Zepiridis, L.; Agorastos, T.; Bontis, J.N. Virilizing ovarian hilus (Leydig) cell tumor with concurrent contralateral hilus cell hyperplasia: A rare diagnosis. Eur. J. Gynaecol. Oncol. 2009, 30, 338–340. [Google Scholar]
- Langevin, T.L.; Maynard, K.; Dewan, A. Bilateral microscopic Leydig cell ovarian tumors in the postmenopausal woman. BMJ Case Rep. 2020, 13, e236427. [Google Scholar] [CrossRef]
- Zou, M.; Chen, R.; Wang, Y.; He, Y.; Wang, Y.; Dong, Y.; Li, J. Clinical and ultrasound characteristics of virilizing ovarian tumors in pre- and postmenopausal patients: A single tertiary center experience. Orphanet J. Rare Dis. 2021, 16, 426. [Google Scholar] [CrossRef]
- Perez Lana, M.; Demayo, S.; Monastero, A.; Nolting, M. Ovarian tumors secreting androgens: An infrequent cause of hyperandrogenism. Minerva Ginecol. 2019, 71, 72–77. [Google Scholar] [CrossRef] [PubMed]
- Hofland, M.; Cosyns, S.; De Sutter, P.; Bourgain, C.; Velkeniers, B. Leydig cell hyperplasia and Leydig cell tumour in postmenopausal women: Report of two cases. Gynecol. Endocrinol. 2013, 29, 213–215. [Google Scholar] [CrossRef] [PubMed]
- Shu, S.; Deng, S.; Tian, J.Q.; Chen, R.; Sun, J.A.; Yu, Q.; Zhu Liu, F.; Huang, L.R.; Pan, Y.L.; Yang, X.J.; et al. The clinical features and reproductive prognosis of ovarian neoplasms with hyperandrogenemia: A retrospective analysis of 33 cases. Gynecol. Endocrinol. 2019, 35, 825–828. [Google Scholar] [CrossRef] [PubMed]
- Sehemby, M.; Bansal, P.; Sarathi, V.; Kolhe, A.; Kothari, K.; Jadhav-Ramteke, S.; Lila, A.R.; Bandgar, T.; Shah, N.S. Virilising ovarian tumors: A single-center experience. Endocr. Connect. 2018, 7, 1362–1369. [Google Scholar] [CrossRef] [PubMed]



| Before Surgery | After One Month | After Three Months | Reference Values | |
|---|---|---|---|---|
| TT, nmol/L | 7.6 | 0.95 | 0.67 | 0.22–2.9 |
| FT, nmol/L | 0.15 | 0.01 | 0.01 | 0.00–0.02 |
| BT, nmol/L | 3.59 | 0.47 | 0.26 | 0.09–0.29 |
| SHBG, nmol/L | 150.25 | 37.31 | 28.56 | 26.1–110.0 |
| DHEAS, μmol/L | 3.79 | NA | NA | 0.96–6.95 |
| 17-OHP, nmol/L | 2.04 | NA | NA | 0.12–7.00 |
| FSH, mIU/mL | 64.86 | 53.23 | 63.59 | 25.80–134.8 |
| Estradiol, pmol/L | 196.9 | 90.34 | 70.58 | <201.0 |
| Prolactin, mIU/L | 292.6 | NA | NA | 102.0–496 |
| Cortisol, nmol/L | 399.3 | NA | NA | 171.0–536.0 |
| TSH, mIU/mL | 1.5 | NA | 1.0 | 0.4–4.0 |
| T4 free, pmol/L | 17.8 | NA | 17.5 | 9.00–23.2 |
| Fasting insulin, mcIU/mL * | 18.7 | NA | NA | 2.6–24.9 |
Publisher’s Note: MDPI stays neutral with regard to jurisdictional claims in published maps and institutional affiliations. |
© 2022 by the authors. Licensee MDPI, Basel, Switzerland. This article is an open access article distributed under the terms and conditions of the Creative Commons Attribution (CC BY) license (https://creativecommons.org/licenses/by/4.0/).
Share and Cite
Suturina, L.V.; Sharifulin, E.M.; Sharifulin, M.A.; Lazareva, L.M.; Danusevich, I.N.; Ievleva, K.D.; Nadeliaeva, I.G. The Leydig Steroid Cell Tumor in a Postmenopausal Woman with Clinical and Biochemical Hyperandrogenism: A Case Report. Metabolites 2022, 12, 620. https://doi.org/10.3390/metabo12070620
Suturina LV, Sharifulin EM, Sharifulin MA, Lazareva LM, Danusevich IN, Ievleva KD, Nadeliaeva IG. The Leydig Steroid Cell Tumor in a Postmenopausal Woman with Clinical and Biochemical Hyperandrogenism: A Case Report. Metabolites. 2022; 12(7):620. https://doi.org/10.3390/metabo12070620
Chicago/Turabian StyleSuturina, Larisa V., Eldar M. Sharifulin, Maharam A. Sharifulin, Ludmila M. Lazareva, Irina N. Danusevich, Kseniia D. Ievleva, and Iana G. Nadeliaeva. 2022. "The Leydig Steroid Cell Tumor in a Postmenopausal Woman with Clinical and Biochemical Hyperandrogenism: A Case Report" Metabolites 12, no. 7: 620. https://doi.org/10.3390/metabo12070620
APA StyleSuturina, L. V., Sharifulin, E. M., Sharifulin, M. A., Lazareva, L. M., Danusevich, I. N., Ievleva, K. D., & Nadeliaeva, I. G. (2022). The Leydig Steroid Cell Tumor in a Postmenopausal Woman with Clinical and Biochemical Hyperandrogenism: A Case Report. Metabolites, 12(7), 620. https://doi.org/10.3390/metabo12070620

