The Phytochemical Profile and Antioxidant and Gastroprotective Effects of Three Varieties of Chenopodium quinoa Willd. Sprouts Cultivated in Peru
Abstract
1. Introduction
2. Materials and Methods
2.1. Collection of the C. quinoa Seeds
2.2. Obtention of the C. quinoa Sprouts
2.3. Preparation of the Hydroalcoholic Extract of C. quinoa Sprouts
2.4. Phytochemical Analysis Through Liquid Chromatography–Mass Spectrometry (LC-MS) Analysis of the Hydroalcoholic Extract of Three Varieties of C. quinoa Sprouts
2.4.1. Preparation of the Sample
2.4.2. Chromatographic Parameters
2.4.3. Mass Spectrometry Settings
2.5. Determination of Antioxidant Capacity Using the Free Radical 2,2-Diphenyl-1-picrylhydrazyl (DPPH)
2.6. Determination of Antioxidant Capacity Using the Sequestration Method with the Radical Cation of the 2.2′-Azinobis-(3-ethylbenzothiazoline)-6-sulfonic Acid (ABTS)
2.7. Animals
2.8. Ethanol-Induced Gastric Ulcer
- -
- Group I, control—physiological saline (PS), 4 mL/kg;
- -
- Group II, 96% ethanol (1 mL/animal);
- -
- Group III, Ranitidine 100 mg/kg;
- -
- Group IV, Sucralfate 50 mg/kg;
- -
- Group V, rats administered a dose of 125 mg/kg of the hydroalcoholic extract of pasankalla quinoa;
- -
- Group VI, rats administered a dose of 250 mg/kg of the hydroalcoholic extract of pasankalla quinoa;
- -
- Group VII, rats administered a dose of 500 mg/kg of the hydroalcoholic extract of pasankalla quinoa;
- -
- Group VIII, rats administered a dose of 125 mg/kg of the hydroalcoholic extract of yellow maranganí quinoa;
- -
- Group IX, rats administered a dose of 250 mg/kg of the hydroalcoholic extract of yellow maranganí quinoa;
- -
- Group X, rats administered a dose of 500 mg/kg of the hydroalcoholic extract of yellow maranganí quinoa;
- -
- Group XI, rats administered a dose of 125 mg/kg of the hydroalcoholic extract of black coito quinoa;
- -
- Group XII, rats administered a dose of 250 mg/kg of the hydroalcoholic extract of black coito quinoa;
- -
- Group XIII, rats administered a dose of 500 mg/kg of the hydroalcoholic extract of black coito quinoa.
2.9. Histopathological Analysis
2.10. Statistical Analysis
3. Results
3.1. Chromatographic Analysis Through LC-MS Analysis of the Hydroalcoholic Extract of Three Varieties of C. quinoa
3.2. Antioxidant Activity of the Hydroalcoholic Extract of the Three Varieties of C. quinoa
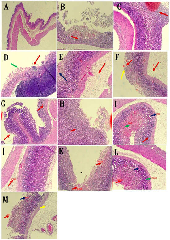
3.3. Evaluation of the Anti-Ulcer Effect of the Hydroalcoholic Extract of Three Varieties of C. quinoa Sprouts
4. Discussion
5. Conclusions
Supplementary Materials
Author Contributions
Funding
Institutional Review Board Statement
Informed Consent Statement
Data Availability Statement
Acknowledgments
Conflicts of Interest
References
- Wang, Y.; Huang, Y.; Chase, R.C.; Li, T.; Ramai, D.; Li, S.; Huang, X.; Antwi, S.O.; Keaveny, A.P.; Pang, M. Global Burden of Digestive Diseases: A Systematic Analysis of the Global Burden of Diseases Study, 1990 to 2019. Gastroenterology 2023, 165, 773–783.e15. [Google Scholar] [CrossRef] [PubMed]
- Athaydes, B.R.; Alves, G.M.; de Assis, A.L.E.M.; Gomes, J.V.D.; Rodrigues, R.P.; Campagnaro, B.P.; Nogueira, B.V.; Silveira, D.; Kuster, R.M.; Pereira, T.M.C.; et al. Avocado Seeds (Persea Americana Mill.) Prevents Indomethacin-Induced Gastric Ulcer in Mice. Food Res. Int. 2019, 119, 751–760. [Google Scholar] [CrossRef] [PubMed]
- Wahnou, H.; Ndayambaje, M.; Ouadghiri, Z.; Benayad, S.; Elattar, H.; Chgari, O.; Naya, A.; Zaid, Y.; Oudghiri, M. Artemisia Herba-Alba: Antioxidant Capacity and Efficacy in Preventing Chronic Arthritis in Vivo. Inflammopharmacology 2024, 32, 1855–1870. [Google Scholar] [CrossRef] [PubMed]
- Ndayambaje, M.; Wahnou, H.; Sow, M.; Chgari, O.; Habyarimana, T.; Karkouri, M.; Limami, Y.; Naya, A.; Oudghiri, M. Exploring the Multifaceted Effects of Ammi Visnaga: Subchronic Toxicity, Antioxidant Capacity, Immunomodulatory, and Anti-Inflammatory Activities. J. Toxicol. Env. Health A 2024, 87, 150–165. [Google Scholar] [CrossRef] [PubMed]
- Guerra-Valle, M.; Orellana-Palma, P.; Petzold, G. Plant-Based Polyphenols: Anti-Helicobacter Pylori Effect and Improvement of Gut Microbiota. Antioxidants 2022, 11, 109. [Google Scholar] [CrossRef] [PubMed]
- Shahzad, N.; Ibrahim, I.A.A.; Alzahrani, A.R.; Al-Ghamdi, S.S.; Alanazi, I.M.M.; Ahmad, M.P.; Singh, A.K.; Alruqi, M.A.; Shahid, I.; Equbal, A.; et al. A Comprehensive Review on Phytochemicals as Potential Therapeutic Agents for Stress-Induced Gastric Ulcer. J. Umm Al-Qura Univ. Appl. Sci. 2024, 10, 793–808. [Google Scholar] [CrossRef]
- Benincasa, P.; Falcinelli, B.; Lutts, S.; Stagnari, F.; Galieni, A. Sprouted Grains: A Comprehensive Review. Nutrients 2019, 11, 421. [Google Scholar] [CrossRef] [PubMed]
- Ren, G.; Teng, C.; Fan, X.; Guo, S.; Zhao, G.; Zhang, L.; Liang, Z.; Qin, P. Nutrient Composition, Functional Activity and Industrial Applications of Quinoa (Chenopodium Quinoa Willd.). Food Chem. 2023, 410, 135290. [Google Scholar] [CrossRef] [PubMed]
- Paucar-Menacho, L.M.; Schmiele, M.; Lavado-Cruz, A.A.; Verona-Ruiz, A.L.; Mollá, C.; Peñas, E.; Frias, J.; Simpalo-Lopez, W.D.; Castillo-Martínez, W.E.; Martínez-Villaluenga, C. Andean Sprouted Pseudocereals to Produce Healthier Extrudates: Impact in Nutritional and Physicochemical Properties. Foods 2022, 11, 3259. [Google Scholar] [CrossRef]
- Hernández, A.A.R.; Zavala, F.A.; Sández, O.R.; Frias, J.; Astiazarán-García, H.; Sánchez, R.M.R. Consumption of Sprouts and Perceptions of Their Health Properties in a Region of Northwestern Mexico. Foods 2021, 10, 3098. [Google Scholar] [CrossRef] [PubMed]
- Abellán, A.; Domínguez-Perles, R.; Moreno, D.A.; García-Viguera, C. Sorting out the Value of Cruciferous Sprouts as Sources of Bioactive Compounds for Nutrition and Health. Nutrients 2019, 11, 429. [Google Scholar] [CrossRef] [PubMed]
- Waliat, S.; Arshad, M.S.; Hanif, H.; Ejaz, A.; Khalid, W.; Kauser, S.; Al-Farga, A. A Review on Bioactive Compounds in Sprouts: Extraction Techniques, Food Application and Health Functionality. Int. J. Food Prop. 2023, 26, 647–665. [Google Scholar] [CrossRef]
- Majzoobi, M.; Wang, Z.; Teimouri, S.; Pematilleke, N.; Brennan, C.S.; Farahnaky, A. Unlocking the Potential of Sprouted Cereals, Pseudocereals, and Pulses in Combating Malnutrition. Foods 2023, 12, 3901. [Google Scholar] [CrossRef] [PubMed]
- Gunathunga, C.; Senanayake, S.; Jayasinghe, M.A.; Brennan, C.S.; Truong, T.; Marapana, U.; Chandrapala, J. Germination Effects on Nutritional Quality: A Comprehensive Review of Selected Cereals and Pulses Changes. J. Food Compos. Anal. 2024, 128, 106024. [Google Scholar] [CrossRef]
- Vidal, J.D.; Beres, C.; Brito, F.O.; Zago, L.; Miyahira, R.F. Unlocking the Functional Potential of Sprouts: A Scientific Exploration on Simulated Gastrointestinal Digestion and Colonic Fermentation. J. Funct. Foods 2024, 117, 106235. [Google Scholar] [CrossRef]
- Quassinti, L.; Gianfranceschi, G.; Lupidi, G.; Miano, A.; Bramucci, M. Antioxidant and Pro-Oxidant Activities of Savoy Cabbage (Brassica Oleracea L. Var. Sabauda) Sprout Extracts. J. Food Biochem. 2016, 40, 542–549. [Google Scholar] [CrossRef]
- Song, J.; Peng, J. Qualitative and quantitative analysis of characteristic sugars in three colored quinoas based on untargeted and targeted metabolomics. J. Food Compos. Anal. 2024, 126, 105880. [Google Scholar] [CrossRef]
- Hussain, M.I.; Farooq, M.; Syed, Q.A.; Ishaq, A.; Al-Ghamdi, A.A.; Hatamleh, A.A. Botany, Nutritional Value, Phytochemical Composition and Biological Activities of Quinoa. Plants 2021, 10, 2258. [Google Scholar] [CrossRef] [PubMed]
- Chaudhary, N.; Walia, S.; Kumar, R. Functional Composition, Physiological Effect and Agronomy of Future Food Quinoa (Chenopodium Quinoa Willd.): A Review. J. Food Compos. Anal. 2023, 118, 105192. [Google Scholar] [CrossRef]
- Enciso-Roca, E.C.; Aguilar-Felices, E.J.; Tinco-Jayo, J.A.; Arroyo-Acevedo, J.L.; Herrera-Calderon, O. Biomolecules with Antioxidant Capacity from the Seeds and Sprouts of 20 Varieties of Chenopodium Quinoa Willd. (Quinoa). Plants 2021, 10, 2417. [Google Scholar] [CrossRef] [PubMed]
- Barakat, H.; Al-Qabba, M.M.; Algonaiman, R.; Radhi, K.S.; Almutairi, A.S.; Al Zhrani, M.M.; Mohamed, A. Impact of Sprouting Process on the Protein Quality of Yellow and Red Quinoa (Chenopodium Quinoa). Molecules 2024, 29, 404. [Google Scholar] [CrossRef] [PubMed]
- Al-Qabba, M.M.; El-Mowafy, M.A.; Althwab, S.A.; Alfheeaid, H.A.; Aljutaily, T.; Barakat, H. Phenolic Profile, Antioxidant Activity, and Ameliorating Efficacy of Chenopodium Quinoa Sprouts against CCl4-Induced Oxidative Stress in Rats. Nutrients 2020, 12, 2904. [Google Scholar] [CrossRef] [PubMed]
- Ramos-Pacheco, B.S.; Choque-Quispe, D.; Ligarda-Samanez, C.A.; Solano-Reynoso, A.M.; Palomino-Rincón, H.; Choque-Quispe, Y.; Peralta-Guevara, D.E.; Moscoso-Moscoso, E.; Aiquipa-Pillaca, Á.S. Effect of Germination on the Physicochemical Properties, Functional Groups, Content of Bioactive Compounds, and Antioxidant Capacity of Different Varieties of Quinoa (Chenopodium Quinoa Willd.) Grown in the High Andean Zone of Peru. Foods 2024, 13, 417. [Google Scholar] [CrossRef] [PubMed]
- Brand-Williams, W.; Cuvelier, M.E.; Berset, C. Use of a Free Radical Method to Evaluate Antioxidant Activity. LWT-Food Sci. Technol. 1995, 28, 25–30. [Google Scholar] [CrossRef]
- Re, R.; Pellegrini, N.; Proteggente, A.; Pannala, A.; Yang, M.; Rice-Evans, C. Antioxidant Activity Applying an Improved ABTS Radical Cation Decolorization Assay. Free Radic. Biol. Med. 1999, 26, 1231–1237. [Google Scholar] [CrossRef] [PubMed]
- Arroyo, J.L.; Cisneros, C.B. Modelos Experimentales de Investigación Farmacológica; Publicaciones ASDIMOR S.A.C: Lima, Perú, 2012; ISBN 978-612-46129-2-3. [Google Scholar]
- Zhou, D.; Yang, Q.; Tian, T.; Chang, Y.; Li, Y.; Duan, L.R.; Li, H.; Wang, S.W. Gastroprotective Effect of Gallic Acid against Ethanol-Induced Gastric Ulcer in Rats: Involvement of the Nrf2/HO-1 Signaling and Anti-Apoptosis Role. Biomed. Pharmacother. 2020, 126, 110075. [Google Scholar] [CrossRef]
- Chen, X.; Yang, D.; Wang, Q.; Zhou, A. Gastroprotective Effects of the Aqueous Extract of Finger Citron Pickled Products against Ethanol-Induced Gastric Damage: In Vitro and In Vivo Studies. Foods 2023, 12, 2355. [Google Scholar] [CrossRef]
- Lan, Y.; Zhang, W.; Liu, F.; Wang, L.; Yang, X.; Ma, S.; Wang, Y.; Liu, X. Recent Advances in Physiochemical Changes, Nutritional Value, Bioactivities, and Food Applications of Germinated Quinoa: A Comprehensive Review. Food Chem. 2023, 426, 136390. [Google Scholar] [CrossRef]
- Guajardo-Flores, D.; García-Patiño, M.; Serna-Guerrero, D.; Gutiérrez-Uribe, J.A.; Serna-Saldívar, S.O. Characterization and Quantification of Saponins and Flavonoids in Sprouts, Seed Coats and Cotyledons of Germinated Black Beans. Food Chem. 2012, 134, 1312–1319. [Google Scholar] [CrossRef] [PubMed]
- Ong, E.S.; Pek, C.J.N.; Tan, J.C.W.; Leo, C.H. Antioxidant and Cytoprotective Effect of Quinoa (Chenopodium Quinoa Willd.) with Pressurized Hot Water Extraction (Phwe). Antioxidants 2020, 9, 1110. [Google Scholar] [CrossRef]
- Chaparro-Rojas, D.C.; Piasmag-Portilla, R.; Elizalde-Correa, A.; Vivas Quila, N.; Erazo-Caicedo, C. Efecto de La Germinación Sobre El Contenido y Digestibilidad de Proteína En Semillas de Amaranto, Quinua, Soya y Guandul. Biotecnol. Sect. Agropecu. y Agroindustrial 2010, 8, 35–42. [Google Scholar]
- Kittibunchakul, S.; Temviriyanukul, P.; Chaikham, P.; Kemsawasd, V. Effects of Freeze Drying and Convective Hot-Air Drying on Predominant Bioactive Compounds, Antioxidant Potential and Safe Consumption of Maoberry Fruits. LWT 2023, 184, 114992. [Google Scholar] [CrossRef]
- Jeon, W.Y.; Shin, I.S.; Shin, H.K.; Lee, M.Y. Gastroprotective Effect of the Traditional Herbal Medicine, Sipjeondaebo-Tang Water Extract, against Ethanol-Induced Gastric Mucosal Injury. BMC Complement. Altern. Med. 2014, 14, 373. [Google Scholar] [CrossRef] [PubMed]
- Kim, Y.S.; Lee, J.H.; Song, J.; Kim, H. Gastroprotective Effects of Inulae Flos on HCl/Ethanol-Induced Gastric Ulcers in Rats. Molecules 2020, 25, 5623. [Google Scholar] [CrossRef]
- Mariod, A.A.; Salama, S.M. The Efficacy of Processing Strategies on the Gastroprotective Potentiality of Chenopodium Quinoa Seeds. Sci. World J. 2020, 2020, 6326452. [Google Scholar] [CrossRef]
- Carrillo, W.I.; Vilcacundo, R.; Carpio, C. Compuestos Bioactivos Derivados de Amaranto y Quinua. Actual. En. Nutr. 2015, 16, 18–22. [Google Scholar]
- Venturini, C.L.; Damazo, A.S.; Silva MJ, D.; Muller JD, A.I.; Oliveira, D.M.; de Freitas Figueiredo, F.; Di Serio, B.F.; Arunachalam, K.; de Oliveira Martins, D.T. Antiulcer Activity and Mechanism of Action of the Hydroethanolic Extract of Leaves of Terminalia Argentea Mart. In Different in Vivo and in Vitro Experimental Models. J. Ethnopharmacol. 2024, 318, 116972. [Google Scholar] [CrossRef] [PubMed]
- Wahnou, H.; Liagre, B.; Sol, V.; El Attar, H.; Attar, R.; Oudghiri, M.; Duval, R.E.; Limami, Y. Polyphenol-Based Nanoparticles: A Promising Frontier for Enhanced Colorectal Cancer Treatment. Cancers 2023, 15, 3826. [Google Scholar] [CrossRef]
- Harsha, C.; Banik, K.; Bordoloi, D.; Kunnumakkara, A.B. Antiulcer Properties of Fruits and Vegetables: A Mechanism Based Perspective. Food Chem. Toxicol. 2017, 108, 104–119. [Google Scholar] [CrossRef] [PubMed]
- Roy, A.; Das, S.; Chatterjee, I.; Roy, S.; Chakraborty, R. Anti-Inflammatory Effects of Different Dietary Antioxidants. In Plant Antioxidants and Health; Reference Series in Phytochemistry; Springer: Cham, Switzerland, 2022; pp. 573–597. [Google Scholar] [CrossRef]
- Wang, Y.; Liu, X.; Liang, L.; Zhu, Y.; Zhang, J.; Luo, L.; Wang, P.; Liu, D. The Protective Effect of Quinoa on the Gastric Mucosal Injury Induced by Absolute Ethanol. J. Sci. Food Agric. 2023, 103, 944–956. [Google Scholar] [CrossRef]
- Cimini, A.; Brandolini, L.; Gentile, R.; Cristiano, L.; Menghini, P.; Fidoamore, A.; Antonosante, A.; Benedetti, E.; Giordano, A.; Allegretti, M. Gastroprotective Effects of L-Lysine Salification of Ketoprofen in Ethanol-Injured Gastric Mucosa. J. Cell Physiol. 2015, 230, 813–820. [Google Scholar] [CrossRef]
- Heeba, G.H.; Morsy, M.A.; Mahmoud, M.E.; Abdel-latif, R. Gastro-Protective Effect of l-Arginine against Nitric Oxide Deficiency-Related Mucosal Injury Induced by Indomethacin: Does Age Matter? J. Biochem. Mol. Toxicol. 2023, 37, e23479. [Google Scholar] [CrossRef]
- Saisavoey, T.; Sangtanoo, P.; Chanchao, C.; Reamtong, O.; Karnchanatat, A. Identification of Novel Anti-Inflammatory Peptides from Bee Pollen (Apis Mellifera) Hydrolysate in Lipopolysaccharide-Stimulated RAW264.7 Macrophages. J. Apic. Res. 2021, 60, 280–289. [Google Scholar] [CrossRef]
- Zhang, S.; Ren, M.; Zeng, X.; He, P.; Ma, X.; Qiao, S. Leucine Stimulates ASCT2 Amino Acid Transporter Expression in Porcine Jejunal Epithelial Cell Line (IPEC-J2) through PI3K/Akt/MTOR and ERK Signaling Pathways. Amino Acids 2015, 46, 2633–2642. [Google Scholar] [CrossRef] [PubMed]
- Taylor, I.L.; Byrne, W.J.; Christie, D.L.; Ament, M.E.; Walsh, J.H. Effect of Individual L-Amino Acids on Gastric Acid Secretion and Serum Gastrin and Pancreatic Polypeptide Release in Humans. Gastroenterology 1982, 83, 273–278. [Google Scholar] [CrossRef]
- Morikawa, T.; Li, N.; Nagatomo, A.; Matsuda, H.; Li, X.; Yoshikawa, M. Triterpene Saponins with Gastroprotective Effects from Tea Seed (the Seeds of Camellia Sinensis). J. Nat. Prod. 2006, 69, 185–190. [Google Scholar] [CrossRef] [PubMed]
- Wang, X.J.; Xie, Q.; Liu, Y.; Jiang, S.; Li, W.; Li, B.; Wang, W.; Liu, C.X. Panax Japonicus and Chikusetsusaponins: A Review of Diverse Biological Activities and Pharmacology Mechanism. Chin. Herb. Med. 2021, 13, 64–77. [Google Scholar] [CrossRef]
- Kumadoh, D.; Archer, M.A.; Yeboah, G.N.; Kyene, M.O.; Boakye-Yiadom, M.; Adi-Dako, O.; Osei-Asare, C.; Adase, E.; Appiah, A.A.; Mintah, S.O. A Review on Anti-Peptic Ulcer Activities of Medicinal Plants Used in the Formulation of Enterica, Dyspepsia and NPK 500 Capsules. Heliyon 2021, 7, e08465. [Google Scholar] [CrossRef] [PubMed]
- Huang, C.C.; Chen, Y.M.; Wang, D.C.; Chiu, C.C.; Lin, W.T.; Huang, C.Y.; Hsu, M.C. Cytoprotective Effect of American Ginseng in a Rat Ethanol Gastric Ulcer Model. Molecules 2013, 19, 316–326. [Google Scholar] [CrossRef]
- Jalilzadeh-Amin, G.; Najarnezhad, V.; Anassori, E.; Mostafavi, M.; Keshipour, H. Antiulcer Properties of Glycyrrhiza Glabra L. Extract on Experimental Models of Gastric Ulcer in Mice. Iran. J. Pharm. Res. 2015, 14, 1163. [Google Scholar]
- El Hazzam, K.; Hafsa, J.; Sobeh, M.; Mhada, M.; Taourirte, M.; Kacimi, K.E.L.; Yasri, A. An Insight into Saponins from Quinoa (Chenopodium Quinoa Willd): A Review. Molecules 2020, 25, 1059. [Google Scholar] [CrossRef]
- Sui, Z.; Wang, N.; Zhang, X.; Liu, C.; Wang, X.; Zhou, H.; Mai, K.; He, G. Comprehensive Study on the Effect of Dietary Leucine Supplementation on Intestinal Physiology, TOR Signaling and Microbiota in Juvenile Turbot (Scophthalmus Maximus L.). Fish. Shellfish. Immunol. 2023, 141, 109060. [Google Scholar] [CrossRef] [PubMed]
- Nair, A.B.; Jacob, S. A Simple Practice Guide for Dose Conversion between Animals and Human. J. Basic. Clin. Pharm. 2016, 7, 27. [Google Scholar] [CrossRef] [PubMed]






| Variety | TEAC (µmol TE/mg) * | |
|---|---|---|
| DPPH Mean ± SD | ABTS Mean ± SD | |
| Pasankalla | 36.70 ± 0.73 | 56.61 ± 1.3 |
| Yellow maranganí | 32.32 ± 0.41 | 41.56 ± 0.66 |
| Black coito | 34.63 ± 0.16 | 52.09 ± 0.79 |
| p-value (ANOVA test) | p < 0.0001 | p < 0.0001 |
Disclaimer/Publisher’s Note: The statements, opinions and data contained in all publications are solely those of the individual author(s) and contributor(s) and not of MDPI and/or the editor(s). MDPI and/or the editor(s) disclaim responsibility for any injury to people or property resulting from any ideas, methods, instructions or products referred to in the content. |
© 2025 by the authors. Published by MDPI on behalf of the Österreichische Pharmazeutische Gesellschaft. Licensee MDPI, Basel, Switzerland. This article is an open access article distributed under the terms and conditions of the Creative Commons Attribution (CC BY) license (https://creativecommons.org/licenses/by/4.0/).
Share and Cite
Enciso-Roca, E.C.; Arroyo-Acevedo, J.L.; Común-Ventura, P.W.; Tinco-Jayo, J.A.; Aguilar-Felices, E.J.; Ramos-Meneses, M.B.; Carrera-Palao, R.E.; Herrera-Calderon, O. The Phytochemical Profile and Antioxidant and Gastroprotective Effects of Three Varieties of Chenopodium quinoa Willd. Sprouts Cultivated in Peru. Sci. Pharm. 2025, 93, 10. https://doi.org/10.3390/scipharm93010010
Enciso-Roca EC, Arroyo-Acevedo JL, Común-Ventura PW, Tinco-Jayo JA, Aguilar-Felices EJ, Ramos-Meneses MB, Carrera-Palao RE, Herrera-Calderon O. The Phytochemical Profile and Antioxidant and Gastroprotective Effects of Three Varieties of Chenopodium quinoa Willd. Sprouts Cultivated in Peru. Scientia Pharmaceutica. 2025; 93(1):10. https://doi.org/10.3390/scipharm93010010
Chicago/Turabian StyleEnciso-Roca, Edwin Carlos, Jorge Luis Arroyo-Acevedo, Pablo Williams Común-Ventura, Johnny Aldo Tinco-Jayo, Enrique Javier Aguilar-Felices, Mahomi Bertha Ramos-Meneses, Rosa Elizabeth Carrera-Palao, and Oscar Herrera-Calderon. 2025. "The Phytochemical Profile and Antioxidant and Gastroprotective Effects of Three Varieties of Chenopodium quinoa Willd. Sprouts Cultivated in Peru" Scientia Pharmaceutica 93, no. 1: 10. https://doi.org/10.3390/scipharm93010010
APA StyleEnciso-Roca, E. C., Arroyo-Acevedo, J. L., Común-Ventura, P. W., Tinco-Jayo, J. A., Aguilar-Felices, E. J., Ramos-Meneses, M. B., Carrera-Palao, R. E., & Herrera-Calderon, O. (2025). The Phytochemical Profile and Antioxidant and Gastroprotective Effects of Three Varieties of Chenopodium quinoa Willd. Sprouts Cultivated in Peru. Scientia Pharmaceutica, 93(1), 10. https://doi.org/10.3390/scipharm93010010

