Next Issue
Volume 13, November
Previous Issue
Volume 13, September
 
 

Diseases, Volume 13, Issue 10 (October 2025) – 39 articles

Cover Story (view full-size image): This nationally representative cross-sectional study examines the influence of maternal sociodemographic, anthropometric, and lifestyle factors including mental health on the physical and psychological health of Greek preschool children. Using validated questionnaires and standardized anthropometric measurements, 200 mother-child dyads were assessed. Maternal obesity was associated with higher rates of childhood overweight/obesity, while maternal depressive and anxiety symptoms were significant predictors of child anxiety. These findings highlight the pivotal role of maternal health—both physical and psychological—in shaping early childhood well-being, underscoring the need for targeted interventions to promote healthy lifestyles and mental health literacy in mothers. View this paper
  • Issues are regarded as officially published after their release is announced to the table of contents alert mailing list.
  • You may sign up for e-mail alerts to receive table of contents of newly released issues.
  • PDF is the official format for papers published in both, html and pdf forms. To view the papers in pdf format, click on the "PDF Full-text" link, and use the free Adobe Reader to open them.
Order results
Result details
Section
Select all
Export citation of selected articles as:
10 pages, 250 KB  
Article
Exploring the Role of Presepsin in the Prediction of Atrial Fibrillation Recurrence: Results from the PLACEBO Study
by Aristi Boulmpou, Christodoulos Papadopoulos, Theocharis Koufakis, Kalliopi Kotsa, Dimitrios Kouroupis, Georgios Dimakopoulos, Aikaterini Balaska, Georgios Zormpas, Michael Doumas and Vassilios Vassilikos
Diseases 2025, 13(10), 349; https://doi.org/10.3390/diseases13100349 - 20 Oct 2025
Viewed by 478
Abstract
Background: Presepsin, a soluble CD14 subtype released during immune activation, has emerged as a marker of inflammation in cardiometabolic disorders. Given the links between inflammation, metabolic dysregulation, and atrial fibrillation (AF), presepsin may represent a novel biomarker for predicting AF recurrence. Aims: To [...] Read more.
Background: Presepsin, a soluble CD14 subtype released during immune activation, has emerged as a marker of inflammation in cardiometabolic disorders. Given the links between inflammation, metabolic dysregulation, and atrial fibrillation (AF), presepsin may represent a novel biomarker for predicting AF recurrence. Aims: To evaluate whether presepsin levels, alone or in combination with other biomarkers and clinical parameters, are associated with paroxysmal AF (PAF) recurrence in a well-characterized cohort from the PLACEBO trial. Methods: This was a retrospective exploratory substudy of 62 patients from the PLACEBO cohort with available baseline presepsin measurements. All patients had a history of PAF and were in sinus rhythm at inclusion. Presepsin and other biomarkers were measured at baseline. Reduced multivariable Cox regression models, limited to two or three predictors, were constructed to avoid overfitting. Results: During 12 months of follow-up, 27 patients (43.5%) experienced AF recurrence. Across the reduced multivariable models, each containing a limited number of predictors, obstructive sleep apnea (OSA) consistently emerged as an independent predictor (HR 3.13–3.36, p < 0.05). The use of HR ranges reflects the inclusion of these variables in more than one model. Galectin-3 (GAL3) and standard deviation of R-R intervals (SDRR) did not retain statistical significance, and presepsin was not independently associated with recurrence (HR 1.00, 95% CI 0.92–1.10, p = 0.94). Conclusions: In this exploratory study, OSA emerged as the only independent predictor of AF recurrence. Presepsin was not significantly associated with recurrence in the present cohort; however, given the limited sample size and exploratory design, these results do not exclude a potential association. Larger, adequately powered studies are needed to clarify the role of presepsin in AF recurrence risk. Full article
16 pages, 8480 KB  
Review
The Radiologists’ Guide to Spinal Separation Surgery: What Does the Surgeon Want to Know?
by Mohsin Khan, Labeeba Haq, Sai Niharika Gavvala, Petr Rehousek, Simon Hughes and Rajesh Botchu
Diseases 2025, 13(10), 348; https://doi.org/10.3390/diseases13100348 - 18 Oct 2025
Viewed by 676
Abstract
Spinal tumours are an uncommon but significant cause of pain, fractures, instability, and cord compression, leading to poor quality of life and mortality. Separation surgery is a rapidly advancing technique that has seen increased utilisation in the field of spinal oncology surgery. Separation [...] Read more.
Spinal tumours are an uncommon but significant cause of pain, fractures, instability, and cord compression, leading to poor quality of life and mortality. Separation surgery is a rapidly advancing technique that has seen increased utilisation in the field of spinal oncology surgery. Separation surgery can be described as a resection technique that decompresses the spinal cord whilst creating an ablative target for high-dose stereotactic radiotherapy to achieve durable local control while minimising the risk of radiation myelopathy. This has facilitated the delivery of stereotactic radiotherapy, as well as created potential for use in managing primary bone tumours of the spine. From a radiology standpoint, optimal outcomes depend on meticulous preoperative characterisation of tumour volume and stability (e.g., ESCC grade and SINS), clear communication of anatomic constraints relevant to approach and fixation, and systematic postoperative surveillance to distinguish expected postoperative appearances from early recurrence or complications. We present our radiological experience and report recommendations while evaluating spinal oncology separation surgery. Full article
Show Figures

Figure 1

21 pages, 734 KB  
Review
Diabetic Ketoacidosis in Young Adults with Type 1 Diabetes: The Impact of the Ketogenic Diet—A Narrative Literature Review
by Joanna Cielecka, Zuzanna Szkamruk, Maciej Walędziak and Anna Różańska-Walędziak
Diseases 2025, 13(10), 347; https://doi.org/10.3390/diseases13100347 - 17 Oct 2025
Viewed by 2794
Abstract
(1) Background: diabetic ketoacidosis (DKA) remains one of the most serious acute complications of type 1 diabetes, especially among young adults. At the same time the ketogenic diet, characterized by high fat and very low carbohydrate intake, is becoming increasingly popular, raising concerns [...] Read more.
(1) Background: diabetic ketoacidosis (DKA) remains one of the most serious acute complications of type 1 diabetes, especially among young adults. At the same time the ketogenic diet, characterized by high fat and very low carbohydrate intake, is becoming increasingly popular, raising concerns about its appropriateness and safety for individuals with type 1 diabetes, (2) Methods: a literature review was conducted using MEDLINE and SCOPUS databases, complemented by additional searches in Embase, Cochrane Library, and Web of Science to ensure broad coverage of both international and European studies with the focus on keywords including “diabetic ketoacidosis”, “type 1 diabetes”, and “ketogenic diet”. The most relevant and up-to-date studies were selected to evaluate both risks and potential clinical applications of this diet in T1D in young adults, (3) Results and Conclusions: While nutritional ketosis under controlled conditions is typically safe, individuals with T1D, especially young adults, may be more vulnerable to DKA due to factors such as inconsistent insulin administration, lack of ketone monitoring, and lifestyle changes. Reports of euglycemic DKA further highlight the importance of regular ketone tracking, even when blood glucose appears within target ranges. Although low-carbohydrate diets may offer improved glycemic profiles, their use in young adults with T1D must be carefully evaluated, emphasizing individualized care plans, close metabolic monitoring, and comprehensive patient education. Ongoing research is essential to clarify whether ketogenic diet can be safely integrated into diabetes management in this population. Full article
Show Figures

Figure 1

21 pages, 586 KB  
Review
Management and Clinical Outcomes of Scleredema Diabeticorum: A Scoping Review
by Weeratian Tawanwongsri and Chime Eden
Diseases 2025, 13(10), 346; https://doi.org/10.3390/diseases13100346 - 17 Oct 2025
Viewed by 770
Abstract
Background/Objectives: The objective of this scoping review was to systematically map the available evidence for the management of scleredema diabeticorum (SD) to summarize the documented clinical outcomes with the aim to inform clinical practice and identify research gaps. Methods: We conducted a scoping [...] Read more.
Background/Objectives: The objective of this scoping review was to systematically map the available evidence for the management of scleredema diabeticorum (SD) to summarize the documented clinical outcomes with the aim to inform clinical practice and identify research gaps. Methods: We conducted a scoping review identifying studies published in English from January 2005 to July 2025 through a comprehensive search of Scopus, MEDLINE, and the Cochrane Library. Eligible studies included randomized controlled trials, observational studies, case series, and case reports on treatment interventions and clinical outcomes. Two reviewers independently screened records, extracted data, and narratively and descriptively synthesized data. Results: Forty-five studies met the inclusion criteria: 39 single-patient case reports, five case series, and one multicenter observational study. The most common interventions were PUVA (8 studies, 14 patients; 12/14 improved, 85.7%), methotrexate (8 studies, 22 patients; 8/22 improved, 36.4%), and improved glycemic control (9 studies, 12 patients; mixed responses). Across small case reports/series, PUVA, UVA-1, and IVIG were most frequently reported as beneficial. Methotrexate monotherapy showed low and inconsistent effectiveness, with higher responses when combined with other agents. Other reported therapies included colchicine, electron-beam radiation, tranilast, and topical hyaluronidase. Conclusions: PUVA, UVA-1, and IVIG may offer benefit, while methotrexate alone is often ineffective. Evidence is predominantly from case reports and small series, which makes it difficult to generalize. Multicenter trials with standardized protocols are needed to develop evidence-based treatment recommendations. Full article
(This article belongs to the Special Issue ‘Rare Syndromes: Diagnosis and Treatment’ in 2024–2026)
Show Figures

Figure 1

25 pages, 3355 KB  
Review
Application and Challenges of Using Probiotic Lactobacillus and Bifidobacterium to Enhance Overall Health and Manage Diseases
by Kawaljit Kaur
Diseases 2025, 13(10), 345; https://doi.org/10.3390/diseases13100345 - 17 Oct 2025
Viewed by 4873
Abstract
Probiotics are known for their health benefits, and new studies suggest they could help with various conditions. However, the specific formulations and mechanisms of probiotics in addressing these issues are still being explored. This review focuses on four key areas: cancer, aging, autoimmune [...] Read more.
Probiotics are known for their health benefits, and new studies suggest they could help with various conditions. However, the specific formulations and mechanisms of probiotics in addressing these issues are still being explored. This review focuses on four key areas: cancer, aging, autoimmune diseases, and neurodegenerative disorders, highlighting the potential benefits of Lactobacillus and Bifidobacterium probiotics. Their interaction with the immune system plays a crucial role in offering protection and therapeutic effects, particularly in enhancing immunity in older adults. The review sheds light on how these probiotics affect the immune system, gut microbiome, and related processes to manage or combat these health problems. It emphasizes the importance of customizing probiotic formulations for specific conditions, as different combinations of Lactobacillus and Bifidobacterium uniquely activate immune cells. Some combinations work as effective treatments for diseases, while others boost immunity in aging. While the potential of these probiotics is significant, challenges remain in using them for cancer, age-related diseases, autoimmune diseases neurodegenerative disorder treatments. Limited evidence calls for further research to define their role and establish guidelines. Future approaches like strain engineering, nanoencapsulation, synbiotics, and personalized microbiome analysis aim to overcome these challenges, making probiotics a more viable option for disease prevention and care. Additionally, there is an urgent need for clinical trials to ensure patients can benefit from these probiotics. Full article
Show Figures

Figure 1

18 pages, 1219 KB  
Article
Right Ventricular Strain and Left Ventricular Strain Using Speckle Tracking Echocardiography—Independent Prognostic Associations in COPD Alongside NT-proBNP
by Silvana-Elena Hojda, Teodora Mocan, Alexandra-Lucia Pop, Ramona Rusnak, Cristina Bidian and Simona Valeria Clichici
Diseases 2025, 13(10), 344; https://doi.org/10.3390/diseases13100344 - 16 Oct 2025
Viewed by 866
Abstract
Background/Objectives: Cardiovascular diseases are the most important cause of mortality in chronic obstructive pulmonary disease (COPD). Speckle-tracking echocardiography (2D-STE) can be used for assessing atrial and ventricular function, and its role in COPD is underexplored. The main objective of this study was to [...] Read more.
Background/Objectives: Cardiovascular diseases are the most important cause of mortality in chronic obstructive pulmonary disease (COPD). Speckle-tracking echocardiography (2D-STE) can be used for assessing atrial and ventricular function, and its role in COPD is underexplored. The main objective of this study was to investigate prognostic associations in patients with COPD using 2D-STE echocardiography and laboratory biomarkers. Methods: The study included 70 participants, divided into two groups: 55 patients diagnosed with COPD and 15 healthy controls. All four cardiac chambers were analyzed with standard ultrasound and 2D-STE techniques. We measured NT-proBNP and several oxidative stress biomarkers: reduced glutathione (GSH), the GSH/GSSG ratio, malondialdehyde (MDA), and Caspase-3. Results: An NT-proBNP level above 325 pg/mL independently predicts advanced COPD stages (GOLD grades 3 and 4), with statistically significant results at a 95% confidence interval (CI) (p = 0.001). Additionally, 2D-STE identified reduced right ventricular (RV) and left ventricular (LV) strain in COPD patients before changes in LV ejection fraction. RV and LV strain measurements (RV4CLS < −16.15%, RVFWSL < −18.6%, LV GLS < −19.45%) along with PASP > 37.5 mmHg are independent predictors of advanced COPD stages, demonstrating significance at a 95% CI (p = 0.001). A positive correlation was observed between NT-proBNP, ultrasound parameters assessing RV systolic function, LV longitudinal strain impairment, and PASP. Conclusions: NT-proBNP serves as an independent biomarker of pulmonary hypertension and secondary right heart overload and independently predicts advanced COPD stages (GOLD grades 3 and 4) alongside RV and LV strain measurements. Full article
Show Figures

Graphical abstract

16 pages, 663 KB  
Review
Evolving Role of Coronary Computed Tomography Angiography (CCTA) in Quantifying Atherosclerotic Coronary Artery Disease: A Narrative Review
by M. A. Manal Smail, Ram B. Singh, Jan Fedacko, Galal Elkilany, Krasimira Hristova, Sarthak Sharma, Ahmed Bathallah, Sherif A. Baathallah, Monika Jankajova and Fabiola Sozzi
Diseases 2025, 13(10), 343; https://doi.org/10.3390/diseases13100343 - 16 Oct 2025
Viewed by 922
Abstract
Background: There have been 20.5 million deaths due to cardiovascular diseases (CVDs), including atherosclerotic coronary artery disease (CAD) and stroke, so far in 2025. Atherosclerosis, which begins in newborns, may be influenced by preconception factors and continues to develop in adults, requiring a [...] Read more.
Background: There have been 20.5 million deaths due to cardiovascular diseases (CVDs), including atherosclerotic coronary artery disease (CAD) and stroke, so far in 2025. Atherosclerosis, which begins in newborns, may be influenced by preconception factors and continues to develop in adults, requiring a proper assessment of the burden of atherosclerotic plaque, as it is the direct cause of CAD. This review aims to emphasize the role of a staging system proposed by the Lancet Commission for the quantification of atherosclerotic coronary artery disease (ACAD) with an emphasis on preconception risk factors and protective factors, based on coronary computed tomography angiography (CCTA). Methods: It is suggested that the use of CCTA scanning makes it possible to quantify the atherosclerotic plaque burden into four stages. Results: CCTA enables us to see how much plaque has built up, as well as the type of plaque, but not the biochemistry of the plaque, to determine its vulnerability. However, if the plaque is a non-calcified fatty plaque, it is considered to be a strong predictor of the risk of myocardial infarction (MI), whereas a more stable calcified plaque is known to be protective against MI. There are several risk factors and protective factors which may influence the process of the rupture or vulnerability of the plaque. A randomized trial revealed that, after a median follow-up of 10·0 years, deaths due to CAD or non-fatal MI were less frequent in the CCTA group compared with a control group. Conclusions: Despite a few gaps in knowledge about the value of a staging system of ACAD, the available evidence indicates that it is helpful in decreasing morbidity and mortality with available therapies. Full article
(This article belongs to the Section Cardiology)
Show Figures

Figure 1

26 pages, 3835 KB  
Article
Utility of a Multimodal Biomarker Panel and Serum Proapoptotic Activity to Refine Diagnosis of Ovarian Adnexal Masses
by Andrea Molina-Pineda, Francisco Osiel Jauregui-Salazar, Aleyda Guadalupe Zamudio-Martínez, Sayma Vizcarra-Ramos, Jesús García-Gómez, Benjamín González-Amézquita, Lizeth Montserrat Aguilar-Vazquez, Raquel Villegas-Pacheco, Rodolfo Hernandez-Gutierrez, Luis Felipe Jave-Suárez and Adriana Aguilar-Lemarroy
Diseases 2025, 13(10), 342; https://doi.org/10.3390/diseases13100342 - 16 Oct 2025
Viewed by 738
Abstract
Background/Objectives: Ovarian adnexal masses present diagnostic challenges due to their heterogeneous etiologies. Accurately differentiating these conditions is critical for timely and effective clinical intervention. This study evaluated circulating molecules and serum-induced apoptosis as complementary tools to conventional diagnostic methods (CA125, HE4, and the [...] Read more.
Background/Objectives: Ovarian adnexal masses present diagnostic challenges due to their heterogeneous etiologies. Accurately differentiating these conditions is critical for timely and effective clinical intervention. This study evaluated circulating molecules and serum-induced apoptosis as complementary tools to conventional diagnostic methods (CA125, HE4, and the ROMA index) for distinguishing benign masses from malignant masses. Methods: A cohort of 136 participants (9 healthy controls, 87 women with benign ovarian adnexal masses and 40 with malignant ovarian adnexal masses) was analyzed. The induction of apoptosis in Jurkat cells by patient serum was assessed using flow cytometry. Serum concentrations of sFas/CD95, HE4, CA125, and additional molecules were measured by ELISA and LEGENDplex™. Clinical, ultrasonographic, and histopathological data were correlated with tumor malignancy. To improve diagnostic performance beyond individual biomarkers, we developed two multiparametric classifiers that integrate the dominant parameters identified through group divergence analysis and ROC evaluation across multiple clinical comparisons. Results: Malignant tumors were associated with older age (51.45 ± 8.35 years, p = 0.0002), postmenopausal status (61.1%, p = 0.0013), and larger tumor size (>10 cm). Ultrasonographic features of complexity were observed exclusively in malignant masses. Functional assays revealed reduced apoptosis in Jurkat cells exposed to malignant sera, suggesting tumor-mediated immune evasion. Although higher sFas levels were observed in tumors, no significant differences were identified between the groups. Among the circulating biomarkers, CA125, HE4, MRP8/14, OPN, and SAA levels were significantly higher in malignant tumors than in benign tumors and controls. Conclusions: The evaluation of CA125, HE4, MRP8/14, and apoptosis (Classifier 1) and, more prominently, the measurement of additional molecules: OPN, SAA, IL-6, IL-8, and IGFBP-4 (Classifier 2), systematically outperformed the ROMA. Both achieved superior specificity and balanced accuracy (Youden’s J index) across all clinical comparisons by capturing the biological diversity of malignancies. Full article
(This article belongs to the Section Oncology)
Show Figures

Figure 1

19 pages, 625 KB  
Review
The Yin and Yang of Antibodies in Viral Infectious Diseases
by Jianning He, Yiu-Wing Kam and Fok-Moon Lum
Diseases 2025, 13(10), 341; https://doi.org/10.3390/diseases13100341 - 15 Oct 2025
Viewed by 952
Abstract
Antibodies are a cornerstone of the adaptive immune response, serving as key defenders against viral infections; however, they can also act as a double-edged sword, contributing to immune-mediated pathologies. This review advances a “Yin-Yang” framework to integrate the dual activities of antibodies. The [...] Read more.
Antibodies are a cornerstone of the adaptive immune response, serving as key defenders against viral infections; however, they can also act as a double-edged sword, contributing to immune-mediated pathologies. This review advances a “Yin-Yang” framework to integrate the dual activities of antibodies. The protective ‘Yin’ functions are driven by high-affinity antibodies generated through processes like somatic hypermutation and class-switch recombination. These antibodies execute viral neutralization, activate the complement system, and engage Fc receptors (FcRs) to drive antibody-dependent cellular cytotoxicity (ADCC) and phagocytosis. These mechanisms form the immunological basis of effective vaccines, which aim to elicit durable and functionally specialized antibody isotypes like IgG and mucosal IgA. Conversely, the pathogenic ‘Yang’ of the response can be detrimental. This includes antibody-dependent enhancement (ADE) of infection, notably observed with flaviviruses, and the development of autoimmunity through mechanisms like molecular mimicry and bystander activation, which can lead to conditions such as multiple sclerosis and Guillain-Barré Syndrome. The balance between protection and pathology is tipped by a confluence of factors. These include viral evasion strategies like antigenic mutation and glycan shielding, as well as host-based determinants such as genetic polymorphisms in FcRs, immune history, and the gut microbiome. Understanding these molecular determinants informs the rational design of next-generation interventions. Promising strategies, such as Fc-region glyco-engineering and the design of tolerogenic vaccines, aim to selectively promote protective functions while minimizing pathological risks, offering a clear path forward in combating viral threats. Full article
Show Figures

Graphical abstract

11 pages, 4970 KB  
Article
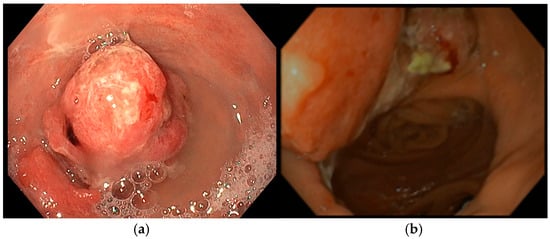
Pioneering Endoscopic Calcium-Electroporation in Gastric Cancer: A Case Series of an Emerging Therapeutic Approach
by Giuliano Francesco Bonura, Noemi Gualandi, Paola Soriani, Pablo Cortegoso Valdivia, Tommaso Gabbani, Valentina Zadro, Federica Indulti, Gabriella Frassanito, Germana de Nucci and Mauro Manno
Diseases 2025, 13(10), 340; https://doi.org/10.3390/diseases13100340 - 15 Oct 2025
Viewed by 583
Abstract
Background/Objectives: Gastric cancer often presents at advanced stages with complications such as iron-deficiency anemia (IDA) due to chronic bleeding, representing a significant global health burden. Palliative management of bleeding tumors in frail patients remains challenging. This study evaluates the feasibility, safety, and efficacy [...] Read more.
Background/Objectives: Gastric cancer often presents at advanced stages with complications such as iron-deficiency anemia (IDA) due to chronic bleeding, representing a significant global health burden. Palliative management of bleeding tumors in frail patients remains challenging. This study evaluates the feasibility, safety, and efficacy of endoscopic calcium-electroporation (Ca-EP), a novel non-thermal ablation technique, for controlling bleeding in end-stage gastric cancer. Methods: Retrospective case series including consecutive patients with end-stage, bleeding gastric cancer and IDA requiring transfusions. Ca-EP was performed using the EndoVE system, which delivers bipolar electrical pulses (250 kHz) to induce reversible electroporation, enabling calcium influx and tumor cell apoptosis. Primary endpoints were clinical success (hemoglobin stabilization/reduced transfusions) and safety. Secondary endpoints included tumor regression, procedural time, and hospital stay. Results: Five patients (median age 81 years) were included. Clinical success was achieved in 80% (4/5) of patients, with reduced transfusion needs and stable hemoglobin levels. One patient required adjunctive hemostatic radiotherapy. No major or minor adverse events were reported, and all patients were discharged within 24 h. Procedural median time was 38 min (range: 22–65). Endoscopic follow-up in three patients showed mild tumor regression or stability. Three patients required repeat Ca-EP sessions due to recurrent bleeding. Conclusions: Endoscopic Ca-EP is a safe, minimally invasive palliative option for bleeding gastric cancer, offering sustained hemostasis and potential antitumor effects without systemic toxicity. Its feasibility in frail patients underscores its clinical relevance, though larger prospective studies are needed to optimize parameters and validate long-term outcomes. Full article
Show Figures

Figure 1

10 pages, 5662 KB  
Case Report
COVID-19 and Superimposed Aspergillosis in a Dual Organ Recipient with Diagnosed B-Cell Lymphoproliferative Disorder: A Rare Case Report and Literature Review
by Vidna Karadžić-Ristanović, Jelena Pavlović, Voin Brković, Ana Bontić, Marko Baralić, Dragan Vasin, Maja Životić, Novica Boričić, Darko Antić, Vojin Vuković and Milan Radović
Diseases 2025, 13(10), 339; https://doi.org/10.3390/diseases13100339 - 14 Oct 2025
Viewed by 464
Abstract
Post-transplant lymphoproliferative disorder (PTLD) poses significant risks following organ transplantation, characterized by potential aggressiveness. This report aims to discuss a case of PTLD presenting as B-cell large-cell lymphoma (DLBCL) post kidney and pancreas transplantation. A 44-year-old female with type 1 diabetes underwent simultaneous [...] Read more.
Post-transplant lymphoproliferative disorder (PTLD) poses significant risks following organ transplantation, characterized by potential aggressiveness. This report aims to discuss a case of PTLD presenting as B-cell large-cell lymphoma (DLBCL) post kidney and pancreas transplantation. A 44-year-old female with type 1 diabetes underwent simultaneous cadaver kidney and pancreas transplantation. She presented with fever, night sweats, and weakness, revealing multiple lesions on CT, including in transplanted and native kidneys and pancreas. A biopsy of the transplant kidney confirmed PTLD, DLBCL subtype, with complex immunohistochemical findings. Chemotherapy (R-CHOP) was initiated but complicated by bowel perforation necessitating surgery and antibiotics, transplant renal vein thrombosis, pyelonephritis, and neutropenia. Despite the complications, the normal function of the transplanted kidney was maintained, which made it possible to implement the standard chemotherapy protocol. This case underscores the diagnostic challenges and therapeutic complexities of PTLD, specifically DLBCL, in transplant recipients. The co-infection of COVID-19 and aspergillosis in a multiple immunocompromised patient indicated a possible rapid course of the disease with global respiratory insufficiency and a fatal outcome despite all applied therapeutic modalities. Full article
Show Figures

Figure 1

17 pages, 2249 KB  
Article
Vaginal Microbiota in Short Cervix Pregnancy: Secondary Analysis of Pessary vs. Progesterone Trial
by Antonio G. Amorim Filho, Roberta C. R. Martins, Lucas A. M. Franco, Juliana V. C. Marinelli, Stela V. Peres, Rossana P. V. Francisco and Mário H. B. Carvalho
Diseases 2025, 13(10), 338; https://doi.org/10.3390/diseases13100338 - 14 Oct 2025
Viewed by 668
Abstract
Background/Objectives: Preterm birth (PTB) is a leading cause of neonatal mortality, particularly in women with a short cervix. Vaginal dysbiosis has been associated with increased PTB risk. Progesterone (PR) and Arabin pessary (PE) are commonly used for PTB prevention, but their impact on [...] Read more.
Background/Objectives: Preterm birth (PTB) is a leading cause of neonatal mortality, particularly in women with a short cervix. Vaginal dysbiosis has been associated with increased PTB risk. Progesterone (PR) and Arabin pessary (PE) are commonly used for PTB prevention, but their impact on vaginal microbiome composition is unclear. This study aimed to compare the effects of these interventions on the vaginal microbiome in women at risk of PTB. Methods: In a secondary analysis of a randomized trial at Hospital das Clínicas, Universidade de São Paulo, 203 women with singleton pregnancies and cervical length ≤ 25 mm at the second trimester were assigned to daily vaginal PR (200 mg) or PE. Vaginal swabs from 44 participants (n = 22 per group) were collected at baseline and 4 weeks post-treatment and analyzed via 16S rRNA gene sequencing. Results: From 88 samples analyzed, 80 showed a low-diversity, Lactobacillus-dominated microbiota, 42 classified into Lactobacillus iners-dominated community state type (CST-III), and 38 presented other Lactobacillus species dominance (termed CST-I/II/V). The remaining eight samples presented non-Lactobacillus dominance (CST-IV). Comparing the two groups, no significant changes in CST were observed between sampling timepoints (PE group, p = 0.368; PR group, p = 0.223). Similarly, Shannon alpha diversity did not change (PE group, p = 0.62; PR group, p = 0.30), and Bray–Curtis dissimilarity also did not change after treatment (p = 0.96, before; p = 0.87, after treatment). Conclusions: Arabin pessary and vaginal progesterone maintain vaginal microbiome stability in women at high PTB risk, supporting the microbiological safety of both interventions. Full article
(This article belongs to the Special Issue Microbiota in Human Disease)
Show Figures

Graphical abstract

15 pages, 1551 KB  
Article
Severe Acute SARS-CoV-2 Infection and Long COVID: What Do We Know So Far? New Challenges in Diagnosis and Management
by Sara Mazzanti, Francesco Barchiesi, Francesco Pallotta, Ilenia Luchetti, Andrea Giacometti and Lucia Brescini
Diseases 2025, 13(10), 337; https://doi.org/10.3390/diseases13100337 - 13 Oct 2025
Cited by 1 | Viewed by 645
Abstract
Background/Objectives: The long-term impact of the COVID-19 pandemic is not just limited to socioeconomic aspects; there are also important health issues to consider. Among these, one of the most important and obvious is long COVID. Despite a significant amount of scientific work having [...] Read more.
Background/Objectives: The long-term impact of the COVID-19 pandemic is not just limited to socioeconomic aspects; there are also important health issues to consider. Among these, one of the most important and obvious is long COVID. Despite a significant amount of scientific work having been published, this condition is still semi-unknown. The objective of this study was to collect useful information for the clarification of some epidemiological, clinical, and laboratory characteristics of this disease. Methods: This was a single-center study carried out at the Infectious Diseases Clinic of the hospital “AUO delle Marche” on all patients hospitalized for COVID-19 between November 2021 and March 2022. Results: From the data, it emerged that, following the resolution of the acute phase of SARS-CoV-2 infection, the majority of people experienced health problems that persisted for at least 6 months. The manifestations and outcomes affect different systems; therefore, long COVID, like COVID-19, has systemic involvement and the clinical manifestations may be residues of the damage caused by the disease during the acute phase, or new manifestations whose pathogenesis is still a matter of discussion. Conclusions: The persistence of inflammation and the dysregulation of the immune system represent some of the pathogenetic hypotheses. Inflammation could therefore represent one of the physiopathogenetic mechanisms of long COVID, and it is possible that it is responsible for the clinical symptoms that appear in the months following the resolution of the acute phase of the disease. Full article
(This article belongs to the Section Infectious Disease)
Show Figures

Figure 1

8 pages, 528 KB  
Case Report
Molecular Analysis of Cerebrospinal Fluid Tumor-Derived DNA to Aid in the Diagnosis and Targeted Treatment of Breast Cancer Brain Metastasis
by Michael Youssef, Alexandra Larson, Vindhya Udhane, Viriya Keo, Kala F. Schilter, Qian Nie and Honey V. Reddi
Diseases 2025, 13(10), 336; https://doi.org/10.3390/diseases13100336 - 11 Oct 2025
Viewed by 888
Abstract
A woman in her 40s with a history of ER/PR+, HER2-negative breast cancer presented with a seizure three years after mastectomy. Magnetic resonance imaging (MRI) revealed a right caudate head mass, which was concerning for either high-grade glioma or metastatic disease, but biopsy [...] Read more.
A woman in her 40s with a history of ER/PR+, HER2-negative breast cancer presented with a seizure three years after mastectomy. Magnetic resonance imaging (MRI) revealed a right caudate head mass, which was concerning for either high-grade glioma or metastatic disease, but biopsy was deemed too high risk. Cerebrospinal fluid (CSF) tumor-derived DNA (tDNA) analysis by next-generation sequencing (NGS) was ordered, revealing a gain-of-function variant in PIK3CA, ERBB2 copy number gain, and high aneuploidy, findings consistent with breast cancer brain metastasis. Based on these results, the patient was treated with stereotactic radiosurgery (SRS) followed by trastuzumab deruxtecan, a HER2-targeted therapy. This case highlights the diagnostic and therapeutic value of CSF tDNA analysis in central nervous system (CNS) lesions when biopsy is not feasible. The report also illustrates how clonal evolution, such as acquired ERBB2 amplification, can occur in metastatic disease and influence treatment decisions. Full article
Show Figures

Figure 1

27 pages, 2039 KB  
Article
Psychiatric Comorbidity, Functional Status, and Neuroinflammatory Pathways in Cancer Patients with and Without Type 2 Diabetes
by Ana-Maria Pâslaru, Iulian Bounegru, Drăguș Laurențiu and Anamaria Ciubară
Diseases 2025, 13(10), 335; https://doi.org/10.3390/diseases13100335 - 10 Oct 2025
Cited by 2 | Viewed by 1040
Abstract
Background: Cancer, type 2 diabetes mellitus (T2DM), and psychiatric comorbidities such as depression and anxiety frequently coexist, with shared mechanisms involving systemic inflammation and neuroinflammatory pathways. Understanding these interactions is critical for improving multidisciplinary oncological care. Methods: We conducted a monocentric [...] Read more.
Background: Cancer, type 2 diabetes mellitus (T2DM), and psychiatric comorbidities such as depression and anxiety frequently coexist, with shared mechanisms involving systemic inflammation and neuroinflammatory pathways. Understanding these interactions is critical for improving multidisciplinary oncological care. Methods: We conducted a monocentric cross-sectional study (n = 174). Beyond descriptive and univariate analyses, we fitted multivariable models: linear regressions (HADS-Anxiety/Depression) with robust HC3 errors and the predictors ECOG, T2DM, age, sex, and residence, and logistic regression for ECOG ≥ 3. We assessed collinearity and model fit, and performed sensitivity checks. Results: Psychiatric comorbidity was present in 58% of patients, while more than 80% of those with available HADS data (n = 136) exceeded the clinical threshold for anxiety or depression. No significant differences in ECOG status were observed between patients with and without T2DM (mean ECOG 2.5 in both groups). Higher ECOG remained positively associated with both HADS-Depression (adjusted β = 2.77, 95% CI −1.03–6.57, p = 0.149) and HADS-Anxiety (β = 1.62, 95% CI −2.76–6.00, p = 0.468), although not statistically significantly. T2DM showed no independent association with either outcome (Depression β = −2.91, p = 0.130; Anxiety β = −0.80, p = 0.595). In logistic regression, T2DM was not significantly associated with ECOG ≥ 3 (aOR = 3.58, 95% CI 0.23–56.66, p = 0.365). Conclusions: The psychiatric burden is high among Romanian cancer patients, irrespective of T2DM status, and strongly associated with functional decline. These findings support the relevance of a neuroinflammatory framework linking somatic comorbidities and psychological distress. Routine psychiatric screening, early intervention, and integration of psycho-oncology into multidisciplinary care are recommended. Future prospective studies should incorporate inflammatory biomarkers to better define underlying mechanisms. Full article
Show Figures

Figure 1

11 pages, 1316 KB  
Article
Vitamin B12 Deficiency Associated with Metformin and Proton Pump Inhibitors and Their Combinations: Results from a Disproportionality and Interaction Analysis
by Kannan Sridharan
Diseases 2025, 13(10), 334; https://doi.org/10.3390/diseases13100334 - 10 Oct 2025
Viewed by 4036
Abstract
Background: Metformin and proton pump inhibitors (PPIs) are independently associated with vitamin B12 deficiency. Despite frequent co-prescription, particularly in diabetics with gastroesophageal disorders, evidence regarding the combined risk of these medications on vitamin B12 deficiency remains limited. This study aimed to evaluate the [...] Read more.
Background: Metformin and proton pump inhibitors (PPIs) are independently associated with vitamin B12 deficiency. Despite frequent co-prescription, particularly in diabetics with gastroesophageal disorders, evidence regarding the combined risk of these medications on vitamin B12 deficiency remains limited. This study aimed to evaluate the real-world risk of vitamin B12 deficiency associated with metformin, PPIs, and their combinations using the United States Food and Drug Administration Adverse Event Reporting System (USFDA AERS) database. Methods: We conducted a disproportionality analysis using USFDA AERS data from 2004 to 2024. We assessed whether metformin, PPIs, or their combinations were reported more often than expected with vitamin B12 deficiency and evaluated associated clinical outcomes, such as hospitalization and life-threatening events. Results: Among 29,661,136 reports, 552 met inclusion criteria, with metformin monotherapy accounting for 274 cases. Positive safety signals were detected for both metformin and all PPIs individually. While statistical interaction measures were not conclusive, patients on metformin–pantoprazole combination therapy experienced significantly higher rates of hospitalization and life-threatening events compared to those on pantoprazole alone. Conclusions: These findings suggest that patients receiving metformin and PPIs together, particularly the elderly, may face a higher risk of serious vitamin B12 deficiency-related complications. Clinicians should consider closer monitoring of vitamin B12 levels and supplementation when needed in patients on combination therapy. Full article
Show Figures

Figure 1

18 pages, 586 KB  
Systematic Review
Thrombophilic Changes and Hematological Complications in Asthmatic Patients with COVID-19: A Systematic Review
by Gabriela Mara, Gheorghe Nini, Stefan Marian Frent, Ana Lascu, Maria Daniela Mot, Casiana Boru and Coralia Cotoraci
Diseases 2025, 13(10), 333; https://doi.org/10.3390/diseases13100333 - 8 Oct 2025
Viewed by 555
Abstract
Background/Objectives: The interplay between asthma and COVID-19 raises critical clinical questions, particularly regarding the risk of hematological complications in patients affected by both conditions. While COVID-19 is known to cause coagulopathy and thromboembolic events, it remains unclear whether asthma independently influences these [...] Read more.
Background/Objectives: The interplay between asthma and COVID-19 raises critical clinical questions, particularly regarding the risk of hematological complications in patients affected by both conditions. While COVID-19 is known to cause coagulopathy and thromboembolic events, it remains unclear whether asthma independently influences these risks. This systematic review aimed to synthesize existing evidence on hematological abnormalities—including D-dimer elevation, thrombocytopenia, and venous thromboembolism (VTE)—in asthmatic patients with confirmed SARS-CoV-2 infection. Methods: A systematic search was conducted in PubMed and Web of Science databases for studies published between January 2020 and May 2025. Inclusion criteria were studies reporting hematologic outcomes in asthmatic patients with COVID-19. After duplicate removal, 139 unique articles were screened, with 40 studies meeting inclusion criteria. These included observational cohorts, retrospective analyses, and clinical investigations. Data were synthesized in a systematic review with qualitative synthesis due to heterogeneity in design and reporting. Results: The review identified variable patterns of D-dimer elevation and thrombotic events among asthmatic COVID-19 patients. Some studies reported a higher incidence of ICU admission, elevated inflammatory and coagulation markers, and increased thromboembolic risk in asthmatic individuals—particularly those with poor disease control or non-allergic phenotypes. However, findings were inconsistent and often limited by the absence of asthma stratification, standardized outcome measures, and prospective designs. Conclusions: Current evidence does not support a definitive link between asthma and increased thrombotic risk in COVID-19. Further research with prospective, phenotype-stratified methodologies and harmonized hematologic endpoints is needed to clarify whether asthma modifies the hematologic trajectory of SARS-CoV-2 infection. Full article
(This article belongs to the Special Issue COVID-19 and Global Chronic Disease 2025: New Challenges)
Show Figures

Figure 1

13 pages, 249 KB  
Article
Concussions in Portuguese Professional Football: A Preliminary Epidemiological Study
by André Moreira, Filipe Froes, Gonçalo Vaz, Alexandre Fernandes, Basil Ribeiro, Frank Mederos, Gabriel Nogueira, Hugo Almeida, Pedro Caetano, Pedro Prata, Ana Teixeira and Reinaldo Teixeira
Diseases 2025, 13(10), 332; https://doi.org/10.3390/diseases13100332 - 8 Oct 2025
Viewed by 526
Abstract
Introduction: Concussions are a growing concern in professional football due to their potential short- and long-term neurological consequences. Despite increasing global awareness, data on the epidemiology and clinical management of concussions in Portuguese football remain scarce. This preliminary exploratory study aimed to characterize [...] Read more.
Introduction: Concussions are a growing concern in professional football due to their potential short- and long-term neurological consequences. Despite increasing global awareness, data on the epidemiology and clinical management of concussions in Portuguese football remain scarce. This preliminary exploratory study aimed to characterize the incidence, mechanisms, symptomatology, and medical response to concussions in Portugal’s Professional Football Leagues during the 2023/2024 season, based on reported cases. Methods: A retrospective observational analysis was conducted on head injuries reported by club medical teams during official matches in Liga Portugal First and Second Leagues. Collected variables included player position, time of injury, mechanism, symptoms, medical interventions and hospital referral. Results: Only six concussions were reported during official matches, with an overall incidence of 0.60 per 1000 player-hours. Most occurred in defenders, primarily due to head-to-head collisions, followed by ball impact, falls, and maxillofacial trauma. Injuries were more frequent during the final third of matches. Common symptoms included loss of consciousness, headache, and amnesia. Half of the players were referred to hospital care and underwent cranial CT scans. Among all variables analyzed, a statistically significant association was found between mechanism of injury and occurrence of amnesia (p = 0.014), with non-head-to-head impacts more frequently associated with amnesia. However, given the extremely limited sample size, this finding should be interpreted with extreme caution and requires replication in larger cohorts. Conclusions: This preliminary study suggests that defenders face a higher risk of head injuries, particularly from head-to-head impacts occurring late in matches. The prevalence of severe symptoms and the potential association between non-head-to-head impacts and amnesia highlight the need for more robust injury surveillance systems and underscore the importance of improved sideline assessment and return-to-play protocols. The findings emphasize the urgent need for comprehensive, standardized reporting mechanisms for concussions. Further research should explore long-term neurological effects and the effectiveness of preventive measures such as rule modifications, protective measures, and enhanced concussion management protocols, supported by more extensive and systematically collected data. Full article
13 pages, 1838 KB  
Article
C-Reactive Protein Levels Predict Improvement in the Liver Functional Reserve by Long-Term Rifaximin Treatment
by Kensuke Kitsugi, Kazuhito Kawata, Go Murohisa, Yashiro Yoshizawa, Masaharu Kimata, Yosuke Kobayashi, Shuhei Unno, Hidenao Noritake, Takeshi Chida and Yoshisuke Hosoda
Diseases 2025, 13(10), 331; https://doi.org/10.3390/diseases13100331 - 8 Oct 2025
Viewed by 616
Abstract
Objectives: Rifaximin is a non-absorbable antibiotic that has an efficacy for hepatic encephalopathy (HE). We previously demonstrated that rifaximin improved liver functional reserve, but this was a single-center study with a limited number of cases, and there were few cases of long-term use. [...] Read more.
Objectives: Rifaximin is a non-absorbable antibiotic that has an efficacy for hepatic encephalopathy (HE). We previously demonstrated that rifaximin improved liver functional reserve, but this was a single-center study with a limited number of cases, and there were few cases of long-term use. Here, we conducted a multicenter study to evaluate the efficacy of long-term rifaximin administration on the liver functional reserve. Methods: A multicenter retrospective study was conducted on cirrhotic patients who received rifaximin for more than 12 months. We evaluated the efficacy of long-term rifaximin administration on the liver functional reserve. Results: A total of 65 cirrhotic patients were enrolled. Administration of rifaximin for 12 months significantly improved the Child–Pugh score (CPS) and albumin–bilirubin (ALBI) score. Regarding the parameters of the CPS, albumin scores significantly improved in addition to HE scores at 12 months. Univariate and multivariate analysis revealed that high C-reactive protein (CRP) levels (>0.69 mg/dL) at baseline were the predictive factor for improvement in the liver functional reserve. Conclusions: This study suggests that long-term rifaximin administration may improve the liver functional reserve in cirrhotic patients through improvement in albumin levels. CRP levels predict improvement in the liver functional reserve. Full article
(This article belongs to the Section Gastroenterology)
Show Figures

Figure 1

16 pages, 3383 KB  
Article
Leiomyosarcomas of the Great Saphenous Vein: Diagnostic and Therapeutic Strategies to Prevent Unplanned Excisions and Improve Oncologic, Functional, and Psychological Outcomes
by Luis R. Ramos Pascua, Elena Ramos García, Manuel Robustillo Rego, Violeta González Méndez, Ana Belén Enguita Valls, María I. Mora Fernández, Gabriel Rubio Valladolid and Jesús E. Vilá y Rico
Diseases 2025, 13(10), 330; https://doi.org/10.3390/diseases13100330 - 6 Oct 2025
Viewed by 409
Abstract
Background/Objectives: There are very few publications on unplanned excisions of great saphenous vein leiomyosarcomas (GSV-LMS), and their impact on the prognosis of the disease is not well known. The objective of this study is to present a series of nine new leiomyosarcomas of [...] Read more.
Background/Objectives: There are very few publications on unplanned excisions of great saphenous vein leiomyosarcomas (GSV-LMS), and their impact on the prognosis of the disease is not well known. The objective of this study is to present a series of nine new leiomyosarcomas of the great saphena vein (LMS-GSV) cases, with the aim of increasing diagnostic awareness and proposing guidelines for therapeutic management. Methods: This is a prospective single-centre study of a series of nine GSV-LMS in thigh (stage IIIA AJCC), knee and proximal leg (IB, 1 II and 3 IIIA), and ankle (2 IIIB and 1 II). Eight patients were female, and the mean age was 72 years. All patients were surgically treated. Five (56%) were unplanned excisions. All these patients were reoperated on to attempt wide resection margins. In a patient, an infra-patellar amputation was performed. Another amputation was refused by another patient. Eight patients received adjuvant radiotherapy. Results: One patient died 8 years after amputation for a reason other than LMS. The patient who refused amputation has been alive, disease-free, for 28 months. The mean follow-up of surviving patients was 39 months (6–78 months). In these patients, there were no local recurrences or metastases. The mean functional outcome according to the MSTS score was 28.9 (range: 24–30). Conclusions: Unplanned excision of GSV-LMS can be prevented through clinical and imaging suspicion. Surgery and re-excision in case of inadequate previous margins and adjuvant radiotherapy lead to a good oncological and functional outcome. Full article
Show Figures

Figure 1

11 pages, 458 KB  
Article
Impact of Red Pack Cell Transfusion Before or After Endoscopy on Mortality in Patients with Upper Gastrointestinal Bleeding: A Multicenter Cohort Study
by Clelia Marmo, Cristina Bucci, Marco Soncini, Maria Elena Riccioni and Riccardo Marmo
Diseases 2025, 13(10), 329; https://doi.org/10.3390/diseases13100329 - 4 Oct 2025
Viewed by 817
Abstract
Background: The impact of transfusion timing relative to endoscopy in upper gastrointestinal bleeding (UGIB) remains unclear. Aim: To assess whether transfusion performed before versus after endoscopy affects 30-day mortality in UGIB. Methods: We conducted a post hoc analysis of a multicenter cohort study [...] Read more.
Background: The impact of transfusion timing relative to endoscopy in upper gastrointestinal bleeding (UGIB) remains unclear. Aim: To assess whether transfusion performed before versus after endoscopy affects 30-day mortality in UGIB. Methods: We conducted a post hoc analysis of a multicenter cohort study including 3324 UGIB patients consecutively admitted in hospital. Propensity score matching adjusted for clinical and procedural variables. Results: Among 2017 transfused patients, 34.7% received Red Blood Cells (RBC) before endoscopy. Patients who received transfusions before endoscopy were older, had more severe comorbidities, and presented with a worse physical and hemodynamic status. This study also explored whether transfusion timing relative to endoscopy affects clinical outcomes in patients stratified by baseline hemoglobin levels. While pre-endoscopy transfusion was not significantly associated with reduced 30-day mortality in the overall population, we observed an advantage in patients transfused before the endoscopy when the Hb value was <7 g/dL. Pre-endoscopy transfusion was associated with a 6% absolute reduction in 30-day mortality (p < 0.06), with a greater benefit observed in patients with Hb < 7 g/dL (−27%) and <8 g/dL (−21%). Moreover, for this group of patients more favorable outcome was observed when the endoscopy was performed between 6 and 12 h from admission. These findings suggest that transfusion timing should be integrated into individualized UGIB management and may impact future clinical guidelines. Conclusions: In patients with severe anemia and UGIB, transfusion before endoscopy may reduce mortality. Timing to transfusion should be considered alongside hemodynamic and procedural factors in future guidelines. Full article
(This article belongs to the Section Gastroenterology)
Show Figures

Figure 1

9 pages, 228 KB  
Article
Low-Grade Inflammatory Hematological Markers in Otolaryngologic Diseases: A Preliminary Report
by María Aurora Maravilla-Domínguez, Beatriz Teresita Martín-Márquez, Flavio Sandoval-García, Verónica Adriana Montes-Varela, Nicté Selene Fajardo-Robledo, Fernanda Isadora Corona-Meraz and Soraya Amalí Zavaleta-Muñiz
Diseases 2025, 13(10), 328; https://doi.org/10.3390/diseases13100328 - 3 Oct 2025
Viewed by 446
Abstract
Background/Objectives: Complete blood count tests are inexpensive and widely available and may help identify low-grade inflammation in otolaryngologic (Ear, Nose and Throat, ENT) diseases, such as facial paralysis and hearing loss. This study aimed to describe the neutrophil-to-lymphocyte ratio (NLR), platelet-to-lymphocyte ratio [...] Read more.
Background/Objectives: Complete blood count tests are inexpensive and widely available and may help identify low-grade inflammation in otolaryngologic (Ear, Nose and Throat, ENT) diseases, such as facial paralysis and hearing loss. This study aimed to describe the neutrophil-to-lymphocyte ratio (NLR), platelet-to-lymphocyte ratio (PLR), monocyte-to-lymphocyte ratio (MLR), eosinophil-to-lymphocyte ratio (ELR), and lymphocyte-to-monocyte ratio (LMR) in ENT diseases and to provide preliminary evidence supporting further research. Methods: Data from 62 patients with ENT diseases were analyzed in a cross-sectional design. Results: The prevalence of ENT diseases was higher in women (63%) and adults (85.5%), highlighting vertigo, hearing loss, and septal deviation. Most marker values were within normal ranges; however, NLR values were elevated in patients with either septal deviation or vertigo, and ELR values were increased in cases of allergic or infectious rhinitis and sinusitis. In contrast, LMR values were at the lower normal limits in patients with septal deviation. Conclusions: These findings highlight the need for further studies to clarify the role of these biomarkers in chronic conditions and morphological alterations associated with ENT diseases, using more complex study designs. Full article
23 pages, 904 KB  
Article
Association of Maternal Sociodemographic, Anthropometric, and Lifestyle Factors with Childhood Anthropometric Measures and Anxiety Symptoms: A Nationally Representative Cross-Sectional Study of Preschool-Aged Children in Greece
by Exakousti-Petroula Angelakou, Athina Spyrilioti, Maria Tsiakara, Maria Vasilakaki and Constantinos Giaginis
Diseases 2025, 13(10), 327; https://doi.org/10.3390/diseases13100327 - 2 Oct 2025
Viewed by 1486
Abstract
Background/Objective: Childhood obesity and mental health disorders in preschool-aged children represent critical public health challenges with a rising global prevalence, closely linked to lifestyle behaviors and the family environment. This cross-sectional study aims to investigate the combined influence of maternal sociodemographic, socioeconomic, anthropometric [...] Read more.
Background/Objective: Childhood obesity and mental health disorders in preschool-aged children represent critical public health challenges with a rising global prevalence, closely linked to lifestyle behaviors and the family environment. This cross-sectional study aims to investigate the combined influence of maternal sociodemographic, socioeconomic, anthropometric characteristics, and lifestyle factors on the physical and mental health status of preschool-aged children. Methods: Validated questionnaires were administered to assess dietary habits, psychosocial parameters (depression, anxiety, stress), and sociodemographic, socioeconomic, and anthropometric variables among 200 preschool-aged children and their mothers, who served as the primary informants. Results: Maternal obesity was associated with a higher prevalence of childhood overweight/obesity (36.7% vs. 18.5% in children of non-obese mothers, p = 0.009). Maternal psychological factors, specifically depressive symptoms (B = 0.998, OR = 2.712, 95% CI: 1.222–6.020, p = 0.014) and anxiety (B = 1.676, OR = 5.346, 95% CI: 2.471–11.565, p < 0.001), were independently associated with an increased likelihood of child anxiety. Anthropometric measures, including waist circumference (p = 0.032) and hip circumference (p = 0.031), primarily influenced children’s physical health, whereas maternal psychological factors predominantly affected their emotional well-being. Conclusions: The findings underscore the necessity for targeted interventions focusing on enhancing maternal nutrition and mental health literacy, aiming to promote healthy dietary patterns, physical activity, and lifestyle behaviors. Such interventions are pivotal for preventing childhood obesity and fostering overall well-being at the population level. Full article
Show Figures

Figure 1

17 pages, 668 KB  
Article
Triglycerides, Cholesterol, and Depressive Symptoms Among Undergraduate Medical Students: A Cross-Sectional Study
by Maximiliano Olguín-Montiel, Alejandro Álvarez-Flores, Dulce Milagros Razo-Blanco-Hernández, María Alicia Mejía-Blanquel, Verónica Fernández-Sánchez, Gledy Manuela Olmos-Rivera, Ana Cristina Castañeda-Márquez, Edith Araceli Cano-Estrada, Mónica Alethia Cureño-Díaz and José Ángel Hernández-Mariano
Diseases 2025, 13(10), 326; https://doi.org/10.3390/diseases13100326 - 2 Oct 2025
Viewed by 1340
Abstract
Background: Depression is one of the most common mental disorders among undergraduate students, particularly those in medical training, who face high academic demands and emotional burdens. Biological factors such as lipid abnormalities have been proposed as contributors to depressive symptoms, although evidence in [...] Read more.
Background: Depression is one of the most common mental disorders among undergraduate students, particularly those in medical training, who face high academic demands and emotional burdens. Biological factors such as lipid abnormalities have been proposed as contributors to depressive symptoms, although evidence in this group is scarce. Therefore, we aimed to evaluate the association between triglyceride and total cholesterol levels and depressive symptoms in medical students. Methods: We conducted a cross-sectional study including 219 medical students from a public university in Mexico. Depressive symptoms were assessed using the CESD-7 scale, validated in the Mexican population. Fasting triglyceride and total cholesterol concentrations were measured with the Accutrend Plus analyzer. Prevalence ratios (PRs) and 95% confidence intervals (CIs) were estimated using robust Poisson regression, adjusting for potential confounders. Results: Overall, 38.8% of students presented depressive symptoms. In adjusted continuous models, each 10 mg/dL increase in triglycerides was associated with a 4% higher prevalence of depression (PR = 1.04, 95% CI 1.03–1.06), while each 10 mg/dL increase in total cholesterol was associated with a 13% higher prevalence (PR = 1.13, 95% CI 1.05–1.21). Analyses using clinically relevant cutoffs confirmed these associations: triglycerides ≥ 150 mg/dL (PR = 1.76, 95% CI 1.24–2.48) and cholesterol ≥ 200 mg/dL (PR = 1.66, 95% CI 1.19–2.31). Conclusions: Dyslipidemias may play a relevant role in the mental health of young adults and highlight the importance of incorporating metabolic risk assessment into strategies to prevent and address depression in medical students. Full article
(This article belongs to the Section Neuro-psychiatric Disorders)
Show Figures

Figure 1

11 pages, 706 KB  
Article
Revolving Door in Older Patients: An Observational Study of Risk Assessment of Rehospitalization Using the BRASS Scale
by Francesco Saverio Ragusa, Anna La Vattiata, Antonio Terranova, Giuseppina Pesco, Davide Mariani, Ligia J. Dominguez, Nicola Veronese, Pasquale Mansueto and Mario Barbagallo
Diseases 2025, 13(10), 325; https://doi.org/10.3390/diseases13100325 - 1 Oct 2025
Viewed by 521
Abstract
Introduction: The “revolving” door is a phenomenon that refers to the rehospitalization of older patients who, after being discharged, soon require specialized hospital care again. Unfortunately, the use of tools able to predict this phenomenon is still limited. The aim of this [...] Read more.
Introduction: The “revolving” door is a phenomenon that refers to the rehospitalization of older patients who, after being discharged, soon require specialized hospital care again. Unfortunately, the use of tools able to predict this phenomenon is still limited. The aim of this study was to highlight the validity of the Blaylock Risk Assessment Screening (BRASS) Scale in objectively assessing the risk of rehospitalization and mortality among older patients. Methods: Patients were classified as low, medium, or high risk using the BRASS scale. Adverse events (rehospitalization or death) were recorded at baseline and at 12 months. Kaplan–Meier curves evaluated survival and rehospitalization across risk groups, and ROC analysis assessed the BRASS Scale’s predictive value for mortality. Results: Out of 179 enrolled older adults (mean age 67.7 years), 54.2% were classified as low risk, 29.5% as medium, and 16.8% as high risk based on the BRASS Scale. High-risk patients had significantly higher mortality (HR: 4.40; 95% CI: 1.60–12.19, p = 0.004) and lower survival rates, while intermediate-risk patients had increased rehospitalization (HR: 2.11; 95% CI: 1.09–4.08, p = 0.02). The BRASS scale showed good predictive value for mortality (AUC 0.76). Conclusion: The BRASS Scale has a good predictive value for negative outcomes, and it confirms that a substantial proportion of older patients are at risk of future hospital readmissions and complex discharges. These findings underscore the importance of early post-discharge care planning and the implementation of protected discharge programs. Full article
Show Figures

Figure 1

12 pages, 248 KB  
Article
Factors Associated with Hepatitis B Vaccination Status Among U.S. Adults with Diabetes
by Douwné L. Müller, Jessica Yingst, William A. Calo, Heather Stuckey, Thomas Godfrey and Li Wang
Diseases 2025, 13(10), 324; https://doi.org/10.3390/diseases13100324 - 1 Oct 2025
Viewed by 1026
Abstract
Background/Objectives: Adults aged 19–59 with diabetes are recommended by the Advisory Committee on Immunization Practices (ACIP) to receive vaccination against Hepatitis B Virus (HBV) infection because of their increased risk of contracting HBV. This study aimed to examine hepatitis B (HepB) vaccination rates [...] Read more.
Background/Objectives: Adults aged 19–59 with diabetes are recommended by the Advisory Committee on Immunization Practices (ACIP) to receive vaccination against Hepatitis B Virus (HBV) infection because of their increased risk of contracting HBV. This study aimed to examine hepatitis B (HepB) vaccination rates among U.S. adults aged 19–59 years with diabetes and explore sociodemographic factors associated with HepB vaccination. Methods: Data from the 2015–2018 National Health and Nutrition Examination Survey (NHANES) were analyzed to compare HepB vaccination between adults with and without diabetes. Weighted Chi-square analysis was used to test the associations between HepB vaccination status and various categorical variables. Weighted logistic regression was employed to identify factors associated with being fully vaccinated. Results: A total of 5988 adults aged 19–59 were included in the study, of whom 504 (8.4%) had diabetes. The HepB vaccination rate was 32.3% for those with diabetes vs. 43.6% for those without diabetes (p = 0.01). However, after adjusting for other covariates, having diabetes was not associated with being fully vaccinated against HBV (p = 0.583). Adults aged 45–59 years were less likely to be vaccinated against HBV compared to those aged 19–29 (OR: 0.12, p < 0.0001). Having health insurance, being female, and having a higher educational level were all associated with HepB vaccination status (all p < 0.01). Overall, the HBV infection rate was 1.1%. Having HepB vaccination was associated with a lower risk of HBV infection among both groups with and without diabetes. Conclusions: HepB vaccination among U.S. adults with diabetes was suboptimal and lower than among those without diabetes. Age and education were associated with being fully vaccinated against HBV. Future research is needed to identify and better understand barriers to receiving HepB vaccines. Full article
23 pages, 8637 KB  
Article
Comprehensive Explorations and Preliminary Experimental Verification of RNA Modification-Related Diagnostic Markers in the Subtype Classification of Peripheral Blood-Derived Mononuclear Cells Derived from Post-Traumatic Stress Disorder Patients
by Lesheng Wang, Gaomeng Luo, Sha Liu, Zhipeng Xu, Wei Wei and Xiang Li
Diseases 2025, 13(10), 323; https://doi.org/10.3390/diseases13100323 - 1 Oct 2025
Cited by 1 | Viewed by 688
Abstract
Background: The precise role of RNA modification in post-traumatic stress disorder (PTSD) remains incompletely understood. This study aims to elucidate the effects of five common RNA modifications in PTSD, specifically m6A, m5C, m1A, m7G, and [...] Read more.
Background: The precise role of RNA modification in post-traumatic stress disorder (PTSD) remains incompletely understood. This study aims to elucidate the effects of five common RNA modifications in PTSD, specifically m6A, m5C, m1A, m7G, and ψ. Methods: We extracted data from the GEO repository to conduct a series of bioinformatics analyses. These included differential analysis to identify key regulators of five common RNA modifications, model construction using random forest (RF), least absolute shrinkage and selection operator (LASSO), and nomogram techniques, as well as consensus clustering of RNA modification subtypes. Furthermore, GO enrichment analysis was performed on DEGs associated with various RNA modification patterns. Immune cell infiltration was assessed using PCA and ssGSEA. RT-qPCR was performed to validate RNA modification-related genes (RMGs). Results: Twenty-one differentially expressed RMGs were identified. LASSO and RF intersection yielded eight signature genes (YTHDC1, IGFBP1, IGF2BP1, ALKBH5, NSUN4, TET2, TET3, WDR4) that robustly diagnosed PTSD (AUC = 0.804). Furthermore, these feature genes were validated using RT-qPCR, which was basically consistent with the results of bioinformatics analysis. Consensus clustering analysis may reveal two distinguishable subtypes: clusterA marked by high immunoinflammation, and clusterB characterized by high-neuroendocrine dysregulation. Conclusions: RMGs may play a crucial role in the pathogenesis of PTSD. Analyzing RNA modification patterns could offer potential diagnostic markers and help to guide immunotherapeutic approaches or neurotransmitter system interventions for PTSD in the future. Full article
(This article belongs to the Section Neuro-psychiatric Disorders)
Show Figures

Figure 1

12 pages, 3187 KB  
Review
Psoriasis in the Context of Dermatologic Disorders: A Comprehensive Overview
by Julia Nowowiejska-Purpurowicz, Patrycja Lemiesz and Iwona Flisiak
Diseases 2025, 13(10), 322; https://doi.org/10.3390/diseases13100322 - 1 Oct 2025
Cited by 1 | Viewed by 1420
Abstract
Psoriasis is a chronic, immune-mediated dermatosis that affects approximately 125 million people worldwide. Traditionally considered a dermatologic condition, it is now perceived as a systemic disease with numerous comorbidities. While its associations with psoriatic arthritis, metabolic syndrome, and psychiatric disorders are well established, [...] Read more.
Psoriasis is a chronic, immune-mediated dermatosis that affects approximately 125 million people worldwide. Traditionally considered a dermatologic condition, it is now perceived as a systemic disease with numerous comorbidities. While its associations with psoriatic arthritis, metabolic syndrome, and psychiatric disorders are well established, less attention has been given to its coexistence with other dermatoses. This narrative review aims to explore and summarize the existing evidence on the relationships between psoriasis and other skin diseases, highlighting potential overlaps in clinical presentation, pathogenesis, and treatment challenges. Psoriasis may coexist with several inflammatory and autoimmune skin disorders, including atopic dermatitis, lichen simplex chronicus, anti-p200 pemphigoid, pityriasis rubra pilaris, seborrheic dermatitis, inflammatory linear verrucous nevus (ILVEN), Sneddon–Wilkinson disease, and vitiligo. The review highlights the shared genetic pathways (e.g., the Th1/Th17 axis and IL-17 pathway), diagnostic challenges (e.g., sebopsoriasis and psoriasis–eczema overlap), and therapeutic considerations (e.g., paradoxical reactions to biologics and effectiveness of JAK inhibitors in both psoriasis and vitiligo). The coexistence of psoriasis with other dermatoses is more common and clinically significant than previously appreciated. Recognizing these associations is crucial for an accurate diagnosis, avoiding mismanagement, and optimizing individualized treatment strategies. Further research is needed to elucidate the underlying mechanisms and improve the multidisciplinary care for patients with complex dermatologic presentations. Full article
Show Figures

Figure 1

10 pages, 667 KB  
Article
Incidence and Prognostic Factors for Colectomy in Acute Severe Ulcerative Colitis with Concomitant CMV Infection
by Konstantina Kitsou, Konstantina Chalakatevaki, Georgios Kokkotis, Evgenia Papathanasiou, Vassiliki Kitsou, Spyridon Michopoulos, Evanthia Zampeli and Giorgos Bamias
Diseases 2025, 13(10), 321; https://doi.org/10.3390/diseases13100321 - 1 Oct 2025
Viewed by 695
Abstract
Background/Objectives: Cytomegalovirus (CMV) is an opportunistic pathogen, complicating acute severe ulcerative colitis (ASUC), and its role in ASUC prognosis remains a debate. This study aims to report the rates and identify predictors for colectomy at 12 months, following an episode of ASUC with [...] Read more.
Background/Objectives: Cytomegalovirus (CMV) is an opportunistic pathogen, complicating acute severe ulcerative colitis (ASUC), and its role in ASUC prognosis remains a debate. This study aims to report the rates and identify predictors for colectomy at 12 months, following an episode of ASUC with concomitant CMV colonic infection. Methods: This is a retrospective cohort study of patients with ASUC and CMV colonic infection confirmed by PCR or Immunohistochemistry. Baseline clinical, biochemical, endoscopic and disease-related characteristics were recorded. Patients were followed-up for 12 months to calculate the one-year colectomy rate. Predictors of colectomy were identified via multivariate logistic regression. Results: Forty-five cases of CMV colonic infection in 37 patients with ASUC were recorded [66.7% men, mean age: 47.0 years (SD = 18.5)]. At diagnosis, 20% were on monotherapy with advanced treatment and 37.8% on advanced treatment plus corticosteroids and/or immunomodulators. Twenty-three (51.1%) were receiving corticosteroids, while 17.8% did not receive any immunosuppressive agent. Forty (88.9%) patients were treated with ganciclovir and valganciclovir and one (2.2%) with foscarnet for at least 21 days. Eleven patients (24.4%) required colectomy, two (4.4%) during their initial hospitalization and nine (20%) during the follow-up period. The recurrence of CMV was recorded in nine (20.9%) cases, three of which required colectomy. Patients with hemoglobin < 12 g/dL (p = 0.023) and patients on vedolizumab at diagnosis (p = 0.050) had a higher probability of colectomy. Conclusions: We report a 25% one-year colectomy rate in our cohort with ASUC and superimposed CMV colonic infection. At baseline, anemia and vedolizumab treatment were associated with a higher probability of colectomy. Full article
(This article belongs to the Section Gastroenterology)
Show Figures

Figure 1

24 pages, 1469 KB  
Review
Applications of Multiparameter Flow Cytometry in the Diagnosis, Prognosis, and Monitoring of Multiple Myeloma Patients
by Dimitrios Leonardos, Leonidas Benetatos, Elisavet Apostolidou, Epameinondas Koumpis, Lefkothea Dova, Eleni Kapsali, Ioannis Kotsianidis and Eleftheria Hatzimichael
Diseases 2025, 13(10), 320; https://doi.org/10.3390/diseases13100320 - 1 Oct 2025
Cited by 2 | Viewed by 3223
Abstract
Multiple myeloma (MM) is one of the most common hematological malignancies and remains incurable. However, the survival of multiple myeloma patients has significantly increased due to the implementation of novel therapies along with autologous stem cell transplantation, changing the natural history of the [...] Read more.
Multiple myeloma (MM) is one of the most common hematological malignancies and remains incurable. However, the survival of multiple myeloma patients has significantly increased due to the implementation of novel therapies along with autologous stem cell transplantation, changing the natural history of the disease. Consequently, there is an unmet need for more sensitive response assessment techniques capable of quantifying minimal tumor burden to identify patients at higher risk of early relapse. Multiparameter flow cytometry (MFC) is an essential tool for diagnosing and monitoring patients with various hematological conditions and has recently gained prominence in identifying, characterizing, and monitoring malignant plasma cells. The implementation of Next-Generation Flow (NGF) by EuroFlow aims to overcome the pitfalls of conventional MFC, including lack of standardization and lower sensitivity, by offering standardized and optimized protocols for evaluating response depth. Both MFC and NGF have wide-ranging applications in MM for diagnosis and measurable residual disease (MRD) monitoring. Plasma cell identification and clonality evaluation through MFC and NGF assist in diagnostic workup and are routinely used to assess therapeutic response through MRD analysis. Additionally, flow cytometry is applied for circulating tumor plasma cell (CTPC) enumeration, which has demonstrated significant prognostic value. Immune composition studies through MFC may provide better understanding of disease biology. Furthermore, MFC provides additional information about other bone marrow cell populations, assessing cellularity, immunophenotypic characteristics of plasma cells, and possible hemodilution. This review explores the applications of MFC and NGF in MM, highlighting their roles in diagnosis, response assessment, and prognosis. Beyond their established use in MRD monitoring, flow cytometry-derived immunophenotypic profiles show strong potential as cost-effective prognostic tools. We advocate for future studies to validate and integrate these markers into risk stratification models, complementing cytogenetic analyses and guiding individualized treatment strategies. Full article
Show Figures

Figure 1

Previous Issue
Next Issue
Back to TopTop