COVID-19 and Superimposed Aspergillosis in a Dual Organ Recipient with Diagnosed B-Cell Lymphoproliferative Disorder: A Rare Case Report and Literature Review
Abstract
1. Introduction
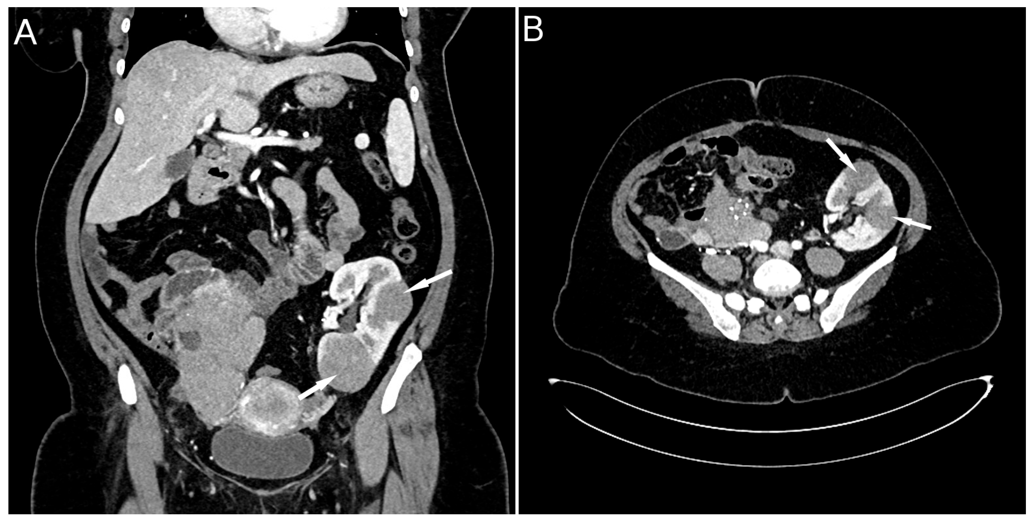
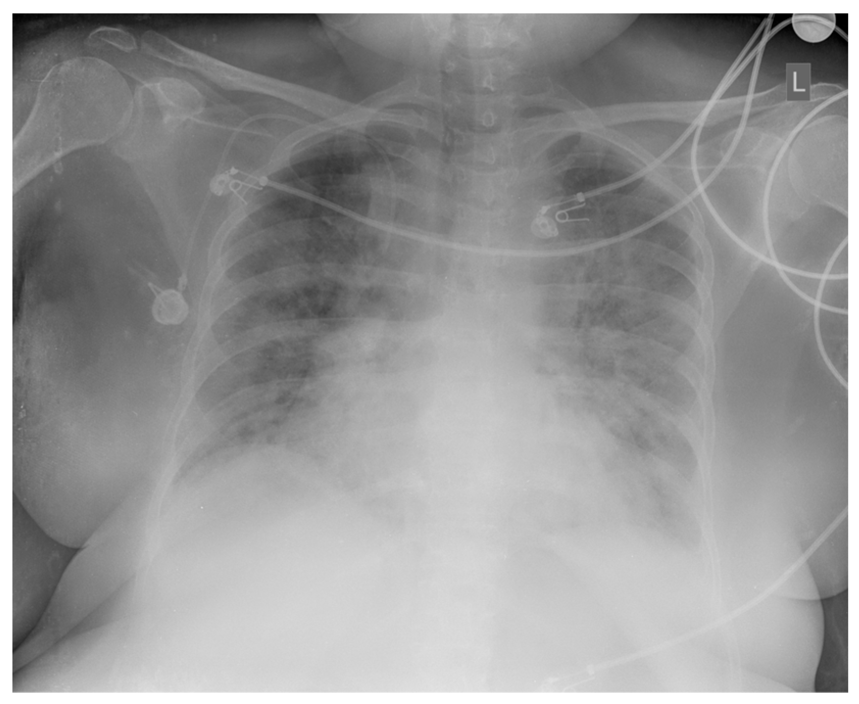
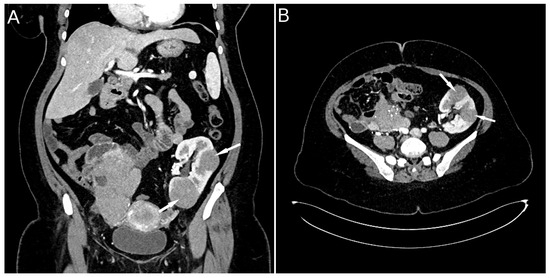
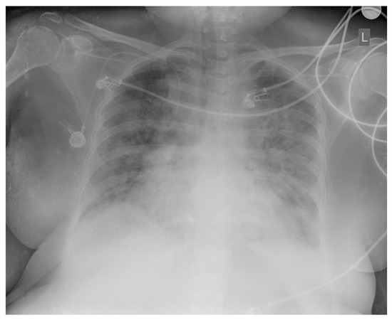
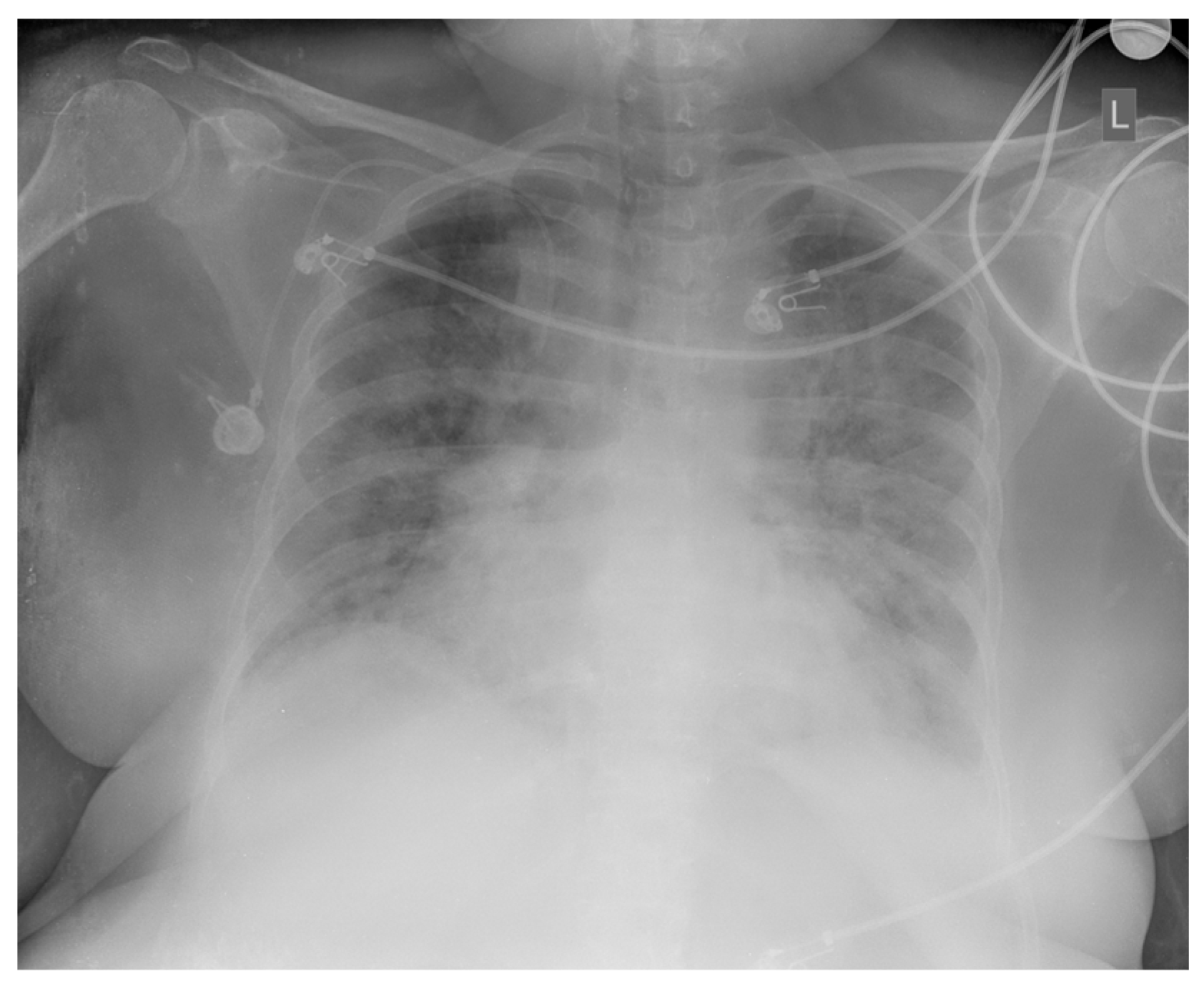
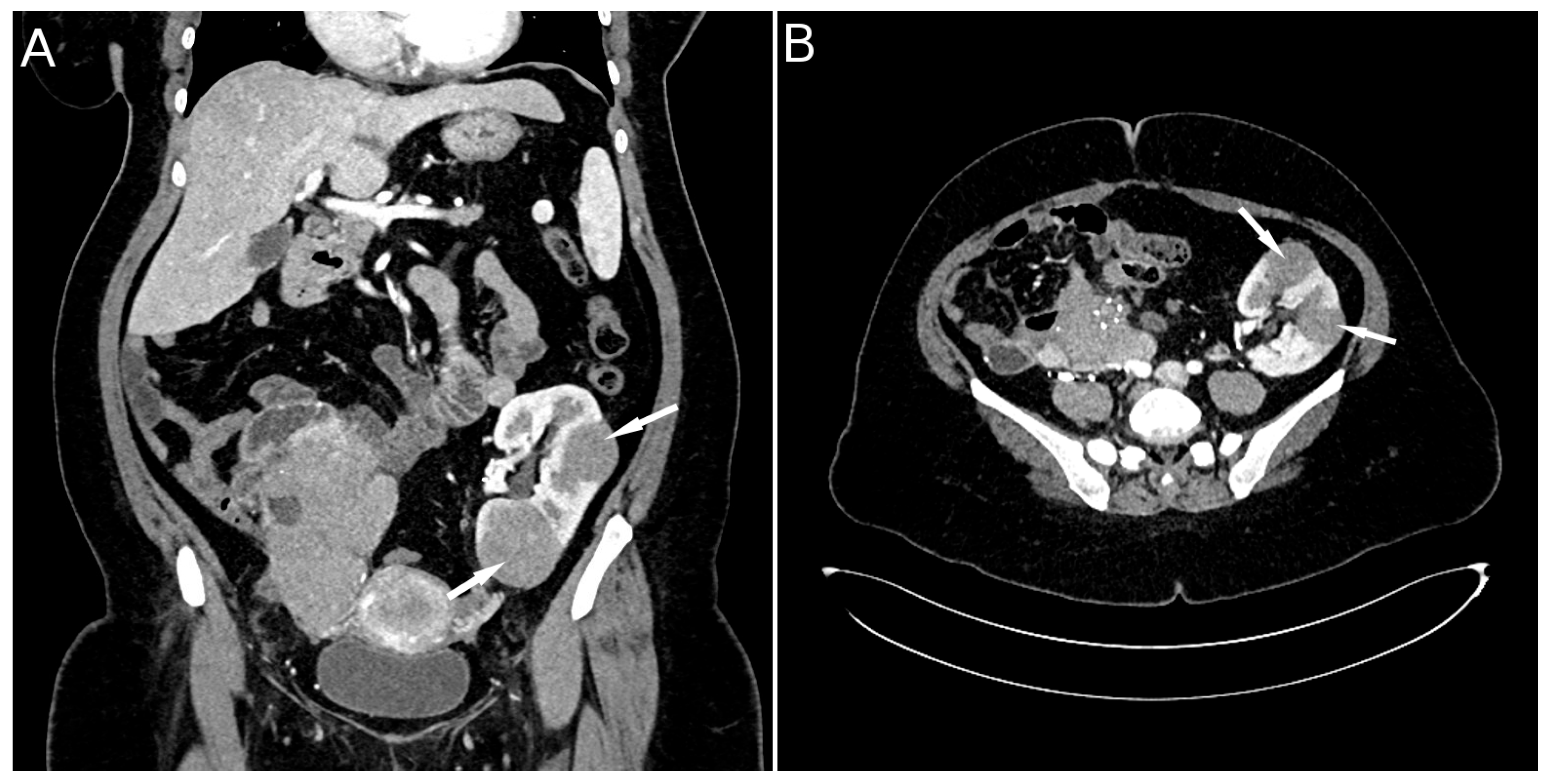
2. Case Presentation
3. Discussion
3.1. PTLD Classification
3.2. Treatment Strategies
3.3. COVID-19 Associated Complications
4. Conclusions
Author Contributions
Funding
Institutional Review Board Statement
Informed Consent Statement
Data Availability Statement
Conflicts of Interest
References
- Atallah-Yunes, S.A.; Salman, O.; Robertson, M.J. Post-transplant Lymphoproliferative Disorder: Update on Treatment and Novel Therapies. Br. J. Haematol. 2023, 201, 383–395. [Google Scholar] [CrossRef] [PubMed]
 - Dharnidharka, V.R.; Ruzinova, M.B.; Marks, L.J. Post-Transplant Lymphoproliferative Disorders. Semin. Nephrol. 2024, 44, 151503. [Google Scholar] [CrossRef]
 - Lückemeier, P.; Radujkovic, A.; Holtick, U.; Kurch, L.; Monecke, A.; Platzbecker, U.; Herling, M.; Kayser, S. Characterization and Outcome of Post-Transplant Lymphoproliferative Disorders within a Collaborative Study. Front. Oncol. 2023, 13, 1208028. [Google Scholar] [CrossRef]
 - Veltmaat, N.; Zhong, Y.; de Jesus, F.M.; Tan, G.W.; Bult, J.A.A.; Terpstra, M.M.; Mutsaers, P.G.N.J.; Stevens, W.B.C.; Mous, R.; Vermaat, J.S.P.; et al. Genomic Profiling of Post-Transplant Lymphoproliferative Disorders Using Cell-Free DNA. J. Hematol. Oncol. 2023, 16, 104. [Google Scholar] [CrossRef]
 - Caillard, S.; Lamy, F.X.; Quelen, C.; Dantal, J.; Lebranchu, Y.; Lang, P.; Velten, M.; Moulin, B. Epidemiology of Posttransplant Lymphoproliferative Disorders in Adult Kidney and Kidney Pancreas Recipients: Report of the French Registry and Analysis of Subgroups of Lymphomas. Am. J. Transplant. 2012, 12, 682–693. [Google Scholar] [CrossRef] [PubMed]
 - Liu, M.; Husain, S.; Famure, O.; Li, Y.; Kim, S.J. Incidence, Risk Factors, Clinical Management, and Outcomes of Posttransplant Lymphoproliferative Disorder in Kidney Transplant Recipients. Progress Transplant. 2019, 29, 185–193. [Google Scholar] [CrossRef]
 - King, R.L.; Khurana, A.; Mwangi, R.; Fama, A.; Ristow, K.M.; Maurer, M.J.; Macon, W.R.; Ansell, S.M.; Bennani, N.N.; Kudva, Y.C.; et al. Clinicopathologic Characteristics, Treatment, and Outcomes of Post-Transplant Lymphoproliferative Disorders: A Single-Institution Experience Using 2017 WHO Diagnostic Criteria. Hemasphere 2021, 5, e640. [Google Scholar] [CrossRef]
 - Melenotte, C.; Chavarot, N.; L’Honneur, A.-S.; Bodard, S.; Cheminant, M.; Flahault, A.; Nguyen, Y.; Burgard, M.; Dannaoui, E.; Bougnoux, M.-E.; et al. Increased Risk of Invasive Aspergillosis in Immunocompromised Patients With Persistent SARS-CoV-2 Viral Shedding > 8 Weeks, Retrospective Case-Control Study. In Open Forum Infectious Diseases; Oxford University Press: New York, NY, USA, 2024; Volume 11. [Google Scholar] [CrossRef]
 - Samant, H.; Vaitla, P.; Kothadia, J.P. Posttransplant Lymphoproliferative Disorders. In StatPearls [Internet]; StatPearls Publishing: Treasure Island, FL, USA, 2024. [Google Scholar]
 - Shahid, S.; Prockop, S.E. Epstein-Barr Virus-Associated Post-Transplant Lymphoproliferative Disorders: Beyond Chemotherapy Treatment. Cancer Drug Resist. 2021, 4, 646. [Google Scholar] [CrossRef] [PubMed]
 - Nijland, M.L.; Kersten, M.J.; Pals, S.T.; Bemelman, F.J.; ten Berge, I.J.M. Epstein-Barr Virus–Positive Posttransplant Lymphoproliferative Disease After Solid Organ Transplantation. Transplant. Direct 2016, 2, e48. [Google Scholar] [CrossRef]
 - Sampaio, M.S.; Cho, Y.W.; Shah, T.; Bunnapradist, S.; Hutchinson, I.V. Association of Immunosuppressive Maintenance Regimens With Posttransplant Lymphoproliferative Disorder in Kidney Transplant Recipients. Transplantation 2012, 93, 73–81. [Google Scholar] [CrossRef]
 - Mucha, K.; Staros, R.; Foroncewicz, B.; Ziarkiewicz-Wróblewska, B.; Kosieradzki, M.; Nazarewski, S.; Naumnik, B.; Raszeja-Wyszomirska, J.; Zieniewicz, K.; Pączek, L. Comparison of Post-Transplantation Lymphoproliferative Disorder Risk and Prognostic Factors between Kidney and Liver Transplant Recipients. Cancers 2022, 14, 1953. [Google Scholar] [CrossRef]
 - Swerdlow, S.H.; Campo, E.; Pileri, S.A.; Harris, N.L.; Stein, H.; Siebert, R.; Advani, R.; Ghielmini, M.; Salles, G.A.; Zelenetz, A.D.; et al. The 2016 Revision of the World Health Organization Classification of Lymphoid Neoplasms. Blood 2016, 127, 2375–2390. [Google Scholar] [CrossRef] [PubMed]
 - Campo, E.; Jaffe, E.S.; Cook, J.R.; Quintanilla-Martinez, L.; Swerdlow, S.H.; Anderson, K.C.; Brousset, P.; Cerroni, L.; de Leval, L.; Dirnhofer, S.; et al. The International Consensus Classification of Mature Lymphoid Neoplasms: A Report from the Clinical Advisory Committee. Blood 2022, 140, 1229–1253. [Google Scholar] [CrossRef] [PubMed]
 - Dierickx, D.; Pociupany, M.; Natkunam, Y. Epstein-Barr Virus-Associated Posttransplant Lymphoproliferative Disorders: New Insights in Pathogenesis, Classification and Treatment. Curr. Opin. Oncol. 2022, 34, 413–421. [Google Scholar] [CrossRef]
 - Markouli, M.; Ullah, F.; Omar, N.; Apostolopoulou, A.; Dhillon, P.; Diamantopoulos, P.; Dower, J.; Gurnari, C.; Ahmed, S.; Dima, D. Recent Advances in Adult Post-Transplant Lymphoproliferative Disorder. Cancers 2022, 14, 5949. [Google Scholar] [CrossRef]
 - Alaggio, R.; Amador, C.; Anagnostopoulos, I.; Attygalle, A.D.; Araujo, I.B.d.O.; Berti, E.; Bhagat, G.; Borges, A.M.; Boyer, D.; Calaminici, M.; et al. The 5th Edition of the World Health Organization Classification of Haematolymphoid Tumours: Lymphoid Neoplasms. Leukemia 2022, 36, 1720–1748. [Google Scholar] [CrossRef]
 - National Comprehensive Cancer Network (NCCN). NCCN Clinical Practice Guidelines in Oncology (NCCN Guidelines®): Non-Hodgkin’s Lymphomas, Version 2.2015; NCCN: Fort Washington, PA, USA, 2015; Available online: https://www2.tri-kobe.org/nccn/guideline/hematologic/nhl/english/nhl.pdf (accessed on 23 September 2025).
 - Vergote, V.K.J.; Deroose, C.M.; Fieuws, S.; Laleman, W.; Sprangers, B.; Uyttebroeck, A.; Van Cleemput, J.; Verhoef, G.; Vos, R.; Tousseyn, T.; et al. Characteristics and Outcome of Post-Transplant Lymphoproliferative Disorders After Solid Organ Transplantation: A Single Center Experience of 196 Patients Over 30 Years. Transplant. Int. 2022, 35, 10707. [Google Scholar] [CrossRef] [PubMed]
 - Zaffiri, L.; Chambers, E.T. Screening and Management of PTLD. Transplantation 2023, 107, 2316–2328. [Google Scholar] [CrossRef]
 - DeStefano, C.B.; Desai, S.H.; Shenoy, A.G.; Catlett, J.P. Management of Post-transplant Lymphoproliferative Disorders. Br. J. Haematol. 2018, 182, 330–343. [Google Scholar] [CrossRef]
 - Kang, S.K.; Kirkpatrick, J.P.; Halperin, E.C. Low-Dose Radiation for Posttransplant Lymphoproliferative Disorder. Am. J. Clin. Oncol. 2003, 26, 210–214. [Google Scholar] [CrossRef]
 - Bollard, C.M.; Rooney, C.M.; Heslop, H.E. T-Cell Therapy in the Treatment of Post-Transplant Lymphoproliferative Disease. Nat. Rev. Clin. Oncol. 2012, 9, 510–519. [Google Scholar] [CrossRef] [PubMed]
 - Amengual, J.E.; Pro, B. How I Treat Posttransplant Lymphoproliferative Disorder. Blood 2023, 142, 1426–1437. [Google Scholar] [CrossRef] [PubMed]
 - Trappe, R.; Oertel, S.; Leblond, V.; Mollee, P.; Sender, M.; Reinke, P.; Neuhaus, R.; Lehmkuhl, H.; Horst, H.A.; Salles, G.; et al. Sequential Treatment with Rituximab Followed by CHOP Chemotherapy in Adult B-Cell Post-Transplant Lymphoproliferative Disorder (PTLD): The Prospective International Multicentre Phase 2 PTLD-1 Trial. Lancet Oncol. 2012, 13, 196–206. [Google Scholar] [CrossRef] [PubMed]
 - Trappe, R.U.; Choquet, S.; Dierickx, D.; Mollee, P.; Zaucha, J.M.; Dreyling, M.H.; Dührsen, U.; Tarella, C.; Shpilberg, O.; Sender, M.; et al. International Prognostic Index, Type of Transplant and Response to Rituximab Are Key Parameters to Tailor Treatment in Adults With CD20-Positive B Cell PTLD: Clues From the PTLD-1 Trial. Am. J. Transplant. 2015, 15, 1091–1100. [Google Scholar] [CrossRef]
 - Trappe, R.U.; Dierickx, D.; Zimmermann, H.; Morschhauser, F.; Mollee, P.; Zaucha, J.M.; Dreyling, M.H.; Dührsen, U.; Reinke, P.; Verhoef, G.; et al. Response to Rituximab Induction Is a Predictive Marker in B-Cell Post-Transplant Lymphoproliferative Disorder and Allows Successful Stratification Into Rituximab or R-CHOP Consolidation in an International, Prospective, Multicenter Phase II Trial. J. Clin. Oncol. 2017, 35, 536–543. [Google Scholar] [CrossRef]
 - Prasad, P.; Khullar, D.; Gupta, N.; Grover, R.; Chhabra, G.; Gandhi, K.R.; Gupta, S.; Bagai, S. Retransplantation after Post Transplant Lymphoproliferative Disorder: Overcoming the Obstacles! CEN Case Rep. 2020, 9, 200–203. [Google Scholar] [CrossRef]
 - Kapałka, M.; Kubik, H.; Krawiec, M.; Danel, A.; Krzyżak, K.; Śliwka, J.; Pawlak, S. Invasive Pulmonary Aspergillosis After SARS-CoV-2 Infection as Limitation of Contemporary Transplantology: A Case Report. Transplant. Proc. 2023, 55, 1880–1882. [Google Scholar] [CrossRef]
 - Salas, B.; McCullagh, I.; Cranfield, K.; Fagan, C.; Geering, A.; Robb, A. COVID-19-Associated Pulmonary Aspergillosis: A Year-Long Retrospective Case Series. COVID 2022, 2, 976–982. [Google Scholar] [CrossRef]
 - Bhopalwala, H.; Mishra, V.; Do, T.V.; Gudipati, M.; Ganti, S.S. COVID-19 Infection and Late Manifestation of Pulmonary Aspergillosis. J. Investig. Med. High. Impact Case Rep. 2022, 10, 23247096211063332. [Google Scholar] [CrossRef]
 - Morton, C.O.; Griffiths, J.S.; Loeffler, J.; Orr, S.; White, P.L. Defective Antifungal Immunity in Patients with COVID-19. Front. Immunol. 2022, 13, 1080822. [Google Scholar] [CrossRef]
 




Disclaimer/Publisher’s Note: The statements, opinions and data contained in all publications are solely those of the individual author(s) and contributor(s) and not of MDPI and/or the editor(s). MDPI and/or the editor(s) disclaim responsibility for any injury to people or property resulting from any ideas, methods, instructions or products referred to in the content.  | 
© 2025 by the authors. Licensee MDPI, Basel, Switzerland. This article is an open access article distributed under the terms and conditions of the Creative Commons Attribution (CC BY) license (https://creativecommons.org/licenses/by/4.0/).
Share and Cite
Karadžić-Ristanović, V.; Pavlović, J.; Brković, V.; Bontić, A.; Baralić, M.; Vasin, D.; Životić, M.; Boričić, N.; Antić, D.; Vuković, V.; et al. COVID-19 and Superimposed Aspergillosis in a Dual Organ Recipient with Diagnosed B-Cell Lymphoproliferative Disorder: A Rare Case Report and Literature Review. Diseases 2025, 13, 339. https://doi.org/10.3390/diseases13100339
Karadžić-Ristanović V, Pavlović J, Brković V, Bontić A, Baralić M, Vasin D, Životić M, Boričić N, Antić D, Vuković V, et al. COVID-19 and Superimposed Aspergillosis in a Dual Organ Recipient with Diagnosed B-Cell Lymphoproliferative Disorder: A Rare Case Report and Literature Review. Diseases. 2025; 13(10):339. https://doi.org/10.3390/diseases13100339
Chicago/Turabian StyleKaradžić-Ristanović, Vidna, Jelena Pavlović, Voin Brković, Ana Bontić, Marko Baralić, Dragan Vasin, Maja Životić, Novica Boričić, Darko Antić, Vojin Vuković, and et al. 2025. "COVID-19 and Superimposed Aspergillosis in a Dual Organ Recipient with Diagnosed B-Cell Lymphoproliferative Disorder: A Rare Case Report and Literature Review" Diseases 13, no. 10: 339. https://doi.org/10.3390/diseases13100339
APA StyleKaradžić-Ristanović, V., Pavlović, J., Brković, V., Bontić, A., Baralić, M., Vasin, D., Životić, M., Boričić, N., Antić, D., Vuković, V., & Radović, M. (2025). COVID-19 and Superimposed Aspergillosis in a Dual Organ Recipient with Diagnosed B-Cell Lymphoproliferative Disorder: A Rare Case Report and Literature Review. Diseases, 13(10), 339. https://doi.org/10.3390/diseases13100339
        
