Multi-Method Diagnosis of CT Images for Rapid Detection of Intracranial Hemorrhages Based on Deep and Hybrid Learning
Abstract
:1. Introduction
- Removing all noise and artifacts and showing the hemorrhage’s edges using overlapping filters;
- Adjusting the training options for CNN models for the best performance;
- Applying hybrid technology consisting of two blocks: the first block being deep learning models for feature extraction and the second block being an SVM algorithm for classifying the extracted features;
- Reducing the dimensions of the features extracted from the deep learning models using the PCA algorithm and combining them with the features of the GLCM and LBP algorithms;
- Developing automated systems to assist radiologists in supporting their decisions for saving patients’ lives.
2. Related Work
3. Methods and Materials
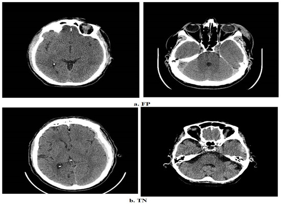
3.1. Description of the Dataset
- Patients with diabetes in their clinical histories, plasma glucose of 200 mg/dL, fasting ≥126 mg/dL or glycated haemoglobin of 6.5%;
- The ratio of cholesterol and lipoprotein is 100 mg, and the triglycerides are at 150 mg/dL;
- Arterial blood pressure is a systolic 140 mm Hg or diastolic 90 mm Hg;
- Patients with cardiovascular diseases and atherosclerosis.
3.2. Enhancement of CT Images
3.3. Deep Learning Models
3.4. Hybrid of Deep Learning and Machine Learning
3.5. Combining the Features of Deep Learning with Traditional Algorithms
4. Experimental Results
4.1. Splitting Dataset and Environment Set-Up
4.2. Evaluation Metrics
4.3. Results of the Deep Learning
4.4. Results of Hybrid Deep Learning with the SVM Algorithm
4.5. Results of the Hybrid Feature Deep Learning with the GLCM and LBP Algorithms
4.5.1. Best Validation Performance
4.5.2. Error Histogram
4.5.3. Receiver Operating Characteristic (ROC)
4.5.4. Confusion Matrix
5. Discussion and Comparison of the Proposed Methods
6. Conclusions and Future Works
Author Contributions
Funding
Data Availability Statement
Acknowledgments
Conflicts of Interest
References
- Balasooriya, U.; Perera, M.U.S. Intelligent brain hemorrhage diagnosis using artificial neural networks. In Proceedings of the 2012 IEEE Business, Engineering & Industrial Applications Colloquium (BEIAC), Kuala Lumpur, Malaysia, 7–8 April 2012; pp. 128–133. [Google Scholar] [CrossRef]
- Caceres, J.A.; Goldstein, J.N. Intracranial hemorrhage. Emerg. Med. Clin. 2012, 30, 771–794. [Google Scholar] [CrossRef] [PubMed] [Green Version]
- Badenes, R.; Bilotta, F. Neurocritical care for intracranial haemorrhage: A systematic review of recent studies. BJA Br. J. Anaesth. 2015, 115, ii68–ii74. [Google Scholar] [CrossRef] [Green Version]
- Hemphill, J.C.; Greenberg, S.M.; Anderson, C.S.; Becker, K.; Bendok, B.R.; Cushman, M.; Fung, G.L.; Goldstein, J.N.; Macdonald, R.L.; Mitchell, P.H.; et al. Guidelines for the Management of Spontaneous Intracerebral Hemorrhage. Stroke 2015, 46, 2032–2060. [Google Scholar] [CrossRef] [PubMed] [Green Version]
- Ginat, D.T. Analysis of head CT scans flagged by deep learning software for acute intracranial hemorrhage. Neuroradiology 2020, 62, 335–340. [Google Scholar] [CrossRef] [PubMed]
- Chang, P.; Kuoy, E.; Grinband, J.; Weinberg, B.; Thompson, M.; Homo, R.; Chen, J.; Abcede, H.; Shafie, M.; Sugrue, L.; et al. Hybrid 3D/2D Convolutional Neural Network for Hemorrhage Evaluation on Head CT. Am. J. Neuroradiol. 2018, 39, 1609–1616. [Google Scholar] [CrossRef] [PubMed] [Green Version]
- Karki, M.; Cho, J.; Lee, E.; Hahm, M.H.; Yoon, S.Y.; Kim, M.; Ahn, J.Y.; Son, J.; Park, S.H.; Kim, K.H.; et al. CT window trainable neural network for improving intracranial hemorrhage detection by combining multiple settings. Artif. Intell. Med. 2020, 106, 101850. [Google Scholar] [CrossRef] [PubMed]
- Hee, L.Y.; Seob, C.D.; Wook, R.J.; Jong, Y.J.; Cheol, C.H.; Eun, K.J. Multidetector-Row CT Angiography of Cerebral Vasospasm after Aneurysmal Subarachnoid Hemorrhage: Comparison of Bone Subtraction and Standard CT Angiography with Digital Subtraction Angiography. J. Korean Soc. Radiol. 2011, 65, 325–331. [Google Scholar] [CrossRef] [Green Version]
- Akram, S.U.; Kannala, J.; Eklund, L.; Heikkilä, J. Cell Segmentation Proposal Network for Microscopy Image Analysis. In Deep Learning and Data Labeling for Medical Applications; Carneiro, G., Mateus, D., Peter, L., Bradley, A., Tavares, J.M.R.S., Belagiannis, V., Papa, J.P., Nascimento, J.C., Loog, M., Lu, Z., et al., Eds.; Springer International Publishing: Cham, Switzerland, 2016; pp. 21–29. [Google Scholar]
- Oyedotun, O.K.; Olaniyi, E.O.; Helwan, A.; Khashman, A. Hybrid auto encoder network for iris nevus diagnosis considering potential malignancy. In Proceedings of the 2015 International Conference on Advances in Biomedical Engineering (ICABME), Beirut, Lebanon, 16–18 September 2015; pp. 274–277. [Google Scholar] [CrossRef]
- Helwan, A.; Uzun Ozsahin, D. Sliding window based machine learning system for the left ventricle localization in MR cardiac images. Appl. Comput. Intell. Soft Comput. 2017, 2017, 3048181. [Google Scholar] [CrossRef] [Green Version]
- Simonyan, K.; Zisserman, A. Very Deep Convolutional Networks for Large-Scale Image Recognition. arXiv 2014, arXiv:1409.1556. [Google Scholar]
- He, K.; Zhang, X.; Ren, S.; Sun, J. Deep Residual Learning for Image Recognition. In Proceedings of the 2016 IEEE Conference on Computer Vision and Pattern Recognition (CVPR), Las Vegas, NV, USA, 27–30 June 2016; pp. 770–778. [Google Scholar] [CrossRef] [Green Version]
- Gautam, A.; Raman, B. Towards effective classification of brain hemorrhagic and ischemic stroke using CNN. Biomed. Signal Process. Control 2021, 63, 102178. [Google Scholar] [CrossRef]
- Mohammed, B.A.; Senan, E.M.; Rassem, T.H.; Makbol, N.M.; Alanazi, A.A.; Al-Mekhlafi, Z.G.; Almurayziq, T.S.; Ghaleb, F.A. Multi-Method Analysis of Medical Records and MRI Images for Early Diagnosis of Dementia and Alzheimer’s Disease Based on Deep Learning and Hybrid Methods. Electronics 2021, 10, 2860. [Google Scholar] [CrossRef]
- Senan, E.M.; Jadhav, M.E.; Rassem, T.H.; Aljaloud, A.S.; Mohammed, B.A.; Al-Mekhlafi, Z.G. Early Diagnosis of Brain Tumour MRI Images Using Hybrid Techniques between Deep and Machine Learning. Comput. Math. Methods Med. 2022, 2022, 1–17. [Google Scholar] [CrossRef]
- Dawud, A.M.; Yurtkan, K.; Oztoprak, H. Application of deep learning in neuroradiology: Brain haemorrhage classification using transfer learning. Comput. Intell. Neurosci. 2019, 2019, 4629859. [Google Scholar] [CrossRef] [PubMed] [Green Version]
- Tharek, A.; Muda, A.S.; Hudi, A.B.; Hudin, A.B. Intracranial Hemorrhage Detection in CT Scan Using Deep Learning. Asian J. Med. Technol. 2022, 2, 1–18. [Google Scholar] [CrossRef]
- Bobby, J.S.; Annapoorani, C. Analysis of intracranial hemorrhage in CT brain images using machine learning and deep learning algorithm. Ann. Rom. Soc. Cell Biol. 2021, 25, 13742–13752. [Google Scholar]
- Gou, X.; He, X. Deep learning-based detection and diagnosis of subarachnoid hemorrhage. J. Healthc. Eng. 2021, 2021, 9639419. [Google Scholar] [CrossRef]
- Mansour, R.F.; Aljehane, N.O. An optimal segmentation with deep learning based inception network model for intracranial hemorrhage diagnosis. Neural Comput. Appl. 2021, 33, 13831–13843. [Google Scholar] [CrossRef]
- He, J. Automated Detection of Intracranial Hemorrhage on Head Computed Tomography with Deep Learning. In Proceedings of the 2020 10th International Conference on Biomedical Engineering and Technology, Tokyo, Japan, 15–18 September 2020; Association for Computing Machinery: New York, NY, USA, 2020; pp. 117–121. [Google Scholar] [CrossRef]
- Chen, R.; Huang, J.; Song, Y.; Li, B.; Wang, J.; Wang, H. Deep learning algorithms for brain disease detection with magnetic induction tomography. Med. Phys. 2021, 48, 745–759. [Google Scholar] [CrossRef]
- Li, L.; Wei, M.; Liu, B.; Atchaneeyasakul, K.; Zhou, F.; Pan, Z.; Kumar, S.A.; Zhang, J.Y.; Pu, Y.; Liebeskind, D.S. Deep learning for hemorrhagic lesion detection and segmentation on brain ct images. IEEE J. Biomed. Health Inform. 2020, 25, 1646–1659. [Google Scholar] [CrossRef]
- Lewick, T.; Kumar, M.; Hong, R.; Wu, W. Intracranial Hemorrhage Detection in CT Scans using Deep Learning. In Proceedings of the 2020 IEEE Sixth International Conference on Big Data Computing Service and Applications (BigDataService), Oxford, UK, 3–6 August 2020; pp. 169–172. [Google Scholar] [CrossRef]
- Cortes-Ferre, L.; Gutiérrez-Naranjo, M.A.; Egea-Guerrero, J.J.; Pérez-Sánchez, S.; Balcerzyk, M. Deep Learning Applied to Intracranial Hemorrhage Detection. Preprints 2022, 2021, 2021120150. [Google Scholar] [CrossRef]
- Arab, A.; Chinda, B.; Medvedev, G.; Siu, W.; Guo, H.; Gu, T.; Moreno, S.; Hamarneh, G.; Ester, M.; Song, X. A fast and fully-automated deep-learning approach for accurate hemorrhage segmentation and volume quantification in non-contrast whole-head CT. Sci. Rep. 2020, 10, 19389. [Google Scholar] [CrossRef] [PubMed]
- Lee, J.Y.; Kim, J.S.; Kim, T.Y.; Kim, Y.S. Detection and classification of intracranial haemorrhage on CT images using a novel deep-learning algorithm. Sci. Rep. 2020, 10, 20546. [Google Scholar] [CrossRef] [PubMed]
- Anupama, C.; Sivaram, M.; Lydia, E.L.; Gupta, D.; Shankar, K. Synergic deep learning model–based automated detection and classification of brain intracranial hemorrhage images in wearable networks. Pers. Ubiquitous Comput. 2020, 26, 1–10. [Google Scholar] [CrossRef]
- Cho, J.; Park, K.S.; Karki, M.; Lee, E.; Ko, S.; Kim, J.K.; Lee, D.; Choe, J.; Son, J.; Kim, M. Improving sensitivity on identification and delineation of intracranial hemorrhage lesion using cascaded deep learning models. J. Digit. Imaging 2019, 32, 450–461. [Google Scholar] [CrossRef] [PubMed]
- Helwan, A.; El-Fakhri, G.; Sasani, H.; Uzun Ozsahin, D. Deep networks in identifying CT brain hemorrhage. J. Intell. Fuzzy Syst. 2018, 35, 2215–2228. [Google Scholar] [CrossRef]
- Mansour, R.F.; Escorcia-Gutierrez, J.; Gamarra, M.; Díaz, V.G.; Gupta, D.; Kumar, S. Artificial intelligence with big data analytics-based brain intracranial hemorrhage e-diagnosis using CT images. Neural Comput. Appl. 2021, 1–13. [Google Scholar] [CrossRef]
- Abunadi, I.; Senan, E.M. Deep Learning and Machine Learning Techniques of Diagnosis Dermoscopy Images for Early Detection of Skin Diseases. Electronics 2021, 10, 3158. [Google Scholar] [CrossRef]
- Burduja, M.; Ionescu, R.T.; Verga, N. Accurate and efficient intracranial hemorrhage detection and subtype classification in 3D CT scans with convolutional and long short-term memory neural networks. Sensors 2020, 20, 5611. [Google Scholar] [CrossRef]
- Senan, E.M.; Alzahrani, A.; Alzahrani, M.Y.; Alsharif, N.; Aldhyani, T.H. Automated Diagnosis of Chest X-ray for Early Detection of COVID-19 Disease. Comput. Math. Methods Med. 2021, 2021, 6919483. [Google Scholar] [CrossRef]
- Ahmed, I.A.; Senan, E.M.; Rassem, T.H.; Ali, M.A.H.; Shatnawi, H.S.A.; Alwazer, S.M.; Alshahrani, M. Eye Tracking-Based Diagnosis and Early Detection of Autism Spectrum Disorder Using Machine Learning and Deep Learning Techniques. Electronics 2022, 11, 530. [Google Scholar] [CrossRef]
- Kherif, F.; Latypova, A. Chapter 12—Principal component analysis. In Machine Learning; Mechelli, A., Vieira, S., Eds.; Academic Press: Cambridge, MA, USA, 2020; pp. 209–225. [Google Scholar] [CrossRef]
- Senan, E.M.; Jadhav, M.E. Diagnosis of Dermoscopy Images for the Detection of Skin Lesions Using SVM and KNN. In Proceedings of the the Third International Conference on Sustainable Computing, Jaipur, India, 19–20 March 2021; Springer: Berlin/Heidelberg, Germany, 2022; pp. 125–134. [Google Scholar]
- Senan, E.M.; Jadhav, M.E. Techniques for the Detection of Skin Lesions in PH 2 Dermoscopy Images Using Local Binary Pattern (LBP). In Proceedings of the International Conference on Recent Trends in Image Processing and Pattern Recognition, Solapur, India, 21–22 December 2018; Springer: Berlin/Heidelberg, Germany, 2020; pp. 14–25. [Google Scholar]
- Senan, E.M.; Abunadi, I.; Jadhav, M.E.; Fati, S.M. Score and Correlation Coefficient-Based Feature Selection for Predicting Heart Failure Diagnosis by Using Machine Learning Algorithms. Comput. Math. Methods Med. 2021, 2021, 8500314. [Google Scholar] [CrossRef] [PubMed]
- Abunadi, I.; Senan, E.M. Multi-Method Diagnosis of Blood Microscopic Sample for Early Detection of Acute Lymphoblastic Leukemia Based on Deep Learning and Hybrid Techniques. Sensors 2022, 22, 1629. [Google Scholar] [CrossRef]
- Al-Mekhlafi, Z.G.; Senan, E.M.; Rassem, T.H.; Mohammed, B.A.; Makbol, N.M.; Alanazi, A.A.; Almurayziq, T.S.; Ghaleb, F.A. Deep Learning and Machine Learning for Early Detection of Stroke and Haemorrhage. Comput. Mater. Contin. 2022, 72, 775–796. [Google Scholar] [CrossRef]
- Sharrock, M.F.; Mould, W.A.; Hildreth, M.; Ryu, E.P.; Walborn, N.; Awad, I.A.; Hanley, D.F.; Muschelli, J. Bayesian deep learning outperforms clinical trial estimators of intracerebral and intraventricular hemorrhage volume. J. Neuroimaging 2022, 1–9. [Google Scholar] [CrossRef]
- López-Pérez, M.; Schmidt, A.; Wu, Y.; Molina, R.; Katsaggelos, A.K. Deep Gaussian processes for multiple instance learning: Application to CT intracranial hemorrhage detection. Comput. Methods Programs Biomed. 2022, 219, 106783. [Google Scholar] [CrossRef] [PubMed]
- Tang, Z.; Zhu, Y.; Lu, X.; Wu, D.; Fan, X.; Shen, J.; Xiao, L. Deep Learning-Based Prediction of Hematoma Expansion Using a Single Brain Computed Tomographic Slice in Patients with Spontaneous Intracerebral Hemorrhages. World Neurosurg. 2022, in press. [Google Scholar] [CrossRef]
- Altuve, M.; Pérez, A. Intracerebral hemorrhage detection on computed tomography images using a residual neural network. Phys. Med. 2022, 99, 113–119. [Google Scholar] [CrossRef] [PubMed]
- Bayrak, G.; Toprak, M.Ş.; Ganiz, M.C.; Kodaz, H.; Koç, U. Deep Learning-Based Brain Hemorrhage Detection in CT Reports. Stud. Health Technol. Inform. 2022, 294, 866–867. [Google Scholar]
- Inkeaw, P.; Angkurawaranon, S.; Khumrin, P.; Inmutto, N.; Traisathit, P.; Chaijaruwanich, J.; Angkurawaranon, C.; Chitapanarux, I. Automatic hemorrhage segmentation on head CT scan for traumatic brain injury using 3D deep learning model. Comput. Biol. Med. 2022, 146, 105530. [Google Scholar] [CrossRef]























| Phase | Training and Validation | ||
|---|---|---|---|
| (80:20) | 20% for Testing | ||
| Classes | 80% for Training | 20% for Validation | |
| Hemorrhage | 1722 | 430 | 537 |
| Non-hemorrhage | 2779 | 695 | 869 |
| Name of Class | Hemorrhage | Non-Hemorrhage |
|---|---|---|
| Without augmentation | 1722 | 2779 |
| With augmentation | 8605 | 8337 |
| Options | GoogLeNet | ResNet-50 | AlexNet |
|---|---|---|---|
| Training Options | adam | adam | adam |
| Mini Batch Size | 18 | 10 | 120 |
| Max Epochs | 3 | 6 | 10 |
| Initial Learn Rate | 0.0003 | 0.0001 | 0.0001 |
| Validation Frequency | 3 | 5 | 50 |
| Training Time (min) | 347 min 14 s | 221 min 38 s | 57 min 13 s |
| Execution Environment | GPU | GPU | GPU |
| Measure | GoogLeNet | ResNet-50 | AlexNet |
|---|---|---|---|
| Accuracy (%) | 94 | 91.7 | 91.5 |
| Precision (%) | 93.53 | 91.1 | 93.31 |
| Sensitivity (%) | 93.48 | 92.34 | 90.41 |
| Sepecificy (%) | 93.87 | 92.44 | 91.17 |
| AUC (%) | 96.82 | 95.76 | 97.12 |
| Measure | GoogLeNet + SVM | ResNet-50 + SVM | AlexNet + SVM |
|---|---|---|---|
| Accuracy (%) | 97.4 | 97.2 | 95.7 |
| Precision (%) | 97.43 | 97.13 | 96.23 |
| Sensitivity (%) | 97.38 | 96.89 | 95.5 |
| Sepecificy (%) | 98.1 | 98.67 | 96.18 |
| AUC (%) | 98.74 | 98.51 | 99.14 |
| Method of Combining Features | GoogLeNet Feature Map + (GLCM) and LBP | ResNet-50 Feature Map + (GLCM) and LBP | AlexNet Feature Map + (GLCM and LBP) |
|---|---|---|---|
| Accuracy (%) | 98.9 | 99.1 | 99.3 |
| Precision (%) | 99.17 | 99.51 | 99.36 |
| Sensitivity (%) | 98.95 | 99.32 | 99.5 |
| Specificity (%) | 99.36 | 99.41 | 99.57 |
| AUC (%) | 99.58 | 99.62 | 99.84 |
| System | Diseases | Hemorrhage | Non-Hemorrhage | Accuracy (%) |
|---|---|---|---|---|
| GoogLeNet | 92 | 95.3 | 94 | |
| Deep Learning | ResNet-50 | 93.1 | 90.8 | 91.7 |
| AlexNet | 79.1 | 99.1 | 91.5 | |
| GoogLeNet + SVM | 95.9 | 98.3 | 97.4 | |
| Hybrid | ResNet-50 + SVM | 96.8 | 97.4 | 97.2 |
| AlexNet + SVM | 94.2 | 96.5 | 95.7 | |
| GoogLeNet + (GLCM and LBP) | 98.5 | 99.2 | 98.9 | |
| Hybrid Features | ResNet-50 + (GLCM and LBP) | 99.8 | 98.1 | 99.1 |
| ANN | AlexNet + (GLCM and LBP) | 98.9 | 99.5 | 99.3 |
Publisher’s Note: MDPI stays neutral with regard to jurisdictional claims in published maps and institutional affiliations. |
© 2022 by the authors. Licensee MDPI, Basel, Switzerland. This article is an open access article distributed under the terms and conditions of the Creative Commons Attribution (CC BY) license (https://creativecommons.org/licenses/by/4.0/).
Share and Cite
Mohammed, B.A.; Senan, E.M.; Al-Mekhlafi, Z.G.; Rassem, T.H.; Makbol, N.M.; Alanazi, A.A.; Almurayziq, T.S.; Ghaleb, F.A.; Sallam, A.A. Multi-Method Diagnosis of CT Images for Rapid Detection of Intracranial Hemorrhages Based on Deep and Hybrid Learning. Electronics 2022, 11, 2460. https://doi.org/10.3390/electronics11152460
Mohammed BA, Senan EM, Al-Mekhlafi ZG, Rassem TH, Makbol NM, Alanazi AA, Almurayziq TS, Ghaleb FA, Sallam AA. Multi-Method Diagnosis of CT Images for Rapid Detection of Intracranial Hemorrhages Based on Deep and Hybrid Learning. Electronics. 2022; 11(15):2460. https://doi.org/10.3390/electronics11152460
Chicago/Turabian StyleMohammed, Badiea Abdulkarem, Ebrahim Mohammed Senan, Zeyad Ghaleb Al-Mekhlafi, Taha H. Rassem, Nasrin M. Makbol, Adwan Alownie Alanazi, Tariq S. Almurayziq, Fuad A. Ghaleb, and Amer A. Sallam. 2022. "Multi-Method Diagnosis of CT Images for Rapid Detection of Intracranial Hemorrhages Based on Deep and Hybrid Learning" Electronics 11, no. 15: 2460. https://doi.org/10.3390/electronics11152460
APA StyleMohammed, B. A., Senan, E. M., Al-Mekhlafi, Z. G., Rassem, T. H., Makbol, N. M., Alanazi, A. A., Almurayziq, T. S., Ghaleb, F. A., & Sallam, A. A. (2022). Multi-Method Diagnosis of CT Images for Rapid Detection of Intracranial Hemorrhages Based on Deep and Hybrid Learning. Electronics, 11(15), 2460. https://doi.org/10.3390/electronics11152460

