Rigosertib-Activated JNK1/2 Eliminate Tumor Cells through p66Shc Activation
Abstract
1. Introduction
2. Material and Methods
2.1. Cell Culture and Cell Analysis
2.2. Protein Work and Antibodies
2.3. Cell Death Detection
2.4. p66Shc Plasmid Transfection
2.5. Statistics
3. Results
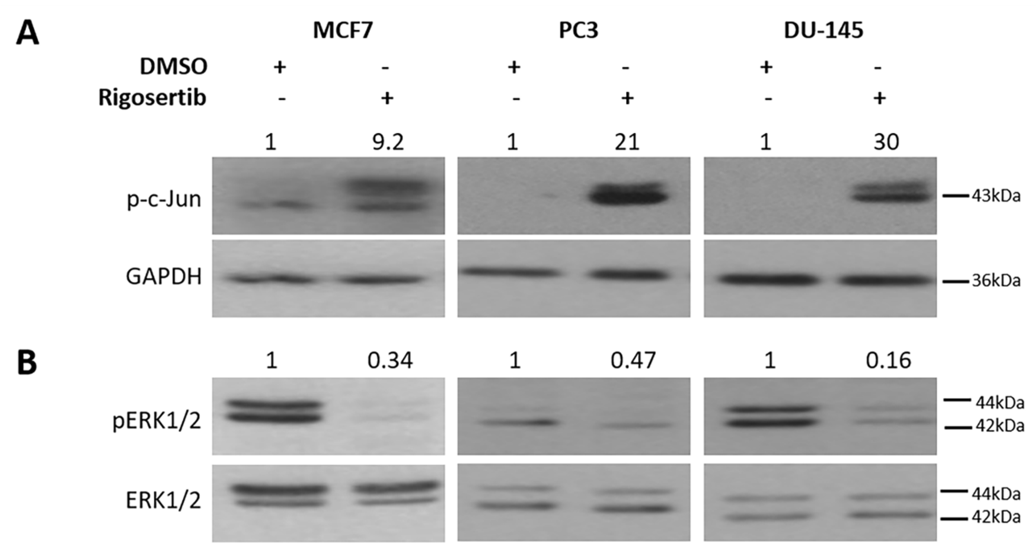
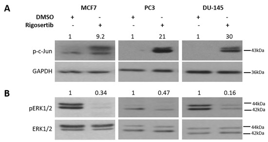
3.1. Effect of Rigosertib Treatment on JNK1/2 and ERK1/2 Activity in Tumor Cells
3.2. Rigosertib Treatment Activates p66Shc and Causes Cell Damage
3.3. p66Shc Activation Requires JNK1/2 Activity
3.4. JNK1/2 and p66Shc Are Required for Cell Damage
4. Discussion
Author Contributions
Funding
Acknowledgments
Conflicts of Interest
Availability of Data and Materials
References
- Zebisch, A.; Czernilofsky, A.P.; Keri, G.; Smigelskaite, J.; Sill, H.; Troppmair, J. Signaling through RAS-RAF-MEK-ERK: From basics to bedside. Curr. Med. Chem. 2007, 14, 601–623. [Google Scholar] [CrossRef] [PubMed]
- Zebisch, A.; Troppmair, J. Back to the roots: The remarkable RAF oncogene story. Cell. Mol. Life Sci. 2006, 63, 1314–1330. [Google Scholar] [CrossRef]
- Stefan, E.; Troppmair, J.; Bister, K. Targeting the Architecture of Deregulated Protein Complexes in Cancer. Adv. Protein Chem. Struct. Biol. 2018, 111, 101–132. [Google Scholar] [CrossRef]
- Queirolo, P.; Spagnolo, F. BRAF plus MEK-targeted drugs: A new standard of treatment for BRAF-mutant advanced melanoma. Cancer Metastasis Rev. 2017, 36, 35–42. [Google Scholar] [CrossRef]
- Quintás, G.; Fenaux, P.; Al-Kali, A.; Baer, M.R.; Sekeres, M.; Roboz, G.J.; Gaïdano, G.; Scott, B.L.; Greenberg, P.; Platzbecker, U.; et al. Rigosertib versus best supportive care for patients with high-risk myelodysplastic syndromes after failure of hypomethylating drugs (ONTIME): A randomised, controlled, phase 3 trial. Lancet Oncol. 2016, 17, 496–508. [Google Scholar] [CrossRef]
- Divakar, S.K.A.; Carpio, R.V.-D.; Dutta, K.; Baker, S.J.; Cosenza, S.C.; Basu, I.; Gupta, Y.K.; Reddy, M.R.; Ueno, L.; Hart, J.R.; et al. A Small Molecule RAS-Mimetic Disrupts RAS Association with Effector Proteins to Block Signaling. Cell 2016, 165, 643–655. [Google Scholar] [CrossRef]
- Ritt, D.A.; Abreu-Blanco, M.T.; Bindu, L.; Durrant, D.E.; Zhou, M.; Specht, S.I.; Stephen, A.G.; Holderfield, M.; Morrison, D.K. Inhibition of Ras/Raf/MEK/ERK Pathway Signaling by a Stress-Induced Phospho-Regulatory Circuit. Mol. Cell 2016, 64, 875–887. [Google Scholar] [CrossRef]
- Chapman, C.M.; Sun, X.; Roschewski, M.; Aue, G.; Farooqui, M.; Stennett, L.; Gibellini, F.; Arthur, D.; Pérez-Galán, P.; Wiestner, A. ON 01910.Na is selectively cytotoxic for chronic lymphocytic leukemia cells through a dual mechanism of action involving PI3K/AKT inhibition and induction of oxidative stress. Clin. Cancer Res. 2012, 18, 1979–1991. [Google Scholar] [CrossRef]
- Chambers, J.; Lograsso, P. Mitochondrial c-Jun N-terminal Kinase (JNK) Signaling Initiates Physiological Changes Resulting in Amplification of Reactive Oxygen Species Generation. J. Boil. Chem. 2011, 286, 16052–16062. [Google Scholar] [CrossRef] [PubMed]
- Chambers, J.; Pachori, A.; Howard, S.; Iqbal, S.; Lograsso, P. Inhibition of JNK Mitochondrial Localization and Signaling Is Protective against Ischemia/Reperfusion Injury in Rats. J. Boil. Chem. 2012, 288, 4000–4011. [Google Scholar] [CrossRef] [PubMed]
- Khalid, S.; Drasche, A.; Thurner, M.; Hermann, M.; Ashraf, M.I.; Fresser, F.; Baier, G.; Kremser, L.; Lindner, H.; Troppmair, J. cJun N-terminal kinase (JNK) phosphorylation of serine 36 is critical for p66Shc activation. Sci. Rep. 2016, 6, 20930. [Google Scholar] [CrossRef] [PubMed]
- Galimov, E.R. The Role of p66shc in Oxidative Stress and Apoptosis. Acta Nat. 2010, 2, 44–51. [Google Scholar] [CrossRef]
- Giorgio, M.; Migliaccio, E.; Orsini, F.; Paolucci, D.; Moroni, M.; Contursi, C.; Pelliccia, G.; Luzi, L.; Minucci, S.; Marcaccio, M.; et al. Electron Transfer between Cytochrome c and p66Shc Generates Reactive Oxygen Species that Trigger Mitochondrial Apoptosis. Cell 2005, 122, 221–233. [Google Scholar] [CrossRef] [PubMed]
- Haller, M.; Khalid, S.; Kremser, L.; Fresser, F.; Furlan, T.; Hermann, M.; Guenther, J.; Drasche, A.; Leitges, M.; Giorgio, M.; et al. Novel Insights into the PKCbeta-dependent Regulation of the Oxidoreductase p66Shc. J. Biol. Chem. 2016, 291, 23557–23568. [Google Scholar] [CrossRef] [PubMed]
- Koziel, K.; Smigelskaite, J.; Drasche, A.; Enthammer, M.; Ashraf, M.I.; Khalid, S.; Troppmair, J. RAF and antioxidants prevent cell death induction after growth factor abrogation through regulation of Bcl-2 proteins. Exp. Cell Res. 2013, 319, 2728–2738. [Google Scholar] [CrossRef] [PubMed]
- Pulverer, B.J.; Kyriakis, J.M.; Avruch, J.; Nikolakaki, E.; Woodgett, J.R. Phosphorylation of c-jun mediated by MAP kinases. Nat. 1991, 353, 670–674. [Google Scholar] [CrossRef]
- Gumireddy, K.; Reddy, M.V.; Cosenza, S.C.; Boominathan, R.; Baker, S.J.; Papathi, N.; Jiang, J.; Holland, J.; Reddy, E.P. ON01910, a non-ATP-competitive small molecule inhibitor of Plk1, is a potent anticancer agent. Cancer Cell 2005, 7, 275–286. [Google Scholar] [CrossRef]
- Prasad, A.; Park, I.-W.; Allen, H.; Zhang, X.; Reddy, M.V.R.; Boominathan, R.; Reddy, E.P.; Groopman, J.E. Styryl sulfonyl compounds inhibit translation of cyclin D1 in mantle cell lymphoma cells. Oncogene 2009, 28, 1518–1528. [Google Scholar] [CrossRef]
- Trachootham, D.; Alexandre, J.; Huang, P. Targeting cancer cells by ROS-mediated mechanisms: A radical therapeutic approach? Nat. Rev. Drug Discov. 2009, 8, 579–591. [Google Scholar] [CrossRef]
- Yang, X.; Xu, R.; Lin, Y.; Zhen, Y.; Wei, J.; Hu, G.; Sun, H. Recombinant adenovirus of human p66Shc inhibits MCF-7 cell proliferation. Sci. Rep. 2016, 6, 31534. [Google Scholar] [CrossRef]
- Xiao, N.; Singh, S.V. p66Shc is indispensable for phenethyl isothiocyanate-induced apoptosis in human prostate cancer cells. Cancer Res. 2010, 70, 3150–3158. [Google Scholar] [CrossRef] [PubMed]







© 2020 by the authors. Licensee MDPI, Basel, Switzerland. This article is an open access article distributed under the terms and conditions of the Creative Commons Attribution (CC BY) license (http://creativecommons.org/licenses/by/4.0/).
Share and Cite
Günther, J.K.; Nikolajevic, A.; Ebner, S.; Troppmair, J.; Khalid, S. Rigosertib-Activated JNK1/2 Eliminate Tumor Cells through p66Shc Activation. Biology 2020, 9, 99. https://doi.org/10.3390/biology9050099
Günther JK, Nikolajevic A, Ebner S, Troppmair J, Khalid S. Rigosertib-Activated JNK1/2 Eliminate Tumor Cells through p66Shc Activation. Biology. 2020; 9(5):99. https://doi.org/10.3390/biology9050099
Chicago/Turabian StyleGünther, Julia K., Aleksandar Nikolajevic, Susanne Ebner, Jakob Troppmair, and Sana Khalid. 2020. "Rigosertib-Activated JNK1/2 Eliminate Tumor Cells through p66Shc Activation" Biology 9, no. 5: 99. https://doi.org/10.3390/biology9050099
APA StyleGünther, J. K., Nikolajevic, A., Ebner, S., Troppmair, J., & Khalid, S. (2020). Rigosertib-Activated JNK1/2 Eliminate Tumor Cells through p66Shc Activation. Biology, 9(5), 99. https://doi.org/10.3390/biology9050099

