Correction: Shawky et al. The Biological Impacts of Sitagliptin on the Pancreas of a Rat Model of Type 2 Diabetes Mellitus: Drug Interactions with Metformin. Biology 2020, 9, 6
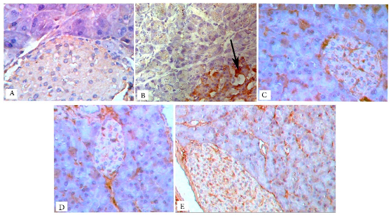
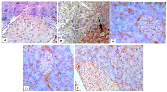
Error in Figure

Reference
- Shawky, L.M.; Morsi, A.A.; El Bana, E.; Hanafy, S.M. The Biological Impacts of Sitagliptin on the Pancreas of a Rat Model of Type 2 Diabetes Mellitus: Drug Interactions with Metformin. Biology 2020, 9, 6. [Google Scholar] [CrossRef] [PubMed]
Disclaimer/Publisher’s Note: The statements, opinions and data contained in all publications are solely those of the individual author(s) and contributor(s) and not of MDPI and/or the editor(s). MDPI and/or the editor(s) disclaim responsibility for any injury to people or property resulting from any ideas, methods, instructions or products referred to in the content. |
© 2024 by the authors. Licensee MDPI, Basel, Switzerland. This article is an open access article distributed under the terms and conditions of the Creative Commons Attribution (CC BY) license (https://creativecommons.org/licenses/by/4.0/).
Share and Cite
Shawky, L.M.; Morsi, A.A.; El Bana, E.; Hanafy, S.M. Correction: Shawky et al. The Biological Impacts of Sitagliptin on the Pancreas of a Rat Model of Type 2 Diabetes Mellitus: Drug Interactions with Metformin. Biology 2020, 9, 6. Biology 2024, 13, 527. https://doi.org/10.3390/biology13070527
Shawky LM, Morsi AA, El Bana E, Hanafy SM. Correction: Shawky et al. The Biological Impacts of Sitagliptin on the Pancreas of a Rat Model of Type 2 Diabetes Mellitus: Drug Interactions with Metformin. Biology 2020, 9, 6. Biology. 2024; 13(7):527. https://doi.org/10.3390/biology13070527
Chicago/Turabian StyleShawky, Lamiaa M., Ahmed A. Morsi, Eman El Bana, and Safaa Masoud Hanafy. 2024. "Correction: Shawky et al. The Biological Impacts of Sitagliptin on the Pancreas of a Rat Model of Type 2 Diabetes Mellitus: Drug Interactions with Metformin. Biology 2020, 9, 6" Biology 13, no. 7: 527. https://doi.org/10.3390/biology13070527
APA StyleShawky, L. M., Morsi, A. A., El Bana, E., & Hanafy, S. M. (2024). Correction: Shawky et al. The Biological Impacts of Sitagliptin on the Pancreas of a Rat Model of Type 2 Diabetes Mellitus: Drug Interactions with Metformin. Biology 2020, 9, 6. Biology, 13(7), 527. https://doi.org/10.3390/biology13070527

