Ovotestis Isolation and Cryopreservation of Nesiohelix samarangae (Oriental Snail) as a Snail Model for Conserving Other Endangered Snail Species
Abstract
Simple Summary
Abstract
1. Introduction
2. Materials and Methods
2.1. Breeding Environment of Nesiohelix samarangae
2.2. Reproductive Organ Isolation of Nesiohelix samarangae
2.3. Histology of Reproductive Organ of Lissachatina fulica and Nesiohelix samarangae
2.4. Vitrification of Reproductive Organs from Nesiohelix samarangae
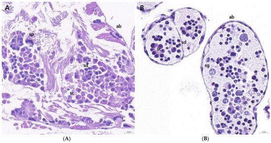
3. Results
4. Discussion
5. Conclusions
Author Contributions
Funding
Institutional Review Board Statement
Informed Consent Statement
Data Availability Statement
Conflicts of Interest
References
- Bang, I.S.; Lee, Y.S. Molecular Phylogenetic Study of Nesiohelix samarangae Based on CO-I Gene. Korean J. Malacol. 2014, 30, 391–397. [Google Scholar] [CrossRef][Green Version]
- Roy, S.; Chaki, K.K.; Nag, T.C.; Misra, K.K. Ultrastructure of ovotestis of young and adult pulmonate mollusk, Macrochlamys indica Benson 1832. J. Microsc. Ultrastruct. 2016, 4, 184–194. [Google Scholar] [PubMed]
- Varun, D.; Deepak, P.; Dushyant, K.S.; Prem, P. A review on persisting threats to snail’s diversity and its conservation approaches. Arch. Agric. Environ. Sci. 2020, 5, 205–217. [Google Scholar]
- Kazuki, K.; Kaito, S.; Satoshi, C. The mucus of a land snail love-dart suppresses subsequent matings in darted individuals. Anim. Behav. 2013, 85, 631–635. [Google Scholar]
- Mason, C.F. Snail populations, beech litter production, and the role of snails in litter decomposition. Oecologia 1970, 5, 215–239. [Google Scholar] [CrossRef] [PubMed]
- Jonathan, P.; David, A.N. Australian land snails: A review of ecological research and conservation approaches. Molluscan Res. 2013, 33, 116–129. [Google Scholar]
- Choubisa, S.L. A Brief Review of Parasitic Castration in Aquatic Snails and Its Contribution in Control of Diverse Vector Snail Populations and Trematodiases in Man and Animals. Austin J. Infect. Dis. 2022, 9, 1066. [Google Scholar]
- Mackenzie, N.H.; Michael, L.M. Urbanization impacts on land snail community composition. Urban Ecosyst. 2018, 21, 721–735. [Google Scholar]
- Maria, A.P. Raw materials from snails for food preparation. Future Foods 2021, 3, 100034. [Google Scholar]
- Tomáš, N.; Eva, L.; Klaus, B.; Michal, H. Stable isotope analysis suggests low trophic niche partitioning among co-occurring land snail species in a floodplain forest. J. Zool. 2021, 313, 297–306. [Google Scholar]
- Robert, K.B.; Svetlana, A.K.; Karthikeyan, V.; Dale, M.; Govindappa, V.; Manuel, G.; Victor, K.U.; Ruth, M.G. Reproduction technologies for the sustainable management of Caudata (salamander) and Gymnophiona (caecilian) biodiversity. Reprod. Fertil. Dev. 2022, 34, 479–497. [Google Scholar]
- Pablo, G.S.; Victor, G.; Juan, F.A. Development of Sperm Cryopreservation Protocols for Sharks and Rays: New Tools for Elasmobranch Conservation. Front. Mar. Sci. 2021, 8, 689089. [Google Scholar]
- Anjali, P.; Shyam, K. Cryopreservation of fish gametes: A remarkable tool for breeding conservation. Int. J. Fauna Biol. Stud. 2020, 7, 105–107. [Google Scholar]
- Santos, R.R.; Amorim, C.; Cecconi, S.; Fassbender, M.; Imhof, M.; Lornage, J.; Paris, M.; Schoenfeldt, V.; Martinez-Madrid, B. Cryopreservation of ovarian tissue: An emerging technology for female germline preservation of endangered species and breeds. Anim. Reprod. Sci. 2010, 122, 151–163. [Google Scholar] [CrossRef] [PubMed]
- Chang, N.S.; Han, J.M. Ultrastructural Study on the Maturation of Oocyte in the African Giant Snail, Achatina fulica. Appl. Microsc. 2000, 30, 367–376. [Google Scholar]
- Chang, N.S. A ultrastructural study on the axoneme formation in the spermatozoa of the edible Giant Snail, Achatina fulica. Korea J. Electron Microsc. 1998, 28, 513–525. [Google Scholar]
- Chang, T.; Zhao, G. Ice Inhibition for Cryopreservation: Materials, Strategies, and Challenges. Adv. Sci. 2021, 8, 2002425. [Google Scholar] [CrossRef]
- Huang, H.; Choi, J.K.; Rao, W.; Zhao, S.; Agarwal, P.; Zhao, G.; He, X. Alginate Hydrogel Microencapsulation Inhibits Devitrification and Enables Large-Volume Low-CPA Cell Vitrification. Adv. Funct. Mater. 2015, 25, 6839–6850. [Google Scholar] [CrossRef]
- Tian, C.; Zhang, X.; Zhao, G. Vitrification of stem cell-laden core-shell microfibers with unusually low concentrations of cryoprotective agents. Biomater. Sci. 2019, 7, 889–900. [Google Scholar] [CrossRef]
- Ovando, X.M.C.; Miranda, M.J.; Loyola, R.; Cuezzo, M.G. Identifying priority areas for invertebrate conservation using land snails as models. J. Nat. Conserv. 2019, 50, 125707. [Google Scholar] [CrossRef]
- Overton, J.M.; Barker, G.M.; Price, R. Estimating and conserving patterns of invertebrate diversity: A test case of New Zealand land snails. Divers. Distrib. 2009, 15, 731–741. [Google Scholar] [CrossRef]



Disclaimer/Publisher’s Note: The statements, opinions and data contained in all publications are solely those of the individual author(s) and contributor(s) and not of MDPI and/or the editor(s). MDPI and/or the editor(s) disclaim responsibility for any injury to people or property resulting from any ideas, methods, instructions or products referred to in the content. |
© 2024 by the authors. Licensee MDPI, Basel, Switzerland. This article is an open access article distributed under the terms and conditions of the Creative Commons Attribution (CC BY) license (https://creativecommons.org/licenses/by/4.0/).
Share and Cite
Jeong, J.; Lee, S.; Choi, J.K. Ovotestis Isolation and Cryopreservation of Nesiohelix samarangae (Oriental Snail) as a Snail Model for Conserving Other Endangered Snail Species. Biology 2024, 13, 205. https://doi.org/10.3390/biology13040205
Jeong J, Lee S, Choi JK. Ovotestis Isolation and Cryopreservation of Nesiohelix samarangae (Oriental Snail) as a Snail Model for Conserving Other Endangered Snail Species. Biology. 2024; 13(4):205. https://doi.org/10.3390/biology13040205
Chicago/Turabian StyleJeong, Jukyeong, Seungki Lee, and Jung Kyu Choi. 2024. "Ovotestis Isolation and Cryopreservation of Nesiohelix samarangae (Oriental Snail) as a Snail Model for Conserving Other Endangered Snail Species" Biology 13, no. 4: 205. https://doi.org/10.3390/biology13040205
APA StyleJeong, J., Lee, S., & Choi, J. K. (2024). Ovotestis Isolation and Cryopreservation of Nesiohelix samarangae (Oriental Snail) as a Snail Model for Conserving Other Endangered Snail Species. Biology, 13(4), 205. https://doi.org/10.3390/biology13040205

