Protective Effect of Resveratrol against Hepatotoxicity of Cadmium in Male Rats: Antioxidant and Histopathological Approaches
Abstract
1. Introduction
2. Materials and Methods
2.1. Chemicals
2.2. Animals
2.3. Experimental Design
2.4. Blood Samples Collection
2.5. Biomarkers of Hepatic Functions
2.6. Tissue Preparation
2.7. Determination of Antioxidant Markers
2.8. Histological Evaluation
2.9. Statistical Analysis
3. Results
Histopathological Finding
4. Discussion
5. Conclusions
Author Contributions
Funding
Institutional Review Board Statement
Informed Consent Statement
Data Availability Statement
Acknowledgments
Conflicts of Interest
References
- Flora, S.J.S.; Behari, J.R.; Ashquin, M.; Tandon, S.K. Time-dependent protective effect of selenium against cadmium-induced nephrotoxicity and hepatotoxicity. Chem. Biol. Interact. 1982, 42, 345–351. [Google Scholar] [CrossRef]
- Giuseppe, G.; Maria, S.S.; Graziantonio, L.; Alessia, C.; Alessia, C. The Effects of Cadmium Toxicity. Int. J. Environ. Res. Public Health 2020, 17, 3782. [Google Scholar]
- Thévenod, F. Nephrotoxicity and the Proximal Tubule. Nephron 2003, 93, 87–93. [Google Scholar] [CrossRef]
- Fukumoto, M.; Kujiraoka, T.; Hara, M.; Shibasaki, T.; Hosoya, T.; Yoshida, M. Effect of cadmium on gap junctional intercellular communication in primary cultures of rat renal proximal tubular cells. Life Sci. 2001, 69, 247–254. [Google Scholar] [CrossRef]
- Abu-El-Zahab, H.S.H.; Hamza, R.Z.; Montaser, M.M.; El-Mahdi, M.M.; Al-Harthi, W.A. Antioxidant, antiapoptotic, antigenotoxic, and hepatic ameliorative effects of L-carnitine and selenium on cadmium-induced hepatotoxicity and alterations in liver cell structure in male mice. Ecotoxicol. Environ. Saf. 2019, 173, 419–428. [Google Scholar] [CrossRef] [PubMed]
- Rani, A.; Kumar, A.; Lal, A.; Pant, M. Cellular mechanisms of cadmium-induced toxicity: A review. Int. J. Environ. Health Res. 2014, 24, 378–399. [Google Scholar] [CrossRef] [PubMed]
- Alharthi, W.A.; Hamza, R.Z.; Elmahdi, M.M.; Abuelzahab, H.S.H.; Saleh, H. Selenium and L-Carnitine Ameliorate Reproductive Toxicity Induced by Cadmium in Male Mice. Biol. Trace Element Res. 2019, 197, 619–627. [Google Scholar] [CrossRef]
- Refat, M.S.; Hamza, R.Z.; Adam, A.M.A.; Saad, H.A.; Gobouri, A.A.; Al-Harbi, F.S.; Al-Salmi, F.A.; Altalhi, T.; El-Megharbel, S.M. Quercetin/Zinc complex and stem cells: A new drug therapy to ameliorate glycometabolic control and pulmonary dysfunction in diabetes mellitus: Structural characterization and genetic studies. PLoS ONE 2021, 16, e0246265. [Google Scholar] [CrossRef] [PubMed]
- Mokni, M.; Elkahoui, S.; Limam, F.; Amri, M.; Aouani, E. Effect of Resveratrol on Antioxidant Enzyme Activities in the Brain of Healthy Rat. Neurochem. Res. 2007, 32, 981–987. [Google Scholar] [CrossRef]
- Wang, P.; Sachar, M.; Lu, J.; Shehu, A.I.; Zhu, J.; Chen, J.; Ma, X. The essential role of the transporter ABCG2 in the pathophysiology of erythropoietic protoporphyria. Sci. Adv. 2019, 5, eaaw6127. [Google Scholar] [CrossRef]
- Dalaklioglu, S.; Genc, G.E.; Aksoy, N.H.; Akcit, F.; Gumuslu, S. Resveratrol ameliorates methotrexate-induced hepatotoxicity in rats via inhibition of lipid peroxidation. Hum. Exp. Toxicol. 2013, 32, 662–667. [Google Scholar] [CrossRef] [PubMed]
- Leonard, S.S.; Xia, C.; Jiang, B.-H.; Stinefelt, B.; Klandorf, H.; Harris, G.K.; Shi, X. Resveratrol scavenges reactive oxygen species and effects radical-induced cellular responses. Biochem. Biophys. Res. Commun. 2003, 309, 1017–1026. [Google Scholar] [CrossRef] [PubMed]
- Tian, B.; Liu, J. Resveratrol: A review of plant sources, synthesis, stability, modification and food application. J. Sci. Food Agric. 2020, 100, 1392–1404. [Google Scholar] [CrossRef] [PubMed]
- de Moraes, A.C.N.; de Andrade, C.B.V.; Ramos, I.P.R.; Dias, M.L.; Batista, C.M.P.; Pimentel, C.F.; de Carvalho, J.J.; Goldenberg, R.C.D.S. Resveratrol promotes liver regeneration in drug-induced liver disease in mice. Food Res. Int. 2021, 142, 110185. [Google Scholar] [CrossRef] [PubMed]
- Liu, X. ABC Family Transporters. In Advances in Experimental Medicine and Biology; Springer: Berlin/Heidelberg, Germany, 2019; Volume 1141, pp. 13–100. [Google Scholar]
- Sener, G.; Toklu, H.Z.; Sehirli, A.O.; Velioğlu-Öğünç, A.; Cetinel, S.; Gedik, N. Protective effects of resveratrol against acetaminophen-induced toxicity in mice. Hepatol. Res. 2006, 35, 62–68. [Google Scholar] [CrossRef]
- Subramanya, S.B.; Venkataraman, B.; Meeran, M.F.N.; Goyal, S.N.; Patil, C.R.; Ojha, S. Therapeutic Potential of Plants and Plant Derived Phytochemicals against Acetaminophen-Induced Liver Injury. Int. J. Mol. Sci. 2018, 19, 3776. [Google Scholar] [CrossRef]
- Abdu, S.B.; Al-Bogami, F.M. Influence of resveratrol on liver fibrosis induced by dimethylnitrosamine in male rats. Saudi J. Biol. Sci. 2019, 26, 201–209. [Google Scholar] [CrossRef]
- Ungvari, Z.; Bagi, Z.; Feher, A.; Recchia, F.A.; Sonntag, W.E.; Pearson, K.; De Cabo, R.; Csiszar, A. Resveratrol confers endothelial protection via activation of the antioxidant transcription factor Nrf2. Am. J. Physiol. Circ. Physiol. 2010, 299, H18–H24. [Google Scholar] [CrossRef]
- Esterbauer, H.; Cheeseman, K.H. Determination of aldehydic lipid peroxidation products: Malonaldehyde and 4-hydroxynonenal. Regul. Cell Death Part A Apoptotic Mech. 1990, 186, 407–421. [Google Scholar] [CrossRef]
- Rubiolo, J.A.; Mithieux, G.; Vega, F.V. Resveratrol protects primary rat hepatocytes against oxidative stress damage: Activation of the Nrf2 transcription factor and augmented activities of antioxidant enzymes. Eur. J. Pharmacol. 2008, 591, 66–72. [Google Scholar] [CrossRef]
- El-Agamy, D.S. Comparative effects of curcumin and resveratrol on aflatoxin B1-induced liver injury in rats. Arch. Toxicol. 2010, 84, 389–396. [Google Scholar] [CrossRef] [PubMed]
- Renugadevi, J.; Prabu, S.M. Cadmium-induced hepatotoxicity in rats and the protective effect of naringenin. Exp. Toxicol. Pathol. 2010, 62, 171–181. [Google Scholar] [CrossRef] [PubMed]
- Oktem, G.; Uysal, A.; Oral, O.; Sezer, E.D.; Olukman, M.; Erol, A. Resveratrol attenuatesdoxorubicin-induced cellular damage by modulating nitric oxide and apoptosis. Exp. Toxicol. Pathol. 2012, 64, 471–479. [Google Scholar] [CrossRef] [PubMed]
- Boussarie, D. Hématologie des rongeurs et lagomorphes de compagnie. Bull. Acad. Vét. France 1999, 72, 209–216. [Google Scholar] [CrossRef]
- Reitman, S.; Frankel, S.A. colorimetric method for the determination of serum glutamic oxyacetic and glutamic pyruvic transaminases. Am. J. Clin. Pathol. 1957, 28, 56–63. [Google Scholar] [CrossRef]
- Young, D.C.; Koon, H.R.; Hyung, K.C. In vitro and in vivo experimental effect of Korean red ginseng on erection. J. Urol. 1999, 162, 1508–1511. [Google Scholar]
- Orlowski, M.; Meister, A. Isolation of gamma-glutamyl transpeptidase from hog kidney. J. Biol. Chem. 1965, 240, 338–347. [Google Scholar] [CrossRef]
- Bowers, L.D.; Wong, E.T. Kinetic serum creatinine assays. II. A critical valuation and review. Clin. Chem. 1980, 26, 555–561. [Google Scholar] [CrossRef]
- Bradford, M.M. A Rapid and Sensitive Method for the Quantitation of Microgram Quantities of Protein Utilizing the Principle of Protein-Dye Binding. Anal. Biochem. 1976, 72, 248–254. [Google Scholar] [CrossRef]
- Carr, T.; Andressen, C.J.; Rudel, L.L. Enzymatic determination of triglyceride, free cholesterol and total cholesterol in tissue lipid extracts. Clin. Chem. 1993, 26, 39–42. [Google Scholar]
- Warnick, G.R.; Benderson, J.; Albers, J.J. Selected methods of clinical chemistry. Am. Assoc. Clin. Chem. 1983, 10, 91–99. [Google Scholar]
- Friedewald, W.T. Estimation of concentration of low-density lipoprotein cholesterol in plasma without use of the preparative ultracentrifuge. Clin. Chem. 1972, 18, 499–502. [Google Scholar] [CrossRef]
- Marklund, S.; Marklund, G. Involvement of the superoxide anion radical in the autoxidation of pyrogallol and a convenient assay for superoxide dismutase. Eur. J. Biochem. 1974, 47, 469–474. [Google Scholar] [CrossRef] [PubMed]
- Aebi, D.J. Glucose-6-phosphate dehydrogenase. In Methodsof Enzymatic Analysis, 2nd ed.; Bergmeyer, H.U., Ed.; VCH Verlagsgesellschaft mbH: Weinheim, Germany, 1986; pp. 190–196. [Google Scholar]
- Hamza, R.Z.; Al-Motaan, S.E.; Malik, N. Protective and Antioxidant Role of Selenium Nanoparticles and Vitamin C against Acrylamide Induced Hepatotoxicity in Male Mice. Int. J. Pharmacol. 2019, 15, 664–674. [Google Scholar] [CrossRef]
- Prieto, P.; Pineda, M.; Aguilar, M. Spectrophotometric Quantitation of Antioxidant Capacity through the Formation of a Phosphomolybdenum Complex: Specific Application to the Determination of Vitamin E. Anal. Biochem. 1999, 269, 337–341. [Google Scholar] [CrossRef]
- Gabe, M. Techniques Histologiques Histological Techniques; Masson Publisher: Paris, French, 1968. [Google Scholar]
- Martynov, A.; Sushama, L.; Laprise, R. Simulation of temperate freezing lakes by one-dimensional lake models: Performance assessment for interactive coupling with regional climate models. Boreal Environ. Res. 2010, 15, 143–164. [Google Scholar] [CrossRef]
- Chawla, R. Practical Clinical Biochemistry: Methods and Interpretations, 4th ed.; JP Medical Ltd.: New Delhi, India, 2014. [Google Scholar]
- Gaskill, C.L.; Miller, L.M.; Mattoon, J.S.; Hoffmann, W.E.; Burton, S.A.; Gelens, H.C.J.; Ihle, S.L.; Miller, J.B.; Shaw, D.H.; Cribb, A.E. Liver Histopathology and Liver and Serum Alanine Aminotransferase and Alkaline Phosphatase Activities in Epileptic Dogs Receiving Phenobarbital. Veter Pathol. 2005, 42, 147–160. [Google Scholar] [CrossRef]
- Al-Harbi, M.S.; Hamza, R.Z. Potential Ameliorative Effects of Selenium and Chromium Supplementation against Toxicity and Oxidative Stress in Streptozotocin Diabetic Rats. Int. J. Pharm. 2016, 12, 483–495. [Google Scholar]
- Lakshmi, G.D.; Kumar, P.R.; Bharavi, K.; Annapurna, P.; Rajendar, B.; Patel, P.T.; Kumar, C.S.V.S.; Rao, G.S. Protective effect of Tribulus terrestris linn on liver and kidney in cadmium intoxicated rats. Indian J. Exp. Boil. 2012, 50, 141–146. [Google Scholar]
- Alghasham, A.; Tarek, A.S.; Abdel-Raheim, M.M. Effect of cadmium-polluted water on plasma levels of tumor necrosis factor-α, interleukin-6 and oxidative status biomarkers in rats: Protective effect of curcumin. Food Chem. Toxicol. 2013, 59, 160–164. [Google Scholar] [CrossRef]
- Mecdad, A.A.; Ahmed, M.H.; ElHalwagy, M.E.; Afify, M.M. A study on oxidative stress biomarkers and immunomodulatory effects of pesticides in pesticide-sprayers. Egypt. J. Forensic Sci. 2011, 2, 93–98. [Google Scholar] [CrossRef]
- Hamza, R.Z.; El-Shenawy, N.S. Anti-inflammatory and antioxidant role of resveratrol on nicotine-induced lung changes in male rats. Toxicol. Rep. 2017, 4, 399–407. [Google Scholar] [CrossRef]
- Al-Baqami, N.; Hamza, R. Synergistic antioxidant capacities of vanillin and chitosan nanoparticles against reactive oxygen species, hepatotoxicity, and genotoxicity induced by aging in male Wistar rats. Hum. Exp. Toxicol. 2021, 40, 183–202. [Google Scholar] [CrossRef] [PubMed]
- Al-Hazmi, M.A.; Rawi, S.M.; Hamza, R.Z. Biochemical, histological, and neuro-physiological effects of long-term aluminum chloride exposure in rats. Metab. Brain Disease 2021, 36, 36429–36436. [Google Scholar] [CrossRef]
- Hamza, R.Z.; EL-Megharbel, S.M.; Altalhi, T.; Gobouri, A.A.; Alrogi, A.A. Hypolipidemic and hepatoprotective synergistic effects of selenium nanoparticles and vitamin. E against acrylamide induced hepatic alterations in male albino mice. Appl. Organomet. Chem. 2020, 34, e5458. [Google Scholar] [CrossRef]
- Hamza, R.Z.; Al-Salmi, F.A.; El-Shenawy, N.S. Evaluation of the effects of the green nanoparticles zinc oxide on monosodium glutamate-induced toxicity in the brain of rats. PeerJ 2019, 7, e7460. [Google Scholar] [CrossRef]
- Hamza, R.Z.; Al-Juaid, N.S.; Althubaiti, E.H. Antioxidant Effect of Carnosine on Aluminum Oxide Nanoparticles (Al2O3-NPs)-induced Hepatotoxicity and Testicular Structure Alterations in Male Rats. Int. J. Pharmacol. 2018, 14, 740–750. [Google Scholar] [CrossRef]
- Rafati, A.; Hoseini, L.; Babai, A.; Noorafshan, A.; Haghbin, H.; Karbalay-Doust, S. Mitigating Effect of Resveratrol on the Structural Changes of Mice Liver and Kidney Induced by Cadmium: A Stereological Study. Prev. Nutr. Food Sci. 2015, 20, 266–275. [Google Scholar] [CrossRef]
- Hamza, R.Z.; Diab, A.A.A.; Zahra, M.H.; Asalah, A.K.; Attia, M.S.; Moursi, S.M. Ameliorative effect of apelin-13 against renal complications in L-NAME-induced preeclampsia in rats. PeerJ 2021, 9, e11110. [Google Scholar] [CrossRef]
- Fan, G.; Tang, J.J.; Bhadauria, M.; Nirala, S.K.; Dai, F.; Zhou, B.; Li, Y.; Liu, Z.L. Resveratrol ameliorates carbon tetrachloride-induced acute liver injury in mice. Environ. Toxicol. Pharmacol. 2009, 28, 350–356. [Google Scholar] [CrossRef]
- Hamza, R.Z.; Al-Salmi, F.A.; Laban, H.; El-Shenawy, N.S. Ameliorative Role of Green Tea and Zinc Oxide Nanoparticles Complex Against Monosodium Glutamate-Induced Testicular Toxicity in Male Rats. Curr. Pharm. Biotechnol. 2020, 21, 488–501. [Google Scholar] [CrossRef]
- El-Shenawy, N.S.; AL-Harbi, M.S.; Hamza, R.Z. Effect of vitamin E and selenium separately and in combination on biochemical, immunological and histological changes induced by sodium azide in male mice. Exp. Toxicol. Pathol. 2014, 67, 65–76. [Google Scholar] [CrossRef] [PubMed]
- Reham, Z.; Hamza, F.; Al-Salmi, A.; El-Shenawy, N.S. Chitosan and Lecithin Ameliorate Osteoarthritis Symptoms Induced by Monoiodoacetate in a Rat Model. Molecules 2021, 25, 5738. [Google Scholar]
- Hamza, R.Z.; Al-Harbi, M.S.; Al-Hazaa, M.A. Neurological Alterations and Testicular Damages in Aging Induced by D-Galactose and Neuro and Testicular Protective Effects of Combinations of Chitosan Nanoparticles, Resveratrol and Quer-cetin in Male Mice. Coatings 2021, 11, 435. [Google Scholar] [CrossRef]
- AlBasher, G.; Abdel-Daim, M.M.; Almeer, R.; Ibrahim, K.A.; Hamza, R.Z.; Bungau, S.; Aleya, L. Synergistic antioxidant effects of resveratrol and curcumin against fiproniltriggered oxidative damage in male albino rats. Environ. Sci. Pollut. Res. 2020, 27, 6505–6514. [Google Scholar] [CrossRef]
- Refat, M.S.; Hamza, R.Z.; Adam, A.A.; Saad, H.A.; Gobouri, A.A.; Al-Salmi, F.A.; Altalhi, T.A.; El-Megharbel, S.M. Potential Therapeutic Effects of New Ruthenium (III) Complex with Quercetin: Characterization, Structure, Gene Regulation, and An-titumor and Anti-Inflammatory Studies (RuIII/Q Novel Complex Is a Potent Immunoprotective Agent). Crystals 2021, 11, 367. [Google Scholar] [CrossRef]
- Eybl, V.; Kotyzova, D.; Koutensky, J. Comparative study of natural antioxidants—Curcumin, resveratrol and melatonin—In cadmium-induced oxidative damage in mice. Toxicology 2006, 225, 150–156. [Google Scholar] [CrossRef]
- Moamen, S.; Refat, R.Z.; Hamza, A.A.; Adam, H.A.; Saad, A.A.; Gobouri, E.A.; Fawziah, A.; Tariq, A.; Altalhi, E.K.; Ahmed, G.; et al. Antioxidant, Antigenotoxic, and Hepatic Ameliorative Effects of Quercetin/Zinc Complex on Cadmium-Induced Hepatotoxicity and Alterations in Hepatic Tissue Structure. Coatings 2021, 11, 501. [Google Scholar]
- Cheng, K.; Yan, E.; Song, Z.; Li, S.; Zhang, H.; Zhang, L.; Wang, C.; Wang, T. Protective effect of resveratrol against hepatic damage induced by heat stress in a rat model is associated with the regulation of oxidative stress and inflammation. J. Therm. Biol. 2019, 82, 70–75. [Google Scholar] [CrossRef]

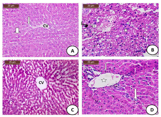
) microvesicular steatosis hepatocytes (
) with ballooning of hepatocytes (
) and cytoplasmic clearing (signet ring appearance (
), hepatocellular damage, inflammatory infiltrate and pericellular fibrosis (
). (C) Resveratrol group: Photomicrograph of liver tissues treated with resveratrol showing central vein (CV) surrounded by normal cords of liver cells (H&E × 100). (D) Cadmium + Resveratrol group: Photomicrograph of hepatic tissues treated with Cadmium + Resveratrol showing normal hepatocytes with beginning of mild hypertrophy, appearance of binucleated hepatocytes (
), with vesicular nuclei and granular cytoplasmand formation of new bile ductules infiltrated by inflammatory cells (
) at the periphery of mildly dilated portal vein (
) With infiltration of blood sinusoids by inflammatory cells (
) (H&E × 100).
) microvesicular steatosis hepatocytes (
) with ballooning of hepatocytes (
) and cytoplasmic clearing (signet ring appearance (
), hepatocellular damage, inflammatory infiltrate and pericellular fibrosis (
). (C) Resveratrol group: Photomicrograph of liver tissues treated with resveratrol showing central vein (CV) surrounded by normal cords of liver cells (H&E × 100). (D) Cadmium + Resveratrol group: Photomicrograph of hepatic tissues treated with Cadmium + Resveratrol showing normal hepatocytes with beginning of mild hypertrophy, appearance of binucleated hepatocytes (
), with vesicular nuclei and granular cytoplasmand formation of new bile ductules infiltrated by inflammatory cells (
) at the periphery of mildly dilated portal vein (
) With infiltration of blood sinusoids by inflammatory cells (
) (H&E × 100).
| Groups | Total Protein (g/dL) | LDH (U/L) | AST (U/mL) | ALT (U/mL) | γ-GT (U/L) | ALP (U/L) |
|---|---|---|---|---|---|---|
| 1—Control group | 8.19 ± 0.78 | 115.25 ± 2.02 | 13.11 ± 1.01 | 12.36 ± 0.78 | 3.21 ± 0.25 | 10.12 ± 1.14 |
| 2—Cd group | 3.48 ± 0.59 a,b | 861.36 ± 1.25 a,b | 152.36 ± 2.54 a,b | 172.71 ± 2.31 a,b | 7.65 ± 1.15 a,b | 68.32 ± 2.55 a,b |
| 3—Rs group | 7.14 ± 1.15 | 110.25 ± 1.05 | 13.28 ± 1.72 | 12.83 ± 1.24 | 3.41 ± 0.37 | 9.98 ± 1.22 |
| 4—Cd + Rs group | 5.18 ± 1.49 | 146.25 ± 1.75 | 43.12 ± 2.02 | 33.48 ± 2.11 | 3.87 ± 0.28 | 13.36 ± 1.27 |
| Post hoc p-value | ||||||
| Control vs. CdCl2 | <0.001 * | <0.001 * | <0.001 * | <0.001 * | <0.001 * | <0.001 * |
| Control vs. Rs | 0.44 | 0.11 | 0.32 | 0.79 | 0.34 | 0.42 |
| Control vs. CdCl2 + Rs | 0.38 | <0.001 * | <0.001 * | <0.001 * | 0.30 | <0.001 * |
| CdCl2 vs. Rs | <0.001 * | <0.001 * | <0.001 * | <0.001 * | <0.001 * | <0.001 * |
| CdCl2 vs. CdCl2 + Rs | <0.001 * | <0.001 * | <0.001 * | <0.001 * | <0.001 * | <0.001 * |
| Rs vs. CdCl2 + Rs | 0.10 | <0.001 * | <0.001 * | <0.001 * | 0.10 | <0.001 * |
| Groups | MDA (nmol/g Tissue) | GPx (mg/g Tissue) | CAT (U/g Tissue) | TAC % | SOD (U/g Tissue) |
|---|---|---|---|---|---|
| Control group | 5.02 ± 1.01 | 16.15 ± 1.69 | 10.43 ± 1.58 | 96.8% | 14.12 ± 1.23 |
| CdCl2 group | 115.28 ± 1.21 a,b | 6.55 ± 1.19 a,b | 1.51 ± 0.36 a,b | 77% a,b | 3.26 ± 0.66 a,b |
| Rs group | 5.01 ± 0.89 | 17.25 ± 1.29 | 10.41 ± 1.22 | 98% | 14.15 ± 1.15 |
| CdCl2 + Rs group | 13.52 ± 2.12 | 14.53 ± 1.39 | 3.26 ± 0.78 | 89% | 10.03 ± 1.31 |
| Post hoc p-value | |||||
| Control vs. CdCl2 | <0.001 * | <0.001 * | <0.001 * | <0.001 * | <0.001 * |
| Control vs. Rs | 0.03 * | 0.09 | 0.29 | 0.32 | <0.001 * |
| Control vs. CdCl2 + Rs | <0.001 * | <0.001 * | <0.001 * | <0.001 * | <0.001 * |
| CdCl2 vs. Rs | <0.001 * | <0.001 * | <0.001 * | <0.001 * | <0.001 * |
| CdCl2 vs. CdCl2 + Rs | <0.001 * | <0.001 * | <0.001 * | <0.001 * | <0.001 * |
| Rs vs. CdCl2 + Rs | <0.001 * | <0.001 * | <0.001 * | <0.001 * | <0.001 * |
| Findings | Groups | |||
|---|---|---|---|---|
| Control | Cadmium | Resveratrol | Cadmium + Resveratrol | |
| Normal hepatic tissues | ++++ | ------ | ++++ | +++- |
| Normal central vein | ++++ | +--- | ++++ | +++- |
| Dilated congested central vein | ------ | ++++ | ------ | +++- |
| Degenerated liver cells | ------ | ++++ | ------ | +++– |
| Fatty change of liver cells | ------ | ++++ | ------ | +++– |
| Symbol | Meaning | |||
| ------ | Absence of the change. | |||
| ++++ | A change which was often found. | |||
| +++- | A change which was observed in almost group. | |||
| +++– | A change so often not observed in all group. | |||
| +--- | A change that was rare in the group. | |||
Publisher’s Note: MDPI stays neutral with regard to jurisdictional claims in published maps and institutional affiliations. |
© 2021 by the authors. Licensee MDPI, Basel, Switzerland. This article is an open access article distributed under the terms and conditions of the Creative Commons Attribution (CC BY) license (https://creativecommons.org/licenses/by/4.0/).
Share and Cite
Al-Baqami, N.M.; Hamza, R.Z. Protective Effect of Resveratrol against Hepatotoxicity of Cadmium in Male Rats: Antioxidant and Histopathological Approaches. Coatings 2021, 11, 594. https://doi.org/10.3390/coatings11050594
Al-Baqami NM, Hamza RZ. Protective Effect of Resveratrol against Hepatotoxicity of Cadmium in Male Rats: Antioxidant and Histopathological Approaches. Coatings. 2021; 11(5):594. https://doi.org/10.3390/coatings11050594
Chicago/Turabian StyleAl-Baqami, Najah M., and Reham Z. Hamza. 2021. "Protective Effect of Resveratrol against Hepatotoxicity of Cadmium in Male Rats: Antioxidant and Histopathological Approaches" Coatings 11, no. 5: 594. https://doi.org/10.3390/coatings11050594
APA StyleAl-Baqami, N. M., & Hamza, R. Z. (2021). Protective Effect of Resveratrol against Hepatotoxicity of Cadmium in Male Rats: Antioxidant and Histopathological Approaches. Coatings, 11(5), 594. https://doi.org/10.3390/coatings11050594

