Peptide-Based Formulation from Lactic Acid Bacteria Impairs the Pathogen Growth in Ananas Comosus (Pineapple)
Abstract
1. Introduction
2. Materials and Methods
2.1. Bacterial Strains and Growth Conditions
2.2. Cell-Free Supernatant (CFS) and Partially Purified Peptides Preparation
2.3. Peptide-Based Formulations Editing
2.4. The Effect of Peptide-Based Formulation on Total Cell Viability In Vitro
2.5. Co-Inoculation of Fresh-Cut Pineapple Slices with Indicator Cocktail and Peptide-Based Formulations
2.6. Determination of the Total Cell Viability, pH and Acidity in Pineapple Slices during Storage
2.7. Effect of T1 and T6 Formulations on Whole Cell Proteins Profile of the Target Salmonella Cells
2.8. Effects of T6 Formulation on the Salmonella Cells under Transmission Electron Microscope (TEM)
2.9. Statistical Analysis
3. Results
3.1. Designed Peptide-Based Formulations Showed Inhibitory Activity against Target Indicator Strains In Vitro
3.2. Coating Pineapple Slices with Peptide-Based Formulations Diminished the Target Indicator Cell Growth
3.3. Peptide-Based Formulation Induced Changes in the Total Protein Profile of the Target Salmonella
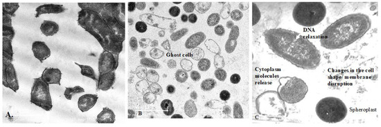
3.4. Peptide-Based T6 Formulation Induced Cell Death of Salmonella Enterica
4. Discussion
5. Conclusions
Author Contributions
Funding
Acknowledgments
Conflicts of Interest
References
- Ratti, M.F.; Ascunce, M.S.; Landivar, J.J.; Goss, E.M. Pineapple heart rot isolates from Ecuador reveal a new genotype of Phytophthora nicotianae. Plant Pathol. 2018, 67, 1803–1813. [Google Scholar] [CrossRef]
- Nassr, M.S.; Abu-Naser, S.S. Knowledge based system for diagnosing pineapple diseases. Int. J. Acad. Pedag. Res. IJAPR 2018, 2, 12–19. [Google Scholar]
- Abarca, L.F.M. Producción y rendimiento del cultivo de la piña (Ananas comosus) en Costa Rica periodo 1984–2014. Rev. E Agroneg. 2018, 4. [Google Scholar] [CrossRef]
- Lal Basediya, A.; Samuel, D.; Beera, V. Evaporative cooling system for storage of fruits and vegetables—A review. J. Food Sci. Technol. 2013, 50, 429–442. [Google Scholar] [CrossRef]
- Nazuka, E.; Inatsu, Y.; Kayasaki, S.; Miyamaru, M. The investigation of bacterial contamination in fresh-cut fruits, and the behavior of Escherichia coli O157: H7 and Salmonella enteritidis on fruit cubes. Jpn. J. Food Microbiol. 2004, 21, 269–274. [Google Scholar] [CrossRef]
- Adam, E.; Groenenboom, A.; Kurm, V.; Rajewska, M.; Schimdt, R.; Tyc, O.; Weidner, S.; Berg, G.; de Boer, W.; Falcao Salles, J. Controlling the microbiome: Microhabitat adjustments for successful biocontrol strategies soil and human gut. Front. Microbiol. 2016, 7, 1079. [Google Scholar] [CrossRef]
- Yigeremu, B.; Bogale, M.; Mogessie, A. Fate of Salmonella species and E. coli in fresh-prepared orange, avocado, papaya and pineapple juices. Ethiop. J. Health Sci. 2001, 11, 89–95. [Google Scholar]
- Delves-Broughton, J. Use of the natural food preservatives, nisin and natamycin, to reduce detrimental thermal impact on product quality. In In-Pack Processed Foods Improving Quality; Series in Food Science, Technology and Nutrition; Woodhead Publishing: Cambridge, UK, 2008; pp. 319–337. [Google Scholar] [CrossRef]
- Olvera-García, Y.; Serrano-Maldonado, C.E.; Quirasco, M. Detección de proteínas con actividad antibacteriana producidas por bacterias ácido lácticas. Biotecnología 2015, 19, 25–43. [Google Scholar]
- Wong, C.B.; Khoo, B.Y.; Sasidharan, S.; Piyawattanametha, W.; Kim, S.H.; Khemthongcharoen, N.; Ang, M.Y.; Chuah, L.O.; Liong, M.T. Inhibition of Staphylococcus aureus by crude and fractionated extract from lactic acid bacteria. Benef. Microbes 2015, 6, 129–140. [Google Scholar] [CrossRef]
- Li, D.; Ni, K.; Pang, H.; Wang, Y.; Cai, Y.; Jin, Q. Identification and antimicrobial activity detection of lactic acid bacteria isolated from corn stover silage. Asian Australas. J. Anim. Sci. 2015, 28, 620–631. [Google Scholar] [CrossRef]
- Tenea, G.N.; Pozo Delgado, T. Antimicrobial peptides from Lactobacillus plantarum UTNGt2 prevent harmful bacteria growth on fresh tomatoes. J. Microbiol. Biotechnol. 2019, 29, 1553–1560. [Google Scholar] [CrossRef] [PubMed]
- Tenea, G.N.; Guana, J.M. Inhibitory substances produced by native Lactobacillus plantarum UTNCys5-4 control microbial population growth in meat. J. Food Qual. 2019, 9516981. [Google Scholar] [CrossRef]
- Tenea, G.N.; Hurtado, P.; Ortega, C. Inhibitory effect of substances produced by native Lactococcus lactis strains of tropical fruits towards food pathogens. Prev. Nutr. Food Sci. 2018, 23, 260–268. [Google Scholar] [CrossRef] [PubMed]
- Tenea, G.N.; Lara, I.M. Antimicrobial compounds produced by Weissella confusa Cys2-2 strain inhibit gram-negative bacteria growth. CyTA J. Food 2019, 17, 105–111. [Google Scholar] [CrossRef]
- Kim, S.Y. Production of fermented kale juices with Lactobacillus strains and nutritional composition. Prev. Nutr. Food Sci. 2017, 22, 231–236. [Google Scholar] [CrossRef]
- Campos, J.; Gil, J.; Mourao, J.; Peixe, L.L.; Antunes, P. Ready-to-eat street-vended food as a potential vehicle of bacterial pathogens and antimicrobial resistance: An exploratory study in Porto region, Portugal. Int. J. Food Microbiol. 2015, 206, 1–6. [Google Scholar] [CrossRef]
- Food and Agriculture Organization (FAO); International Fund for Agricultural Development (IFAD); United Nations Children’s Fund (UNICEF); World Food Programme (WFP); World Health Organization (WHO). The State of Food Security and Nutrition in the World: Building Resilience for Peace and Food Security; FAO, Ed.; Food and Agriculture Organization of the United Nations (FAO), 2017; p. 132. Available online: http://www.fao.org/3/a-I7695e.pdf (accessed on 20 January 2020).
- Tenea, G.N.; Barrigas, A. The efficacy of bacteriocin-containing cell-free supernatant from Lactobacillus plantarum Cys5-4 to control pathogenic bacteria growth in artisanal beverages. Int. Food Res. J. 2018, 25, 2131–2137. [Google Scholar]
- Hartmann, H.A.; Wilke, T.; Erdmann, R. Efficacy of bacteriocin-containing cell-free culture supernatants from lactic acid bacteria to control Listeria monocytogenes in food. Int. J. Food Microbiol. 2011, 146, 192–199. [Google Scholar] [CrossRef]
- Khaneghah, A.M.; Hashemi, S.M.B.; Limbo, S. Antimicrobial agents and packaging systems in antimicrobial active food packaging: An overview of approaches and interactions. Food Bioprod. Process. 2018, 111, 1–19. [Google Scholar] [CrossRef]
- Mutaku, I.; Erku, W.; Ashenafi, M. Growth and survival of Escherichia coli O157: H7 in fresh tropical fruit juices at ambient and cold temperatures. Int. J. Food Sci. Nutr. 2005, 56, 133–139. [Google Scholar] [CrossRef]
- Trias, R.; Baneras, L.; Badosa, E.; Montesinos, E. Bioprotection of golden delicious apples and Iceberg lettuce against foodborne bacterial pathogens by lactic acid bacteria. Int. J. Food Microbiol. 2008, 123, 50–60. [Google Scholar] [CrossRef] [PubMed]
- Alegre, I.; Vinas, I.; Usall, J.; Anguera, M.; Abadias, M. Microbiological and physicochemical quality of fresh-cut apple enriched with the probiotic strain Lactobacillus rhamnosus GG. Food Microbiol. 2011, 28, 59–66. [Google Scholar] [CrossRef] [PubMed]
- Russo, P.; de Chiara, M.L.V.; Vernile, A.; Amodio, M.L.; Arena, M.P.; Capozi, V.; Masa, S.; Spano, G. Fresh-Cut pineapple as a new carrier of probiotic lactic acid bacteria. BioMed Res. Int. 2014, 301983. [Google Scholar] [CrossRef] [PubMed]
- Cleveland, J.; Montville, T.J.; Nes, I.F.; Chikindas, M.L. Bacteriocins: Safe, natural antimicrobials for food preservation. Int. J. Food Microbiol. 2001, 71, 1–20. [Google Scholar] [CrossRef]
- Sharma, S.S.; Singh, R.; Rana, S. Bioactive peptides: A review. Int. J. Bioautom. 2011, 15, 223–250. [Google Scholar]
- Tenea, G.N. Peptides from native lactic acid bacteria of tropical fruits kill Salmonella enterica through multiple action mechanisms. Helyion. under review.
- Pérez Parra, J.; Useche Castro, L.; Isea León, F.; Cuello Pérez, M.; Canchingre Bone, E. Damage of lipopolysaccharides in outer cell membrane and production of ROS-mediated stress within bacteria makes nano zinc oxide a bactericidal agent. Appl. Nanosci. 2015, 5, 857. [Google Scholar] [CrossRef]
- Xue, R.; Liu, Y.; Zhang, Q.; Liang, C.; Qin, H.; Liu, P.; Wang, K.; Zhang, X.; Chen, L.; Wei, Y. Shape changes and interaction mechanism of Escherichia coli cells treated with sericin and use of a sericin-based hydrogel for wound healing. Appl. Environ. Microbiol. 2016, 82, 4663–4672. [Google Scholar] [CrossRef]
- Riley, M.A.; Wertz, J.E. Bacteriocins: Evolution, ecology, and application. Annu. Rev. Microbiol. 2002, 56, 117–137. [Google Scholar] [CrossRef]
- Wojnicz, D.; Kłak, M.; Adamski, R.; Jankowski, S. Influence of subinhibitory concentrations of amikacin and ciprofloxacin on morphology and adherence ability of uropathogenic strains. Folia Microbiol. 2007, 52, 429–436. [Google Scholar] [CrossRef]







© 2020 by the authors. Licensee MDPI, Basel, Switzerland. This article is an open access article distributed under the terms and conditions of the Creative Commons Attribution (CC BY) license (http://creativecommons.org/licenses/by/4.0/).
Share and Cite
Tenea, G.N.; Olmedo, D.; Ortega, C. Peptide-Based Formulation from Lactic Acid Bacteria Impairs the Pathogen Growth in Ananas Comosus (Pineapple). Coatings 2020, 10, 457. https://doi.org/10.3390/coatings10050457
Tenea GN, Olmedo D, Ortega C. Peptide-Based Formulation from Lactic Acid Bacteria Impairs the Pathogen Growth in Ananas Comosus (Pineapple). Coatings. 2020; 10(5):457. https://doi.org/10.3390/coatings10050457
Chicago/Turabian StyleTenea, Gabriela N., Daniela Olmedo, and Clara Ortega. 2020. "Peptide-Based Formulation from Lactic Acid Bacteria Impairs the Pathogen Growth in Ananas Comosus (Pineapple)" Coatings 10, no. 5: 457. https://doi.org/10.3390/coatings10050457
APA StyleTenea, G. N., Olmedo, D., & Ortega, C. (2020). Peptide-Based Formulation from Lactic Acid Bacteria Impairs the Pathogen Growth in Ananas Comosus (Pineapple). Coatings, 10(5), 457. https://doi.org/10.3390/coatings10050457

