In Vitro, In Vivo and In Silico Assessment of the Antimicrobial and Immunomodulatory Effects of a Water Buffalo Cathelicidin (WBCATH) in Experimental Pulmonary Tuberculosis
Abstract
1. Introduction
2. Results
2.1. WBCATH Bactericide Activity against Mtb In Vitro
2.2. WBCATH Affect the Ultrastructural Morphology of Drug Sensible and MDR Mtb
2.3. WBCATH Do Not Affect Alveolar Macrophage Survival In Vitro and Induces Hemolysis in High Concentrations
2.4. WBCATH Decreased the Bacterial Burden in Macrophages Infected with Drug-Sensitive or Drug-Resistant Mtb In Vitro
2.5. WBCATH Has a Therapeutic Activity in the Murine Model of Progressive Pulmonary TB with Drug-Sensitive or Drug-Resistant Strains
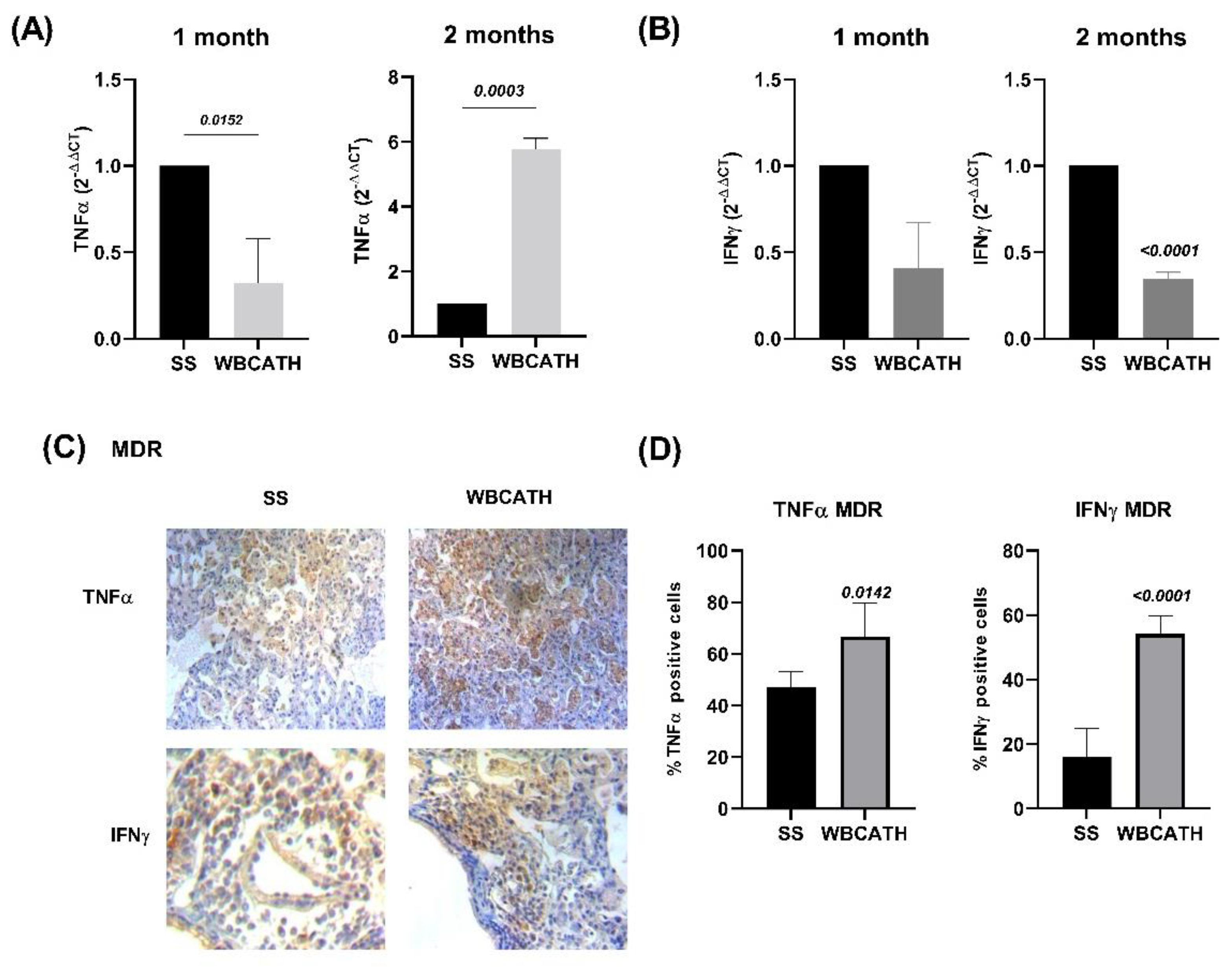
2.6. WBCATH Induces Higher Expression of Protective Cytokines in Tuberculous Mice Infected with Drug Sensible or MDR Strains
2.7. WBCATH Had a Synergistic Therapeutic Effect in Combination with First-Line Antibiotics
2.8. Computational Modeling of the Potential Effects of WBCATH on the Cellular Membrane of the Mtb
3. Discussion
4. Materials and Methods
4.1. Reagents
4.2. Experimental Design
4.3. Minimum Inhibitory Concentration (MIC) Determination
4.4. Electron Microscopy Study
4.5. Cytotoxicity Activity Tested In Vitro
4.6. Hemolysis Assays In Vitro
4.7. Evaluation of Antimycobacterial Intracellular Activity and Cytokines Production by Alveolar Macrophages
4.8. Experimental Model of Progressive Pulmonary Tuberculosis in BALB/c Mice
4.9. WBCATH Administration Alone or with First-Line Antibiotics
4.10. Determination of Pulmonary Bacillary Loads by Colony-Forming Units (CFU)
4.11. Preparation of Tissue for Histology and Morphometry
4.12. Cytokine Expression by Immunohistochemistry
4.13. Real-Time PCR Expression Analysis of Cytokines in Infected Lungs
4.14. Structural Modeling on a Naturally Occurring Water Buffalo Peptide, WBCATH
4.15. Statistical Analysis
5. Conclusions
Author Contributions
Funding
Institutional Review Board Statement
Informed Consent Statement
Data Availability Statement
Acknowledgments
Conflicts of Interest
References
- World Health Organization. Global Tuberculosis Report 2021; World Health Organization: Geneva, Switzerland, 2021.
- Bini, E.; Hernandez-Pando, R. New Chemotherapy and Immunotherapy for Tuberculosis. Curr. Respir. Med. Rev. 2014, 10, 74–87. [Google Scholar] [CrossRef]
- Estrada García, I.; Hernández Pando, R.; Ivanyi, J. Editorial: Advances in Immunotherapeutic Approaches to Tuberculosis. Front. Immunol. 2021, 12, 684200. [Google Scholar] [CrossRef] [PubMed]
- Glaziou, P.; Floyd, K.; Raviglione, M.C. Global Epidemiology of Tuberculosis. Semin. Respir. Crit. Care Med. 2018, 39, 271–285. [Google Scholar] [CrossRef] [PubMed]
- Mondoni, M.; Saderi, L.; Sotgiu, G. Novel treatments in multidrug-resistant tuberculosis. Curr. Opin. Pharmacol. 2021, 59, 103–115. [Google Scholar] [CrossRef]
- Rivas-Santiago, B.; Sada, E.; Tsutsumi, V.; Aguilar-Leon, D.; Contreras, J.L.; Hernandez-Pando, R. beta-Defensin gene expression during the course of experimental tuberculosis infection. J. Infect. Dis. 2006, 194, 697–701. [Google Scholar] [CrossRef]
- Castañeda-Delgado, J.; Hernández-Pando, R.; Serrano, C.J.; Aguilar-León, D.; León-Contreras, J.; Rivas-Santiago, C.; Méndez, R.; González-Curiel, I.; Enciso-Moreno, A.; Rivas-Santiago, B. Kinetics and cellular sources of cathelicidin during the course of experimental latent tuberculous infection and progressive pulmonary tuberculosis. Clin. Exp. Immunol. 2010, 161, 542–550. [Google Scholar] [CrossRef]
- Lai, Y.; Gallo, R.L. AMPed up immunity: How antimicrobial peptides have multiple roles in immune defense. Trends Immunol. 2009, 30, 131–141. [Google Scholar] [CrossRef] [PubMed]
- Pachón-Ibáñez, M.E.; Smani, Y.; Pachón, J.; Sánchez-Céspedes, J. Perspectives for clinical use of engineered human host defense antimicrobial peptides. FEMS Microbiol. Rev. 2017, 41, 323–342. [Google Scholar] [CrossRef] [PubMed]
- Ramos-Espinosa, O.; Islas-Weinstein, L.; Peralta-Álvarez, M.P.; López-Torres, M.O.; Hernández-Pando, R. The use of immunotherapy for the treatment of tuberculosis. Expert Rev. Respir. Med. 2018, 12, 427–440. [Google Scholar] [CrossRef]
- Bals, R.; Wilson, J.M. Cathelicidins—A family of multifunctional antimicrobial peptides. Cell. Mol. Life Sci. CMLS 2003, 60, 711–720. [Google Scholar] [CrossRef]
- Tomasinsig, L.; Zanetti, M. The cathelicidins-structure, function and evolution. Curr. Protein Pept. Sci. 2005, 6, 23–34. [Google Scholar] [CrossRef] [PubMed]
- Henzler Wildman, K.A.; Lee, D.K.; Ramamoorthy, A. Mechanism of lipid bilayer disruption by the human antimicrobial peptide, LL-37. Biochemistry 2003, 42, 6545–6558. [Google Scholar] [CrossRef] [PubMed]
- Subbalakshmi, C.; Sitaram, N. Mechanism of antimicrobial action of indolicidin. FEMS Microbiol. Lett. 1998, 160, 91–96. [Google Scholar] [CrossRef]
- Agerberth, B.; Charo, J.; Werr, J.; Olsson, B.; Idali, F.; Lindbom, L.; Kiessling, R.; Jörnvall, H.; Wigzell, H.; Gudmundsson, G.H. The human antimicrobial and chemotactic peptides LL-37 and alpha-defensins are expressed by specific lymphocyte and monocyte populations. Blood 2000, 96, 3086–3093. [Google Scholar] [CrossRef] [PubMed]
- Niyonsaba, F.; Hirata, M.; Ogawa, H.; Nagaoka, I. Epithelial cell-derived antibacterial peptides human beta-defensins and cathelicidin: Multifunctional activities on mast cells. Curr. Drug Targets Inflamm. Allergy 2003, 2, 224–231. [Google Scholar] [CrossRef]
- Zaiou, M.; Gallo, R.L. Cathelicidins, essential gene-encoded mammalian antibiotics. J. Mol. Med. 2002, 80, 549–561. [Google Scholar] [CrossRef]
- Gennaro, R.; Zanetti, M. Structural features and biological activities of the cathelicidin-derived antimicrobial peptides. Biopolymers 2000, 55, 31–49. [Google Scholar] [CrossRef]
- Zhao, C.; Nguyen, T.; Boo, L.M.; Hong, T.; Espiritu, C.; Orlov, D.; Wang, W.; Waring, A.; Lehrer, R.I. RL-37, an alpha-helical antimicrobial peptide of the rhesus monkey. Antimicrob. Agents Chemother. 2001, 45, 2695–2702. [Google Scholar] [CrossRef]
- Bals, R.; Lang, C.; Weiner, D.J.; Vogelmeier, C.; Welsch, U.; Wilson, J.M. Rhesus monkey (Macaca mulatta) mucosal antimicrobial peptides are close homologues of human molecules. Clin. Diagn. Lab. Immunol. 2001, 8, 370–375. [Google Scholar] [CrossRef]
- Scocchi, M.; Wang, S.; Zanetti, M. Structural organization of the bovine cathelicidin gene family and identification of a novel member. FEBS Lett. 1997, 417, 311–315. [Google Scholar] [CrossRef]
- Shamova, O.; Brogden, K.A.; Zhao, C.; Nguyen, T.; Kokryakov, V.N.; Lehrer, R.I. Purification and properties of proline-rich antimicrobial peptides from sheep and goat leukocytes. Infect. Immun. 1999, 67, 4106–4111. [Google Scholar] [CrossRef] [PubMed]
- Skerlavaj, B.; Scocchi, M.; Gennaro, R.; Risso, A.; Zanetti, M. Structural and functional analysis of horse cathelicidin peptides. Antimicrob. Agents Chemother. 2001, 45, 715–722. [Google Scholar] [CrossRef] [PubMed][Green Version]
- Pestonjamasp, V.K.; Huttner, K.H.; Gallo, R.L. Processing site and gene structure for the murine antimicrobial peptide CRAMP. Peptides 2001, 22, 1643–1650. [Google Scholar] [CrossRef] [PubMed]
- Termén, S.; Tollin, M.; Olsson, B.; Svenberg, T.; Agerberth, B.; Gudmundsson, G.H. Phylogeny, processing and expression of the rat cathelicidin CRAMP: A model for innate antimicrobial peptides. Cell. Mol. Life Sci. CMLS 2003, 60, 536–549. [Google Scholar] [CrossRef] [PubMed]
- Levy, O.; Weiss, J.; Zarember, K.; Ooi, C.E.; Elsbach, P. Antibacterial 15-kDa protein isoforms (p15s) are members of a novel family of leukocyte proteins. J. Biol. Chem. 1993, 268, 6058–6063. [Google Scholar] [CrossRef] [PubMed]
- Sang, Y.; Teresa Ortega, M.; Rune, K.; Xiau, W.; Zhang, G.; Soulages, J.L.; Lushington, G.H.; Fang, J.; Williams, T.D.; Blecha, F.; et al. Canine cathelicidin (K9CATH): Gene cloning, expression, and biochemical activity of a novel pro-myeloid antimicrobial peptide. Dev. Comp. Immunol. 2007, 31, 1278–1296. [Google Scholar] [CrossRef]
- Brahma, B.; Patra, M.C.; Karri, S.; Chopra, M.; Mishra, P.; De, B.C.; Kumar, S.; Mahanty, S.; Thakur, K.; Poluri, K.M.; et al. Diversity, Antimicrobial Action and Structure-Activity Relationship of Buffalo Cathelicidins. PLoS ONE 2015, 10, e0144741. [Google Scholar] [CrossRef]
- Borriello, G.; Capparelli, R.; Bianco, M.; Fenizia, D.; Alfano, F.; Capuano, F.; Ercolini, D.; Parisi, A.; Roperto, S.; Iannelli, D. Genetic resistance to Brucella abortus in the water buffalo (Bubalus bubalis). Infect. Immun. 2006, 74, 2115–2120. [Google Scholar] [CrossRef]
- Molina-Salinas, G.M.; Ramos-Guerra, M.C.; Vargas-Villarreal, J.; Mata-Cárdenas, B.D.; Becerril-Montes, P.; Said-Fernández, S. Bactericidal activity of organic extracts from Flourensiacernua DC against strains of Mycobacterium tuberculosis. Arch. Med. Res. 2006, 37, 45–49. [Google Scholar] [CrossRef] [PubMed]
- Fair, R.J.; Tor, Y. Antibiotics and bacterial resistance in the 21st century. Perspect. Med. Chem. 2014, 6, 25–64. [Google Scholar] [CrossRef]
- Mdluli, K.; Kaneko, T.; Upton, A. The tuberculosis drug discovery and development pipeline and emerging drug targets. Cold Spring Harb. Perspect. Med. 2015, 5, a021154. [Google Scholar] [CrossRef] [PubMed]
- Diamond, G.; Beckloff, N.; Weinberg, A.; Kisich, K.O. The roles of antimicrobial peptides in innate host defense. Curr. Pharm. Des. 2009, 15, 2377–2392. [Google Scholar] [CrossRef]
- Rivas-Santiago, B.; Torres-Juarez, F. Antimicrobial peptides for the treatment of pulmonary tuberculosis, allies or foes? Curr. Pharm. Des. 2018, 24, 1138–1147. [Google Scholar] [CrossRef] [PubMed]
- Lu, W. Antimicrobial peptides. Semin. Cell Dev. Biol. 2019, 88, 105–106. [Google Scholar] [CrossRef] [PubMed]
- Chanu, K.V.; Thakuria, D.; Kumar, S. Antimicrobial peptides of buffalo and their role in host defenses. Vet. World 2018, 11, 192–200. [Google Scholar] [CrossRef]
- Rivas-Santiago, B.; Schwander, S.K.; Sarabia, C.; Diamond, G.; Klein-Patel, M.E.; Hernandez-Pando, R.; Ellner, J.J.; Sada, E. Human β-defensin 2 is expressed and associated with Mycobacterium tuberculosisduring infection of human alveolar epithelial cells. Infect. Immun. 2005, 73, 4505–4511. [Google Scholar] [CrossRef] [PubMed]
- Liu, P.T.; Stenger, S.; Tang, D.H.; Modlin, R.L. Cutting edge: Vitamin D-mediated human antimicrobial activity against Mycobacterium tuberculosis is dependent on the induction of cathelicidin. J. Immunol. 2007, 179, 2060–2063. [Google Scholar] [CrossRef] [PubMed]
- Panicker, V.P.; George, S. Identification of three novel myeloid cathelicidin cDNAs and their predicted peptides in buffalo (Bubalus bubalis). Indian J. Biochem. Biophys. 2013, 50, 273–277. [Google Scholar]
- Sonawane, A.; Santos, J.C.; Mishra, B.B.; Jena, P.; Progida, C.; Sorensen, O.E.; Gallo, R.; Appelberg, R.; Griffiths, G. Cathelicidin is involved in the intracellular killing of mycobacteria in macrophages. Cell. Microbiol. 2011, 13, 1601–1617. [Google Scholar] [CrossRef]
- Hollmann, A.; Martinez, M.; Maturana, P.; Semorile, L.C.; Maffia, P.C. Antimicrobial peptides: Interaction with model and biological membranes and synergism with chemical antibiotics. Front Chem. 2018, 6, 204. [Google Scholar] [CrossRef]
- Lewies, A.; Wentzel, J.F.; Jordaan, A.; Bezuidenhout, C.; Du Plessis, L.H. Interactions of the antimicrobial peptide nisin Z with conventional antibiotics and the use of nanostructured lipid carriers to enhance antimicrobial activity. Int. J. Pharm. 2017, 526, 244–253. [Google Scholar] [CrossRef] [PubMed]
- Bessa, L.J.; Eaton, P.; Dematei, A.; Plȥcido, A.; Vale, N.; Gomes, P.; Delerue-Matos, C.; Sa Leite, J.R.; Gameiro, P. Synergistic and antibiofilm properties of ocellatin peptides against multidrug-resistant Pseudomonas aeruginosa. Future Microbiol. 2018, 13, 151–163. [Google Scholar] [CrossRef] [PubMed]
- Nijnik, A.; Pistolic, J.; Wyatt, A.; Tam, S.; Hancock, R.E. Human cathelicidin peptide LL-37 modulates the effects of IFN-gamma on APCs. J. Immunol. 2009, 183, 5788–5798. [Google Scholar] [CrossRef] [PubMed]
- Mily, A.; Rekha, R.S.; Kamal, S.M.; Akhtar, E.; Sarker, P.; Rahim, Z.; Gudmundsson, G.H.; Agerberth, B.; Raqib, R. Oral intake of phenylbutyrate with or without vitamin D3 upregulates the cathelicidin LL-37 in human macrophages: A dose finding study for treatment of tuberculosis. BMC Pulm. Med. 2013, 13, 23. [Google Scholar] [CrossRef]
- Chieosilapatham, P.; Ikeda, S.; Ogawa, H.; Niyonsaba, F. Tissue-specific Regulation of Innate Immune Responses by Human Cathelicidin LL-37. Curr. Pharm. Des. 2018, 24, 1079–1091. [Google Scholar] [CrossRef]
- Miao, Y.; Feher, V.A.; McCammon, J.A. Gaussian Accelerated Molecular Dynamics: Unconstrained Enhanced Sampling and Free Energy Calculation. J. Chem. Theory Comput. 2015, 11, 3584–3595. [Google Scholar] [CrossRef]
- Hernández-Pando, R.; Orozcoe, H.; Sampieri, A.; Pavón, L.; Velasquillo, C.; Larriva-Sahd, J.; Alcocer, J.M.; Madrid, M.V. Correlation between the kinetics of Th1, Th2 cells and pathology in a murine model of experimental pulmonary tuberculosis. Immunology 1996, 89, 26–33. Available online: https://www.ncbi.nlm.nih.gov/pmc/articles/PMC1456655/ (accessed on 30 October 2022).
- López-Marure, R.; Gutiérrez, G.; Mendoza, C.; Ventura, J.L.; Sánchez, L.; Reyes Maldonado, E.; Zentella, A.; Montaño, L.F. Ceramide promotes the death of human cervical tumor cells in the absence of biochemical and morphological markers of apoptosis. Biochem. Biophys. Res. Commun. 2002, 293, 1028–1036. [Google Scholar] [CrossRef]
- Lara-Espinosa, J.V.; Santana-Martínez, R.A.; Maldonado, P.D.; Zetter, M.; Becerril-Villanueva, E.; Pérez-Sánchez, G.; Pavón, L.; Mata-Espinosa, D.; Barrios-Payán, J.; López-Torres, M.O.; et al. Experimental Pulmonary Tuberculosis in the Absence of Detectable Brain Infection Induces Neuroinflammation and Behavioural Abnormalities in Male BALB/c Mice. Int. J. Mol. Sci. 2020, 21, 9483. [Google Scholar] [CrossRef]
- Schneider, C.A.; Rasband, W.S.; Eliceiri, K.W. NIH Image to ImageJ: 25 years of image analysis. Nat. Methods 2012, 9, 671–675. [Google Scholar] [CrossRef]
- Schmittgen, T.D.; Livak, K.J. Analyzing real-time PCR data by the comparative C(T) method. Nat. Protoc. 2008, 3, 1101–1108. [Google Scholar] [CrossRef] [PubMed]
- Jo, S.; Kim, T.; Iyer, V.G.; Im, W. CHARMM-GUI: A web-based graphical user interface for CHARMM. J. Comput. Chem. 2008, 29, 1859–1865. [Google Scholar] [CrossRef] [PubMed]
- Benarroch, J.M.; Asally, M. The Microbiologist’s Guide to Membrane Potential Dynamics. Trends Microbiol. 2020, 28, 304–314. [Google Scholar] [CrossRef] [PubMed]











| Drug | M. tuberculosis H37Rv | M. tuberculosis CIBIN/UMF 15:99 (MDR) |
|---|---|---|
| Streptomycin | Sensitive (0.5 μg/mL) | Resistant (>100 μg/mL) |
| Isoniazide | Sensitive (0.06 μg/mL) | Resistant (3.13 μg/mL) |
| Rifampin | Sensitive (0.06 μg/mL) | Resistant (100 μg/mL) |
| Ethambutol | Sensitive (2 μg/mL) | Resistant (8 μg/mL) |
Disclaimer/Publisher’s Note: The statements, opinions and data contained in all publications are solely those of the individual author(s) and contributor(s) and not of MDPI and/or the editor(s). MDPI and/or the editor(s) disclaim responsibility for any injury to people or property resulting from any ideas, methods, instructions or products referred to in the content. |
© 2022 by the authors. Licensee MDPI, Basel, Switzerland. This article is an open access article distributed under the terms and conditions of the Creative Commons Attribution (CC BY) license (https://creativecommons.org/licenses/by/4.0/).
Share and Cite
Palacios, J.B.; Barrios-Payán, J.; Mata-Espinosa, D.; Lara-Espinosa, J.V.; León-Contreras, J.C.; Lushington, G.H.; Melgarejo, T.; Hernández-Pando, R. In Vitro, In Vivo and In Silico Assessment of the Antimicrobial and Immunomodulatory Effects of a Water Buffalo Cathelicidin (WBCATH) in Experimental Pulmonary Tuberculosis. Antibiotics 2023, 12, 75. https://doi.org/10.3390/antibiotics12010075
Palacios JB, Barrios-Payán J, Mata-Espinosa D, Lara-Espinosa JV, León-Contreras JC, Lushington GH, Melgarejo T, Hernández-Pando R. In Vitro, In Vivo and In Silico Assessment of the Antimicrobial and Immunomodulatory Effects of a Water Buffalo Cathelicidin (WBCATH) in Experimental Pulmonary Tuberculosis. Antibiotics. 2023; 12(1):75. https://doi.org/10.3390/antibiotics12010075
Chicago/Turabian StylePalacios, Jacqueline Barrios, Jorge Barrios-Payán, Dulce Mata-Espinosa, Jacqueline V. Lara-Espinosa, Juan Carlos León-Contreras, Gerald H. Lushington, Tonatiuh Melgarejo, and Rogelio Hernández-Pando. 2023. "In Vitro, In Vivo and In Silico Assessment of the Antimicrobial and Immunomodulatory Effects of a Water Buffalo Cathelicidin (WBCATH) in Experimental Pulmonary Tuberculosis" Antibiotics 12, no. 1: 75. https://doi.org/10.3390/antibiotics12010075
APA StylePalacios, J. B., Barrios-Payán, J., Mata-Espinosa, D., Lara-Espinosa, J. V., León-Contreras, J. C., Lushington, G. H., Melgarejo, T., & Hernández-Pando, R. (2023). In Vitro, In Vivo and In Silico Assessment of the Antimicrobial and Immunomodulatory Effects of a Water Buffalo Cathelicidin (WBCATH) in Experimental Pulmonary Tuberculosis. Antibiotics, 12(1), 75. https://doi.org/10.3390/antibiotics12010075

