A Specific and Sensitive Aptamer-Based Digital PCR Chip for Salmonella typhimurium Detection
Abstract
:1. Introduction
2. Materials and Methods
2.1. Materials and Apparatus
2.2. Cell Culture and Preparation for Food Samples
2.3. Synthesis of Apt-MBs
2.4. Optimization of Apt-MBs and the Estimation of Capturing Efficiency
2.5. Chip Design and Fabrication
2.6. Operation and Evaluation of Digital PCR Chip
2.7. Evaluation of the Performance of the Proposed Platform
2.8. Detection of S.Typhimurium in Food Samples Using the Proposed Platform
2.9. Image Acquisition and Analysis
3. Results and Discussion
3.1. Overview of the Selective Magnetic Enrichment-Based dPCR Platform for S. typhimurium Testing in Complex Food Samples
3.2. Sensitivity and Capture Efficiency of Apt-MBs
3.3. Chip Fabrication and Performance of Loading and Sealing
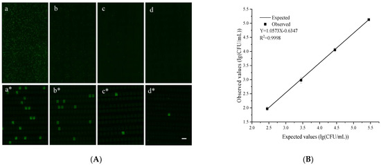
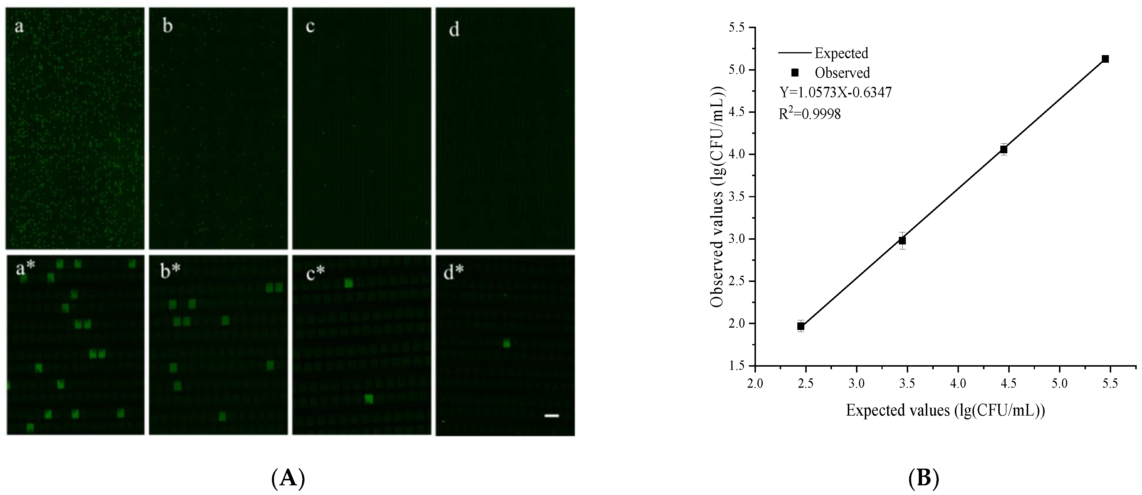
3.4. Quantitative Performance of the Chip
3.5. Detection of S. typhimurium by the Proposed Platform
3.6. Detection of S. typhimurium in Real Food Samples
4. Conclusions
Supplementary Materials
Author Contributions
Funding
Institutional Review Board Statement
Informed Consent Statement
Conflicts of Interest
References
- Du Toit, A. A metabolic trigger for Salmonella. Nat. Rev. Microbiol. 2021, 19, 222–223. [Google Scholar] [CrossRef] [PubMed]
- Chen, Z.G.; Zhong, H.X.; Luo, H.; Zhang, R.Y.; Huang, J.R. Recombinase polymerase amplification combined with unmodified gold nanoparticles for Salmonella detection in milk. Food Anal. Methods 2019, 12, 190–197. [Google Scholar] [CrossRef]
- Lins, P. Detection of Salmonella spp. in spices and herbs. Food Control 2018, 83, 61–68. [Google Scholar] [CrossRef]
- Xu, J.; Zhang, X.; Yan, C.; Qin, P.; Yao, L.; Wang, Q.; Chen, W. Trigging Isothermal Circular Amplification-Based Tuning of Rigorous Fluorescence Quenching into Complete Restoration on a Multivalent Aptamer Probe Enables Ultrasensitive Detection of Salmonella. Anal. Chem. 2021, 94, 1357–1364. [Google Scholar] [CrossRef] [PubMed]
- Argyri, A.A.; Papadopoulou, O.S.; Nisiotou, A.; Tassou, C.C.; Chorianopoulos, N. Effect of high pressure processing on the survival of Salmonella Enteritidis and shelf-life of chicken fillets. Food Microbiol. 2018, 70, 55–64. [Google Scholar] [CrossRef] [PubMed]
- Chen, Y.A.; Hsu, H.Y.; Chai, H.E.; Uknalis, J.; Sheen, S. Combination effect of papaya extract and high pressure processing on Salmonella inactivation on raw chicken breast meat and meat quality assessment. Food Control 2022, 133, 108637. [Google Scholar] [CrossRef]
- Balasubramanian, R.; Im, J.; Lee, J.-S.; Jeon, H.J.; Mogeni, O.D.; Kim, J.H.; Rakotozandrindrainy, R.; Baker, S.; Marks, F. The global burden and epidemiology of invasive non-typhoidal Salmonella infections. Hum. Vaccines Immunother. 2019, 15, 1421–1426. [Google Scholar] [CrossRef]
- Vinayaka, A.C.; Ngo, T.A.; Kant, K.; Engelsmann, P.; Dave, V.P.; Shahbazi, M.A.; Wolff, A.; Bang, D.D. Rapid detection of Salmonella enterica in food samples by a novel approach with combination of sample concentration and direct PCR. Biosens. Bioelectron. 2019, 129, 224–230. [Google Scholar] [CrossRef] [PubMed]
- Lee, K.M.; Runyon, M.; Herrman, T.J.; Phillips, R.; Hsieh, J. Review of Salmonella detection and identification methods: Aspects of rapid emergency response and food safety. Food Control 2015, 47, 264–276. [Google Scholar] [CrossRef]
- Almeida, C.; Cerqueira, L.; Azevedo, N.F.; Vieira, M.J. Detection of Salmonella enterica serovar Enteritidis using real time PCR, immunocapture assay, PNA FISH and standard culture methods in different types of food samples. Int. J. Food Microbiol. 2013, 161, 16–22. [Google Scholar] [CrossRef] [Green Version]
- Li, J.; Jiang, J.; Su, Y.; Liang, Y.; Zhang, C.S. A novel cloth-based supersandwich electrochemical aptasensor for direct, sensitive detection of pathogens. Anal. Chim. Acta 2021, 1188. [Google Scholar] [CrossRef] [PubMed]
- Wang, Q.Y.; Kang, Y.J. Bioprobes Based on Aptamer and Silica Fluorescent Nanoparticles for Bacteria Salmonella typhimurium Detection. Nanoscale Res. Lett. 2016, 11, 150. [Google Scholar] [CrossRef] [Green Version]
- Kretzer, J.W.; Biebl, M.; Miller, S. Sample Preparation: An Essential Prerequisite for High-Quality Bacteria Detection. In Principles of Bacterial Detection: Biosensors, Recognition Receptors and Microsystems; Springer: New York, NY, USA, 2008; p. 15. [Google Scholar]
- Niu, C.; Song, X.; Zhang, Y.; Dai, L.; Wei, J.; Yue, T.; Song, Z. A rapid one-step process for the isolation of antibacterial peptides by silica-decorated Fe3O4 nanoparticles. LWT—Food Sci. Technol. 2022, 155, 112858. [Google Scholar] [CrossRef]
- Wang, Z.; Liu, J.; Chen, G.; Feng, X.; Deng, M.; Mu, D.; Xu, Q.; Xu, H. An integrated system using phenylboronic acid functionalized magnetic beads and colorimetric detection for Staphylococcus aureus. Food Control 2022, 133, 108633. [Google Scholar] [CrossRef]
- Cai, G.Z.; Wu, W.S.; Feng, S.L.; Liu, Y.J. Label-free E. coli detection based on enzyme assay and a microfluidic slipchip. Analyst 2021, 146, 4622–4629. [Google Scholar] [CrossRef]
- Sun, J.J.; Hu, J.M.; Gou, T.; Ding, X.; Song, Q.; Wu, W.S.; Wang, G.P.; Yin, J.X.; Mu, Y. Power-free polydimethylsiloxane femtoliter-sized arrays for bead-based digital immunoassays. Biosens. Bioelectron. 2019, 139, 111339. [Google Scholar] [CrossRef] [PubMed]
- Wu, W.S.; Wu, F.T.; Zhang, S.; Ding, X.; Zhang, T.; Yang, Y.; Mu, Y. A self-powered bidirectional partition microfluidic chip with embedded microwells for highly sensitive detection of EGFR mutations in plasma of non-small cell lung cancer patients. Talanta 2020, 220, 121426. [Google Scholar] [CrossRef] [PubMed]
- Zhang, D.X.; Bi, H.Y.; Liu, B.H.; Qao, L. Detection of Pathogenic Microorganisms by Microfluidics Based Analytical Methods. Anal. Chem. 2018, 90, 5512–5520. [Google Scholar] [CrossRef] [PubMed]
- Yang, S.M.; Kim, E.; Kim, D.; Baek, J.; Yoon, H.; Kim, H.Y. Rapid Detection of Salmonella Enteritidis, Typhimurium, and Thompson by Specific Peak Analysis Using Matrix-Assisted Laser Desorption Ionization Time-of-Flight Mass Spectrometry. Foods 2021, 10, 933. [Google Scholar] [CrossRef]
- Mangmee, S.; Reamtong, O.; Kalambaheti, T.; Roytrakul, S.; Sonthayanon, P. MALDI-TOF mass spectrometry typing for predominant serovars of non-typhoidal Salmonella in a Thai broiler industry. Food Control 2020, 113, 107188. [Google Scholar] [CrossRef]
- Zautner, A.; Kuhns, M.; Rabsch, W.; Zimmermann, O.; Weig, M.; Gross, U.; Bader, O. Rapid discrimination of Salmonella enterica serovar Typhi from other serovars by MALDI-TOF mass spectrometry. Int. J. Med. Microbiol. 2012, 302, 25. [Google Scholar]
- Buzalewicz, I.; Karwanska, M.; Wieliczko, A.; Podbielska, H. On the application of multi-parametric optical phenotyping of bacterial colonies for multipurpose microbiological diagnostics. Biosens. Bioelectron. 2021, 172, 112761. [Google Scholar] [CrossRef] [PubMed]
- Singh, A.K.; Drolia, R.; Bai, X.J.; Bhunia, A.K. Streptomycin Induced Stress Response in Salmonella enterica Serovar Typhimurium Shows Distinct Colony Scatter Signature. PLoS ONE 2015, 10, e0135035. [Google Scholar] [CrossRef] [Green Version]
- Abdelhaseib, M.U.; Singh, A.K.; Bailey, M.; Singh, M.; El-Khateib, T.; Bhunia, A.K. Fiber optic and light scattering sensors: Complimentary approaches to rapid detection of Salmonella enterica in food samples. Food Control 2016, 61, 135–145. [Google Scholar] [CrossRef]
- Bian, X.J.; Jing, F.X.; Li, G.; Fan, X.Y.; Jia, C.P.; Zhou, H.B.; Jin, Q.H.; Zhao, J.L. A microfluidic droplet digital PCR for simultaneous detection of pathogenic Escherichia coli O157 and Listeria monocytogenes. Biosensors & Bioelectronics 2015, 74, 770–777. [Google Scholar]
- Yin, J.X.; Zou, Z.Y.; Hu, Z.M.; Zhang, S.; Zhang, F.P.; Wang, B.; Lv, S.W.; Mu, Y. A “sample-in-multiplex-digital-answer-out” chip for fast detection of pathogens. Lab Chip 2020, 20, 979–986. [Google Scholar] [CrossRef] [PubMed]
- Yu, Y.; Yu, Z.; Pan, X.; Xu, L.; Guo, R.; Qian, X.; Shen, F. Multiplex digital PCR with digital melting curve analysis on a self-partitioning SlipChip. Analyst 2022, 147, 625–633. [Google Scholar] [CrossRef] [PubMed]
- Joshi, R.; Janagama, H.; Dwivedi, H.P.; Kumar, T.; Jaykus, L.A.; Schefers, J.; Sreevatsan, S. Selection, characterization, and application of DNA aptamers for the capture and detection of Salmonella enterica serovars. Mol. Cell. Probes 2009, 23, 20–28. [Google Scholar] [CrossRef]
- Suo, B.; He, Y.P.; Tu, S.I.; Shi, X.M. A Multiplex Real-Time Polymerase Chain Reaction for Simultaneous Detection of Salmonella spp., Escherichia coli O157, and Listeria monocytogenes in Meat Products. Foodborne Pathog. Dis. 2010, 7, 619–628. [Google Scholar] [CrossRef] [PubMed]
- Wang, Y.; Salazar, J.K. Culture-Independent Rapid Detection Methods for Bacterial Pathogens and Toxins in Food Matrices. Compr. Rev. Food Sci. Food Saf. 2016, 15, 183–205. [Google Scholar] [CrossRef] [PubMed]
- Han, H.; Sohn, B.; Choi, J.; Jeon, S. Recent advances in magnetic nanoparticle-based microfluidic devices for the pretreatment of pathogenic bacteria. Biomed. Eng. Lett. 2021, 11, 297–307. [Google Scholar] [CrossRef] [PubMed]
- Vinayaka, A.C.; Ngo, T.A.; Trieu, N.; Bang, D.D.; Wolff, A. Pathogen Concentration Combined Solid-Phase PCR on Supercritical Angle Fluorescence Microlens Array for Multiplexed Detection of Invasive Nontyphoidal Salmonella Serovars. Anal. Chem. 2020, 92, 2706–2713. [Google Scholar] [CrossRef]
- Xu, H.; Tang, F.; Dai, J.; Wang, C.; Zhou, X. Ultrasensitive and rapid count of Escherichia coli using magnetic nanoparticle probe under dark-field microscope. BMC Microbiol. 2018, 18, 100. [Google Scholar] [CrossRef] [PubMed] [Green Version]
- Yang, X.; Zhou, X.; Zhu, M.; Xing, D. Sensitive detection of Listeria monocytogenes based on highly efficient enrichment with vancomycin-conjugated brush-like magnetic nano-platforms. Biosens. Bioelectron. 2017, 91, 238–245. [Google Scholar] [CrossRef] [PubMed]
- Zhang, T.; Zhou, W.; Lin, X.; Khan, M.R.; Deng, S.; Zhou, M.; He, G.; Wu, C.; Deng, R.; He, Q. Light-up RNA aptamer signaling-CRISPR-Cas13a-based mix-and-read assays for profiling viable pathogenic bacteria. Biosens. Bioelectron. 2021, 176, 112906. [Google Scholar] [CrossRef] [PubMed]
- Song, Q.; Gao, Y.B.; Zhu, Q.Y.; Tian, Q.C.; Yu, B.W.; Song, B.F.; Xu, Y.N.; Yuan, M.K.; Ma, C.C.; Jin, W.; et al. A nanoliter self-priming compartmentalization chip for point-of-care digital PCR analysis. Biomed. Microdevices 2015, 17, 64. [Google Scholar] [CrossRef] [PubMed]
- Xia, L.P.; Zhuang, J.J.; Zou, Z.Y.; Yin, J.X.; Mu, Y. Direct digital polymerase chain reaction chip for the detection of EGFR T790M mutation in plasma. Talanta 2022, 237, 122977. [Google Scholar] [CrossRef] [PubMed]
- Dehghani, Z.; Nguyen, T.; Golabi, M.; Hosseini, M.; Rezayan, A.H.; Mohammadnejad, J.; Wolff, A.; Vinayaka, A.C. Magnetic beads modified with Pt/Pd nanoparticle and aptamer as a catalytic nano-bioprobe in combination with loop mediated isothermal amplification for the on-site detection of Salmonella Typhimurium in food and fecal samples. Food Control 2021, 121, 107664. [Google Scholar] [CrossRef]
- Schrader, C.; Schielke, A.; Ellerbroek, L.; Johne, R. PCR inhibitors—Occurrence, properties and removal. J. Appl. Microbiol. 2012, 113, 1014–1026. [Google Scholar] [CrossRef]






Publisher’s Note: MDPI stays neutral with regard to jurisdictional claims in published maps and institutional affiliations. |
© 2022 by the authors. Licensee MDPI, Basel, Switzerland. This article is an open access article distributed under the terms and conditions of the Creative Commons Attribution (CC BY) license (https://creativecommons.org/licenses/by/4.0/).
Share and Cite
Suo, Y.; Yin, W.; Zhu, Q.; Wu, W.; Cao, W.; Mu, Y. A Specific and Sensitive Aptamer-Based Digital PCR Chip for Salmonella typhimurium Detection. Biosensors 2022, 12, 458. https://doi.org/10.3390/bios12070458
Suo Y, Yin W, Zhu Q, Wu W, Cao W, Mu Y. A Specific and Sensitive Aptamer-Based Digital PCR Chip for Salmonella typhimurium Detection. Biosensors. 2022; 12(7):458. https://doi.org/10.3390/bios12070458
Chicago/Turabian StyleSuo, Yuanjie, Weihong Yin, Qiangyuan Zhu, Wenshuai Wu, Wenjian Cao, and Ying Mu. 2022. "A Specific and Sensitive Aptamer-Based Digital PCR Chip for Salmonella typhimurium Detection" Biosensors 12, no. 7: 458. https://doi.org/10.3390/bios12070458
APA StyleSuo, Y., Yin, W., Zhu, Q., Wu, W., Cao, W., & Mu, Y. (2022). A Specific and Sensitive Aptamer-Based Digital PCR Chip for Salmonella typhimurium Detection. Biosensors, 12(7), 458. https://doi.org/10.3390/bios12070458

