Customized Titanium Plates for Preventing Mandibular Fractures in Lower Third Molar Extractions
Abstract
1. Introduction
2. Materials and Methods
2.1. Study Design and Criteria for Patient Selection
- Stable general and oral health status;
- Over 24 years old;
- Fragilized mandibular angle by deep impacted molar, Pell and Gregory class II/IIIC impacted lower third molars [19] associated with pericoronitis or recurrent episodes of osteitis;
- No temporomandibular pain/dysfunction, and no reduced mouth opening;
- Consent to attend postoperative follow-up appointments.
- Systemic diseases or receiving pharmacotherapy that contraindicates the surgical intervention;
- Other Pell and Gregory classes of impacted lower third molars;
- Current or recent acute episode;
- Pregnant and breastfeeding mothers;
- Patients with facial asymmetry;
- Incapacity or unwillingness to adhere to requisite postoperative follow-up protocols.
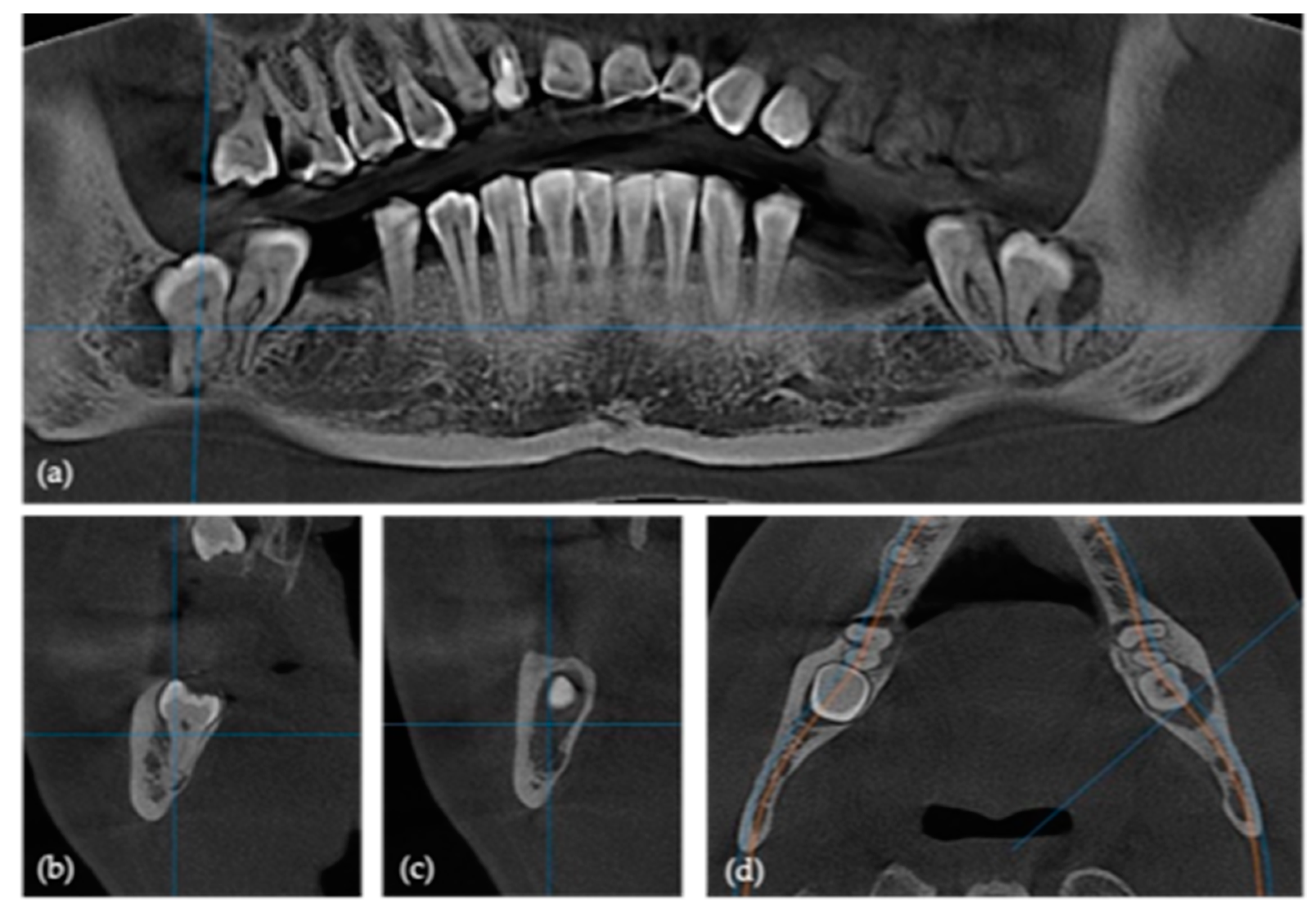
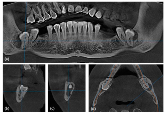
2.2. Pre-Surgical Cone Beam Computed Tomography (CBCT)
2.3. Design and Manufacturing of Customized Titanium Plates
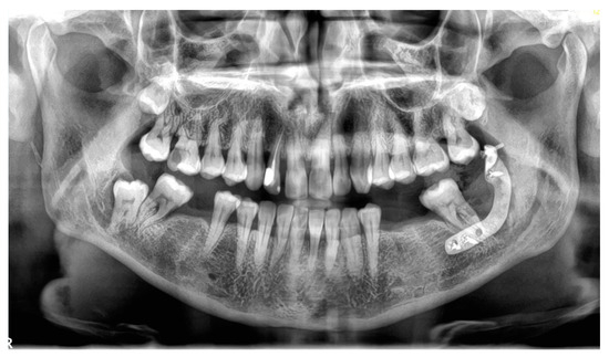
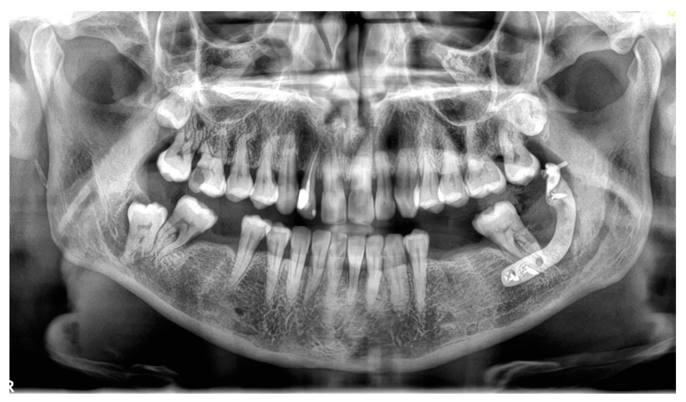
2.4. Surgical Procedure
2.5. Anxiety, Pain, Swelling, Trismus, and Surgery Time Recording
- I become nervous when the dentist invites me to sit down in the chair.
- When I know the dentist is going to extract a tooth, I am already afraid in the waiting room.
- When I think of the sound of the drilling machine on my way to the dentist, I would rather go back.
- I want to walk out of the waiting room the moment I think the dentist will not explain all the steps of the procedures to me.
- As soon as the dentist gets their needle ready for the anesthetic, I shut my eyes tight.
- In the waiting room, I sweat or freeze when I think of sitting down in the dentist’s chair.
- On my way to the dentist, I get anxious at the thought that they will have to drill.
- When I am sitting in the dentist’s chair not knowing what is going on in my mouth, I break in a cold sweat.
- On my way to the dentist, the idea of being in the chair already makes me nervous.
2.6. Statistical Analysis
3. Results
4. Discussion
- -
- minimally invasive flap design: Adaptations to the flap design could be explored to minimize periosteal elevation while maintaining adequate access for CTP insertion and fixation, for instance
- -
- use of smaller, less extensive flaps could help reduce postoperative discomfort, including edema, pain, and trismus, without compromising surgical outcomes;
- -
- use of advanced instruments: incorporating advanced surgical tools, such as ultrasonic bone cutters or piezoelectric devices, can enhance the precision and efficiency of the procedure while reducing trauma to the surrounding tissues;
- -
- surgeon training and experience: surgeons with advanced training in CTP placement can perform the procedure more efficiently, reducing operative time and associated complications.
- -
- postoperative care optimization: standardized postoperative care protocols, including the routine use of anti-inflammatory medications, analgesics, and cold compresses, can be increased with patient education.
5. Conclusions
Author Contributions
Funding
Institutional Review Board Statement
Informed Consent Statement
Data Availability Statement
Conflicts of Interest
Abbreviations
| CBCT | Cone beam computed tomography |
| CTP | Customized titanium plate |
| DICOM | Digital imaging and communications in medicine |
| STL | Standard tessellation |
| DMLS | Direct metal laser sintering |
| IAN | Inferior alveolar nerve |
| SDAI | Shortened version of dental anxiety inventory |
| VAS | Visual analog scale |
References
- Nyirjesy, S.C.; Heller, M.; von Windheim, N.; Gingras, A.; Kang, S.Y.; Ozer, E.; Agrawal, A.; Old, M.O.; Seim, N.B.; Carrau, R.L.; et al. The role of computer aided design/computer assisted manufacturing (CAD/CAM) and 3- dimensional printing in head and neck oncologic surgery: A review and future directions. Oral Oncol. 2022, 132, 105976. [Google Scholar] [CrossRef] [PubMed]
- Di Spirito, F.; Giordano, F.; Di Palo, M.P.; Ferraro, C.; Cecere, L.; Frucci, E.; Caggiano, M.; Lo Giudice, R. Customized 3D-Printed Mesh, Membrane, Bone Substitute, and Dental Implant Applied to Guided Bone Regeneration in Oral Implantology: A Narrative Review. Dent. J. 2024, 12, 303. [Google Scholar] [CrossRef]
- Onică, N.; Budală, D.G.; Baciu, E.R.; Onică, C.A.; Gelețu, G.L.; Murariu, A.; Balan, M.; Pertea, M.; Stelea, C. Long-Term Clinical Outcomes of 3D-Printed Subperiosteal Titanium Implants: A 6-Year Follow-Up. J. Pers. Med. 2024, 14, 541. [Google Scholar] [CrossRef] [PubMed]
- Scribante, A.; Ghizzoni, M.; Pellegrini, M.; Pulicari, F.; Manfredini, M.; Poli, P.P.; Maiorana, C.; Spadari, F. Full-Digital Customized Meshes in Guided Bone Regeneration Procedures: A Scoping Review. Prosthesis 2023, 5, 480–495. [Google Scholar] [CrossRef]
- Ardila, C.M.; Hernández-Arenas, Y.; Álvarez-Martínez, E. Mandibular Body Reconstruction Utilizing a Three-Dimensional Custom-Made Porous Titanium Plate: A Four-Year Follow-Up Clinical Report. Case Rep. Dent. 2022, 2022, 5702066. [Google Scholar] [CrossRef] [PubMed]
- Gelețu, G.L.; Burlacu, A.; Murariu, A.; Andrian, S.; Golovcencu, L.; Baciu, E.R.; Maftei, G.; Onica, N. Customized 3D-Printed Titanium Mesh Developed for an Aesthetic Zone to Regenerate a Complex Bone Defect Resulting after a Deficient Odontectomy: A Case Report. Medicina 2022, 58, 1192. [Google Scholar] [CrossRef]
- Chakraborty, S.; Guha, R.P.; Naskar, S.; Banerjee, R. Custom-Made 3D Titanium Plate for Mandibular Reconstruction in Surgery of Ameloblastoma: A Novel Case Report. Surg. Tech. Dev. 2022, 11, 98–104. [Google Scholar] [CrossRef]
- Melville, J.C.; Manis, C.S.; Shum, J.W.; Alsuwied, D. Single-Unit 3D-Printed Titanium Reconstruction Plate for Maxillary Reconstruction: The Evolution of Surgical Reconstruction for Maxillary Defects—A Case Report and Review of Current Techniques. J. Oral Maxillofac. Surg. 2019, 77, 874.e1–874.e13. [Google Scholar] [CrossRef] [PubMed]
- Figueiredo, C.E.; Paranhos, L.R.; da Silva, R.P.; Herval, Á.M.; Blumenberg, C.; Zanetta-Barbosa, D. Accuracy of orthognathic surgery with customized titanium plates-Systematic review. J. Stomatol. Oral Maxillofac. Surg. 2021, 122, 88–97. [Google Scholar] [CrossRef] [PubMed]
- Passi, D.; Singh, G.; Dutta, S.; Srivastava, D.; Chandra, L.; Mishra, S.; Srivastava, A.; Dubey, M. Study of pattern and prevalence of mandibular impacted third molar among Delhi-National Capital Region population with newer proposed classification of mandibular impacted third molar: A retrospective study. Natl. J. Maxillofac. Surg. 2019, 10, 59–67. [Google Scholar] [PubMed]
- Bouloux, G.F.; Steed, M.B.; Perciaccante, V.J. Complications of third molar surgery. Oral Maxillofac. Surg. Clin. N. Am. 2007, 19, 117–128. [Google Scholar] [CrossRef]
- Ajith, S.D.; Shetty, S.; Hussain, H.; Nagaraj, T.; Srinath, M. Management of multiple impacted teeth: A case report and review. J. Int. Oral Health 2014, 6, 93–98. [Google Scholar] [PubMed]
- Grover, P.S.; Lorton, L. The incidence of unerupted permanent teeth and related clinical cases. Oral Surg. Oral Med. Oral Pathol. 1985, 59, 420–425. [Google Scholar] [CrossRef] [PubMed]
- Santosh, P. Impacted Mandibular Third Molars: Review of Literature and a Proposal of a Combined Clinical and Radiological Classification. Ann. Med. Health Sci. Res. 2015, 5, 229–234. [Google Scholar] [CrossRef] [PubMed]
- Deliverska, E.G.; Petkova, M. Complications after extraction of impacted third molars—literature review. J. IMAB—Annu. Proceeding (Sci. Pap.) 2016, 22, 1202–1211. [Google Scholar] [CrossRef]
- Kiencało, A.; Jamka-Kasprzyk, M.; Panaś, M.; Wyszyńska-Pawelec, G. Analysis of complications after the removal of 339 third molars. Dent. Med. Probl. 2021, 58, 75–80. [Google Scholar] [PubMed]
- Woldenberg, Y.; Gatot, I.; Bodner, L. Iatrogenic mandibular fracture associated with third molar removal. Can it be prevented? Med. Oral Patol. Oral Cir. Bucal. 2007, 12, E70–E72. [Google Scholar] [PubMed]
- Ramalingam, S.; Bhargava, D. Advances in Surgical Extraction of the Mandibular Third Molars. In Transalveolar of the Mandibular Third Molars; CRC Press: Boca Raton, FL, USA, 2022; pp. 163–175. [Google Scholar]
- Pell, G.J.; Gregory, G.T. Impacted mandibular third molars: Classification and Impacted mandibular third molars: Classification and modified technique for removal. Dent. Dig. 1933, 39, 330–338. [Google Scholar]
- Majid, O.W. Submucosal dexamethasone injection improves quality of life measures after third molar surgery: A comparative study. J. Oral Maxillofac. Surg. 2011, 69, 2289–2297. [Google Scholar] [CrossRef] [PubMed]
- Stouthard, M.E.; Mellenbergh, G.J.; Hoogstraten, J. Assessment of dental anxiety: A facet approach. Anxiety Stress Coping 1993, 6, 89–105. [Google Scholar] [CrossRef]
- Rizqiawan, A.; Lesmaya, Y.D.; Rasyida, A.Z.; Amir, M.S.; Ono, S.; Kamadjaja, D.B. Postoperative Complications of Impacted Mandibular Third Molar Extraction Related to Patient’s Age and Surgical Difficulty Level: A Cross-Sectional Retrospective Study. Int. J. Dent. 2022, 2022, 7239339. [Google Scholar] [CrossRef] [PubMed]
- Siotou, K.; Kouskouki, M.P.; Christopoulou, I.; Tsolakis, A.I.; Tsolakis, I.A. Frequency and Local Etiological Factors of Impaction of Permanent Teeth among 1400 Patients in a Greek Population. Dent. J. 2022, 10, 150. [Google Scholar] [CrossRef] [PubMed]
- Krimmel, M.; Reinert, S. Mandibular fracture after third molar removal. J. Oral Maxillofac. Surg. 2000, 58, 1110–1112. [Google Scholar] [CrossRef][Green Version]
- Ye, Z.X.; Qian, W.H.; Wu, Y.B.; Yang, C. Pathologies associated with the mandibular third molar impaction. Sci. Prog. 2021, 104, 368504211013247. [Google Scholar] [CrossRef] [PubMed]
- Guillaumet-Claure, M.A.; Juiz-Camps, A.M.; Gay-Escoda, C. Prevalence of intraoperative and postoperative iatrogenic mandibular fractures after lower third molar extraction: A systematic review. J. Clin. Exp. Dent. 2022, 14, e85–e94. [Google Scholar] [CrossRef]
- Uppada, U.K.; Sinha, R. Iatrogenic Mandibular Ramus Fracture Following Surgical Removal of Impacted Third Molar. J. Maxillofac. Oral Surg. 2023, 22, 46–48. [Google Scholar] [CrossRef]
- Yuasa, H.; Sugiura, M. Clinical postoperative findings after removal of impacted mandibular third molars: Prediction of postoperative facial swelling and pain based on preoperative variables. Br. J. Oral Maxillofac. Surg. 2004, 42, 209–214. [Google Scholar] [CrossRef]
- Jeong, Y.K.; Ku, J.K.; Baik, S.H.; You, J.S.; Leem, D.H.; Choi, S.K. Classification of postoperative edema based on the anatomic division with mandibular third molar extraction. Maxillofac. Plast. Reconstr. Surg. 2021, 43, 4. [Google Scholar] [CrossRef] [PubMed]
- Kaplan, V.; Ciğerim, L.; Feslihan, E.; Çınarsoy Ciğerim, S. Effect of a single dose of deflazacort on postoperative pain, swelling, and trismus after impacted lower third molar surgery: Randomized clinical trial. Medicina 2024, 60, 1206. [Google Scholar] [CrossRef] [PubMed]
- Civak, T.; Ustun, T.; Yilmaz, H.N.; Gursoy, B. Postoperative evaluation of Er:YAG laser, piezosurgery, and rotary systems used for osteotomy in mandibular third-molar extractions. J. Cranio-Maxillofac. Surg. 2021, 49, 64–69. [Google Scholar] [CrossRef] [PubMed]
- Yamamoto, S.; Miyachi, H.; Fujii, H.; Ochiai, S.; Watanabe, S.; Shimozato, K. Intuitive Facial Imaging Method for Evaluation of Postoperative Swelling: A Combination of 3-Dimensional Computed Tomography and Laser Surface Scanning in Orthognathic Surgery. J. Oral Maxillofac. Surg. 2016, 74, 2506. [Google Scholar] [CrossRef] [PubMed]
- van der Meer, W.J.; Dijkstra, P.U.; Visser, A.; Vissink, A.; Ren, Y. Reliability and validity of measurements of facial swelling with a stereophotogrammetry optical three-dimensional scanner. Br. J. Oral Maxillofac. Surg. 2014, 52, 922–927. [Google Scholar] [CrossRef] [PubMed]
- Barone, S.; Zaffino, P.; Salviati, M.; Destito, M.; Antonelli, A.; Bennardo, F.; Cevidanes, L.; Spadea, M.F.; Giudice, A. Automated pipeline for linear and volumetric assessment of facial swelling after third molar surgery. BMC Oral Health 2024, 24, 1404. [Google Scholar] [CrossRef] [PubMed]









| Variables | N | % | |
| Gender | |||
| Male | 8 | 44.4 | |
| Female | 10 | 55.6 | |
| Age (mean ± SD 1) | 33.50 ± 6.913 1 | ||
| 24 to 30 years | 7 | 38.9 | |
| Over 30 years | 11 | 61.1 | |
| Third molar | 26 (100%) | ||
| 3.8 | 11 | 42.3 | |
| 4.8 | 15 | 57.7 | |
| Surgery time (min.) | 29.11±5.593 1 (minimum 19 min.-maximum 38 min.) | ||
| Dental Anxiety Score | |||||
|---|---|---|---|---|---|
| Anxiety | T0 | T2 | p-Value 1 | ||
| N | % | N | % | ||
| Minimal | 3 | 16.7 | 4 | 22.2 | 0.372 |
| Mild | 6 | 33.3 | 8 | 44.4 | |
| Moderate | 7 | 38.9 | 5 | 27.7 | |
| Severe | 2 | 11.1 | 1 | 5.7 | |
| Scores | 19.11 ± 6.986 1 (minimum 9–maximum 31) | 18.61 ± 6.572 1 (minimum 9–maximum 30) | |||
| Facial Swelling | T1-T0 [mm] Mean ± SD 1 | T2-T0 [mm] Mean ± SD 1 | p-Value 1 |
|---|---|---|---|
| Temporo-zygomatic arch | 0.48 ± 0.22 | 0.11 ± 0.041 | <0.001 |
| Mid-masseteric | 10.40 ± 1.94 | 0.25 ± 0.035 | |
| Gonial angle | 11.09 ± 1.72 | 0.48 ± 0.048 | |
| Submandibular | 12.37 ± 1.83 | 0.53 ± 0.054 |
| Moment | Pain | Trismus | ||||
|---|---|---|---|---|---|---|
| Mean ± SD 1 | Minimum | Maximum | Mean ± SD 1 | Minimum | Maximum | |
| T0 | 2.39 ± 1.195 | 1 | 5 | 42.50 ± 4.46 | 36.13 | 50.51 |
| T1 | 4.89 ± 1.367 | 3 | 8 | 29.28 ± 5.94 | 20.15 | 38.14 |
| T2 | 1.11 ± 0.676 | 0 | 3 | 41.46 ± 4.58 | 33.64 | 49.62 |
| p | <0.001 | <0.001 | ||||
| Surgery Time | |||
|---|---|---|---|
| Facial swelling | Temporo-zygomatic arch | Pearson Correlation | 0.565 |
| Sig. (2-tailed) | 0.014 * | ||
| Mid-masseteric | Pearson Correlation | 0.561 | |
| Sig. (2-tailed) | 0.015 * | ||
| Gonial angle | Pearson Correlation | 0.542 | |
| Sig. (2-tailed) | 0.020 * | ||
| Submandibular | Pearson Correlation | 0.608 | |
| Sig. (2-tailed) | 0.007 * | ||
| Dental anxiety score | Pearson Correlation | 0.264 | |
| Sig. (2-tailed) | 0.290 | ||
Disclaimer/Publisher’s Note: The statements, opinions and data contained in all publications are solely those of the individual author(s) and contributor(s) and not of MDPI and/or the editor(s). MDPI and/or the editor(s) disclaim responsibility for any injury to people or property resulting from any ideas, methods, instructions or products referred to in the content. |
© 2025 by the authors. Licensee MDPI, Basel, Switzerland. This article is an open access article distributed under the terms and conditions of the Creative Commons Attribution (CC BY) license (https://creativecommons.org/licenses/by/4.0/).
Share and Cite
Onică, C.A.; Lupu, C.I.; Baciu, E.-R.; Gelețu, G.L.; Murariu, A.; Budală, D.G.; Luchian, I.; Onică, N. Customized Titanium Plates for Preventing Mandibular Fractures in Lower Third Molar Extractions. J. Funct. Biomater. 2025, 16, 64. https://doi.org/10.3390/jfb16020064
Onică CA, Lupu CI, Baciu E-R, Gelețu GL, Murariu A, Budală DG, Luchian I, Onică N. Customized Titanium Plates for Preventing Mandibular Fractures in Lower Third Molar Extractions. Journal of Functional Biomaterials. 2025; 16(2):64. https://doi.org/10.3390/jfb16020064
Chicago/Turabian StyleOnică, Cezara Andreea, Costin Iulian Lupu, Elena-Raluca Baciu, Gabriela Luminița Gelețu, Alice Murariu, Dana Gabriela Budală, Ionuț Luchian, and Neculai Onică. 2025. "Customized Titanium Plates for Preventing Mandibular Fractures in Lower Third Molar Extractions" Journal of Functional Biomaterials 16, no. 2: 64. https://doi.org/10.3390/jfb16020064
APA StyleOnică, C. A., Lupu, C. I., Baciu, E.-R., Gelețu, G. L., Murariu, A., Budală, D. G., Luchian, I., & Onică, N. (2025). Customized Titanium Plates for Preventing Mandibular Fractures in Lower Third Molar Extractions. Journal of Functional Biomaterials, 16(2), 64. https://doi.org/10.3390/jfb16020064

