Cytotoxicity, Biocompatibility, and Calcium Deposition Capacity of 45S5 Bioglass Experimental Paste and Bio-C Temp: In Vitro and In Vivo Study Using Wistar Rats
Abstract
1. Introduction
2. Materials and Methods
2.1. Cytotoxicity Analysis
2.1.1. Preparation of Paste Extracts
2.1.2. Dental Pulp Cell Culture
2.2. In Vivo Study
2.2.1. Subcutaneous Implants
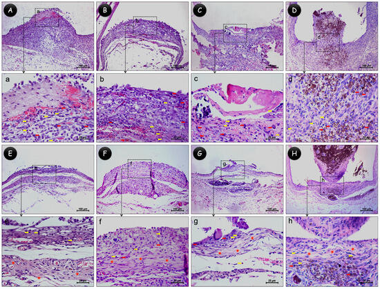
2.2.2. Tissue Response
2.3. Statistical Analysis
3. Results
3.1. Cell Viability and Live/Dead Assay
3.2. In Vivo Analysis
4. Discussion
5. Conclusions
Author Contributions
Funding
Institutional Review Board Statement
Data Availability Statement
Conflicts of Interest
References
- Estrela, C.; Holland, R.; Estrela, C.R.; Alencar, A.H.; Sousa-Neto, M.D.; Pécora, J.D. Characterization of successful root canal treatment. Braz. Dent. J. 2014, 25, 3–11. [Google Scholar] [CrossRef]
- Estrela, C.; Pimenta, F.C.; Ito, I.Y.; Bammann, L.L. In vitro determination of direct antimicrobial effect of calcium hydroxide. J. Endod. 1998, 24, 15–17. [Google Scholar] [CrossRef] [PubMed]
- Estrela, C.; Cintra, L.T.A.; Duarte, M.A.H.; Rossi-Fedele, G.; Gavini, G.; Sousa-Neto, M.D. Mechanism of action of Bioactive Endodontic Materials. Braz. Dent. J. 2023, 34, 1–11. [Google Scholar] [CrossRef]
- de Araújo Lopes, J.M.; Benetti, F.; Rezende, G.C.; Souza, M.T.; Conti, L.C.; Ervolino, E.; Jacinto, R.C.; Zanotto, E.D.; Cintra, L.T.A. Biocompatibility, induction of mineralization and antimicrobial activity of experimental intracanal pastes based on glass and glass-ceramic materials. Int. Endod. J. 2020, 53, 1494–1505. [Google Scholar] [CrossRef] [PubMed]
- Silva, E.C.A.; Pradelli, J.A.; da Silva, G.F.; Cerri, P.S.; Tanomaru-Filho, M.; Guerreiro-Tanomaru, J.M. Biocompatibility and bioactive potential of NeoPUTTY calcium silicate-based cement: An in vivo study in rats. Int. Endod. J. 2024, 57, 713–726. [Google Scholar] [CrossRef]
- Santos, G.S.B.D.; Carvalho, C.N.; Tavares, R.R.J.; Silva, P.G.B.; Candeiro, G.T.M.; Maia Filho, E.M. Tissue repair capacity of bioceramic endodontic sealers in rat subcutaneous tissue. Braz. Dent. J. 2023, 34, 25–32. [Google Scholar] [CrossRef] [PubMed]
- Andolfatto, C.; da Silva, G.F.; Cornélio, A.L.; Guerreiro-Tanomaru, J.M.; Tanomaru-Filho, M.; Faria, G.; Benetti-Filho, I.; Cerri, P.S. Biocompatibility of intracanal medications based on calcium hydroxide. ISRN Dent. 2012, 2012, 904–963. [Google Scholar] [CrossRef]
- Dudeja, C.; Taneja, S.; Kumari, M.; Singh, N. An in vitro comparison of effect on fracture strength, pH and calcium ion diffusion from various biomimetic materials when used for repair of simulated root resorption defects. J. Conserv. Dent. 2015, 18, 279–283. [Google Scholar] [CrossRef]
- Jones, J.R. Review of bioactive glass: From Hench to hybrids. Acta Biomat. 2013, 9, 4457–4486. [Google Scholar] [CrossRef]
- Hench, L.L. The story of Bioglass. J. Mater. Sci. Mater. Med. 2006, 17, 967–978. [Google Scholar] [CrossRef]
- Al-Harbi, N.; Mohammed, H.; Al-Hadeethi, Y.; Bakry, A.S.; Umar, A.; Hussein, M.A.; Abbassy, M.A.; Vaidya, K.G.; Al Berakdar, G.; Mkawi, E.M.; et al. Silica-Based Bioactive Glasses and Their Applications in Hard Tissue Regeneration: A Review. Pharmaceuticals 2021, 14, 75. [Google Scholar] [CrossRef] [PubMed]
- Khalid, H.; Suhaib, F.; Zahid, S.; Ahmed, S.; Jamal, A.; Kaleem, M.; Khan, A.S. Microwave-assisted synthesis and in vitro osteogenic analysis of novel bioactive glass fibers for biomedical and dental applications. Biomed. Mater. 2018, 14, 015005. [Google Scholar] [CrossRef] [PubMed]
- Henao, J.; Poblano-Salasc, C.; Monsalve, M.; Corona-Castuera, J.; Barceinas-Sanchez, O. Bio-active glass coatings manufactured by thermal spray: A status report. J. Mater. Res. Technol. 2019, 8, 4965–4984. [Google Scholar] [CrossRef]
- Jafari, N.; Habashi, M.S.; Hashemi, A.; Shirazi, R.; Tanideh, R.; Tamadon, A. Application of bioactive glasses in various dental fields. Biomater. Res. 2022, 26, 31. [Google Scholar] [CrossRef] [PubMed]
- Villa, N.; Santos, V.V.D.; Costa, U.M.D.; Mendes, A.T.; Duarte, P.H.M.; Rosa, R.A.; Pereira, J.R.; Só, M.V.R. A New Calcium Silicate-Based Root Canal Dressing: Physical and Chemical Properties, Cytotoxicity and Dentinal Tubule Penetration. Braz. Dent. J. 2020, 31, 598–604. [Google Scholar] [CrossRef] [PubMed]
- Oliveira, L.V.; da Silva, G.R.; Souza, G.L.; Magalhães, T.E.A.; Barbosa, G.L.R.; Turrioni, A.P.; Moura, C.C.G. A laboratory evaluation of cell viability, radiopacity and tooth discoloration induced by regenerative endodontic materials. Int. Endod. J. 2020, 3, 1140–1152. [Google Scholar] [CrossRef] [PubMed]
- Oliveira, L.V.; de Souza, G.L.; da Silva, G.R.; Magalhães, T.E.A.; Freitas, G.A.N.; Turrioni, A.P.; Barbosa, G.L.R.; Moura, C.C.G. Biological parameters, discolouration and radiopacity of calcium silicate-based materials in a simulated model of partial pulpotomy. Int. Endod. J. 2021, 54, 2133–2144. [Google Scholar] [CrossRef] [PubMed]
- Guerreiro, J.C.M.; Ochoa-Rodrígez, V.M.; Rodrigues, E.M.; Chavez-Andrade, G.M.; Tanomaru-Filho0, M.; Guerreiro-Tanomaru, J.M.; Faria, G. Antibacterial activity, cytocompatibility and effect of Bio-C Temp bioceramic intracanal medicament on osteoblast biology. Int. Endod. J. 2021, 54, 1155–1165. [Google Scholar] [CrossRef] [PubMed]
- Lopes, C.S.; Delfino, M.M.; Tanomaru-Filho, M.; Sasso-Cerri, E.; Guerreiro-Tanomaru, J.M.; Cerri, P.S. Hepatic enzymes and immunoinflammatory response to Bio-C Temp bioceramic intracanal medication implanted into the subcutaneous tissue of rats. Sci. Rep. 2022, 12, 2788. [Google Scholar] [CrossRef]
- ISO 10993-9:2010; Biological Evaluation of Medical Devices Part 9: Framework for Identification and Quantification of Potential Degradation Products. VAZ–Healthcare: Newark, DE, USA, 2010.
- Erdogan, H.; Yildirim, S.; Cobankara, F.K. Cytotoxicity and genotoxicity of salicylate- and calcium silicate-based root canal sealers on primer human periodontal ligament fibroblasts. Aust. Endod. J. 2021, 47, 645–653. [Google Scholar] [CrossRef]
- Gomes-Filho, J.E.; Sivieri-Araujo, G.; Sipert, C.R.; Santos, L.M.S.; de Azevedo Queiroz, I.O.; Martins, C.M.; Maia, N.K.C.; Cintra, L.T.A.; Dezan-Júnior, E.; Bagnato, V.S.; et al. Evaluation of photodynamic therapy on fibroblast viability and cytokine production. Photodiagnosis Photodyn. Ther. 2016, 13, 97–100. [Google Scholar] [CrossRef] [PubMed]
- Samiei, M.; Ghasemi, N.; Aghazadeh, M.; Divband, B.; Akbarzadeh, F. Biocompatibility of Mineral Trioxide Aggregate with TiO2 Nanoparticles on Human Gingival Fibroblasts. J. Clin. Exp. Dent. 2017, 9, e182–e185. [Google Scholar] [CrossRef] [PubMed]
- Bueno, C.R.E.; Vasques, A.M.V.; Cury, M.T.S.; Sivieri-Araújo, G.; Jacinto, R.C.; Gomes-Filho, J.E.; Cintra, L.T.A.; Dezan-Júnior, E. Biocompatibility and biomineralization assessment of mineral trioxide aggregate flow. Clin. Oral. Investig. 2019, 23, 169–177. [Google Scholar] [CrossRef]
- Matsumoto, K.; Inoue, K.; Matsumoto, A. The effect of newly developed root canal sealers on rat dental pulp cells in primary culture. J. Endod. 1989, 15, 60–67. [Google Scholar] [CrossRef] [PubMed]
- Wilda, H.; Gough, J.E. In vitro studies of annulus fibrosus disc cell attachment, differentiation and matrix production on PDLLA/45S5 Bioglass composite films. Biomaterials 2006, 27, 5220–5229. [Google Scholar] [CrossRef] [PubMed]
- Islam, M.T.; Nuzulia, N.A.; Macri-Pellizzeri, L.; Nigar, F.; Sari, Y.W.; Ahmed, I. Evolution of silicate bioglass particles as porous microspheres with a view towards orthobiologics. J. Biomater. Appl. 2022, 36, 1427–1443. [Google Scholar] [CrossRef] [PubMed]
- Silver, I.A.; Deas, J.; Erecińska, M. Interactions of bioactive glasses with osteoblasts in vitro: Effects of 45S5 Bioglass, and 58S and 77S bioactive glasses on metabolism, intracellular ion concentrations and cell viability. Biomaterials 2001, 22, 175–185. [Google Scholar] [CrossRef] [PubMed]
- Bakry, A.S.; Tamura, Y.; Otsuki, M.; Kasugai, S.; Ohya, K.; Tagami, J. Cytotoxicity of 45S5 bioglass paste used for dentine hypersensitivity treatment. J. Dent. 2011, 39, 599–603. [Google Scholar] [CrossRef] [PubMed]
- Bakry, A.S.; Takahashi, H.; Otsuki, M.; Tagami, J. Evaluation of new treatment for incipient enamel demineralization using 45S5 bioglass. Dent. Mater. 2014, 30, 314–320. [Google Scholar] [CrossRef]
- Bakry, A.S.; Abbassy, M.A. The efficacy of a bioglass (45S5) paste temporary filling used to remineralize enamel surfaces prior to bonding procedures. J. Dent. 2019, 85, 33–38. [Google Scholar] [CrossRef]
- Papynov, E.K.; Shichalin, O.O.; Mayorov, V.Y.; Modin, E.B.; Portnyagin, A.S.; Gridasova, E.A.; Agafonova, I.G.; Zarikova, A.E.; Tananaev, I.G.; Avramenko, V.A. Sol-Gel and SPS combined synthesis of highly porous wollastonite ceramic materials with immobilized Au-NPs. Ceram. Int. 2017, 43, 8509–8516. [Google Scholar] [CrossRef]
- Papynov, E.K.; Shichalin, O.O.; Apanasevich, V.I.; Portnyagin, A.S.; Mayorov, V.Y.; Buravlev, I.Y.; Merkulov, E.B.; Kaidalova, T.A.; Modin, E.B.; Afonin, I.S.; et al. Sol-gel (template) synthesis of osteoplastic Ca-SiO3/HAp powder biocomposite: “In vitro” and “in vivo” biocompatibility assessment. Powder Technol. 2020, 367, 762–773. [Google Scholar] [CrossRef]
- Zhang, P.; Yang, K.; Zhou, Z.; Zhu, X.; Li, W.; Cao, C.; Zhou, K.; Liao, L.; Ai, F. Customized Borosilicate Bioglass Scaffolds with Excellent Biodegradation and Osteogenesis for Mandible Reconstruction. Front. Bioeng. Biotechnol. 2020, 18, 610284. [Google Scholar] [CrossRef]
- Ashraf, H.; Shafagh, P.; Mashhadi Abbas, F.; Heidari, S.; Shahoon, H.; Zandian, A.; Aghajanpour, L.; Zadsirjan, S. Biocompatibility of an experimental endodontic sealer (Resil) in comparison with AH26 and AH-Plus in rats: An animal study. J. Dent. Res. Dent. Clin. Dent. Prospects 2022, 16, 112–117. [Google Scholar] [CrossRef]
- Cosme-Silva, L.; Gomes-Filho, J.E.; Benetti, F.; Dal-Fabbro, R.; Sakai, V.T.; Cintra, L.T.A.; Ervolino, E.; Viola, N.V. Biocompatibility and immunohistochemical evaluation of a new calcium silicate-based cement, Bio-C Pulpo. Int. Endod. J. 2019, 52, 689–700. [Google Scholar] [CrossRef]
- El-Rashidy, A.A.; Roether, J.A.; Harhaus, L.; Kneser, U.; Boccaccini, A.R. Regenerating bone with bioactive glass scaffolds: A review of in vivo studies in bone defect models. Acta Biomater. 2017, 62, 1–28. [Google Scholar] [CrossRef]
- Rizwan, M.; Hamdi, M.; Basirun, W.J. Bioglass® 45S5-based composites for bone tissue engineering and functional applications. J. Biomed. Mater. Res. A 2017, 105, 3197–3223. [Google Scholar] [CrossRef]
- Saraiva, J.A.; da Fonseca, T.S.; da Silva, G.F.; Sasso-Cerri, E.; Guerreiro-Tanomaru, J.M.; Tanomaru-Filho, M.; Cerri, P.S. Reduced interleukin-6 immunoexpression and birefringent collagen formation indicate that MTA Plus and MTA Fillapex are biocompatible. Biomed. Mater. 2018, 13, 035002. [Google Scholar] [CrossRef]
- Cintra, L.T.A.; Ribeiro, T.A.; Gomes-Filho, J.E.; Bernabé, P.F.E.; Watanabe, S.; Facundo, A.C.S.; Samuel, R.O.; Dezan-Júnior, E. Biocompatibility and biomineralization assessment of a new root canal sealer and root-end filling material. Dent. Traumatol. 2013, 29, 145–150. [Google Scholar] [CrossRef]
- Holland, R.; de Souza, V. Ability of a new calcium hydroxide root canal filling material to induce hard tissue formation. J. Endod. 1985, 11, 535–543. [Google Scholar] [CrossRef]




| Groups | Manufacturer | Composition | Technical Information |
|---|---|---|---|
| Ca(OH)2 | Sigma-Aldrich, San Luis, Missouri, EUA | Ca(OH)2 | Prepared by spatulation with distilled water in a 2:1 ratio of by weight |
| 45S5 bioglass | Laboratório de Materiais Vítreos (LaMaV), São Carlos, Brazil | 46.1% SiO2, 24.4% Na2O, 26.9% CaO, and 2.6% P4O5 (mol%) | Prepared by spatulation with distilled water in a 2:1 ratio of by weight |
| Bio-C Temp | Angelus Indústria de Produtos Odontológicos S/A, Londrina, PR, Brazil | Ca2O4Si, CaAl2O4, CaO, CaWO4, TiO2 and dispersing agent | Paste ready for use |
| Time | Groups * | Scores | Median | Fibrous Capsule | vK/PL | p Value | |||
|---|---|---|---|---|---|---|---|---|---|
| 1 | 2 | 3 | 4 | ||||||
| 7 days | Control a | 0 | 3 | 4 | 1 | 3 | Thick | 0 | 0.361 |
| Ca(OH)2 a | 0 | 1 | 4 | 3 | 3 | Thick | 100 | ||
| 45S5 bioglass a | 0 | 3 | 4 | 1 | 3 | Thick | 100 | ||
| Bio-C Temp a | 0 | 1 | 5 | 2 | 3 | Thick | 100 | ||
| 30 days | Control a | 2 | 4 | 2 | 0 | 2 | Thin | 0 | 0.283 |
| Ca(OH)2 a | 0 | 5 | 3 | 0 | 2 | Thin | 100 | ||
| 45S5 bioglass a | 2 | 5 | 1 | 0 | 2 | Thin | 100 | ||
| Bio-C Temp a | 3 | 4 | 1 | 0 | 2 | Thin | 100 | ||
| Groups | Collagen Fibers (%) | |||
|---|---|---|---|---|
| 7 Days * | 30 Days ≠ | |||
| Immature | Mature | Immature | Mature | |
| Control Aa | 65.00 ± 10.03 | 35.00 ± 10.03 | 34.94 ± 19.32 | 65.06 ± 19.32 |
| Ca(OH)2 Ba | 27.30 ± 8.63 | 72.70 ± 8.63 | 31.89 ± 6.80 | 68.11 ± 6.80 |
| 45S5 bioglass Ab | 74.71 ± 8.42 | 25.29 ± 8.42 | 86.30 ± 1.27 | 13.70 ± 1.27 |
| Bio-C Temp Ca | 12.71 ± 6.12 | 87.29 ± 6.12 | 15.33 ± 7.47 | 84.67 ± 7.47 |
| p value | <0.001 | <0.001 | ||
Disclaimer/Publisher’s Note: The statements, opinions and data contained in all publications are solely those of the individual author(s) and contributor(s) and not of MDPI and/or the editor(s). MDPI and/or the editor(s) disclaim responsibility for any injury to people or property resulting from any ideas, methods, instructions or products referred to in the content. |
© 2024 by the authors. Licensee MDPI, Basel, Switzerland. This article is an open access article distributed under the terms and conditions of the Creative Commons Attribution (CC BY) license (https://creativecommons.org/licenses/by/4.0/).
Share and Cite
Benetti, F.; de Oliveira, P.H.C.; de Andrade, M.P.B.; Cantiga-Silva, C.; Sivieri-Araújo, G.; Dezan Júnior, E.; Gomes-Filho, J.E.; Diniz, I.M.A.; dos Reis-Prado, A.H.; Souza, M.T.; et al. Cytotoxicity, Biocompatibility, and Calcium Deposition Capacity of 45S5 Bioglass Experimental Paste and Bio-C Temp: In Vitro and In Vivo Study Using Wistar Rats. J. Funct. Biomater. 2024, 15, 184. https://doi.org/10.3390/jfb15070184
Benetti F, de Oliveira PHC, de Andrade MPB, Cantiga-Silva C, Sivieri-Araújo G, Dezan Júnior E, Gomes-Filho JE, Diniz IMA, dos Reis-Prado AH, Souza MT, et al. Cytotoxicity, Biocompatibility, and Calcium Deposition Capacity of 45S5 Bioglass Experimental Paste and Bio-C Temp: In Vitro and In Vivo Study Using Wistar Rats. Journal of Functional Biomaterials. 2024; 15(7):184. https://doi.org/10.3390/jfb15070184
Chicago/Turabian StyleBenetti, Francine, Pedro Henrique Chaves de Oliveira, Maria Paula Bernal de Andrade, Cristiane Cantiga-Silva, Gustavo Sivieri-Araújo, Eloi Dezan Júnior, João Eduardo Gomes-Filho, Ivana Márcia Alvez Diniz, Alexandre Henrique dos Reis-Prado, Marina Trevelin Souza, and et al. 2024. "Cytotoxicity, Biocompatibility, and Calcium Deposition Capacity of 45S5 Bioglass Experimental Paste and Bio-C Temp: In Vitro and In Vivo Study Using Wistar Rats" Journal of Functional Biomaterials 15, no. 7: 184. https://doi.org/10.3390/jfb15070184
APA StyleBenetti, F., de Oliveira, P. H. C., de Andrade, M. P. B., Cantiga-Silva, C., Sivieri-Araújo, G., Dezan Júnior, E., Gomes-Filho, J. E., Diniz, I. M. A., dos Reis-Prado, A. H., Souza, M. T., Zanotto, E. D., & Cintra, L. T. A. (2024). Cytotoxicity, Biocompatibility, and Calcium Deposition Capacity of 45S5 Bioglass Experimental Paste and Bio-C Temp: In Vitro and In Vivo Study Using Wistar Rats. Journal of Functional Biomaterials, 15(7), 184. https://doi.org/10.3390/jfb15070184

