A Comparative Study of Two Bone Graft Substitutes—InterOss® Collagen and OCS-B Collagen®
Abstract
:1. Introduction
2. Materials and Methods
3. Results
3.1. Surface Morphology Using Scanning Electron Microscopy (SEM)
3.2. Surface Area and Porosity Measurements
3.3. Mechanical Properties
3.4. Thermal Properties
3.5. Water Absorption Capacity
3.6. Fourier Transform Infrared Spectroscopy (FTIR)
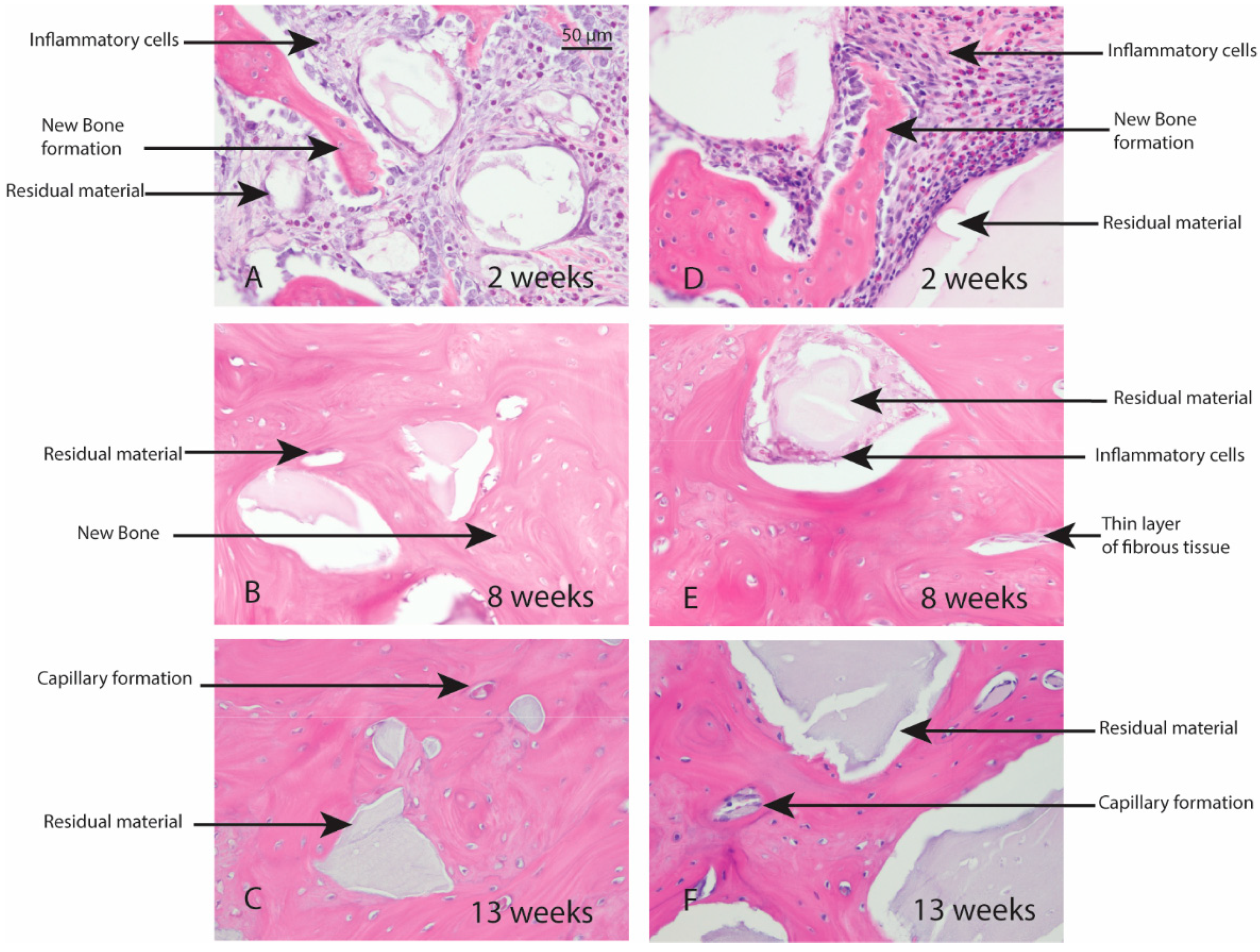
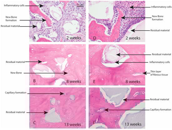
3.7. Rabbit Studies
4. Discussion
Supplementary Materials
Author Contributions
Funding
Institutional Review Board Statement
Informed Consent Statement
Data Availability Statement
Acknowledgments
Conflicts of Interest
References
- Nimbalkar, S.; Dhatrak, P.; Gherde, C.; Joshi, S. A review article on factors affecting bone loss in dental implants. Mater. Today Proc. 2020, 43, 970–976. [Google Scholar] [CrossRef]
- Lin, H.K.; Pan, Y.H.; Salamanca, E.; Lin, Y.T.; Chang, W.J. Prevention of Bone Resorption by HA/β-TCP + Collagen Composite after Tooth Extraction: A Case Series. Int. J. Environ. Res. Public Health 2019, 16, 4616. [Google Scholar] [CrossRef] [PubMed] [Green Version]
- Pagni, G.; Pellegrini, G.; Giannobile, W.; Rasperini, G. Postextraction Alveolar Ridge Preservation: Biological Basis and Treatments. Int. J. Dent. 2012, 2012, 151030. [Google Scholar] [CrossRef] [PubMed] [Green Version]
- Kotsakis, G.; Chrepa, V.; Marcou, N.; Prasad, H.; Hinrichs, J. Flapless Alveolar Ridge Preservation Utilizing the “Socket-Plug” Technique: Clinical Technique and Review of the Literature. J. Oral Implant. 2014, 40, 690–698. [Google Scholar] [CrossRef] [PubMed]
- Greenwald, A.S.; Boden, S.D.; Goldberg, V.M.; Khan, Y.; Laurencin, C.T.; Rosier, R.N. American Academy of Orthopaedic Surgeons. The Committee on Biological Implants. Bone-Graft Substitutes: Facts, Fictions, and Applications. JBJS 2001, 83, S98–S103. [Google Scholar] [CrossRef]
- Keil, C.; Gollmer, B.; Zeidler-Rentzsch, I.; Gredes, T.; Heinemann, F. Histological evaluation of extraction sites grafted with Bio-Oss Collagen: Randomized controlled trial. Ann. Anat.-Anat. Anz. 2021, 237, 151722. [Google Scholar] [CrossRef] [PubMed]
- Heberer, S.; Hildebrand, D.; Nelson, J.J.; Nelson, K.; Al-Chawaf, B. Histomorphometric analysis of extraction sockets augmented with Bio-Oss Collagen after a 6-week healing period: A prospective study. Clin. Oral Implant. Res. 2008, 19, 1219–1225. [Google Scholar] [CrossRef]
- Ohba, S.; Sumita, Y.; Nakatani, Y.; Noda, S.; Asahina, I. Alveolar bone preservation by a hydroxyapatite/collagen composite material after tooth extraction. Clin. Oral Investig. 2018, 23, 2413–2419. [Google Scholar] [CrossRef]
- Zhao, R.; Yang, R.; Cooper, P.; Khurshid, Z.; Shavandi, A.; Ratnayake, J. Bone Grafts and Substitutes in Dentistry: A Review of Current Trends and Developments. Molecules 2021, 26, 3007. [Google Scholar] [CrossRef]
- Wahl, D.; Czernuszka, J. Collagen-Hydroxyapatite Composites for Hard Tissue Repair. Eur. Cells Mater. 2006, 11, 43–56. [Google Scholar] [CrossRef]
- Vallet-Regi, M.; González-Calbet, J.M. Calcium phosphates as substitution of bone tissues. Prog. Solid State Chem. 2004, 32, 1–31. [Google Scholar] [CrossRef]
- Fernandez De Grado, G.; Keller, L.; Idoux-Gillet, Y.; Wagner, Q.; Musset, A.-M.; Benkirane-Jessel, N.; Bornert, F.; Offner, D. Bone substitutes: A review of their characteristics, clinical use, and perspectives for large bone defects management. J. Tissue Eng. 2018, 9, 2041731418776819. [Google Scholar] [CrossRef] [PubMed] [Green Version]
- Giannoudis, P.V.; Dinopoulos, H.; Tsiridis, E. Bone substitutes: An update. Injury 2005, 36 (Suppl. S3), S20–S27. [Google Scholar] [CrossRef]
- Dewi, A.H.; Ana, I.D. The use of hydroxyapatite bone substitute grafting for alveolar ridge preservation, sinus augmentation, and periodontal bone defect: A systematic review. Heliyon 2018, 4, e00884. [Google Scholar] [CrossRef] [Green Version]
- Bakoš, D.; Soldán, M.; Hernández-Fuentes, I. Hydroxyapatite–collagen–hyaluronic acid composite. Biomaterials 1999, 20, 191–195. [Google Scholar] [CrossRef]
- Lee, D.S.; Pai, Y.; Chang, S. Physicochemical characterization of InterOss® and Bio-Oss® anorganic bovine bone grafting material for oral surgery—A comparative study. Mater. Chem. Phys. 2014, 146, 99–104. [Google Scholar] [CrossRef]
- Suh, H.; Han, D.; Park, J.; Lee, D.H.; Lee, W.S.; Han, C.D. A Bone Replaceable Artificial Bone Substitute: Osteoinduction by Combining with Bone Inducing Agent. Artif. Organs 2001, 25, 459–466. [Google Scholar] [CrossRef]
- Lawson, A.C.; Czernuszka, J.T. Collagen-calcium phosphate composites. Proc. Inst. Mech. Eng. Part H J. Eng. Med. 1998, 212, 413–425. [Google Scholar] [CrossRef]
- Jensen, S.S.; Broggini, N.; Hjorting-Hansen, E.; Schenk, R.K.; Buser, D. Bone healing and graft resorption of autograft, anorganic bovine bone and beta-tricalcium phosphate. A histologic and histomorphometric study in the mandibles of minipigs. Clin. Oral Implant. Res. 2006, 17, 237–243. [Google Scholar] [CrossRef]
- Jensen, S.S.; Yeo, A.; Dard, M.; Hunziker, E.; Schenk, R.; Buser, D. Evaluation of a novel biphasic calcium phosphate in standardized bone defects. A histologic and histomorphometric study in the mandibles of minipigs. Clin. Oral Implant. Res. 2007, 18, 752–760. [Google Scholar] [CrossRef]
- Kattimani, V.S.; Kondaka, S.; Lingamaneni, K.P. Hydroxyapatite—Past, Present, and Future in Bone Regeneration. Bone Tissue Regen. Insights 2016, 7, BTRI.S36138. [Google Scholar] [CrossRef] [Green Version]
- Ryan, A.; Gleeson, J.P.; Matsiko, A.; Thompson, E.M.; O’Brien, F.J. Effect of different hydroxyapatite incorporation methods on the structural and biological properties of porous collagen scaffolds for bone repair. J. Anat. 2015, 227, 732–745. [Google Scholar] [CrossRef] [PubMed]
- Araújo, M.G.; Liljenberg, B.; Lindhe, J. Dynamics of Bio-Oss® Collagen incorporation in fresh extraction wounds: An experimental study in the dog. Clin. Oral Implant. Res. 2010, 21, 55–64. [Google Scholar] [CrossRef] [PubMed]
- Kim, E.S.; Lee, E.; Jang, K.; Shim, K.M.; Kang, S.S. Evaluation of Porcine Hybrid Bone Block for Bone Grafting in Dentistry. Vivo 2018, 32, 1419–1426. [Google Scholar] [CrossRef] [Green Version]
- Fan, Q.; Zeng, H.; Fan, W.; Wu, T.; Sun, J.; Yan, Q.; Shi, B. Ridge preservation of a novel extraction socket applying Bio-Oss® collagen: An experimental study in dogs. J. Dent. Sci. 2021, 16, 831–839. [Google Scholar] [CrossRef]
- Cholas, R.; Padmanabhan, S.K.; Gervaso, F.; Udayan, G.; Monaco, G.; Sannino, A.; Licciulli, A. Scaffolds for bone regeneration made of hydroxyapatite microspheres in a collagen matrix. Mater. Sci. Eng. C 2016, 63, 499–505. [Google Scholar] [CrossRef]
- Walsh, W.; Oliver, R.A.; Christou, C.; Lovric, V.; Walsh, E.R.; Prado, G.R.; Haider, T. Critical Size Bone Defect Healing Using Collagen–Calcium Phosphate Bone Graft Materials. PLoS ONE 2017, 12, e0168883. [Google Scholar] [CrossRef] [Green Version]
- Walsh, W.; Harrison, J.; Loefler, A.; Martin, T.; Van Sickle, D.; Brown, M.K.; Sonnabend, D.H. Mechanical and Histologic Evaluation of Collagraft in an Ovine Lumbar Fusion Model. Clin. Orthop. Relat. Res. 2000, 375, 258–266. [Google Scholar] [CrossRef]
- Araújo, M.G.; Linder, E.; Lindhe, J. Bio-Oss® Collagen in the buccal gap at immediate implants: A 6-month study in the dog. Clin. Oral Implant. Res. 2010, 22, 1–8. [Google Scholar] [CrossRef]
- Degidi, M.; Daprile, G.; Nardi, D.; Piattelli, A. Buccal bone plate in immediately placed and restored implant with Bio-Oss® collagen graft: A 1-year follow-up study. Clin. Oral Implant. Res. 2012, 24, 1201–1205. [Google Scholar] [CrossRef]
- Wong, R.; Rabie, A. Effect of Bio-Oss® Collagen and Collagen Matrix on Bone Formation. Open Biomed. Eng. J. 2010, 4, 71–76. [Google Scholar] [CrossRef] [PubMed] [Green Version]
- Cardaropoli, G.; Araujo, M.; Hayacibara, R.; Sukekava, F.; Lindhe, J. Healing of extraction sockets and surgically produced-augmented and non-augmented-defects in the alveolar ridge. An experimental study in the dog. J. Clin. Periodontol. 2005, 32, 435–440. [Google Scholar] [CrossRef] [PubMed]
- Kane, R.J.; Weiss-Bilka, H.E.; Meagher, M.J.; Liu, Y.; Gargac, J.A.; Niebur, G.; Wagner, D.R.; Roeder, R.K. Hydroxyapatite reinforced collagen scaffolds with improved architecture and mechanical properties. Acta Biomater. 2015, 17, 16–25. [Google Scholar] [CrossRef] [PubMed]
- Sionkowska, A.; Kozlowska, J. Characterization of collagen/hydroxyapatite composite sponges as a potential bone substitute. Int. J. Biol. Macromol. 2010, 47, 483–487. [Google Scholar] [CrossRef]
- Pietrucha, K. Changes in denaturation and rheological properties of collagen–hyaluronic acid scaffolds as a result of temperature dependencies. Int. J. Biol. Macromol. 2005, 36, 299–304. [Google Scholar] [CrossRef]
- Popa, C.L.; Albu, M.; Bartha, C.; Costescu, A.; Luculescu, C.; Trusca, R.; Antohe, Ş. Structural characterization and optical properties of hydroxyapatite/collagen matrix. Rom. Rep. Phys. 2016, 68, 1149–1158. [Google Scholar]





| Cell Type/Response | Score | ||||
|---|---|---|---|---|---|
| 0 | 1 | 2 | 3 | 4 | |
| Polymorphonuclear cells | 0 | Rare, 1–5 phf | 5–10 phf | Heavy Infiltrate | Packed |
| Lymphocytes | 0 | Rare, 1–5 phf | 5–10 phf | Heavy Infiltrate | Packed |
| Plasma cells | 0 | Rare, 1–5 phf | 5–10 phf | Heavy Infiltrate | Packed |
| Macrophages | 0 | Rare, 1–5 phf | 5–10 phf | Heavy Infiltrate | Packed |
| Giant cells | 0 | Rare, 1–5 phf | 5–10 phf | Heavy Infiltrate | Packed |
| Necrosis | 0 | Minimal | Mild | Moderate | Severe |
| Cell Type/Response | Score | ||||
|---|---|---|---|---|---|
| 0 | 1 | 2 | 3 | 4 | |
| Neovascularization | 0 | Minimal capillary, proliferation, focal buds | Groups of 4–7 capillaries with supporting fibroblastic structures | Broad band of capillaries with supporting structures | Extensive band of capillaries with fibroblastic structures |
| fibrosis | 0 | narrow band | moderately thick band | thick band | extensive band |
| fatty infiltrate | 0 | minimal amount of fat associated with fibrosis | several layers of fat and fibrosis | elongated and broad accumulation of fat cells about the implant site | extensive fat completely surrounding the implant |
| Material Remaining Score | Scale | Bone Growth/Formation Score |
|---|---|---|
| 0 = no material remaining | 0 | No bone regrowth/formation |
| 1 = up to 25% of defect filled with material | 1 | 1–25% new bone regrowth formation |
| 2 = 25–50% of defect filled with material | 2 | 26–50% new bone regrowth formation |
| 3 = 50–75% of defect filled with material | 3 | 51–75% new bone regrowth formation |
| 4 = greater than 75% of defect filled with material | 4 | 76–100% new bone regrowth formation |
| Properties | InterOss Collagen | OCS-B Collagen |
|---|---|---|
| BET surface area m2/g | 77.0 ± 0.2 | 49.7 ± 1.2 |
| Total pore area m2/g | 73.4 ± 1.3 | 60.2 ± 1.7 |
| Average pore diameter (µm) | 0.13 ± 0.0 | 0.13 ± 0.0 |
| Porosity | 79.8 ± 0.4 | 82.8 ± 0.8 |
| InterOss Collagen | OCS-B Collagen | Porcine Dry Collagen | |||||
|---|---|---|---|---|---|---|---|
| Moisture (wt.%) | 3.1 ± 0.1 | 2.3 ± 0.4 | 9.1 ± 0.8 | ||||
| Peak temperature °C | 58.26 | 224.7 | 58.28 | 229.2 | 65.01 | 204.93 | 304.82 |
| Onset temperature °C | 26.67 | 214.7 | 26.71 | 221.4 | 19.65 | 198.1 | 275.35 |
| 2-Week | 8-Week | 13-Week | ||||
|---|---|---|---|---|---|---|
| InterOss Collagen | OCS-B Collagen | InterOss Collagen | OCS-B Collagen | InterOss Collagen | OCS-B Collagen | |
| Average score– residual material remaining | 2.1 | 2.3 | 1.7 | 2.0 | 1.4 | 2.3 |
| Average score– New bone formation | 3.1 | 3.2 | 3.5 | 3.3 | 3.8 | 3.5 |
| Average Inflammatory Score (polymorphs, lymphocytes, plasma cells, macrophages, giant cells, necrosis) | 9.8 | 10.4 | 1.6 | 2.9 | 0.9 | 1.3 |
| Average healing score (neovascularization, fatty infiltrate, fibrosis) | 2.9 | 2.7 | 1.5 | 2.0 | 1.7 | 2.3 |
Publisher’s Note: MDPI stays neutral with regard to jurisdictional claims in published maps and institutional affiliations. |
© 2022 by the authors. Licensee MDPI, Basel, Switzerland. This article is an open access article distributed under the terms and conditions of the Creative Commons Attribution (CC BY) license (https://creativecommons.org/licenses/by/4.0/).
Share and Cite
Jain, G.; Blaauw, D.; Chang, S. A Comparative Study of Two Bone Graft Substitutes—InterOss® Collagen and OCS-B Collagen®. J. Funct. Biomater. 2022, 13, 28. https://doi.org/10.3390/jfb13010028
Jain G, Blaauw D, Chang S. A Comparative Study of Two Bone Graft Substitutes—InterOss® Collagen and OCS-B Collagen®. Journal of Functional Biomaterials. 2022; 13(1):28. https://doi.org/10.3390/jfb13010028
Chicago/Turabian StyleJain, Gaurav, Dylan Blaauw, and Steve Chang. 2022. "A Comparative Study of Two Bone Graft Substitutes—InterOss® Collagen and OCS-B Collagen®" Journal of Functional Biomaterials 13, no. 1: 28. https://doi.org/10.3390/jfb13010028
APA StyleJain, G., Blaauw, D., & Chang, S. (2022). A Comparative Study of Two Bone Graft Substitutes—InterOss® Collagen and OCS-B Collagen®. Journal of Functional Biomaterials, 13(1), 28. https://doi.org/10.3390/jfb13010028

