Next Article in Journal
A Novel Approach to Address Lead Exceedance Issue in the Geographical Indication Product Laifeng Ginger (Zingiber officinale cv. Fengtoujiang): Co-Application of Organic Fertilizer and Compound Fertilizer
Previous Article in Journal
A Deployment-Oriented Benchmarking of You Look Only Once (YOLO) Models for Orange Detection and Segmentation in Agricultural Robotics
Previous Article in Special Issue
The Impacts of Feeding a Reduced Energy and Lysine Balance in Lactation on Sow Body Composition, Litter Growth, and Markers of Subsequent Reproductive Performance
 
 
Font Type:
Arial Georgia Verdana
Font Size:
Aa Aa Aa
Line Spacing:
Column Width:
Background:
Article

The Influence of Various Guar Meal Types on Growth Performance, Carcass Composition and Histology of the Liver of Broiler Chickens

Institute of Animal Science and Fisheries, Faculty of Agricultural Sciences, University of Siedlce, 14 Prusa Str., 08-110 Siedlce, Poland
*
Author to whom correspondence should be addressed.
Agriculture 2025, 15(20), 2171; https://doi.org/10.3390/agriculture15202171
Submission received: 26 September 2025 / Revised: 15 October 2025 / Accepted: 18 October 2025 / Published: 20 October 2025
(This article belongs to the Special Issue Effects of Dietary Interventions on Monogastric Animal Production)

Abstract

This study evaluated how various types of guar meal in diets of broiler chickens affect their rearing results, carcass composition, and liver histology. The experiment was conducted in one hundred sixty Ross 308 broilers randomly allocated to four groups consisting of the same number of birds (C, GM1, GM2, and GM3). The birds were reared for over 42 days and fed with starter (days 1–21), grower (days 22–35), and finisher (days 36–42) rations. All feed rations were prepared using maize meal, soybean meal, oil, mineral, and feed additives. The experimental factor was guar meal type included in feed rations (starter, grower, and finisher stage) at 6% each: C (control group)—without guar meal, GM1—raw guar meal, GM2—Microlam, and GM3—roasted guar meal. Microlam is a high-protein animal feed produced by laminating and micronizing guar meal for enhanced digestibility and protein content, while roasted guar meal (also called korma) is a more basic protein supplement for livestock and poultry that has undergone roasting to improve its taste and digestibility. It was shown that 6% of raw guar meal in the feed rations affected significantly higher (2646 g) body weight of broilers in comparison to birds fed the same amount of Microlam (2583 g), however feed conversion ratio were similar (1.63–1.65 kg/kg; p > 0.05) in all groups. Thus similar musculature and fatness, broiler chickens from GM1 and GM2 groups obtained higher dressing percentage in compare to group GM3 (p ≤ 0.05). No significant effect of guar meal on the physical characteristics (except pH1), or the results of the proximate composition of the breast muscles was found. Rations fed to broiler chickens had no effect on the microscopic image of the liver or reaction to the presence of neutral fats. In summary, 6% inclusion of raw guar meal should be recommended in broiler chicken diets as a partial substitute for soybean meal because it contributes to achieving the best growth performance results as well as dressing percentage, without deterioration carcass composition, and liver histology.

1. Introduction

Broiler chicken production requires highly concentrated nutritive rations. These are mostly industrial mixtures balanced to meet the requirements of a particular poultry production group. The primary feed material in complete feed rations for broiler chickens is cereal grains, which account for approximately half of the total protein supply. The remainder should be supplemented with high-protein raw material. This requirement is most often covered by imported soybean meal, which is nearly completely derived from genetically modified soy. The availability of soybean meal, its nutritive value, and competitive prices, as well as the liberalisation and globalisation of trade, have considerably reduced reliance on other protein sources. Meanwhile, research [1,2,3,4] has shown that proteins supplied with broiler chicken diets could partially derive from other high-protein raw materials, such as legume seeds and food industry by-products (rapeseed meal, sunflower meal, and dry distilled grains with soluble). Furthermore, when the prices of soybean meal in the global feed market are high, also in the UE alternatives are sought to substitute at least a part of the protein, which is essential in broiler chicken diets [5,6].
Guar meal, produced as a by-product of the extraction of galactomannan (guar gum) from guar seeds (Cyamopsis tetragonoloba L.), is a remarkably high-protein raw material [7,8]. Kamran et al. [9], Shahbazi [10], Dinani et al. [5], and Tammam et al. [6] claimed that, in view of its nutritive value, using guar meal in poultry feed may be an effective strategy to reduce feeding costs. Guar meal offered in the feed market can be unprocessed; it is either raw or treated to enhance its nutritive value [11,12,13]. In addition, depending on the guar cultivar and fraction type (endosperm, shell) predominant in the blend, the crude protein (CP) content of the guar meal ranges from 35% to 60%. On average, the ‘endosperm’ fraction contains about 60% CP, while the shell 35% [14,15,16,17]. Lee et al. [18], Saeed et al. [19], Dinani et al. [5], and Kotnala et al. [13] reported that guar meal is an excellent source of essential amino acids, including mainly arginine, lysine, tryptophan, isoleucine, valine, and phenylalanine.
The percentage content of specific fractions in guar meal is also linked to crude fibre content, which is undesirable for birds. It is believed that the proportion of raw or unprocessed guar meal in the diets of monogastric animals is low, given its adverse effect on productivity ratios caused by the content of antinutrients such as residue of galactomannans, trypsin inhibitors, saponins, polyphenols, hemagglutinins, and residual concentrations of guar gum [5,8,13,20,21,22,23,24,25,26]. A high percentage of plant-derived protein—guar meal in poultry diets can trigger intestinal viscosity and lipid absorption, diarrhoea, lower growth rates, impaired feed conversion ratio, and increased mortality rates [18,21].
Many poultry nutritional studies have tried to identify the optimal level of guar meal in feed rations that will not adversely affect the rearing results and carcass composition of broiler chickens [24,27,28,29,30]. The results of previous studies [24,28,31,32] imply that a share of up to 4–5%, and even 6% [8] of guar meal in rations fed to chickens has no adverse effect on their growth rate and carcass composition. Many previous studies have highlighted the effect of diet on carcass composition measured in terms of muscularity and fatness, but the available scientific literature lacks a detailed account of results concerning meat quality and liver histology in broiler chickens fed various types of guar meal. Meanwhile, the physicochemical characteristics and sensory attributes of poultry meat, which has been enjoying unabated popularity among consumers, require continuous control and assessment due to the increasing frequency of broiler chicken meat defects [33].
Therefore, we evaluated the efficiency of three types of guar meal used in broiler chicken feed rations. The hypothesis of this study was that different types of guar meal (raw, Microlam, roasted) may be used in amount 6% in broiler chickens rations without deterioration growth performance, carcass composition and liver histology.

2. Materials and Methods

2.1. Chemical Analysis of High-Protein Feeds

The contents of dry matter (DM), crude protein (CP), crude fat (CF), crude fibre (CFi), and crude ash (CA) in the protein materials were determined according to the methodology of the AOAC [34] procedures: 934.01, 984.13, 920.39, 996.11, 942.05, respectively. DM content was determined by oven-drying samples to a constant weight. CP content was assessed on the basis of nitrogen content using the Kjeldahl method in the Kjeltec™ 2300 Analyzer Unit (FOSS, Hillerød, Denmark). The determined amount of nitrogen was converted into protein content using the coefficients of 6.25 (for feed) or 6.00 (for meat). Crude fibre content was determined by the weight method using sulfuric acid and potassium hydroxide. CF content was determined by petroleum ether extraction using a Soxhlet apparatus Soxtec™ 2050 (Foss® Analytical, Hillerød, Denmark). For CA content analysis, samples were burned in a muffle furnace at 575 °C for 6 h. After cooling to a temperature of about 100 °C, the crucibles were transferred to the desiccator and after reaching room temperature, the crucibles and ashes were weighed. The amino acid (AA) content was measured with an AAA-339 amino acid analyser (Mikrotechna, Prague, Czech Republic), using ninhydrin for post-column derivatization. Before analysis, the samples were hydrolysed with 6 M HCl for 24 h at 110 °C, Amino acids (except tryptophan) were determined by UPLC-UV ultraperformance liquid chromatography with spectrophotometric detection. Tryptophan was, on the other hand, determined by HPLC-FLD high-performance liquid chromatography with fluorescence detection [35]. In addition, tannin content was assayed in protein materials [36] by extracting tannins using a mixture of ethyl alcohol, glycerine, and water, creating a coloured complex with phosphomolybdenum-phosphowolfram reagent, and measuring the absorption of the coloured solution at 700 nm wavelength. Furthermore, anti-trypsin activity was determined in protein materials using a method designed by Smith et al. [37], that is, a spectrophotometric assay of the absorption of casein breakdown products by trypsin in the presence of an inhibitor.
The content of essential nutrients in the evaluated raw protein materials varied (Table 1).
The CP content of raw guar meal was over 68 g lower than that of Microlam and 74 g lower than that of roasted guar meal. In contrast, the crude fibre content was 56% and 40% higher, respectively. Microlam guar meal contained insignificantly (~2 g) more crude ash, as well as contained higher levels of crude fat than raw guar meal. Comparing the proximate composition of guar meals used in feed rations with that of soybean meal, we found that guar meal contained 3.6–4.0 times more crude fat, but approximately 30% less crude ash. The crude protein content of soybean meal was nearly identical to that measured in raw guar meal, but lower than in processed and roasted, by 64 g and 70 g, respectively. On the other hand, crude fibre levels were twice lower in comparison with raw, and insignificantly (ca. 5 g) lower than in roasted, but ca. 7 g higher than in Microlam.
The level of amino acids in the guar meal largely depended on the protein content.
Of all the analysed protein feeds, raw guar meal contained the least amount of amino acids. Roasted guar meal featured a similar quantity, whereas the lysine, threonine, isoleucine, leucine, and valine contents in soybean meal exceeded the levels found in any guar meal. In contrast, guar meal contained significantly more arginine (more than two-fold in the Microlam), cystine, and tryptophan than soybean meal did.
Analyses of the trypsin inhibitor and tannin content of the evaluated protein feeds showed that the least of the former was found in roasted guar meal, slightly more in Microlam, and the highest in two other protein feeds. These results were interesting for the tannins. Microlam contained over 30% less tannins than the other two guar meals, and half the amount in comparison with soybean meal.

2.2. Experiment Design, Birds and Diets

The experiment was conducted in 2019 according to the EU’s guidelines on the treatment of animals, including the protection of animals used for scientific purposes [38] and the rules for the protection of farm animals at the time of death [39]. Since no invasive procedures (i.e., causing pain, suffering, or lasting harm) have been planned or performed on living broilers, and all of them were killed solely for the purpose of using their intestines, according to Polish law, no explicit approval from an ethics committee was required before undertaking the research.
The experiment involved 160 Ross 308 chickens assigned to 4 equinumerous groups (C, GM1, GM2, and GM3). One-day-old sexed chicks were weighed and randomly placed into twenty metal cages, with eight birds per cage (four females and four males), resulting in five replicates in each feeding group. All cages were placed in the same room in an identical environment, and chicks had unlimited access to water and feed. Throughout the rearing period, 24-h electric lighting was used. In the first week of the experiment, the ambient temperature was 32 °C. Afterwards, it was reduced every seven days by 1–2 °C until it reached approximately 21 °C in the final week of rearing. The 42-day chicken period consisted of three feeding phases: starter (days 1–21), grower (days 22–35) and finisher (days 36–42). The diets were all in mash form. The all-mash rations formulas were designed according to the recommendations for broiler chickens, making them isoenergetic and isonitrogen diets. The nutritional value of the feed was calculated based on the chemical composition of the feed components and metabolisable energy using the equations [40]. The diets were prepared by their own means from maize meal, soybean meal, oil and mineral and feed additives. All raw materials and feed additives were bought on Polish feed market (local suppliers and distributors).
An experimental factor was the type of guar meal in complete feed rations: C (control group)—without guar meal, GM1—raw guar meal, GM2—processed guar meal (Microlam), and GM3—roasted guar meal (Table 2, Table 3 and Table 4). The dietary additions of lysine and methionine were adjusted, and this relates to the amino acid composition of the guar meal as well as others raw materials.
During the experiment, the chickens were weighed individually on rearing days 1, 21, 35, and 42, and feed intake (FI) per subgroup in respective rearing periods was measured. The collected data were used to calculate the feed conversion ratio (FCR):
F C R k g k g =   F I ( k g ) B W G ( k g )

2.3. Post-Slaughter Characteristic Evaluation

On the 42nd day of life, eight birds with a body weight representative of a specific group were selected from each group and subsequently euthanized. Immediately after processing, birds from each group were defeathered and eviscerated. Forty-five minutes after slaughter, the reaction (pH1) was measured in the muscles (m. pectoralis major). Next, the carcasses were cooled for 24 h at 4 °C and the reaction (pH24) of the breast muscles was measured again. To calculate the dressing percentage, the weight of the cooled carcasses was determined, and they were subjected to simplified dissection analysis using the procedure described by Ziołecki and Doruchowski [41]. During dissection, breast muscle samples were taken to evaluate their physicochemical characteristics.
In addition, we sampled the livers of the slaughtered chickens for histological evaluation. The left lobe of the liver was sampled for morphological assessments. The samples were first fixed (for 24 h) in 10% formalin and absolute alcohol by increasing the concentration of alcohol solutions and xylene in a tissue processor and then embedded in paraffin blocks. The assessment covered 4 µm-thick histological samples stained with haematoxylin and eosin (HE). In addition, histochemical staining was used to determine whether neutral fats were present in the liver. Samples fixed in 10% neutral formalin were shredded and stained with Sudan IV, following Daddi’s approach [42]. Evaluation was performed using a fluorescence microscope (Nikon Eclipse E-600; Nikon Corporation, Tokyo, Japan) coupled with a digital camera (Nikon DS-Fi1; Nikon Instruments, Tokyo, Japan) and a computer program for image analysis (NIS-Elements BR-2.20, Laboratory Imaging, Praha, Czech Republic).

2.4. Breast Muscles Quality Assessment

The reaction (pH1 and pH24) of the breast muscle (m. pectoralis major) was measured using a Testo 205 pH meter with a dagger electrode (Testo AG, Lenzkirch, Germany). Apparatus was calibrated prior to measurement using pH 7 and 4.6 buffer solutions (Mettler-Toledo, LLC, Columbus, OH, USA).
Water loss, expressed as the water holding capacity (WHC), was determined using the method of Grau and Hamm [43], as modified by Pohja and Ninivaara [44]. The WHC value was based on the amount of water (expressed in %) lost by the meat sample placed on filter paper (Whatman No. 4) and pressed between two glass plates. The area (cm2) of the meat juice visible on the filter paper was measured with a planimeter HAFF-Planimeter No. 313 (Gebrueder Haff GMBH, Pfronten, Germany), and the amount of free water was calculated assuming that an area of 1 cm2 corresponded to 10 mg of meat juice absorbed by the filter paper.
The instrumental evaluation of breast muscle colour was performed by means of the photocolorimeter in the CIE L* a* b* system, where L* represents the lightness of a colour that is the spatial vector, whereas a* and b* are trichromatic coordinates (positive values of a* correspond to the red colour, negative to green colour, positive b* values—yellow, negative b*—blue) [45]. Minolta portable chroma meter (model CR-310, Minolta, Osaka, Japan) with a 50 mm aperture was used. Two illuminant/observer combinations were applied: illuminant C (average daylight) and standard observer 2°, and illuminant D65 (daylight) and standard observer 10°, as recommended for the measurement of meat colour. The instrument was standardised using a white calibration plate with the following coordinates: Y = 92.80, x = 0.3175, and y = 0.3333.
The proximate composition of the breast muscle was determined according to AOAC [34].

2.5. Statistical Analysis

The data was subjected to the analysis of variance by one-way (ANOVA) using the general linear model procedure of the statistical analysis system using the Statistica software ver. 13.3 (Tibco Software Inc., Palo Alto, CA, USA) [46]. The Shapiro–Wilk test was used to determine whether the data for each parameter was normally distributed across all analyzed groups. The calculated elements were measures of location (arithmetic mean) and absolute measures (SEM)
The statistical model was expressed as follows:
yi = μ + ai + ei
where: yi is the measured ith trait, μ is the overall population mean, ai is the analysed factor effect of the ith trait, and ei is the random error.
The significance of differences between means was verified at the significance level α ≤ 0.05, using Duncan’s multiple range post-hoc test.

3. Results

The inclusion of 6% Microlam significantly reduced the body weight (BW) of 3-week-old broiler chickens compared to that of birds from other groups (Table 5).
After subsequent two weeks of rearing, the chickens fed rations containing different types of guar meal (groups GM1, GM2, and GM3) weighed significantly less (from 45 g for GM1 to 75 g for GM2) than the control birds (p ≤ 0.05). On day 42, GM1 chickens appeared to be the heaviest (2646 g), but their weight did not differ significantly (p > 0.05) from that of control and GM3 birds. In contrast, birds fed rations containing Microlam guar meal were the lightest (2583 g), and the 63 g difference between the weight of chickens from this group and from GM1 was statistically significant (p ≤ 0.05).
Analysis of feed ration intake during particular rearing periods showed that the consumption of both starter and grower rations was similar (p > 0.05). Only at stage three of rearing (finisher) did the feed intake of GM1 and GM2 birds significantly (p ≤ 0.05) increase in relation to the control and GM3 chickens. However, it had no effect on mean feed intake throughout the rearing period. The diet had no effect on feed conversion per kg of bird body weight, either in the individual rearing periods (starter, grower and finisher) or over the entire rearing period (p > 0.05).
For the slaughter analysis, birds with a body weight close to the average of all birds in a given group were selected, so their pre-slaughter body weight and, consequently, the cold carcass weight differed between the groups (Table 6).
The pre-slaughter body weight and cold carcass weight of chickens from groups C, GM1, and GM2 did not differ (p > 0.05), whereas the weights of birds from groups GM1 and GM3 were significantly different (p ≤ 0.05). With regard to the pre-slaughter weight, the difference was 100 g, which is a disadvantage of GM3. Chickens fed rations containing roasted guar meal (GM3) also showed the lowest dressing percentage, which differed significantly (p ≤ 0.05) from that of GM1 and GM2 birds. When assessing the muscularity and fatness of broiler chickens, it should be noted that irrespective of the diet, all birds demonstrated a high degree of muscularity, as the proportion of total muscle in the carcass ranged from 52% in chickens receiving feed rations with Microlam to as much as 53.4% in those fed rations containing roasted guar meal (p > 0.05). Chicken fatness, measured as the percentage of skin with subcutaneous fat, was also very similar (p > 0.05) in all groups, although birds receiving diets with raw guar meal had the highest percentage (10.55%). The carcasses of chickens in this group also had the highest percentage (1.33%) of abdominal fat, and the difference compared to the GM3 group (1.13%) was statistically significant (p ≤ 0.05). The type of guar meal in the diet of birds did not affect the percentage of giblets (p > 0.05).
Histopathological results of broiler chicken livers are shown in Figure 1, Figure 2, Figure 3 and Figure 4 [haematoxylin and eosin staining (two images each) and Sudan IV staining (two images each)].
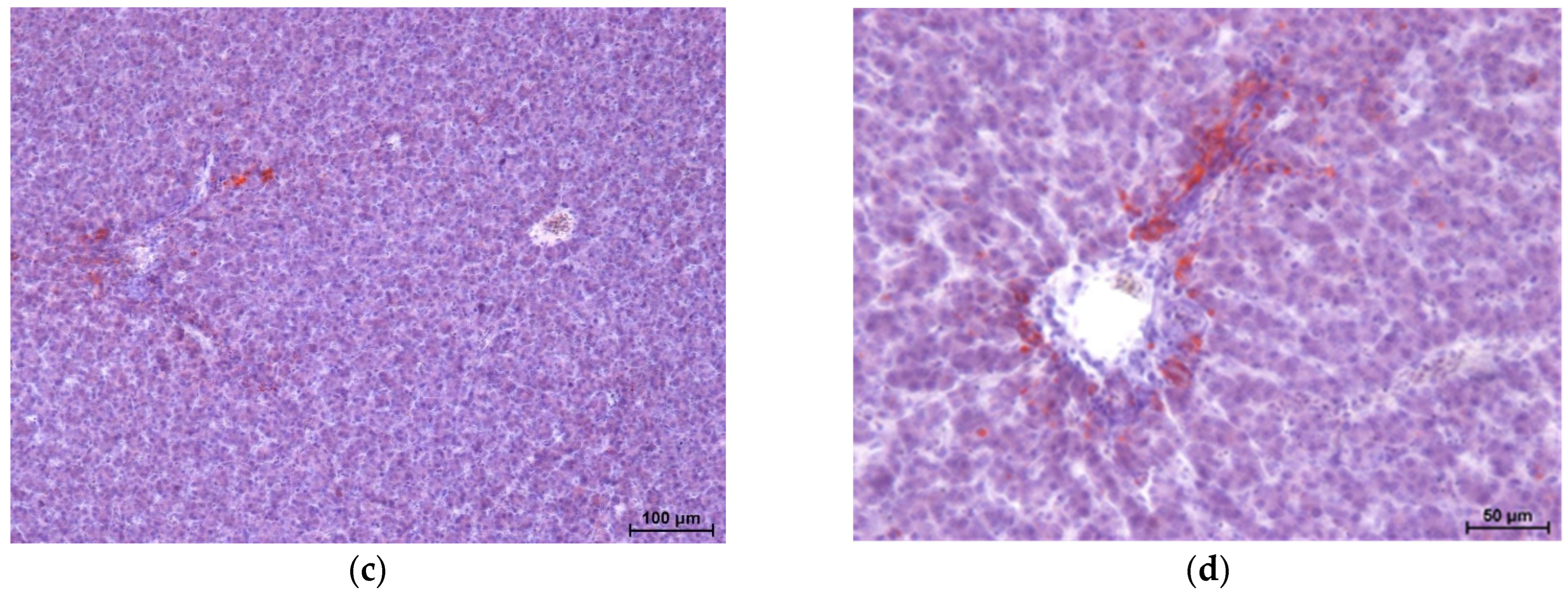
The study showed no significant microscopic changes, implying liver damage in chickens fed experimental diets. Only the GM2 group showed slight disruption (dissociation) of hepatocyte cords. However, this is not associated with congestion or retrograde changes. The livers of birds in all four groups showed no inflammatory pathological changes. Staining for neutral fats showed no differences in lipid distribution and content between the groups, except for a higher level of lipids in the livers of chickens from the GM2 group.
The numerical values in Table 7 demonstrate that the type of rations fed to the chickens had no significant effect on most of the physical traits assessed. Only breast muscle reaction measured 45 min after slaughter showed that the chickens in the control group had lower muscle acidity (6.27 vs. 6.05) than those fed rations containing 6% roasted guar meal (p ≤ 0.05).
The evaluated chicken breast muscles from all groups contained similar (p > 0.05) amounts of crude protein, crude fat, and minerals (Table 8).

4. Discussion

Comparing the proximate composition determined in our research to the values declared by the manufacturers on the certificates, it was found that the determined amount of protein was 2–4 p.p. lower and that of crude ash was more than 1 p.p. lower, respectively (except for Microlam). The crude fibre level was also inconsistent with the declared mean amounts, as in raw guar meal it was 1.88 p.p. higher, and in Microlam and roasted −0.52 and 1.31 p.p. lower, respectively. It should be mentioned that manufacturers reserve the right to deviate from the reported average, and these deviations are quite significant, as they amount to ±2% and, for protein, even ±3%. The protein and fibre content determined in our study fell within the ranges indicated by Bielecka et al. [17]. In the evaluated guar meals, the authors noted 415 to 620 g/kg of total protein, from 41.8 to 78.1 g/kg of crude fat and 26.2 to 138 g/kg of crude fibre. They identified a link between the variability in the content of the evaluated components and the percentage of the specific fraction in the meal. Biel and Jaroszewska [11] found a higher protein content (ranging from 61.13% to 73.89%) in variously processed guar meals, at a level similar to the content of crude fat and crude ash measured in our study. In addition, these authors noted that extracted guar (korma), which contained the highest amounts of protein and fat showed the lowest levels of crude fibre and crude ash. Similarly Kotnala et al. [13] showed that guar korma had higher protein content (53.4%) than guar churi—40.8%.
The amount of amino acids in the three evaluated guar meals was dependent on the protein content, in which less lysine, threonine, isoleucine, leucine, and valine were found, but significantly more arginine (more than twice as much in processed guar meals), cystine, and tryptophan compared to SBM. More arginine, but less lysine, methionine, threonine, isoleucine, and leucine were found in guar meal compared to soybean meal by Lee et al. [15] and Song et al. [47]. Similarly, Biel and Jaroszewska [11] compared the amino acid composition of processed guar meals with that of soybean meal and found more arginine and tryptophan and less lysine, threonine, isoleucine, leucine, and valine in the meals.
Analysing the content of antinutrients in 15 guar meals, Bielecka et al. [17] identified very high (0.92–7.42 mg/g) variability of the tannin content. In contrast, the level of trypsin inhibitors was stable and ranged from 1.2 and 1.5 mg/g. The level of trypsin inhibitors assayed in raw guar meal was identical (1.20 g/kg) to that assayed in soybean meal. The other two guar meals showed fewer compounds of this type, which is consistent with the findings of Conner [14], Lee et al. [15], and Nasrala et al. [48], who found fewer trypsin inhibitors in guar meal than in soybean meal. Fewer trypsin inhibitors (3.96 mg/kg) but more (1.71%) tannins in guar meal were reported by Karpiesiuk et al. [26]. Çalişlar [49] reported four times higher levels of condensed tannins in guar meal (0.24%) than in SBM (0.96%).
The growth performance (BWG, FI, and FCR) of broiler chickens fed rations (starter, grower, finisher) containing 6% of the three guar meal types was satisfactory. However the broiler chicken fed diets containing Microlam (GM2 group) were the lightest (2583 g), and the difference (63 g) between the weight of chickens from this group and from GM1 was statistically significant. Probably it could be connected with the digestibility of Microlam and the degree processing (laminating and micronizing), it is white powder. This is difficult to argue with the results of other researchers, as such assessments have not been conducted. The vast majority of experiments involved the assessment of various percentages (between 2% and 15%, up to 20%) of a single type of guar meal in diets for chickens [6,9,24,29,32,50,51,52]. Generally the studies showed that with the growing of the guar meal level in broiler chickens rations caused decrease BWG and FI and increase FCR. Guar meal caused reducing palatability and feed intake. In contrast our study noted increase FI (p < 0.05) in broiler chickens fed rations containing 6% guar meal (GM1, GM2, GM3). Milczarek et al. [24] introduced 4, 8%, and 12% of guar meal in chicken diets, and observed that the lowest percentage of guar meal had no effect on body weight and feed intake, while higher percentages deteriorated growth performance. Larhang and Torki [50] noted a significant reduction in weight gain in birds fed diets containing 4% or 8% raw guar meal compared with control chickens. Concurrently, they recorded significantly higher feed conversion ratio in chickens receiving 8% guar meal than in the control birds and chickens fed rations containing half (4%) the amount of the evaluated raw material. Kamran et al. [9], feeding broiler chickens with rations contained 5, 10 and 15% of raw guar meal (with or without enzyme) found deterioration growth performance (BWG, FI and FCR) in compare to control group. Similarly, Rajasekhar et al. [52], who made lower levels (4% and 6%) of guar meal into the rations of birds, observed a linear decrease in BW and an increase in FCR at the respective phases of broiler chicken rearing. In turn, Gharaei et al. [20] and Gheisarai et al. [53] demonstrated that, regardless of whether the feed rations contained 3% or 6% guar meal, the chickens had a similar body weight on day 42 of rearing, which was consistent with the BW of the control chickens. However, a higher percentage (9–18%) of guar meal in the feed rations significantly reduced bird body weight and increased feed conversion ratio. Rao et al. [8] observed that the inclusion of up to 10% raw or toasted guar meal in broiler diets significantly reduced BWG, FI, and FCR. A lack of significant impact of diets containing 10% guar meal on body weight and feed conversion ratio after 6 weeks of broiler chicken rearing was demonstrated by Haribhau et al. [30]. Similarly, Wankhede et al. [29] observed no significant influence of rations containing 10%, 12.5%, 15%, 17.5%, or 20% toasted guar meal on the final body weight and FCR of broiler chickens.
The obtained results of worse dressing percentage (DP) of GM3 group chickens could be connected with body weight before slaughter and growth results [3,20,48]. Many researchers, including Gheisarai et al. [53] Afrouzi et al. [54], Nasrala et al. [48], and Milczarek et al. [55] showed a decline in DP, but at a higher level of guar meal in the diet. Afrouzi et al. [54] observed a larger decrease in the DP of chickens (70.32% vs. 71.50%) after introducing guar meal (5% and 10%) to the diet. Nasrala et al. [48] noted that increasing levels of guar meal (up to 10%) in rations for chickens resulted in a directly proportional decrease (from 79.08% to 71.68%) in dressing percentage. Wankhede et al. [29] and Tammam et al. [6] found no differences in the DP or in meatiness and abdominal fat between feeding groups. Afrouzi et al. [54] demonstrated that 5% guar meal added to broiler chicken feed had no impact on breast muscle yield, however doubled amount of guar meal caused decrease (33.6% vs. 32.93%) breast yield. On the other hand El-Masry et al. [56] noticed that the weight of breast muscle decreased (579.06 g vs. 521.87 g) when 5% guar meal was included as a partial replacement for SBM. Mohayayee and Karimi [51] showed that birds fed rations with a high level (9% and 12%) of guar meal had higher abdominal fat levels than in the control chicken group and chickens fed diets with a low level (4%) of guar meal, by 22% and 16%, respectively. In contrast, Reddy et al. [57] found no effect of toasted guar meal (6%, 9%, 12%, 15%, and 18%) in feed rations on the fatness of broiler chickens. Similarly, Rao et al. [8] reported no significant influence of 6%, 12%, and 18% commercial guar meal introduced to rations for broiler chickens on their abdominal fat.
Nasrala et al. [48], Siva et al. [58] and Wankhede et al. [29] reported no effect of guar meal (irrespective of its percentage) in the feed rations on the percentage of giblets on chicken carcasses. Milczarek et al. [24] and Tammam et al. [6] noted an increased percentage of giblets (including the stomach) in chicken-fed diets with the highest share guar meal compared to diets containing less of this feed.
Microscopic examination of the livers of chickens fed experimental diets did not reveal pathology. However, chickens from the GM2 group showed slight disruption of hepatocyte cords, which could be associated with slightly increased levels of lipids in the liver cell cytoplasm. Increased levels of neutral lipids in the livers of bird-fed mixtures containing processed guar meal fell within physiological norms, as no relocation or damage to the cell nucleus was observed. During fatty degeneration, the nucleus moves to the periphery of the cell and then becomes damaged. It should be emphasised that chickens in this group (GM2) had the highest degree of fatness, as measured by the percentage of abdominal fat and skin with subcutaneous fat. The lack of significant changes in liver histology can be associated with the short (six weeks) intake period of feed containing antinutrients (e.g., tannins and trypsin inhibitors) and their volumes, which can have a negative impact on the macro- and microscopic images of the internal organs of broiler chickens, as suggested by Milczarek et al. [3]. Karpiesiuk et al. [59], having introduced 4.9%, 9.9%, and 14.6% of guar meal in the rations of pigs (finishers) found that increased levels of this raw material alter liver histology, which can have an adverse effect on the animals’ health and productivity.
The colour, water-holding capacity, and acidity of meat are the main characteristics noticed by consumers, and greatly impact meat acceptance, especially for fresh poultry products. The physical properties of meat can positively affect juiciness, shelf life, and texture. Although the breast muscles showed differences in acidity (pH1), they can be classified as normal meat, free of defects, as the pH measured 45 min after slaughter fell within the range of 5.8–6.3, as recommended by Trojan and Niewiarowicz [60] and Gardzielewska et al. [61]. A sharp drop in the pH recorded after 24 h of cooling was not desirable. Mehaffey et al. [62], Garcia et al. [63], and Dal Bosco et al. [64] report that it may be a cause of the meat turning pale and deterioration in its water-holding capacity (WHC). The lack of a significant effect of the diet fed to chickens on the WHC and colour of the meat confirms the high quality of the meat. According to Liang et al. [65] and Petracci and Cavani [66], if the pH at 24 h post-mortem (pH24) was less than 5.7, and the lightness (L*) was greater than 53, poultry meat was categorized as PSE-like. L* parameter values are typical of normal muscles, since, according to Qiao et al. [67], the colour lightness (L*) of normal breast muscle falls within the range of 48–53. The present study corroborated our own previous results [24,55], indicating that the inclusion of guar meal does not affect the water-holding capacity, redness, and yellowness of breast muscles.
The proximate composition (DM, CA, CP, and CF) of broiler chicken breast muscles was typical [1,3,24,55,64]. Proved more content of fat in breast muscles of chickens GM1 and GM2 groups allows to say that their muscles will be more palatability than control and GM3 groups (which contain less fat). No impact different level of guar meal included in broiler chicken rations on the proximate composition of the muscles found Milczarek et al. [24].

5. Conclusions

In conclusion, it was shown that from among the dietary inclusion of 6% different types of guar meal (raw, Microlam, roasted) as partial substitute for soybean meal into Ross 308 broilers rations allow to recommended raw guar (Cyamopsis tetragonoloba L.) meal. Raw guar meal in amount 6% contributes to achieving favourable growth performance and dressing percentage without deterioration carcass composition (musculature, fatness and giblets share), meat quality (pH, water holding capacity, colour, proximate composition) and liver histology. Probably usage of the raw guar meal in the rations for broilers will be more economic (cheaper) than inclusion Microlam or roasted guar meal which are processed components, but it needs carry out detailed cost-benefit analysis.

Author Contributions

Conceptualization, M.P., M.O. and A.M.; methodology, M.O., A.M. and M.P.; software, M.P. and R.Ś.; validation, M.O., M.P. and A.M.; formal analysis, A.M.; investigation, M.P., R.Ś. and A.M.; resources, M.O., M.P., R.Ś. and A.M.; data curation, M.O., M.P., A.M. and. R.Ś.; writing—original draft preparation, M.P. and M.O.; writing—review and editing, A.M. and M.O.; visualization, M.O., M.P., A.M. and. R.Ś.; supervision, M.O. and A.M.; project administration, M.O.; funding acquisition, M.O., M.P. and A.M. All authors have read and agreed to the published version of the manuscript.

Funding

This research was funded by the Ministry of Science and Higher Education of Poland (projects no. 152/15/MN, 212/04/S and 166/23/B).

Institutional Review Board Statement

Ethical review and approval were waived for this study, due to the slaughter of birds being carried out in accordance with the applicable rules on the handling of animals at the time of slaughter, including humane treatment. Additionally, the methods used in the meat quality tests were carried out in accordance with the current and commonly used methodology described in the Materials and Methods section. According to directive no. 2010/63/EU, the approval of the Ethics Committee was not required.

Informed Consent Statement

Not applicable.

Data Availability Statement

The data are available on request from the corresponding author.

Conflicts of Interest

The authors declare no conflicts of interest.

References

  1. Biesek, J.; Kuźniacka, J.; Banaszak, M.; Kaczmarek, S.; Adamski, M.; Rutkowski, A.; Zmudzińska, A.; Perz, K.; Hejdysz, M. Growth performance and carcass quality in broiler chickens fed on legume seeds and rapeseed meal. Animals 2020, 10, 846. [Google Scholar] [CrossRef]
  2. Świątkiewicz, M.; Olszewska, A.; Grela, E.R.; Tyra, M. The Effect of Replacement of Soybean Meal with Corn Dried Distillers Grains with Solubles (cDDGS) and Differentiation of Dietary Fat Sources on Pig Meat Quality and Fatty Acid Profile. Animals 2021, 11, 1277. [Google Scholar] [CrossRef]
  3. Milczarek, A.; Osek, M. Effectiveness Evaluation of Use of Various Protein Feeds for Broiler Chicken Feeding. Ann. Anim. Sci. 2019, 19, 1063–1081. [Google Scholar] [CrossRef]
  4. Tavaniello, S.; Fatica, A.; Palazzo, M.; Zejnelhoxha, S.; Wu, M.; Marco, L.D.; Salimei, E.; Maiorano, G. Carcass and Meat Quality Traits of Medium-Growing Broiler Chickens Fed Soybean or Pea Bean and Raised under Semi-Intensive Conditions. Animals 2022, 12, 2849. [Google Scholar] [CrossRef]
  5. Dinani, O.P.; Tyagi, P.K.; Mandal, A.B.; Tiwari, S.P.; Mishra, S.; Sharma, K. Recent unconventional feedstuffs for economic poultry production in India: A review. J. Entomol. Zool. Stud. 2019, 7, 1003–1008. [Google Scholar]
  6. Tammam, A.M.; El-Faham, A.I.; Ali Nematallah, G.M.; Osman, M.A. Partial or total replacement of soybean meal by guar meal on growth performance and economic evaluation of broiler chickens. Egypt. J. Nutr. Feed. 2024, 27, 79–88. [Google Scholar] [CrossRef]
  7. Sabahelkheir, M.K.; Abdalla, A.H.; Nouri, S.H. Quality Assessment of Guar Gum (Endosperm) of Guar (Cyamopsis tetragonoloba). ISCA J. Biol. Sci. 2012, 1, 67–70. [Google Scholar]
  8. Rao, M.H.; Redd, V.R.; Rao, S.V.; Kumar, M.S.; Kumari, N.N.; Gurram, S.; Raghunandhan, T. Effect of commercial guar meal (CGM) on the performance and nutrient utilization in broilers. Indian J. Anim. Sci. 2019, 89, 556–561. [Google Scholar] [CrossRef]
  9. Kamran, M.; Pasha, T.N.; Mahmud, A.; Ali, Z. Effect of commercial enzyme (Natugrain) supplementation on the nutritive value and inclusion rate of guar meal in broiler rations. Int. J. Poult. Sci. 2002, 1, 167–173. [Google Scholar][Green Version]
  10. Shahbazi, H.R. Dietary inclusion of guar meal supplemented by beta-mannanase. II) Evaluation egg quality characteristics and blood parameters of laying hens. Glob. Vet. 2012, 9, 67–72. [Google Scholar][Green Version]
  11. Biel, W.; Jaroszewska, A. Compositional and Nutritional Evaluation of Guar (Cyamopsis tetragonoloba L.) Meal. Anim. Nutr. Technol. 2019, 19, 385–393. [Google Scholar] [CrossRef]
  12. Roncarati, A.; Galosi, L.; Di Cerbo, A.; Quagliardi, M.; Marchetti, F.; Fiordelmondo, E.; Mariotti, F.; Magi, G.E. Effect of a Guar Meal Protein Concentrate in Replacement of Conventional Feedstuffs on Productive Performances and Gut Health of Rainbow Trout (Oncorhynchus mykiss). Fishes 2024, 9, 295. [Google Scholar] [CrossRef]
  13. Kotnala, B.; Panneerselvam, V.; Vijayakumar, A.K. Physicochemical, structural, and functional characterization of guar meal protein isolate (Cyamopsis tetragonoloba). Heliyon 2024, 10, e24925. [Google Scholar] [CrossRef] [PubMed]
  14. Conner, S.R. Characterization of Guar Meal for Use in Poultry Rations. Ph.D. Thesis, Texas A&M University, College Station, TX, USA, 2002. [Google Scholar]
  15. Lee, J.T.; Connor, A.S.; Haq, A.U.; Cartwright, A.; Bailey, C. Quantitative measurement of negligible trypsin inhibitor activity and nutrient analysis of guar meal fractions. J. Agric. Food Chem. 2004, 52, 6492–6495. [Google Scholar] [CrossRef] [PubMed]
  16. Salehpour, M.; Qazvinian, K. Effects of feeding different levels of Guar meal on performance and blood metabolites in Holstein lactating cows. Sci. Pap. Anim. Sci. 2012, 55, 73–77. [Google Scholar]
  17. Bielecka, G.; Rubaj, J.; Korol, W. Ocena składu chemicznego i wartości odżywczej mączki guar. In Proceedings of the XLV Scientific Session of Group of Animal Nutrition of The Committee on Animal Sciences and Aquaculture Polish Academy of Sciences, Olsztyn, Poland, 21–22 June 2016; p. 230. (In Polish). [Google Scholar]
  18. Lee, J.T.; Bailey, C.A.; Cartwright, A.L. Guar meal germ and hull fractions differently affect growth performance and intestinal viscosity of broiler chickens. Poult. Sci. 2003, 82, 1589–1595. [Google Scholar] [CrossRef] [PubMed]
  19. Saeed, M.; Hassan, F.U.; Shah, Q.A.; Arain, M.A.; El-Hack, M.E.A.; Alagawany, M.; Dhama, K. Practical application of guar (Cyamopsis tetragonoloba L. Taub) meal in poultry nutrition. Adv. Anim. Vet. Sci. 2017, 5, 491–499. [Google Scholar] [CrossRef]
  20. Gharaei, M.A.; Dastar, B.; Nameghi, A.H.; Tabar, G.H.; Shams Shargh, M. Effects of Guar meal with and without β-mannanase enzymes on performance and immune response of broiler chicks. Int. Res. J. Appl. Basic Sci. 2012, 3, 2785–2793. [Google Scholar]
  21. Hussain, M.; Rehman, A.; Khalid, M. Feeding value of guar meal and the application of enzymes in improving nutritive value for broilers. Worlds Poult Sci. J. 2012, 68, 253–268. [Google Scholar] [CrossRef]
  22. Hassan, S.M. Effects of Guar meal, Guar gum and saponin rich Guar meal extract on productive performance of starter broiler chicks. Acad. J. 2013, 8, 2464–2469. [Google Scholar] [CrossRef]
  23. Salma, H.A.-H.; Basyony, M.M.; Hasan, A.A. Effects of partial replacement of soybean meal with different levels of guar korma meal on growth performance, carcass traits and blood metabolism of broiler chickens. Asian J. Poult. Sci. 2015, 9, 112–122. [Google Scholar] [CrossRef]
  24. Milczarek, A.; Pachnik, M.; Osek, M.; Świnarska, R. Rearing Performance and Carcass Composition of Broiler Chickens Fed Rations Containing Guar Meal at Graded Levels. Agriculture 2022, 12, 1385. [Google Scholar] [CrossRef]
  25. Souza, M.D.; Eeckhaut, V.; Goossens, E.; Ducatelle, R.; Nieuwerburgh, F.V.; Poulsen, K.; Baptista, A.A.S.; Bracarense, A.P.F.R.L.; Immerseel, F.V. Guar gum as galactomannan source induces dysbiosis and reduces performance in broiler chickens and dietary β-mannanase restores the gut homeostasis: β-mannanase restores mannan-induced dysbiosis. Poult. Sci. 2023, 102, 102810. [Google Scholar] [CrossRef]
  26. Karpiesiuk, K.; Kozera, W.; Daszkiewicz, T.; Lipiński, K.; Kaliniewicz, J.; Okorski, A.; Pszczółkowska, A.; Żak, G.; Matusevičius, P. The effect of dietary supplementation with guar (Cyamopsis tetragonoloba) meal protein on the quality and chemical composition of pig carcasses. Ann. Anim. Sci. 2023, 23, 1095–1104. [Google Scholar] [CrossRef]
  27. Mishra, A.; Sarkar, S.K.; Ray, S.; Haldar, S. Effects of partial replacement of soybean meal with roasted guar korma and supplementation of mannanase on performance and carcass traits of commercial broiler chickens. Vet. World. 2013, 6, 693–697. [Google Scholar] [CrossRef]
  28. Şara, A.; Benţea, M.I. The Effects of Guar Meal on Production Performances in Broiler Chicken. Bull. UASVM Anim. Sci. Biotechnol. 2015, 72, 266–267. [Google Scholar] [CrossRef][Green Version]
  29. Wankhede, S.M.; Deshmukh, A.D.; Rekhate, D.H.; Manwar, S.J.; Ali, S.S.; Korde, J.P. Effect of different levels of roasted guar (Cyamopsis tetragonoloba L.) korma with or without ß-mannanase supplementation on performance and carcass traits of broilers. Indian J. Anim. Res. 2019, 53, 1469–1474. [Google Scholar] [CrossRef]
  30. Haribhau, G.A.; Lakshmi, K.V.; Alexander, G.; Gurram, S. Effect of supplementation of multiple enzymes to the diets containing variable protein sources on performance and nutrient utilization in commercial broilers. Trop. Anim. Health Prod. 2020, 52, 1739–1744. [Google Scholar] [CrossRef] [PubMed]
  31. Lee, J.T.; Connor-Appleton, S.; Bailey, C.A.; Cartwright, A.L. Effects of guar meal byproduct with and without beta-mannanase Hemicell on broiler performance. Poult. Sci. 2005, 84, 1261–1267. [Google Scholar] [CrossRef] [PubMed]
  32. Hafeez, A.; Haris, M.; Naz, S.; Alrefaei, A.F.; Khan, R.U.; Momand, N.K.; Ibiwoye, D.I. Impact of dietary enzyme and fermentation treatments on the performance, digestibility, and biochemical profile of broilers consuming guar meal. Ital. J. Anim. Sci. 2025, 24, 885–893. [Google Scholar] [CrossRef]
  33. Kato, T.; Seixas, T.S.; Dias, L.F.; Coró, A.A.G.; Pedrão, M.R. Biochemical and technological view of broiler chicken meat with pectoral. Ciência Rural Santa Maria 2020, 50, e20190991. [Google Scholar] [CrossRef]
  34. AOAC International. Official Methods of Analysis of AOAC International. Current Through Revision 4, 18th ed.; AOAC International: Gaithersburg, MR, USA, 2011. [Google Scholar]
  35. Commission Regulation (EC). High Performance Liquid Chromatography Method with Fluorescence Detection (HPLC-FLD). No 152/2009 (Annex III, G); Commission Regulation (EC): Brussels, Belgium, 2009. [Google Scholar]
  36. BN-90/79160-62; Colorimetric Method. In Tannin Determination. Polski Komitet Normalizacyjny: Warsaw, Poland, 1990.
  37. Smith, C.; van Megen, W.; Twaalfhoven, L.; Hitchcock, C. The determination of trypsin inhibitor levels in foodstuffs. J. Sci. Food Agric. 1980, 31, 341–350. [Google Scholar] [CrossRef]
  38. Directive 2010/63/EU of the European Parliament and of the Council of 22 September 2010 on the protection of animals used for scientific purposes. Off. J. Eur. Union 2010, 276, 33–79.
  39. Council Regulation (EC) No 1099/2009 of 24 September 2009 on the protection of animals at the time of killing. Off. J. Eur. Union 2009, 303, 1–30.
  40. WPSA. European Tables of Energy Values for Poultry Feedstuffs; Spelderholt Centre for Poultry Research: Beekbergen, The Netherlands, 1989. [Google Scholar]
  41. Ziołecki, J.; Doruchowski, W. Slaughter Value Evaluation Methods; COBRD Own Publishing Service: Poznań, Poland, 1989. [Google Scholar]
  42. Zawistowski, S. Histological Technique: Histology and Basics of Histopathology; Wyd. 4. PZWL: Warszawa, Poland, 1983; 544p. (In Polish) [Google Scholar]
  43. Grau, R.; Hamm, R. Eine einfache Methode zur Bestimmung der Wasserbindung im Muskel. Naturwissenschaften 1953, 40, 29. [Google Scholar] [CrossRef]
  44. Pohja, M.S.; Niinivaara, F.P. Die Bestimmung der Wasserbindung des Fleisches mittels der Konstantdruckmethode. Fleischwirtschaft 1957, 9, l93–195. [Google Scholar]
  45. CIE. Draft Standard 014-4.3/E: Colorimetry—Part. 4: CIE 1976 L*a*b* Colour Space; CIE Central Bureau: Vienna, Austria, 2007; p. 8. [Google Scholar]
  46. StatSoft, Inc. Statistica (Data Analysis Software System), Version 13.3; TIBCO Software Inc.: Palo Alto, CA, USA, 2017. [Google Scholar]
  47. Song, Y.S.; Frias, J.; Martinez-Villaluenga, C.; Vidal-Valdeverde, C.; Gonzalez de Mejia, E. Immunoreactivity reduction of soybean meal by fermentation, effect on amino acid composition and antigenicity of commercial soy products. Food Chem. 2008, 108, 571–581. [Google Scholar] [CrossRef]
  48. Nasrala, M.M.; Waly, A.H.; Habib, H.H.; Abdel Magied, H.A.; Assaf, I.M.M.; Ouda, M.M. Effects of dietary inclusion of guar korma meal levels with or without enzyme supplementation on performance of local strain chicks (Anshas). Egypt. J. Nutr. Feed. 2015, 18, 323–331. [Google Scholar] [CrossRef]
  49. Çalişlar, S. Effects of dietary guar meal with or without beta-mannanase on performance and egg quality traits in laying hens. Turk. J. Vet. Anim. Sci. 2020, 44, 511–520. [Google Scholar] [CrossRef]
  50. Larhang, R.A.; Torki, M. Evaluating Performance of Broilers Fed Guar Mealincluded diet Supplemented by Enzyme. In Researches of the First International Conference; Babylon and Razi Universities: Babylon, Iraq, 2011; pp. 243–247. [Google Scholar]
  51. Mohayayee, M.; Karimi, K. The effect of guar meal (germ fraction) and β-mannanase enzyme on growth performance and plasma lipids in broiler chickens. Afr. J. Biotechnol. 2012, 11, 8767–8773. [Google Scholar] [CrossRef]
  52. Rajasekhar, K.V.; Prakash, B.; Vijaya Lakshmi, K.; Rama Rao, S.V.; Raju, M.V.L.N. Effect of feeding diet with alternate protein sources and quality protein maize on performance and nutrient utilization in broiler chickens. Trop. Anim. Health Prod. 2020, 52, 2297–2302. [Google Scholar] [CrossRef]
  53. Gheisarai, A.A.; Zavareh, M.S.; Toghyani, M.; Bahadoran, R.; Toghyani, M. Application of incremental program, an effective way to optimize dietary inclusion rate of guar meal in broiler chicks. Livest. Sci. 2011, 140, 117–123. [Google Scholar] [CrossRef]
  54. Afrouzi, H.N.; Rezaei, M.; Taghizadeh, V. Effect of guar meal and Hemicell enzyme on performance and carcass characteristics in broiler chicks. Anim. Prod. Res. 2015, 4, 75–87. [Google Scholar]
  55. Milczarek, A.; Pachnik, M.; Osek, M.; Świnarska, R. Evaluation of the Growth Performance, Carcass Composition and Meat Quality of Broiler Chickens Fed Rations Containing Guar Meal and Enzyme Preparations. Anim. Sci. Genet. 2023, 19, 27–49. [Google Scholar] [CrossRef]
  56. El-Masry, K.N.; Ragaa, N.M.; Tony, M.A.; El-Banna, R.A. Effect of Dietary Inclusion of Guar Meal with or without β-mannanase Supplementation on Broiler Performance and Immunity. Pak. J. Nutr. 2017, 16, 341–350. [Google Scholar] [CrossRef][Green Version]
  57. Reddy, E.T.; Reddy, V.R.; Preetham, V.C.; Rao, S.V.R.; Rao, D.S. Effect of dietary inclusion of graded levels of toasted guar meal on performance, nutrient digestibility, carcass traits, and serum parameters in commercial broiler chickens. Trop. Anim. Health Prod. 2017, 49, 1409–1414. [Google Scholar] [CrossRef]
  58. Siva, M.; Purushothaman, M.R.; Senthilkumar, S. Effect of Raw and Toasted Guar Meal Feeding on Production Performance of Broiler Chicken. Indian Vet. J. 2018, 95, 12–15. [Google Scholar]
  59. Karpiesiuk, K.; Kozera, W.; Otrocka-Domagała, I.; Gesek, M.; Woźniakowska, A.; Okorski, A. Effect of feeding guar (Cyamopsis tetragonoloba) meal on selected biochemical indices in blood and morphology liver of pigs. J. Elem. 2023, 28, 705–716. [Google Scholar] [CrossRef]
  60. Trojan, M.; Niewiarowicz, A. Method of identifying of water broiler chicken meat and observations on the frequency of this anomaly. Post. Drob. 1971, 13, 47–50. [Google Scholar]
  61. Gardzielewska, J.; Jakubowska, M.; Buryta, B.; Karamucki, T.; Natalczyk-Szymkowska, W. Relationship between pH1 and the quality of broiler meat. Med. Weter. 2003, 59, 426–428. [Google Scholar]
  62. Mehaffey, J.M.; Pradhan, S.P.; Meullenet, J.F.; Emmert, J.L.; Mckee, S.R.; Owens, C.M. Meat quality evaluation of minimally aged broiler breast fillets from five commercial genetic strains. Poult. Sci. 2006, 85, 902–908. [Google Scholar] [CrossRef] [PubMed]
  63. Garcia, R.G.; de Freitas, L.W.; Schwingel, A.W.; Farias, R.M.; Caldara, F.R.; Gabriel, A.M.A.; Graciano, J.D.; Komiyama, C.M.; Almeida Paz, I.C.L. Incidence and physical properties of PSE chicken meat in a commercial processing plant. Brazil. J. Poultry Sci. 2010, 12, 233–237. [Google Scholar] [CrossRef]
  64. Dal Bosco, A.; Ruggeri, S.; Mattioli, S.; Mugnai, C.; Sirri, F.; Castellini, C. Effect of faba bean (Vicia faba var. minor) inclusion in starter and growing diet on performance, carcass and meat characteristics of organic slow-growing chickens. Ital. J. Anim. Sci. 2013, 12, 472–478. [Google Scholar] [CrossRef][Green Version]
  65. Liang, R.; Li, N.; Wang, R.; Zhu, L.; Mao, Y.; Niu, L. The establishment of evaluating PSE-like chicken meat in summer. Food Ferment. Ind. 2014, 40, 231–237. [Google Scholar] [CrossRef]
  66. Petracci, M.; Cavani, C. Muscle growth and poultry meat quality issues. Nutrients 2012, 4, 1–12. [Google Scholar] [CrossRef] [PubMed]
  67. Qiao, M.; Fletcher, D.L.; Smith, D.P.; Northcutt, J.K. The effect of broiler breast meat color on pH, moisture, water holding capacity, and emulsification capacity. Poultry Sci. 2001, 80, 676–678. [Google Scholar] [CrossRef] [PubMed]
Figure 1. Liver histopathology of the control chickens (group C). (a) Correct liver structure. Hepatic lobules with hepatocyte cords radially descend towards the central vein. (b) Hepatic artery, vein, and bile duct surrounded by scant connective tissue. (c) Sparse small lipid droplets in hepatocytes adjacent to portal triads in the peripheral lobular zone. (d) Single small droplets absorb the Sudan stain in the sparse hepatocytes of the peripheral zone.
Figure 1. Liver histopathology of the control chickens (group C). (a) Correct liver structure. Hepatic lobules with hepatocyte cords radially descend towards the central vein. (b) Hepatic artery, vein, and bile duct surrounded by scant connective tissue. (c) Sparse small lipid droplets in hepatocytes adjacent to portal triads in the peripheral lobular zone. (d) Single small droplets absorb the Sudan stain in the sparse hepatocytes of the peripheral zone.
Agriculture 15 02171 g001
Figure 2. Liver histopathology of chickens in the GM1 group. (a) Portal triad with sections of arteries, veins, and branching bile ducts. (b) Central zone of the lobule with hepatocyte cords surrounding the central vein. (c) Small sparse droplets absorb the Sudan stain in single hepatocytes, mainly in the peripheral lobular zone. (d) Small vacuoles in hepatocytes adjacent to the portal triads.
Figure 2. Liver histopathology of chickens in the GM1 group. (a) Portal triad with sections of arteries, veins, and branching bile ducts. (b) Central zone of the lobule with hepatocyte cords surrounding the central vein. (c) Small sparse droplets absorb the Sudan stain in single hepatocytes, mainly in the peripheral lobular zone. (d) Small vacuoles in hepatocytes adjacent to the portal triads.
Agriculture 15 02171 g002aAgriculture 15 02171 g002b
Figure 3. Liver histopathology of chickens in the GM2 group. (a) Oval cytoplasmic vacuoles in single hepatocytes in the central zone of the hepatic lobule. (b) Hepatocytes in the peripheral zone, with clearly marked cytoplasmic vacuoles. (c) Reaction of neutral lipids in the peripheral zone of the hepatic lobule. (d) Sudan stain absorbing droplets in the hepatic cell cytoplasm in the peripheral lobular zone.
Figure 3. Liver histopathology of chickens in the GM2 group. (a) Oval cytoplasmic vacuoles in single hepatocytes in the central zone of the hepatic lobule. (b) Hepatocytes in the peripheral zone, with clearly marked cytoplasmic vacuoles. (c) Reaction of neutral lipids in the peripheral zone of the hepatic lobule. (d) Sudan stain absorbing droplets in the hepatic cell cytoplasm in the peripheral lobular zone.
Agriculture 15 02171 g003
Figure 4. Liver histopathology of chickens in the GM3 group. (a) Correct microscopic structure of the liver. (b) Hepatic cells forming irregular cords surrounding the central vein. (c) Deposits of fine Sudan stain-absorbing droplets present in the cytoplasm of hepatocytes. (d) Reaction to neutral lipids is present only in hepatocytes of the peripheral lobular zone.
Figure 4. Liver histopathology of chickens in the GM3 group. (a) Correct microscopic structure of the liver. (b) Hepatic cells forming irregular cords surrounding the central vein. (c) Deposits of fine Sudan stain-absorbing droplets present in the cytoplasm of hepatocytes. (d) Reaction to neutral lipids is present only in hepatocytes of the peripheral lobular zone.
Agriculture 15 02171 g004
Table 1. Content of basal nutrients, amino acids and anti-nutritional factors in protein feeds.
Table 1. Content of basal nutrients, amino acids and anti-nutritional factors in protein feeds.
ItemRaw Guar MealMicrolamRoasted Guar MealSoybean Meal (SBM)
Basal nutrients (%)
dry matter90.1190.4390.2390.25
crude fibre7.883.484.694.22
crude protein47.053.854.447.4
crude ash4.544.764.726.60
crude fat8.229.138.152.25
Amino acids (g/kg)
alanine17.419.619.521.0
arginine60.171.471.933.6
cysteine5.386.596.64.13
phenylalanine17.520.420.124.2
glycine23.125.625.419.5
histidine11.713.613.612.0
isoleucine13.812.015.922.2
leucine25.729.929.437.4
lysine20.223.523.429.6
methionine5.266.336.636.78
proline15.618.418.224.0
serine21.424.624.424.4
threonine13.715.515.218.8
tryptophan6.587.247.206.02
tyrosine16.117.917.916.8
valine16.018.718.523.1
Anti-nutritional factors (g/kg)
trypsin inhibitors1.201.101.001.20
tannins11.807.6211.215.4
Table 2. Composition and nutritive value of Starter mixtures.
Table 2. Composition and nutritive value of Starter mixtures.
ItemGroups *
CGM1GM2GM3
Raw materials and feed additives
Maize meal50.3250.8151.9651.93
Soybean meal41.0034.8034.0033.80
Guar meal *-6.006.006.00
Rapeseed oil4.904.554.204.40
Lysine 98.5%-0.030.030.05
DL-methionine 99%0.210.220.210.22
Limestone1.281.291.301.30
2-Ca phosphate1.441.441.441.44
NaCl0.350.360.360.36
Premix **0.500.500.500.50
Total100.00100.00100.00100.00
Calculated nutrients per 1 kg of rations:
ME (MJ)12.8512.8412.8412.85
crude protein (g)224.5224.8225.1224.9
crude fibre (g)36.1039.0436.2536.59
lysine (g)12.7812.6012.6012.53
methionine + cysteine (g)9.589.469.529.47
Ca (g)9.579.559.569.56
P (g)6.836.916.896.88
P available (g)4.424.414.404.40
Na (g)1.631.661.661.66
* GM1—raw guar meal, GM2 –Microlam and GM3—roasted guar meal. ** One kilogram of starter premix contained: vitamin A—2,400,000 IU; D3—900,000 IU; E—9000 IU; K—700 mg; B1—500 mg; B2—1200 mg; B6—800 mg; B12—6000 g; PP—8000 mg; pantotenian calcium—2600 mg; B9—300 mg; H—50,000 g; B4—70,000 mg; microelements: Cu—3500 mg; Fe—15,000 mg; J—350 mg; Mn—20,000 mg; Zn—20,000 mg; Se—55 mg; antioxidant.
Table 3. Composition and nutritive value of Grower mixtures.
Table 3. Composition and nutritive value of Grower mixtures.
ItemGroups *
CGM1GM2GM3
Raw materials and feed additives
Maize meal55.7156.0057.5057.29
Soybean meal35.2029.0028.0027.90
Guar meal *-6.006.006.00
Rapeseed oil5.305.154.634.90
Lysine 98.5%0.050.100.110.14
DL-methionine 99%0.210.210.210.21
Limestone1.331.341.341.35
2-Ca phosphate1.331.331.341.34
NaCl0.370.370.370.37
Premix **0.500.500.500.50
Total100.00100.00100.00100.00
Calculated nutrients per 1 kg of rations:
ME (MJ)13.1613.2013.1713.19
crude protein (g)205.1205.3204.9205.1
crude fibre (g)34.6837.4834.7935.12
lysine (g)11.7811.7911.8411.89
methionine + cysteine (g)9.008.788.938.79
Ca (g)9.339.319.309.33
P (g)6.416.486.496.47
P available (g)4.064.054.064.06
Na (g)1.691.681.681.68
* GM1—raw guar meal, GM2 –Microlam and GM3—roasted guar meal. ** One kilogram of grower premix contained: vitamin A—2,000,000 IU; D3—800,000 IU; E—7000 IU; K—600 mg; B1—360 mg; B2—1000 mg; B6—700 mg; B12—6000 g; PP—6000 mg; pantotenian calcium—2400 mg; B9—200 mg; H—40,000 g; B4—70,000 mg; microelements: Cu—3000 mg; Fe—12,000 mg; J—300 mg; Mn—18,000 mg; Zn—20,000 mg; Se—50 mg; antioxidant.
Table 4. Composition and nutritive value of Finisher mixtures.
Table 4. Composition and nutritive value of Finisher mixtures.
ItemGroups *
CGM1GM2GM3
Raw materials and feed additives
Maize meal57.9058.4859.7659.74
Soybean meal32.6926.4025.5025.35
Guar meal *-6.006.006.00
Rapeseed oil5.855.505.105.25
Lysine 98.5%-0.050.060.08
DL-methionine 99%0.130.130.130.13
Limestone1.301.311.311.31
2-Ca phosphate1.261.261.271.27
NaCl0.370.370.370.37
Premix **0.500.500.500.50
Total100.00100.00100.00100.00
Calculated nutrients per 1 kg of rations:
ME (MJ)13.4113.4113.4013.40
crude protein (g)195.1195.0195.0195.0
crude fibre (g)34.0436.9634.1634.53
lysine (g)10.6310.6310.6510.65
methionine + cysteine (g)7.967.757.897.77
Ca (g)8.988.968.958.95
P (g)6.176.246.256.24
P available (g)3.853.843.853.85
Na (g)1.691.681.681.68
* GM1—raw guar meal, GM2 –Microlam and GM3—roasted guar meal. ** One kilogram of finisher premix contained: vitamin A—2,000,000 IU; D3—800,000 IU; E—7000 IU; K—600 mg; B1—360 mg; B2—1000 mg; B6—700 mg; B12—6000 g; PP—6000 mg; pantotenian calcium—2400 mg; B9—200 mg; H—40,000 g; B4—70,000 mg; microelements: Cu—3000 mg; Fe—12,000 mg; J—300 mg; Mn—18,000 mg; Zn—20,000 mg; Se—50 mg; antioxidant.
Table 5. Rearing results of broiler chickens.
Table 5. Rearing results of broiler chickens.
ItemGroupSEMp-Value
CGM1GM2GM3
Body weight (g)
1 day47.547.548480.0990.863
21 day907 a907 a890 b905 a2.0640.001
35 day2141 a2096 b2063 b2075 b49.4680.001
42 day2627 ab2646 a2583 b2593 ab18.8310.001
Feed intake (g)
1–21 days525453.5530.4600.475
22–35 days1361391381360.9320.545
36–42 days152 b160 a161 a153 b1.4450.029
1–42 days96.710099.697.30.6270.129
Feed conversion ratio (kg/kg)
1–21 days1.321.341.321.300.0070.170
22–35 days1.651.671.671.690.0220.891
36–42 days2.172.112.112.080.0180.313
1–42 days1.631.651.641.640.0080.952
SEM—standard error of mean. ab—means with different superscripts within a row are significantly different at p ≤ 0.05.
Table 6. Slaughter value of broiler chickens.
Table 6. Slaughter value of broiler chickens.
ItemGroupSEMp-Value
CGM1GM2GM3
Body weight before slaughter (g)2622 ab2670 a2617 ab2570 b43.7320.046
Cold carcass weight (g)1942 ab1986 a1950 ab1885 b33.3440.047
Dressing percentage (%)74.05 ab74.35 a74.50 a73.35 b0.1970.049
Share in cold carcass (%)
Muscles total52.9753.0252.0153.420.4550.755
including:
breast31.5931.1030.5731.690.4080.778
thigh13.0113.2812.7013.140.1980.784
drumstick8.378.638.738.592.9470.492
Abdominal fat9.519.1410.559.130.3430.443
Skin with subcutaneous fat1.30 ab1.29 ab1.33 a1.13 b0.0910.022
Share in body weight (%)
Giblets total share in body weight
before slaughter (%)
4.684.244.504.520.0890.416
including:
heart0.610.580.590.600.0110.865
gizzard1.831.651.731.870.0480.360
liver2.212.022.152.040.0740.748
SEM—standard error of mean. ab—means with different superscripts within a row are significantly different at p ≤ 0.05.
Table 7. Physical properties of breast muscles.
Table 7. Physical properties of breast muscles.
ItemGroupsSEMp-Value
CGM1GM2GM3
pH16.27 a6.15 ab6.20 a6.05 b0.0290.037
pH245.595.615.605.510.0360.778
WHC (%)12.6710.8413.4913.050.6160.482
L*50.6750.1549.0749.630.4230.536
a*2.943.063.683.190.1870.340
b*2.872.992.983.120.2380.597
L*—lightness, a*—redness, b*—yellowness, WHC—water holding capacity, SEM—standard error of mean. ab—means with different superscripts within a row are significantly different at p ≤ 0.05.
Table 8. Proximate composition of breast muscles.
Table 8. Proximate composition of breast muscles.
ItemGroupsSEMp-Value
CGM1GM2GM3
dry matter25.5325.9725.6025.380.1110.329
crude ash1.111.161.141.130.0120.597
crude protein23.0723.3522.9423.060.0760.670
crude fat1.291.411.391.110.0710.237
Broiler chicken muscles from groups GM1 and GM2 characterised more amount dry mater, including CP, CF and CA in comparison to muscles control and GM3 groups.
Disclaimer/Publisher’s Note: The statements, opinions and data contained in all publications are solely those of the individual author(s) and contributor(s) and not of MDPI and/or the editor(s). MDPI and/or the editor(s) disclaim responsibility for any injury to people or property resulting from any ideas, methods, instructions or products referred to in the content.

Share and Cite

MDPI and ACS Style

Milczarek, A.; Pachnik, M.; Osek, M.; Świnarska, R. The Influence of Various Guar Meal Types on Growth Performance, Carcass Composition and Histology of the Liver of Broiler Chickens. Agriculture 2025, 15, 2171. https://doi.org/10.3390/agriculture15202171

AMA Style

Milczarek A, Pachnik M, Osek M, Świnarska R. The Influence of Various Guar Meal Types on Growth Performance, Carcass Composition and Histology of the Liver of Broiler Chickens. Agriculture. 2025; 15(20):2171. https://doi.org/10.3390/agriculture15202171

Chicago/Turabian Style

Milczarek, Anna, Magdalena Pachnik, Maria Osek, and Renata Świnarska. 2025. "The Influence of Various Guar Meal Types on Growth Performance, Carcass Composition and Histology of the Liver of Broiler Chickens" Agriculture 15, no. 20: 2171. https://doi.org/10.3390/agriculture15202171

APA Style

Milczarek, A., Pachnik, M., Osek, M., & Świnarska, R. (2025). The Influence of Various Guar Meal Types on Growth Performance, Carcass Composition and Histology of the Liver of Broiler Chickens. Agriculture, 15(20), 2171. https://doi.org/10.3390/agriculture15202171

Note that from the first issue of 2016, this journal uses article numbers instead of page numbers. See further details here.

Article Metrics

Back to TopTop