Synergistic Insecticidal Effect of Photorhabdus luminescens and Bacillus thuringiensis against Fall Armyworm (Spodoptera frugiperda)
Abstract
1. Introduction
2. Materials and Methods
2.1. Insect Rearing
2.2. Strains and Medium Culture Conditions
2.3. Oral Toxicity
2.4. Leaf Consumption
2.5. Hemolymph Assay
2.6. Preparation and Sectioning of Midgut Tissues of Spodoptera frugiperda
2.7. The Phylogenetic Analysis and Comparison of Pore-Forming Proteins between the Commercialized Strain Pl ATCC 29,999 from the United States and the Indigenous Strain Pl 2103-UV
2.8. Statistical Analysis
3. Results
3.1. Oral Toxicity
3.1.1. The Oral Toxicity of Photorhabdus luminescens ATCC 29,999 and Photorhabdus luminescens 2103-UV against Spodoptera frugiperda
3.1.2. Sublethal Effects of Photorhabdus luminescens ATCC 29,999 and Photorhabdus luminescens 2103-UV on Spodoptera frugiperda
3.1.3. The Oral Toxicity of Different Mixing Ratios (Pl:Bt) of 1:1, 1:3, and 1:5 for Photorhabdus luminescens ATCC 29,999, Photorhabdus luminescens 2103-UV, and Bacillus thuringiensis subsp. kurstaki against Spodoptera frugiperda
3.1.4. The Relationship between the Bacillus thuringiensis subsp. kurstaki Concentration in the Mixed Solution and the Insecticidal Effect
3.1.5. The Effects of Different Mixing Ratios (Pl:Bt) of 1:1, 1:3, and 1:5 of Photorhabdus luminescens ATCC 29,999, Photorhabdus luminescens 2103-UV, and Bacillus thuringiensis subsp. kurstaki on the Median Lethal Time (LT50) for Spodoptera frugiperda
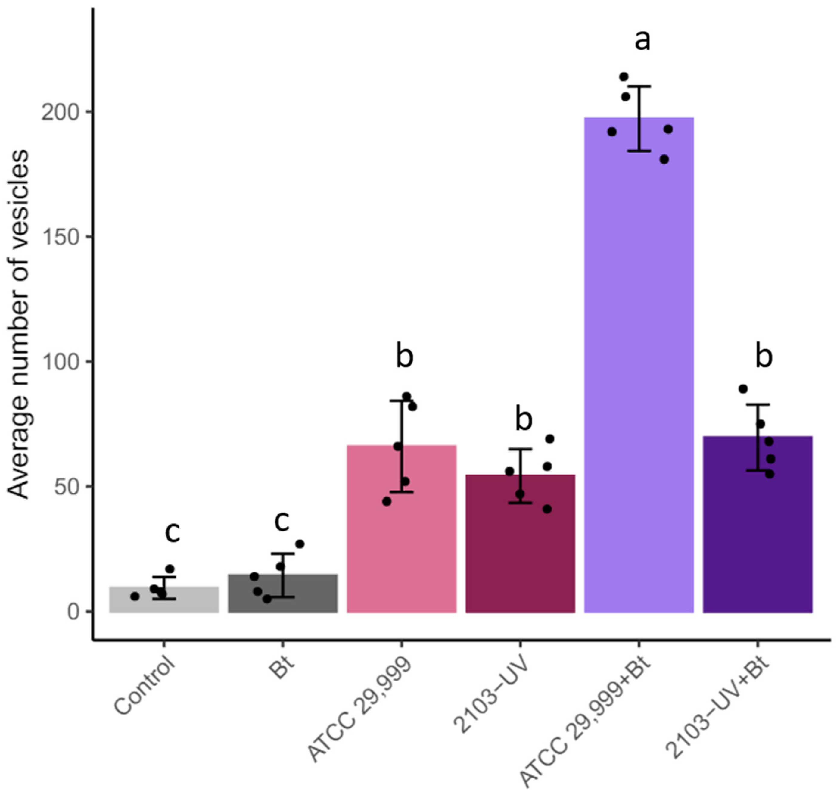
3.2. Infection in the Hemolymph of Spodoptera frugiperda
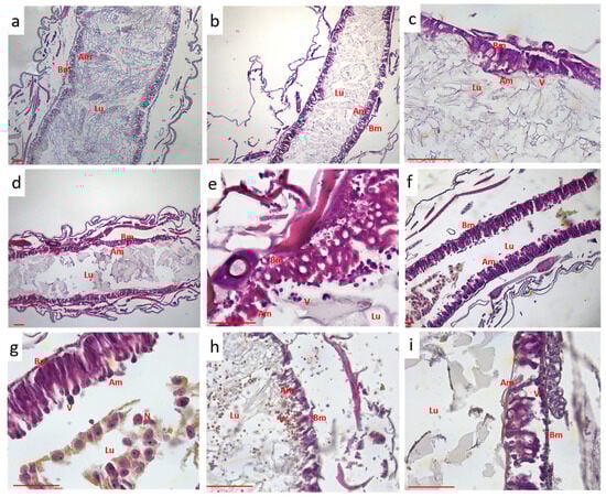
3.3. Histopathological Sectioning of the Midgut Tissue of Spodoptera frugiperda
3.4. Phylogenetic Analysis and Porin Comparison of Photorhabdus luminescens ATCC 29,999 and Photorhabdus luminescens 2103-UV
4. Discussion
4.1. The Synergistic Effect of Photorhabdus luminescens and Bacillus thuringiensis on Lepidopteran Pests
4.2. Differences between Photorhabdus luminescens ATCC 29,999 and Photorhabdus luminescens 2103-UV
4.3. The Potential of Photorhabdus luminescens as an Insecticide
5. Conclusions
Supplementary Materials
Author Contributions
Funding
Institutional Review Board Statement
Data Availability Statement
Acknowledgments
Conflicts of Interest
References
- Gao, A.; Chen, Y.; Luo, R.; Huang, J.; Zhao, Z.; Wang, W.; Wang, Y.; Dang, Z. Development status of the Chinese mango industry in 2018. Adv. Agric. Hortic. Entomol 2019, 1, 21–60. [Google Scholar]
- Liao, P.A.; Chang, H.H.; He, J.; Saeliw, K. Diversification of Marketing Strategies among Small Farms: Empirical Evidence from Family Farms in Taiwan. Agric. Econ. 2017, 63, 493–501. [Google Scholar] [CrossRef]
- Hou, Z.; Sun, Z.; Du, G.; Shao, D.; Zhong, Q.; Yang, S. Assessment of suitable cultivation region for Pepino (Solanum muricatum) under different climatic conditions using the MaxEnt model and adaptability in the Qinghai–Tibet plateau. Heliyon 2023, 9, e18974. [Google Scholar] [CrossRef] [PubMed]
- Lu, M.C.; Chen, H.R.; Wu, Y.H. Current status and future perspectives on natural enemies for pest control in Taiwan. Biocontrol Sci. 2018, 28, 953–960. [Google Scholar] [CrossRef]
- Rustia DJ, A.; Chiu, L.Y.; Lu, C.Y.; Wu, Y.F.; Chen, S.K.; Chung, J.Y.; Hsu, J.C.; Lin, T.T. Towards intelligent and integrated pest management through an AIoT-based monitoring system. Pest Manag. Sci. 2022, 78, 4288–4302. [Google Scholar] [CrossRef] [PubMed]
- Lee, C.H.; Liu, C.F.; Lin, Y.T.; Yain, Y.S.; Lin, C.H. New agriculture business model in Taiwan. Int. Food Agribus. Manag. Rev. 2020, 23, 773–782. [Google Scholar] [CrossRef]
- Lu, H.L.; Chang, Y.H.; Wu, B.Y. The compare organic farm and conventional farm to improve sustainable agriculture, ecosystems, and environment. Org. Agric. 2020, 10, 409–418. [Google Scholar] [CrossRef]
- Tsai, W.T. Status of herbicide use, regulatory management and case study of paraquat in Taiwan. Environ. Dev. Sustain. 2020, 22, 2673–2683. [Google Scholar] [CrossRef]
- Gupta, S.; Dikshit, A.K. Biopesticides: An ecofriendly approach for pest control. J. Biopestic. 2010, 3, 186–188. [Google Scholar]
- Ayilara, M.S.; Adeleke, B.S.; Akinola, S.A.; Fayose, C.A.; Omole, R.K.; Uthman, Q.O.; Babalola, O.O. Biopesticides as a promising alternative to synthetic pesticides: A case for microbial pesticides, phytopesticides, and nanobiopesticides. Front. Microbiol. 2023, 14, 1040901. [Google Scholar] [CrossRef]
- Duarte Neto, J.M.W.; Wanderley, M.C.D.A.; da Silva, T.A.F.; Marques, D.A.V.; da Silva, G.R.; Gurgel, J.F.; Oliveira, J.P.; Porto, A.L.F. Bacillus thuringiensis endotoxin production: A systematic review of the past 10 years. World J. Microbiol. Biotechnol. 2020, 36, 128. [Google Scholar] [CrossRef] [PubMed]
- De Oliveira, J.L.; Fraceto, L.F.; Bravo, A.; Polanczyk, R.A. Encapsulation strategies for Bacillus thuringiensis: From now to the future. J. Agric. Food Chem. 2021, 69, 4564–4577. [Google Scholar] [CrossRef] [PubMed]
- Kumar, P.; Kamle, M.; Borah, R.; Mahato, D.K.; Sharma, B. Bacillus thuringiensis as microbial biopesticide: Uses and application for sustainable agriculture. Egypt. J. Biol. Pest Control 2021, 31, 95. [Google Scholar] [CrossRef]
- Ortiz, A.; Sansinenea, E. Bacillus thuringiensis based biopesticides for integrated crop management. In Biopesticides, Volume 2: Advances in Bio-Inoculants; Rakshit, A., Meena, V., Abhilash, P.C., Sarma, B.K., Singh, H.B., Fraceto, L., Parihar, M., Kumar, A., Eds.; Elsevier: Amsterdam, The Netherlands; Woodhead Publishing: Sawston, UK, 2022; pp. 1–6. [Google Scholar]
- Storer, N.P.; Kubiszak, M.E.; King, J.E.; Thompson, G.D.; Santos, A.C. Status of resistance to Bt maize in Spodoptera frugiperda: Lessons from Puerto Rico. J. Invertebr. Pathol. 2012, 110, 294–300. [Google Scholar] [CrossRef] [PubMed]
- Huang, F.; Qureshi, J.A.; Meagher, R.L., Jr.; Reisig, D.D.; Head, G.P.; Andow, D.A.; Ni, X.; Kerns, D.; Buntin, G.D.; Niu, Y.; et al. Cry1F resistance in fall armyworm Spodoptera frugiperda: Single gene versus pyramided Bt maize. PLoS ONE 2014, 9, e112958. [Google Scholar] [CrossRef] [PubMed]
- Huang, F. Resistance of the fall armyworm, Spodoptera frugiperda, to transgenic Bacillus thuringiensis Cry1F corn in the Americas: Lessons and implications for Bt corn IRM in China. Insect Sci. 2021, 28, 574–589. [Google Scholar] [CrossRef] [PubMed]
- Lai, D.; Shao, X.; Xiao, W.; Fan, C.; Liu, C.; He, H.; Tian, S.; Kuang, S. Suppression of fruit decay and maintenance of storage quality of litchi by Photorhabdus luminescens Hb1029 treatment. Sci. Hortic. 2020, 259, 108836. [Google Scholar] [CrossRef]
- Wu, L.H.; Wang, Y.T.; Hsieh, F.C.; Hsieh, C. Insecticidal activity of Photorhabdus luminescens 0805-P2R against Plutella xylostella. Appl. Biochem. Biotechnol. 2020, 191, 191–200. [Google Scholar] [CrossRef] [PubMed]
- Dominelli, N.; Platz, F.; Heermann, R. The insect pathogen Photorhabdus luminescens protects plants from phytopathogenic Fusarium graminearum via chitin degradation. Appl. Environ. Microbiol. 2022, 88, e00645-22. [Google Scholar] [CrossRef]
- Muhammad, J.; Fathy, Z.; Moussa, S. Entomopathogenic bacteria Photorhabdus luminescens as natural enemy against the African migratory locust, Locusta migratoria migratorioides (Reiche & Fairmaire, 1849) (Orthoptera: Acrididae). Egypt. J. Biol. Pest Control 2022, 32, 92. [Google Scholar]
- Jambagi, S.R.; Somashekhar Gaddanakeri DK, N.; Chaitra, D.S. Entomology Redefined Current Trends and Future Directions Volume 1; Nadaf, A.R.M., Venukumar, S., Kumar, S.V., Thakar, P.K., Sangavi, R., Eds.; Elite Publishing House: Rohini, New Delhi, India, 2023; pp. 348–369. [Google Scholar]
- Jung, S.; Kim, Y. Synergistic effect of entomopathogenic bacteria (Xenorhabdus sp. and Photorhabdus temperata ssp. temperata) on the pathogenicity of Bacillus thuringiensis ssp. aizawai against Spodoptera exigua (Lepidoptera: Noctuidae). Environ. Entomol. 2006, 35, 1584–1589. [Google Scholar] [CrossRef]
- Wu, L.H.; Chen, Y.Z.; Hsieh, F.C.; Lai, C.T.; Hsieh, C. Combined effect of Photorhabdus luminescens and Bacillus thuringiensis subsp. aizawai on Plutella xylostella. Appl. Microbiol. Biotechnol. 2022, 106, 2917–2926. [Google Scholar] [CrossRef]
- Kim, Y.; Ahmed, S.; Stanley, D.; An, C. Eicosanoid-mediated immunity in insects. Dev. Comp. Immunol. 2018, 83, 130–143. [Google Scholar] [CrossRef] [PubMed]
- Seo, S.; Lee, S.; Hong, Y.; Kim, Y. Phospholipase A2 inhibitors synthesized by two entomopathogenic bacteria, Xenorhabdus nematophila and Photorhabdus temperata subsp. temperata. Appl. Microbiol. Biotechnol. 2012, 78, 3816–3823. [Google Scholar]
- Mollah MM, I.; Yeasmin, F.; Kim, Y. Benzylideneacetone and other phenylethylamide bacterial metabolites induce apoptosis to kill insects. J. Asia Pac. Entomol. 2020, 23, 449–457. [Google Scholar] [CrossRef]
- Sajjadian, S.M.; Kim, Y. Dual oxidase-derived reactive oxygen species against Bacillus thuringiensis and its suppressio1n by eicosanoid biosynthesis inhibitors. Front. Microbiol. 2020, 11, 528. [Google Scholar] [CrossRef] [PubMed]
- Sanda, N.B.; Hou, Y. The Symbiotic Bacteria—Xenorhabdus nematophila all and Photorhabdus luminescens Ho6 strongly affected the phenoloxidase activation of nipa palm hispid, Octodonta nipae (Coleoptera: Chrysomelidae) larvae. Pathogens 2023, 12, 506. [Google Scholar] [CrossRef] [PubMed]
- Negrisoli, A.S.; Garcia, M.S.; Negrisoli CR, B.; Bernardi, D.; da Silva, A. Efficacy of entomopathogenic nematodes (Nematoda: Rhabditida) and insecticide mixtures to control Spodoptera frugiperda (Smith, 1797) (Lepidoptera: Noctuidae) in corn crops. Crop Prot. 2010, 29, 677–683. [Google Scholar] [CrossRef]
- Boff, J.S.; Reis, A.C.; Patricia DS, G.; Pretto, V.E.; Garlet, C.G.; Melo, A.A.; Bernardi, O. The effect of synergistic compounds on the susceptibility of Euschistus heros (Hemiptera: Pentatomidae) and Chrysodeixis includens (Lepidoptera: Noctuidae) to pyrethroids. Environ. Entomol. 2022, 51, 421–429. [Google Scholar] [CrossRef]
- R Core Team. R: A Language and Environment for Statistical Computing; R Foundation for Statistical Computing: Vienna, Austria, 2024; Available online: https://www.R-project.org/ (accessed on 23 October 2023).
- Rossi, I.V.; Nunes MA, F.; Vargas-Otalora, S.; da Silva Ferreira, T.C.; Cortez, M.; Ramirez, M.I. Extracellular Vesicles during TriTryps infection: Complexity and future challenges. Mol. Immunol. 2021, 132, 172–183. [Google Scholar] [CrossRef]
- Fischer-Le Saux, M.; Viallard, V.; Brunel, B.; Normand, P.; Boemare, N.E. Polyphasic classification of the genus Photorhabdus and proposal of new taxa: P. luminescens subsp. luminescens subsp. nov.; P. luminescens subsp. akhurstii subsp. nov.; P. luminescens subsp. laumondii subsp. nov.; P. temperata sp. nov.; P. temperata subsp. temperata subsp. nov. and P. asymbiotica sp. nov. Int. J. Syst. Bacteriol. 1999, 49, 1645–1656. [Google Scholar]
- Achouak, W.; Heulin, T.; Pagès, J.M. Multiple facets of bacterial porins. FEMS Microbiol. Lett. 2001, 199, 1–7. [Google Scholar] [CrossRef] [PubMed]
- Andra, J.; Cock, H.D.; Garidel, P.; Howe, J.; Brandenburg, K. Investigation into the interaction of the phosphoporin PhoE with outer membrane lipids: Physicochemical characterization and biological activity. Med. Chem. 2005, 1, 537–546. [Google Scholar] [CrossRef]
- Benfarhat-Touzri, D.; Amira, A.B.; Khedher, S.B.; Givaudan, A.; Jaoua, S.; Tounsi, S. Combinatorial effect of Bacillus thuringiensis kurstaki and Photorhabdus luminescens against Spodoptera littoralis (Lepidoptera: Noctuidae). J. Basic Microbiol. 2014, 54, 1160–1165. [Google Scholar] [CrossRef] [PubMed]
- Nielsen-LeRoux, C.; Gaudriault, S.; Ramarao, N.; Lereclus, D.; Givaudan, A. How the insect pathogen bacteria Bacillus thuringiensis and Xenorhabdus/Photorhabdus occupy their hosts. Curr. Opin. Microbiol. 2012, 15, 220–231. [Google Scholar] [CrossRef]
- Parihar, R.D.; Dhiman, U.; Bhushan, A.; Gupta, P.K.; Gupta, P. Heterorhabditis and Photorhabdus symbiosis: A natural mine of bioactive compounds. Front. Microbiol. 2022, 13, 790339. [Google Scholar] [CrossRef]
- Santhoshkumar, K.; Mathur, C.; Mandal, A.; Dutta, T.K. A toxin complex protein from Photorhabdus akhurstii conferred oral insecticidal activity against Galleria mellonella by targeting the midgut epithelium. Microbiol. Res. 2021, 242, 126642. [Google Scholar] [CrossRef]
- Seo, S.Y.; Kim, Y.G. Study on development of novel biopesticides using entomopathogenic bacterial culture broth of Xenorhabdus and Photorhabdus. Korean J. Appl. Entomol. 2010, 49, 241–249. [Google Scholar] [CrossRef]
- Kalman, S.; Kiehne, K.L.; Cooper, N.; Reynoso, M.S.; Yamamoto, T. Enhanced production of insecticidal proteins in Bacillus thuringiensis strains carrying an additional crystal protein gene in their chromosomes. Appl. Environ. Microbiol. 1995, 61, 3063–3068. [Google Scholar] [CrossRef]
- Bishop, A.H. Expression of prtA from Photorhabdus luminescens in Bacillus thuringiensis enhances mortality in lepidopteran larvae by sub-cutaneous but not oral infection. J. Invertebr. Pathol. 2014, 121, 85–88. [Google Scholar] [CrossRef]
- Park, Y. Entomopathogenic bacterium, Xenorhabdus nematophila and Photorhabdus luminescens, enhances Bacillus thuringiensis Cry4Ba toxicity against yellow fever mosquito, Aedes aegypti (Diptera: Culicidae). J. Asia-Pac. Entomol. 2015, 18, 459–463. [Google Scholar] [CrossRef]
- Wu, L.H.; Kuo, T.H.; Chang, T.Y.; Hsieh, F.C.; Hsieh, C. Effective medium for Photorhabdus luminescens bioinsecticide production and exploration of optimal mixture with Bacillus thuringiensis subsp. aizawai against Plutella xylostella. J. Taiwan Inst. Chem. Eng. 2023, 105309. [Google Scholar] [CrossRef]
- Blackburn, M.; Golubeva, E.; Bowen, D.; Ffrench-Constant, R.H. A novel insecticidal toxin from Photorhabdus luminescens, toxin complex a (Tca), and its histopathological effects on the midgut of Manduca sexta. Appl. Environ. Microbiol. 1998, 64, 3036–3041. [Google Scholar] [CrossRef]
- Blackburn, M.B.; Domek, J.M.; Gelman, D.B.; Hu, J.S. The broadly insecticidal Photorhabdus luminescens toxin complex a (Tca): Activity against the Colorado potato beetle, Leptinotarsa decemlineata, and sweet potato whitefly, Bemisia tabaci. J. Insect Sci. 2005, 5, 32. [Google Scholar] [CrossRef] [PubMed]
- Chavez, C.V.; Jubelin, G.; Courties, G.; Gomard, A.; Ginibre, N.; Pages, S.; Taieb, F.; Girard, P.A.; Oswald, E.; Givaudan, A.; et al. The cyclomodulin Cif of Photorhabdus luminescens inhibits insect cell proliferation and triggers host cell death by apoptosis. Microbes Infect. 2010, 12, 1208–1218. [Google Scholar] [CrossRef] [PubMed]
- Daborn, P.J.; Waterfield, N.; Silva, C.P.; Au CP, Y.; Sharma, S.; Ffrench-Constant, R.H. A single Photorhabdus gene, makes caterpillars floppy (mcf), allows Escherichia coli to persist within and kill insects. Proc. Natl. Acad. Sci. USA 2002, 99, 10742–10747. [Google Scholar] [CrossRef] [PubMed]
- Dowling, A.J.; Daborn, P.J.; Waterfield, N.R.; Wang, P.; Streuli, C.H.; Ffrench-Constant, R.H. The insecticidal toxin Makes caterpillars floppy (Mcf) promotes apoptosis in mammalian cells. Cell. Microbiol. 2004, 6, 345–353. [Google Scholar] [CrossRef] [PubMed]
- Ferenci, T. Regulation by nutrient limitation. Curr. Opin. Microbiol. 1999, 2, 208–213. [Google Scholar] [CrossRef]
- Gerdes, E.; Upadhyay, D.; Mandjiny, S.; Bullard-Dillard, R.; Storms, M.; Menefee, M.; Holmes, L.D. Photorhabdus luminescens: Virulent properties and agricultural applications. Am. J. Agric. For. 2015, 3, 171–177. [Google Scholar] [CrossRef]
- Lang, A.E.; Schmidt, G.; Schlosser, A.; Hey, T.D.; Larrinua, I.M.; Sheets, J.J.; Mannherz, H.G.; Aktories, K. Photorhabdus luminescens toxins ADP-ribosylate actin and RhoA to force actin clustering. Science 2010, 327, 1139–1142. [Google Scholar] [CrossRef]
- Bartz, R.R.; Fu, P.; Suliman, H.B.; Crowley, S.D.; MacGarvey, N.C.; Welty-Wolf, K.; Piantadosi, C.A. Staphylococcus aureus sepsis induces early renal mitochondrial DNA repair and mitochondrial biogenesis in mice. PLoS ONE 2014, 9, e100912. [Google Scholar] [CrossRef] [PubMed]
- Nagai, S.; Dubrana, K.; Tsai-Pflugfelder, M.; Davidson, M.B.; Roberts, T.M.; Brown, G.W.; Varela, E.; Hediger, F.; Gasser, S.M.; Krogan, N.J. Functional targeting of DNA damage to a nuclear pore-associated SUMO-dependent ubiquitin ligase. Science 2008, 322, 597–602. [Google Scholar] [CrossRef] [PubMed]
- Palancade, B.; Liu, X.; Garcia-Rubio, M.; Aguilera, A.; Zhao, X.; Doye, V. Nucleoporins prevent DNA damage accumulation by modulating Ulp1-dependent sumoylation processes. Mol. Biol. Cell 2007, 18, 2912–2923. [Google Scholar] [CrossRef] [PubMed]
- Sharma, P.; Haycocks, J.R.; Middlemiss, A.D.; Kettles, R.A.; Sellars, L.E.; Ricci, V.; Piddock LJ, V.; Grainger, D.C. The multiple antibiotic resistance operon of enteric bacteria controls DNA repair and outer membrane integrity. Nat. Commun. 2017, 8, 1444. [Google Scholar] [CrossRef] [PubMed]
- Rodou, A.; Ankrah, D.O.; Stathopoulos, C. Toxins and secretion systems of Photorhabdus luminescens. Toxins 2010, 2, 1250–1264. [Google Scholar] [CrossRef] [PubMed]
- Dowling, A.; Waterfield, N.R. Insecticidal toxins from Photorhabdus bacteria and their potential use in agriculture. Toxicon 2007, 49, 436–451. [Google Scholar]
- Li, Y.; Hu, X.; Zhang, X.; Liu, Z.; Ding, X.; Xia, L.; Hu, S. Photorhabdus luminescens PirAB-fusion protein exhibits both cytotoxicity and insecticidal activity. FEMS Microbiol. Lett. 2014, 356, 23–31. [Google Scholar] [CrossRef] [PubMed]
- Nagata, S. Apoptotic DNA fragmentation. Exp. Cell Res. 2000, 256, 12–18. [Google Scholar] [CrossRef] [PubMed]
- Yang, G.; Dowling, A.J.; Gerike, U.; Ffrench-Constant, R.H.; Waterfield, N.R. Photorhabdus virulence cassettes confer injectable insecticidal activity against the wax moth. J. Bacteriol. 2006, 188, 2254–2261. [Google Scholar] [CrossRef]
- Wang, X.; Cheng, J.; Shen, J.; Liu, L.; Li, N.; Gao, N.; Jiang, F.; Jin, Q. Characterization of Photorhabdus virulence cassette as a causative agent in the emerging pathogen Photorhabdus asymbiotica. Sci. China Life Sci. 2022, 65, 618–630. [Google Scholar] [CrossRef]
- Zeng, T.; Jaffar, S.; Xu, Y.; Qi, Y. The intestinal immune defense system in insects. Int. J. Mol. Sci. 2022, 23, 15132. [Google Scholar] [CrossRef] [PubMed]
- Shokal, U.; Eleftherianos, I. Thioester-containing protein-4 regulates the Drosophila immune signaling and function against the pathogen Photorhabdus. J. Innate Immun. 2017, 9, 83–93. [Google Scholar] [CrossRef] [PubMed]
- Hazir, S.; Shapiro-Ilan, D.I.; Bock, C.H.; Leite, L.G. Thermo-stability, dose effects and shelf-life of antifungal metabolite-containing supernatants produced by Xenorhabdus szentirmaii. Eur. J. Plant Pathol. 2018, 150, 297–306. [Google Scholar] [CrossRef]
- Aatif, H.M.; Ijaz, M.; Mansha, M.Z.; Ikram, K.; Raheel, M.; Hanif CM, S.; Abbas, H.T. Impact of shelflife on pathogenicity of entomopathogenic bacteria and their metabolites against Meloidogyne incognita in egg plant. Fresenius Environ. Bull. 2021, 30, 9322–9327. [Google Scholar]
- Hsieh, T.T.; Chang, J.C.; Hsieh, C.; Tseng, J.T.; Lin, S.J.; Yang, C.J.; Hsieh, F.C.; Nai, Y.S. Miticidal activity of Photorhabdus luminescen s for controlling two spider mites, Tetranychus urticae and Tetranychus kanzawai, in Carica papaya. BioControl 2023, 68, 643–653. [Google Scholar] [CrossRef]
- Chang, Y.T.; Hsieh, C.; Wu, L.C.; Chang, H.C.; Kao, S.S.; Meng, M.; Hsieh, F.C. Purification and properties of an insecticidal metalloprotease produced by Photorhabdus luminescens strain 0805-P5G, the entomopathogenic nematode symbiont. Int. J. Mol. Sci. 2012, 14, 308–321. [Google Scholar] [CrossRef] [PubMed]
- Ullah, I.; Al-Ghamdi, K.M. A Thermal stable and proteinase-K resistant insecticidal toxins produced by Photorhabdus luminescens. Abasyn J. Life Sci. 2021, 4, 161–167. [Google Scholar] [CrossRef]
- Jang, E.K.; Ullah, I.; Kim, M.S.; Lee, K.Y.; Shin, J.H. Isolation and characterisation of the entomopathogenic bacterium, Photorhabdus temperata producing a heat stable insecticidal toxin. J. Plant Dis. Protect. 2011, 118, 178–184. [Google Scholar] [CrossRef]









| Organism Name | Stain | Assembly |
|---|---|---|
| Photorhabdus luminescens subsp. luminescens | DSM 3368 | GCA_001083805.1 |
| Photorhabdus luminescens subsp. mexicana | MEX47-22 | GCA_004348775.1 |
| Photorhabdus luminescens | ATCC 29,999 | GCA_900102985.1 |
| Photorhabdus luminescens | HIM3 | GCA_002204205.1 |
| Photorhabdus luminescens | LN2 | GCA_000767775.1 |
| Photorhabdus luminescens | H4 | GCA_002969005.1 |
| Photorhabdus luminescens | H1 | GCA_002968995.1 |
| Photorhabdus luminescens subsp. sonorensis | Caborca | GCA_006239335.1 |
| Photorhabdus luminescens | H3 | GCA_002968975.1 |
| Photorhabdus luminescens | H5 | GCA_002969055.1 |
| Photorhabdus luminescens | NBAII HiPL101 | GCA_000798635.2 |
| Photorhabdus luminescens | NBAII H75HRPL105 | GCA_000826725.2 |
| Treatment | Slope ± SE | LC50 (ppm) at 3 d | 95% CI | χ² | Synergistic Ratio |
|---|---|---|---|---|---|
| Pl, ATCC 29,999 | NA | NA | NA | NA | — |
| Pl, 2103-UV | NA | NA | NA | NA | — |
| Bt | 1.13 ± 0.28 | 164 | 49.78–277.96 | 2.71 | — |
| ATCC 29,999 + Bt (1:1) | 0.50 ± 0.34 | 154 | 79.50–7458.42 * | 0.51 | 1.06 |
| ATCC 29,999 + Bt (1:3) | 1.60 ± 0.38 | 99 | 57.28–139.92 | 6.24 | 1.66 |
| ATCC 29,999 + Bt (1:5) | 0.82 ± 0.35 | 83 | 1.26–159.59 | 1.16 | 1.98 |
| 2103-UV + Bt (1:1) | 0.65 ± 0.35 | 132 | 57.32–448.82 | 2.28 | 1.24 |
| 2103-UV + Bt (1:3) | 0.36 ± 0.34 | 62 | 43.7–83.22 | 0.83 | 2.65 |
| 2103-UV + Bt (1:5) | 0.71 ± 0.37 | 31 | 2.28–51.63 * | 0.93 | 5.29 |
| Strain | Nematode Host | Origin | Porin | Porin OmpA-F | Aquaporin | Glycoporin | Maltoporin | Aquaporin Z | Phosphoporin PhoE |
|---|---|---|---|---|---|---|---|---|---|
| P. luminescens | Heterorhabditis sp. | ||||||||
| MEX47-22 | H. bacteriophora | Mexico (Guanajuato) | + | A | + | + | |||
| HIM3 | H. indica | Mexico (Morelos) | + | A | + | + | + | ||
| DSM 3368 | H. bacteriophora | Australia (Victoria) | + | + | |||||
| ATCC 29,999 | H. bacteriophora | Australia (Victoria) | A–F | + | + | ||||
| Caborca | H. sonorensis | Mexico (Caborca) | + | A, C | + | ||||
| H7 | H. sp.* | India (Leh) | + | A | + | ||||
| 2103-UV | H. sp.* | Taiwan (Kaohsiung) | + | A | + | + | + | + | + |
Disclaimer/Publisher’s Note: The statements, opinions and data contained in all publications are solely those of the individual author(s) and contributor(s) and not of MDPI and/or the editor(s). MDPI and/or the editor(s) disclaim responsibility for any injury to people or property resulting from any ideas, methods, instructions or products referred to in the content. |
© 2024 by the authors. Licensee MDPI, Basel, Switzerland. This article is an open access article distributed under the terms and conditions of the Creative Commons Attribution (CC BY) license (https://creativecommons.org/licenses/by/4.0/).
Share and Cite
Chang, T.-Y.; Hsieh, C.; Wu, L.-H. Synergistic Insecticidal Effect of Photorhabdus luminescens and Bacillus thuringiensis against Fall Armyworm (Spodoptera frugiperda). Agriculture 2024, 14, 864. https://doi.org/10.3390/agriculture14060864
Chang T-Y, Hsieh C, Wu L-H. Synergistic Insecticidal Effect of Photorhabdus luminescens and Bacillus thuringiensis against Fall Armyworm (Spodoptera frugiperda). Agriculture. 2024; 14(6):864. https://doi.org/10.3390/agriculture14060864
Chicago/Turabian StyleChang, Ting-Yu, Chienyan Hsieh, and Li-Hsin Wu. 2024. "Synergistic Insecticidal Effect of Photorhabdus luminescens and Bacillus thuringiensis against Fall Armyworm (Spodoptera frugiperda)" Agriculture 14, no. 6: 864. https://doi.org/10.3390/agriculture14060864
APA StyleChang, T.-Y., Hsieh, C., & Wu, L.-H. (2024). Synergistic Insecticidal Effect of Photorhabdus luminescens and Bacillus thuringiensis against Fall Armyworm (Spodoptera frugiperda). Agriculture, 14(6), 864. https://doi.org/10.3390/agriculture14060864

