Diagnostic Performance of Simultaneous [18F]-FDG PET/MR for Assessing Endoscopically Active Inflammation in Patients with Ulcerative Colitis: A Prospective Study
Abstract
1. Introduction
2. Materials and Methods
2.1. Population and Study Design
2.2. Randomization and Masking
2.3. Endoscopic and Histologic Assessment
2.4. [18F]-FDG-PET/MR Enterography Protocol and Imaging Analysis
2.5. Statistical Analysis
3. Results
3.1. Patient’s Characteristics
3.2. Diagnostic Performance of [18F]-FDG-PET/MR Enterography in Study Arm Without Bowel Purgation
3.3. Diagnostic Performance of [18F]-FDG-PET/MR Enterography in Study Arm with Bowel Purgation
3.4. Grading of Endoscopic Disease Activity with SUVmaxQuot
3.5. Predicting Endoscopic Remission and Complete Remission with SUVmaxQuot
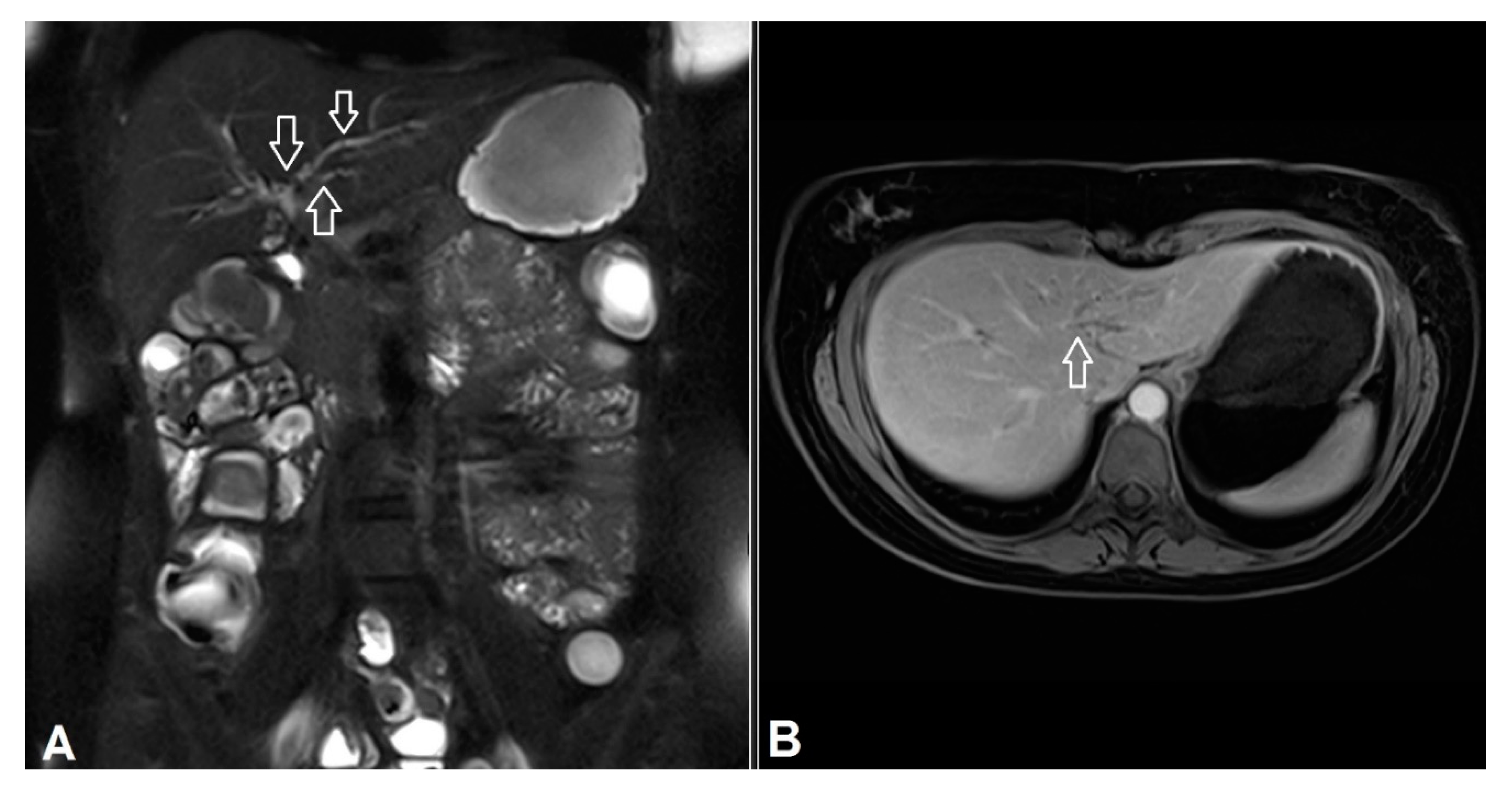
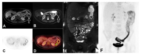
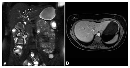
3.6. Extra-Intestinal Findings
4. Discussion
5. Conclusions
Supplementary Materials
Author Contributions
Funding
Conflicts of Interest
References
- Peyrin-Biroulet, L.; Sandborn, W.; Sands, B.E.; Reinisch, W.; Bemelman, W.; Bryant, R.V.; D’Haens, G.; Dotan, I.; Dubinsky, M.; Feagan, B.; et al. Selecting Therapeutic Targets in Inflammatory Bowel Disease (STRIDE): Determining Therapeutic Goals for Treat-to-Target. Am. J. Gastroenterol. 2015, 110, 1324. [Google Scholar] [CrossRef] [PubMed]
- Bryant, R.V.; Burger, D.C.; Delo, J.; Walsh, A.J.; Thomas, S.; von Herbay, A.; Buchel, O.C.; White, L.; Brain, O.; Keshav, S.; et al. Beyond endoscopic mucosal healing in UC: Histological remission better predicts corticosteroid use and hospitalisation over 6 years of follow-up. Gut 2016, 65, 408–414. [Google Scholar] [CrossRef] [PubMed]
- Bessissow, T.; Lemmens, B.; Ferrante, M.; Bisschops, R.; Van Steen, K.; Geboes, K.; Van Assche, G.; Vermeire, S.; Rutgeerts, P.; De Hertogh, G. Prognostic Value of Serologic and Histologic Markers on Clinical Relapse in Ulcerative Colitis Patients With Mucosal Healing. Am. J. Gastroenterol. 2012, 107, 1684. [Google Scholar] [CrossRef] [PubMed]
- Zenlea, T.; Yee, E.U.; Rosenberg, L.; Boyle, M.; Nanda, K.S.; Wolf, J.L.; Falchuk, K.R.; Cheifetz, A.S.; Goldsmith, J.D.; Moss, A.C. Histology Grade Is Independently Associated With Relapse Risk in Patients With Ulcerative Colitis in Clinical Remission: A Prospective Study. Am. J. Gastroenterol. 2016, 111, 685. [Google Scholar] [CrossRef] [PubMed]
- Buisson, A.; Gonzalez, F.; Poullenot, F.; Nancey, S.; Sollellis, E.; Fumery, M.; Pariente, B.; Flamant, M.; Trang-Poisson, C.; Bonnaud, G.; et al. Comparative Acceptability and Perceived Clinical Utility of Monitoring Tools: A Nationwide Survey of Patients with Inflammatory Bowel Disease. Inflamm. Bowel Dis. 2017, 23, 1425–1433. [Google Scholar] [CrossRef]
- Rabeneck, L.; Paszat, L.F.; Hilsden, R.J.; Saskin, R.; Leddin, D.; Grunfeld, E.; Wai, E.; Goldwasser, M.; Sutradhar, R.; Stukel, T.A. Bleeding and perforation after outpatient colonoscopy and their risk factors in usual clinical practice. Gastroenterology 2008, 135, 1899–1906. [Google Scholar] [CrossRef]
- Shih, I.L.; Wei, S.C.; Yen, R.F.; Chang, C.C.; Ko, C.L.; Lin, B.R.; Shun, C.T.; Liu, K.L.; Wong, J.M.; Chang, Y.C. PET/MRI for evaluating subclinical inflammation of ulcerative colitis. J. Magn. Reson. Imaging Jmri 2018, 47, 737–745. [Google Scholar] [CrossRef]
- Li, Y.; Beiderwellen, K.; Nensa, F.; Gruneisen, J.; Dobos, G.; Herrmann, K.; Lauenstein, T.; Umutlu, L.; Langhorst, J. [(18)F]FDG PET/MR enterography for the assessment of inflammatory activity in Crohn’s disease: Comparison of different MRI and PET parameters. Eur. J. Nucl. Med. Mol. Imaging 2018, 45, 1382–1393. [Google Scholar] [CrossRef]
- Catalano, O.A.; Wu, V.; Mahmood, U.; Signore, A.; Vangel, M.; Soricelli, A.; Salvatore, M.; Gervais, D.; Rosen, B.R. Diagnostic performance of PET/MR in the evaluation of active inflammation in Crohn disease. Am. J. Nucl. Med. Mol. Imaging 2018, 8, 62–69. [Google Scholar]
- Beiderwellen, K.; Kinner, S.; Gomez, B.; Lenga, L.; Bellendorf, A.; Heusch, P.; Umutlu, L.; Langhorst, J.; Ruenzi, M.; Gerken, G.; et al. Hybrid imaging of the bowel using PET/MR enterography: Feasibility and first results. Eur. J. Radiol. 2016, 85, 414–421. [Google Scholar] [CrossRef]
- Li, Y.; Langhorst, J.; Koch, A.K.; Demircioglu, A.; Nensa, F.; Kirchner, J.; Beiderwellen, K.; Catalano, O.; Forsting, M.; Herrmann, K.; et al. Assessment of ileocolonic inflammation in Crohn’s disease—Which surrogate marker is better? MaRIA, Clermont or PET-MR index? Initial results of a feasibility trial. J. Nucl. Med. Off. Publ. Soc. Nucl. Med. 2018, 60, 851–857. [Google Scholar] [CrossRef] [PubMed]
- Catalano, O.A.; Gee, M.S.; Nicolai, E.; Selvaggi, F.; Pellino, G.; Cuocolo, A.; Luongo, A.; Catalano, M.; Rosen, B.R.; Gervais, D.; et al. Evaluation of Quantitative PET/MR Enterography Biomarkers for Discrimination of Inflammatory Strictures from Fibrotic Strictures in Crohn Disease. Radiology 2016, 278, 792–800. [Google Scholar] [CrossRef] [PubMed]
- Li, Y.; Schaarschmidt, B.; Umutlu, L.; Forsting, M.; Demircioglu, A.; Koch, A.K.; Martin, O.; Herrmann, K.; Juette, H.; Tannapfel, A.; et al. (18)F-FDG PET-MR enterography in predicting histological active disease using the Nancy index in ulcerative colitis: A randomized controlled trial. Eur. J. Nucl. Med. Mol. Imaging 2019, 47, 768–777. [Google Scholar] [CrossRef]
- Lemmens, B.; Arijs, I.; Van Assche, G.; Sagaert, X.; Geboes, K.; Ferrante, M.; Rutgeerts, P.; Vermeire, S.; De Hertogh, G. Correlation between the endoscopic and histologic score in assessing the activity of ulcerative colitis. Inflamm. Bowel Dis. 2013, 19, 1194–1201. [Google Scholar] [CrossRef]
- Marchal-Bressenot, A.; Salleron, J.; Boulagnon-Rombi, C.; Bastien, C.; Cahn, V.; Cadiot, G.; Diebold, M.-D.; Danese, S.; Reinisch, W.; Schreiber, S.; et al. Development and validation of the Nancy histological index for UC. Gut 2017, 66, 43–49. [Google Scholar] [CrossRef]
- Louis, E.; Ancion, G.; Colard, A.; Spote, V.; Belaiche, J.; Hustinx, R. Noninvasive assessment of Crohn’s disease intestinal lesions with 18F-FDG PET/CT. J. Nucl. Med. 2007, 48, 1053–1059. [Google Scholar] [CrossRef]
- Das, C.J.; Makharia, G.K.; Kumar, R.; Kumar, R.; Tiwari, R.P.; Sharma, R.; Malhotra, A. PET/CT colonography: A novel non-invasive technique for assessment of extent and activity of ulcerative colitis. Eur. J. Nucl. Med. Mol. Imaging 2010, 37, 714–721. [Google Scholar] [CrossRef]
- Berry, N.; Sinha, S.K.; Bhattacharya, A.; Prasad, K.K.; Vaishnavi, C.; Vaiphei, K.; Samanta, J.; Prasada, R.; Dhaka, N.; Kochhar, R.J.D.D.; et al. Role of Positron Emission Tomography in Assessing Disease Activity in Ulcerative Colitis: Comparison with Biomarkers. Dig. Dis. Sci. 2018, 63, 1541–1550. [Google Scholar] [CrossRef]
- Rimola, J.; Rodriguez, S.; Garcia-Bosch, O.; Ricart, E.; Pages, M.; Pellise, M.; Ayuso, C.; Panes, J. Role of 3.0-T MR colonography in the evaluation of inflammatory bowel disease. RadiographicsInc 2009, 29, 701–719. [Google Scholar] [CrossRef]
- Kaushal, P.; Somwaru, A.S.; Charabaty, A.; Levy, A.D. MR Enterography of Inflammatory Bowel Disease with Endoscopic Correlation. Radiographics 2017, 37, 116–131. [Google Scholar] [CrossRef]
- Soyka, J.D.; Strobel, K.; Veit-Haibach, P.; Schaefer, N.G.; Schmid, D.T.; Tschopp, A.; Hany, T.F. Influence of bowel preparation before 18F-FDG PET/CT on physiologic 18F-FDG activity in the intestine. J. Nucl. Med. Off. Publ. Soc. Nucl. Med. 2010, 51, 507–510. [Google Scholar] [CrossRef] [PubMed]
- Tu, D.G.; Chen, C.R.; Wang, Y.W.; Tu, C.W.; Huang, Y.C. Bowel-cleansing methods affecting PET-CT image interpretation. Nucl. Med. Commun. 2011, 32, 570–574. [Google Scholar] [CrossRef] [PubMed]
- Oussalah, A.; Laurent, V.; Bruot, O.; Bressenot, A.; Bigard, M.-A.; Régent, D.; Peyrin-Biroulet, L. Diffusion-weighted magnetic resonance without bowel preparation for detecting colonic inflammation in inflammatory bowel disease. Gut 2010, 59, 1056–1065. [Google Scholar] [CrossRef] [PubMed]
- Yu, L.-L.; Yang, H.-S.; Zhang, B.-T.; Lv, Z.-W.; Wang, F.-R.; Zhang, C.-Y.; Chen, W.-B.; Zhang, H.-M. Diffusion-weighted magnetic resonance imaging without bowel preparation for detection of ulcerative colitis. World J. Gastroenterol. 2015, 21, 9785–9792. [Google Scholar] [CrossRef]
- Khan, N.; Trivedi, C.; Shah, Y.; Cole, E.; Lewis, J.; Yang, Y.X. The Natural History of Newly Diagnosed Ulcerative Colitis in Patients with Concomitant Primary Sclerosing Cholangitis. Inflamm. Bowel Dis. 2018, 24, 2062–2067. [Google Scholar] [CrossRef]
- Wee, A.; Ludwig, J.; Coffey, R.J.; LaRusso, N.F.; Wiesner, R.H. Hepatobiliary carcinoma associated with primary sclerosing cholangitis and chronic ulcerative colitis. Hum. Pathol. 1985, 16, 719–726. [Google Scholar] [CrossRef]
- Li, Y.; Langhorst, J.; Koch, A.K.; Demircioglu, A.; Schaarschmidt, B.; Theysohn, J.M.; Martin, O.; Herrmann, K.; Catalano, O.; Umutlu, L. Comparison of acceptance of PET/MR enterography and ileocolonoscopy in patients with inflammatory bowel diseases. Clin. Imaging 2020, 64, 11–17. [Google Scholar] [CrossRef]
- Li, Y.; Khamou, M.; Schaarschmidt, B.M.; Umutlu, L.; Forsting, M.; Demircioglu, A.; Haubold, J.; Koch, A.K.; Bruckmann, N.-M.; Sawicki, L.M.; et al. Comparison of 18F-FDG PET-MR and fecal biomarkers in the assessment of disease activity in patients with ulcerative colitis. Br. J. Radiol. 2020, 93, 20200167. [Google Scholar] [CrossRef]




| Total (n = 40) | With Bowel Purgation (n = 19) | Without Bowel Purgation (n = 21) | p Values | |
|---|---|---|---|---|
| Age years | 42.8 ± 12.1 (23–66) | 42.4 ± 11.71 (23–63) | 43.2 ± 12.7 (24–66) | 0.63 |
| Sex n (%) | 0.11 | |||
| Female | 25 (62.5) | 11 (57.9) | 14 (66.7) | |
| Male | 15 (37.5) | 8 (42.1) | 7 (33.3) | |
| Anamnestic pattern n (%) | 0.2 | |||
| Proctitis | 8 (20) | 3 (15.8) | 5 (23.8) | |
| Left-sided colitis | 16 (40) | 9 (47.4) | 7 (33.3) | |
| Pancolitis | 16 (40) | 7 (36.8) | 9 (42.9) | |
| Time since diagnosis, years | 12.65 ± 9.70 (1–42) | 13.42 ± 10.48 (2–42) | 11.95 ± 9.14 (1–42) | 0.91 |
| Smokers n (%) | 2 (5) | 0 (0) | 2 (9.6) | n.a |
| Full Mayo Score | 6.25 ± 2.91 (0–11) | 6.68 ± 2.73 (1–11) | 5.86 ± 3.07 (0–10) | 0.4 |
| Inactive n (%) | 6 (15) | 2 (10.5) | 4 (19) | |
| Mild n (%) | 6 (15) | 3 (15.8) | 3 (14.3) | |
| Moderate n (%) | 27 (67.5) | 13 (68.4) | 14 (66.7) | |
| Severe n (%) | 1 (2.5) | 1 (5.3) | 0 (0) | |
| SUVmaxQuot | 2.92 ± 1.64 (0.82–8.28) | 3.01 ± 1.40 (0.82–6.42) | 2.83 ± 1.86 (0.88–8.28) | 0.6 |
| Blood values | ||||
| CRP | 1.15 ± 1.28 (0–4.8) | 1.43 ± 1.47 (0–4.8) | 0.89 ± 1.04 (0–4.2) | 0.16 |
| ESR | 19.00 ± 16.53 (2–70) | 21.84 ± 20.26 (2–70) | 16.43 ± 12.21 (2–47) | 0.61 |
| Leucocytes | 8307.58 ± 3314.78 (874–14,040) | 9234.74 ± 3636.98 (4470–18,330) | 7468.71 ± 2822.37 (874–14,040) | 0.12 |
| Thrombocytes | 338.88 ± 106.37 (135–580) | 333.11 ± 102.61 (135–555) | 344.10 ± 111.92 (217–580) | 0.4 |
| Medication n (%) | ||||
| Steroids | 19 (47.5) | 10 (52.6) | 9 (42.9) | 0.54 |
| ThiopurineMTX | 4 (10) | 2 (10.5) | 2 (9.5) | n.a |
| Biologics | 6 (15) | 5 (26.3) | 1 (4.8) | n.a |
| Mesalamine | 33 (82.5) | 16 (84.2) | 17 (81.0) | 0.79 |
| Other | 22 (55) | 9 (47.4) | 13 (61.9) | 0.36 |
| PET/MR Parameters | Study Arm without Bowel Purgation (n = 147 Segments) | Study Arm with Bowel Purgation (n = 131 Segments) | ||||
|---|---|---|---|---|---|---|
| Sensitivity | Specificity | Accuracy | Sensitivity | Specificity | Accuracy | |
| MR | 0.897 | 0.820 | 0.850 | 0.877 | 0.875 | 0.880 |
| DWI | 0.776 | 0.876 | 0.837 | 0.860 | 0.811 | 0.835 |
| PET | 0.879 | 0.843 | 0.857 | 0.877 | 0.595 | 0.714 |
| PET-MR | 0.862 | 0.944 | 0.912 | 0.807 | 0.892 | 0.857 |
| p-Values in McNemar Test for Comparison between PET/MR Parameters | ||||||
| MR vs. DWI | 0.096 | 0.681 | 1 | 1 | 0.454 | 0.54 |
| MR vs. PET | 1 | 1 | 1 | 1 | <0.001 | 0.001 |
| MR vs. PET-MR | 1 | 0.005 | 0.105 | 0.75 | 1 | 0.75 |
| DWI vs. PET | 0.35 | 1 | 1 | 1 | 0.006 | 0.024 |
| DWI vs. PET-MR | 0.50 | 0.436 | 0.078 | 1 | 0.146 | 0.75 |
| PET vs. PET-MR | 1 | 0.024 | 0.105 | 0.75 | <0.001 | 0.006 |
| AUC of ROC for SUVmaxQuot | Sensitivity | Specificity | Optimal Cutoffs | |
|---|---|---|---|---|
| Diagnostic Performance of SUVmaxQuot in Detecting Active Inflammation (MES ≥ 1) | ||||
| without bowel purgation | 0.921 | 0.879 | 0.843 | 1.01 |
| with bowel purgation | 0.836 | 0.768 | 0.838 | 1.28 |
| Diagnostic Performance of SUVmaxQuot in Detecting Severe Inflammation (MES = 3) | ||||
| without bowel purgation | 0.816 | 0.867 | 0.727 | 1.47 |
| with bowel purgation | 0.863 | 0.842 | 0.829 | 1.77 |
© 2020 by the authors. Licensee MDPI, Basel, Switzerland. This article is an open access article distributed under the terms and conditions of the Creative Commons Attribution (CC BY) license (http://creativecommons.org/licenses/by/4.0/).
Share and Cite
Langhorst, J.; Umutlu, L.; Schaarschmidt, B.M.; Grueneisen, J.; Demircioglu, A.; Forsting, M.; Beiderwellen, K.; Haubold, J.; Theysohn, J.M.; Koch, A.K.; et al. Diagnostic Performance of Simultaneous [18F]-FDG PET/MR for Assessing Endoscopically Active Inflammation in Patients with Ulcerative Colitis: A Prospective Study. J. Clin. Med. 2020, 9, 2474. https://doi.org/10.3390/jcm9082474
Langhorst J, Umutlu L, Schaarschmidt BM, Grueneisen J, Demircioglu A, Forsting M, Beiderwellen K, Haubold J, Theysohn JM, Koch AK, et al. Diagnostic Performance of Simultaneous [18F]-FDG PET/MR for Assessing Endoscopically Active Inflammation in Patients with Ulcerative Colitis: A Prospective Study. Journal of Clinical Medicine. 2020; 9(8):2474. https://doi.org/10.3390/jcm9082474
Chicago/Turabian StyleLanghorst, Jost, Lale Umutlu, Benedikt Michael Schaarschmidt, Johannes Grueneisen, Aydin Demircioglu, Michael Forsting, Karsten Beiderwellen, Johannes Haubold, Jens Matthias Theysohn, Anna Katharina Koch, and et al. 2020. "Diagnostic Performance of Simultaneous [18F]-FDG PET/MR for Assessing Endoscopically Active Inflammation in Patients with Ulcerative Colitis: A Prospective Study" Journal of Clinical Medicine 9, no. 8: 2474. https://doi.org/10.3390/jcm9082474
APA StyleLanghorst, J., Umutlu, L., Schaarschmidt, B. M., Grueneisen, J., Demircioglu, A., Forsting, M., Beiderwellen, K., Haubold, J., Theysohn, J. M., Koch, A. K., Dobos, G., Dechêne, A., Herrmann, K., Bruckmann, N. M., Lauenstein, T., & Li, Y. (2020). Diagnostic Performance of Simultaneous [18F]-FDG PET/MR for Assessing Endoscopically Active Inflammation in Patients with Ulcerative Colitis: A Prospective Study. Journal of Clinical Medicine, 9(8), 2474. https://doi.org/10.3390/jcm9082474

