Quantitative Evaluation of Meniscal Healing Process of Degenerative Meniscus Lesions Treated with Hyaluronic Acid: A Clinical and MRI Study
Abstract
1. Introduction
2. Materials and Methods
2.1. Study Design
2.2. Participants
2.3. Intervention
2.4. Evaluation of Clinical Efficacy
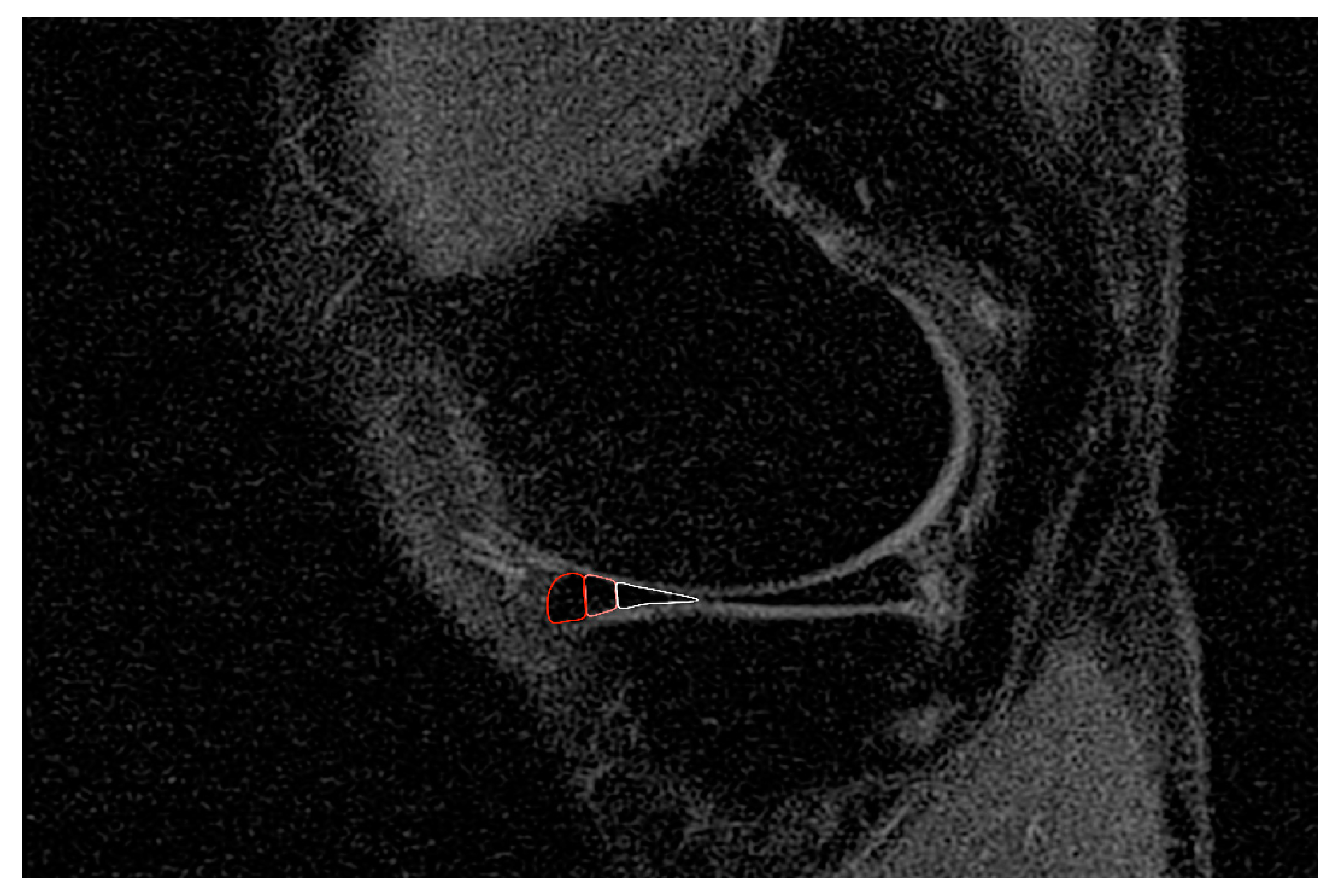
2.5. Evaluation of Healing Effects
2.6. Correlation between Clinical Scores and T2 Measurements
2.7. Data Analysis
3. Results
3.1. Clinical Efficacy
3.2. Healing Effects
3.3. Correlation between Clinical Scores and T2 Measurements
4. Discussion
5. Conclusions
Author Contributions
Funding
Conflicts of Interest
Abbreviations
References
- Chang, A.; Moisio, K.; Chmiel, J.S.; Eckstein, F.; Guermazi, A.; Almagor, O.; Cahue, S.; Wirth, W.; Prasad, P.; Sharma, L. Subregional effects of meniscal tears on cartilage loss over 2 years in knee osteoarthritis. Ann. Rheum. Dis. 2011, 70, 74–79. [Google Scholar] [CrossRef]
- Englund, M.; Guermazi, A.; Roemer, F.W.; Aliabadi, P.; Yang, M.; Lewis, C.E.; Torner, J.; Nevitt, M.C.; Sack, B.; Felson, D.T. Meniscal tear in knees without surgery and the development of radiographic osteoarthritis among middle-aged and elderly persons: The multicenter osteoarthritis study. Arthritis Rheum. 2009, 60, 831–839. [Google Scholar] [CrossRef] [PubMed]
- Franceschi, F.; Longo, U.G.; Ruzzini, L.; Marinozzi, A.; Maffulli, N.; Denaro, V. Simultaneous arthroscopic implantation of autologous chondrocytes and high tibial osteotomy for tibial chondral defects in the varus knee. Knee 2008, 15, 309–313. [Google Scholar] [CrossRef]
- Longo, U.G.; King, J.B.; Denaro, V.; Maffulli, N. Double-bundle arthroscopic reconstruction of the anterior cruciate ligament: Does the evidence add up? J. Bone Jt. Surg. Br. Vol. 2008, 90, 995–999. [Google Scholar] [CrossRef] [PubMed]
- Seil, R.; Karlsson, J.; Beaufils, P.; Becker, R.; Kopf, S.; Ollivier, M.; Denti, M. The difficult balance between scientific evidence and clinical practice: The 2016 esska meniscus consensus on the surgical management of degenerative meniscus lesions. Knee Surg. Sports Traumatol. Arthrosc. Off. J. ESSKA 2017, 25, 333–334. [Google Scholar] [CrossRef] [PubMed]
- Longo, U.G.; Petrillo, S.; Franceschetti, E.; Berton, A.; Maffulli, N.; Denaro, V. Stem cells and gene therapy for cartilage repair. Stem Cells Int. 2012, 2012, 168385. [Google Scholar] [CrossRef] [PubMed]
- Longo, U.G.; Campi, S.; Romeo, G.; Spiezia, F.; Maffulli, N.; Denaro, V. Biological strategies to enhance healing of the avascular area of the meniscus. Stem Cells Int. 2012, 2012, 528359. [Google Scholar] [CrossRef]
- Thorlund, J.B.; Hare, K.B.; Lohmander, L.S. Large increase in arthroscopic meniscus surgery in the middle-aged and older population in denmark from 2000 to 2011. Acta Orthop. 2014, 85, 287–292. [Google Scholar] [CrossRef]
- Faucett, S.C.; Geisler, B.P.; Chahla, J.; Krych, A.J.; Kurzweil, P.R.; Garner, A.M.; Liu, S.; LaPrade, R.F.; Pietzsch, J.B. Meniscus root repair vs meniscectomy or nonoperative management to prevent knee osteoarthritis after medial meniscus root tears: Clinical and economic effectiveness. Am. J. Sports Med. 2019, 47, 762–769. [Google Scholar] [CrossRef]
- Kirkley, A.; Birmingham, T.B.; Litchfield, R.B.; Giffin, J.R.; Willits, K.R.; Wong, C.J.; Feagan, B.G.; Donner, A.; Griffin, S.H.; D’Ascanio, L.M.; et al. A randomized trial of arthroscopic surgery for osteoarthritis of the knee. N. Engl. J. Med. 2008, 359, 1097–1107. [Google Scholar] [CrossRef]
- Herrlin, S.V.; Wange, P.O.; Lapidus, G.; Hallander, M.; Werner, S.; Weidenhielm, L. Is arthroscopic surgery beneficial in treating non-traumatic, degenerative medial meniscal tears? A five year follow-up. Knee Surg. Sports Traumatol. Arthrosc. Off. J. ESSKA 2013, 21, 358–364. [Google Scholar] [CrossRef] [PubMed]
- Holzer, L.A.; Leithner, A.; Holzer, G. Surgery versus physical therapy for meniscal tear and osteoarthritis. N. Engl. J. Med. 2013, 369, 677. [Google Scholar] [PubMed]
- Yim, J.H.; Seon, J.K.; Song, E.K.; Choi, J.I.; Kim, M.C.; Lee, K.B.; Seo, H.Y. A comparative study of meniscectomy and nonoperative treatment for degenerative horizontal tears of the medial meniscus. Am. J. Sports Med. 2013, 41, 1565–1570. [Google Scholar] [CrossRef]
- Kise, N.J.; Risberg, M.A.; Stensrud, S.; Ranstam, J.; Engebretsen, L.; Roos, E.M. Exercise therapy versus arthroscopic partial meniscectomy for degenerative meniscal tear in middle aged patients: Randomised controlled trial with two year follow-up. Bmj 2016, 354, i3740. [Google Scholar] [CrossRef]
- Sihvonen, R.; Paavola, M.; Malmivaara, A.; Itälä, A.; Joukainen, A.; Nurmi, H.; Kalske, J.; Jarvinen, T.L.; Finnish Degenerative Meniscal Lesion Study (FIDELITY) Group. Arthroscopic partial meniscectomy versus sham surgery for a degenerative meniscal tear. N. Engl. J. Med. 2013, 369, 2515–2524. [Google Scholar] [CrossRef] [PubMed]
- Moseley, J.B.; O’Malley, K.; Petersen, N.J.; Menke, T.J.; Brody, B.A.; Kuykendall, D.H.; Hollingsworth, J.C.; Ashton, C.M.; Wray, N.P. A controlled trial of arthroscopic surgery for osteoarthritis of the knee. N. Engl. J. Med. 2002, 347, 81–88. [Google Scholar] [CrossRef]
- Thorlund, J.B.; Juhl, C.B.; Roos, E.M.; Lohmander, L.S. Arthroscopic surgery for degenerative knee: Systematic review and meta-analysis of benefits and harms. Br. J. Sports Med. 2015, 49, 1229–1235. [Google Scholar] [CrossRef]
- Longo, U.G.; Ciuffreda, M.; Candela, V.; Rizzello, G.; D’Andrea, V.; Mannering, N.; Berton, A.; Salvatore, G.; Denaro, V. Knee osteoarthritis after arthroscopic partial meniscectomy: Prevalence and progression of radiographic changes after 5 to 12 years compared with contralateral knee. J. Knee Surg. 2019, 32, 407–413. [Google Scholar] [CrossRef]
- Arnoczky, S.P.; Warren, R.F. The microvasculature of the meniscus and its response to injury. An experimental study in the dog. Am. J. Sports Med. 1983, 11, 131–141. [Google Scholar] [CrossRef]
- Makris, E.A.; Hadidi, P.; Athanasiou, K.A. The knee meniscus: Structure-function, pathophysiology, current repair techniques, and prospects for regeneration. Biomaterials 2011, 32, 7411–7431. [Google Scholar] [CrossRef]
- Sweigart, M.A.; Athanasiou, K.A. Toward tissue engineering of the knee meniscus. Tissue Eng. 2001, 7, 111–129. [Google Scholar] [CrossRef] [PubMed]
- McDevitt, C.A.; Webber, R.J. The ultrastructure and biochemistry of meniscal cartilage. Clin. Orthop. Relat. Res. 1990, 252, 8–18. [Google Scholar] [CrossRef]
- Melrose, J.; Smith, S.; Cake, M.; Read, R.; Whitelock, J. Comparative spatial and temporal localisation of perlecan, aggrecan and type i, ii and iv collagen in the ovine meniscus: An ageing study. Histochem. Cell Biol. 2005, 124, 225–235. [Google Scholar] [CrossRef] [PubMed]
- Andhare, R.A.; Takahashi, N.; Knudson, W.; Knudson, C.B. Hyaluronan promotes the chondrocyte response to bmp-7. Osteoarthr. Cartil. OARS Osteoarthr. Res. Soc. 2009, 17, 906–916. [Google Scholar] [CrossRef]
- Neustadt, D.; Altman, R. Intra-articular therapy. In Osteoarthritis; Moskowitz, R.W., Altman, R., Buckwalter, J.A., Goldberg, V.M., Hochberg, M.C., Eds.; Lippincott Williams and Willkins: Philadelphia, PA, USA, 2007; pp. 287–301. [Google Scholar]
- Karna, E.; Miltyk, W.; Palka, J.A.; Jarzabek, K.; Wolczynski, S. Hyaluronic acid counteracts interleukin-1-induced inhibition of collagen biosynthesis in cultured human chondrocytes. Pharm. Res. 2006, 54, 275–281. [Google Scholar] [CrossRef] [PubMed]
- Kawasaki, K.; Ochi, M.; Uchio, Y.; Adachi, N.; Matsusaki, M. Hyaluronic acid enhances proliferation and chondroitin sulfate synthesis in cultured chondrocytes embedded in collagen gels. J. Cell. Physiol. 1999, 179, 142–148. [Google Scholar] [CrossRef]
- Frean, S.P.; Abraham, L.A.; Lees, P. In vitro stimulation of equine articular cartilage proteoglycan synthesis by hyaluronan and carprofen. Res. Vet. Sci. 1999, 67, 183–190. [Google Scholar] [CrossRef]
- Takahashi, K.; Goomer, R.S.; Harwood, F.; Kubo, T.; Hirasawa, Y.; Amiel, D. The effects of hyaluronan on matrix metalloproteinase-3 (mmp-3), interleukin-1beta(il-1beta), and tissue inhibitor of metalloproteinase-1 (timp-1) gene expression during the development of osteoarthritis. Osteoarthr. Cartil. OARS Osteoarthr. Res. Soc. 1999, 7, 182–190. [Google Scholar] [CrossRef]
- Yatabe, T.; Mochizuki, S.; Takizawa, M.; Chijiiwa, M.; Okada, A.; Kimura, T.; Fujita, Y.; Matsumoto, H.; Toyama, Y.; Okada, Y. Hyaluronan inhibits expression of adamts4 (aggrecanase-1) in human osteoarthritic chondrocytes. Ann. Rheum. Dis. 2009, 68, 1051–1058. [Google Scholar] [CrossRef]
- Goto, M.; Hanyu, T.; Yoshio, T.; Matsuno, H.; Shimizu, M.; Murata, N.; Shiozawa, S.; Matsubara, T.; Yamana, S.; Matsuda, T. Intra-articular injection of hyaluronate (si-6601d) improves joint pain and synovial fluid prostaglandin e2 levels in rheumatoid arthritis: A multicenter clinical trial. Clin. Exp. Rheumatol. 2001, 19, 377–383. [Google Scholar]
- Ishima, M.; Wada, Y.; Sonoda, M.; Harada, Y.; Katsumi, A.; Moriya, H. Effects of hyaluronan on the healing of rabbit meniscus injured in the peripheral region. J. Orthop. Sci. Off. J. Jpn. Orthop. Assoc. 2000, 5, 579–584. [Google Scholar] [CrossRef]
- Suzuki, Y.; Takeuchi, N.; Sagehashi, Y.; Yamaguchi, T.; Itoh, H.; Iwata, H. Effects of hyaluronic acid on meniscal injury in rabbits. Arch. Orthop. Trauma Surg. 1998, 117, 303–306. [Google Scholar] [CrossRef]
- Murakami, T.; Otsuki, S.; Okamoto, Y.; Nakagawa, K.; Wakama, H.; Okuno, N.; Neo, M. Hyaluronic acid promotes proliferation and migration of human meniscus cells via a cd44-dependent mechanism. Connect. Tissue Res. 2019, 60, 117–127. [Google Scholar] [CrossRef] [PubMed]
- Zorzi, C.; Rigotti, S.; Screpis, D.; Giordan, N.; Piovan, G. A new hydrogel for the conservative treatment of meniscal lesions: A randomized controlled study. Joints 2015, 3, 136–145. [Google Scholar] [CrossRef]
- Guermazi, A.; Roemer, F.W.; Burstein, D.; Hayashi, D. Why radiography should no longer be considered a surrogate outcome measure for longitudinal assessment of cartilage in knee osteoarthritis. Arthritis Res. Ther. 2011, 13, 247. [Google Scholar] [CrossRef] [PubMed]
- Welsch, G.H.; Scheffler, K.; Mamisch, T.C.; Hughes, T.; Millington, S.; Deimling, M.; Trattnig, S. Rapid estimation of cartilage t2 based on double echo at steady state (dess) with 3 tesla. Magn. Reson. Med. 2009, 62, 544–549. [Google Scholar] [CrossRef]
- Kijowski, R.; Blankenbaker, D.G.; Munoz Del Rio, A.; Baer, G.S.; Graf, B.K. Evaluation of the articular cartilage of the knee joint: Value of adding a t2 mapping sequence to a routine mr imaging protocol. Radiology 2013, 267, 503–513. [Google Scholar] [CrossRef] [PubMed]
- Baum, T.; Joseph, G.B.; Karampinos, D.C.; Jungmann, P.M.; Link, T.M.; Bauer, J.S. Cartilage and meniscal t2 relaxation time as non-invasive biomarker for knee osteoarthritis and cartilage repair procedures. Osteoarthr. Cartil. OARS Osteoarthr. Res. Soc. 2013, 21, 1474–1484. [Google Scholar] [CrossRef]
- Eijgenraam, S.M.; Bovendeert, F.A.T.; Verschueren, J.; van Tiel, J.; Bastiaansen-Jenniskens, Y.M.; Wesdorp, M.A.; Nasserinejad, K.; Meuffels, D.E.; Guenoun, J.; Klein, S.; et al. T2 mapping of the meniscus is a biomarker for early osteoarthritis. Eur. Radiol. 2019, 29, 5664–5672. [Google Scholar] [CrossRef] [PubMed]
- Arno, S.; Bell, C.P.; Xia, D.; Regatte, R.R.; Krasnokutsky, S.; Samuels, J.; Oh, C.; Abramson, S.; Walker, P.S. Relationship between meniscal integrity and risk factors for cartilage degeneration. Knee 2016, 23, 686–691. [Google Scholar] [CrossRef]
- Salaffi, F.; Leardini, G.; Canesi, B.; Mannoni, A.; Fioravanti, A.; Caporali, R.; Lapadula, G.; Punzi, L.; Quality Of Life Assessment (GOQOLA)Study Group. Reliability and validity of the western ontario and mcmaster universities (womac) osteoarthritis index in italian patients with osteoarthritis of the knee. Osteoarthr. Cartil. OARS Osteoarthr. Res. Soc. 2003, 11, 551–560. [Google Scholar] [CrossRef]
- van de Graaf, V.A.; Wolterbeek, N.; Scholtes, V.A.; Mutsaerts, E.L.; Poolman, R.W. Reliability and validity of the ikdc, koos, and womac for patients with meniscal injuries. Am. J. Sports Med. 2014, 42, 1408–1416. [Google Scholar] [CrossRef]
- Apolone, G.; Mosconi, P. The italian sf-36 health survey: Translation, validation and norming. J. Clin. Epidemiol. 1998, 51, 1025–1036. [Google Scholar] [CrossRef]
- Ware, J.E., Jr. Sf-36 health survey update. Spine 2000, 25, 3130–3139. [Google Scholar] [CrossRef] [PubMed]
- Zarins, Z.A.; Bolbos, R.I.; Pialat, J.B.; Link, T.M.; Li, X.; Souza, R.B.; Majumdar, S. Cartilage and meniscus assessment using t1rho and t2 measurements in healthy subjects and patients with osteoarthritis. Osteoarthr. Cartil. OARS Osteoarthr. Res. Soc. 2010, 18, 1408–1416. [Google Scholar] [CrossRef]
- Liess, C.; Lusse, S.; Karger, N.; Heller, M.; Gluer, C.C. Detection of changes in cartilage water content using mri t2-mapping in vivo. Osteoarthr. Cartil. OARS Osteoarthr. Res. Soc. 2002, 10, 907–913. [Google Scholar] [CrossRef]
- Hajek, P.C.; Gylys-Morin, V.M.; Baker, L.L.; Sartoris, D.J.; Haghighi, P.; Resnick, D. The high signal intensity meniscus of the knee. Magnetic resonance evaluation and in vivo correlation. Investig. Radiol. 1987, 22, 883–890. [Google Scholar] [CrossRef]
- Weiss, C.B.; Lundberg, M.; Hamberg, P.; DeHaven, K.E.; Gillquist, J. Non-operative treatment of meniscal tears. J. Bone Jt. Surg. Am. Vol. 1989, 71, 811–822. [Google Scholar] [CrossRef]
- Rauscher, I.; Stahl, R.; Cheng, J.; Li, X.; Huber, M.B.; Luke, A.; Majumdar, S.; Link, T.M. Meniscal measurements of t1rho and t2 at mr imaging in healthy subjects and patients with osteoarthritis. Radiology 2008, 249, 591–600. [Google Scholar] [CrossRef]
- Lefevre, N.; Naouri, J.F.; Herman, S.; Gerometta, A.; Klouche, S.; Bohu, Y. A current review of the meniscus imaging: Proposition of a useful tool for its radiologic analysis. Radiol. Res. Pract. 2016, 2016, 8329296. [Google Scholar] [CrossRef]
- Mars, M.; Chelli, M.; Tbini, Z.; Ladeb, F.; Gharbi, S. Mri t2 mapping of knee articular cartilage using different acquisition sequences and calculation methods at 1.5 tesla. Med Princ. Pract. 2018, 27, 443–450. [Google Scholar] [CrossRef] [PubMed]
- Beaufils, P.; Becker, R.; Kopf, S.; Englund, M.; Verdonk, R.; Ollivier, M.; Seil, R. Surgical management of degenerative meniscus lesions: The 2016 esska meniscus consensus. Joints 2017, 5, 59–69. [Google Scholar] [CrossRef] [PubMed]
- Becker, R.; Bernard, M.; Scheffler, S.; Kopf, S. Treatment of degenerative meniscal lesions: From eminence to evidence-based medicine. Der. Orthop. 2017, 46, 808–821. [Google Scholar] [CrossRef] [PubMed]





© 2020 by the authors. Licensee MDPI, Basel, Switzerland. This article is an open access article distributed under the terms and conditions of the Creative Commons Attribution (CC BY) license (http://creativecommons.org/licenses/by/4.0/).
Share and Cite
Berton, A.; Longo, U.G.; Candela, V.; Greco, F.; Martina, F.M.; Quattrocchi, C.C.; Denaro, V. Quantitative Evaluation of Meniscal Healing Process of Degenerative Meniscus Lesions Treated with Hyaluronic Acid: A Clinical and MRI Study. J. Clin. Med. 2020, 9, 2280. https://doi.org/10.3390/jcm9072280
Berton A, Longo UG, Candela V, Greco F, Martina FM, Quattrocchi CC, Denaro V. Quantitative Evaluation of Meniscal Healing Process of Degenerative Meniscus Lesions Treated with Hyaluronic Acid: A Clinical and MRI Study. Journal of Clinical Medicine. 2020; 9(7):2280. https://doi.org/10.3390/jcm9072280
Chicago/Turabian StyleBerton, Alessandra, Umile Giuseppe Longo, Vincenzo Candela, Federico Greco, Francesca Maria Martina, Carlo Cosimo Quattrocchi, and Vincenzo Denaro. 2020. "Quantitative Evaluation of Meniscal Healing Process of Degenerative Meniscus Lesions Treated with Hyaluronic Acid: A Clinical and MRI Study" Journal of Clinical Medicine 9, no. 7: 2280. https://doi.org/10.3390/jcm9072280
APA StyleBerton, A., Longo, U. G., Candela, V., Greco, F., Martina, F. M., Quattrocchi, C. C., & Denaro, V. (2020). Quantitative Evaluation of Meniscal Healing Process of Degenerative Meniscus Lesions Treated with Hyaluronic Acid: A Clinical and MRI Study. Journal of Clinical Medicine, 9(7), 2280. https://doi.org/10.3390/jcm9072280

