Clinical Characteristics and Treatment Outcomes of Pathologically Confirmed Aspergillus Nodules
Abstract
1. Introduction
2. Materials and Methods
2.1. Study Population
2.2. Clinical and Laboratory Evaluation
2.3. Radiological and Histological Evaluation
2.4. Statistical Analysis
3. Results
3.1. Baseline Characteristics
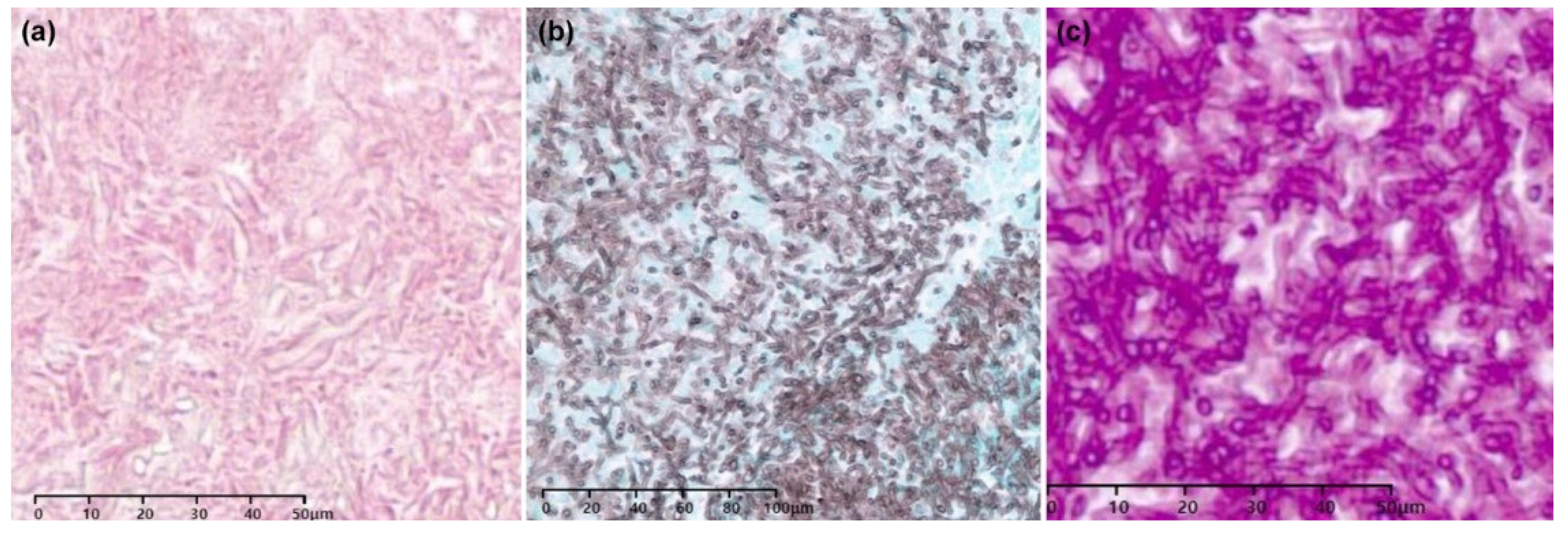
3.2. Radiological and Histological Characteristics of Aspergillus Nodules
3.3. Treatment Modalities and Outcomes
4. Discussion
Author Contributions
Funding
Acknowledgments
Conflicts of Interest
References
- Denning, D.W.; Cadranel, J.; Beigelman-Aubry, C.; Ader, F.; Chakrabarti, A.; Blot, S.; Ullmann, A.J.; Dimopoulos, G.; Lange, C. Chronic pulmonary aspergillosis: Rationale and clinical guidelines for diagnosis and management. Eur. Respir. J. 2016, 47, 45–68. [Google Scholar] [CrossRef]
- Patterson, T.F.; Thompson, G.R., 3rd; Denning, D.W.; Fishman, J.A.; Hadley, S.; Herbrecht, R.; Kontoyiannis, D.P.; Marr, K.A.; Morrison, V.A.; Nguyen, M.H.; et al. Practice Guidelines for the Diagnosis and Management of Aspergillosis: 2016 Update by the Infectious Diseases Society of America. Clin. Infect. Dis. 2016, 63, e1–e60. [Google Scholar] [CrossRef]
- Page, I.D.; Byanyima, R.; Hosmane, S.; Onyachi, N.; Opira, C.; Richardson, M.; Sawyer, R.; Sharman, A.; Denning, D.W. Chronic pulmonary aspergillosis commonly complicates treated pulmonary tuberculosis with residual cavitation. Eur. Respir. J. 2019, 53, 1801184. [Google Scholar] [CrossRef] [PubMed]
- Smith, N.L.; Denning, D.W. Underlying conditions in chronic pulmonary aspergillosis including simple aspergilloma. Eur. Respir. J. 2011, 37, 865–872. [Google Scholar] [CrossRef]
- Bongomin, F.; Harris, C.; Foden, P.; Kosmidis, C.; Denning, D.W. Innate and Adaptive Immune Defects in Chronic Pulmonary Aspergillosis. J. Fungi 2017, 3, 26. [Google Scholar] [CrossRef] [PubMed]
- Brown, G.D.; Denning, D.W.; Gow, N.A.; Levitz, S.M.; Netea, M.G.; White, T.C. Hidden killers: Human fungal infections. Sci. Transl. Med. 2012, 4, 165rv113. [Google Scholar] [CrossRef] [PubMed]
- Denning, D.W.; Pleuvry, A.; Cole, D.C. Global burden of chronic pulmonary aspergillosis as a sequel to pulmonary tuberculosis. Bull. World Health Organ. 2011, 89, 864–872. [Google Scholar] [CrossRef]
- Muldoon, E.G.; Sharman, A.; Page, I.; Bishop, P.; Denning, D.W. Aspergillus nodules; another presentation of Chronic Pulmonary Aspergillosis. BMC Pulm. Med. 2016, 16, 123. [Google Scholar] [CrossRef]
- Yasuda, M.; Nagashima, A.; Haro, A.; Saitoh, G. Aspergilloma mimicking a lung cancer. Int. J. Surg. Case Rep. 2013, 4, 690–692. [Google Scholar] [CrossRef]
- Ahn, B.C.; Lee, S.W.; Lee, J.; Kim, C. Pulmonary aspergilloma mimicking metastasis from papillary thyroid cancer. Thyroid 2011, 21, 555–558. [Google Scholar] [CrossRef]
- Baxter, C.G.; Bishop, P.; Low, S.E.; Baiden-Amissah, K.; Denning, D.W. Pulmonary aspergillosis: An alternative diagnosis to lung cancer after positive [18F]FDG positron emission tomography. Thorax 2011, 66, 638–640. [Google Scholar] [CrossRef] [PubMed]
- Kang, E.Y.; Kim, D.H.; Woo, O.H.; Choi, J.A.; Oh, Y.W.; Kim, C.H. Pulmonary aspergillosis in immunocompetent hosts without underlying lesions of the lung: Radiologic and pathologic findings. AJR Am. J. Roentgenol. 2002, 178, 1395–1399. [Google Scholar] [CrossRef] [PubMed]
- Baxter, C.G.; Denning, D.W.; Jones, A.M.; Todd, A.; Moore, C.B.; Richardson, M.D. Performance of two Aspergillus IgG EIA assays compared with the precipitin test in chronic and allergic aspergillosis. Clin. Microbiol. Infect. 2013, 19, E197–E204. [Google Scholar] [CrossRef]
- Dumollard, C.; Bailly, S.; Perriot, S.; Brenier-Pinchart, M.P.; Saint-Raymond, C.; Camara, B.; Gangneux, J.P.; Persat, F.; Valot, S.; Grenouillet, F.; et al. Prospective Evaluation of a New Aspergillus IgG Enzyme Immunoassay Kit for Diagnosis of Chronic and Allergic Pulmonary Aspergillosis. J. Clin. Microbiol. 2016, 54, 1236–1242. [Google Scholar] [CrossRef] [PubMed]
- Page, I.D.; Richardson, M.D.; Denning, D.W. Comparison of six Aspergillus-specific IgG assays for the diagnosis of chronic pulmonary aspergillosis (CPA). J. Infect. 2016, 72, 240–249. [Google Scholar] [CrossRef]
- Hansell, D.M.; Bankier, A.A.; MacMahon, H.; McLoud, T.C.; Muller, N.L.; Remy, J. Fleischner Society: Glossary of terms for thoracic imaging. Radiology 2008, 246, 697–722. [Google Scholar] [CrossRef]
- Mennink-Kersten, M.A.; Donnelly, J.P.; Verweij, P.E. Detection of circulating galactomannan for the diagnosis and management of invasive aspergillosis. Lancet Infect. Dis. 2004, 4, 349–357. [Google Scholar] [CrossRef]
- Lee, S.H.; Lee, B.J.; Jung, D.Y.; Kim, J.H.; Sohn, D.S.; Shin, J.W.; Kim, J.Y.; Park, I.W.; Choi, B.W. Clinical manifestations and treatment outcomes of pulmonary aspergilloma. Korean J. Intern. Med. 2004, 19, 38–42. [Google Scholar] [CrossRef] [PubMed]
- Zheng, S.; Li, X.; Hu, B.; Li, H. Is adjuvant antifungal therapy after video-assisted thoracic surgery for pulmonary aspergilloma necessary? J. Thorac. Dis. 2018, 10, 6060–6065. [Google Scholar] [CrossRef] [PubMed]
- Kang, M.W.; Kim, H.K.; Choi, Y.S.; Kim, K.; Shim, Y.M.; Koh, W.J.; Kim, J. Surgical treatment for multidrug-resistant and extensive drug-resistant tuberculosis. Ann. Thorac. Surg. 2010, 89, 1597–1602. [Google Scholar] [CrossRef] [PubMed]
- Kwon, Y.S.; Kim, Y.H.; Suh, G.Y.; Chung, M.P.; Kim, H.; Kwon, O.J.; Choi, Y.S.; Kim, K.; Kim, J.; Shim, Y.M.; et al. Treatment outcomes for HIV-uninfected patients with multidrug-resistant and extensively drug-resistant tuberculosis. Clin. Infect. Dis. 2008, 47, 496–502. [Google Scholar] [CrossRef] [PubMed]
- Mitchell, J.D.; Bishop, A.; Cafaro, A.; Weyant, M.J.; Pomerantz, M. Anatomic lung resection for nontuberculous mycobacterial disease. Ann. Thorac. Surg. 2008, 85, 1887–1892. [Google Scholar] [CrossRef] [PubMed]
- Brik, A.; Salem, A.M.; Kamal, A.R.; Abdel-Sadek, M.; Essa, M.; El Sharawy, M.; Deebes, A.; Bary, K.A. Surgical outcome of pulmonary aspergilloma. Eur. J. Cardiothorac. Surg. 2008, 34, 882–885. [Google Scholar] [CrossRef] [PubMed]
- Ma, X.; Wang, K.; Zhao, X.; Liu, Y.; Li, Y.; Yu, X.; Li, C.; Denning, D.W.; Xie, L. Prospective study of the serum Aspergillus-specific IgG, IgA and IgM assays for chronic pulmonary aspergillosis diagnosis. BMC Infect. Dis. 2019, 19, 694. [Google Scholar] [CrossRef]
- Deppen, S.; Putnam, J.B., Jr.; Andrade, G.; Speroff, T.; Nesbitt, J.C.; Lambright, E.S.; Massion, P.P.; Walker, R.; Grogan, E.L. Accuracy of FDG-PET to diagnose lung cancer in a region of endemic granulomatous disease. Ann. Thorac. Surg. 2011, 92, 428–432, discussion 433. [Google Scholar] [CrossRef]
- Ito, Y.; Tanigawa, M.; Takemura, T.; Iwamoto, K.; Nigi, A.; Sasano, H.; Itani, H.; Kondo, S.; Tokui, T.; Nakamura, S.; et al. Chronic Nodular Pulmonary Aspergillosis in a Patient with Rheumatoid Arthritis. Intern. Med. 2019, 58, 979–984. [Google Scholar] [CrossRef]



| Characteristics | Total (n = 80) | Non-Cavitary Nodules (n = 31) | Cavitary Nodules (n = 49) | p-Value |
|---|---|---|---|---|
| Age, years | 59 (48–65) | 61 (50–70) | 56 (48–62) | 0.058 |
| Female | 46 (58) | 15 (48) | 31 (63) | 0.190 |
| Never smoker | 57 (71) | 23 (74) | 34 (69) | 0.644 |
| Body mass index, kg/m2 | 24.0 (22.1–25.6) | 24.0 (22.4–25.9) | 23.9 (22.1–25.6) | 0.280 |
| Previous pulmonary tuberculosis | 39 (49) | 12 (39) | 27 (55) | 0.153 |
| Bronchiectasis | 11 (14) | 6 (19) | 5 (10) | 0.322 |
| Nontuberculous mycobacteria | 6 (8) | 2 (6) | 4 (8) | 1.000 |
| COPD/asthma | 3 (4) | 2 (6) | 1 (2) | 0.556 |
| Interstitial lung disease | 3 (4) | 1 (3) | 2 (4) | 1.000 |
| Diabetes mellitus | 10 (13) | 5 (16) | 5 (10) | 0.498 |
| Chronic liver disease | 4 (5) | 1 (3) | 3 (6) | 1.000 |
| Chronic kidney disease | 2 (3) | 0 | 2 (4) | 0.519 |
| Malignancy¶ | 9 (11) | 6 (19) | 3 (6) | 0.082 |
| Symptoms at diagnosis † | ||||
| Hemoptysis | 54 (68) | 17 (55) | 37 (76) | 0.054 |
| Cough | 32 (40) | 9 (29) | 23 (47) | 0.111 |
| Sputum | 5 (6) | 2 (6) | 3 (6) | 1.000 |
| No symptoms | 18 (23) | 10 (32) | 8 (16) | 0.096 |
| Laboratory findings | ||||
| WBC/μL | 12,400 (7600–14,800) | 8700 (6100–14,100) | 12,900 (9900–15,000) | 0.029 |
| ESR, mm/h (n = 42) | 23 (14–42) | 25 (15–38) | 20 (11–44) | 0.936 |
| CRP, mg/dl (n = 63) | 0.11 (0.04–0.41) | 0.12 (0.03–0.41) | 0.11 (0.05–0.26) | 0.054 |
| Positive serum galactomannan (n = 26) | 8/26 (31) | 4/8 (50) | 4/18 (22) | 0.491 |
| Positive serum Aspergillus antibody (n = 24) | 10/24 (42) | 2/8 (25) | 8/16 (50) | 0.301 |
| Fungus culture (n = 46)§ | 12 (26) | 2 (4) | 10 (22) | 0.115 |
| Sputum | 6/12 (50) | 1/2 (50) | 5/10 (50) | 0.397 |
| Bronchial washing | 2/12 (17) | 0 | 2/10 (20) | 0.519 |
| Lung tissue | 6/12 (50) | 1/2 (50) | 5/10 (50) | 0.397 |
| Findings | Total (n = 80) | Non-Cavitary Nodules (n = 31) | Cavitary Nodules (n = 49) | p-Value |
|---|---|---|---|---|
| Number of nodules | 1.000 | |||
| 1 | 78 (98) | 30 (97) | 48 (98) | |
| ≥2 | 2 (3) | 1 (3) | 1 (2) | |
| Size (mm)¶ | 22 (16–31) | 20 (15–30) | 23 (17–34) | 0.631 |
| >3 cm | 21 (26) | 6 (19) | 15 (31) | 0.198 |
| ≤3 cm | 59 (74) | 25 (81) | 34 (69) | |
| Location | 0.496 | |||
| Right upper lobe | 20 (25) | 6 (19) | 14 (29) | |
| Right lower lobe | 23 (29) | 11 (35) | 12 (24) | |
| Left upper lobe | 17 (21) | 5 (16) | 12 (24) | |
| Left lower lobe | 20 (25) | 9 (29) | 11 (22) | |
| Distribution of nodules | 0.332 | |||
| Central | 39 (49) | 13 (42) | 26 (53) | |
| Peripheral | 41 (51) | 18 (58) | 23 (47) | |
| Margin of nodules | 0.491 | |||
| Smooth | 64 (80) | 26 (84) | 38 (78) | |
| Spiculated or lobulated | 16 (20) | 5 (16) | 11 (22) | |
| Calcification in nodules | 31 (39) | 9 (29) | 22 (45) | 0.156 |
| Satellite lesions | 21 (26) | 8 (26) | 13 (27) | 0.943 |
| Lymph node enlargement (≥1 cm) | 7 (9) | 3 (10) | 4 (8) | 0.815 |
| Visible on chest radiographs | 38 (48) | 14 (45) | 24 (49) | 0.739 |
| PET uptake (SUVmax ≥ 2.5) (n = 20) | 18/20 (90) | 8 (40) | 10 (50) | 0.224 |
| Granuloma on histology | 20 (25) | 5 (16) | 15 (31) | 0.115 |
| Characteristics | Total n = 80) | Non-Cavitary Nodules (n = 31) | Cavitary Nodules (n = 49) | p-Value |
|---|---|---|---|---|
| Modality for diagnosis | 0.012 | |||
| PCNB | 7 (9) | 6 (19) | 1 (2) | |
| Surgical resection | 73 (91) | 25 (81) | 48 (98) | |
| Treatment modality¶ | 0.042 | |||
| Surgery only | 58 (73) | 19 (61) | 39 (80) | |
| Lobectomy | 28/58 (48) | 6/19 (32) | 22/39 (56) | |
| Sublobar resection | 30/58 (52) | 13/19 (68) | 17/39 (44) | |
| Surgery + antifungal agent | 15 (19) | 6 (19) | 9 (18) | |
| Pneumonectomy | 2/15 (13) | 0 | 2/9 (22) | |
| Lobectomy | 6/15 (40) | 2/6 (23) | 4/9 (44) | |
| Sublobar resection | 6/15 (40) | 4/6 (67) | 2/9 (22) | |
| Lung transplantation | 1/15 (7) | 0 | 1/9 (11) | |
| Antifungal agent only§ | 5 (6) | 4 (13) | 1 (2) | |
| No treatment§ | 2 (3) | 2 (6) | 0 | |
| Antifungal agent (n = 20) | 1.000 | |||
| Itraconazole | 19/20 (95) | 10 (100) | 9 (90) | |
| Voriconazole | 1/20 (5) | 0 (0) | 1 (10) | |
| Postoperative complications | 3/73 (4) | 1/25 (4) | 2/48 (4) | 1.000 |
| Pneumothorax | 1/3 (33) | 1 (100) | 0 | |
| Hemoptysis | 1/3 (33) | 0 | 1/2 (50) | |
| Acute lung injury | 1/3 (33) | 0 | 1/2 (50) | |
| Duration of antifungal agent | 5.3 (2.3–8.5) | 4.8 (1.9–8.0) | 5.3 (2.6–9.0) | 0.586 |
| Follow-up, months | 36.8 (16.0–70.5) | 43.3 (14.0–70.9) | 35.6 (20.4–69.9) | 0.886 |
© 2020 by the authors. Licensee MDPI, Basel, Switzerland. This article is an open access article distributed under the terms and conditions of the Creative Commons Attribution (CC BY) license (http://creativecommons.org/licenses/by/4.0/).
Share and Cite
Kang, N.; Park, J.; Jhun, B.W. Clinical Characteristics and Treatment Outcomes of Pathologically Confirmed Aspergillus Nodules. J. Clin. Med. 2020, 9, 2185. https://doi.org/10.3390/jcm9072185
Kang N, Park J, Jhun BW. Clinical Characteristics and Treatment Outcomes of Pathologically Confirmed Aspergillus Nodules. Journal of Clinical Medicine. 2020; 9(7):2185. https://doi.org/10.3390/jcm9072185
Chicago/Turabian StyleKang, Noeul, Jiyeon Park, and Byung Woo Jhun. 2020. "Clinical Characteristics and Treatment Outcomes of Pathologically Confirmed Aspergillus Nodules" Journal of Clinical Medicine 9, no. 7: 2185. https://doi.org/10.3390/jcm9072185
APA StyleKang, N., Park, J., & Jhun, B. W. (2020). Clinical Characteristics and Treatment Outcomes of Pathologically Confirmed Aspergillus Nodules. Journal of Clinical Medicine, 9(7), 2185. https://doi.org/10.3390/jcm9072185

