Strong Correlation of Renal Function with Choroidal Thickness in Patients with Type 2 Diabetes: Retrospective Cross-Sectional Study
Abstract
1. Introduction
2. Materials and Methods
2.1. Study Design
2.2. Study Subjects
2.3. Identification of PDR and DME
2.4. Imaging Protocol
2.5. Main Outcome Measure
2.6. Categorization of Patients according to eGFR and ACR
2.7. Statistical Analyses
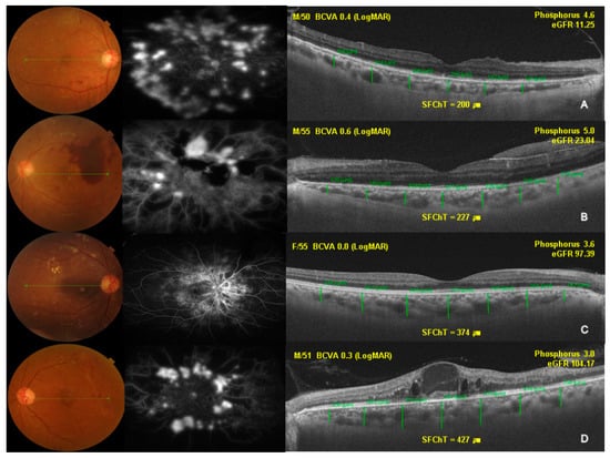
3. Results
3.1. Baseline Characteristics
3.2. Comparison of Renal Function Parameters IN Groups Classified according to SFChT
3.3. Association between SFChT and Renal Function Parameters in PDR Patients
3.4. SFChT according to eGFR, Renal Replacement THERAPY, and Urine ACR
3.5. Comparison of Both Eyes
4. Discussion
Supplementary Materials
Author Contributions
Funding
Conflicts of Interest
References
- Yau, J.W.; Rogers, S.L.; Kawasaki, R.; Lamoureux, E.L.; Kowalski, J.W.; Bek, T.; Chen, S.J.; Dekker, J.M.; Fletcher, A.; Grauslund, J.; et al. Global prevalence and major risk factors of diabetic retinopathy. Diabetes Care 2012, 35, 556–564. [Google Scholar] [CrossRef] [PubMed]
- Xu, J.; Xu, L.; Du, K.F.; Shao, L.; Chen, C.X.; Zhou, J.Q.; Wang, Y.X.; You, Q.S.; Jonas, J.B.; Wei, W.B. Subfoveal choroidal thickness in diabetes and diabetic retinopathy. Ophthalmology 2013, 120, 2023–2028. [Google Scholar] [CrossRef] [PubMed]
- Cao, J.; McLeod, S.; Merges, C.A.; Lutty, G.A. Choriocapillaris degeneration and related pathologic changes in human diabetic eyes. Arch. Ophthalmol. 1998, 116, 589–597. [Google Scholar] [CrossRef] [PubMed]
- Hidayat, A.A.; Fine, B.S. Diabetic choroidopathy. Light and electron microscopic observations of seven cases. Ophthalmology 1985, 92, 512–522. [Google Scholar] [CrossRef]
- Nagaoka, T.; Kitaya, N.; Sugawara, R.; Yokota, H.; Mori, F.; Hikichi, T.; Fujio, N.; Yoshida, A. Alteration of choroidal circulation in the foveal region in patients with type 2 diabetes. Br. J. Ophthalmol. 2004, 88, 1060–1063. [Google Scholar] [CrossRef] [PubMed]
- Gupta, C.; Tan, R.; Mishra, C.; Khandelwal, N.; Raman, R.; Kim, R.; Agrawal, R.; Sen, P. Choroidal structural analysis in eyes with diabetic retinopathy and diabetic macular edema—A novel OCT based imaging biomarker. PLoS ONE 2018, 13, e0207435. [Google Scholar] [CrossRef]
- Tan, K.A.; Gupta, P.; Agarwal, A.; Chhablani, J.; Cheng, C.Y.; Keane, P.A.; Agrawal, R. State of science: Choroidal thickness and systemic health. Surv. Ophthalmol. 2016, 61, 566–581. [Google Scholar] [CrossRef]
- Alm, A.; Bill, A. Ocular and optic nerve blood flow at normal and increased intraocular pressures in monkeys (Macaca irus): A study with radioactively labelled microspheres including flow determinations in brain and some other tissues. Exp. Eye Res. 1973, 15, 15–29. [Google Scholar] [CrossRef]
- McClellan, W.M.; Flanders, W.D. Risk factors for progressive chronic kidney disease. J. Am. Soc. Nephrol. JASN 2003, 14, S65–S70. [Google Scholar] [CrossRef]
- Larson, T.S.; Santanello, N.; Shahinfar, S.; O’Brien, P.C.; Palumbo, P.J.; Melton, L.J., 3rd; Leibson, C.L. Trends in persistent proteinuria in adult-onset diabetes: A population-based study. Diabetes Care 2000, 23, 51–56. [Google Scholar] [CrossRef][Green Version]
- Humphrey, L.L.; Ballard, D.J.; Frohnert, P.P.; Chu, C.P.; O’Fallon, W.M.; Palumbo, P.J. Chronic renal failure in non-insulin-dependent diabetes mellitus. A population-based study in Rochester, Minnesota. Ann. Intern. Med. 1989, 111, 788–796. [Google Scholar] [CrossRef] [PubMed]
- Farias, L.B.; Lavinsky, D.; Schneider, W.M.; Guimaraes, L.; Lavinsky, J.; Canani, L.H. Choroidal thickness in patients with diabetes and microalbuminuria. Ophthalmology 2014, 121, 2071–2073. [Google Scholar] [CrossRef] [PubMed]
- Malerbi, F.K.; Regatieri, C.V.; de Sa, J.R.; Morales, P.H.; Farah, M.E.; Dib, S.A. Microalbuminuria is associated with increased choroidal thickness in type 1 diabetes mellitus patients without diabetic retinopathy. Acta Ophthalmol. 2018, 96, e95–e97. [Google Scholar] [CrossRef] [PubMed]
- Definition and classification of CKD. Kidney Int. Suppl. 2013, 3, 19–62. [CrossRef]
- Kim, J.T.; Lee, D.H.; Joe, S.G.; Kim, J.G.; Yoon, Y.H. Changes in choroidal thickness in relation to the severity of retinopathy and macular edema in type 2 diabetic patients. Investig. Ophthalmol. Vis. Sci. 2013, 54, 3378–3384. [Google Scholar] [CrossRef]
- Rewbury, R.; Want, A.; Varughese, R.; Chong, V. Subfoveal choroidal thickness in patients with diabetic retinopathy and diabetic macular oedema. Eye (Lond. Engl.) 2016, 30, 1568–1572. [Google Scholar] [CrossRef]
- Vujosevic, S.; Martini, F.; Cavarzeran, F.; Pilotto, E.; Midena, E. Macular and peripapillary choroidal thickness in diabetic patients. Retin. (Phila. Pa.) 2012, 32, 1781–1790. [Google Scholar] [CrossRef]
- Querques, G.; Lattanzio, R.; Querques, L.; Del Turco, C.; Forte, R.; Pierro, L.; Souied, E.H.; Bandello, F. Enhanced depth imaging optical coherence tomography in type 2 diabetes. Investig. Ophthalmol. Vis. Sci. 2012, 53, 6017–6024. [Google Scholar] [CrossRef]
- Kim, J.T.; Park, N. Changes in choroidal vascular parameters following pan-retinal photocoagulation using swept-source optical coherence tomography. Graefe’s Arch. Clin. Exp. Ophthalmol 2019, 258, 39–47. [Google Scholar] [CrossRef]
- Kang, H.M.; Lee, N.E.; Choi, J.H.; Koh, H.J.; Lee, S.C. Significant reduction of both peripapillary and subfoveal choroidal thickness after panretinal photocoagulation in patients with type 2 diabetes. Retina 2018, 38, 1905–1912. [Google Scholar] [CrossRef] [PubMed]
- Nourinia, R.; Ahmadieh, H.; Nekoei, E.; Malekifar, P.; Tofighi, Z. Changes in central choroidal thickness after treatment of diabetic macular edema with intravitreal bevacizumab correlation with central macular thickness and best-corrected visual acuity. Retina 2018, 38, 970–975. [Google Scholar] [CrossRef] [PubMed]
- Zdrojewski, L.; Zdrojewski, T.; Rutkowski, M.; Bandosz, P.; Krol, E.; Wyrzykowski, B.; Rutkowski, B. Prevalence of chronic kidney disease in a representative sample of the Polish population: Results of the NATPOL 2011 survey. Nephrol. Dial Transpl. 2016, 31, 433–439. [Google Scholar] [CrossRef] [PubMed]
- Anonymous. Summary of Recommendation Statements. Kidney Int. Suppl. 2013, 3, 5–14. [Google Scholar] [CrossRef] [PubMed]
- Levey, A.S.; Stevens, L.A.; Schmid, C.H.; Zhang, Y.L.; Castro, A.F., 3rd; Feldman, H.I.; Kusek, J.W.; Eggers, P.; Van Lente, F.; Greene, T.; et al. A new equation to estimate glomerular filtration rate. Ann. Intern. Med. 2009, 150, 604–612. [Google Scholar] [CrossRef]
- Stevens, L.A.; Coresh, J.; Greene, T.; Levey, A.S. Assessing kidney function—measured and estimated glomerular filtration rate. N. Eng. J. Med. 2006, 354, 2473–2483. [Google Scholar] [CrossRef] [PubMed]
- Laterza, O.F.; Price, C.P.; Scott, M.G. Cystatin C: An improved estimator of glomerular filtration rate? Clin. Chem. 2002, 48, 699–707. [Google Scholar] [CrossRef] [PubMed]
- Moe, S.; Drueke, T.; Cunningham, J.; Goodman, W.; Martin, K.; Olgaard, K.; Ott, S.; Sprague, S.; Lameire, N.; Eknoyan, G. Definition, evaluation, and classification of renal osteodystrophy: A position statement from Kidney Disease: Improving Global Outcomes (KDIGO). Kidney Int. 2006, 69, 1945–1953. [Google Scholar] [CrossRef] [PubMed]
- Silva, A.P.; Fragoso, A.; Pinho, A.; Tavares, N.; Camacho, A.; Faisca, M.; Leao Neves, P. Phosphorus as an early marker of morbidity and mortality in type 2 chronic kidney disease diabetic patients. J. Diabetes Its Complicat. 2013, 27, 328–332. [Google Scholar] [CrossRef]
- Tonelli, M.; Sacks, F.; Pfeffer, M.; Gao, Z.; Curhan, G. Relation between serum phosphate level and cardiovascular event rate in people with coronary disease. Circulation 2005, 112, 2627–2633. [Google Scholar] [CrossRef]
- Moriya, T.; Tsuchiya, A.; Okizaki, S.; Hayashi, A.; Tanaka, K.; Shichiri, M. Glomerular hyperfiltration and increased glomerular filtration surface are associated with renal function decline in normo- and microalbuminuric type 2 diabetes. Kidney Int. 2012, 81, 486–493. [Google Scholar] [CrossRef]
- Kanzaki, G.; Puelles, V.G.; Cullen-McEwen, L.A.; Hoy, W.E.; Okabayashi, Y.; Tsuboi, N.; Shimizu, A.; Denton, K.M.; Hughson, M.D.; Yokoo, T.; et al. New insights on glomerular hyperfiltration: A Japanese autopsy study. JCI Insight 2017, 2. [Google Scholar] [CrossRef] [PubMed]
- Kołodziej, M.; Waszczykowska, A.; Korzeniewska-Dyl, I.; Pyziak-Skupien, A.; Walczak, K.; Moczulski, D.; Jurowski, P.; Młynarski, W.; Szadkowska, A.; Zmysłowska, A. The HD-OCT Study May Be Useful in Searching for Markers of Preclinical Stage of Diabetic Retinopathy in Patients with Type 1 Diabetes. Diagnostics 2019, 9, 105. [Google Scholar] [CrossRef] [PubMed]



| Variables | Healthy Controls | Treatment-Naïve PDR Patients | p-Value † |
|---|---|---|---|
| Number of patients | 33 | 52 | - |
| Number of eyes (R:L) | 42 (19:23) | 85 (44:41) | - |
| Number of eyes of patients with HTN, n (%) | 0 (0%) | 66 (77.6%) | - |
| Age, years | 54.9 ± 15.1 | 52.9 ± 11.0 | 0.492 |
| BMI (kg/m2) | 25.1 ± 2.7 | 25.7 ± 4.2 | 0.461 |
| BCVA, LogMAR | 0.05 ± 0.07 | 0.24 ± 0.34 | <0.001 |
| Refractive error, SE | −1.0 ± 2.0 | −1.1 ± 1.3 | 0.763 |
| Intraocular pressure, mmHg | 15.9 ± 2.9 | 15.9 ± 2.8 | 0.880 |
| Central retinal thickness, µm | 227.9 ± 26.3 | 268.3 ± 84.9 | 0.002 |
| Mean retinal thickness, µm | 281.5 ± 12.9 | 306.4 ± 60.8 | 0.007 |
| Subfoveal ChT, µm | 261.5 ± 21.2 | 316.0 ± 80.2 | <0.001 |
| Mean ChT, µm | 215.9 ± 21.1 | 261.3 ± 64.1 | <0.001 |
| Variables | Pachychoroid Group | Leptochoroid Group | p-Value † |
|---|---|---|---|
| Number of patients | 30 (57.7%) | 22 (42.3%) | |
| SFChT, µm | 362.0 ± 45.8 | 236.8 ± 30.8 | <0.001 |
| BCVA, LogMAR | 0.27 ± 0.38 | 0.30 ± 0.31 | 0.751 |
| Intraocular pressure, mmHg | 15.8 ± 2.7 | 15.1 ± 2.3 | 0.738 |
| Refractive error (SE) | −0.7 ± 1.1 | −1.0 ± 1.2 | 0.422 |
| Number of HTN patients, n (%) | 26 (53.1%) | 11 (22.4%) | 0.027 ‡ |
| MAP, mmHg | 97.2 ± 17.6 | 93.0 ± 12.4 | 0.369 |
| Age, years | 51.3 ± 10.5 | 55.5 ± 11.7 | 0.198 |
| BMI (kg/m2) | 26.1 ± 4.3 | 24.9 ± 4.1 | 0.362 |
| Diabetes duration, years | 12.1 ± 9.4 | 9.8 ± 6.8 | 0.367 |
| FBS, mg/dL | 169.2 ± 94.6 | 161.8 ± 107.7 | 0.801 |
| HbA1c, % | 8.3 ± 2.0 | 8.6 ± 2.8 | 0.568 |
| ΔHbA1c §, % | −1.1 ± 2.1 | −1.1 ± 1.4 | 0.963 |
| Creatinine, mg/dL | 1.1 ± 0.8 | 1.8 ± 1.3 | 0.026 |
| eGFR (Cystatin C), mL/min/1.73 m2 | 92.8 ± 34.3 | 38.4 ± 35.4 | <0.001 |
| Cystatin C, mg/L | 1.2 ± 0.7 | 2.2 ± 1.2 | 0.004 |
| Phosphorus, mg/dL | 3.4 ± 0.5 | 4.2 ± 0.5 | <0.001 |
| Calcium, mg/dL | 9.0 ± 0.4 | 8.9 ± 0.5 | 0.478 |
| Urine albumin, mg/L | 1440.3 ± 2918.3 | 1287.8 ± 2333.6 | 0.849 |
| ACR, mg/g | 832.1 ± 1278.7 | 1357.4 ± 2140.9 | 0.343 |
| Univariate | Multivariate | |||||
|---|---|---|---|---|---|---|
| B† | Β‡ | p-Value | B† | Β‡ | p-Value § | |
| BCVA, LogMAR | −19.151 | −0.092 | 0.530 | |||
| Intraocular pressure, mmHg | 0.206 | 0.007 | 0.962 | |||
| Refractive error (SE) | 5.391 | 0.084 | 0.566 | |||
| MAP, mmHg | 0.913 | 0.196 | 0.178 | |||
| Age, years | −1.049 | −0.150 | 0.361 | |||
| BMI (kg/m2) | 1.375 | 0.079 | 0.592 | |||
| Diabetes duration, years | 1.200 | 0.139 | 0.342 | |||
| FBS, mg/dL | 0.122 | 0.164 | 0.261 | |||
| HbA1c, % | −6.991 | −0.216 | 0.169 | |||
| ΔHbA1c ‖,% | 4.097 | 0.104 | 0.476 | |||
| Creatinine, mg/dL | −13.050 | −0.191 | 0.188 | |||
| eGFR (Cystatin C), mL/min/1.73 m2 | 1.123 | 0.591 | <0.001 | 0.695 | 0.384 | 0.009 |
| Cystatin C, mg/L | −28.804 | −0.405 | 0.004 | 4.110 | 0.068 | 0.686 |
| Phosphorus, mg/dL | −66.707 | −0.565 | <0.001 | −46.895 | −0.477 | 0.002 |
| Calcium, mg/dL | 19.839 | 0.116 | 0.464 | |||
| Urine albumin, mg/L | 0.001 | 0.040 | 0.787 | |||
| ACR, mg/g | −0.005 | −0.117 | 0.425 | |||
| Variables | Dialysis | No Dialysis | p-Value † |
|---|---|---|---|
| Number of patients (%) | 9 (17.3%) | 43 (82.7%) | - |
| BCVA, LogMAR | 0.44 ± 0.34 | 0.26 ± 0.35 | 0.160 |
| Intraocular pressure, mmHg | 14.8 ± 2.5 | 15.8 ± 2.5 | 0.280 |
| Refractive error (SE) | −0.9 ± 0.9 | −0.8 ± 1.2 | 0.807 |
| Central retinal thickness, µm | 274.6 ± 43.2 | 268.9 ± 89.3 | 0.853 |
| Mean retinal thickness, µm | 305.5 ± 38.0 | 305.8 ± 63.0 | 0.991 |
| SFChT, µm | 236.8 ± 95.9 | 320.0 ± 68.3 | 0.003 |
| Mean ChT, µm | 197.7 ± 71.5 | 266.3 ± 62.7 | 0.005 |
| Variables | B* | Standard Error | 95% Confidence Interval | p-Value |
|---|---|---|---|---|
| Dialysis No | 0 † | – | – | – |
| Yes | −0.22 | 31.963 | 336.6–550.9 | 0.994 |
| eGFR | 0.667 | 0.2446 | 0.188–1.147 | 0.006 |
| Cystatin | 4.749 | 12.669 | −20.084–29.581 | 0.708 |
| Phosphorus | −50.119 | 13.951 | −77.463–−22.775 | <0.001 |
| Variables | CRT < 300 µm | CRT ≥ 300 µm | p-Value † |
|---|---|---|---|
| Eyes, n | 17 | 17 | |
| CRT, µm | 242.6 ± 44.9 | 345.5 ± 135.0 | 0.004 |
| SFChT, µm | 286.5 ± 73.0 | 324.8 ± 87.0 | 0.001 |
| Variables | CRT < 250 µm | CRT ≥ 250 µm | p-value † |
| Eyes, n | 28 | 28 | |
| CRT, µm | 235.0 ± 12.7 | 317.9 ± 102.4 | <0.001 |
| SFChT, µm | 276.7 ± 63.2 | 300.4 ± 83.0 | 0.006 |
© 2020 by the authors. Licensee MDPI, Basel, Switzerland. This article is an open access article distributed under the terms and conditions of the Creative Commons Attribution (CC BY) license (http://creativecommons.org/licenses/by/4.0/).
Share and Cite
Choi, M.G.; Kim, J.T. Strong Correlation of Renal Function with Choroidal Thickness in Patients with Type 2 Diabetes: Retrospective Cross-Sectional Study. J. Clin. Med. 2020, 9, 2171. https://doi.org/10.3390/jcm9072171
Choi MG, Kim JT. Strong Correlation of Renal Function with Choroidal Thickness in Patients with Type 2 Diabetes: Retrospective Cross-Sectional Study. Journal of Clinical Medicine. 2020; 9(7):2171. https://doi.org/10.3390/jcm9072171
Chicago/Turabian StyleChoi, Min Gyu, and Jee Taek Kim. 2020. "Strong Correlation of Renal Function with Choroidal Thickness in Patients with Type 2 Diabetes: Retrospective Cross-Sectional Study" Journal of Clinical Medicine 9, no. 7: 2171. https://doi.org/10.3390/jcm9072171
APA StyleChoi, M. G., & Kim, J. T. (2020). Strong Correlation of Renal Function with Choroidal Thickness in Patients with Type 2 Diabetes: Retrospective Cross-Sectional Study. Journal of Clinical Medicine, 9(7), 2171. https://doi.org/10.3390/jcm9072171

