Robot-Assisted versus Laparoscopic Donor Nephrectomy: A Comparison of 250 Cases
Abstract
1. Introduction
2. Materials and Methods
2.1. Surgical Technique
2.2. Data Collection and Outcome Measures
2.3. Statistical Analysis
3. Results
3.1. Overall Results: Primary Outcomes
3.2. Learning Curve
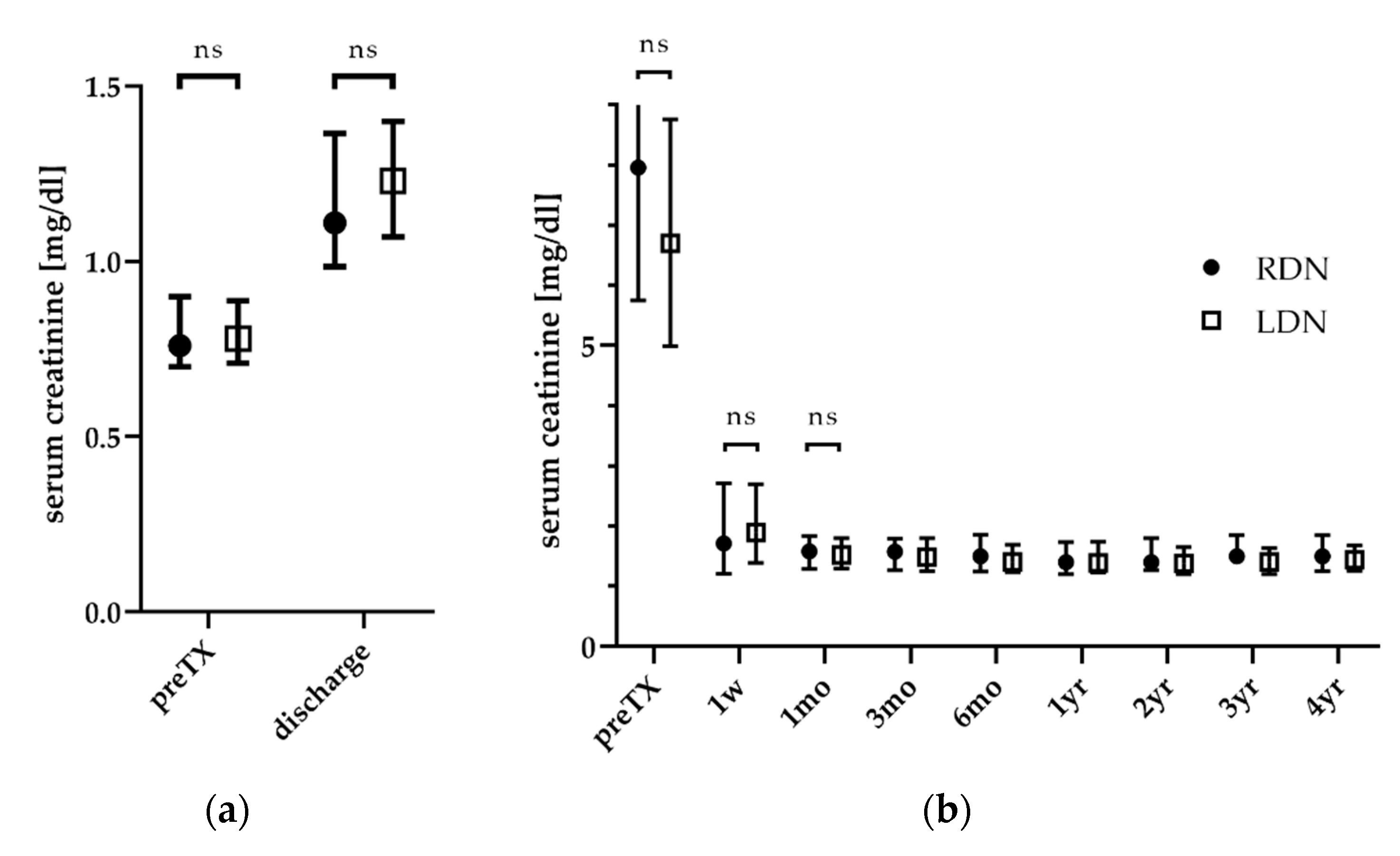
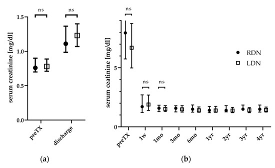
3.3. Kidney Function of the Donor and Recipient: Secondary Outcomes
4. Discussion
5. Conclusions
Author Contributions
Funding
Acknowledgments
Conflicts of Interest
References
- Shapiro, R. End-stage renal disease in 2010: Innovative approaches to improve outcomes in transplantation. Nat. Rev. Nephrol. 2011, 7, 68–70. [Google Scholar] [CrossRef] [PubMed]
- Murray, J.E.; Merrill, J.P.; Harrison, J.H. Renal homotransplantation in identical twins. J. Am. Soc. Nephrol. JASN 2001, 12, 201–204. [Google Scholar] [PubMed]
- Schweitzer, E.J.; Wilson, J.; Jacobs, S.; Machan, C.H.; Philosophe, B.; Farney, A.; Colonna, J.; Jarrell, B.E.; Bartlett, S.T. Increased rates of donation with laparoscopic donor nephrectomy. Ann. Surg. 2000, 232, 392–400. [Google Scholar] [CrossRef] [PubMed]
- Ratner, L.E.; Ciseck, L.J.; Moore, R.G.; Cigarroa, F.G.; Kaufman, H.S.; Kavoussi, L.R. Laparoscopic live donor nephrectomy. Transplantation 1995, 60, 1047–1049. [Google Scholar]
- Pfaffl, M.W.; Horgan, G.W.; Dempfle, L. Relative expression software tool (REST) for group-wise comparison and statistical analysis of relative expression results in real-time PCR. Nucleic Acids Res. 2002, 30, e36. [Google Scholar] [CrossRef]
- Wolf, J.S., Jr.; Tchetgen, M.B.; Merion, R.M. Hand-assisted laparoscopic live donor nephrectomy. Urology 1998, 52, 885–887. [Google Scholar] [CrossRef]
- Wadstrom, J.; Lindstrom, P. Hand-assisted retroperitoneoscopic living-donor nephrectomy: Initial 10 cases. Transplantation 2002, 73, 1839–1840. [Google Scholar] [CrossRef]
- Gill, I.S.; Canes, D.; Aron, M.; Haber, G.P.; Goldfarb, D.A.; Flechner, S.; Desai, M.R.; Kaouk, J.H.; Desai, M.M. Single port transumbilical (E-NOTES) donor nephrectomy. J. Urol. 2008, 180, 637–641, discussion 641. [Google Scholar] [CrossRef]
- Janki, S.; Dor, F.J.; JN, I.J. Surgical aspects of live kidney donation: An updated review. Front. Biosci. 2015, 7, 346–365. [Google Scholar] [CrossRef]
- Pietrabissa, A.; Abelli, M.; Spinillo, A.; Alessiani, M.; Zonta, S.; Ticozzelli, E.; Peri, A.; Dal Canton, A.; Dionigi, P. Robotic-assisted laparoscopic donor nephrectomy with transvaginal extraction of the kidney. Am. J. Transplant. 2010, 10, 2708–2711. [Google Scholar] [CrossRef]
- LaMattina, J.C.; Alvarez-Casas, J.; Lu, I.; Powell, J.M.; Sultan, S.; Phelan, M.W.; Barth, R.N. Robotic-assisted single-port donor nephrectomy using the da Vinci single-site platform. J. Surg. Res. 2018, 222, 34–38. [Google Scholar] [CrossRef] [PubMed]
- Tzvetanov, I.; Bejarano-Pineda, L.; Giulianotti, P.C.; Jeon, H.; Garcia-Roca, R.; Bianco, F.; Oberholzer, J.; Benedetti, E. State of the art of robotic surgery in organ transplantation. World J. Surg. 2013, 37, 2791–2799. [Google Scholar] [CrossRef] [PubMed]
- Kortram, K.; Ijzermans, J.N.; Dor, F.J. Perioperative Events and Complications in Minimally Invasive Live Donor Nephrectomy: A Systematic Review and Meta-Analysis. Transplantation 2016, 100, 2264–2275. [Google Scholar] [CrossRef] [PubMed]
- Abramowicz, D.; Cochat, P.; Claas, F.H.; Heemann, U.; Pascual, J.; Dudley, C.; Harden, P.; Hourmant, M.; Maggiore, U.; Salvadori, M.; et al. European Renal Best Practice Guideline on kidney donor and recipient evaluation and perioperative care. Nephrol. Dial. Transplant. 2015, 30, 1790–1797. [Google Scholar] [CrossRef]
- Breda, A.; Budde, K.; Figueiredo, A.; Lledó García, E.; Olsburgh, J.; Regele, H.; Boissier, R.; Taylor, C.F.; Hevia, V.; Faba, O.R.; et al. EAU Guidelines on Renal Transplantation; EAU Guidelines Office: Arnhem, The Netherlands, 2020; ISBN 978-94-92671-07-3. [Google Scholar]
- Wilson, C.H.; Sanni, A.; Rix, D.A.; Soomro, N.A. Laparoscopic versus open nephrectomy for live kidney donors. Cochrane Database Syst. Rev. 2011, CD006124. [Google Scholar] [CrossRef] [PubMed]
- Wang, H.; Chen, R.; Li, T.; Peng, L. Robot-assisted laparoscopic vs laparoscopic donor nephrectomy in renal transplantation: A meta-analysis. Clin. Transplant. 2019, 33, e13451. [Google Scholar] [CrossRef] [PubMed]
- Janssen, M.S.U.; Kopper, B.; Gerber, M.; Ohlmann, C.-H.; Akcetin, Z.; Kamradt, D.; Siemer, S.; Stöckle, M. Lectures: 088 Robotic-assisted donor nephrectomy for living donor kidney transplantation—Results of the first series in Germany. Transplant. Int. 2011, 24, 3–24. [Google Scholar] [CrossRef]
- Territo, A.; Gausa, L.; Alcaraz, A.; Musquera, M.; Doumerc, N.; Decaestecker, K.; Desender, L.; Stockle, M.; Janssen, M.; Fornara, P.; et al. European experience of robot-assisted kidney transplantation: Minimum of 1-year follow-up. BJU Int. 2018, 122, 255–262. [Google Scholar] [CrossRef] [PubMed]
- Zeuschner, P.; Siemer, S.; Stockle, M. Robot-assisted kidney transplantation. Urol. A 2020, 59, 3–9. [Google Scholar] [CrossRef] [PubMed]
- Turk, I.A.; Deger, S.; Davis, J.W.; Giesing, M.; Fabrizio, M.D.; Schonberger, B.; Jordan, G.H.; Loening, S.A. Laparoscopic live donor right nephrectomy: A new technique with preservation of vascular length. J. Urol. 2002, 167, 630–633. [Google Scholar] [CrossRef]
- Giessing, M.; Deger, S.; Schonberger, B.; Turk, I.; Loening, S.A. Laparoscopic living donor nephrectomy: From alternative to standard procedure. Transplant. Proc. 2003, 35, 2093–2095. [Google Scholar] [CrossRef]
- Cohen, A.J.; Williams, D.S.; Bohorquez, H.; Bruce, D.S.; Carmody, I.C.; Reichman, T.; Loss, G.E., Jr. Robotic-assisted laparoscopic donor nephrectomy: Decreasing length of stay. Ochsner J. 2015, 15, 19–24. [Google Scholar] [PubMed]
- Serrano, O.K.; Kirchner, V.; Bangdiwala, A.; Vock, D.M.; Dunn, T.B.; Finger, E.B.; Payne, W.D.; Pruett, T.L.; Sutherland, D.E.; Najarian, J.S.; et al. Evolution of Living Donor Nephrectomy at a Single Center: Long-term Outcomes With 4 Different Techniques in Greater Than 4000 Donors Over 50 Years. Transplantation 2016, 100, 1299–1305. [Google Scholar] [CrossRef] [PubMed]
- Basiri, A.; Simforoosh, N.; Heidari, M.; Moghaddam, S.M.; Otookesh, H. Laparoscopic v open donor nephrectomy for pediatric kidney recipients: Preliminary report of a randomized controlled trial. J. Endourol. 2007, 21, 1033–1036. [Google Scholar] [CrossRef] [PubMed]
- Simforoosh, N.; Basiri, A.; Tabibi, A.; Shakhssalim, N.; Hosseini Moghaddam, S.M. Comparison of laparoscopic and open donor nephrectomy: A randomized controlled trial. BJU Int. 2005, 95, 851–855. [Google Scholar] [CrossRef] [PubMed]
- Horgan, S.; Galvani, C.; Gorodner, M.V.; Jacobsen, G.R.; Moser, F.; Manzelli, A.; Oberholzer, J.; Fisichella, M.P.; Bogetti, D.; Testa, G.; et al. Effect of robotic assistance on the “learning curve” for laparoscopic hand-assisted donor nephrectomy. Surg. Endosc. 2007, 21, 1512–1517. [Google Scholar] [CrossRef] [PubMed]
- Janki, S.; Klop, K.W.J.; Hagen, S.M.; Terkivatan, T.; Betjes, M.G.H.; Tran, T.C.K.; Ijzermans, J.N.M. Robotic surgery rapidly and successfully implemented in a high volume laparoscopic center on living kidney donation. Int. J. Med. Robot. 2017, 13. [Google Scholar] [CrossRef]
- Friedersdorff, F.; Werthemann, P.; Cash, H.; Kempkensteffen, C.; Magheli, A.; Hinz, S.; Waiser, J.; Liefeldt, L.; Miller, K.; Deger, S.; et al. Outcomes after laparoscopic living donor nephrectomy: Comparison of two laparoscopic surgeons with different levels of expertise. BJU Int. 2013, 111, 95–100. [Google Scholar] [CrossRef]
- Kawan, F.; Theil, G.; Fornara, P. Robotic Donor Nephrectomy: Against. Eur. Urol. Focus 2018, 4, 142–143. [Google Scholar] [CrossRef]
- Hellegering, J.; Visser, J.; Kloke, H.J.; D’Ancona, F.C.; Hoitsma, A.J.; van der Vliet, J.A.; Warle, M.C. Deleterious influence of prolonged warm ischemia in living donor kidney transplantation. Transplant. Proc. 2012, 44, 1222–1226. [Google Scholar] [CrossRef]
- Brunotte, M.; Rademacher, S.; Weber, J.; Sucher, E.; Lederer, A.; Hau, H.-M.; Stolzenburg, J.-U.; Seehofer, D.; Sucher, R. Robotic assisted nephrectomy for living kidney donation (RANLD) with use of multiple locking clips or ligatures for renal vascular closure. Ann. Transl. Med. 2020, 8, 305. [Google Scholar] [CrossRef] [PubMed]
- Luke, P.P.; Aquil, S.; Alharbi, B.; Sharma, H.; Sener, A. First Canadian experience with robotic laparoendoscopic single-site vs. standard laparoscopic living-donor nephrectomy: A prospective comparative study. Can. Urol. Assoc. J. 2018, 12, E440–E446. [Google Scholar] [CrossRef] [PubMed]
- Benoit, T.; Game, X.; Roumiguie, M.; Sallusto, F.; Doumerc, N.; Beauval, J.B.; Rischmann, P.; Kamar, N.; Soulie, M.; Malavaud, B. Predictive model of 1-year postoperative renal function after living donor nephrectomy. Int. Urol. Nephrol. 2017, 49, 793–801. [Google Scholar] [CrossRef] [PubMed]
- Kulik, U.; Gwiasda, J.; Oldhafer, F.; Kaltenborn, A.; Arelin, V.; Gueler, F.; Richter, N.; Klempnauer, J.; Schrem, H. External validation of a proposed prognostic model for the prediction of 1-year postoperative eGFR after living donor nephrectomy. Int. Urol. Nephrol. 2017, 49, 1937–1940. [Google Scholar] [CrossRef]
- Perico, N.; Cattaneo, D.; Sayegh, M.H.; Remuzzi, G. Delayed graft function in kidney transplantation. Lancet 2004, 364, 1814–1827. [Google Scholar] [CrossRef]
- Narayanan, R.; Cardella, C.J.; Cattran, D.C.; Cole, E.H.; Tinckam, K.J.; Schiff, J.; Kim, S.J. Delayed graft function and the risk of death with graft function in living donor kidney transplant recipients. Am. J. Kidney Dis. 2010, 56, 961–970. [Google Scholar] [CrossRef]
- Xia, J.; Wang, L.; Ma, Z.; Zhong, L.; Wang, Y.; Gao, Y.; He, L.; Su, X. Cigarette smoking and chronic kidney disease in the general population: A systematic review and meta-analysis of prospective cohort studies. Nephrol. Dial. Transplant. 2017, 32, 475–487. [Google Scholar] [CrossRef]
- Orth, S.R.; Hallan, S.I. Smoking: A risk factor for progression of chronic kidney disease and for cardiovascular morbidity and mortality in renal patients--absence of evidence or evidence of absence? Clin. J. Am. Soc. Nephrol. 2008, 3, 226–236. [Google Scholar] [CrossRef]
- Aref, A.; Sharma, A.; Halawa, A. Smoking in Renal Transplantation; Facts beyond Myth. World J. Transplant. 2017, 7, 129–133. [Google Scholar] [CrossRef]
- Ahlawat, R.K.; Jindal, T. Robotic Donor Nephrectomy: The Right Way Forward. Eur. Urol. Focus 2018, 4, 140–141. [Google Scholar] [CrossRef]

| RDN (n = 52) | LDN (n = 205) | p-Value | |
|---|---|---|---|
| donor | |||
| age (yr) | 54 (20; 70) | 51 (21; 78) | n.s. |
| male gender | 16 (30.8%) | 75 (36.6%) | n.s. |
| BMI (kg/m²) | 25.4 (17.6; 36.7) | 25.9 (17.6; 36.1) | n.s. |
| pre-existing | |||
| hypertension | 15 (28.8%) | 44 (21.5%) | n.s. |
| diabetes | 1 (1.9%) | 3 (1.5%) | n.s. |
| history of smoking | 5 (9.6%) | 108 (52.7%) | <0.001 |
| graft | |||
| right side | 11 (21.2%) | 45 (22%) | n.s. |
| multiple arteries | 6 (11.5%) | 38 (18.5%) | n.s. |
| multiple veins | 0 | 26 (12.7%) | <0.01 |
| scintigraphic function | 50% (39; 57) | 50% (38; 58) | n.s. |
| recipient | |||
| age (yr) | 42 (18; 66) | 45 (6; 76) | n.s. |
| male gender | 35 (67.3%) | 144 (70.2%) | n.s. |
| BMI (kg/m²) | 25.1 (17.6; 37) | 24.7 (16.8; 40.8) | n.s. |
| side left | 8 (15.4%) | 46 (22.4%) | n.s. |
| first transplantation | 48 (92.3%) | 187 (91.2%) | n.s. |
| RDN (n = 52) | LDN (n = 205) | p-Value | |
|---|---|---|---|
| Intraoperative | |||
| operating time (min) | 223.5 (127; 363) | 213 (120; 392) | n.s. |
| WIT (min) | 3 (0.5; 1) | 2.45 (0.4; 5.27) | n.s. |
| complications | 3 (5.7%) | 6 (2.9%) | n.s. |
| conversions | 1 (1.9%) | 1 (0.5%) | n.s. |
| postoperative | |||
| length of stay (d) | 5 (2; 12) | 5 (3; 18) | n.s. |
| Clavien–Dindo | n.s. | ||
| grade 3 | 1 (1.9%) | 1 (0.5%) | n.s. |
| grade 4 | - | 2 (1%) | n.s. |
| grade 5 | - | - | n.s. |
| recipient | |||
| DGF | 6 (11.5%) | 13 (6.3%) | n.s. |
| RDN | LDN | |||||
|---|---|---|---|---|---|---|
| 1st half (n = 26) | 2nd half (n = 26) | p | 1st half (n = 102) | 2nd half (n = 103) | p | |
| Intraoperative | ||||||
| operating time | 185 (148; 284) | 265 (127; 363) | <0.001 1 | 213 (135; 392) | 216 (120; 363) | n.s. |
| WIT (min) | 3 (0.5; 9) | 2 (1; 10) | n.s. | 2.4 (0.4; 5) | 2.5 (0.5; 5.2) | n.s. |
| complications | 2 (7.7%) | 1 (3.8%) | n.s. | 3 (2.9%) | 3 (2.9%) | n.s. |
| conversions | 1 (3.8%) | - | n.s. | - | 1 (0.9%) | n.s. |
| postoperative | ||||||
| length of stay (d) | 5 (3–12) | 5 (2–7) | n.s. | 5 (3; 18) | 5 (3; 11) | n.s. |
| Clavien–Dindo | 0 (0; 2) | 0 (0) | n.s. | 0 (0; 4) | 0 (0; 4) | n.s. |
| grade 3 | 1 (3.8%) | - | n.s. | 1 (1%) | - | n.s. |
| grade 4 | - | - | n.s. | 1 (1%) | 1 (1%) | n.s. |
| grade 5 | - | - | n.s. | - | - | n.s. |
| recipient | ||||||
| DGF | 4 (15.4%) | 2 (7.7%) | n.s. | 6 (5.9%) | 7 (6.8%) | n.s. |
| Variable | B-Value | p-Value |
|---|---|---|
| donor kidney function | ||
| gender | 0.14 (0.09; 0.19) | <0.001 |
| preTX serum creatinine | 1.00 (0.82; 1.18) | <0.001 |
| surgical approach | - | n.s. |
| graft function | ||
| smoking donor | 0.63 (1.21; 0.05) | <0.05 |
| preemptive Tx | - | n.s. |
| preTX serum creatinine | 0.22 (0.12; 0.31) | <0.001 |
| surgical approach | - | n.s. |
© 2020 by the authors. Licensee MDPI, Basel, Switzerland. This article is an open access article distributed under the terms and conditions of the Creative Commons Attribution (CC BY) license (http://creativecommons.org/licenses/by/4.0/).
Share and Cite
Zeuschner, P.; Hennig, L.; Peters, R.; Saar, M.; Linxweiler, J.; Siemer, S.; Magheli, A.; Kramer, J.; Liefeldt, L.; Budde, K.; et al. Robot-Assisted versus Laparoscopic Donor Nephrectomy: A Comparison of 250 Cases. J. Clin. Med. 2020, 9, 1610. https://doi.org/10.3390/jcm9061610
Zeuschner P, Hennig L, Peters R, Saar M, Linxweiler J, Siemer S, Magheli A, Kramer J, Liefeldt L, Budde K, et al. Robot-Assisted versus Laparoscopic Donor Nephrectomy: A Comparison of 250 Cases. Journal of Clinical Medicine. 2020; 9(6):1610. https://doi.org/10.3390/jcm9061610
Chicago/Turabian StyleZeuschner, Philip, Linda Hennig, Robert Peters, Matthias Saar, Johannes Linxweiler, Stefan Siemer, Ahmed Magheli, Jürgen Kramer, Lutz Liefeldt, Klemens Budde, and et al. 2020. "Robot-Assisted versus Laparoscopic Donor Nephrectomy: A Comparison of 250 Cases" Journal of Clinical Medicine 9, no. 6: 1610. https://doi.org/10.3390/jcm9061610
APA StyleZeuschner, P., Hennig, L., Peters, R., Saar, M., Linxweiler, J., Siemer, S., Magheli, A., Kramer, J., Liefeldt, L., Budde, K., Schlomm, T., Stöckle, M., & Friedersdorff, F. (2020). Robot-Assisted versus Laparoscopic Donor Nephrectomy: A Comparison of 250 Cases. Journal of Clinical Medicine, 9(6), 1610. https://doi.org/10.3390/jcm9061610

