The Area and Number of Intraretinal Cystoid Spaces Predict the Visual Outcome after Ranibizumab Monotherapy in Diabetic Macular Edema
Abstract
1. Introduction
2. Experimental Section
2.1. Participants
2.2. Eye Examinations
2.3. Fluorescein Angiography
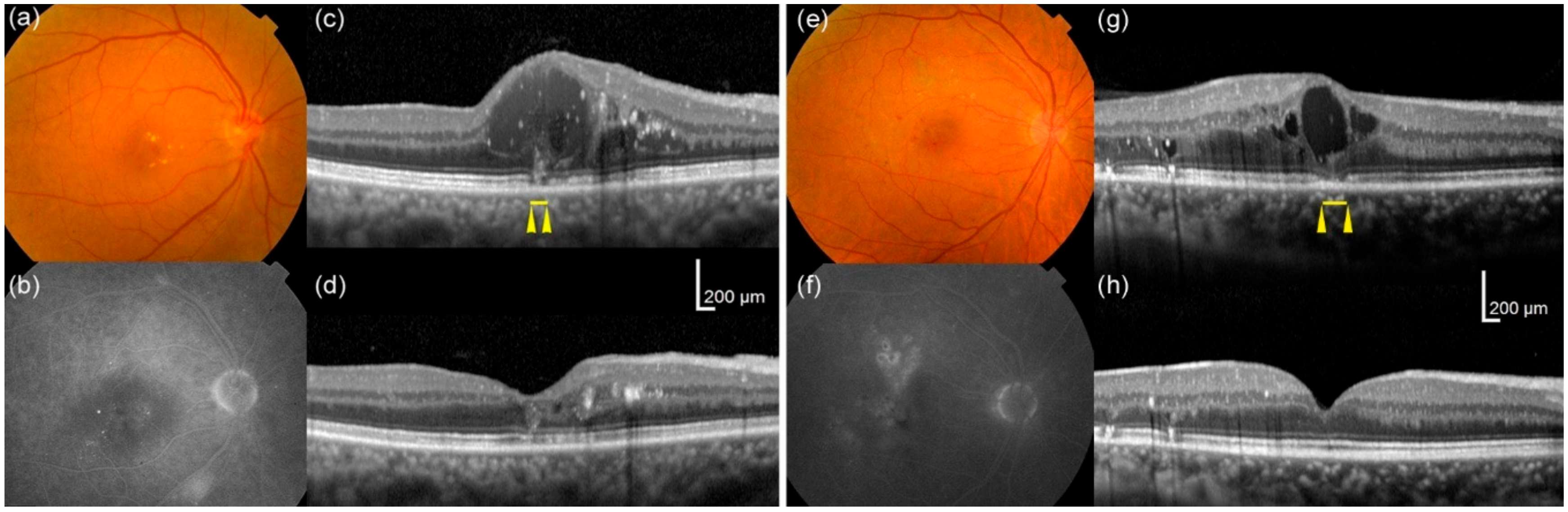
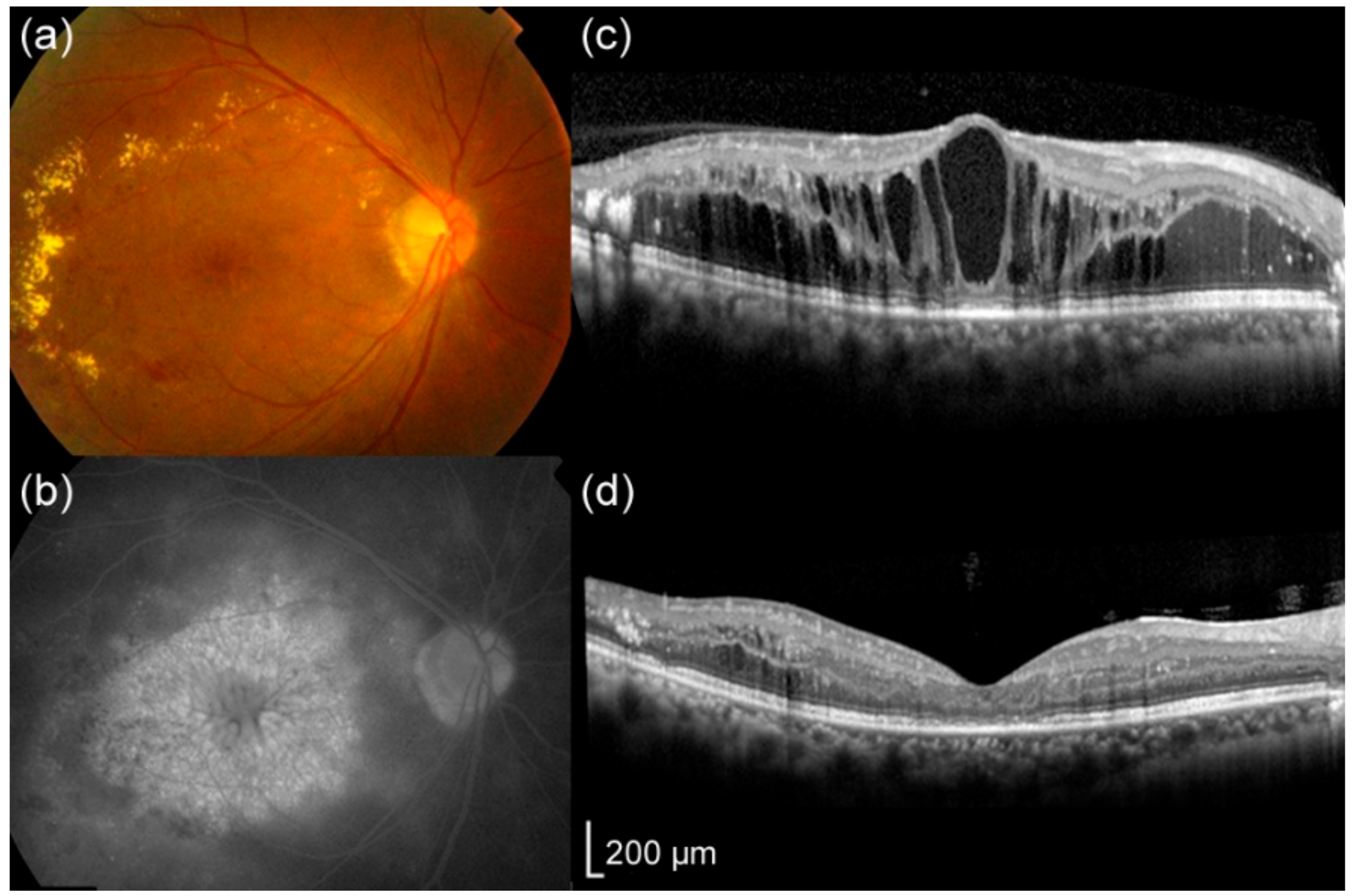
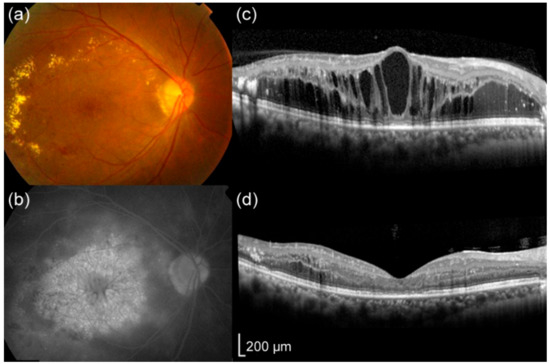
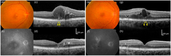
2.4. Optical Coherence Tomography
2.5. Anti-VEGF Therapy
2.6. Statistical Analyses
3. Results
3.1. Baseline Characteristics and OCT Findings
3.2. Treatment Outcome of IVR Monotherapy for DME
3.3. Association between BCVA at 12 Months and the Baseline Findings
3.4. Association of the Area Ratio and Number of Cystoid Spaces at Baseline with Outer Retinal Morphology at 12 Months
3.5. Association of the Area Ratio and Number of Cystoid Spaces at Baseline and CRT at the Time of DME Resolution
4. Discussion
Author Contributions
Funding
Acknowledgments
Conflicts of Interest
References
- Leasher, J.L.; Bourne, R.R.; Flaxman, S.R.; Jonas, J.B.; Keeffe, J.; Naidoo, K.; Pesudovs, K.; Price, H.; White, R.A.; Wong, T.Y.; et al. Global Estimates on the Number of People Blind or Visually Impaired by Diabetic Retinopathy: A Meta-analysis From 1990 to 2010. Diabetes Care 2016, 39, 1643–1649. [Google Scholar] [CrossRef] [PubMed]
- Flaxman, S.R.; Bourne, R.R.A.; Resnikoff, S.; Ackland, P.; Braithwaite, T.; Cicinelli, M.V.; Das, A.; Jonas, J.B.; Keeffe, J.; Kempen, J.H.; et al. Global causes of blindness and distance vision impairment 1990-2020: A systematic review and meta-analysis. Lancet Glob. Health 2017, 5, e1221–e1234. [Google Scholar] [CrossRef]
- Browning, D.J.; Glassman, A.R.; Aiello, L.P.; Bressler, N.M.; Bressler, S.B.; Danis, R.P.; Davis, M.D.; Ferris, F.L.; Huang, S.S.; Kaiser, P.K.; et al. Optical coherence tomography measurements and analysis methods in optical coherence tomography studies of diabetic macular edema. Ophthalmology 2008, 115, 1366–1371.e1. [Google Scholar] [CrossRef] [PubMed]
- Cooper, O.A.E.; Taylor, D.J.; Crabb, D.P.; Sim, D.A.; McBain, H. Psychological, social and everyday visual impact of diabetic macular oedema and diabetic retinopathy: A systematic review. Diabet. Med. 2019. [Google Scholar] [CrossRef]
- Mitchell, P.; Bandello, F.; Schmidt-Erfurth, U.; Lang, G.E.; Massin, P.; Schlingemann, R.O.; Sutter, F.; Simader, C.; Burian, G.; Gerstner, O.; et al. The RESTORE study: Ranibizumab monotherapy or combined with laser versus laser monotherapy for diabetic macular edema. Ophthalmology 2011, 118, 615–625. [Google Scholar] [CrossRef]
- Massin, P.; Bandello, F.; Garweg, J.G.; Hansen, L.L.; Harding, S.P.; Larsen, M.; Mitchell, P.; Sharp, D.; Wolf-Schnurrbusch, U.E.; Gekkieva, M.; et al. Safety and efficacy of ranibizumab in diabetic macular edema (RESOLVE Study): A 12-month, randomized, controlled, double-masked, multicenter phase II study. Diabetes Care 2010, 33, 2399–2405. [Google Scholar] [CrossRef]
- Nguyen, Q.D.; Brown, D.M.; Marcus, D.M.; Boyer, D.S.; Patel, S.; Feiner, L.; Gibson, A.; Sy, J.; Rundle, A.C.; Hopkins, J.J.; et al. Ranibizumab for diabetic macular edema: Results from 2 phase III randomized trials: RISE and RIDE. Ophthalmology 2012, 119, 789–801. [Google Scholar] [CrossRef]
- Korobelnik, J.F.; Holz, F.G.; Roider, J.; Ogura, Y.; Simader, C.; Schmidt-Erfurth, U.; Lorenz, K.; Honda, M.; Vitti, R.; Berliner, A.J.; et al. Intravitreal Aflibercept Injection for Macular Edema Resulting from Central Retinal Vein Occlusion: One-Year Results of the Phase 3 GALILEO Study. Ophthalmology 2014, 121, 202–208. [Google Scholar] [CrossRef]
- Otani, T.; Kishi, S.; Maruyama, Y. Patterns of diabetic macular edema with optical coherence tomography. Am. J. Ophthalmol. 1999, 127, 688–693. [Google Scholar] [CrossRef]
- Ichiyama, Y.; Sawada, O.; Mori, T.; Fujikawa, M.; Kawamura, H.; Ohji, M. The effectiveness of vitrectomy for diffuse diabetic macular edema may depend on its preoperative optical coherence tomography pattern. Graefes Arch. Clin. Exp. Ophthalmol. 2016, 254, 1545–1551. [Google Scholar] [CrossRef]
- Shimura, M.; Yasuda, K.; Yasuda, M.; Nakazawa, T. Visual outcome after intravitreal bevacizumab depends on the optical coherence tomographic patterns of patients with diffuse diabetic macular edema. Retina 2013, 33, 740–747. [Google Scholar] [CrossRef] [PubMed]
- James, D.G.P.; Mitkute, D.; Porter, G.; Vayalambrone, D. Visual Outcomes Following Intravitreal Ranibizumab for Diabetic Macular Edema in a Pro Re Nata Protocol from Baseline: A Real-World Experience. Asia Pac. J. Ophthalmol. (Phila) 2019, 8, 200–205. [Google Scholar] [CrossRef]
- Sato, S.; Shinoda, H.; Nagai, N.; Suzuki, M.; Uchida, A.; Kurihara, T.; Kamoshita, M.; Tomita, Y.; Iyama, C.; Minami, S.; et al. Predictive factors of better outcomes by monotherapy of an antivascular endothelial growth factor drug, ranibizumab, for diabetic macular edema in clinical practice. Medicine (Baltimore) 2017, 96, e6459. [Google Scholar] [CrossRef] [PubMed]
- Yoshitake, T.; Murakami, T.; Suzuma, K.; Fujimoto, M.; Dodo, Y.; Tsujikawa, A. Predictor of Early Remission of Diabetic Macular Edema under As-Needed Intravitreal Ranibizumab. Sci. Rep. 2019, 9, 7599. [Google Scholar] [CrossRef]
- Chen, Y.P.; Wu, A.L.; Chuang, C.C.; Chen, S.N. Factors influencing clinical outcomes in patients with diabetic macular edema treated with intravitreal ranibizumab: Comparison between responder and non-responder cases. Sci. Rep. 2019, 9, 10952. [Google Scholar] [CrossRef]
- Eliwa, T.F.; Hussein, M.A.; Zaki, M.A.; Raslan, O.A. Outer Retinal Layer Thickness as Good Visual Predictor in Patients with Diabetic Macular Edema. Retina 2018, 38, 805–811. [Google Scholar] [CrossRef]
- Boyer, D.S.; Nguyen, Q.D.; Brown, D.M.; Basu, K.; Ehrlich, J.S.; Ride and Rise Research Group. Outcomes with As-Needed Ranibizumab after Initial Monthly Therapy: Long-Term Outcomes of the Phase III RIDE and RISE Trials. Ophthalmology 2015, 122, 2504–2513.e1. [Google Scholar] [CrossRef]
- Sun, J.K.; Lin, M.M.; Lammer, J.; Prager, S.; Sarangi, R.; Silva, P.S.; Aiello, L.P. Disorganization of the retinal inner layers as a predictor of visual acuity in eyes with center-involved diabetic macular edema. JAMA Ophthalmol. 2014, 132, 1309–1316. [Google Scholar] [CrossRef]
- Sun, J.K.; Radwan, S.H.; Soliman, A.Z.; Lammer, J.; Lin, M.M.; Prager, S.G.; Silva, P.S.; Aiello, L.B.; Aiello, L.P. Neural Retinal Disorganization as a Robust Marker of Visual Acuity in Current and Resolved Diabetic Macular Edema. Diabetes 2015, 64, 2560–2570. [Google Scholar] [CrossRef]
- Grewal, D.S.; O’Sullivan, M.L.; Kron, M.; Jaffe, G.J. Association of Disorganization of Retinal Inner Layers With Visual Acuity In Eyes With Uveitic Cystoid Macular Edema. Am. J. Ophthalmol. 2017, 177, 116–125. [Google Scholar] [CrossRef]
- Daruich, A.; Matet, A.; Moulin, A.; Kowalczuk, L.; Nicolas, M.; Sellam, A.; Rothschild, P.R.; Omri, S.; Gelize, E.; Jonet, L.; et al. Mechanisms of macular edema: Beyond the surface. Prog. Retin Eye Res. 2018, 63, 20–68. [Google Scholar] [CrossRef] [PubMed]
- Ishibashi, T.; Li, X.; Koh, A.; Lai, T.Y.; Lee, F.L.; Lee, W.K.; Ma, Z.; Ohji, M.; Tan, N.; Cha, S.B.; et al. The REVEAL Study: Ranibizumab Monotherapy or Combined with Laser versus Laser Monotherapy in Asian Patients with Diabetic Macular Edema. Ophthalmology 2015, 122, 1402–1415. [Google Scholar] [CrossRef] [PubMed]
- Gonzalez, V.H.; Campbell, J.; Holekamp, N.M.; Kiss, S.; Loewenstein, A.; Augustin, A.J.; Ma, J.; Ho, A.C.; Patel, V.; Whitcup, S.M.; et al. Early and Long-Term Responses to Anti-Vascular Endothelial Growth Factor Therapy in Diabetic Macular Edema: Analysis of Protocol I Data. Am. J. Ophthalmol. 2016, 172, 72–79. [Google Scholar] [CrossRef] [PubMed]
- Diabetic Retinopathy Clinical Research, N.; Elman, M.J.; Qin, H.; Aiello, L.P.; Beck, R.W.; Bressler, N.M.; Ferris, F.L., 3rd; Glassman, A.R.; Maturi, R.K.; Melia, M. Intravitreal ranibizumab for diabetic macular edema with prompt versus deferred laser treatment: Three-year randomized trial results. Ophthalmology 2012, 119, 2312–2318. [Google Scholar] [CrossRef]
- Bressler, S.B.; Qin, H.; Beck, R.W.; Chalam, K.V.; Kim, J.E.; Melia, M.; Wells, J.A., 3rd; Diabetic Retinopathy Clinical Research, N. Factors associated with changes in visual acuity and central subfield thickness at 1 year after treatment for diabetic macular edema with ranibizumab. Arch. Ophthalmol. 2012, 130, 1153–1161. [Google Scholar] [CrossRef]
- Maggio, E.; Sartore, M.; Attanasio, M.; Maraone, G.; Guerriero, M.; Polito, A.; Pertile, G. Anti-Vascular Endothelial Growth Factor Treatment for Diabetic Macular Edema in a Real-World Clinical Setting. Am. J. Ophthalmol. 2018, 195, 209–222. [Google Scholar] [CrossRef]
- Diabetic Retinopathy Clinical Research, N.; Browning, D.J.; Glassman, A.R.; Aiello, L.P.; Beck, R.W.; Brown, D.M.; Fong, D.S.; Bressler, N.M.; Danis, R.P.; Kinyoun, J.L.; et al. Relationship between optical coherence tomography-measured central retinal thickness and visual acuity in diabetic macular edema. Ophthalmology 2007, 114, 525–536. [Google Scholar] [CrossRef]
- Muftuoglu, I.K.; Mendoza, N.; Gaber, R.; Alam, M.; You, Q.; Freeman, W.R. Integrity of Outer Retinal Layers after Resolution of Central Involved Diabetic Macular Edema. Retina 2017, 37, 2015–2024. [Google Scholar] [CrossRef]
- Chhablani, J.K.; Kim, J.S.; Cheng, L.; Kozak, I.; Freeman, W. External limiting membrane as a predictor of visual improvement in diabetic macular edema after pars plana vitrectomy. Graefes Arch. Clin. Exp. Ophthalmol. 2012, 250, 1415–1420. [Google Scholar] [CrossRef]
- Santos, A.R.; Alves, D.; Santos, T.; Figueira, J.; Silva, R.; Cunha-Vaz, J.G. MEASUREMENTS OF RETINAL FLUID BY OPTICAL COHERENCE TOMOGRAPHY LEAKAGE IN DIABETIC MACULAR EDEMA: A Biomarker of Visual Acuity Response to Treatment. Retina 2019, 39, 52–60. [Google Scholar] [CrossRef]
- Bressler, S.B.; Glassman, A.R.; Almukhtar, T.; Bressler, N.M.; Ferris, F.L.; Googe, J.M., Jr.; Gupta, S.K.; Jampol, L.M.; Melia, M.; Wells, J.A., 3rd; et al. Five-Year Outcomes of Ranibizumab With Prompt or Deferred Laser Versus Laser or Triamcinolone Plus Deferred Ranibizumab for Diabetic Macular Edema. Am. J. Ophthalmol. 2016, 164, 57–68. [Google Scholar] [CrossRef] [PubMed]
- Karst, S.G.; Schuster, M.; Mitsch, C.; Meyer, E.L.; Kundi, M.; Scholda, C.; Schmidt-Erfurth, U.M. Atrophy of the central neuroretina in patients treated for diabetic macular edema. Acta Ophthalmol. 2019, 97, e1054–e1061. [Google Scholar] [CrossRef] [PubMed]
- Gerendas, B.S.; Prager, S.; Deak, G.; Simader, C.; Lammer, J.; Waldstein, S.M.; Guerin, T.; Kundi, M.; Schmidt-Erfurth, U.M. Predictive imaging biomarkers relevant for functional and anatomical outcomes during ranibizumab therapy of diabetic macular oedema. Br. J. Ophthalmol. 2018, 102, 195–203. [Google Scholar] [CrossRef] [PubMed]
- Govetto, A.; Sarraf, D.; Hubschman, J.P.; Tadayoni, R.; Couturier, A.; Chehaibou, I.; Au, A.; Grondin, C.; Virgili, G.; Romano, M.R. Distinctive mechanisms and patterns of exudative versus tractional intraretinal cystoid spaces as seen with multimodal imaging. Am. J. Ophthalmol. 2019. [Google Scholar] [CrossRef]
- Kanakis, M.G.; Giannouli, K.; Andreanos, K.; Papaconstantinou, D.; Koutsandrea, C.; Ladas, I.; Georgalas, I.; Petrou, P.; Kotsolis, A.I. CAPILLARY NONPERFUSION AND PHOTORECEPTOR LOSS IN BRANCH RETINAL VEIN OCCLUSION: Spatial Correlation and Morphologic Characteristics. Retina 2017, 37, 1710–1722. [Google Scholar] [CrossRef]
- Pelosini, L.; Hull, C.C.; Boyce, J.F.; McHugh, D.; Stanford, M.R.; Marshall, J. Optical coherence tomography may be used to predict visual acuity in patients with macular edema. Investig. Ophthalmol. Vis. Sci. 2011, 52, 2741–2748. [Google Scholar] [CrossRef]
- Dudek, H.; Datta, S.R.; Franke, T.F.; Birnbaum, M.J.; Yao, R.; Cooper, G.M.; Segal, R.A.; Kaplan, D.R.; Greenberg, M.E. Regulation of neuronal survival by the serine-threonine protein kinase Akt. Science 1997, 275, 661–665. [Google Scholar] [CrossRef]
- Ikegami, K.; Koike, T. Membrane depolarization-mediated survival of sympathetic neurons occurs through both phosphatidylinositol 3-kinase- and CaM kinase II-dependent pathways. Brain Res. 2000, 866, 218–226. [Google Scholar] [CrossRef]
- Ozawa, Y.; Toda, E.; Kawashima, H.; Homma, K.; Osada, H.; Nagai, N.; Abe, Y.; Yasui, M.; Tsubota, K. Aquaporin 4 Suppresses Neural Hyperactivity and Synaptic Fatigue and Fine-Tunes Neurotransmission to Regulate Visual Function in the Mouse Retina. Mol. Neurobiol. 2019, 56, 8124–8135. [Google Scholar] [CrossRef]
- Syrbe, S.; Kuhrt, H.; Gartner, U.; Habermann, G.; Wiedemann, P.; Bringmann, A.; Reichenbach, A. Muller glial cells of the primate foveola: An electron microscopical study. Exp. Eye Res. 2018, 167, 110–117. [Google Scholar] [CrossRef]
- Gass, J.D. Muller cell cone, an overlooked part of the anatomy of the fovea centralis: Hypotheses concerning its role in the pathogenesis of macular hole and foveomacualr retinoschisis. Arch. Ophthalmol. 1999, 117, 821–823. [Google Scholar] [CrossRef] [PubMed]
- Bringmann, A.; Pannicke, T.; Grosche, J.; Francke, M.; Wiedemann, P.; Skatchkov, S.N.; Osborne, N.N.; Reichenbach, A. Muller cells in the healthy and diseased retina. Prog. Retin Eye Res. 2006, 25, 397–424. [Google Scholar] [CrossRef] [PubMed]
- Bringmann, A.; Iandiev, I.; Pannicke, T.; Wurm, A.; Hollborn, M.; Wiedemann, P.; Osborne, N.N.; Reichenbach, A. Cellular signaling and factors involved in Muller cell gliosis: Neuroprotective and detrimental effects. Prog. Retin Eye Res. 2009, 28, 423–451. [Google Scholar] [CrossRef] [PubMed]
- Agca, C.; Gubler, A.; Traber, G.; Beck, C.; Imsand, C.; Ail, D.; Caprara, C.; Grimm, C. p38 MAPK signaling acts upstream of LIF-dependent neuroprotection during photoreceptor degeneration. Cell Death Dis. 2013, 4, e785. [Google Scholar] [CrossRef] [PubMed]
- Bressler, N.M.; Beaulieu, W.T.; Glassman, A.R.; Blinder, K.J.; Bressler, S.B.; Jampol, L.M.; Melia, M.; Wells, J.A., 3rd; Diabetic Retinopathy Clinical Research, N. Persistent Macular Thickening Following Intravitreous Aflibercept, Bevacizumab, or Ranibizumab for Central-Involved Diabetic Macular Edema With Vision Impairment: A Secondary Analysis of a Randomized Clinical Trial. JAMA Ophthalmol. 2018, 136, 257–269. [Google Scholar] [CrossRef]
- Schlegl, T.; Waldstein, S.M.; Bogunovic, H.; Endstrasser, F.; Sadeghipour, A.; Philip, A.M.; Podkowinski, D.; Gerendas, B.S.; Langs, G.; Schmidt-Erfurth, U. Fully Automated Detection and Quantification of Macular Fluid in OCT Using Deep Learning. Ophthalmology 2018, 125, 549–558. [Google Scholar] [CrossRef]






| Age (y/o, mean (range)) | 65.5 ± 1.6 (40–80) |
| Sex (male, eyes (%)) | 29 (63.0) |
| HbA1c (%, mean (range)) | 7.2 ± 0.1 (5.4–10.0) |
| Hypertension (%) | 28 (60.9) |
| BCVA (logMAR, mean (range)) | 0.285 ± 0.038 (−0.079–1.000) |
| Fundus findings | |
| Mild to moderate non-proliferative DR (eyes (%)) | 13 (28.26) |
| Severe non-proliferative DR (eyes (%)) | 20 (43.48) |
| Proliferative DR (eyes (%)) | 13 (28.26) |
| OCT findings | |
| CRT (μm, mean (range)) | 418 ± 21 (167–800) |
| Area ratio of intraretinal cystoid spaces (%, mean (range)) | 19.7 ± 1.9 (2.9–61.7) |
| Number of intraretinal cystoid spaces (mean (range)) | 3.7 ± 0.3 (1–9) |
| Extent of DRIL (μm, mean (range)) | 1056 ± 51 (280–1815) |
| Extent of ELM disruption (μm, mean (range)) | 273 ± 80 (0–2000) |
| Extent of EZ disruption (μm, mean (range)) | 580 ± 95 (0–2000) |
| Presence of hyperreflective foci (eyes (%)) | 16 (34.8) |
| Presence of SRF (eyes (%)) | 9 (19.6) |
| Crude | Multi-adjusted | |||||
|---|---|---|---|---|---|---|
| R | p | 95%CI | R | p | 95%CI | |
| Age | −0.015 | 0.919 | −0.304 to 0.276 | - | - | - |
| Sex (male) | 0.030 | 0.843 | −0.263 to 0.318 | 0.046 | 0.604 | −0.082 to 0.139 |
| HbA1c | −0.136 | 0.368 | −0.410 to 0.161 | −0.070 | 0.431 | −0.079 to 0.035 |
| Hypertension | −0.220 | 0.141 | −0.480 to 0.075 | −0.058 | 0.524 | −0.148 to 0.075 |
| BCVA | 0.830 | <0.001 | 0.711 to 0.903 | - | - | - |
| Proliferative DR | 0.162 | 0.284 | −0.135 to 0.432 | 0.090 | 0.327 | −0.061 to 0.179 |
| CRT | 0.311 | 0.036 | 0.023 to 0.572 | 0.049 | 0.608 | −0.001 to 0.001 |
| Area ratio of intraretinal cystoid spaces | 0.688 | <0.001 | 0.488 to 0.811 | 0.407 | < 0.001 * | 0.006 to 0.013 |
| Number of intraretinal cystoid spaces | 0.557 | <0.001 | 0.319 to 0.730 | 0.241 | 0.012 * | 0.008 to 0.059 |
| Extent of DRIL | 0.593 | <0.001 | 0.365 to 0.753 | 0.168 | 0.119 | −0.001 to 0.001 |
| Extent of ELM disruption | 0.405 | 0.005 | 0.130 to 0.622 | 0.029 | 0.778 | −0.001 to 0.001 |
| Extent of EZ disruption | 0.157 | 0.296 | −0.139 to 0.428 | −0.088 | 0.346 | −0.001 to 0.001 |
| Presence of hyperreflective foci | −0.014 | 0.926 | −0.303 to 0.277 | 0.024 | 0.785 | −0.010 to 0.126 |
| Presence of SRF | −0.016 | 0.915 | −0.305 to 0.275 | 0.037 | 0.681 | −0.106 to 0.160 |
| Area Ratio of Cystoid Space | Number of Cystoid Space | |||||
|---|---|---|---|---|---|---|
| R | p | 95%CI | R | p | 95%CI | |
| ELM disruption at 12 M | 0.321 | 0.044 * | 0.226 to 16.24 | 0.406 | 0.007 * | 18.35 to 96.96 |
| EZ disruption at 12 M | 0.353 | 0.025 * | 1.950 to 27.39 | 0.372 | 0.014 * | 19.28 to 160.3 |
© 2020 by the authors. Licensee MDPI, Basel, Switzerland. This article is an open access article distributed under the terms and conditions of the Creative Commons Attribution (CC BY) license (http://creativecommons.org/licenses/by/4.0/).
Share and Cite
Nagai, N.; Suzuki, M.; Uchida, A.; Kurihara, T.; Ban, N.; Minami, S.; Shinoda, H.; Tsubota, K.; Ozawa, Y. The Area and Number of Intraretinal Cystoid Spaces Predict the Visual Outcome after Ranibizumab Monotherapy in Diabetic Macular Edema. J. Clin. Med. 2020, 9, 1391. https://doi.org/10.3390/jcm9051391
Nagai N, Suzuki M, Uchida A, Kurihara T, Ban N, Minami S, Shinoda H, Tsubota K, Ozawa Y. The Area and Number of Intraretinal Cystoid Spaces Predict the Visual Outcome after Ranibizumab Monotherapy in Diabetic Macular Edema. Journal of Clinical Medicine. 2020; 9(5):1391. https://doi.org/10.3390/jcm9051391
Chicago/Turabian StyleNagai, Norihiro, Misa Suzuki, Atsuro Uchida, Toshihide Kurihara, Norimitsu Ban, Sakiko Minami, Hajime Shinoda, Kazuo Tsubota, and Yoko Ozawa. 2020. "The Area and Number of Intraretinal Cystoid Spaces Predict the Visual Outcome after Ranibizumab Monotherapy in Diabetic Macular Edema" Journal of Clinical Medicine 9, no. 5: 1391. https://doi.org/10.3390/jcm9051391
APA StyleNagai, N., Suzuki, M., Uchida, A., Kurihara, T., Ban, N., Minami, S., Shinoda, H., Tsubota, K., & Ozawa, Y. (2020). The Area and Number of Intraretinal Cystoid Spaces Predict the Visual Outcome after Ranibizumab Monotherapy in Diabetic Macular Edema. Journal of Clinical Medicine, 9(5), 1391. https://doi.org/10.3390/jcm9051391

