Long-Term Treatment Outcomes in Type 3 Neovascularization: Focus on the Difference in Outcomes between Geographic Atrophy and Fibrotic Scarring
Abstract
1. Introduction
2. Materials and Methods
2.1. Patients
2.2. Examinations
2.3. Treatment and Follow-Up
2.4. Outcome Measures
2.5. Statistical Analyses
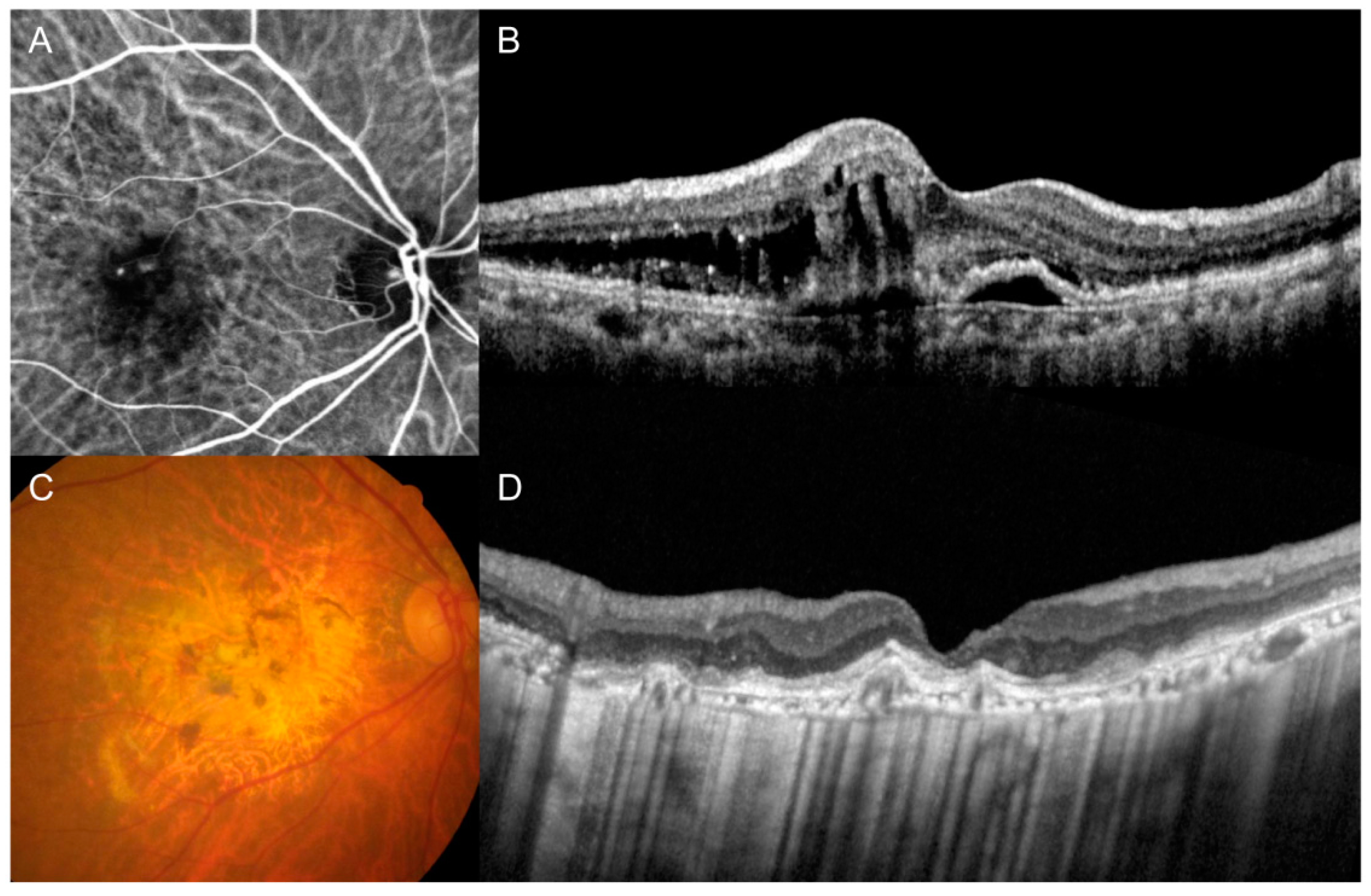
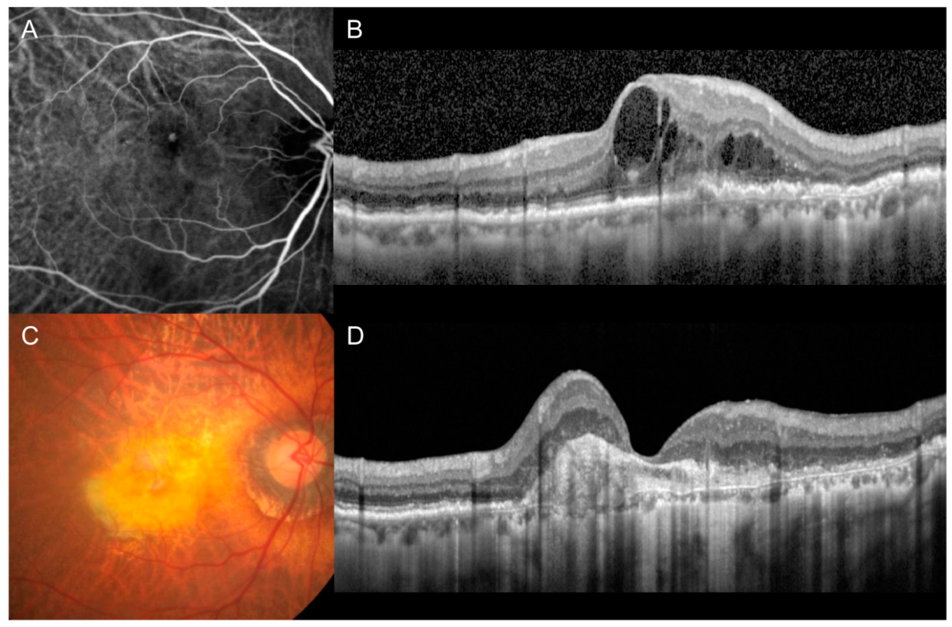
3. Results
4. Discussion
Supplementary Materials
Author Contributions
Funding
Conflicts of Interest
References
- Bressler, S.B.; Bressler, N.M.; Fine, S.L.; Hillis, A.; Murphy, R.P.; Olk, R.J.; Patz, A. Natural course of choroidal neovascular membranes within the foveal avascular zone in senile macular degeneration. Am. J. Ophthalmol. 1982, 93, 157–163. [Google Scholar] [CrossRef]
- Guyer, D.R.; Fine, S.L.; Maguire, M.G.; Hawkins, B.S.; Owens, S.L.; Murphy, R.P. Subfoveal choroidal neovascular membranes in age-related macular degeneration. Visual prognosis in eyes with relatively good initial visual acuity. Arch. Ophthalmol. 1986, 104, 702–705. [Google Scholar] [CrossRef]
- Yannuzzi, L.A.; Negrao, S.; Iida, T.; Carvalho, C.; Rodriguez-Coleman, H.; Slakter, J.; Freund, K.B.; Sorenson, J.; Orlock, D.; Borodoker, N. Retinal angiomatous proliferation in age-related macular degeneration. Retina 2001, 21, 416–434. [Google Scholar] [CrossRef]
- Freund, K.B.; Ho, I.V.; Barbazetto, I.A.; Koizumi, H.; Laud, K.; Ferrara, D.; Matsumoto, Y.; Sorenson, J.A.; Yannuzzi, L. Type 3 neovascularization: The expanded spectrum of retinal angiomatous proliferation. Retina 2008, 28, 201–211. [Google Scholar] [CrossRef] [PubMed]
- Li, M.; Dolz-Marco, R.; Messinger, J.D.; Wang, L.; Feist, R.M.; Girkin, C.A.; Gattoussi, S.; Ferrara, D.; Curcio, C.A.; Freund, K.B. Clinicopathologic Correlation of Anti-Vascular Endothelial Growth Factor-Treated Type 3 Neovascularization in Age-Related Macular Degeneration. Ophthalmology 2018, 125, 276–287. [Google Scholar] [CrossRef] [PubMed]
- Cohen, S.Y.; Creuzot-Garcher, C.; Darmon, J.; Desmettre, T.; Korobelnik, J.F.; Levrat, F.; Quentel, G.; Paliès, S.; Sanchez, A.; de Gendre, A.S.; et al. Types of choroidal neovascularisation in newly diagnosed exudative age-related macular degeneration. Br. J. Ophthalmol. 2007, 91, 1173–1176. [Google Scholar] [CrossRef] [PubMed]
- Kim, J.H.; Chang, Y.S.; Kim, J.W.; Kim, C.G.; Lee, D.W. Age-related differences in the prevalence of subtypes of Neovascular age-related macular degeneration in the first diagnosed eye. Graefes Arch. Clin. Exp. Ophthalmol. 2019, 257, 891–898. [Google Scholar] [CrossRef]
- Maruko, I.; Iida, T.; Saito, M.; Nagayama, D.; Saito, K. Clinical characteristics of exudative age-related macular degeneration in Japanese patients. Am. J. Ophthalmol. 2007, 144, 15–22. [Google Scholar] [CrossRef]
- Kim, J.H.; Kim, J.R.; Kang, S.W.; Kim, S.J.; Ha, H.S. Thinner choroid and greater drusen extent in retinal angiomatous proliferation than in typical exudative age-related macular degeneration. Am. J. Ophthalmol. 2013, 155, 743–749. [Google Scholar] [CrossRef]
- Cohen, S.Y.; Dubois, L.; Tadayoni, R.; Delahaye-Mazza, C.; Debibie, C.; Quentel, G. Prevalence of reticular pseudodrusen in age-related macular degeneration with newly diagnosed choroidal neovascularisation. Br. J. Ophthalmol. 2007, 91, 354–359. [Google Scholar] [CrossRef]
- Curtis, L.H.; Hammill, B.G.; Qualls, L.G.; DiMartino, L.D.; Wang, F.; Schulman, K.A.; Cousins, S.W. Treatment patterns for neovascular age-related macular degeneration: Analysis of 284 380 medicare beneficiaries. Am. J. Ophthalmol. 2012, 153, 1116–1124.e1111. [Google Scholar] [CrossRef]
- Boscia, F.; Furino, C.; Sborgia, L.; Reibaldi, M.; Sborgia, C. Photodynamic therapy for retinal angiomatous proliferations and pigment epithelium detachment. Am. J. Ophthalmol. 2004, 138, 1077–1079. [Google Scholar] [CrossRef]
- Nakata, M.; Yuzawa, M.; Kawamura, A.; Shimada, H. Combining surgical ablation of retinal inflow and outflow vessels with photodynamic therapy for retinal angiomatous proliferation. Am. J. Ophthalmol. 2006, 141, 968–970. [Google Scholar] [CrossRef]
- Konstantinidis, L.; Mameletzi, E.; Mantel, I.; Pournaras, J.A.; Zografos, L.; Ambresin, A. Intravitreal ranibizumab (Lucentis) in the treatment of retinal angiomatous proliferation (RAP). Graefes Arch. Clin. Exp. Ophthalmol. 2009, 247, 1165–1171. [Google Scholar] [CrossRef]
- Daniel, E.; Shaffer, J.; Ying, G.S.; Grunwald, J.E.; Martin, D.F.; Jaffe, G.J.; Maguire, M.G. Outcomes in Eyes with Retinal Angiomatous Proliferation in the Comparison of Age-Related Macular Degeneration Treatments Trials (CATT). Ophthalmology 2016, 123, 609–616. [Google Scholar] [CrossRef]
- McBain, V.A.; Kumari, R.; Townend, J.; Lois, N. Geographic atrophy in retinal angiomatous proliferation. Retina 2011, 31, 1043–1052. [Google Scholar] [CrossRef] [PubMed]
- Mrejen, S.; Jung, J.J.; Chen, C.; Patel, S.N.; Gallego-Pinazo, R.; Yannuzzi, N.; Xu, L.; Marsiglia, M.; Boddu, S.; Freund, K.B. Long-Term Visual Outcomes for a Treat and Extend Anti-Vascular Endothelial Growth Factor Regimen in Eyes with Neovascular Age-Related Macular Degeneration. J. Clin. Med. 2015, 4, 1380–1402. [Google Scholar] [CrossRef] [PubMed]
- Kim, J.H.; Chang, Y.S.; Kim, J.W.; Kim, C.G.; Lee, D.W. Early Recurrent Hemorrhage in Submacular Hemorrhage Secondary to Type 3 Neovascularization or Retinal Angiomatous Proliferation: Incidence and Influence on Visual Prognosis. Semin. Ophthalmol. 2018, 33, 820–828. [Google Scholar] [CrossRef] [PubMed]
- Kim, J.H.; Chang, Y.S.; Kim, J.W.; Kim, C.G.; Lee, D.W. Abrupt visual loss during anti-vascular endothelial growth factor treatment for type 3 neovascularization. Int. J. Ophthalmol. 2019, 12, 480–487. [Google Scholar] [PubMed]
- Lee, J.H.; Lee, M.Y.; Lee, W.K. Incidence and risk factors of massive subretinal hemorrhage in retinal angiomatous proliferation. PLoS ONE 2017, 12, e0186272. [Google Scholar] [CrossRef]
- Rosenfeld, P.J.; Brown, D.M.; Heier, J.S.; Boyer, D.S.; Kaiser, P.K.; Chung, C.Y.; Kim, R.Y. Ranibizumab for neovascular age-related macular degeneration. N. Engl. J. Med. 2006, 355, 1419–1431. [Google Scholar] [CrossRef] [PubMed]
- Fung, A.E.; Lalwani, G.A.; Rosenfeld, P.J.; Dubovy, S.R.; Michels, S.; Feuer, W.J.; Puliafito, C.A.; Davis, J.L.; Flynn, H.W., Jr.; Esquiabro, M. An optical coherence tomography-guided, variable dosing regimen with intravitreal ranibizumab (Lucentis) for neovascular age-related macular degeneration. Am. J. Ophthalmol. 2007, 143, 566–583. [Google Scholar] [CrossRef] [PubMed]
- Freund, K.B.; Korobelnik, J.F.; Devenyi, R.; Framme, C.; Galic, J.; Herbert, E.; Hoerauf, H.; Lanzetta, P.; Michels, S.; Mitchell, P.; et al. Treat-and-extend regimens with anti-vegf agents in retinal diseases: A literature review and consensus recommendations. Retina 2015, 35, 1489–1506. [Google Scholar] [CrossRef] [PubMed]
- The neovascular age-related macular degeneration database: Multicenter study of 92 976 ranibizumab injections: Report 1: Visual acuity. Ophthalmology 2014, 121, 1092–1101. [CrossRef]
- Holz, F.G.; Tadayoni, R.; Beatty, S.; Berger, A.; Cereda, M.G.; Cortez, R.; Hoyng, C.B.; Hykin, P.; Staurenghi, G.; Heldner, S.; et al. Multi-country real-life experience of anti-vascular endothelial growth factor therapy for wet age-related macular degeneration. Br. J. Ophthalmol. 2015, 99, 220–226. [Google Scholar] [CrossRef]
- Talks, J.; Daien, V.; Finger, R.P.; Eldem, B.; Sakamoto, T.; Cardillo, J.A.; Mitchell, P.; Wong, T.Y.; Korobelnik, J.F. The use of real-world evidence for evaluating anti-vascular endothelial growth factor treatment of neovascular age-related macular degeneration. Surv. Ophthalmol. 2019, 64, 707–719. [Google Scholar] [CrossRef]
- Kim, J.H.; Kim, J.W.; Kim, C.G.; Lee, D.W. Focal retinal pigment epithelium atrophy at the location of type 3 neovascularization lesion: A morphologic feature associated with low reactivation rate and favorable prognosis. Graefe’s Arch. Clin. Exp. Ophthalmol. 2019, 257, 1661–1669. [Google Scholar] [CrossRef]
- Kim, J.H.; Chang, Y.S.; Kim, J.W.; Kim, C.G.; Lee, D.W. Long-term incidence and timing of reactivation in patients with type 3 neovascularization after initial treatment. Graefe’s Arch. Clin. Exp. Ophthalmol. 2019, 257, 1183–1189. [Google Scholar] [CrossRef]
- Nagiel, A.; Sarraf, D.; Sadda, S.R.; Spaide, R.F.; Jung, J.J.; Bhavsar, K.V.; Ameri, H.; Querques, G.; Freund, K.B. Type 3 neovascularization: Evolution, association with pigment epithelial detachment, and treatment response as revealed by spectral domain optical coherence tomography. Retina 2015, 35, 638–647. [Google Scholar] [CrossRef]
- Su, D.; Lin, S.; Phasukkijwatana, N.; Chen, X.; Tan, A.; Freund, K.B.; Sarraf, D. An updated staging system of type 3 neovascularization using spectral domain optical coherence tomography. Retina 2016, 36 (Suppl. S1), S40–S49. [Google Scholar] [CrossRef]
- Daniel, E.; Toth, C.A.; Grunwald, J.E.; Jaffe, G.J.; Martin, D.F.; Fine, S.L.; Huang, J.; Ying, G.S.; Hagstrom, S.A.; Winter, K.; et al. Risk of scar in the comparison of age-related macular degeneration treatments trials. Ophthalmology 2014, 121, 656–666. [Google Scholar] [CrossRef] [PubMed]
- Kim, J.H.; Chang, Y.S.; Kim, J.W.; Kim, C.G.; Lee, D.W. Prechoroidal Cleft in Type 3 Neovascularization: Incidence, Timing, and Its Association with Visual Outcome. J. Ophthalmol. 2018, 2018, 2578349. [Google Scholar] [CrossRef] [PubMed]
- Daniel, E.; Pan, W.; Ying, G.S.; Kim, B.J.; Grunwald, J.E.; Ferris, F.L., 3rd; Jaffe, G.J.; Toth, C.A.; Martin, D.F.; Fine, S.L.; et al. Development and Course of Scars in the Comparison of Age-Related Macular Degeneration Treatments Trials. Ophthalmology 2018, 125, 1037–1046. [Google Scholar] [CrossRef] [PubMed]
- Holladay, J.T. Visual acuity measurements. J. Cataract Refract. Surg. 2004, 30, 287–290. [Google Scholar] [CrossRef]
- Engelbert, M.; Zweifel, S.A.; Freund, K.B. “Treat and extend” dosing of intravitreal antivascular endothelial growth factor therapy for type 3 neovascularization/retinal angiomatous proliferation. Retina 2009, 29, 1424–1431. [Google Scholar] [CrossRef]
- Rouvas, A.A.; Chatziralli, I.P.; Theodossiadis, P.G.; Moschos, M.M.; Kotsolis, A.I.; Ladas, I.D. Long-term results of intravitreal ranibizumab, intravitreal ranibizumab with photodynamic therapy, and intravitreal triamcinolone with photodynamic therapy for the treatment of retinal angiomatous proliferation. Retina 2012, 32, 1181–1189. [Google Scholar] [CrossRef]
- Inoue, M.; Arakawa, A.; Yamane, S.; Kadonosono, K. Long-term results of intravitreal ranibizumab for the treatment of retinal angiomatous proliferation and utility of an advanced RPE analysis performed using spectral-domain optical coherence tomography. Br. J. Ophthalmol. 2014, 98, 956–960. [Google Scholar] [CrossRef]
- Shin, J.Y.; Yu, H.G. Optical coherence tomography-based ranibizumab monotherapy for retinal angiomatous proliferation in Korean patients. Retina 2014, 34, 2359–2366. [Google Scholar] [CrossRef]
- Gharbiya, M.; Parisi, F.; Cruciani, F.; Bozzoni-Pantaleoni, F.; Pranno, F.; Abdolrahimzadeh, S. Intravitreal anti-vascular endothelial growth factor for retinal angiomatous proliferation in treatment-naive eyes: Long-term functional and anatomical results using a modified PrONTO-style regimen. Retina 2014, 34, 298–305. [Google Scholar] [CrossRef]
- Cho, H.J.; Lee, T.G.; Han, S.Y.; Kim, H.S.; Kim, J.H.; Han, J.I.; Lew, Y.J.; Kim, J.W. Long-term visual outcome and prognostic factors of Intravitreal anti-vascular endothelial growth factor treatment for retinal angiomatous proliferation. Graefe’s Arch. Clin. Exp. Ophthalmol. 2016, 254, 23–30. [Google Scholar] [CrossRef]
- Cohen, S.Y.; Oubraham, H.; Uzzan, J.; Dubois, L.; Tadayoni, R. Causes of unsuccessful ranibizumab treatment in exudative age-related macular degeneration in clinical settings. Retina 2012, 32, 1480–1485. [Google Scholar] [CrossRef] [PubMed]
- Sharma, S.; Toth, C.A.; Daniel, E.; Grunwald, J.E.; Maguire, M.G.; Ying, G.S.; Huang, J.; Martin, D.F.; Jaffe, G.J. Macular Morphology and Visual Acuity in the Second Year of the Comparison of Age-Related Macular Degeneration Treatments Trials. Ophthalmology 2016, 123, 865–875. [Google Scholar] [CrossRef] [PubMed]
- Holz, F.G.; Strauss, E.C.; Schmitz-Valckenberg, S.; van Lookeren Campagne, M. Geographic atrophy: Clinical features and potential therapeutic approaches. Ophthalmology 2014, 121, 1079–1091. [Google Scholar] [CrossRef] [PubMed]
- Saade, C.; Ganti, B.; Marmor, M.; Freund, K.B.; Smith, R.T. Risk characteristics of the combined geographic atrophy and choroidal neovascularisation phenotype in age-related macular degeneration. Br. J. Ophthalmol. 2014, 98, 1729–1732. [Google Scholar] [CrossRef] [PubMed][Green Version]
- Grunwald, J.E.; Pistilli, M.; Daniel, E.; Ying, G.S.; Pan, W.; Jaffe, G.J.; Toth, C.A.; Hagstrom, S.A.; Maguire, M.G.; Martin, D.F. Incidence and Growth of Geographic Atrophy during 5 Years of Comparison of Age-Related Macular Degeneration Treatments Trials. Ophthalmology 2017, 124, 97–104. [Google Scholar] [CrossRef] [PubMed]
- Grunwald, J.E.; Daniel, E.; Huang, J.; Ying, G.S.; Maguire, M.G.; Toth, C.A.; Jaffe, G.J.; Fine, S.L.; Blodi, B.; Klein, M.L.; et al. Risk of geographic atrophy in the comparison of age-related macular degeneration treatments trials. Ophthalmology 2014, 121, 150–161. [Google Scholar] [CrossRef]
- Baek, J.; Lee, J.H.; Kim, J.Y.; Kim, N.H.; Lee, W.K. Geographic Atrophy and Activity of Neovascularization in Retinal Angiomatous Proliferation. Investig. Ophthalmol. Vis. Sci. 2016, 57, 1500–1505. [Google Scholar] [CrossRef]
- Hata, M.; Yamashiro, K.; Oishi, A.; Ooto, S.; Tamura, H.; Miyata, M.; Ueda-Arakawa, N.; Kuroda, Y.; Takahashi, A.; Tsujikawa, A.; et al. Retinal pigment epithelial atrophy after anti-vascular endothelial growth factor injections for retinal angiomatous proliferation. Retina 2017, 37, 2069–2077. [Google Scholar] [CrossRef]
- Xu, L.; Mrejen, S.; Jung, J.J.; Gallego-Pinazo, R.; Thompson, D.; Marsiglia, M.; Freund, K.B. Geographic atrophy in patients receiving anti-vascular endothelial growth factor for neovascular age-related macular degeneration. Retina 2015, 35, 176–186. [Google Scholar] [CrossRef]
- Ishikawa, K.; Kannan, R.; Hinton, D.R. Molecular mechanisms of subretinal fibrosis in age-related macular degeneration. Exp. Eye Res. 2016, 142, 19–25. [Google Scholar] [CrossRef]
- Green, W.R.; Enger, C. Age-related macular degeneration histopathologic studies. The 1992 Lorenz E. Zimmerman Lecture. Ophthalmology 1993, 100, 1519–1535. [Google Scholar] [CrossRef]
- Hatz, K.; Prunte, C. Changing from a pro re nata treatment regimen to a treat and extend regimen with ranibizumab in neovascular age-related macular degeneration. Br. J. Ophthalmol. 2016, 100, 1341–1345. [Google Scholar] [CrossRef] [PubMed]
- Bloch, S.B.; Lund-Andersen, H.; Sander, B.; Larsen, M. Subfoveal fibrosis in eyes with neovascular age-related macular degeneration treated with intravitreal ranibizumab. Am. J. Ophthalmol. 2013, 156, 116–124.e111. [Google Scholar] [CrossRef] [PubMed]
- Kim, J.H.; Chang, Y.S.; Kim, J.W.; Kim, C.G.; Lee, D.W.; Cho, S.Y. Difference in treatment outcomes according to optical coherence tomography-based stages in type 3 neovascularization (Retinal angiomatous proliferation). Retina 2018, 38, 2356–2362. [Google Scholar] [CrossRef] [PubMed]
- Gillies, M.C.; Hunyor, A.P.; Arnold, J.J.; Guymer, R.H.; Wolf, S.; Ng, P.; Pecheur, F.L.; McAllister, I.L. Effect of Ranibizumab and Aflibercept on Best-Corrected Visual Acuity in Treat-and-Extend for Neovascular Age-Related Macular Degeneration: A Randomized Clinical Trial. JAMA Ophthalmol. 2019, 137, 372–379. [Google Scholar] [CrossRef] [PubMed]
- Kim, J.H.; Chang, Y.S.; Kim, J.W.; Kim, C.G.; Lee, D.W.; Kim, Y.J. Morphologic Features Associated with Fibrotic Scarring after Anti-Vascular Endothelial Growth Factor Therapy in Polypoidal Choroidal Vasculopathy. Retina 2018, 38, 2168–2176. [Google Scholar] [CrossRef]
- Sadda, S.R.; Guymer, R.; Holz, F.G.; Schmitz-Valckenberg, S.; Curcio, C.A.; Bird, A.C.; Blodi, B.A.; Bottoni, F.; Chakravarthy, U.; Chew, E.Y.; et al. Consensus Definition for Atrophy Associated with Age-Related Macular Degeneration on OCT: Classification of Atrophy Report 3. Ophthalmology 2018, 125, 537–548. [Google Scholar] [CrossRef]
- Krohne, T.U.; Muether, P.S.; Stratmann, N.K.; Holz, F.G.; Kirchhof, B.; Meyer, C.H.; Fauser, S. Influence of ocular volume and lens status on pharmacokinetics and duration of action of intravitreal vascular endothelial growth factor inhibitors. Retina 2015, 35, 69–74. [Google Scholar] [CrossRef]
- Baek, J.S.; Cho, H.J.; Cho, S.W.; Kim, C.G.; Kim, J.W. Intravitreal ranibizumab injection for neovascular age-related macular degeneration in phakic versus pseudophakic eyes. Retina 2013, 33, 467–473. [Google Scholar] [CrossRef]
- Koo, B.K.; Lee, C.H.; Yang, B.R.; Hwang, S.S.; Choi, N.K. The incidence and prevalence of diabetes mellitus and related atherosclerotic complications in Korea: A National Health Insurance Database Study. PLoS ONE 2014, 9, e110650. [Google Scholar] [CrossRef]
- Chen, X.; Rong, S.S.; Xu, Q.; Tang, F.Y.; Liu, Y.; Gu, H.; Tam, P.O.; Chen, L.J.; Brelén, M.E.; Pang, C.P.; et al. Diabetes mellitus and risk of age-related macular degeneration: A systematic review and meta-analysis. PLoS ONE 2014, 9, e108196. [Google Scholar] [CrossRef] [PubMed]





| Characteristics | Values |
|---|---|
| Age, years | 75.7 ± 6.0 |
| Sex, men:women | 42 (21.5%):153 (78.5%) |
| Diabetes mellitus | 49 (25.1%) |
| Hypertension | 111 (56.9%) |
| Phakia at diagnosis | 118 (60.5%) |
| Stage of the disease | |
| Stage 2 | 43 (22.1%) |
| Stage 3 | 152 (77.9%) |
| Pseudodrusen | 144 (73.8%) |
| Type of anti-VEGF agent used for the loading injections | |
| Ranibizumab | 149 (76.4%) |
| Aflibercept | 46 (23.6%) |
| Best-corrected visual acuity, logMAR (Snellen equivalent) | 0.70 ± 0.35 (20/100) |
| BCVA (logMAR) | GA Group (n = 58) | Scar Group (n = 62) | Non-GA/Scar Group (n = 75) | p-Value |
|---|---|---|---|---|
| At diagnosis | 0.73 ± 0.35 | 0.81 ± 0.32 | 0.58 ± 0.34 | <0.001 * |
| a † | a † | b † | ||
| At the final visit | 1.18 ± 0.58 | 1.67 ± 0.58 | 0.69 ± 0.64 | <0.001 * |
| a † | b † | c † | ||
| Change in BCVA | 0.44 ± 0.56 | 0.86 ± 0.62 | 0.11 ± 0.57 | <0.001 * |
| a † | b † | c † |
| Characteristics | GA Group (n = 58) | Scar Group (n = 62) | Non-GA/Scar Group (n = 75) | p-Value |
|---|---|---|---|---|
| Age, years | 75.3 ± 5.6 | 75.5 ± 5.2 | 75.9 ± 6.8 | 0.787 * |
| Sex | 0.228 † | |||
| Men | 8 (13.7%) | 15 (24.2%) | 19 (25.3%) | |
| Women | 50 (86.2%) | 47 (75.8%) | 56 (74.7%) | |
| Diabetes mellitus | 13 (22.4%) | 13 (20.9%) | 23 (30.7%) | 0.361 † |
| Hypertension | 30 (51.7%) | 35 (56.5%) | 46 (61.3%) | 0.538 † |
| Phakia at diagnosis | 36 (62.1%) | 35 (56.5%) | 47 (62.7%) | 0.729 † |
| Stage of disease | 0.024 † | |||
| Stage 2 | 20 (34.5%) | 10 (16.1%) | 13 (17.3%) | |
| Stage 3 | 38 (65.5%) | 52 (83.9%) | 62 (82.7%) | |
| Reticular pseudodrusen | 47 (81.0%) | 44 (70.9%) | 53 (70.7%) | 0.331 † |
| Type of anti-VEGF agent used for the loading injections | 0.093 † | |||
| Ranibizumab | 40 (68.9%) | 53 (85.5%) | 56 (74.7%) | |
| Aflibercept | 18 (31.0%) | 9 (14.5%) | 19 (25.3%) | |
| No. of anti-VEGF injections | 7.2 ± 4.9 | 8.6 ± 4.2 | 9.5 ± 4.9 | 0.013 * |
© 2020 by the authors. Licensee MDPI, Basel, Switzerland. This article is an open access article distributed under the terms and conditions of the Creative Commons Attribution (CC BY) license (http://creativecommons.org/licenses/by/4.0/).
Share and Cite
Kim, J.H.; Kim, J.W.; Kim, C.G.; Lee, D.W. Long-Term Treatment Outcomes in Type 3 Neovascularization: Focus on the Difference in Outcomes between Geographic Atrophy and Fibrotic Scarring. J. Clin. Med. 2020, 9, 1145. https://doi.org/10.3390/jcm9041145
Kim JH, Kim JW, Kim CG, Lee DW. Long-Term Treatment Outcomes in Type 3 Neovascularization: Focus on the Difference in Outcomes between Geographic Atrophy and Fibrotic Scarring. Journal of Clinical Medicine. 2020; 9(4):1145. https://doi.org/10.3390/jcm9041145
Chicago/Turabian StyleKim, Jae Hui, Jong Woo Kim, Chul Gu Kim, and Dong Won Lee. 2020. "Long-Term Treatment Outcomes in Type 3 Neovascularization: Focus on the Difference in Outcomes between Geographic Atrophy and Fibrotic Scarring" Journal of Clinical Medicine 9, no. 4: 1145. https://doi.org/10.3390/jcm9041145
APA StyleKim, J. H., Kim, J. W., Kim, C. G., & Lee, D. W. (2020). Long-Term Treatment Outcomes in Type 3 Neovascularization: Focus on the Difference in Outcomes between Geographic Atrophy and Fibrotic Scarring. Journal of Clinical Medicine, 9(4), 1145. https://doi.org/10.3390/jcm9041145
