Combined Brain-Heart Magnetic Resonance Imaging in Autoimmune Rheumatic Disease Patients with Cardiac Symptoms: Hypothesis Generating Insights from a Cross-Sectional Study
Abstract
1. Introduction
2. Patients Methods
2.1. Patients
2.2. Methods
2.3. CMR Study
2.4. CMR Data Analysis
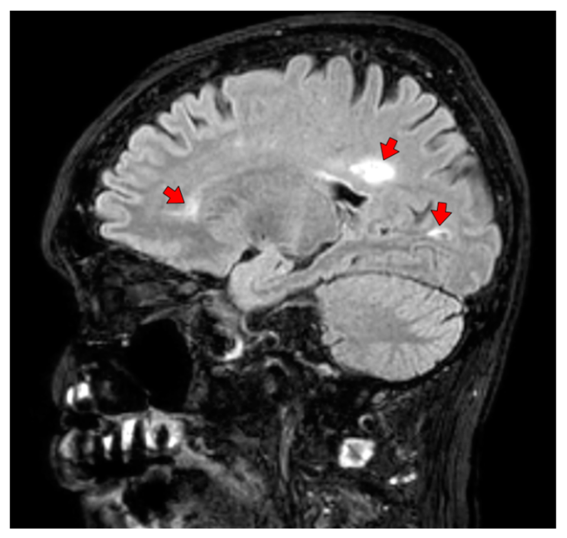
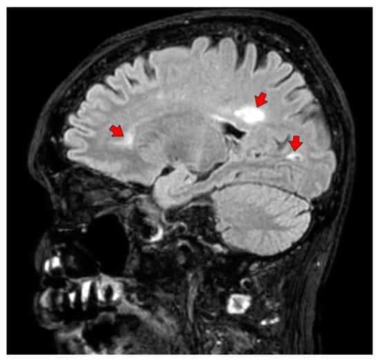
2.5. Brain MRI Study
- (a)
- Spin-echo T1- and T2-weighted imaging,
- (b)
- fluid-attenuated inversion recovery (FLAIR) imaging,
- (c)
- diffusion-weighted (DW) imaging,
- (d)
- susceptibility-weighted (SW) imaging,
- (e)
- time-of-flight (TOF) MR angiography, and
- (f)
- contrast-enhanced T1-weighted imaging (using fat sat suppression and flow compensation) and T1-weighted images (3 mm or less) of areas of abnormality on MRA/TOF.
2.6. Statistical Analysis
2.7. Regression Analyses
2.8. Feature Selection
3. Results
4. Discussion
5. Limitations
6. Conclusions
Supplementary Materials
Author Contributions
Funding
Conflicts of Interest
References
- Laribi, S.; Mebazaa, A. Cardiohepatic syndrome: Liver injury in decompensated heart failure. Curr. Heart Fail. Rep. 2014, 11, 236–240. [Google Scholar] [CrossRef]
- Swirski, F.K.; Nahrendorf, M. Cardioimmunology: The immune system in cardiac homeostasis and disease. Nat. Rev. Immunol. 2018, 18, 733–744. [Google Scholar] [CrossRef]
- Fulton, W.F. Arterial Anastomoses in the Coronary Circulation. I. Anatomical Features in Normal and Diseased Hearts Demonstrated by Stereoarteriography. Scott. Med. J. 1963, 143, 420–434. [Google Scholar] [CrossRef] [PubMed]
- Noel Bairey Merz, C.; Pepine, C.J.; Walsh, M.N.; Fleg, J.L. Ischemia and No Obstructive Coronary Artery Disease (INOCA): Developing Evidence-Based Therapies and Research Agenda for the Next Decade. Circulation 2017, 135, 1075–1092. [Google Scholar] [CrossRef] [PubMed]
- Pantoni, L. Cerebral small vessel disease: From pathogenesis and clinical characteristics to therapeutic challenges. Lancet Neurol. 2010, 9, 689–701. [Google Scholar] [CrossRef]
- Conen, D.; Rodondi, N.; Müller, A.; Beer, J.H.; Ammann, P.; Moschovitis, G.; Auricchio, A.; Hayoz, D.; Kobza, R.; Shah, D.; et al. Relationships of Overt and Silent Brain Lesions with Cognitive Function in Patients with Atrial Fibrillation. J. Am. Coll. Cardiol. 2019, 73, 989–999. [Google Scholar] [CrossRef]
- Haller, S.; Kövari, E.; Herrmann, F.R.; Cuvinciuc, V.; Tomm, A.-M.; Zulian, G.B.; Lovblad, K.-O.; Giannakopoulos, P.; Bouras, C. Do brain T2/FLAIR white matter hyperintensities correspond to myelin loss in normal aging? A radiologic-neuropathologic correlation study. Acta Neuropathol. Commun. 2013, 1, 14. [Google Scholar] [CrossRef]
- Ylikoski, A.; Erkinjuntti, T.; Raininko, R.; Sarna, R.; Sulkava, R.; Tilvis, R. White matter hyperintensities on mri in the neurologically nondiseased elderly: Analysis of cohorts of consecutive subjects aged 55 to 85 years living at home. Stroke 1995, 26, 1171–1177. [Google Scholar] [CrossRef]
- Debette, S.; Markus, H.S. The clinical importance of white matter hyperintensities on brain magnetic resonance imaging: Systematic review and meta-analysis. BMJ 2010, 341, 288. [Google Scholar] [CrossRef]
- Garde, E.; Mortensen, E.L.; Krabbe, K.; Rostrup, E.; Larsson, H.B.W. Relation between age-related decline in intelligence and cerebral white-matter hyperintensities in healthy octogenarians: A longitudinal study. Lancet 2000, 356, 628–634. [Google Scholar] [CrossRef]
- Nurmohamed, M.T.; Heslinga, M.; Kitas, G.D. Cardiovascular comorbidity in rheumatic diseases. Nat. Rev. Rheumatol. 2015, 11, 693–704. [Google Scholar] [CrossRef] [PubMed]
- Mavrogeni, S.I.; Kitas, G.D.; Dimitroulas, T.; Sfikakis, P.P.; Seo, P.; Gabriel, S.; Patel, A.R.; Gargani, L.; Bombardieri, S.; Matucci-Cerinic, M.; et al. Cardiovascular magnetic resonance in rheumatology: Current status and recommendations for use. Int. J. Cardiol. 2016, 217, 135–148. [Google Scholar] [CrossRef] [PubMed]
- Prasad, M.; Hermann, J.; Gabriel, S.E.; Weyand, C.M.; Mulvagh, S.; Mankad, R.; Oh, J.K.; Matteson, E.L.; Lerman, A. Cardiorheumatology: Cardiac involvement in systemic rheumatic disease. Nat. Rev. Cardiol. 2015, 12, 168–176. [Google Scholar] [CrossRef] [PubMed]
- Guzman-Martinez, L.; Maccioni, R.B.; Andrade, V.; Navarrete, L.P.; Pastor, M.G.; Ramos-Escobar, N. Neuroinflammation as a common feature of neurodegenerative disorders. Front. Pharmacol. 2019, 10, 1008. [Google Scholar] [CrossRef]
- DiSabato, D.J.; Quan, N.; Godbout, J.P. Neuroinflammation: The devil is in the details. J. Neurochem. 2016, 139, 136–153. [Google Scholar] [CrossRef]
- Gerdes, V.E.A.; Kwa, V.I.H.; ten Cate, H.; Brandjes, D.P.M.; Büller, H.R.; Stam, J. Cerebral white matter lesions predict both ischemic strokes and myocardial infarctions in patients with established atherosclerotic disease. Atherosclerosis 2006, 186, 166–172. [Google Scholar] [CrossRef]
- Mäntylä, R.; Aronen, H.J.; Salonen, O.; Pohjasvaara, T.; Korpelainen, M.; Peltonen, T.; Standertskjöld-Nordenstam, C.G.; Kaste, M.; Erkinjuntti, T. Magnetic resonance imaging white matter hyperintensities and mechanism of ischemic stroke. Stroke 1999, 30, 2053–2058. [Google Scholar] [CrossRef][Green Version]
- Jefferson, A.L.; Tate, D.F.; Poppas, A.; Brickman, A.M.; Paul, R.H.; Gunstad, J.; Cohen, R.A. Lower cardiac output is associated with greater white matter hyperintensities in older adults with cardiovascular disease. J. Am. Geriatr. Soc. 2007, 55, 1044–1048. [Google Scholar] [CrossRef]
- Moroni, F.; Ammirati, E.; Rocca, M.A.; Filippi, M.; Magnoni, M.; Camici, P.G. Cardiovascular disease and brain health: Focus on white matter hyperintensities. IJC Hear. Vasc. 2018, 19, 63–69. [Google Scholar] [CrossRef]
- Wei, C.; Zhang, S.; Liu, J.; Yuan, R.; Liu, M. Relationship of cardiac biomarkers with white matter hyperintensities in cardioembolic stroke due to atrial fibrillation and/or rheumatic heart disease. Medicine 2018, 97, e11892. [Google Scholar] [CrossRef]
- Wiseman, S.J.; Ralston, S.H.; Wardlaw, J.M. Cerebrovascular disease in rheumatic diseases a systematic review and meta-analysis. Stroke 2016, 47, 943–950. [Google Scholar] [CrossRef] [PubMed]
- Friedrich, M.G.; Sechtem, U.; Schulz-Menger, J.; Holmvang, G.; Alakija, P.; Cooper, L.T.; White, J.A.; Abdel-Aty, H.; Gutberlet, M.; Prasad, S.; et al. Cardiovascular Magnetic Resonance in Myocarditis: A JACC White Paper. J. Am. Coll. Cardiol. 2009, 53, 1475–1487. [Google Scholar] [CrossRef] [PubMed]
- Mavrogeni, S.I.; Sfikakis, P.P.; Markousis-Mavrogenis, G.; Bournia, V.K.; Poulos, G.; Koutsogeorgopoulou, L.; Karabela, G.; Stavropoulos, E.; Katsifis, G.; Boki, K.; et al. Cardiovascular magnetic resonance imaging pattern in patients with autoimmune rheumatic diseases and ventricular tachycardia with preserved ejection fraction. Int. J. Cardiol. 2019, 284, 105–109. [Google Scholar] [CrossRef] [PubMed]
- Mavrogeni, S.; Kitas, G.D.; Lamb, H.J.; Psychoyios, K.; Dimitroulas, T.; Koutsogeorgopoulou, L.; Boki, K.; Vartela, V.; Kolovou, G.; Markousis-Mavrogenis, G.; et al. Combined brain and heart magnetic resonance imaging in systemic vasculitides: Fiction or real need? Clin. Exp. Rheumatol. 2018, 36, S152–S159. [Google Scholar]
- Breheny, P.; Huang, J. Coordinate descent algorithms for nonconvex penalized regression, with applications to biological feature selection. Ann. Appl. Stat. 2011, 5, 232–253. [Google Scholar] [CrossRef]
- Miller, R.E.; Breheny, P. Marginal false discovery rate control for likelihood-based penalized regression models. Biometrical J. 2019, 61, 889–901. [Google Scholar] [CrossRef]
- Breheny, P.J. Marginal false discovery rates for penalized regression models. Biostatistics 2019, 20, 299–314. [Google Scholar] [CrossRef]
- Liu, H.; Du, G.; Zhang, L.; Lewis, M.M.; Wang, X.; Yao, T.; Li, R.; Huang, X. Folded concave penalized learning in identifying multimodal MRI marker for Parkinson’s disease. J. Neurosci. Methods 2016, 268, 1–6. [Google Scholar] [CrossRef]
- Mehta, P.; Bukov, M.; Wang, C.H.; Day, A.G.R.; Richardson, C.; Fisher, C.K.; Schwab, D.J. A high-bias, low-variance introduction to Machine Learning for physicists. Phys. Rep. 2019, 810, 1–124. [Google Scholar] [CrossRef]
- Nanea, I.T.; Gheorghe, G.S. Right ventricular function in systemic autoimmune diseases. In Right Heart Pathology: From Mechanism to Management; Springer International Publishing: Basel, Swtitzerland, 2018; pp. 441–453. ISBN 9783319737645. [Google Scholar] [CrossRef]
- Greulich, S.; Mayr, A.; Kitterer, D.; Latus, J.; Henes, J.; Steubing, H.; Kaesemann, P.; Patrascu, A.; Greiser, A.; Groeninger, S.; et al. T1 and T2 mapping for evaluation of myocardial involvement in patients with ANCA-associated vasculitides. J. Cardiovasc. Magn. Reson. 2017, 19, 6. [Google Scholar] [CrossRef]
- Hinojar, R.; Foote, L.; Sangle, S.; Marber, M.; Mayr, M.; Carr-White, G.; D’Cruz, D.; Nagel, E.; Puntmann, V.O. Native T1 and T2 mapping by CMR in lupus myocarditis: Disease recognition and response to treatment. Int. J. Cardiol. 2016, 222, 717–726. [Google Scholar] [CrossRef] [PubMed]
- Puntmann, V.O.; Isted, A.; Hinojar, R.; Foote, L.; Carr-White, G.; Nagel, E. T1 and T2 mapping in recognition of early cardiac involvement in systemic sarcoidosis. Radiology 2017, 285, 63–72. [Google Scholar] [CrossRef]
- Ackermann, C.; van Toorn, R.; Andronikou, S. Human immunodeficiency virus-related cerebral white matter disease in children. Pediatr. Radiol. 2019, 49, 652–662. [Google Scholar] [CrossRef]
- Soriano-Raya, J.J.; Miralbell, J.; López-Cancio, E.; Bargalló, N.; Arenillas, J.F.; Barrios, M.; Cáceres, C.; Toran, P.; Alzamora, M.; Dávalos, A.; et al. Deep versus periventricular white matter lesions and cognitive function in a community sample of middle-aged participants. J. Int. Neuropsychol. Soc. 2012, 18, 874–885. [Google Scholar] [CrossRef] [PubMed]
- Degroot, A.; Treit, D. Dorsal and ventral hippocampal cholinergic systems modulate anxiety in the plus-maze and shock-probe tests. Brain Res. 2002, 949, 60–70. [Google Scholar] [CrossRef]
- Price, R.W.; Swanstrom, R. Targeting chronic central nervous system HIV infection. Antivir. Ther. 2012, 17, 1227–1231. [Google Scholar] [CrossRef] [PubMed]
- Kim, K.W.; MacFall, J.R.; Payne, M.E. Classification of White Matter Lesions on Magnetic Resonance Imaging in Elderly Persons. Biol. Psychiatry 2008, 64, 273–280. [Google Scholar] [CrossRef]
- Lin, T.M.; Chen, W.S.; Sheu, J.J.; Chen, Y.H.; Chen, J.H.; Chang, C.C. Autoimmune rheumatic diseases increase dementia risk in middle-aged patients: A nationwide cohort study. PLoS ONE 2018, 13, e0186475. [Google Scholar] [CrossRef]
- André, R.; Cottin, V.; Saraux, J.L.; Blaison, G.; Bienvenu, B.; Cathebras, P.; Dhote, R.; Foucher, A.; Gil, H.; Lapoirie, J.; et al. Central nervous system involvement in eosinophilic granulomatosis with polyangiitis (Churg-Strauss): Report of 26 patients and review of the literature. Autoimmun. Rev. 2017, 16, 963–969. [Google Scholar] [CrossRef]
- González-Suárez, I.; Arpa, J.; Ríos-Blanco, J.J. Brain microvasculature involvement in ANCA positive vasculitis. Cerebrovasc. Dis. 2016, 41, 313–321. [Google Scholar] [CrossRef]
- Rodrigues, M.; Galego, O.; Costa, C.; Jesus, D.; Carvalho, P.; Santiago, M.; Malcata, A.; Inês, L. Central nervous system vasculitis in systemic lupus erythematosus: A case series report in a tertiary referral centre. Lupus 2017, 26, 1440–1447. [Google Scholar] [CrossRef] [PubMed]
- Koçer, N.; Islak, C.; Siva, A.; Saip, S.; Akman, C.; Kantarci, O.; Hamuryudan, V. CNS involvement in Neuro-Behcet syndrome: An MR study. Am. J. Neuroradiol. 1999, 20, 1015–1024. [Google Scholar] [PubMed]
- Lacomis, D. Neurosarcoidosis. Curr. Neuropharmacol. 2011, 9, 429–436. [Google Scholar] [CrossRef] [PubMed]
- MacÊdo, P.J.O.M.; Da Silveira, V.C.; Ramos, L.T.; Nóbrega, F.R.; Vasconcellos, L.F.R. Isolated central nervous system vasculitis as a manifestation of neurosarcoidosis. J. Stroke Cerebrovasc. Dis. 2016, 25, 89–92. [Google Scholar] [CrossRef] [PubMed]
- Mavrogeni, S.; Markousis-Mavrogenis, G.; Koutsogeorgopoulou, L.; Dimitroulas, T.; Bratis, K.; Kitas, G.D.; Sfikakis, P.; Tektonidou, M.; Karabela, G.; Stavropoulos, E.; et al. Cardiovascular magnetic resonance imaging pattern at the time of diagnosis of treatment naïve patients with connective tissue diseases. Int. J. Cardiol. 2017, 236, 151–156. [Google Scholar] [CrossRef] [PubMed]
- Mavrogeni, S.; Koutsogeorgopoulou, L.; Markousis-Mavrogenis, G.; Bounas, A.; Tektonidou, M.; Lliossis, S.-N.N.C.; Daoussis, D.; Plastiras, S.; Karabela, G.; Stavropoulos, E.; et al. Cardiovascular magnetic resonance detects silent heart disease missed by echocardiography in systemic lupus erythematosus. Lupus 2018, 27, 564–571. [Google Scholar] [CrossRef]
- Hollan, I.; Meroni, P.L.; Ahearn, J.M.; Cohen Tervaert, J.W.; Curran, S.; Goodyear, C.S.; Hestad, K.A.; Kahaleh, B.; Riggio, M.; Shields, K.; et al. Cardiovascular disease in autoimmune rheumatic diseases. Autoimmun. Rev. 2013, 12, 1004–1015. [Google Scholar] [CrossRef]
- Van Dijk, E.J.; Prins, N.D.; Vermeer, S.E.; Vrooman, H.A.; Hofman, A.; Koudstaal, P.J.; Breteler, M.M.B. C-reactive protein and cerebral small-vessel disease: The Rotterdam scan study. Circulation 2005, 112, 900–905. [Google Scholar] [CrossRef]
- Fornage, M.; Chiang, Y.A.; Omeara, E.S.; Psaty, B.M.; Reiner, A.P.; Siscovick, D.S.; Tracy, R.P.; Longstreth, W.T. Biomarkers of inflammation and MRI-defined small vessel disease of the brain: The cardiovascular health study. Stroke 2008, 39, 1952–1959. [Google Scholar] [CrossRef]
- Mavrogeni, S.I.; Markousis-Mavrogenis, G.; Karapanagiotou, O.; Toutouzas, K.; Argyriou, P.; Velitsista, S.; Kanoupakis, G.; Apostolou, D.; Hautemann, D.; Sfikakis, P.P.; et al. Silent Myocardial Perfusion Abnormalities Detected by Stress Cardiovascular Magnetic Resonance in Antiphospholipid Syndrome: A Case-Control Study. J. Clin. Med. 2019, 8, 1084. [Google Scholar] [CrossRef]
- Mavrogeni, S.; Koutsogeorgopoulou, L.; Karabela, G.; Stavropoulos, E.; Katsifis, G.; Raftakis, J.; Plastiras, S.; Noutsias, M.; Markousis-Mavrogenis, G.; Kolovou, G. Silent myocarditis in systemic sclerosis detected by cardiovascular magnetic resonance using Lake Louise criteria. BMC Cardiovasc. Disord. 2017, 17, 187. [Google Scholar] [CrossRef] [PubMed]
- Mavrogeni, S.I.; Sfikakis, P.P.; Koutsogeorgopoulou, L.; Markousis-Mavrogenis, G.; Dimitroulas, T.; Kolovou, G.; Kitas, G.D. Cardiac Tissue Characterization and Imaging in Autoimmune Rheumatic Diseases. JACC Cardiovasc. Imaging 2017, 10, 1387–1396. [Google Scholar] [CrossRef] [PubMed]
- De Lorenzis, E.; Gremese, E.; Bosello, S.; Nurmohamed, M.T.; Sinagra, G.; Ferraccioli, G. Microvascular heart involvement in systemic autoimmune diseases: The purinergic pathway and therapeutic insights from the biology of the diseases. Autoimmun. Rev. 2019, 18, 317–324. [Google Scholar] [CrossRef] [PubMed]

| Variable | ARD Patients | Disease Controls | p-Value |
|---|---|---|---|
| Number of Patients | 57 | 30 | N/A |
| Demographics | 0.68 | ||
| Age | 46.9 (13.1) | 48.2 (14.9) | <0.001 * |
| Female Sex | 40 (70%) | 7 (23%) | |
| Type of ARD | |||
| Systemic Lupus Erythematosus | 14 (25%) | N/A | N/A |
| Systemic Sclerosis | 10 (18%) | ||
| Sarcoidosis | 5 (9%) | ||
| Granulomatosis with Polyangiitis | 5 (9%) | ||
| Ankylosing Spondylitis | 5 (9%) | ||
| Eosinophilic Granulomatosis with Polyangiitis | 4 (7%) | ||
| Rheumatoid Arthritis | 4 (7%) | ||
| Takayasu Arteritis | 3 (5%) | ||
| Adamantiades-Behcet Disease | 3 (5%) | ||
| Antiphospholipid Syndrome | 1 (2%) | ||
| Juvenile Rheumatoid Arthritis | 1 (2%) | ||
| Dermatomyositis | 1 (2%) | ||
| Enteropathic Arthritis | 1 (2%) | ||
| Type of Cardiovascular Disease | |||
| Myocarditis | N/A | 5 (17%) | N/A |
| Coronary Artery Disease | 5 (17%) | ||
| Duchenne Muscular Dystrophy | 3 (10%) | ||
| Hypertension | 3 (10%) | ||
| Arrhythmia | 2 (7%) | ||
| Non-compaction Cardiomyopathy | 2 (7%) | ||
| Atrial Septal Defect | 2 (7%) | ||
| Amyloidosis | 1 (3%) | ||
| Takotsubo Cardiomyopathy | 1 (3%) | ||
| Myotonic Dystrophy | 1 (3%) | ||
| Dilated Cardiomyopathy | 1 (3%) | ||
| Peripartum Cardiomyopathy | 1 (3%) | ||
| Arrhythmogenic Right Ventricular Cardiomyopathy | 1 (3%) | ||
| Myopericarditis | 1 (3%) | ||
| Myocardial Infarction | 1 (3%) | ||
| Cardiovascular Risk Factors | |||
| Hypertension | 4 (7%) | 2 (7%) | 0.951 |
| Diabetes Mellitus | 2 (4%) | 3 (10%) | 0.219 |
| Current Smoker | 2 (4%) | 1 (3%) | 0.966 |
| Atrial Fibrillation | 0 (0%) | 0 (0%) | 0.999 |
| Cardiac Functional Indices | |||
| LVEDV (mL) | 134.0 (109.0, 160.0) | 135.5 (105.0, 163.0) | 0.63 |
| LVESV (mL) | 50.0 (37.0, 63.0) | 50.5 (38.0, 66.0) | 0.67 |
| LVEF (%) | 62.0 (60.0, 68.0) | 62.0 (56.0, 69.0) | 0.55 |
| RVEDV (mL) | 122.0 (97.0, 137.0) | 128.0 (110.0, 161.0) | 0.13 |
| RVESV (mL) | 42.0 (35.0, 53.0) | 47.5 (34.0, 64.0) | 0.16 |
| RVEF (%) | 64.0 (60.0, 68.0) | 60.5 (55.0, 65.0) | 0.031 * |
| Tissue Characterization Indices | |||
| T2 Signal Ratio | 2.0 (1.8, 2.3) | 2.0 (1.7, 2.2) | 0.7 |
| EGE (%) | 2.6 (1.6, 3.2) | 2.5 (2.0, 3.0) | 0.89 |
| LGE (%) | 4.0 (0.0, 5.0) | 4.5 (0.0, 6.0) | 0.38 |
| Native T1-Mapping (ms) | 1048.0 (1005.0, 1084.0) | 1034.0 (998.0, 1055.0) | 0.33 |
| Post-contrast T1-Mapping (ms) | 387.0 (348.0, 410.0) | 419.0 (358.0, 435.0) | 0.018 * |
| ECV (%) | 29.0 (28.0, 32.0) | 26.0 (25.0, 28.0) | <0.001 * |
| T2-Mapping (ms) | 55.4 (7.1) | 52.3 (7.7) | 0.071 |
| Local Cut-off Points for CMR Indices | |||
| LGE > 0% | 33 (58%) | 21 (70%) | 0.27 |
| EGE ≥ 4 | 13 (23%) | 4 (13%) | 0.29 |
| T2 Ratio ≥ 2 | 33 (58%) | 18 (60%) | 0.85 |
| T2-Mapping > 55 ms | 25 (44%) | 5 (17%) | 0.011 * |
| Native T1-Mapping > 1050 ms | 25 (44%) | 10 (33%) | 0.34 |
| ECV ≥ 29% | 33 (58%) | 7 (23%) | 0.002 * |
| Post-contrast T1-Mapping < 350 ms | 15 (26%) | 4 (13%) | 0.16 |
| LVEF < 55% | 7 (12%) | 6 (20%) | 0.34 |
| Brain MR Findings | |||
| Brain Involvement (any location) | 52 (91%) | 16 (53%) | <0.001 * |
| Total Number of Brain Areas with Lesions: | |||
| 0 | 5 (9%) | 14 (47%) | <0.001 * |
| 1 | 52 (91%) | 13 (43%) | |
| 2 | 0 (0%) | 1 (3%) | |
| 3 | 0 (0%) | 2 (7%) | |
| Number of Subcortical White Matter Lesions: | |||
| 0 | 10 (18%) | 16 (53%) | |
| 1 | 30 (53%) | 13 (43%) | 0.001 * |
| 2 | 11 (19%) | 1 (3%) | |
| 3 | 6 (11%) | 0 (0%) | |
| Number of Deep White Matter Lesions: | |||
| 0 | 25 (44%) | 24 (80%) | |
| 1 | 21 (37%) | 4 (13%) | 0.014 * |
| 2 | 10 (18%) | 2 (7%) | |
| 3 | 1 (2%) | 0 (0%) | |
| Number of Periventricular White Matter Lesions: | |||
| 0 | 37 (65%) | 26 (87%) | |
| 1 | 16 (28%) | 4 (13%) | 0.073 |
| 2 | 4 (7%) | 0 (0%) | |
| Number of Basal Ganglia Lesions: | |||
| 0 | 54 (95%) | 29 (97%) | |
| 1 | 2 (4%) | 1 (3%) | 0.77 |
| 2 | 1 (2%) | 0 (0%) | |
| Number of Cortical Lesions: | |||
| 0 | 57 (100%) | 29 (97%) | 0.17 |
| 1 | 0 (0%) | 1 (3%) | |
| Number of Pontine Lesions: | |||
| 0 | 54 (96%) | 30 (100%) | |
| 1 | 1 (2%) | 0 (0%) | 0.58 |
| 2 | 1 (2%) | 0 (0%) | |
| Number of Brainstem Lesions: | |||
| 0 | 56 (98%) | 28 (97%) | 0.62 |
| 1 | 1 (2%) | 1 (3%) | |
| Mesial Temporal Sclerosis: | |||
| 0 | 53 (95%) | 28 (97%) | 0.69 |
| 1 | 3 (5%) | 1 (3%) |
| Variable | No Brain Lesions | Brain Lesions | p-Value |
|---|---|---|---|
| Number of Patients | 19 | 68 | N/A |
| Demographics | |||
| Age | 44.7 (15.4) | 48.1 (13.2) | 0.35 |
| Female sex | 4 (21%) | 43 (63%) | 0.001 * |
| ARD patients | 5 (26%) | 52 (76%) | <0.001 * |
| Cardiac functional indices | |||
| LVEDV (mL) | 134.0 (116.0, 201.0) | 135.5 (104.0, 160.0) | 0.32 |
| LVESV (mL) | 50.0 (43.0, 60.0) | 50.0 (36.5, 63.5) | 0.55 |
| LVEF (%) | 63.0 (56.0, 69.0) | 62.0 (60.0, 67.5) | 0.96 |
| RVEDV (mL) | 121.0 (108.0, 151.0) | 122.5 (98.0, 150.0) | 0.6 |
| RVESV (mL) | 45.0 (32.0, 60.0) | 44.0 (35.0, 58.0) | 0.95 |
| RVEF (%) | 62.0 (58.0, 67.0) | 63.0 (60.0, 66.0) | 0.82 |
| Tissue characterization indices | |||
| T2 signal ratio | 2.1 (1.7, 2.2) | 2.0 (1.8, 2.3) | 0.75 |
| EGE (%) | 2.8 (1.6, 4.4) | 2.5 (1.6, 3.0) | 0.36 |
| LGE (%) | 5.0 (0.0, 6.0) | 4.0 (0.0, 5.0) | 0.1 |
| Native T1-mapping (ms) | 1034.0 (1020.0, 1058.0) | 1041.0 (1000.5, 1084.5) | 0.86 |
| Post-contrast T1-mapping (ms) | 420.0 (380.0, 436.0) | 387.0 (352.5, 415.5) | 0.052 |
| ECV (%) | 26.0 (25.0, 29.0) | 29.0 (27.0, 32.0) | 0.002 * |
| T2-Mapping (ms) | 53.4 (5.8) | 54.6 (7.8) | 0.53 |
| Local cut-off points for CMR indices | |||
| LGE > 0% | 14 (74%) | 40 (59%) | 0.24 |
| EGE ≥ 4 | 5 (26%) | 12 (18%) | 0.4 |
| T2 ratio ≥ 2 | 13 (68%) | 38 (56%) | 0.33 |
| T2-mapping > 55 ms | 3 (16%) | 27 (40%) | 0.052 |
| Native T1-mapping > 1050 ms | 7 (37%) | 28 (41%) | 0.73 |
| ECV ≥ 29% | 5 (26%) | 35 (51%) | 0.052 |
| Post-contrast T1-mapping < 350 ms | 4 (21%) | 15 (22%) | 0.93 |
| LVEF < 55% | 3 (16%) | 10 (15%) | 0.91 |
| Variable | Univariable Logistic Regression | Multivariable Logistic Regression | ||
|---|---|---|---|---|
| OR (95% CI) | p-Value | OR (95% CI) | p-Value | |
| LVEDV (per 5 mL) | 0.98 (0.94–1.03) | 0.422 | 1.01 (0.96–1.06) | 0.817 |
| LVESV (per 5 mL) | 0.99 (0.93–1.06) | 0.844 | 1.03 (0.95–1.11) | 0.493 |
| LVEF (per 5%) | 1.01 (0.75–1.35) | 0.957 | 0.90 (0.65–1.25) | 0.525 |
| RVEDV (per 5 mL) | 0.98 (0.93–1.04) | 0.491 | 1.02 (0.96–1.09) | 0.519 |
| RVESV (per 5 mL) | 0.99 (0.89–1.10) | 0.823 | 1.07 (0.94–1.21) | 0.309 |
| RVEF (per 5%) | 0.97 (0.66–1.44) | 0.899 | 0.79 (0.49–1.28) | 0.337 |
| T2 signal ratio | 0.87 (0.28–2.65) | 0.801 | 0.60 (0.16–2.16) | 0.433 |
| EGE (%) | 0.98 (0.86–1.11) | 0.766 | 0.95 (0.83–1.09) | 0.474 |
| LGE (%) | 0.93 (0.83–1.05) | 0.27 | 0.93 (0.81–1.06) | 0.254 |
| Native T1-mapping (per 10 ms) | 1.01 (0.95–1.09) | 0.702 | 0.94 (0.86–1.02) | 0.169 |
| Post-contrast T1-mapping (per 10 ms) | 0.93 (0.85–1.03) | 0.168 | 0.94 (0.85–1.05) | 0.283 |
| ECV (%) | 1.11 (0.98–1.27) | 0.103 | 1.08 (0.96–1.21) | 0.197 |
| T2-mapping (ms) | 1.02 (0.95–1.10) | 0.53 | 0.98 (0.90–1.06) | 0.563 |
| ARD patients (compared with controls) | 9.10 (2.84–29.17) | <0.001 * | 6.26 (1.74–22.49) | 0.005 * |
© 2020 by the authors. Licensee MDPI, Basel, Switzerland. This article is an open access article distributed under the terms and conditions of the Creative Commons Attribution (CC BY) license (http://creativecommons.org/licenses/by/4.0/).
Share and Cite
Markousis-Mavrogenis, G.; Mitsikostas, D.D.; Koutsogeorgopoulou, L.; Dimitroulas, T.; Katsifis, G.; Argyriou, P.; Apostolou, D.; Velitsista, S.; Vartela, V.; Manolopoulou, D.; et al. Combined Brain-Heart Magnetic Resonance Imaging in Autoimmune Rheumatic Disease Patients with Cardiac Symptoms: Hypothesis Generating Insights from a Cross-Sectional Study. J. Clin. Med. 2020, 9, 447. https://doi.org/10.3390/jcm9020447
Markousis-Mavrogenis G, Mitsikostas DD, Koutsogeorgopoulou L, Dimitroulas T, Katsifis G, Argyriou P, Apostolou D, Velitsista S, Vartela V, Manolopoulou D, et al. Combined Brain-Heart Magnetic Resonance Imaging in Autoimmune Rheumatic Disease Patients with Cardiac Symptoms: Hypothesis Generating Insights from a Cross-Sectional Study. Journal of Clinical Medicine. 2020; 9(2):447. https://doi.org/10.3390/jcm9020447
Chicago/Turabian StyleMarkousis-Mavrogenis, George, Dimos D. Mitsikostas, Loukia Koutsogeorgopoulou, Theodoros Dimitroulas, Gikas Katsifis, Panayiotis Argyriou, Dimitrios Apostolou, Stella Velitsista, Vasiliki Vartela, Dionysia Manolopoulou, and et al. 2020. "Combined Brain-Heart Magnetic Resonance Imaging in Autoimmune Rheumatic Disease Patients with Cardiac Symptoms: Hypothesis Generating Insights from a Cross-Sectional Study" Journal of Clinical Medicine 9, no. 2: 447. https://doi.org/10.3390/jcm9020447
APA StyleMarkousis-Mavrogenis, G., Mitsikostas, D. D., Koutsogeorgopoulou, L., Dimitroulas, T., Katsifis, G., Argyriou, P., Apostolou, D., Velitsista, S., Vartela, V., Manolopoulou, D., Tektonidou, M. G., Kolovou, G., Kitas, G. D., Sfikakis, P. P., & Mavrogeni, S. I. (2020). Combined Brain-Heart Magnetic Resonance Imaging in Autoimmune Rheumatic Disease Patients with Cardiac Symptoms: Hypothesis Generating Insights from a Cross-Sectional Study. Journal of Clinical Medicine, 9(2), 447. https://doi.org/10.3390/jcm9020447

