Diagnosis and Management of Non-Variceal Gastrointestinal Hemorrhage: A Review of Current Guidelines and Future Perspectives
Abstract
1. Introduction
1.1. Initial Assessment
1.2. Bleeding Manifestations
1.3. Brief Overview of Common Endoscopic Hemostatic Devices
2. Upper Gastrointestinal Bleeding
2.1. Risk Stratification
2.2. Medical Management
2.3. Prokinetics
2.4. Role of Endoscopy in Management of Upper Gastrointestinal Bleeding
2.5. Endoscopic Therapy for Bleeding Peptic Ulcer Disease
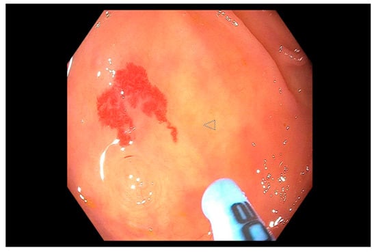
2.6. Endoscopic Therapy for Other Non-Variceal Causes of Upper GI Bleeding
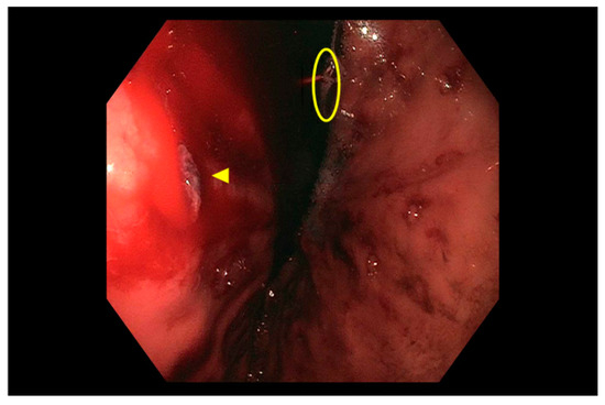
2.7. Rare Causes of UGIB
3. Small Bowel Bleeding
3.1. Push Enteroscopy
3.2. Video Capsule Endoscopy
3.3. Device Assisted Enteroscopy
3.4. Radiographic Imaging
4. Lower Gastrointestinal Bleeding
Role of Endoscopy in Lower Gastrointestinal Bleeding
5. Future Direction
6. Conclusions
Author Contributions
Acknowledgments
Conflicts of Interest
References
- Peura, D.A.; Lanza, F.L.; Gostout, C.J.; Foutch, P.G. The American College of Gastroenterology Bleeding Registry: Preliminary findings. Am. J. Gastroenterol. 1997, 92, 924–928. [Google Scholar]
- Gilbert, D.; Silverstein, F.E.; Tedesco, F.J. National ASGE survey on upper gastrointestinal bleeding: Complications of endoscopy. Digest. Dis. Sci. 1981, 26, 55–59. [Google Scholar] [CrossRef] [PubMed]
- Lanas, A.; García-Rodríguez, L.A.; Polo-Tomás, M.; Ponce, M.; Alonso-Abreu, I.; Perez-Aisa, M.A.; Perez-Gisbert, J.; Bujanda, L.; Castro, M.; Muñoz, M.; et al. Time Trends and Impact of Upper and Lower Gastrointestinal Bleeding and Perforation in Clinical Practice. Am. J. Gastroenterol. 2009, 104, 1633–1641. [Google Scholar] [CrossRef] [PubMed]
- Laine, L.; Yang, H.; Chang, S.-C.; Datto, C. Trends for Incidence of Hospitalization and Death Due to GI Complications in the United States From 2001 to 2009. Am. J. Gastroenterol. 2012, 107, 1190–1195. [Google Scholar] [CrossRef] [PubMed]
- Acosta, R.D.; Abraham, N.S.; Chandrasekhara, V.; Chathadi, K.V.; Early, D.S.; Eloubeidi, M.A.; Evans, J.A.; Faulx, A.L.; Fisher, D.A.; Fonkalsrud, L.; et al. The management of antithrombotic agents for patients undergoing GI endoscopy. Gastrointest. Endosc. 2016, 83, 3–16. [Google Scholar] [CrossRef]
- Doherty, G.M. Current Diagnosis & Treatment: Surgery; Lange Medical Books/McGraw-Hill: New York, NY, USA, 2010; pp. 493–498. [Google Scholar]
- Feldman, M.; Friedman, L.S.; Brandt, L.J. Sleisenger and Fordtran’s Gastrointestinal and Liver Disease E-Book, 10th ed.; Elsevier Health Sciences: New York, NY, USA, 2015; Volume 1, pp. 439–451. [Google Scholar]
- Jensen, D.M.; Machicado, G.A. Diagnosis and treatment of severe hematochezia. The role of urgent colonoscopy after purge. Gastroenterology 1988, 95, 1569–1574. [Google Scholar] [CrossRef]
- Gurudu, S.R.; Bruining, D.H.; Acosta, R.D.; Eloubeidi, M.A.; Faulx, A.L.; Khashab, M.A.; Kothari, S.; Lightdale, J.R.; Muthusamy, V.R.; Yang, J.; et al. The role of endoscopy in the management of suspected small-bowel bleeding. Gastrointest. Endosc. 2017, 85, 22–31. [Google Scholar] [CrossRef]
- Conway, J.D.; Adler, D.G.; Diehl, D.L.; Farraye, F.A.; Kantsevoy, S.V.; Kaul, V.; Kethu, S.R.; Kwon, R.S.; Mamula, P.; Rodriguez, S.A.; et al. Endoscopic hemostatic devices. Gastrointest. Endosc. 2009, 69, 987–996. [Google Scholar] [CrossRef]
- Nelson, D.B.; Bosco, J.J.; Curtis, W.D.; Faigel, D.O.; Kelsey, P.B.; Leung, P.B.; Mills, M.R.; Smith, P.; Tarnasky, P.R.; Vandam, J.; et al. Injection needles. Gastrointest. Endosc. 1999, 50, 928–931. [Google Scholar]
- Lai, K.H.; Peng, S.N.; Guo, W.S.; Lee, F.Y.; Chang, F.Y.; Malik, U.; Wang, J.Y.; Lo, G.H.; Cheng, J.S.; Lee, S.D.; et al. Endoscopic Injection for the Treatment of Bleeding Ulcers: Local Tamponade or Drug Effect? Endoscopy 1994, 26, 338–341. [Google Scholar] [CrossRef]
- Pinkas, H.; McAllister, E.; Norman, J.; Robinson, B.; Brady, P.G.; Dawson, P.J. Prolonged evaluation of epinephrine and normal saline solution injections in an acute ulcer model with a single bleeding artery. Gastrointest. Endosc. 1995, 42, 51–55. [Google Scholar] [CrossRef]
- Laine, L. Multipolar electrocoagulation versus injection therapy in the treatment of bleeding peptic ulcers. A prospective, randomized trial. Gastroenterology 1990, 99, 1303–1306. [Google Scholar] [CrossRef]
- Laine, L.; McQuaid, K.R. Endoscopic Therapy for Bleeding Ulcers: An Evidence-Based Approach Based on Meta-Analyses of Randomized Controlled Trials. Clin. Gastroenterol. Hepatol. 2009, 7, 33–47. [Google Scholar] [CrossRef] [PubMed]
- Croffie, J.; Somogyi, L.; Chuttani, R.; DiSario, J.; Liu, J.; Mishkin, D.; Shah, R.J.; Tierney, W.; Song, L.M.W.K.; Petersen, B.T. Sclerosing agents for use in GI endoscopy. Gastrointest. Endosc. 2007, 66, 1–6. [Google Scholar] [CrossRef] [PubMed]
- Llach, J.; Bordas, J.; Salmerón, J.; Panes, J.; Garcéa-Pagán, J.; Feu, F.; Navasa, M.; Mondelo, F.; Pique, J.; Mas, A.; et al. A prospective randomized trial of heater probe thermocoagulation versus injection therapy in peptic ulcer hemorrhage. Gastrointest. Endosc. 1996, 43, 117–120. [Google Scholar] [CrossRef]
- Laine, L.; Jensen, D.M. Management of Patients with Ulcer Bleeding. Am. J. Gastroenterol. 2012, 107, 345–360. [Google Scholar] [CrossRef]
- Jensen, D.M.; Machicado, G.A.; Hirabayashi, K. Randomized controlled study of 3 different types of hemoclips for hemostasis of bleeding canine acute gastric ulcers. Gastrointest. Endosc. 2006, 64, 768–773. [Google Scholar] [CrossRef]
- Holster, I.; Van Beusekom, H.; Kuipers, E.; Leebeek, F.; De Maat, M.; Tjwa, E. Effects of a hemostatic powder hemospray on coagulation and clot formation. Endoscopy 2015, 47, 638–645. [Google Scholar] [CrossRef]
- Yau, A.H.L.; Ou, G.; Galorport, C.; Amar, J.; Bressler, B.; Donnellan, F.; Ko, H.H.; Lam, E.; Enns, R.A. Safety and Efficacy of Hemospray® in Upper Gastrointestinal Bleeding. Can. J. Gastroenterol. Hepatol. 2014, 28, 72–76. [Google Scholar] [CrossRef]
- Changela, K.; Papafragkakis, H.; Ofori, E.; Ona, M.A.; Krishnaiah, M.; Duddempudi, S.; Anand, S. Hemostatic powder spray: A new method for managing gastrointestinal bleeding. Ther. Adv. Gastroenterol. 2015, 8, 125–135. [Google Scholar] [CrossRef]
- Sulz, M.; Frei, R.; Meyenberger, C.; Bauerfeind, P.; Semadeni, G.-M.; Gubler, C. Routine use of Hemospray for gastrointestinal bleeding: Prospective two-center experience in Switzerland. Endoscopy 2014, 46, 619–624. [Google Scholar] [CrossRef] [PubMed]
- Masci, E.; Arena, M.; Morandi, E.; Viaggi, P.; Mangiavillano, B. Upper gastrointestinal active bleeding ulcers: Review of literature on the results of endoscopic techniques and our experience with Hemospray. Scand. J. Gastroenterol. 2014, 49, 1290–1295. [Google Scholar] [CrossRef] [PubMed]
- Smith, L.A.; Stanley, A.J.; Bergman, J.J.; Kiesslich, R.; Hoffman, A.; Tjwa, E.T.; Kuipers, E.J.; von Holstein, C.S.; Oberg, S.; Brullet, E.; et al. Hemospray application in nonvariceal upper gastrointestinal bleeding: Results of the Survey to Evaluate the Application of Hemospray in the Luminal Tract. J. Clin. Gastroenterol. 2014, 48, 89–92. [Google Scholar] [CrossRef] [PubMed]
- Sung, J.; Luo, D.; Wu, J.; Ching, J.; Chan, F.K.; Lau, J.; Mack, S.; Ducharme, R.; Okolo, P.; Canto, M.; et al. Early clinical experience of the safety and effectiveness of Hemospray in achieving hemostasis in patients with acute peptic ulcer bleeding. Endoscopy 2011, 43, 291–295. [Google Scholar] [CrossRef] [PubMed]
- Cahyadi, O.; Bauder, M.; Meier, B.; Caca, K.; Schmidt, A. Effectiveness of TC-325 (Hemospray) for treatment of diffuse or refractory upper gastrointestinal bleeding – a single center experience. Endosc. Int. Open 2017, 5, E1159–E1164. [Google Scholar] [CrossRef]
- de Santiago, E.R.; Burgos-Santamaria, D.; Pérez-Carazo, L.; Brullet, E.; Ciriano, L.; Pons, F.R.; de Jorge Turrión, M.A.; Prados, S.; Pérez-Corte, D.; Becerro-Gonzalez, I.; et al. Hemostatic spray powder TC-325 for GI bleeding in a nationwide study: Survival and predictors of failure via competing risks analysis. Gastrointest. Endosc. 2019, 90, 581–590. [Google Scholar] [CrossRef]
- Barkun, A.; Adam, V.; Martel, M. TC-325 in the Management of Upper and Lower GI Bleeding: A Two-Year Experience at a Single Institution. Value Health 2014, 17, A749. [Google Scholar] [CrossRef][Green Version]
- Chen, Y.-I.; Barkun, A.; Nolan, S. Hemostatic powder TC-325 in the management of upper and lower gastrointestinal bleeding: A two-year experience at a single institution. Endoscopy 2015, 47, 167–171. [Google Scholar] [CrossRef]
- Holster, I.L.; Brullet, E.; Kuipers, E.J.; Campo, R.; Fernández-Atutxa, A.; Tjwa, E.T. Hemospray treatment is effective for lower gastrointestinal bleeding. Endoscopy 2014, 46, 75–78. [Google Scholar] [CrossRef]
- Pittayanon, R.; Rerknimitr, R.; Barkun, A. Prognostic factors affecting outcomes in patients with malignant GI bleeding treated with a novel endoscopically delivered hemostatic powder. Gastrointest. Endosc. 2018, 87, 994–1002. [Google Scholar] [CrossRef]
- Longstreth, G.F. Epidemiology of hospitalization for acute upper gastrointestinal hemorrhage: A population-based study. Am. J. Gastroenterol. 1995, 90, 206–210. [Google Scholar]
- Wilcox, C.M.; Alexander, L.N.; Cotsonis, G. A prospective characterization of upper gastrointestinal hemorrhage presenting with hematochezia. Am. J. Gastroenterol. 1997, 92, 231–235. [Google Scholar]
- Laine, L.; Shah, A. Randomized trial of urgent vs. elective colonoscopy in patients hospitalized with lower GI bleeding. Am. J. Gastroenterol. 2010, 105, 2636–2641. [Google Scholar] [CrossRef]
- Targownik, L.E.; Nabalamba, A. Trends in Management and Outcomes of Acute Nonvariceal Upper Gastrointestinal Bleeding: 1993–2003. Clin. Gastroenterol. Hepatol. 2006, 4, 1459–1466. [Google Scholar] [CrossRef]
- Wuerth, B.A.; Rockey, D.C. Changing epidemiology of upper gastrointestinal hemorrhage in the last decade: A nationwide analysis. Dig. Dis. sci. 2018, 63, 1286–1293. [Google Scholar] [CrossRef]
- Van Leerdam, M.E.; Vreeburg, E.M.; Rauws, E.A.J.; Geraedts, A.A.M.; Tijssen, J.G.P.; Reitsma, J.B.; Tytgat, G.N.J. Acute upper GI bleeding: Did anything change?: Time trend analysis of incidence and outcome of acute upper GI bleeding between 1993/1994 and 2000. Am. J. Gastroenterol. 2003, 98, 1494–1499. [Google Scholar] [CrossRef]
- Paspatis, G.A.; Matrella, E.; Kapsoritakis, A.; Leontithis, C.; Papanikolaou, N.; Chlouverakis, G.J.; Kouroumalis, E. An epidemiological study of acute upper gastrointestinal bleeding in Crete, Greece. Eur. J. Gastroenterol. Hepatol. 2000, 12, 1215–1220. [Google Scholar] [CrossRef]
- Zhao, Y.; Encinosa, W. Hospitalizations for Gastrointestinal Bleeding in 1998 and 2006. HCUP Statistical Brief# 65. Available online: https://europepmc.org/article/NBK/NBK54562 (accessed on 1 December 2019).
- Post, P.N.; Kuipers, E.J.; Meijer, G.A. Declining incidence of peptic ulcer but not of its complications: A nation-wide study in The Netherlands. Aliment. Pharmacol. Ther. 2006, 23, 1587–1593. [Google Scholar] [CrossRef]
- Rockall, T.A.; Logan, R.F.A.; Devlin, H.B.; Northfield, T.C. Incidence of and mortality from acute upper gastrointestinal haemorrhage in the United Kingdom. BMJ 1995, 311, 222–226. [Google Scholar] [CrossRef]
- Lee, Y.T.; Walmsley, R.S.; Leong, R.W.; Sung, J.J. Dieulafoy’s lesion. Gastrointest. Endosc. 2003, 58, 236–243. [Google Scholar] [CrossRef]
- Boonpongmanee, S.; Fleischer, D.E.; Pezzullo, J.C.; Collier, K.; Mayoral, W.; Al-Kawas, F.; Chutkan, R.; Lewis, J.H.; Tio, T.L.; Benjamin, S.B. The frequency of peptic ulcer as a cause of upper-GI bleeding is exaggerated. Gastrointest. Endosc. 2004, 59, 788–794. [Google Scholar] [CrossRef]
- Enestvedt, B.K.; Gralnek, I.M.; Mattek, N.; Lieberman, D.A.; Eisen, G. An evaluation of endoscopic indications and findings related to nonvariceal upper-GI hemorrhage in a large multicenter consortium. Gastrointest. Endosc. 2008, 67, 422–429. [Google Scholar] [CrossRef]
- Balderas, V.; Bhore, R.; Lara, L.F.; Spesivtseva, J.; Rockey, N.C. The Hematocrit Level in Upper Gastrointestinal Hemorrhage: Safety of Endoscopy and Outcomes. Am. J. Med. 2011, 124, 970–976. [Google Scholar] [CrossRef] [PubMed]
- Wollenman, C.S.; Chason, R.; Reisch, J.S.; Rockey, D.C. Impact of ethnicity in upper gastrointestinal hemorrhage. J. Clin. Gastroenterol. 2014, 48, 343–350. [Google Scholar] [CrossRef]
- Hunt, R.H.; Malfertheiner, P.; Yeomans, N.D.; Hawkey, C.J.; Howden, C.W. Critical issues in the pathophysiology and management of peptic ulcer disease. Eur. J. Gastroenterol. Hepatol. 1995, 7, 685–699. [Google Scholar] [PubMed]
- Hallas, J.; Lauritsen, J.; Villadsen, H.D.; Gram, L.F. Nonsteroidal anti-inflammatory drugs and upper gastrointestinal bleeding, identifying high-risk groups by excess risk estimates. Scand. J. Gastroenterol. 1995, 30, 438–444. [Google Scholar] [CrossRef]
- Gralnek, I.M.; Barkun, A.N.; Bardou, M. Management of Acute Bleeding from a Peptic Ulcer. N. Engl. J. Med. 2008, 359, 928–937. [Google Scholar] [CrossRef]
- Sung, J.J.Y.; Tsoi, K.K.F.; Ma, T.K.W.; Yung, M.-Y.; Lau, J.Y.W.; Chiu, P.W.Y. Causes of Mortality in Patients With Peptic Ulcer Bleeding: A Prospective Cohort Study of 10,428 Cases. Am. J. Gastroenterol. 2010, 105, 84–89. [Google Scholar] [CrossRef]
- Chason, R.D.; Reisch, J.S.; Rockey, D.C. More Favorable Outcomes with Peptic Ulcer Bleeding Due to Helicobacter Pylori. Am. J. Med. 2013, 126, 811–818. [Google Scholar] [CrossRef]
- Barkun, A.N.; Almadi, M.; Kuipers, E.J.; Laine, L.; Sung, J.; Tse, F.; Leontiadis, G.I.; Abraham, N.S.; Calvet, X.; Chan, F.K.; et al. Management of Nonvariceal Upper Gastrointestinal Bleeding: Guideline Recommendations From the International Consensus Group. Ann. Intern. Med. 2019, 171, 805–822. [Google Scholar] [CrossRef]
- Sung, J.J.; Chiu, P.W.; Chan, F.K.L.; Lau, J.Y.; Goh, K.-L.; Ho, L.H.; Jung, H.-Y.; Sollano, J.D.; Gotoda, T.; Reddy, N.; et al. Asia-Pacific working group consensus on non-variceal upper gastrointestinal bleeding: An update 2018. Gut 2018, 67, 1757–1768. [Google Scholar] [CrossRef] [PubMed]
- Blatchford, O.; Murray, W.R.; Blatchford, M. A risk score to predict need for treatment for uppergastrointestinal haemorrhage. Lancet 2000, 356, 1318–1321. [Google Scholar] [CrossRef]
- Rockall, T.; Devlin, H.; Logan, R.; Northfield, T. Variation in outcome after acute upper gastrointestinal haemorrhage. Lancet 1995, 346, 346–350. [Google Scholar] [CrossRef]
- Saltzman, J.R.; Tabak, Y.P.; Hyett, B.H.; Sun, X.; Travis, A.C.; Johannes, R.S. A simple risk score accurately predicts in-hospital mortality, length of stay, and cost in acute upper GI bleeding. Gastrointest. Endosc. 2011, 74, 1215–1224. [Google Scholar] [CrossRef]
- Chen, I.-C.; Hung, M.-S.; Chiu, T.-F.; Chen, J.-C.; Hsiao, C.-T. Risk scoring systems to predict need for clinical intervention for patients with nonvariceal upper gastrointestinal tract bleeding. Am. J. Emerg. Med. 2007, 25, 774–779. [Google Scholar] [CrossRef]
- Stanley, A.; Ashley, D.; Dalton, H.; Mowat, C.; Gaya, D.R.; Thompson, E.; Warshow, U.; Groome, M.; Cahill, A.; Benson, G.; et al. Outpatient management of patients with low-risk upper-gastrointestinal haemorrhage: Multicentre validation and prospective evaluation. Lancet 2009, 373, 42–47. [Google Scholar] [CrossRef]
- Pang, S.H.; Ching, J.Y.; Lau, J.Y.; Sung, J.J.; Graham, D.Y.; Chan, F.K. Comparing the Blatchford and pre-endoscopic Rockall score in predicting the need for endoscopic therapy in patients with upper GI hemorrhage. Gastrointest. Endosc. 2010, 71, 1134–1140. [Google Scholar] [CrossRef]
- Dicu, D.; Pop, F.; Ionescu, D.; Dicu, T. Comparison of risk scoring systems in predicting clinical outcome at upper gastrointestinal bleeding patients in an emergency unit. Am. J. Emerg. Med. 2013, 31, 94–99. [Google Scholar] [CrossRef]
- Wang, C.-H.; Chen, Y.-W.; Young, Y.-R.; Yang, C.-J.; Chen, I.-C. A prospective comparison of 3 scoring systems in upper gastrointestinal bleeding. Am. J. Emerg. Med. 2013, 31, 775–778. [Google Scholar] [CrossRef]
- Yang, H.M.; Jeon, S.W.; Jung, J.T.; Lee, D.W.; Ha, C.Y.; Park, K.S.; Lee, S.H.; Yang, C.H.; Park, J.H.; Park, Y.S.; et al. Comparison of scoring systems for nonvariceal upper gastrointestinal bleeding: A multicenter prospective cohort study. J. Gastroen Hepatol. 2016, 31, 119–125. [Google Scholar] [CrossRef]
- Hyett, B.H.; Abougergi, M.S.; Charpentier, J.P.; Kumar, N.L.; Brozovic, S.; Claggett, B.L.; Travis, A.C.; Saltzman, J.R. The AIMS65 score compared with the Glasgow-Blatchford score in predicting outcomes in upper GI bleeding. Gastrointest. Endosc. 2013, 77, 551–557. [Google Scholar] [CrossRef] [PubMed]
- Tang, Y.; Shen, J.; Zhang, F.; Zhou, X.; Tang, Z.; You, T. Scoring systems used to predict mortality in patients with acute upper gastrointestinal bleeding in the ED. Am. J. Emerg. Med. 2018, 36, 27–32. [Google Scholar] [CrossRef] [PubMed]
- Hwang, J.H.; Fisher, D.A.; Ben-Menachem, T.; Chandrasekhara, V.; Chathadi, K.; Decker, G.A.; Early, D.S.; Evans, J.A.; Fanelli, R.D.; Foley, K.; et al. The role of endoscopy in the management of acute non-variceal upper GI bleeding. Gastrointest. Endosc. 2012, 75, 1132–1138. [Google Scholar] [CrossRef] [PubMed]
- Chaimoff, C.; Creter, D.; Djaldetti, M. The effect of pH on platelet and coagulation factor activities. Am. J. Surg. 1978, 136, 257–259. [Google Scholar] [CrossRef]
- Green, F.W.; Kaplan, M.M.; Curtis, L.E.; Levine, P.H. Effect of acid and pepsin on blood coagulation and platelet aggregation: A possible contributor to prolonged gastroduodenal mucosal hemorrhage. Gastroenterology 1978, 74, 38–43. [Google Scholar] [CrossRef]
- Patchett, S.E.; Enright, H.; Afdhal, N.; O’Connell, W.; O’Donoghue, D.P. Clot lysis by gastric juice: An in vitro study. Gut 1989, 30, 1704–1707. [Google Scholar] [CrossRef]
- Lau, J.Y.; Leung, W.K.; Wu, J.C.; Chan, F.K.; Wong, V.W.; Chiu, P.W.; Lee, V.W.; Lee, K.K.; Cheung, F.K.; Siu, P.; et al. Omeprazole before Endoscopy in Patients with Gastrointestinal Bleeding. N. Engl. J. Med. 2007, 356, 1631–1640. [Google Scholar] [CrossRef]
- Sreedharan, A.; Martin, J.; Leontiadis, G.I.; Dorward, S.; Howden, C.W.; Forman, D.; Moayyedi, P. Proton pump inhibitor treatment initiated prior to endoscopic diagnosis in upper gastrointestinal bleeding. Cochrane DB. Syst. Rev. 2010, 7, 1–69. [Google Scholar] [CrossRef]
- Leontiadis, G.I.; Sharma, V.K.; Howden, C.W. Proton pump inhibitor therapy for peptic ulcer bleeding: Cochrane collaboration meta-analysis of randomized controlled trials. Paper presented at: Mayo Clinic Proceedings. Elsevier 2007, 82, 286–296. [Google Scholar]
- Sachar, H.; Vaidya, K.; Laine, L. Intermittent vs continuous proton pump inhibitor therapy for high-risk bleeding ulcers: A systematic review and meta-analysis. JAMA Intern. Med. 2014, 174, 1755–1762. [Google Scholar] [CrossRef]
- Barkun, A.N.; Bardou, M.; Martel, M.; Gralnek, I.M.; Sung, J.J. Prokinetics in acute upper GI bleeding: A meta-analysis. Gastrointest. Endosc. 2010, 72, 1138–1145. [Google Scholar] [CrossRef] [PubMed]
- Lin, H.J.; Wang, K.; Perng, C.L.; Chua, R.T.; Lee, F.Y.; Lee, C.H.; Lee, S.D. Early or delayed endoscopy for patients with peptic ulcer bleeding. A prospective randomized study. J. Clin. Gastroenterol. 1996, 22, 267–271. [Google Scholar] [CrossRef] [PubMed]
- Chak, A.; Cooper, G.S.; Lloyd, L.E.; Kolz, C.S.; Barnhart, B.A.; Wong, R.C. Effectiveness of endoscopy in patients admitted to the intensive care unit with upper GI hemorrhage. Gastrointest. Endosc. 2001, 53, 6–13. [Google Scholar] [CrossRef] [PubMed]
- Cipolletta, L.; Bianco, M.A.; Rotondano, G.; Marmo, R.; Piscopo, R. Outpatient management for low-risk nonvariceal upper GI bleeding: A randomized controlled trial. Gastrointest. Endosc. 2002, 55, 1–5. [Google Scholar] [CrossRef]
- Lee, J.G.; Turnipseed, S.; Romano, P.S.; Vigil, H.; Azari, R.; Melnikoff, N.; Hsu, R.; Kirk, D.; Sokolove, P.; Leung, J.W. Endoscopy-based triage significantly reduces hospitalization rates and costs of treating upper GI bleeding: A randomized controlled trial. Gastrointest. Endosc. 1999, 50, 755–761. [Google Scholar] [CrossRef]
- Forrest, J.; Finlayson, N.; Shearman, D. Endoscopy in gastrointestinal bleeding. Lancet 1974, 304, 394–397. [Google Scholar] [CrossRef]
- Vergara, M.; Bennett, C.; Calvet, X.; Gisbert, J.P. Epinephrine injection versus epinephrine injection and a second endoscopic method in high-risk bleeding ulcers. Cochrane DB. Syst. Rev. 2014, 10, 1–79. [Google Scholar]
- Marmo, R.; Rotondano, G.; Piscopo, R.; Bianco, M.A.; D’Angella, R.; Cipolletta, L. Dual Therapy Versus Monotherapy in the Endoscopic Treatment of High-Risk Bleeding Ulcers: A Meta-Analysis of Controlled Trials. Am. J. Gastroenterol. 2007, 102, 279–289. [Google Scholar] [CrossRef]
- Barkun, A.N.; Martel, M.; Toubouti, Y.; Rahme, E.; Bardou, M. Endoscopic hemostasis in peptic ulcer bleeding for patients with high-risk lesions: A series of meta-analyses. Gastrointest. Endosc. 2009, 69, 786–799. [Google Scholar] [CrossRef]
- Lau, J.Y.; Sung, J.J.; Lee, K.K.; Yung, M.-Y.; Wong, S.K.; Wu, J.C.; Chan, F.K.; Ng, E.K.; You, J.H.; Lee, C.; et al. Effect of Intravenous Omeprazole on Recurrent Bleeding after Endoscopic Treatment of Bleeding Peptic Ulcers. N. Engl. J. Med. 2000, 343, 310–316. [Google Scholar] [CrossRef]
- Katz, P.O.; Stein, E.; Sung, J.J.Y.; Barkun, A.; Kuipers, E.J.; Mössner, J.; Jensen, D.M.; Stuart, R.; Lau, J.Y.; Ahlbom, H.; et al. Faculty of 1000 evaluation for Intravenous esomeprazole for prevention of recurrent peptic ulcer bleeding: A randomized trial. F1000 - Post-Publ. Peer Rev. Biomed. Lit. 2009, 150, 455–464. [Google Scholar]
- Decker, J.P.; Zamcheck, N.; Mallory, G.K. Mallory-Weiss Syndrome. N. Engl. J. Med. 1953, 249, 957–963. [Google Scholar] [CrossRef]
- Bharucha, A.E.; Gostout, C.J.; Balm, R.K. Clinical and endoscopic risk factors in the Mallory-Weiss syndrome. Am. J. Gastroenterol. 1997, 92, 805–808. [Google Scholar]
- Gunay, K.; Cabioglu, N.; Barbaros, U.; Taviloglu, K.; Ertekin, C. Endoscopic ligation for patients with active bleeding Mallory-Weiss tears. Surg. Endosc. 2001, 15, 1305–1307. [Google Scholar] [CrossRef]
- Morales, P.; Baum, A.E. Therapeutic Alternatives for the Mallory-Weiss Tear. Curr. Treat. Opt. Gastroenterol. 2003, 6, 75–83. [Google Scholar] [CrossRef]
- Gunnlaugsson, O. Angiodysplasia of the stomach and duodenum. Gastrointest. Endosc. 1985, 31, 251–254. [Google Scholar] [CrossRef]
- Clouse, R.E.; Costigan, D.J.; Mills, B.A.; Zuckerman, G.R. Angiodysplasia as a cause of upper gastrointestinal bleeding. JAMA Inter. Med. 1985, 145, 458–461. [Google Scholar] [CrossRef]
- Sebastian, S.; O’Morain, C.A.; Buckley, M.J.M. Current therapeutic options for gastric antral vascular ectasia. Aliment. Pharmacol. Ther. 2003, 18, 157–165. [Google Scholar] [CrossRef]
- Wong, R.M.; Ota, S.; Katoh, A.; Yamauchi, A.; Arai, K.; Kaneko, K.; Yazawa, M.; Matsuzaki, F. Endoscopic Ligation for Non-Esophageal Variceal Upper Gastrointestinal Hemorrhage. Endoscopy 1998, 30, 774–777. [Google Scholar] [CrossRef]
- Lara, L.F.; Sreenarasimhaiah, J.; Tang, S.-J.; Afonso, B.B.; Rockey, N.C. Dieulafoy Lesions of the GI Tract: Localization and Therapeutic Outcomes. Dig. Dis. Sci. 2010, 55, 3436–3441. [Google Scholar] [CrossRef]
- Norton, I.D.; Petersen, B.T.; Sorbi, D.; Balm, R.K.; Alexander, G.L.; Gostout, C.J. Management and long-term prognosis of Dieulafoy lesion. Gastrointest. Endosc. 1999, 50, 762–767. [Google Scholar] [CrossRef]
- Barker, K.B.; Arnold, H.L.; Fillman, E.P.; Palekar, N.A.; Gering, S.A.; Parker, A.L. Safety of band ligator use in the small bowel and the colon. Gastrointest. Endosc. 2005, 62, 224–227. [Google Scholar] [CrossRef]
- Payen, J.-L.; Cales, P.; Voigt, J.-J.; Barbe, S.; Pilette, C.; Dubuisson, L.; Desmorat, H.; Vinel, J.-P.; Kervran, A.; Chayvialle, J.-A.; et al. Severe portal hypertensive gastropathy and antral vascular ectasia are distinct entities in patients with cirrhosis. Gastroenterology 1995, 108, 138–144. [Google Scholar] [CrossRef]
- Kamath, P.S.; Lacerda, M.; Ahlquist, D.A.; McKusick, M.A.; Andrews, J.C.; Nagorney, D.A. Gastric mucosal responses to intrahepatic portosystemic shunting in patients with cirrhosis. Gastroenterology 2000, 118, 905–911. [Google Scholar] [CrossRef]
- Dulai, G.S.; Jensen, D.M.; Kovacs, T.O.G.; Gralnek, I.M.; Jutabha, R. Endoscopic Treatment Outcomes in Watermelon Stomach Patients with and without Portal Hypertension. Endoscopy 2004, 36, 68–72. [Google Scholar]
- McGorisk, T.; Krishnan, K.; Keefer, L.; Komanduri, S. Radiofrequency ablation for refractory gastric antral vascular ectasia (with video). Gastrointest. Endosc. 2013, 78, 584–588. [Google Scholar] [CrossRef] [PubMed]
- Hermansen, J.F.; Glerup, H. Treatment of gastric antral vascular ectasia with endoscopic banding. Ugeskr. Laeger 2015, 177, V06150526. [Google Scholar]
- Savides, T.J.; Jensen, D.M.; Cohen, J.; Randall, G.M.; Kovacs, T.O.G.; Pelayo, E.; Cheng, S.; Jensen, M.E.; Hsieh, H.-Y. Severe Upper Gastrointestinal Tumor Bleeding: Endoscopic Findings, Treatment, and Outcome. Endoscopy 1996, 28, 244–248. [Google Scholar] [CrossRef]
- Heller, S.J.; Tokar, J.L.; Nguyen, M.T.; Haluszka, O.; Weinberg, D.S. Management of bleeding GI tumors. Gastrointest. Endosc. 2010, 72, 817–824. [Google Scholar] [CrossRef]
- Chen, Y.-I.; Barkun, A.N.; Soulellis, C.; Mayrand, S.; Ghali, P. Use of the endoscopically applied hemostatic powder TC-325 in cancer-related upper GI hemorrhage: Preliminary experience (with video). Gastrointest. Endosc. 2012, 75, 1278–1281. [Google Scholar] [CrossRef]
- Leblanc, S.; Vienne, A.; Dhooge, M.; Coriat, R.; Chaussade, S.; Prat, F. Early experience with a novel hemostatic powder used to treat upper GI bleeding related to malignancies or after therapeutic interventions (with videos). Gastrointest. Endosc. 2013, 78, 169–175. [Google Scholar] [CrossRef]
- Haddara, S.; Jacques, J.; Lecleire, S.; Branche, J.; Leblanc, S.; Le Baleur, Y.; Privat, J.; Heyries, L.; Bichard, P.; Granval, P.; et al. A novel hemostatic powder for upper gastrointestinal bleeding: A multicenter study (the “GRAPHE” registry). Endoscopy 2016, 48, 1084–1095. [Google Scholar] [CrossRef] [PubMed]
- Wee, E. Management of nonvariceal upper gastrointestinal bleeding. J. Postgrad. Med. 2011, 57, 161–167. [Google Scholar] [CrossRef] [PubMed]
- Saeed, Z.A.; Cole, R.A.; Ramirez, F.C.; Schneider, F.E.; Hepps, K.S.; Graham, D.Y. Endoscopic Retreatment After Successful Initial Hemostasis Prevents Ulcer Rebleeding: A Prospective Randomized Trial. Endoscopy 1996, 28, 288–294. [Google Scholar] [CrossRef] [PubMed]
- Lau, J.Y.; Sung, J.J.; Lam, Y.-H.; Chan, A.C.; Ng, E.K.; Lee, D.W.; Chan, F.K.; Suen, R.C.; Chung, S.C. Endoscopic retreatment compared with surgery in patients with recurrent bleeding after initial endoscopic control of bleeding ulcers. N. Engl. J. Med. 1999, 340, 751–756. [Google Scholar] [CrossRef]
- Millward, S.F. ACR Appropriateness Criteria® on Treatment of Acute Nonvariceal Gastrointestinal Tract Bleeding. J. Am. Coll. Radiol. 2008, 5, 550–554. [Google Scholar] [CrossRef]
- Padia, S.A.; Geisinger, M.A.; Newman, J.S.; Pierce, G.; Obuchowski, N.A.; Sands, M.J. Effectiveness of Coil Embolization in Angiographically Detectable versus Non-detectable Sources of Upper Gastrointestinal Hemorrhage. J. Vasc. Interv. Radiol. 2009, 20, 461–466. [Google Scholar] [CrossRef]
- Lemos, D.W.; Raffetto, J.D.; Moore, T.C.; Menzoian, J.O. Primary aortoduodenal fistula: A case report and review of the literature. J. Vasc. Surg. 2003, 37, 686–689. [Google Scholar] [CrossRef]
- Voorhoeve, R.; Moll, F.; De Letter, J.; Bast, T.; Wester, J.; Slee, P. Primary Aortoenteric Fistula: Report of Eight New Cases and Review of the Literature. Ann. Vasc. Surg. 1996, 10, 40–48. [Google Scholar] [CrossRef]
- Nagy, S.W.; Marshall, J.B. Aortoenteric fistulas. Recognizing a potentially catastrophic cause of gastrointestinal bleeding. Postgrad. Med. 1993, 93, 211–222. [Google Scholar]
- Antinori, C.H.; Andrew, C.T.; Santaspirt, J.S.; Villanueva, D.T.; Kuchler, J.A.; DeLeon, M.L.; Cody, W.C.; DiPaola, D.J.; Manuele, V.J. The many faces of aortoenteric fistulas. Am. Surg. 1996, 62, 344–349. [Google Scholar]
- Cendan, J.C.; Thomas, J.B., IV; Seeger, J.M.; Richardson, J.D. Twenty-one Cases of Aortoenteric Fistula: Lessons for the General Surgeon/DISCUSSION. Am. Surgeon 2004, 70, 583–587. [Google Scholar] [PubMed]
- Iino, M.; Kuribayashi, S.; Imakita, S.; Takamiya, M.; Matsuo, H.; Ookita, Y.; Ando, M.; Ueda, H. Sensitivity and specificity of CT in the diagnosis of inflammatory abdominal aortic aneurysms. J. Comput. Assist. Tomogr. 2002, 26, 1006–1012. [Google Scholar] [CrossRef]
- Saers, S.J.F.; Scheltinga, M.R.M. Primary aortoenteric fistula. BJS 2005, 92, 143–152. [Google Scholar] [CrossRef] [PubMed]
- Chin, M.W.; Enns, R. Hemobilia. Curr. Gastroenterol. Rep. 2010, 12, 121–129. [Google Scholar] [CrossRef] [PubMed]
- Spieth, M.E.; Hou, C.C.; Ewing, P.D.; Price, D.K.; Kimura, R.L.; Kawada, T.K. Hemobilia Presenting as Intermittent Gastrointestinal Hemorrhage With Sincalide Confirmation A Case Report. Clin. Nucl. Med. 1995, 20, 391–394. [Google Scholar] [CrossRef] [PubMed]
- Suter, M.; Doenz, F.; Chapuis, G.; Gillet, M.; Sandblom, P. Haemorrhage into the pancreatic duct (Hemosuccus pancreaticus): Recognition and management. Eur. J. Surg. 1995, 161, 887–892. [Google Scholar]
- Risti, B.; Marincek, B.; Jost, R.; Decurtins, M.; Ammann, R. Hemosuccus pancreaticus as a source of obscure upper gastrointestinal bleeding: Three cases and literature review. Am. J. Gastroenterol. 1995, 90, 1878–1880. [Google Scholar]
- Lermite, E.; Regenet, N.; Tuech, J.-J.; Tuech, J.J.; Pessaux, P.; Meurette, G.; Bridoux, V.; Aubé, C.; Arnaud, J. Diagnosis and treatment of hemosuccus pancreaticus: Development of endovascular management. Pancreas 2007, 34, 229–232. [Google Scholar] [CrossRef]
- Arnaud, J.-P.; Bergamaschi, R.; Serra-Maudet, V. Pancreatoduodenectomy for Hemosuccus Pancreaticus in Silent Chronic Pancreatitis. Arch. Surg. 1994, 129, 333–334. [Google Scholar] [CrossRef]
- Wagner, W.H.; Cossman, D.V.; Treiman, R.L.; Foran, R.F.; Levin, P.M.; Cohen, J. Hemosuccus pancreaticus from intraductal rupture of a primary splenic artery aneurysm. J. Vasc. Surg. 1994, 19, 158–164. [Google Scholar] [CrossRef]
- Lau, W.Y.; Fan, S.T.; Wong, S.H.; Wong, K.P.; Poon, G.P.; Chu, K.W.; Yip, W.C.; Wong, K.K. Preoperative and intraoperative localisation of gastrointestinal bleeding of obscure origin. Gut 1987, 28, 869–877. [Google Scholar] [CrossRef] [PubMed]
- Longstreth, G.F. Epidemiology and outcome of patients hospitalized with acute lower gastrointestinal hemorrhage: A population-based study. Am. J. Gastroenterol. 1997, 92, 419–424. [Google Scholar] [PubMed]
- Gerson, L.B.; Fidler, J.L.; Cave, D.R.; Leighton, J.A. ACG Clinical Guideline: Diagnosis and Management of Small Bowel Bleeding. Am. J. Gastroenterol. 2015, 110, 1265–1287. [Google Scholar] [CrossRef]
- Raju, G.S.; Gerson, L.; Das, A.; Lewis, B. American Gastroenterological Association (AGA) Institute Medical Position Statement on Obscure Gastrointestinal Bleeding. Gastroenterology 2007, 133, 1694–1696. [Google Scholar] [CrossRef]
- Mylonaki, M.; Fritscher-Ravens, A.; Swain, P. Wireless capsule endoscopy: A comparison with push enteroscopy in patients with gastroscopy and colonoscopy negative gastrointestinal bleeding. Gut 2003, 52, 1122–1126. [Google Scholar] [CrossRef]
- Triester, S.L.; Leighton, J.A.; Leontiadis, G.I.; Fleischer, D.E.; Hara, A.K.; Heigh, R.I.; Shiff, A.D.; Sharma, V.K. A Meta-Analysis of the Yield of Capsule Endoscopy Compared to Other Diagnostic Modalities in Patients with Obscure Gastrointestinal Bleeding. Am. J. Gastroenterol. 2005, 100, 2407–2418. [Google Scholar] [CrossRef]
- Hartmann, D.; Schmidt, H.; Bolz, G.; Schilling, D.; Kinzel, F.; Eickhoff, A.; Huschner, W.; Möller, K.; Jakobs, R.; Reitzig, P.; et al. A prospective two-center study comparing wireless capsule endoscopy with intraoperative enteroscopy in patients with obscure GI bleeding. Gastrointest. Endosc. 2005, 61, 826–832. [Google Scholar] [CrossRef]
- Saperas, E.; Dot, J.; Videla, S.; Alvarez-Castells, A.; Perez-Lafuente, M.; Armengol, J.R.; Malagelada, J.-R. Capsule Endoscopy Versus Computed Tomographic or Standard Angiography for the Diagnosis of Obscure Gastrointestinal Bleeding. Am. J. Gastroenterol. 2007, 102, 731–737. [Google Scholar] [CrossRef]
- Wang, A.; Banerjee, S.; Barth, B.A.; Bhat, Y.M.; Chauhan, S.; Gottlieb, K.T.; Konda, V.; Maple, J.T.; Murad, F.; Pfau, P.R.; et al. Wireless capsule endoscopy. Gastrointest. Endosc. 2013, 78, 805–815. [Google Scholar] [CrossRef]
- Pennazio, M.; Santucci, R.; Rondonotti, E.; Abbiati, C.; Beccari, G.; Rossini, F.P.; De Franchis, R. Outcome of patients with obscure gastrointestinal bleeding after capsule endoscopy: Report of 100 consecutive cases. Gastroenterology 2004, 126, 643–653. [Google Scholar] [CrossRef]
- Rondonotti, E.; Villa, F.; Mulder, C.J.J.; Jacobs, M.A.J.M.; De Franchis, R. Small bowel capsule endoscopy in 2007: Indications, risks and limitations. World J. Gastroenterol. 2007, 13, 6140–6149. [Google Scholar] [CrossRef]
- Lai, L.H.; Wong, G.L.; Chow, D.K.; Lau, J.Y.; Sung, J.J.; Leung, W.K. Long-Term Follow-Up of Patients with Obscure Gastrointestinal Bleeding After Negative Capsule Endoscopy. Am. J. Gastroenterol. 2006, 101, 1224–1228. [Google Scholar] [CrossRef]
- Macdonald, J.; Porter, V.; McNamara, D. Negative capsule endoscopy in patients with obscure GI bleeding predicts low rebleeding rates. Gastrointest. Endosc. 2008, 68, 1122–1127. [Google Scholar] [CrossRef] [PubMed]
- Jones, B.H.; Fleischer, D.E.; Sharma, V.K.; Heigh, R.I.; Shiff, A.D.; Hernandez, J.L.; Leighton, J.A. Yield of Repeat Wireless Video Capsule Endoscopy in Patients with Obscure Gastrointestinal Bleeding. Am. J. Gastroenterol. 2005, 100, 1058–1064. [Google Scholar] [CrossRef] [PubMed]
- Viazis, N.; Papaxoinis, K.; Vlachogiannakos, J.; Efthymiou, A.; Theodoropoulos, I.; Karamanolis, D.G. Is there a role for second-look capsule endoscopy in patients with obscure GI bleeding after a nondiagnostic first test? Gastrointest. Endosc. 2009, 69, 850–856. [Google Scholar] [CrossRef]
- Svarta, S.; Segal, B.; Law, J.; Sandhar, A.; Kwok, R.; Jacques, A.; Lakzadeh, P.; Enns, R. Diagnostic yield of repeat capsule endoscopy and the effect on subsequent patient management. Can. J. Gastroenterol. 2010, 24, 441–444. [Google Scholar] [CrossRef] [PubMed]
- Min, B.-H.; Chang, D.K.; Kim, B.J.; Lee, I.S.; Choi, M.-G. Does Back-To-Back Capsule Endoscopy Increase the Diagnostic Yield over a Single Examination in Patients with Obscure Gastrointestinal Bleeding? Gut Liver 2010, 4, 54–59. [Google Scholar] [CrossRef] [PubMed]
- Postgate, A.; Despott, E.; Burling, D.; Gupta, A.; Phillips, R.; O’Beirne, J.; Patch, D.; Fraser, C. Significant small-bowel lesions detected by alternative diagnostic modalities after negative capsule endoscopy. Gastrointest. Endosc. 2008, 68, 1209–1214. [Google Scholar] [CrossRef] [PubMed]
- Zagorowicz, E.S.; Pietrzak, A.M.; Wronska, E.; Pachlewski, J.; Rutkowski, P.; Kraszewska, E.; Regula, J. Small bowel tumors detected and missed during capsule endoscopy: Single center experience. World J. Gastroenterol. 2013, 19, 9043–9048. [Google Scholar] [CrossRef]
- Repici, A.; Barbon, V.; De Angelis, C.; Luigiano, C.; De Caro, G.; Hervoso, C.; Danese, S.; Preatoni, P.; Pagano, N.; Comunale, S.; et al. Acute small-bowel perforation secondary to capsule endoscopy. Gastrointest. Endosc. 2008, 67, 180–183. [Google Scholar] [CrossRef]
- Yamamoto, H.; Sekine, Y.; Sato, Y.; Higashizawa, T.; Miyata, T.; Iino, S.; Ido, K.; Sugano, K. Total enteroscopy with a nonsurgical steerable double-balloon method. Gastrointest. Endosc. 2001, 53, 216–220. [Google Scholar] [CrossRef] [PubMed]
- Khashab, M.A.; Pasha, S.F.; Muthusamy, V.R.; Acosta, R.D.; Bruining, D.H.; Chandrasekhara, V.; Chathadi, K.V.; Eloubeidi, M.A.; Fanelli, R.D.; Faulx, A.L.; et al. The role of deep enteroscopy in the management of small-bowel disorders. Gastrointest. Endosc. 2015, 82, 600–607. [Google Scholar] [CrossRef] [PubMed]
- Xin, L.; Liao, Z.; Jiang, Y.-P.; Li, Z.-S. Indications, detectability, positive findings, total enteroscopy, and complications of diagnostic double-balloon endoscopy: A systematic review of data over the first decade of use. Gastrointest. Endosc. 2011, 74, 563–570. [Google Scholar] [CrossRef] [PubMed]
- Pasha, S.F.; Leighton, J.A.; Das, A.; Harrison, M.E.; Decker, G.A.; Fleischer, D.E.; Sharma, V.K. Double-Balloon Enteroscopy and Capsule Endoscopy Have Comparable Diagnostic Yield in Small-Bowel Disease: A Meta-Analysis. Clin. Gastroenterol. Hepatol. 2008, 6, 671–676. [Google Scholar] [CrossRef]
- Teshima, C.W.; Kuipers, E.J.; Van Zanten, S.V.; Mensink, P.B.F. Double balloon enteroscopy and capsule endoscopy for obscure gastrointestinal bleeding: An updated meta-analysis. J. Gastroenterol. Hepatol. 2011, 26, 796–801. [Google Scholar] [CrossRef]
- Wang, B.Q.; Sun, G.B.; Lou, W.H. Double balloon enteroscopy vs capsule endoscopy for obscure gastrointestinal bleeding: A Meta-analysis. World Chin. J. Dig. 2013, 21, 4060–4065. [Google Scholar] [CrossRef]
- Zhang, Q.; He, Q.; Liu, J.; Ma, F.; Zhi, F.; Bai, Y. Combined use of capsule endoscopy and double-balloon enteroscopy in the diagnosis of obscure gastrointestinal bleeding: Meta-analysis and pooled analysis. Hepato-Gastroenterology 2013, 60, 1885–1891. [Google Scholar]
- Fry, L.C.; Mönkemüller, K.; Neumann, H.; Von Arnim, U.; Bellutti, M.; Malfertheiner, P. Capsule Endoscopy (CE) Increases the Diagnostic Yield of Double Balloon Enteroscopy (DBE) in Patients Being Investigated for Obscure Gastrointestinal Bleeding (OGIB). Gastrointest. Endosc. 2009, 69, AB190. [Google Scholar] [CrossRef]
- Mönkemüller, K.; Neumann, H.; Meyer, F.; Kuhn, R.; Malfertheiner, P.; Fry, L. A retrospective analysis of emergency double-balloon enteroscopy for small-bowel bleeding. Endoscopy 2009, 41, 715–717. [Google Scholar] [CrossRef]
- Aniwan, S.; Viriyautsahakul, V.; Rerknimitr, R.; Angsuwatcharakon, P.; Kongkam, P.; Treeprasertsuk, S.; Kullavanijaya, P. Urgent double balloon endoscopy provides higher yields than non-urgent double balloon endoscopy in overt obscure gastrointestinal bleeding. Endosc. Int. Open 2014, 2, E90–E95. [Google Scholar]
- Upchurch, B.R.; Vargo, J.J. Single-balloon Enteroscopy. Gastrointest. Endosc. Clin. N. Am. 2009, 19, 335–347. [Google Scholar] [CrossRef] [PubMed]
- Takano, N.; Yamada, A.; Watabe, H.; Togo, G.; Yamaji, Y.; Yoshida, H.; Kawabe, T.; Omata, M.; Koike, K. Single-balloon versus double-balloon endoscopy for achieving total enteroscopy: A randomized, controlled trial. Gastrointest. Endosc. 2011, 73, 734–739. [Google Scholar] [CrossRef] [PubMed]
- Domagk, D.; Mensink, P.; Aktas, H.; Lenz, P.; Meister, T.; Luegering, A.; Ullerich, H.; Aabakken, L.; Heinecke, A.; Domschke, W.; et al. Single-vs. double-balloon enteroscopy in small-bowel diagnostics: A randomized multicenter trial. Endoscopy 2011, 43, 472–476. [Google Scholar] [CrossRef] [PubMed]
- Lipka, S.; Rabbanifard, R.; Kumar, A.; Brady, P. Single versus double balloon enteroscopy for small bowel diagnostics: A systematic review and meta-analysis. J. Clin. Gastroenterol. 2015, 49, 177–184. [Google Scholar] [CrossRef] [PubMed]
- Lara, L.F.; Singh, S.; Sreenarasimhaiah, J. Initial experience with retrograde overtube-assisted enteroscopy using a spiral tip overtube. Bayl. Univ. Med Cent. Proc. 2010, 23, 130–133. [Google Scholar] [CrossRef] [PubMed]
- Buscaglia, J.M.; Richards, R.; Wilkinson, M.N.; Judah, J.R.; Lam, Y.; Nagula, S.; Draganov, P.V. Diagnostic Yield of Spiral Enteroscopy When Performed for the Evaluation of Abnormal Capsule Endoscopy Findings. J. Clin. Gastroenterol. 2011, 45, 342–346. [Google Scholar] [CrossRef]
- Williamson, J.B.; Judah, J.R.; Gaidos, J.K.; Collins, D.P.; Wagh, M.S.; Chauhan, S.S.; Zoeb, S.; Buscaglia, J.M.; Yan, H.; Hou, W.; et al. Prospective evaluation of the long-term outcomes after deep small-bowel spiral enteroscopy in patients with obscure GI bleeding. Gastrointest. Endosc. 2012, 76, 771–778. [Google Scholar] [CrossRef]
- May, A.; Manner, H.; Aschmoneit, I.; Ell, C. Prospective, cross-over, single-center trial comparing oral double-balloon enteroscopy and oral spiral enteroscopy in patients with suspected small-bowel vascular malformations. Endoscopy 2011, 43, 477–483. [Google Scholar] [CrossRef]
- Rahmi, G.; Samaha, E.; Vahedi, K.; Ponchon, T.; Fumex, F.; Filoche, B.; Gay, G.; Delvaux, M.; Lorenceau-Savale, C.; Malamut, G.; et al. Multicenter comparison of double-balloon enteroscopy and spiral enteroscopy. J. Gastroenterol. Hepatol. 2013, 28, 992–998. [Google Scholar] [CrossRef]
- Huprich, J.E.; Fletcher, J.G.; Fidler, J.L.; Alexander, J.A.; Guimarães, L.S.; Siddiki, H.A.; McCollough, C.H. Prospective Blinded Comparison of Wireless Capsule Endoscopy and Multiphase CT Enterography in Obscure Gastrointestinal Bleeding. Radiology 2011, 260, 744–751. [Google Scholar] [CrossRef]
- Wiarda, B.M.; Heine, D.G.N.; Mensink, P.; Stolk, M.; Dees, J.; Hazenberg, H.J.A.; Stoker, J.; Kuipers, E.J. Comparison of magnetic resonance enteroclysis and capsule endoscopy with balloon-assisted enteroscopy in patients with obscure gastrointestinal bleeding. Endoscopy 2012, 44, 668–673. [Google Scholar] [CrossRef] [PubMed]
- Böcker, U.; Dinter, D.; Litterer, C.; Hummel, F.; Knebel, P.; Franke, A.; Weiss, C.; Singer, M.V.; Löhr, J.-M. Comparison of magnetic resonance imaging and video capsule enteroscopy in diagnosing small-bowel pathology: Localization-dependent diagnostic yield. Scand. J. Gastroenterol. 2010, 45, 490–500. [Google Scholar] [CrossRef] [PubMed]
- Dusold, R.; Burke, K.; Carpentier, W.; Dyck, W.P. The accuracy of technetium-99m-labeled red cell scintigraphy in localizing gastrointestinal bleeding. Am. J. Gastroenterol. 1994, 89, 345–348. [Google Scholar] [PubMed]
- Howarth, D.M. The Role of Nuclear Medicine in the Detection of Acute Gastrointestinal Bleeding. Semin. Nucl. Med. 2006, 36, 133–146. [Google Scholar] [CrossRef] [PubMed]
- Kong, M.-S.; Huang, S.-C.; Tzen, K.-Y.; Lin, J.-N. Repeated Technetium-99m Pertechnetate Scanning for Children with Obscure Gastrointestinal Bleeding. J. Pediatr. Gastroenterol. Nutr. 1994, 18, 284–287. [Google Scholar] [CrossRef]
- Lin, S.; Suhocki, P.V.; Ludwig, K.A.; Shetzline, M.A. Gastrointestinal bleeding in adult patients with Meckel’s diverticulum: The role of technetium 99m pertechnetate scan. South. Med. J. 2002, 95, 1338–1342. [Google Scholar] [CrossRef]
- Rerksuppaphol, S.; Hutson, J.; Oliver, M. Ranitidine-enhanced 99m technetium pertechnetate imaging in children improves the sensitivity of identifying heterotopic gastric mucosa in Meckel’s diverticulum. Pediatr. Surg. Int. 2004, 20, 323–325. [Google Scholar] [CrossRef]
- Wu, L.-M.; Xu, J.-R.; Yin, Y.; Qu, X.-H. Usefulness of CT angiography in diagnosing acute gastrointestinal bleeding: A meta-analysis. World J. Gastroenterol. 2010, 16, 3957–3963. [Google Scholar] [CrossRef]
- Charbonnet, P.; Toman, J.; Bühler, L.; Vermeulen, B.; Morel, P.; Becker, C.D.; Terrier, F. Treatment of gastrointestinal hemorrhage. Abdom. Imaging 2005, 30, 719–726. [Google Scholar] [CrossRef]
- Abbas, S.M.; Bissett, I.P.; Holden, A.; Woodfield, J.C.; Parry, B.R.; Duncan, D. Clinical variables associated with positive angiographic localization of lower gastrointestinal bleeding. ANZ J. Surg. 2005, 75, 953–957. [Google Scholar] [CrossRef]
- Zuccaro, G., Jr. Management of the adult patient with acute lower gastrointestinal bleeding. Am. J. Gastroenterol. 1998, 93, 1202–1208. [Google Scholar] [CrossRef] [PubMed]
- Pasha, S.F.; Shergill, A.; Acosta, R.D.; Chandrasekhara, V.; Chathadi, K.V.; Early, D.; Evans, J.A.; Fisher, D.; Fonkalsrud, L.; Hwang, J.H.; et al. The role of endoscopy in the patient with lower GI bleeding. Gastrointest. Endosc. 2014, 79, 875–885. [Google Scholar] [CrossRef] [PubMed]
- Strate, L.L.; Gralnek, I.M. ACG clinical guideline: Management of patients with acute lower gastrointestinal bleeding. Am. J. Gastroenterol. 2016, 111, 459–474. [Google Scholar] [CrossRef] [PubMed]
- Bramley, P.N.; Masson, J.W.; McKnight, G.; Herd, K.; Fraser, A.; Park, K.; Brunt, P.W.; McKinlay, A.; Sinclair, T.S.; Mowat, N.A.G. The Role of an Open-Access Bleeding Unit in the Management of Colonic Haemorrhage: A 2-Year Prospective Study. Scand. J. Gastroenterol. 1996, 31, 764–769. [Google Scholar] [CrossRef]
- Bounds, B.C.; Kelsey, P.B. Lower gastrointestinal bleeding. Gastrointest. Endosc. Clinics N. Am. 2007, 17, 273–288. [Google Scholar] [CrossRef]
- Peery, A.F.; Crockett, S.D.; Murphy, C.C.; Lund, J.L.; Dellon, E.S.; Williams, J.L.; Jensen, E.T.; Shaheen, N.J.; Barritt, A.S.; Lieber, S.R.; et al. Burden and cost of gastrointestinal, liver, and pancreatic diseases in the United States: Update 2018. Gastroenterology 2018, 156, 254–272. [Google Scholar] [CrossRef] [PubMed]
- Fisher, O.R.-T.; Gralnek, I.M.; Eisen, G.M.; Williams, J.L.; Holub, J.L. Endoscopic hemostasis is rarely used for hematochezia: A population-based study from the Clinical Outcomes Research Initiative National Endoscopic Database. Gastrointest. Endosc. 2014, 79, 317–325. [Google Scholar] [CrossRef][Green Version]
- Strate, L.L. Lower GI Bleeding: Epidemiology and Diagnosis. Gastroenterol. Clin. N. Am. 2005, 34, 643–664. [Google Scholar] [CrossRef]
- Tsay, C.; Shung, D.; Frumento, K.S.; Laine, L. Early Colonoscopy Does Not Improve Outcomes of Patients with Lower Gastrointestinal Bleeding: Systematic Review of Randomized Trials. Clin. Gastroenterol. Hepatol. 2019. [Google Scholar] [CrossRef]
- Peery, A.F.; Barrett, P.R.; Park, D.; Rogers, A.J.; Galanko, J.A.; Martin, C.F.; Sandler, R.S. A high-fiber diet does not protect against asymptomatic diverticulosis. Gastroenterology 2012, 142, 266–272. [Google Scholar] [CrossRef]
- Strate, L.L.; Liu, Y.L.; Huang, E.S.; Giovannucci, E.L.; Chan, A.T. Use of aspirin or nonsteroidal anti-inflammatory drugs increases risk for diverticulitis and diverticular bleeding. Gastroenterology 2011, 140, 1427–1433. [Google Scholar] [CrossRef] [PubMed]
- Jansen, A.; Harenberg, S.; Grenda, U.; Elsing, C. Risk factors for colonic diverticular bleeding: A Westernized community based hospital study. World J. Gastroenterol. 2009, 15, 457–461. [Google Scholar] [CrossRef]
- Yamada, A.; Sugimoto, T.; Kondo, S.; Ohta, M.; Watabe, H.; Maeda, S.; Togo, G.; Yamaji, Y.; Ogura, K.; Okamoto, M.; et al. Assessment of the Risk Factors for Colonic Diverticular Hemorrhage. Dis. Colon Rectum 2008, 51, 116–120. [Google Scholar] [CrossRef] [PubMed]
- Suzuki, K.; Uchiyama, S.; Imajyo, K.; Tomeno, W.; Sakai, E.; Yamada, E.; Tanida, E.; Akiyama, T.; Watanabe, S.; Endo, H.; et al. Risk Factors for Colonic Diverticular Hemorrhage: Japanese Multicenter Study. Digestion 2012, 85, 261–265. [Google Scholar] [CrossRef] [PubMed]
- Jensen, D.M.; Machicado, G.A.; Jutabha, R.; Kovacs, T.O. Urgent Colonoscopy for the Diagnosis and Treatment of Severe Diverticular Hemorrhage. N. Engl. J. Med. 2000, 342, 78–82. [Google Scholar] [CrossRef] [PubMed]
- Barnert, J.; Messmann, H. Diagnosis and management of lower gastrointestinal bleeding. Nat. Rev. Gastroenterol. Hepatol. 2009, 6, 637–646. [Google Scholar] [CrossRef] [PubMed]
- Kaltenbach, T.; Watson, R.; Shah, J.; Friedland, S.; Sato, T.; Shergill, A.; McQuaid, K.; Soetikno, R. Colonoscopy with Clipping Is Useful in the Diagnosis and Treatment of Diverticular Bleeding. Clin. Gastroenterol. Hepatol. 2012, 10, 131–137. [Google Scholar] [CrossRef]
- Yen, E.F.; Ladabaum, U.; Muthusamy, V.R.; Cello, J.P.; McQuaid, K.R.; Shah, J.N. Colonoscopic treatment of acute diverticular hemorrhage using endoclips. Digest. Dis. Science. 2008, 53, 2480–2485. [Google Scholar] [CrossRef]
- Meyers, M.A.; Alonso, D.R.; Baer, J.W. Pathogenesis of massively bleeding colonic diverticulosis: New observations. Am. J. Roentgenol. 1976, 127, 901–908. [Google Scholar] [CrossRef]
- Bounds, B.C.; Friedman, L.S. Lower gastrointestinal bleeding. Gastroenterol. Clin. N. Am. 2003, 32, 1107–1125. [Google Scholar] [CrossRef]
- Lewis, M. Bleeding Colonic Diverticula. J. Clin. Gastroenterol. 2008, 42, 1156–1158. [Google Scholar] [CrossRef] [PubMed]
- Khanna, A.; Ognibene, S.; Koniaris, L. Embolization as First-Line Therapy for Diverticulosis-Related Massive Lower Gastrointestinal Bleeding: Evidence From a Meta-analysis. J. Gastrointest. Surg. 2005, 9, 343–352. [Google Scholar] [CrossRef] [PubMed]
- Browder, W.; Cerise, E.J.; Litwin, M.S. Impact of Emergency Angiography in Massive Lower Gastrointestinal Bleeding. Ann. Surg. 1986, 204, 530–536. [Google Scholar] [CrossRef]
- McGuire, H.H. Bleeding Colonic Diverticula A Reappraisal of Natural History and Management. Ann. Surg. 1994, 220, 653–656. [Google Scholar] [CrossRef]
- Parkes, B.M.; Obeid, F.N.; Sorensen, V.J.; Horst, H.M.; Fath, J.J. The management of massive lower gastrointestinal bleeding. Am. Surg. 1993, 59. [Google Scholar]
- Chalasani, N.; Cotsonis, G.; Wilcox, C.M. Upper gastrointestinal bleeding in patients with chronic renal failure: Role of vascular ectasia. Am. J. Gastroenterol. 1996, 91, 2329–2332. [Google Scholar]
- Richter, J.M.; Christensen, M.R.; Colditz, G.A.; Nishioka, N.S. Angiodysplasia. Dig. Dis. Sci. 1989, 34, 1542–1546. [Google Scholar] [CrossRef]
- Zuckerman, G.R.; Prakash, C. Acute lower intestinal bleeding: Part I: Clinical presentation and diagnosis. Gastrointest. Endosc. 1998, 48, 606–616. [Google Scholar] [CrossRef]
- Zuckerman, G.R.; Prakash, C. Acute lower intestinal bleeding. Part II: Etiology, therapy, and outcomes. Gastrointest. Endosc. 1999, 49, 228–238. [Google Scholar] [CrossRef]
- Diggs, N.G.; Holub, J.L.; Lieberman, D.A.; Eisen, G.M.; Strate, L.L. Factors that contribute to blood loss in patients with colonic angiodysplasia from a population-based study. Clin. Gastroenterol. Hepatol. 2011, 9, 415–420. [Google Scholar] [CrossRef]
- Schmulewitz, N.; Fisher, D.A.; Rockey, D.C. Early colonoscopy for acute lower GI bleeding predicts shorter hospital stay: a retrospective study of experience in a single center. Gastrointest. Endosc. 2003, 58, 841–846. [Google Scholar] [CrossRef]
- Strate, L.L.; Naumann, C.R. The Role of Colonoscopy and Radiological Procedures in the Management of Acute Lower Intestinal Bleeding. Clin. Gastroenterol. Hepatol. 2010, 8, 333–343. [Google Scholar] [CrossRef] [PubMed]
- Ladas, S.D.; Karamanolis, G.; Ben-Soussan, E. Colonic gas explosion during therapeutic colonoscopy with electrocautery. World J. Gastroenterol. 2007, 13, 5295–5298. [Google Scholar] [CrossRef] [PubMed]
- Karaman, A.; Torun, E.; Gursoy, S.; Yurci, A. Özbakır, Ömer; Özbakir, Ömer Efficacy of Ankaferd Blood Stopper in Postpolypectomy Bleeding. J. Altern. Complement. Med. 2010, 16, 1027–1028. [Google Scholar] [CrossRef] [PubMed]
- Gilinsky, N.H.; Burns, D.G.; Barbezat, G.O.; Levin, W.; Myers, H.S.; Marks, I.N. The Natural History of Radiation-induced Proctosigmoiditis: An Analysis of 88 Patients. Qjm: Int. J. Med. 1983, 52, 40–53. [Google Scholar]
- Lucarotti, M.E.; Mountford, R.A.; Bartolo, D.C.C. Surgical management of intestinal radiation injury. Dis. Colon Rectum 1991, 34, 865–869. [Google Scholar] [CrossRef]
- Schultheiss, T.E.; Lee, W.; Hunt, M.A.; Hanlon, A.L.; Peter, R.S.; Hanks, G.E. Late GI and GU complications in the treatment of prostate cancer. Int. J. Radiat. Oncol. 1997, 37, 3–11. [Google Scholar] [CrossRef]
- O’Brien, P.C.; Hamilton, C.S.; Denham, J.W.; Gourlay, R.; Franklin, C.I.V. Spontaneous improvement in late rectal mucosal changes after radiotherapy for prostate cancer. Int. J. Radiat. Oncol. 2004, 58, 75–80. [Google Scholar] [CrossRef]
- Lee, J.K.; Agrawal, D.; Thosani, N.; Al-Haddad, M.; Buxbaum, J.L.; Calderwood, A.H.; Fishman, U.S.; Fujii-Lau, L.L.; Jamil, L.H.; Jue, T.L.; et al. ASGE guideline on the role of endoscopy for bleeding from chronic radiation proctopathy. Gastrointest. Endosc. 2019, 90, 171–182. [Google Scholar] [CrossRef]
- Hanson, B.; MacDonald, >M.; Shaukat, A. Endoscopic and medical therapy for chronic radiation proctopathy: A systematic review. Dis. Colon Rectum. 2012, 55, 1081–1095. [Google Scholar] [CrossRef]
- Kurt, M.; Onal, I.K.; Akdogan, M.; Kekilli, M.; Arhan, M.; Sayılır, A.; Oztas, E.; Haznedaroglu, I.C. Ankaferd Blood Stopper for Controlling Gastrointestinal Bleeding due to Distinct Benign Lesions Refractory to Conventional Antihemorrhagic Measures. Can. J. Gastroenterol. 2010, 24, 380–384. [Google Scholar] [CrossRef] [PubMed]
- Kanwal, F.; Dulai, G.; Jensen, D.M.; Gralnek, I.M.; Kovacs, T.O.; Machicado, G.A.; Jutabha, R. Major stigmata of recent hemorrhage on rectal ulcers in patients with severe hematochezia: Endoscopic diagnosis, treatment, and outcomes. Gastrointest. Endosc. 2003, 57, 462–468. [Google Scholar] [CrossRef] [PubMed]
- Machicado, G.A.; Jensen, D.M. Endoscopic diagnosis and treatment of severe lower gastrointestinal bleeding. Indian J. Gastroenterol. 2006, 25 (Suppl. 1), S43–S51. [Google Scholar] [PubMed]
- Lin, C.-K.; Liang, C.-C.; Chang, H.-T.; Hung, F.-M.; Lee, T.-H. Acute Hemorrhagic Rectal Ulcer: An Important Cause of Lower Gastrointestinal Bleeding in the Critically Ill Patients. Dig. Dis. Sci. 2011, 56, 3631–3637. [Google Scholar] [CrossRef] [PubMed]
- Schuetz, A.; Jauch, K.-W. Lower gastrointestinal bleeding: Therapeutic strategies, surgical techniques and results. Langenbeck Arch. Surg. 2001, 386, 17–25. [Google Scholar] [CrossRef]
- Soulellis, C.A.; Carpentier, S.; Chen, Y.-I.; Fallone, C.A.; Barkun, A.N. Lower GI hemorrhage controlled with endoscopically applied TC-325 (with videos). Gastrointest. Endosc. 2013, 77, 504–507. [Google Scholar] [CrossRef]
- Edelman, D.A.; Sugawa, C. Lower gastrointestinal bleeding: a review. Surg. Endosc. 2007, 21, 514–520. [Google Scholar] [CrossRef]
- Anthony, T.; Penta, P.; Todd, R.D.; Sarosi, G.A.; Nwariaku, F.; Rege, R.V. Rebleeding and survival after acute lower gastrointestinal bleeding. Am. J. Surg. 2004, 188, 485–490. [Google Scholar] [CrossRef]
- Le Berre, C.; Sandborn, W.J.; Aridhi, S.; Devignes, M.-D.; Fournier, L.; Smaïl-Tabbone, M.; Danese, S.; Peyrin-Biroulet, L. Application of Artificial Intelligence to Gastroenterology and Hepatology. Gastroenterology 2020, 158, 76–94. [Google Scholar] [CrossRef]
- Liu, D.-Y.; Gan, T.; Rao, N.-N.; Xing, Y.-W.; Zheng, J.; Li, S.; Luo, C.-S.; Zhou, Z.-J.; Wan, Y.-L. Identification of lesion images from gastrointestinal endoscope based on feature extraction of combinational methods with and without learning process. Med. Image Anal. 2016, 32, 281–294. [Google Scholar] [CrossRef]
- Jung, Y.S.; Kim, Y.H.; Lee, D.H.; Lee, S.H.; Song, J.J.; Kim, J.H. Automatic patient-adaptive bleeding detection in a capsule endoscopy. SPIE Medical Imaging 2009, 7260, 72603T. [Google Scholar]
- Li, B.; Meng, M.Q.-H. Computer-based detection of bleeding and ulcer in wireless capsule endoscopy images by chromaticity moments. Comput. Boil. Med. 2009, 39, 141–147. [Google Scholar] [CrossRef] [PubMed]
- Pan, G.; Yan, G.; Qiu, X.; Cui, J. Bleeding detection in wireless capsule endoscopy based on probabilistic neural network. J. Med. Syst. 2011, 35, 1477–1484. [Google Scholar] [CrossRef] [PubMed]
- Lv, G.; Yan, G.; Wang, Z. Bleeding detection in wireless capsule endoscopy images based on color invariants and spatial pyramids using support vector machines. In Proceedings of the 2011 Annual International Conference of the IEEE Engineering in Medicine and BiolSogy Society, Boston, MA, USA, 30 August–3 September 2011; pp. 6643–6646. [Google Scholar]
- Fu, Y.; Zhang, W.; Mandal, M.; Meng, M.Q.-H. Computer-Aided Bleeding Detection in WCE Video. IEEE J. Biomed. Heal. Informatics 2013, 18, 636–642. [Google Scholar] [CrossRef] [PubMed]
- Ghosh, T.; Fattah, S.A.; Shahnaz, C.; Wahid, K.A. An automatic bleeding detection scheme in wireless capsule endoscopy based on histogram of an RGB-indexed image. In Proceedings of the 2014 36th Annual International Conference of the IEEE Engineering in Medicine and Biology Society, Chicago, IL, USA, 26–30 August 2014; pp. 4683–4686. [Google Scholar]
- Sainju, S.; Bui, F.M.; Wahid, K.A. Automated Bleeding Detection in Capsule Endoscopy Videos Using Statistical Features and Region Growing. J. Med Syst. 2014, 38, 25. [Google Scholar] [CrossRef]
- Hassan, A.R.; Haque, M.A. Computer-aided gastrointestinal hemorrhage detection in wireless capsule endoscopy videos. Comput. Methods Programs Biomed. 2015, 122, 341–353. [Google Scholar] [CrossRef]
- Jia, X.; Meng, M.Q.-H. A deep convolutional neural network for bleeding detection in wireless capsule endoscopy images. Presented at the 2016 38th Annual International Conference of the IEEE Engineering in Medicine and Biology Society (EMBC)2016, Lake Buena Vista, FL, USA, 16–20 August 2016; pp. 639–642. [Google Scholar]
- Usman, M.A.; Satrya, G.; Usman, M.R.; Shin, S.Y. Detection of small colon bleeding in wireless capsule endoscopy videos. Comput. Med Imaging Graph. 2016, 54, 16–26. [Google Scholar] [CrossRef]
- Leenhardt, R.; Vasseur, P.; Li, C.; Saurin, J.C.; Rahmi, G.; Cholet, F.; Becq, A.; Marteau, P.; Histace, A.; Dray, X.; et al. A neural network algorithm for detection of GI angiectasia during small-bowel capsule endoscopy. Gastrointest. Endosc. 2019, 89, 189–194. [Google Scholar] [CrossRef]
- Das, A.; Ben-Menachem, T.; Cooper, G.S.; Chak, A.; Sivak, M.V.; Gonet, J.A.; Wong, R.C. Prediction of outcome in acute lower-gastrointestinal haemorrhage based on an artificial neural network: Internal and external validation of a predictive model. Lancet 2003, 362, 1261–1266. [Google Scholar] [CrossRef]
- Das, A.; Ben–Menachem, T.; Farooq, F.T.; Cooper, G.S.; Chak, A.; Sivak, M.V.; Wong, R.C. Artificial Neural Network as a Predictive Instrument in Patients with Acute Nonvariceal Upper Gastrointestinal Hemorrhage. Gastroenterology 2008, 134, 65–74. [Google Scholar] [CrossRef]
- Ayaru, L.; Ypsilantis, P.-P.; Nanapragasam, A.; Choi, R.C.-H.; Thillanathan, A.; Min-Ho, L.; Montana, G. Prediction of Outcome in Acute Lower Gastrointestinal Bleeding Using Gradient Boosting. PLoS ONE 2015, 10, e0132485. [Google Scholar] [CrossRef] [PubMed]
- Sengupta, N.; Tapper, E.B. Derivation and internal validation of a clinical prediction tool for 30-day mortality in lower gastrointestinal bleeding. Am. J. Med. 2017, 130, 601–608. [Google Scholar] [CrossRef] [PubMed]
- Wong, G.L.-H.; Ma, A.J.; Deng, H.; Ching, J.Y.-L.; Wong, V.W.-S.; Tse, Y.-K.; Yip, T.C.-F.; Lau, L.H.-S.; Liu, H.H.-W.; Leung, C.-M.; et al. Machine learning model to predict recurrent ulcer bleeding in patients with history of idiopathic gastroduodenal ulcer bleeding. Aliment. Pharmacol. Ther. 2019, 49, 912–918. [Google Scholar] [CrossRef] [PubMed]
- Wu, L.; Zhang, J.; Zhou, W.; An, P.; Shen, L.; Liu, J.; Jiang, X.; Huang, X.; Mu, G.; Wan, X.; et al. Randomised controlled trial of WISENSE, a real-time quality improving system for monitoring blind spots during esophagogastroduodenoscopy. Gut 2019, 68, 2161–2169. [Google Scholar] [CrossRef] [PubMed]
- Wang, P.; Berzin, T.M.; Brown, J.R.G.; Bharadwaj, S.; Becq, A.; Xiao, X.; Liu, P.; Li, L.; Song, Y.; Zhang, D.; et al. Real-time automatic detection system increases colonoscopic polyp and adenoma detection rates: A prospective randomised controlled study. Gut 2019, 1–7. [Google Scholar] [CrossRef]







© 2020 by the authors. Licensee MDPI, Basel, Switzerland. This article is an open access article distributed under the terms and conditions of the Creative Commons Attribution (CC BY) license (http://creativecommons.org/licenses/by/4.0/).
Share and Cite
Mujtaba, S.; Chawla, S.; Massaad, J.F. Diagnosis and Management of Non-Variceal Gastrointestinal Hemorrhage: A Review of Current Guidelines and Future Perspectives. J. Clin. Med. 2020, 9, 402. https://doi.org/10.3390/jcm9020402
Mujtaba S, Chawla S, Massaad JF. Diagnosis and Management of Non-Variceal Gastrointestinal Hemorrhage: A Review of Current Guidelines and Future Perspectives. Journal of Clinical Medicine. 2020; 9(2):402. https://doi.org/10.3390/jcm9020402
Chicago/Turabian StyleMujtaba, Sobia, Saurabh Chawla, and Julia Fayez Massaad. 2020. "Diagnosis and Management of Non-Variceal Gastrointestinal Hemorrhage: A Review of Current Guidelines and Future Perspectives" Journal of Clinical Medicine 9, no. 2: 402. https://doi.org/10.3390/jcm9020402
APA StyleMujtaba, S., Chawla, S., & Massaad, J. F. (2020). Diagnosis and Management of Non-Variceal Gastrointestinal Hemorrhage: A Review of Current Guidelines and Future Perspectives. Journal of Clinical Medicine, 9(2), 402. https://doi.org/10.3390/jcm9020402
