The Role of Liver Imaging in Hereditary Hemorrhagic Telangiectasia
Abstract
1. Introduction
2. Blood Flow in the Liver
3. Hepatic Vascular Malformations
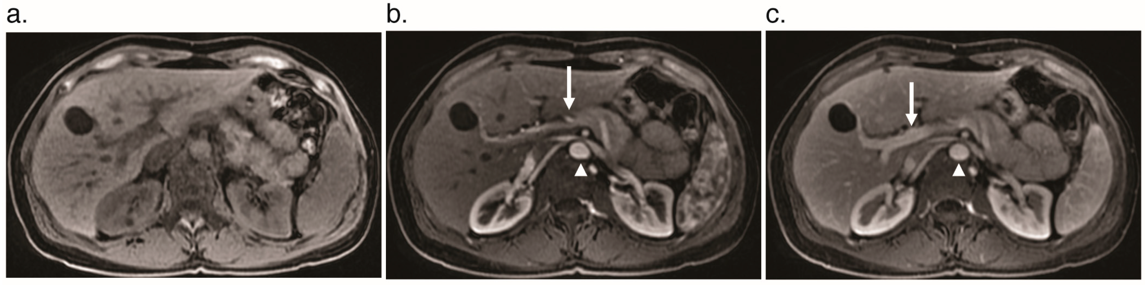
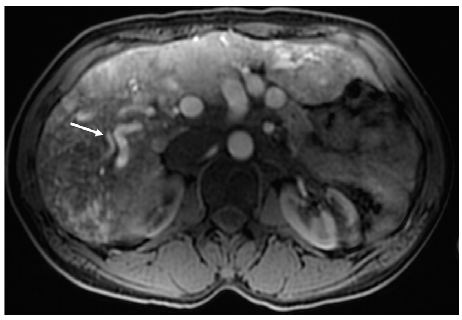
3.1. Arteriosystemic Shunt
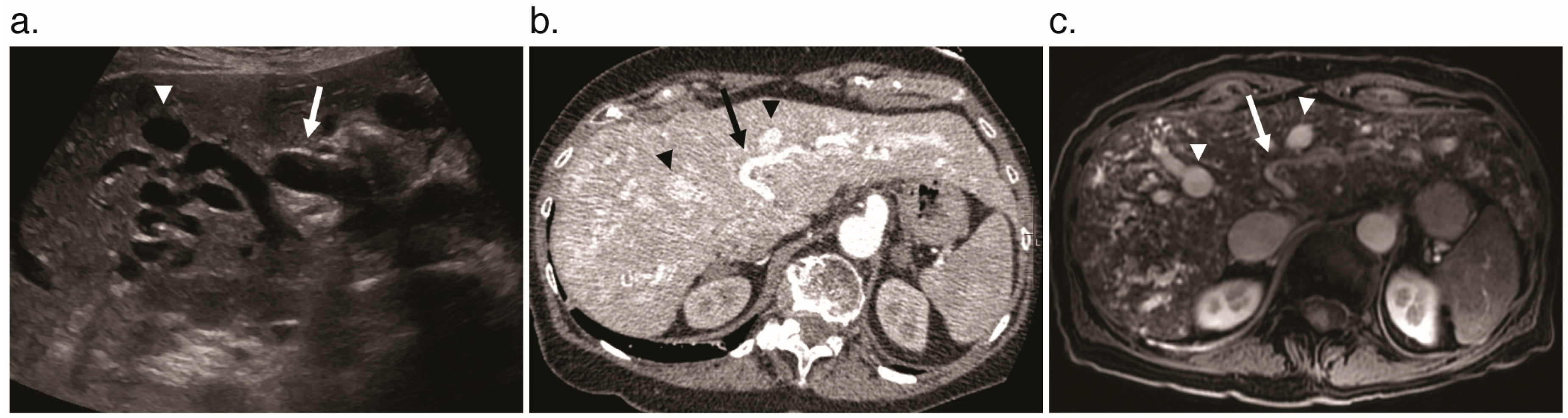
3.2. Arterioportal Shunt
4. Imaging in HHT
4.1. Ultrasound
4.2. CT and MRI
4.3. Catheter Angiography
5. Treatment of Hepatic Vascular Malformations
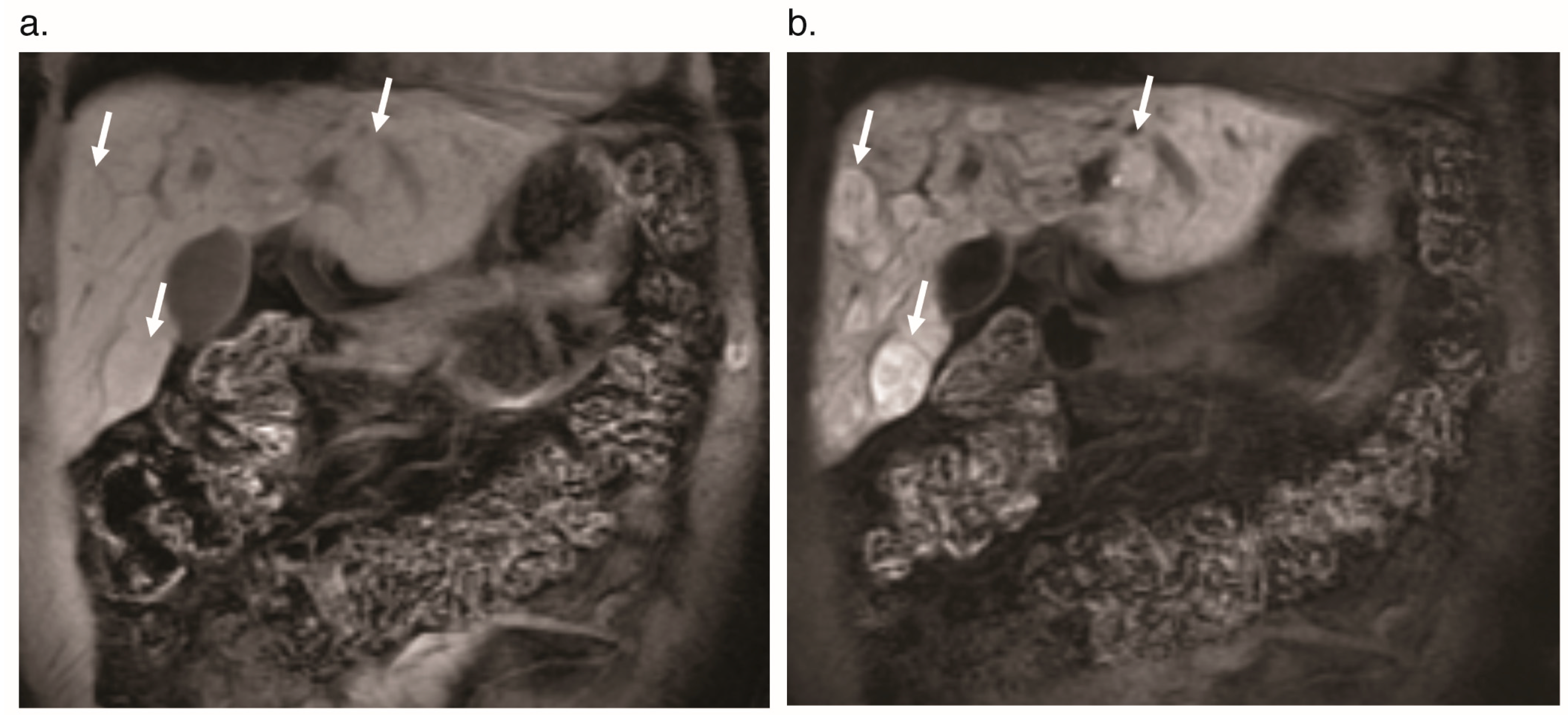
6. Imaging of Liver-Specific Complications on HHT
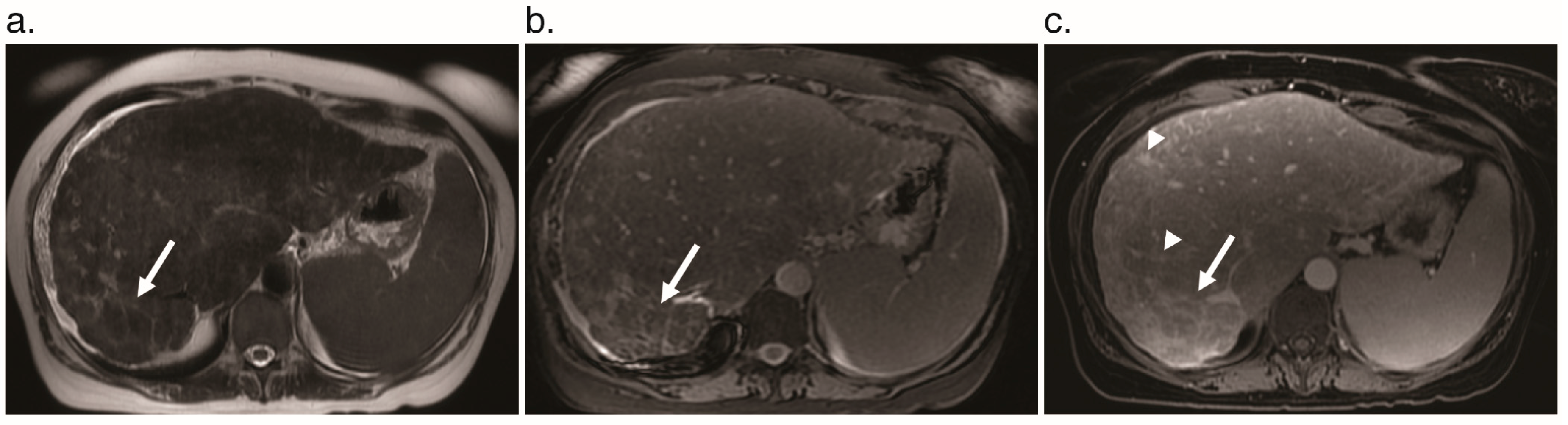
6.1. Pseudocirrhosis
6.2. Focal Nodular Hyperplasia
6.3. Cholangiopathy
7. Summary and Future Direction
Author Contributions
Funding
Conflicts of Interest
References
- Siddiki, H.; Doherty, M.G.; Fletcher, J.G.; Stanson, A.W.; Vrtiska, T.J.; Hough, D.M.; Fidler, J.L.; McCollough, C.; Swanson, K.L. Abdominal Findings in Hereditary Hemorrhagic Telangiectasia: Pictorial Essay on 2D and 3D Findings with Isotropic Multiphase CT. Radiographics 2008, 28, 171–183. [Google Scholar] [CrossRef]
- Choi, H.H.-I.; Manning, M.A.; Mehrotra, A.K.; Wagner, S.; Jha, R.C. Primary Hepatic Neoplasms of Vascular Origin: Key Imaging Features and Differential Diagnoses with Radiology-Pathology Correlation. Am. J. Roentgenol. 2017, 209, W350–W359. [Google Scholar] [CrossRef] [PubMed]
- Fernández-L, A.; Sanz-Rodriguez, F.; Blanco, F.J.; Botella, L.M.; Bernabeu, C. Hereditary Hemorrhagic Telangiectasia, a Vascular Dysplasia Affecting the TGF- Signaling Pathway. Clin. Med. Res. 2006, 4, 66–78. [Google Scholar] [CrossRef] [PubMed]
- Null, N. EASL Clinical Practice Guidelines: Vascular diseases of the liver. J. Hepatol. 2016, 64, 179–202. [Google Scholar] [CrossRef]
- Driesche, S.V.D.; Mummery, C.L.; Westermann, C.J. Hereditary hemorrhagic telangiectasia: An update on transforming growth factor β signaling in vasculogenesis and angiogenesis. Cardiovasc. Res. 2003, 58, 20–31. [Google Scholar] [CrossRef][Green Version]
- Metze, D.; Cury, V.F.; Gomez, R.S.; Marco, L.; Robinson, D.; Melamed, E.; Leung, A.K.C.; Nam, J.-H.; Matsubara, Y.; Tada, K.; et al. Hereditary Hemorrhagic Telangiectasia. Encycl. Mol. Mech. Dis. 2009, 25, 830–831. [Google Scholar]
- Faughnan, M.E.; Palda, V.A.; Garcia-Tsao, G.; Geisthoff, U.W.; McDonald, J.; Proctor, D.D.; Spears, J.; Brown, D.H.; Buscarini, E.; Chesnutt, M.S.; et al. International guidelines for the diagnosis and management of hereditary haemorrhagic telangiectasia. J. Med. Genet. 2009, 48, 73–87. [Google Scholar] [CrossRef]
- Govani, F.S.; Shovlin, C.L. Hereditary haemorrhagic telangiectasia: A clinical and scientific review. Eur. J. Hum. Genet. 2009, 17, 860–871. [Google Scholar] [CrossRef]
- Shovlin, C.L.; Guttmacher, A.E.; Buscarini, E.; Faughnan, M.E.; Hyland, R.H.; Westermann, C.J.J.; Kjeldsen, A.D.; Plauchu, H. Diagnostic criteria for hereditary hemorrhagic telangiectasia (Rendu-Osler-Weber syndrome). Am. J. Med. Genet. 2000, 91, 66–67. [Google Scholar] [CrossRef]
- Faughnan, M.E.; Mager, J.J.; Hetts, S.W.; Palda, V.A.; Lang-Robertson, K.; Buscarini, E.; Deslandres, E.; Kasthuri, R.S.; Lausman, A.; Poetker, D.; et al. Second International Guidelines for the Diagnosis and Management of Hereditary Hemorrhagic Telangiectasia. Ann. Intern. Med. 2020. [Google Scholar] [CrossRef]
- Buscarini, E.; Leandro, G.; Conte, D.; Danesino, C.; Daina, E.; Manfredi, G.; Lupinacci, G.; Brambilla, G.; Menozzi, F.; De Grazia, F.; et al. Natural History and Outcome of Hepatic Vascular Malformations in a Large Cohort of Patients with Hereditary Hemorrhagic Teleangiectasia. Dig. Dis. Sci. 2011, 56, 2166–2178. [Google Scholar] [CrossRef] [PubMed]
- Garcia-Tsao, G. Liver involvement in hereditary hemorrhagic telangiectasia (HHT). J. Hepatol. 2007, 46, 499–507. [Google Scholar] [CrossRef] [PubMed]
- Vernon, H.; Wehrle, C.; Kasai, A. Anatomy, Abdomen and Pelvis, Liver (updated 31 July 2020). In StatPearls [Internet]; StatPearls Publishing: Treasure Island, FL, USA, 2020. [Google Scholar]
- Buscarini, E.; Danesino, C.; Olivieri, C.; Lupinacci, G.; De Grazia, F.; Reduzzi, L.; Blotta, P.; Gazzaniga, P.; Pagella, F.; Grosso, M.; et al. Doppler Ultrasonographic Grading of Hepatic Vascular Malformations in Hereditary Hemorrhagic Telangiectasia—Results of Extensive Screening. Ultraschall der Med. Eur. J. Ultrasound 2004, 25, 348–355. [Google Scholar] [CrossRef] [PubMed]
- Naganuma, H.; Ishida, H.; Kuroda, H.; Suzuki, Y.; Ogawa, M. Hereditary hemorrhagic telangiectasia: How to efficiently detect hepatic abnormalities using ultrasonography. J. Med. Ultrason. 2020, 47, 421–433. [Google Scholar] [CrossRef]
- Garcia-Tsao, G.; Korzenik, J.R.; Young, L.; Henderson, K.J.; Jain, D.; Byrd, B.; Pollak, J.S.; White, R.I. Liver Disease in Patients with Hereditary Hemorrhagic Telangiectasia. N. Engl. J. Med. 2000, 343, 931–936. [Google Scholar] [CrossRef]
- Alcazar, R.; De La Torre, M.; Peces, R. Symptomatic intrarenal arteriovenous fistula detected 25 years after percutaneous renal biopsy. Nephrol. Dial. Transplant. 1996, 11, 1346–1348. [Google Scholar] [CrossRef]
- Reddy, Y.N.; Melenovsky, V.; Redfield, M.M.; Nishimura, R.A.; Borlaug, B.A. High-Output Heart Failure. J. Am. Coll. Cardiol. 2016, 68, 473–482. [Google Scholar] [CrossRef]
- Xu, B.-G.; Liang, J.; Jia, K.-F.; Han, T. Liver cirrhosis in a patient with hepatic hereditary hemorrhagic telangiectasia and Budd–Chiari syndrome: A case report. BMC Gastroenterol. 2020, 20, 1–6. [Google Scholar] [CrossRef]
- Buscarini, E.; Gandolfi, S.; Alicante, S.; Londoni, C.; Manfredi, G. Liver involvement in hereditary hemorrhagic telangiectasia. Abdom. Radiol. 2018, 43, 1920–1930. [Google Scholar] [CrossRef]
- Welle, C.L.; Welch, B.T.; Brinjikji, W.; Ehman, E.C.; Venkatesh, S.K.; Johnson, M.P.; Iyer, V.N.; Leise, M.D.; Wood, C.P. Abdominal manifestations of hereditary hemorrhagic telangiectasia: A series of 333 patients over 15 years. Abdom. Radiol. 2019, 44, 2384–2391. [Google Scholar] [CrossRef]
- Schelker, R.C.; Barreiros, A.P.; Hart, C.; Herr, W.; Jung, E.-M. Macro- and microcirculation patterns of intrahepatic blood flow changes in patients with hereditary hemorrhagic telangiectasia. World J. Gastroenterol. 2017, 23, 486–495. [Google Scholar] [CrossRef] [PubMed]
- Kearns, K.N.; Sokolowski, J.D.; Chadwell, K.; Chandler, M.; Kiernan, T.; Prada, F.; Kalani, M.Y.S.; Park, M.S. The role of contrast-enhanced ultrasound in neurosurgical disease. Neurosurg. Focus 2019, 47, E8. [Google Scholar] [CrossRef] [PubMed]
- Oe, Y.; Orr, L.; Laifer-Narin, S.; Hyodo, E.; Koczo, A.; Homma, S.; Kandel, J.J.; Meyers, P. Contrast-enhanced sonography as a novel tool for assessment of vascular malformations. J. Angiogenes. Res. 2010, 2, 25. [Google Scholar] [CrossRef] [PubMed]
- Wiesinger, I.; Schreml, S.; Wohlgemuth, W.A.; Stroszczynski, C.; Jung, E. Perfusion quantification of vascular malformations using contrast-enhanced ultrasound (CEUS) with time intensity curve analysis before and after treatment: First results. Clin. Hemorheol. Microcirc. 2016, 62, 283–290. [Google Scholar] [CrossRef] [PubMed]
- Lyshchik, A.; Kono, Y.; Dietrich, C.F.; Jang, H.-J.; Kim, T.K.; Piscaglia, F.; Vezeridis, A.; Willmann, J.K.; Wilson, S.R. Contrast-enhanced ultrasound of the liver: Technical and lexicon recommendations from the ACR CEUS LI-RADS working group. Abdom. Radiol. 2018, 43, 861–879. [Google Scholar] [CrossRef] [PubMed]
- Schelker, R.C.; Andorfer, K.; Putz, F.; Herr, W.; Jung, E.-M. Identification of two distinct hereditary hemorrhagic telangiectasia patient subsets with different hepatic perfusion properties by combination of contrast-enhanced ultrasound (CEUS) with perfusion imaging quantification. PLoS ONE 2019, 14, e0215178. [Google Scholar] [CrossRef]
- Scardapane, A.; Ianora, A.S.; Sabba, C.; Moschetta, M.; Suppressa, P.; Castorani, L.; Angelelli, G. Dynamic 4D MR angiography versus multislice CT angiography in the evaluation of vascular hepatic involvement in hereditary haemorrhagic telangiectasia. La Radiol. Med. 2011, 117, 29–45. [Google Scholar] [CrossRef]
- Wu, J.S.; Saluja, S.; Garcia-Tsao, G.; Chong, A.; Henderson, K.J.; White, R.I. Liver Involvement in Hereditary Hemorrhagic Telangiectasia: CT and Clinical Findings Do Not Correlate in Symptomatic Patients. Am. J. Roentgenol. 2006, 187, W399–W405. [Google Scholar] [CrossRef]
- Kutaiba, N.; Gow, P.J.; French, J.; Lim, R.P. Putting a new spin: MRI monitoring of hepatic artery and portal vein flow for response to bevacizumab in hereditary hemorrhagic telangiectasia. Clin. Case Rep. 2014, 3, 32–33. [Google Scholar] [CrossRef]
- Edwards, E.A.; Phelps, A.S.; Cooke, D.; Frieden, I.J.; Zapala, M.A.; Fullerton, H.J.; Shimano, K.A. Monitoring Arteriovenous Malformation Response to Genotype-Targeted Therapy. Pediatrics 2020, 146, e20193206. [Google Scholar] [CrossRef]
- Dupuis-Girod, S.; Ginon, I.; Saurin, J.-C.; Marion, D.; Guillot, E.; Decullier, E.; Roux, A.; Carette, M.-F.; Gilbert-Dussardier, B.; Hatron, P.-Y.; et al. Bevacizumab in Patients With Hereditary Hemorrhagic Telangiectasia and Severe Hepatic Vascular Malformations and High Cardiac Output. JAMA 2012, 307, 948–955. [Google Scholar] [CrossRef] [PubMed]
- Buscarini, E.; Vascern-Hht, O.B.O.; Botella, L.M.; Geisthoff, U.; Kjeldsen, A.D.; Mager, H.J.; Pagella, F.; Suppressa, P.; Zarrabeitia, R.; Dupuis-Girod, S.; et al. Safety of thalidomide and bevacizumab in patients with hereditary hemorrhagic telangiectasia. Orphanet J. Rare Dis. 2019, 14, 1–14. [Google Scholar] [CrossRef] [PubMed]
- Faughnan, M.E.; Gossage, J.R.; Chakinala, M.M.; Oh, S.P.; Kasthuri, R.; Hughes, C.C.W.; McWilliams, J.P.; Parambil, J.G.; Vozoris, N.; Donaldson, J.; et al. Pazopanib may reduce bleeding in hereditary hemorrhagic telangiectasia. Angiogenesis 2019, 22, 145–155. [Google Scholar] [CrossRef] [PubMed]
- Chavan, A.; Luthe, L.; Gebel, M.; Barg-Hock, H.; Seifert, H.; Raab, R.; Kirchhoff, T.; Schmuck, B. Complications and clinical outcome of hepatic artery embolisation in patients with hereditary haemorrhagic telangiectasia. Eur. Radiol. 2013, 23, 951–957. [Google Scholar] [CrossRef] [PubMed]
- Cooney, T.; Sweeney, E.C.; Coll, R.; Greally, M. ‘Pseudocirrhosis’ in hereditary haemorrhagic telangiectasia. J. Clin. Pathol. 1977, 30, 1134–1141. [Google Scholar] [CrossRef] [PubMed]
- Buscarini, E.; Danesino, C.; Plauchu, H.; De Fazio, C.; Olivieri, C.; Brambilla, G.; Menozzi, F.; Reduzzi, L.; Blotta, P.; Gazzaniga, P.; et al. High prevalence of hepatic focal nodular hyperplasia in subjects with hereditary hemorrhagic telangiectasia. Ultrasound Med. Biol. 2004, 30, 1089–1097. [Google Scholar] [CrossRef]
- Scardapane, A.; Ficco, M.; Sabba, C.; Lorusso, F.; Moschetta, M.; Maggialetti, N.; Suppressa, P.; Angelelli, G.; Ianora, A.A.S. Hepatic nodular regenerative lesions in patients with hereditary haemorrhagic telangiectasia: Computed tomography and magnetic resonance findings. La Radiol. Med. 2012, 118, 1–13. [Google Scholar] [CrossRef]










Publisher’s Note: MDPI stays neutral with regard to jurisdictional claims in published maps and institutional affiliations. |
© 2020 by the authors. Licensee MDPI, Basel, Switzerland. This article is an open access article distributed under the terms and conditions of the Creative Commons Attribution (CC BY) license (http://creativecommons.org/licenses/by/4.0/).
Share and Cite
Harwin, J.; Sugi, M.D.; Hetts, S.W.; Conrad, M.B.; Ohliger, M.A. The Role of Liver Imaging in Hereditary Hemorrhagic Telangiectasia. J. Clin. Med. 2020, 9, 3750. https://doi.org/10.3390/jcm9113750
Harwin J, Sugi MD, Hetts SW, Conrad MB, Ohliger MA. The Role of Liver Imaging in Hereditary Hemorrhagic Telangiectasia. Journal of Clinical Medicine. 2020; 9(11):3750. https://doi.org/10.3390/jcm9113750
Chicago/Turabian StyleHarwin, Joelle, Mark D. Sugi, Steven W. Hetts, Miles B. Conrad, and Michael A. Ohliger. 2020. "The Role of Liver Imaging in Hereditary Hemorrhagic Telangiectasia" Journal of Clinical Medicine 9, no. 11: 3750. https://doi.org/10.3390/jcm9113750
APA StyleHarwin, J., Sugi, M. D., Hetts, S. W., Conrad, M. B., & Ohliger, M. A. (2020). The Role of Liver Imaging in Hereditary Hemorrhagic Telangiectasia. Journal of Clinical Medicine, 9(11), 3750. https://doi.org/10.3390/jcm9113750

