Next Article in Journal
Expression of Immune System-Related Membrane Receptors CD40, RANK, BAFFR and LTβR is Associated with Clinical Outcome of Operated Non-Small-Cell Lung Cancer Patients
Previous Article in Journal
Magnetic Resonance Elastography of Liver in Light Chain Amyloidosis
 
 
Font Type:
Arial Georgia Verdana
Font Size:
Aa Aa Aa
Line Spacing:
Column Width:
Background:
Article

Effects of Positive End-Expiratory Pressure on Pulmonary Oxygenation and Biventricular Function during One-Lung Ventilation: A Randomized Crossover Study

1
Department of Anesthesiology and Pain Medicine, Anesthesia and Pain Research Institute, Yonsei University College of Medicine, 50-1 Yonsei-ro, Seodaemun-gu, Seoul 03722, Korea
2
Department of Anesthesiology and Pain Medicine, Yonsei Sarang Hospital, 10, Hyoryeong-ro, Seocho-gu, Seoul 06698, Korea
3
Department of Anesthesiology and Pain Medicine, National Health Insurance Service Ilsan Hospital, 100, Ilsan-ro, Ilsandong-gu, Goyang-si, Gyeonggi-do 10444, Korea
*
Author to whom correspondence should be addressed.
J. Clin. Med. 2019, 8(5), 740; https://doi.org/10.3390/jcm8050740
Submission received: 27 April 2019 / Revised: 16 May 2019 / Accepted: 21 May 2019 / Published: 23 May 2019
(This article belongs to the Section Anesthesiology)

Abstract

Although the application of positive end-expiratory pressure (PEEP) can alter cardiopulmonary physiology during one-lung ventilation (OLV), these changes have not been clearly elucidated. This study assessed the effects of different levels of PEEP on biventricular function, as well as pulmonary oxygenation during OLV. Thirty-six lung cancer patients received one PEEP combination of six sequences, consisting of 0 (PEEP_0), 5 (PEEP_5), and 10 cmH2O (PEEP_10), using a crossover design during OLV. The ratio of arterial oxygen partial pressure to inspired oxygen fraction (P/F ratio), systolic and diastolic echocardiographic parameters were measured at 20 min after the first, second, and third PEEP. P/F ratio at PEEP_5 was significantly higher compared to PEEP_0 (p = 0.014), whereas the P/F ratio at PEEP_10 did not show significant differences compared to PEEP_0 or PEEP_5. Left ventricular ejection fraction (LV EF) and right ventricular fractional area change (RV FAC) at PEEP_10 (EF, p < 0.001; FAC, p = 0.001) were significantly lower compared to PEEP_0 or PEEP_5. RV E/E’ (p = 0.048) and RV myocardial performance index (p < 0.001) at PEEP_10 were significantly higher than those at PEEP_0 or PEEP_5. In conclusion, increasing PEEP to 10 cmH2O decreased biventricular function, especially on RV function, with no further improvement on oxygenation compared to PEEP 5 cmH2O during OLV.

1. Introduction

One-lung ventilation (OLV), which is essential in thoracic surgery, induces ventilation/perfusion ratio (V/Q) mismatch by increasing intra-pulmonary shunts and dead space [1]. Historically, large tidal volumes were applied to prevent unfavorable intraoperative atelectasis and improve gas exchange during OLV [2]. However, several studies have shown that lung injury after thoracic surgery is associated with OLV [3,4]. Therefore, an optimal strategy for OLV is needed not only for maintaining adequate gas exchange, but also for protecting the lung.
Application of positive-end expiratory pressure (PEEP) is an important factor in optimal OLV strategy, and several studies have investigated the amounts of PEEP that are beneficial during OLV. A recent study showed that an “individualized” PEEP level measuring around 10 cmH2O improved pulmonary oxygenation during OLV [5]. However, in two-lung ventilation (TLV), aggressive mechanical ventilation using high levels of PEEP exceeding 10 cmH2O can restrict venous return and elevate right ventricular (RV) afterload, leading to limited left ventricular (LV) diastolic filling and decreased cardiac output [6].
No existing prospective study has yet evaluated the effect of PEEP on pulmonary oxygenation and biventricular function simultaneously during OLV. The primary purpose of this study was to compare the effects of different levels of PEEP on pulmonary oxygenation and biventricular function in patients undergoing thoracic surgery under OLV.

2. Materials and Methods

2.1. Patients

This study was approved by the institutional review board of Yonsei University Health System (IRB # 4-2015-0325) in Seoul, South Korea, and written informed consent was obtained from all patients before participating in the study. The trial was registered prior to patient enrollment at clinicaltrials.gov (NCT02483806).
For this study, we enrolled lung cancer patients who were scheduled for single lobe lobectomy with video-assisted thoracoscopic surgery (VATS) from September 2015 to April 2016. The inclusion criteria were patients aged from 40 to 80 years and patients with American Society of Anesthesiologists physical status classification score of II–III. The exclusion criteria were patients with any kind of arrhythmia; New York Heart Association functional classification of III–IV; end-stage liver or kidney diseases; esophageal varices; and those who had either severe obstructive or restrictive lung diseases.

2.2. Anesthesia and Procedural Protocols

No premedication was given to any of the patients. Anesthesia was induced using propofol (1.0–2.0 mg/kg), remifentanil (0.5–1.0 μg/kg), and 0.9 mg/kg of rocuronium. All patients were intubated with left-sided double-lumen tubes (35 Fr for women, 37 Fr for men, Broncho-Cath®; Mallinckrodt Medical, Inc., Athlone, Ireland), and correct positioning was confirmed using a fiber-optic bronchoscope. Patients’ arterial blood pressure and central venous pressure levels were monitored using standard monitoring devices. A central vein catheter was inserted at the right internal jugular vein. Multiplane transesophageal echocardiography probes (6TC; GE Vingmed Ultrasound AS, Horten, Norway) were inserted, and lung alveolar recruitment was performed with maximal 30 cmH2O of pressure for 30 seconds. During the induction period, 5 mL/kg of Hartmann’s solution was given to each patient to minimize preload reduction by PEEP application.
Anesthesia was maintained with 1.0–2.0 vol % sevoflurane and 0.05–0.1 μg·kg−1·min−1 of remifentanil targeted at Bispectral index (BIS VISTA™, Aspect Medical Systems, Norwood, MA, USA) between 40 and 60. Autoflow pressure-controlled ventilation mode (Primus i® ventilator; Dräger™, Lübeck, Germany) was applied to all patients. Ventilation was initiated using a tidal volume of 6 mL/kg of the predicted body weight with 1:2 inspiratory-to-expiratory ratio, an inspired oxygen fraction (FiO2) of 0.6, and 5 cmH2O of PEEP. All patients had an initial PEEP level of 5 cmH2O during TLV. Respiratory rate was adjusted to maintain an end-tidal carbon dioxide (EtCO2) at approximately 40 mmHg. When the patient’s oxygen saturation measured by pulse oximetry decreased to less than 90% during OLV, FiO2 was incrementally increased to 0.8 and 1.0.

2.3. Study Design and Outcome Assessments

PEEP was applied at three different levels of 0 cmH2O, 5 cmH2O, and 10 cmH2O; and the measurements of each PEEP application was designated as PEEP_0, PEEP_5, and PEEP_10, respectively, for statistical analysis. The study had a crossover design with patients randomly assigned to one of six PEEP sequence combinations of 0, 5, and 10 cmH2O. The baseline hemodynamic, echocardiographic, and respiratory variables were measured at 10 min after the recruitment maneuver during TLV in a supine position. The patient was then placed in the lateral decubitus position. When hemodynamic parameters were stabilized, OLV was initiated and variables were measured again at 20 min after the first, second, and third PEEP applications. Since vascular clamping can alter perfusion of the non-dependent lung, patients were excluded if the pulmonary vessel was clamped for lobectomy during the experimental period.
Arterial blood gas analyses were performed at every experimental step, and the respiratory variables included FiO2, EtCO2, ratio of arterial oxygen partial pressure (PaO2) to FiO2 (P/F ratio), peak airway pressure (Ppeak), dynamic compliance, and dead space ventilation (alveolar dead space/alveolar tidal volume, VD/VT). Dynamic compliance was calculated as VT/(Ppeak−PEEP). VD/VT was calculated in accordance to Hardman and Aitkenhead equation [7] using the values of EtCO2 and arterial carbon dioxide partial pressure (PaCO2) as VD/VT = 1.14 × (PaCO2−EtCO2)/PaCO2−0.005.
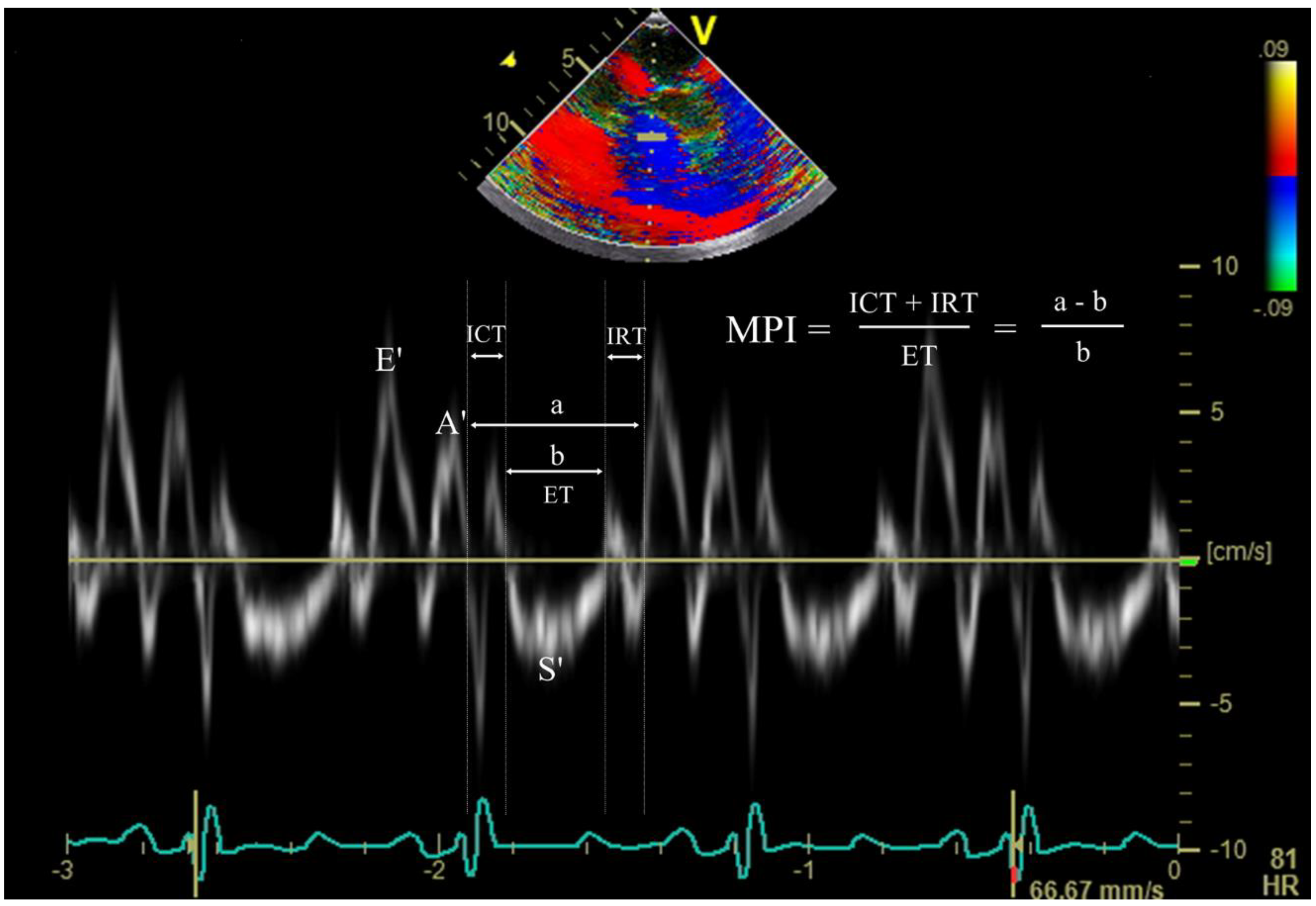
Hemodynamic variables obtained were the heart rate, mean arterial pressure, and central venous pressure. The echocardiographic assessment was conducted by a single anesthesiologist blinded to the experimental conditions using a single echocardiography system (Vivid E9; GE Vingmed Ultrasound AS) from mid-esophageal four-chamber view at the end of expiration. This assessment included the measurement of LV ejection fraction (LV EF), RV fractional area change (RV FAC), peak early diastolic velocities of septal mitral annulus and lateral tricuspid annulus (MV E′ and TV E′, respectively), late diastolic velocities of MV and TV (MV A′ and TV A′, respectively), peak systolic velocities (MV S′ and TV S′), and tricuspid annular plane systolic excursion (TAPSE). Peak early diastolic transvalvular inflow velocities (E) of MV and TV were also measured to calculate E/E′ for both ventricles. To measure the overall biventricular function, myocardial performance index (MPI) was obtained for the left ventricle and right ventricle from tissue Doppler indices of the mitral valve (MV) and tricuspid valve (TV) using the following formula: MPI = (isovolumic contraction time + isovolumic relaxation time)/ejection time (Figure 1).

2.4. Statistical Analysis

Based on the results from previous studies [8,9] and taking three-way crossover trial into account, sample size was derived from the increase in mean values of P/F ratios from the three PEEP groups (mean values of 170, 210, and 250, respectively, with a standard deviation of 80) [8] while considering mean ± standard deviation values of the peak early diastolic transvalvular inflow velocity (E) of mitral value of conventional Doppler [9]. At a 5% significance level, 36 patients were needed to achieve a power of 80%; hence, six patients for each of the six PEEP combinations were required. A linear mixed model was used for the overall analysis. If statistically significant results were obtained when comparing different PEEP levels, Bonferroni post hoc analysis was conducted. The Doppler data were reanalyzed twice by the first investigator and then once by a second investigator and the intraclass correlation coefficients (ICCs) were calculated with a two-way random model to assess the agreement of the measurements. The strength of agreement was interpreted based on the system proposed by Landis and Koch [10]. Sequence randomization and statistical analyses were performed using Statistical Analysis Software (SAS, version 9.4; SAS, Inc., Cary, NC, USA), and p value < 0.05 was considered statistically significant.

3. Results

Of the 40 patients who were screened for the study, four were excluded; therefore, data were collected and analyzed from 36 patients (Figure 2). VATS lobectomy was successfully performed in all 36 patients without any complications during surgery, and all patients were transferred to a general ward through the post-anesthetic care unit. Demographic data are shown in Table 1.
PaO2 values (p = 0.015) and P/F ratios (p = 0.014) were significantly different between PEEP_0 and PEEP_5, whereas there was no difference between PEEP_0 and PEEP_10 (PaO2, p = 0.070; P/F ratio, p = 0.051) or between PEEP_5 and PEEP_10 (PaO2, p > 0.999; P/F ratio, p > 0.999) (Figure 3). There were significant differences among the groups in terms of Ppeak and dynamic compliance values (p < 0.001), whereas there was no statistical difference in VD/VT among the three groups (Table 2).
Hemodynamic variables and tissue Doppler echocardiographic parameters measured at different PEEP levels during OLV are shown in Table 3. Heart rates, central venous pressures, and mean arterial pressures were comparable among the three groups. Both EF and FAC at PEEP_10 showed significant difference compared to PEEP_0 (EF; p < 0.001, FAC; p = 0.001, respectively) and PEEP_5 (EF; p = 0.015, FAC; p = 0.023, respectively) (Figure 4). There were no statistical differences among the groups in LV parameters of Doppler echocardiography (MV E′, MV A′, MV S′, LV E/E′). For echocardiographic parameters of the right ventricle, TV E′, TV A′, and TV S′ were comparable among the groups, whereas RV E/E′ values between PEEP_0 and PEEP_10 were significantly different (p = 0.044). The results of TAPSE were comparable among the different PEEP levels.
LV MPIs were comparable among three different PEEP levels, while RV MPI value for PEEP_10 (0.64 ± 0.21) was significantly higher than those for PEEP_0 (0.52 ± 0.12; p < 0.001) and PEEP_5 (0.54 ± 0.16; p < 0.001) (Figure 4).
The ICCs for the agreement of echocardiographic parameters are given in Table 4.

4. Discussion

The study evaluated the effects of different PEEP levels on pulmonary oxygenation and biventricular function under OLV. Compared to 5 cmH2O of PEEP, cardiac function changed at 10 cmH2O of PEEP in both systolic and diastolic phases of left and right ventricles. There was a decreasing trend in biventricular diastolic function as PEEP increased, which was represented by the E/E’ value of both ventricles. The overall RV function decreased when PEEP was increased from 0 to 10 cmH2O, which was represented by MPI. However, pulmonary oxygenation was not different between 5 and 10 cmH2O levels of PEEP, indicating that higher PEEP level was not advantageous.
General anesthesia with positive pressure ventilation impairs pulmonary gas exchange and respiratory mechanics, even in patients with healthy lungs [11]. Such effects result primarily from the development of atelectasis with subsequent shunting of pulmonary blood flow and impaired oxygenation [12]. During OLV, V/Q mismatch can be aggravated, due to the increase of intrapulmonary shunt [13,14]. Application of positive-end expiratory pressure (PEEP) is an essential part of OLV strategy, since it can overcome V/Q ratio mismatch [13,14] and increase pulmonary compliance [15]. Injury to a patient’s lungs can occur during OLV [16], and the risk for such complication can be reduced by applying low tidal volume with PEEP [4].
There are many conflicting results regarding the effect of PEEP on oxygenation improvement during OLV [17,18,19]. Recently, Ferrando et al. [5] demonstrated that an individualized PEEP, which measured around 10 cmH2O, preserved oxygenation and lung mechanics better than consistent 5 cmH2O of PEEP during OLV. Several clinical studies on thoracic surgery [20,21] and reviews [1,22] have reported that the adequate level of PEEP should be over 5 cmH2O to improve oxygenation during OLV after performing alveolar recruitment. However, other studies showed that 5 cmH2O of PEEP with a tidal volume of 6 mL/kg is enough to provide adequate gas exchange [4], improve oxygenation [17], and allow for earlier extubation [23]. A study using a porcine model reported that increasing PEEP to 10 cmH2O in healthy lungs did not improve oxygenation compared to that with 5 cmH2O [8]. The different effects of PEEP on oxygenation were decided by the difference between total end-expiratory pressure, which was the sum of intrinsic and external PEEP, and the lower inflection point of static compliance curve [15]. PEEP was only beneficial if externally applied PEEP caused total end-expiratory pressure to reach closer to the lower inflection point, otherwise PEEP was associated with a decrease in oxygenation. This study supported that 10 cmH2O of PEEP had no beneficial effect compared to 5 cmH2O of PEEP in terms of pulmonary oxygenation.
Although the application of PEEP may lead to a reduction in LV afterload, it does not necessarily increase cardiac output, due to the predominant adverse effect on LV filling [24]. Rather, our results showed that LV systolic function decreased when 10 cm H2O of PEEP was applied. Increasing levels of PEEP impairs biventricular function [25,26], mainly due to the restriction of the venous return, caused by the elevation of intrathoracic pressure [6]. Furthermore, over 10 cmH2O of PEEP was associated with decreased preload, as well as reduced compliance of both ventricles, which was considered to contribute to the changes in diastolic ventricular filling [27]. Even 5 cmH2O of PEEP was found to exacerbate LV diastolic relaxation abnormality during TLV in patients with pre-existing diastolic dysfunction [9]. In addition, PEEP influences RV afterload [26], which results in a decreased RV function [28]. Schmitt et al. [26] demonstrated that RV function was significantly impaired, due to the increase in RV outflow impedance when PEEP exceeding 10 cmH2O was applied to patients with acute respiratory distress syndrome (ARDS) in the intensive care unit. In OLV, increased right-ventricular afterload augmented by increased airway pressures may provide deleterious increases in shunt fraction and decrease in cardiac output and right-ventricular function [29]. This decrease in RV function may partially account for a decrease in pulmonary flow, leading to a lack of improvement in oxygenation during 10 cmH2O PEEP despite improved dynamic compliance. Moreover, the increase in mean alveolar pressure might explain the redistribution of blood flow from the over-distended dependent lung to the non-dependent lung, via increased pulmonary vascular resistance [30].
The indices of tissue Doppler echocardiography are reliable and valuable parameters for estimating intra-operative cardiac functions [31]. It is relatively preload- and afterload-independent [32] and less operator-dependent than two-dimensional or conventional Doppler echocardiography [33]. The MPI, a robust parameter of global ventricular function which is derived from tissue Doppler indices [34,35], has been shown to be a good predictor of perioperative complication in many clinical conditions [36,37]. Indeed, our MPI findings suggest the possibility of RV dysfunction as PEEP increased, which was measured as over 0.55 at PEEP 10 cmH2O [38], although these results did not actually lead to changes in hemodynamic variables.
The present study had several limitations. First, we neither returned PEEP to baseline (zero PEEP) nor performed a recruitment procedure during the application of experimental PEEP. Nevertheless, a crossover design involving the cyclical application of different PEEP levels was used to offset the blind spot in this study, and no parameter was influenced by previous PEEP application after statistical verification. Furthermore, considering that hypoxic pulmonary vasoconstriction was settled within 10 m after initiating OLV [39], changes in cardiopulmonary function measured 20 m after initiating OLV can be considered significant enough. Second, although the experimental pressures for the current trial were chosen as they had been commonly used under clinical circumstances, further studies are needed to investigate the impact on individualized PEEP. Third, fixing FiO2 could have been more appropriate in comparing the effect of different PEEP on pulmonary oxygenation. Indeed, there is a variation in the P/F ratio with the change of FiO2 [40]. However, the P/F ratio has been used not only in experimental studies [4], but also in clinical settings to quantify pulmonary gas exchange, including the use in the definitions of ARDS [41]. Fourth, clamping the pulmonary vessel at the cancer lesion may improve V/Q mismatch by reducing the shunt fraction. Since the study was completed before vascular clamping of the non-dependent lung, we think that the impact of lung cancer on the outcome is limited in this study. Finally, the effects of different PEEP levels during OLV on the protection of the lung should be investigated further.

5. Conclusions

In conclusion, the results of this study demonstrated that applying 5 cmH2O of PEEP augmented oxygenation during OLV without altering biventricular function. However, increasing PEEP to 10 cmH2O decreased cardiac function, especially on RV function, without further enhancing pulmonary oxygenation. Based on these findings, physicians should note that there may not be any advantage to applying 10 cmH2O of PEEP over 5 cmH2O of PEEP during OLV.

Author Contributions

Conceptualization, N.K. and Y.J.O.; methodology, N.K., S.H.L. and Y.J.O.; software, K.W.C.; validation, S.H.L., K.W.C. and Y.J.O.; formal analysis, N.K., S.H.L. and K.W.C.; investigation, N.K. and H.L.; data curation, N.K. and H.L.; writing—original draft preparation, N.K.; writing—review and editing, N.K, S.H.L., K.W.C. and Y.J.O.

Acknowledgments

We would like to thank Jieun Moon and Hye Jung Shin (Biostatistics Collaboration Unit, Medical Research Centre, Yonsei University College of Medicine, Seoul, Republic of Korea) for their statistical support.

Conflicts of Interest

The authors declare no conflict of interest.

References

  1. Karzai, W.; Schwarzkopf, K. Hypoxemia during one-lung ventilation: Prediction, prevention, and treatment. Anesthesiology 2009, 110, 1402–1411. [Google Scholar] [CrossRef] [PubMed]
  2. Katz, J.A.; Laverne, R.G.; Fairley, H.B.; Thomas, A.N. Pulmonary oxygen exchange during endobronchial anesthesia: Effect of tidal volume and peep. Anesthesiology 1982, 56, 164–171. [Google Scholar] [CrossRef]
  3. Ishikawa, S.; Lohser, J. One-lung ventilation and arterial oxygenation. Curr. Opin. Anaesthesiol. 2011, 24, 24–31. [Google Scholar] [CrossRef]
  4. Yang, M.; Ahn, H.J.; Kim, K.; Kim, J.A.; Yi, C.A.; Kim, M.J.; Kim, H.J. Does a protective ventilation strategy reduce the risk of pulmonary complications after lung cancer surgery? A randomized controlled trial. Chest 2011, 139, 530–537. [Google Scholar] [CrossRef] [PubMed]
  5. Ferrando, C.; Mugarra, A.; Gutierrez, A.; Carbonell, J.A.; Garcia, M.; Soro, M.; Tusman, G.; Belda, F.J. Setting individualized positive end-expiratory pressure level with a positive end-expiratory pressure decrement trial after a recruitment maneuver improves oxygenation and lung mechanics during one-lung ventilation. Anesth. Analg. 2014, 118, 657–665. [Google Scholar] [CrossRef] [PubMed]
  6. Huemer, G.; Kolev, N.; Kurz, A.; Zimpfer, M. Influence of positive end-expiratory pressure on right and left ventricular performance assessed by doppler two-dimensional echocardiography. Chest 1994, 106, 67–73. [Google Scholar] [CrossRef]
  7. Hardman, J.G.; Aitkenhead, A.R. Estimating alveolar dead space from the arterial to end-tidal co(2) gradient: A modeling analysis. Anesth. Analg. 2003, 97, 1846–1851. [Google Scholar] [CrossRef]
  8. Michelet, P.; Roch, A.; Brousse, D.; D’Journo, X.B.; Bregeon, F.; Lambert, D.; Perrin, G.; Papazian, L.; Thomas, P.; Carpentier, J.P.; et al. Effects of peep on oxygenation and respiratory mechanics during one-lung ventilation. Br. J. Anaesth. 2005, 95, 267–273. [Google Scholar] [CrossRef] [PubMed]
  9. Chin, J.H.; Lee, E.H.; Kim, W.J.; Choi, D.K.; Hahm, K.D.; Sim, J.Y.; Choi, I.C. Positive end-expiratory pressure aggravates left ventricular diastolic relaxation further in patients with pre-existing relaxation abnormality. Br. J. Anaesth. 2013, 111, 368–373. [Google Scholar] [CrossRef][Green Version]
  10. Landis, J.R.; Koch, G.G. The measurement of observer agreement for categorical data. Biometrics 1977, 33, 159–174. [Google Scholar] [CrossRef] [PubMed]
  11. Hedenstierna, G.; Edmark, L. The effects of anesthesia and muscle paralysis on the respiratory system. Intensive Care Med. 2005, 31, 1327–1335. [Google Scholar] [CrossRef]
  12. Tokics, L.; Hedenstierna, G.; Strandberg, A.; Brismar, B.; Lundquist, H. Lung collapse and gas exchange during general anesthesia: Effects of spontaneous breathing, muscle paralysis, and positive end-expiratory pressure. Anesthesiology 1987, 66, 157–167. [Google Scholar] [CrossRef] [PubMed]
  13. Valenza, F.; Ronzoni, G.; Perrone, L.; Valsecchi, M.; Sibilla, S.; Nosotti, M.; Santambrogio, L.; Cesana, B.M.; Gattinoni, L. Positive end-expiratory pressure applied to the dependent lung during one-lung ventilation improves oxygenation and respiratory mechanics in patients with high fev1. Eur. J. Anaesthesiol. 2004, 21, 938–943. [Google Scholar] [CrossRef] [PubMed]
  14. Hoftman, N.; Canales, C.; Leduc, M.; Mahajan, A. Positive end expiratory pressure during one-lung ventilation: Selecting ideal patients and ventilator settings with the aim of improving arterial oxygenation. Ann. Card. Anaesth. 2011, 14, 183–187. [Google Scholar] [PubMed]
  15. Slinger, P.D.; Kruger, M.; McRae, K.; Winton, T. Relation of the static compliance curve and positive end-expiratory pressure to oxygenation during one-lung ventilation. Anesthesiology 2001, 95, 1096–1102. [Google Scholar] [CrossRef] [PubMed]
  16. Blank, R.S.; Colquhoun, D.A.; Durieux, M.E.; Kozower, B.D.; McMurry, T.L.; Bender, S.P.; Naik, B.I. Management of one-lung ventilation: Impact of tidal volume on complications after thoracic surgery. Anesthesiology 2016, 124, 1286–1295. [Google Scholar] [CrossRef]
  17. Senturk, N.M.; Dilek, A.; Camci, E.; Senturk, E.; Orhan, M.; Tugrul, M.; Pembeci, K. Effects of positive end-expiratory pressure on ventilatory and oxygenation parameters during pressure-controlled one-lung ventilation. J. Cardiothorac. Vasc. Anesth. 2005, 19, 71–75. [Google Scholar] [CrossRef]
  18. Capan, L.M.; Turndorf, H.; Patel, C.; Ramanathan, S.; Acinapura, A.; Chalon, J. Optimization of arterial oxygenation during one-lung anesthesia. Anesth. Analg. 1980, 59, 847–851. [Google Scholar] [CrossRef] [PubMed]
  19. Mascotto, G.; Bizzarri, M.; Messina, M.; Cerchierini, E.; Torri, G.; Carozzo, A.; Casati, A. Prospective, randomized, controlled evaluation of the preventive effects of positive end-expiratory pressure on patient oxygenation during one-lung ventilation. Eur. J. Anaesthesiol. 2003, 20, 704–710. [Google Scholar] [CrossRef]
  20. Tusman, G.; Bohm, S.H.; Sipmann, F.S.; Maisch, S. Lung recruitment improves the efficiency of ventilation and gas exchange during one-lung ventilation anesthesia. Anesth. Analg. 2004, 98, 1604–1609. [Google Scholar] [CrossRef]
  21. Park, S.H.; Jeon, Y.T.; Hwang, J.W.; Do, S.H.; Kim, J.H.; Park, H.P. A preemptive alveolar recruitment strategy before one-lung ventilation improves arterial oxygenation in patients undergoing thoracic surgery: A prospective randomised study. Eur. J. Anaesthesiol. 2011, 28, 298–302. [Google Scholar] [CrossRef]
  22. Della Rocca, G.; Coccia, C. Ventilatory management of one-lung ventilation. Minerva Anestesiol. 2011, 77, 534–536. [Google Scholar]
  23. Michelet, P.; D’Journo, X.B.; Roch, A.; Doddoli, C.; Marin, V.; Papazian, L.; Decamps, I.; Bregeon, F.; Thomas, P.; Auffray, J.P. Protective ventilation influences systemic inflammation after esophagectomy: A randomized controlled study. Anesthesiology 2006, 105, 911–919. [Google Scholar] [CrossRef]
  24. Luecke, T.; Pelosi, P. Clinical review: Positive end-expiratory pressure and cardiac output. Crit. Care 2005, 9, 607–621. [Google Scholar] [CrossRef]
  25. Luecke, T.; Roth, H.; Herrmann, P.; Joachim, A.; Weisser, G.; Pelosi, P.; Quintel, M. Assessment of cardiac preload and left ventricular function under increasing levels of positive end-expiratory pressure. Intensive Care Med. 2004, 30, 119–126. [Google Scholar] [CrossRef]
  26. Schmitt, J.M.; Vieillard-Baron, A.; Augarde, R.; Prin, S.; Page, B.; Jardin, F. Positive end-expiratory pressure titration in acute respiratory distress syndrome patients: Impact on right ventricular outflow impedance evaluated by pulmonary artery doppler flow velocity measurements. Crit. Care Med. 2001, 29, 1154–1158. [Google Scholar] [CrossRef]
  27. Yamada, T.; Takeda, J.; Satoh, M.; Koyama, K.; Hashiguchi, S.; Yokoi, M. Effect of positive end-expiratory pressure on left and right ventricular diastolic filling assessed by transoesophageal doppler echocardiography. Anaesth Intensive Care 1999, 27, 341–345. [Google Scholar] [CrossRef]
  28. Vieillard-Baron, A.; Loubieres, Y.; Schmitt, J.M.; Page, B.; Dubourg, O.; Jardin, F. Cyclic changes in right ventricular output impedance during mechanical ventilation. J. Appl. Physiol. 1999, 87, 1644–1650. [Google Scholar] [CrossRef]
  29. Diaper, J.; Ellenberger, C.; Villiger, Y.; Robert, J.; Inan, C.; Tschopp, J.M.; Licker, M. Comparison of cardiac output as assessed by transesophageal echo-doppler and transpulmonary thermodilution in patients undergoing thoracic surgery. J. Clin. Anesth. 2010, 22, 97–103. [Google Scholar] [CrossRef]
  30. Roze, H.; Lafargue, M.; Perez, P.; Tafer, N.; Batoz, H.; Germain, C.; Janvier, G.; Ouattara, A. Reducing tidal volume and increasing positive end-expiratory pressure with constant plateau pressure during one-lung ventilation: Effect on oxygenation. Br. J. Anaesth. 2012, 108, 1022–1027. [Google Scholar] [CrossRef]
  31. Skubas, N. Intraoperative doppler tissue imaging is a valuable addition to cardiac anesthesiologists’ armamentarium: A core review. Anesth. Analg. 2009, 108, 48–66. [Google Scholar] [CrossRef]
  32. Tei, C.; Ling, L.H.; Hodge, D.O.; Bailey, K.R.; Oh, J.K.; Rodeheffer, R.J.; Tajik, A.J.; Seward, J.B. New index of combined systolic and diastolic myocardial performance: A simple and reproducible measure of cardiac function--a study in normals and dilated cardiomyopathy. J. Cardiol. 1995, 26, 357–366. [Google Scholar]
  33. Yu, C.M.; Sanderson, J.E.; Marwick, T.H.; Oh, J.K. Tissue doppler imaging a new prognosticator for cardiovascular diseases. J. Am. Coll. Cardiol. 2007, 49, 1903–1914. [Google Scholar] [CrossRef] [PubMed]
  34. Tei, C.; Dujardin, K.S.; Hodge, D.O.; Bailey, K.R.; McGoon, M.D.; Tajik, A.J.; Seward, S.B. Doppler echocardiographic index for assessment of global right ventricular function. J. Am. Soc. Echocardiogr. 1996, 9, 838–847. [Google Scholar] [CrossRef]
  35. Schaefer, A.; Meyer, G.P.; Hilfiker-Kleiner, D.; Brand, B.; Drexler, H.; Klein, G. Evaluation of tissue doppler tei index for global left ventricular function in mice after myocardial infarction: Comparison with pulsed doppler tei index. Eur. J. Echocardiogr. 2005, 6, 367–375. [Google Scholar] [CrossRef]
  36. Haddad, F.; Denault, A.Y.; Couture, P.; Cartier, R.; Pellerin, M.; Levesque, S.; Lambert, J.; Tardif, J.C. Right ventricular myocardial performance index predicts perioperative mortality or circulatory failure in high-risk valvular surgery. J. Am. Soc. Echocardiogr. 2007, 20, 1065–1072. [Google Scholar] [CrossRef] [PubMed]
  37. Matyal, R.; Mahmood, F.; Hess, P.; Zhao, X.; Mitchell, J.; Maslow, A.; Gangadharan, S.; Decamp, M. Right ventricular echocardiographic predictors of postoperative supraventricular arrhythmias after thoracic surgery: A pilot study. Ann. Thorac. Surg. 2010, 90, 1080–1086. [Google Scholar] [CrossRef] [PubMed]
  38. Rudski, L.G.; Lai, W.W.; Afilalo, J.; Hua, L.; Handschumacher, M.D.; Chandrasekaran, K.; Solomon, S.D.; Louie, E.K.; Schiller, N.B. Guidelines for the echocardiographic assessment of the right heart in adults: A report from the american society of echocardiography endorsed by the european association of echocardiography, a registered branch of the european society of cardiology, and the canadian society of echocardiography. J. Am. Soc. Echocardiogr. 2010, 23, 685–713; quiz 786–788. [Google Scholar]
  39. Lee, S.H.; Kim, N.; Kim, H.I.; Oh, Y.J. Echocardiographic evaluation of pulmonary venous blood flow and cardiac function changes during one-lung ventilation. Int. J. Clin. Exp. Med. 2015, 8, 13099–13108. [Google Scholar]
  40. Karbing, D.S.; Kjaergaard, S.; Smith, B.W.; Espersen, K.; Allerod, C.; Andreassen, S.; Rees, S.E. Variation in the pao2/fio2 ratio with fio2: Mathematical and experimental description, and clinical relevance. Crit. Care 2007, 11, R118. [Google Scholar] [CrossRef]
  41. Ranieri, V.M.; Rubenfeld, G.D.; Thompson, B.T.; Ferguson, N.D.; Caldwell, E.; Fan, E.; Camporota, L.; Slutsky, A.S. Acute respiratory distress syndrome: The berlin definition. JAMA 2012, 307, 2526–2533. [Google Scholar] [PubMed]
Figure 1. Doppler tissue waves derived from the septal mitral annulus, and time intervals required for calculation of myocardial performance index. E’, peak early diastolic mitral annular velocity; A’, late diastolic mitral annular velocity; S’, peak systolic mitral annulus velocity; ICT, isovolumic contraction time; IRT, isovolumic relaxation time; ET, ejection time; MPI, myocardial performance index.
Figure 1. Doppler tissue waves derived from the septal mitral annulus, and time intervals required for calculation of myocardial performance index. E’, peak early diastolic mitral annular velocity; A’, late diastolic mitral annular velocity; S’, peak systolic mitral annulus velocity; ICT, isovolumic contraction time; IRT, isovolumic relaxation time; ET, ejection time; MPI, myocardial performance index.
Jcm 08 00740 g001
Figure 2. Flow chart of patient enrollment. VATS, video-assisted thoracoscopic surgery.
Figure 2. Flow chart of patient enrollment. VATS, video-assisted thoracoscopic surgery.
Jcm 08 00740 g002
Figure 3. Effects of positive end-expiratory pressure on the changes of arterial oxygen partial pressure (PaO2, A), the ratio of arterial oxygen partial pressure to inspired oxygen fraction (P/F ratio, B). * p < 0.05 versus PEEP_0.
Figure 3. Effects of positive end-expiratory pressure on the changes of arterial oxygen partial pressure (PaO2, A), the ratio of arterial oxygen partial pressure to inspired oxygen fraction (P/F ratio, B). * p < 0.05 versus PEEP_0.
Jcm 08 00740 g003
Figure 4. Effects of positive end-expiratory pressure on the changes of cardiac function. (A) LV EF, left ventricular ejection fraction; (B) RV FAC, right ventricular fractional area change; (C) LV MPI, left ventricular myocardial performance index; (D) RV MPI, right ventricular myocardial performance index. * p < 0.05 versus PEEP_0, † p < 0.05 versus PEEP_5.
Figure 4. Effects of positive end-expiratory pressure on the changes of cardiac function. (A) LV EF, left ventricular ejection fraction; (B) RV FAC, right ventricular fractional area change; (C) LV MPI, left ventricular myocardial performance index; (D) RV MPI, right ventricular myocardial performance index. * p < 0.05 versus PEEP_0, † p < 0.05 versus PEEP_5.
Jcm 08 00740 g004
Table 1. Patients’ characteristics and results of intra-operative data.
Table 1. Patients’ characteristics and results of intra-operative data.
Patients (n = 36)
Age (years)68.2 ± 7.9
Sex (male/female), n (%)19 (53)/17 (47)
Body surface area (m2)1.7 ± 0.2
Body mass index (kg/m2)24.7 ± 2.9
Smoking history, (None n (%)/Ex n (%)/Current n (%))23 (64)/13 (36)/0 (0)
Height (cm)161.4 ± 8.0
Weight (Kg)64.5 ± 9.8
Lesion, n (%)
Right upper/middle/lower lobe13 (36)/5 (14)/6 (17)
Left upper/lower lobe6 (17)/6 (17)
Type of lung cancer, n (%)
Adenocarcinoma/squamous cell carcinoma26 (72)/10 (28)
TNM stage, n (%)
T1N0M0/T2N0M0/T1N1M019 (53)/10 (28)/2 (6)
T2N1M0/T2N2M0/T3N0M03 (8)/1 (3)/1 (3)
Preoperative pulmonary function test
FVC (L)3.0 ± 0.6
FVC (%, predicted)97.3 ± 16.8
FEV1 (L) 2.2 ± 0.4
FEV1 (%, predicted)102.6 ± 15.0
FEV1/FVC ratio (%)74.4 ± 6.3
DLCO (mL/mmHg/min)16.4 ± 3.3
DLCO (%, predicted)94.8 ± 24.2
Intra-operative data
Duration of anesthesia (min)190 ± 46
Duration of surgery (min)133 ± 40
Duration of OLV (min)111 ± 37
Intake fluid (mL)1,061 ± 320
Urine output (mL)246 ± 200
Estimated blood loss (mL)79 ± 55
Values are expressed as the numbers of patients with percentage, mean ± SD. FVC, forced vital capacity; FEV1, forced expiratory volume in one second; DLCO, diffusion capacity of lung for carbon monoxide; OLV, one-lung ventilation.
Table 2. Arterial blood gas analysis and respiratory variables during two-lung ventilation (TLV) and one-lung ventilation (OLV) at different levels of positive end-expiratory pressure (PEEP).
Table 2. Arterial blood gas analysis and respiratory variables during two-lung ventilation (TLV) and one-lung ventilation (OLV) at different levels of positive end-expiratory pressure (PEEP).
TLVOLVp-Value
PEEP_0PEEP_5PEEP_10
pH7.36 ± 0.047.35 ± 0.047.35 ± 0.057.35 ± 0.040.357
Hb (g/dl)12.0 ± 1.211.7 ± 1.611.9 ± 1.711.8 ± 1.70.926
FiO20.60.7 ± 0.20.7 ± 0.20.7 ± 0.20.989
PaO2 (mmHg) 208.2 ± 62.495.6 ± 27.3126.6 ± 71.0 *119.6 ± 59.20.012
PaCO2 (mmHg)45.1 ± 4.847.4 ± 5.647.3 ± 6.147.9 ± 6.10.377
EtCO2 (mmHg)40.2 ± 4.239.0 ± 2.739.7 ± 3.340.4 ± 3.70.188
P/F ratio (mmHg)327.6 ± 129.8145.1 ± 53.4184.0 ± 77.8 *176.1 ± 77.00.010
Ppeak (cmH2O)12.3 ± 3.017.8 ± 3.119.9 ± 2.8 *22.9 ± 2.4 *,†<0.001
Dynamic compliance (mL/cmH2O)32.3 ± 10.420.9 ± 5.224.6 ± 7.3 *27.5 ± 7.2 *,†<0.001
VD/VT (%)14.9 ± 7.318.0 ± 8.018.1 ± 8.418.8 ± 9.80.902
Values are expressed as mean ± SD. * p < 0.05 vs. PEEP_0; † p < 0.05 vs. PEEP_5. Hb, hemoglobin; PaO2, arterial oxygen partial pressure; PaCO2, arterial carbon dioxide partial pressure; EtCO2, end-tidal carbon dioxide; P/F ratio, PaO2/FiO2 ratio; Ppeak, peak airway pressure; VD, alveolar dead space; VT, alveolar tidal volume.
Table 3. Hemodynamic and echocardiographic parameters during two-lung ventilation (TLV) and one-lung ventilation (OLV) at different levels of positive end-expiratory pressure (PEEP).
Table 3. Hemodynamic and echocardiographic parameters during two-lung ventilation (TLV) and one-lung ventilation (OLV) at different levels of positive end-expiratory pressure (PEEP).
TLVOLVp-Value
PEEP_0PEEP_5PEEP_10
HR (beats/min)72 ± 1375 ± 1373 ± 1173 ± 120.365
MAP (mmHg)84 ± 1584 ± 1586 ± 1286 ± 150.673
CVP (mmHg)10 ± 312 ± 513 ± 413 ± 30.461
LVEF (%)58 ± 963 ± 961 ± 755 ± 10 *,<0.001
MV E’ (cm/s)5.3 ± 1.55.8 ± 1.65.6 ± 1.45.5 ± 1.10.553
MV A’ (cm/s)4.9 ± 1.45.9 ± 2.45.6 ± 1.75.2 ± 1.80.067
MV S’ (cm/s)4.0 ± 0.93.9 ± 1.23.9 ± 1.13.7 ± 0.90.473
LV E/E’ 12.3 ± 3.312.3 ± 3.112.9 ± 3.613.6 ± 3.10.051
LV MPI0.58 ± 0.140.60 ± 0.110.60 ± 0.150.66 ± 0.150.054
RVFAC (%)44 ± 746 ± 1045 ± 741 ± 9 *,0.001
TV E’ (cm/s)4.3 ± 1.44.9 ± 1.84.4 ± 1.64.2 ± 2.00.129
TV A’ (cm/s)6.3 ± 2.56.3 ± 2.35.6 ± 2.25.4 ± 2.20.067
TV S’ (cm/s)4.7 ± 1.74.9 ± 1.84.8 ± 1.64.3 ± 1.40.054
RV E/E’10.1 ± 4.09.0 ± 3.39.7 ± 3.210.2 ± 3.0 *0.048
TAPSE (mm)15.8 ± 2.415.9 ± 1.815.7 ± 2.214.9 ± 1.80.087
RV MPI0.54 ± 0.130.52 ± 0.120.54 ± 0.160.64 ± 0.21 *,<0.001
Values are expressed as mean ± SD. * p < 0.05 vs. PEEP_0; † p < 0.05 vs. PEEP_5. HR, heart rate; MAP, mean arterial pressure; CVP, central venous pressure; LV, left ventricle; RV, right ventricle; EF, ejection fraction; MV E’, peak early diastolic mitral annular velocity; MV A’, late diastolic mitral annular velocity; MV S’, peak systolic mitral annulus velocity; MV E, peak early diastolic trans-mitral inflow velocity; FAC, fractional area change; TV E’, peak early diastolic tricuspid annular velocity; TV A’, late diastolic tricuspid annular velocity; TV S’, peak systolic tricuspid annular velocity; TV E, peak early diastolic trans-tricuspid inflow velocity; TAPSE, tricuspid annular plane systolic excursion; MPI, myocardial performance index.
Table 4. The agreement of measured echocardiographic parameters interpreted by the intraclass correlation coefficients (ICCs).
Table 4. The agreement of measured echocardiographic parameters interpreted by the intraclass correlation coefficients (ICCs).
Within 1st InvestigatorBetween 2nd Investigatorp-Value
E’0.977 (0.970–0.983)0.956 (0.941–0.966)<0.001
A’0.987 (0.984–0.990)0.970(0.960–0.977)<0.001
S’0.982 (0.976–0.986)0.966 (0.944–0.978)<0.001
E/E’0.936 (0.916–0.951)0.920 (0.895–0.939)<0.001
MPI0.944 (0.927–0.957)0.924 (0.901–0.942)<0.001
Values are expressed as values (95% CI). E’, peak early diastolic annular velocity; A’, late diastolic annular velocity; S’, peak systolic annulus velocity; E, peak early diastolic trans-valvular inflow velocity; MPI, myocardial performance index

Share and Cite

MDPI and ACS Style

Kim, N.; Lee, S.H.; Choi, K.W.; Lee, H.; Oh, Y.J. Effects of Positive End-Expiratory Pressure on Pulmonary Oxygenation and Biventricular Function during One-Lung Ventilation: A Randomized Crossover Study. J. Clin. Med. 2019, 8, 740. https://doi.org/10.3390/jcm8050740

AMA Style

Kim N, Lee SH, Choi KW, Lee H, Oh YJ. Effects of Positive End-Expiratory Pressure on Pulmonary Oxygenation and Biventricular Function during One-Lung Ventilation: A Randomized Crossover Study. Journal of Clinical Medicine. 2019; 8(5):740. https://doi.org/10.3390/jcm8050740

Chicago/Turabian Style

Kim, Namo, Su Hyun Lee, Kwan Woong Choi, Haeyeon Lee, and Young Jun Oh. 2019. "Effects of Positive End-Expiratory Pressure on Pulmonary Oxygenation and Biventricular Function during One-Lung Ventilation: A Randomized Crossover Study" Journal of Clinical Medicine 8, no. 5: 740. https://doi.org/10.3390/jcm8050740

APA Style

Kim, N., Lee, S. H., Choi, K. W., Lee, H., & Oh, Y. J. (2019). Effects of Positive End-Expiratory Pressure on Pulmonary Oxygenation and Biventricular Function during One-Lung Ventilation: A Randomized Crossover Study. Journal of Clinical Medicine, 8(5), 740. https://doi.org/10.3390/jcm8050740

Note that from the first issue of 2016, this journal uses article numbers instead of page numbers. See further details here.

Article Metrics

Back to TopTop